- 1. 小臼歯欠損が原因の前歯スペースと咬合異常の典型例
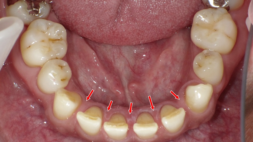
- 1.1. 【正面観と下顎咬合面観】
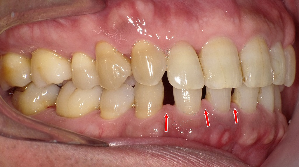
- 1.2. 【右側面観と左側面観】
- 1.3. ◆ 全体として考えられる影響
- 1.4. ◆ 今後の治療選択肢の例
- 2. 子どもの時に治療していた場合にはどうなる?
- 2.1. ◆ 子どもの時に治療していた場合のポイント
- 2.1.1. ● ① 歯のスペース管理が適切にできている
- 2.1.2. ● ② 歯の傾き・ねじれが少ない
- 2.1.3. ● ③ 補綴治療(インプラント等)の準備がしやすい
- 3. ◆ まとめ
- 4. 🏥江戸川区篠崎で小臼歯欠損やすきっ歯の治療をご検討の方へ
- 5. 【動画】アデノイド顔貌
- 6. 筆者・院長

👀 「下顎の第一小臼歯(4番)が先天的に欠損している場合、前歯のすき間や噛み合わせの乱れなど、成長とともにさまざまな影響が現れます。4番は前歯と奥歯のバランスをつなぐ重要な役割を持つため、欠損したまま成長期を過ごすと、前歯が広がって空隙が安定したり、犬歯や奥歯が前方へ倒れ込んだりと、歯列全体の調和が崩れやすくなります。
本症例では、左右の4番が先天欠損しており、下顎前歯部に明確な空隙が形成されています。正面観・咬合面観・側方面観から、欠損による特徴的な歯列変化が分かりやすく確認できます。
また、このような先天欠損は、子どもの時にどのような治療を受けたかによって、大人になってからの歯並びや噛み合わせの状態が大きく変わる点も特徴です。
本記事では、欠損がもたらす影響と、成長期に治療していた場合のメリット、さらに成人期での治療選択肢について分かりやすく解説します。🦷✨
小臼歯欠損が原因の前歯スペースと咬合異常の典型例
【正面観と下顎咬合面観】
下顎の左右第一小臼歯(4番)が先天欠損(上顎は正常)しており、その影響で下顎前歯部にすき間(空隙歯列)が生じている症例です。欠損により歯列の連続性が途切れ、噛み合わせや前歯の並びに特徴的な変化が見られます。


【右側面観と左側面観】


◆ 全体として考えられる影響
- 小臼歯欠損により前歯がすきっ歯のまま安定しやすい
- 噛み合わせのバランスが悪く、長期的には咬耗・歯肉退縮・歯周病リスクも上昇
- 空隙部に食片が入りやすく、清掃性が低下しやすい
- 審美的な問題(前歯の隙間)が日常生活に影響する可能性
◆ 今後の治療選択肢の例
- 矯正治療で前歯の隙間を閉じ、欠損部のスペースを調整
- 必要に応じて、
- インプラント
- ブリッジ
- 部分義歯
などで欠損を補うことで、噛み合わせの安定と見た目の改善が可能です。
子どもの時に治療していた場合にはどうなる?
先天的に第一小臼歯(4番)が欠損している場合、成長期にどのような治療を行ったかで、大人になってからの歯並び・噛み合わせに大きな差が生まれます。ここでは、子どもの時に治療していたケースで起こりやすいこと・治療の選択肢・長期的な影響をまとめます。

右下の乳歯 E(第2乳臼歯) が抜けそうになっていますが、その後継永久歯である 第二小臼歯が先天的に欠損 しているため、永久歯の萌出が起こらず、歯列にすき間や咬み合わせの乱れが生じる可能性があります。
小児期に適切なタイミングで咬合管理や矯正治療を行わないと、前歯のスペース、奥歯の咬合崩壊など、成人後により複雑な不正咬合へ進むことがあります。
◆ 子どもの時に治療していた場合のポイント
● ① 歯のスペース管理が適切にできている

左右の第二小臼歯が先天欠損しているため、乳歯Eにブラケットを装着し、咬合と歯列のバランスを整える矯正治療を行っています。乳歯を歯列の一部として活用しながら、スペース管理と乳歯Eが脱落した場合の咬合を考慮した治療計画が必要になります。
先天欠損があると、歯と歯の間に大きな隙間が生じます。
この様に子どもの時に矯正などでスペースをコントロールしていれば、
- 前歯がすきっ歯にならない
- 歯列が乱れにくい
- 噛み合わせが安定しやすい
といったメリットがあります。
● ② 歯の傾き・ねじれが少ない
適切な時期に歯を動かしておくことで、成長とともに歯がズレるのを防ぐことができます。
とくに小臼歯欠損の場合、犬歯や奥歯が前方に倒れ込みやすいため、早期介入が重要です。
● ③ 補綴治療(インプラント等)の準備がしやすい
先天欠損部を補う場合、
- インプラント
- ブリッジ
- 義歯
などの治療が選べますが、子どもの時点で土台づくりができていると非常にスムーズです。
例えば、
- インプラントに必要なスペースを確保しておく
- 歯ぐきや骨の形態を整えておく
など、大人になってからの治療の成功率が高まります。
◆ まとめ
下顎の第一小臼歯(4番)が左右とも先天欠損している場合、前歯のスペースが過剰になり、すきっ歯(空隙歯列)が安定しやすくなります。欠損部を境に歯列の連続性が失われるため、前歯が広がる・犬歯や奥歯が倒れ込む・噛み合わせのバランスが崩れるなど、さまざまな変化が生じます。また、空隙部には食片が入りやすく、清掃性が低下することで歯肉炎・歯周病のリスクも高まります。
成長期に適切なスペース管理や矯正治療を行っていた場合、
● 前歯の隙間を防げる
● 歯の傾きやねじれを抑えられる
● 将来のインプラントやブリッジ治療が行いやすくなる
といった大きなメリットが得られます。
一方、成長期に治療介入がなかった場合は、空隙が大人になってから固定化しやすく、審美面・咬合面での問題が残ることがあります。
現在の状態に応じて、矯正によるスペース調整やインプラント・ブリッジ・部分義歯などの補綴治療を組み合わせることで、見た目と噛み合わせの両面から改善が可能です。なります。
🏥江戸川区篠崎で小臼歯欠損やすきっ歯の治療をご検討の方へ

下顎の小臼歯先天欠損によるすきっ歯や噛み合わせの乱れは、成長期の対応や大人になってからの治療方法によって大きく改善が可能です。江戸川区篠崎の当院では、矯正治療からインプラント・ブリッジまで、欠損部に合わせた最適な治療プランをご提案しています。歯並びや噛み合わせのご相談は、経験豊富な歯科医師が丁寧に診断し、一人ひとりに合わせてサポートいたします。気になる症状がある方は、お気軽にご相談ください。🦷✨
【動画】アデノイド顔貌
筆者・院長

深沢 一
Hajime FUKASAWA
- 登山
- ヨガ
メッセージ
日々進化する歯科医療に対応するため、毎月必ず各種セミナーへの受講を心がけております。
私達は、日々刻々と進歩する医学を、より良い形で患者様に御提供したいと考え、「各種 歯科学会」に所属すると共に、定期的に「院内勉強会」を行う等、常に現状に甘んずる事のないよう精進致しております。 又、医療で一番大切な事は、”心のある診療”と考え、スタッフと共に「患者様の立場に立った診療」を、心がけております。


