- 1. 美しさと機能を両立する審美歯科治療のご提案
- 1.1. 自費の審美修復
- 1.1.1. 白い被せ物 セラミック治療
- 1.1.2. 白い被せ物 ジルコニア治療
- 1.1.3. 白い詰め物 セラミック治療
- 1.1.4. 白い詰め物 ジルコニア治療
- 1.1.5. 削らずに歯の色を白くする
- 1.1.6. 歯茎の変色を治す
- 1.2. 保険の審美修復
- 1.2.1. 白い被せ物 レジン修復治療
- 1.2.2. 白い詰め物 レジン修復治療
- 1.3. 費用・ご希望を考慮した素材や治療法をご提案します
- 2. ホワイトニングで自然な明るさのある笑顔へ
- 2.1. Before / After でわかるホワイトニングの効果
- 2.1.1. ■ホワイトニング前(Before)
- 2.1.2. ■ホワイトニング後(After)
- 2.2. 🦷 ホワイトニングで得られるメリット
- 2.2.1. ● 清潔感のある明るい笑顔へ
- 2.2.2. ● ホワイトスポットが目立ちにくく
- 2.2.3. ● 歯を削らずに改善できる
- 2.2.4. ● 自分に合った白さを選べる
- 2.3. 🌿 当院のホワイトニングの特徴
- 2.3.1. ● 歯科医院ならではの安全性
- 2.3.2. ● 丁寧なカウンセリング
- 2.3.3. ● ホーム × オフィスで柔軟に対応
- 3. 重度の変色にも対応:ラミネートべニアで美しい歯へ
- 3.1. 当院で治療したテトラサイクリン変色歯
- 3.2. すきっ歯(正中離開)
- 4. 低侵襲治療で実現するホワイトスポットの審美修復
- 4.1. ホワイトスポットを自力で治す
- 4.2. Miペースト
- 4.3. フッ素入り歯磨き粉
- 4.4. 当院で治療したホワイトスポット
- 5. 変色した前歯の最適な治療法:オールセラミッククラウンのすすめ
- 5.1. 神経が死に前歯が変色
- 5.2. 根管治療の X 線像
- 5.3. ① ウォーキングブリーチで変色歯を治す
- 5.3.1. ウォーキングブリーチのデメリット
- 5.4. ② 当院でオールセラミッククラウンで治療した変色歯
- 6. ブラックマージンを解消!メタルフリーのセラミック治療のすすめ
- 6.1. 差し歯と歯茎の境目が黒く見える!
- 6.2. 当院で治療したブラックマージン
- 7. 差し歯の根元が黒くなる原因とメタルタトゥーの治療方法
- 7.1. メタルタトゥーの原因
- 7.2. メタルタトゥーの治療法
- 8. 「歯が白い!」と思われるA1・B1シェードの魅力とは?
- 8.1. 人から「歯白いな!」と思われるシェードはA1,B1
- 8.2. 歯の白さのレベルを見分けるシェードガイド
- 9. 黒ずんだ歯茎をピンクに!ガムピーリング治療のご紹介
- 9.1. 歯茎の色が黒くなる原因
- 9.2. 自分で治す方法
- 9.3. 当院で治療した黒い歯茎
- 9.3.1. フェノールアルコール法
- 10. 歯茎下がりの治療法:遊離歯肉移植術とコンポジットレジン充填の選択肢
- 10.1. 歯茎下がりのタイプ
- 10.2. 下がった歯茎を自力で戻す?
- 10.3. 歯茎下がりを歯科で戻す
- 10.4. 遊離歯肉移植術
- 10.5. ヒアルロン酸注入
- 10.6. コンポジットレジン充填
- 11. 江戸川区篠崎でメタルフリーの審美歯科治療をご希望の方へ
- 12. 審美歯科記事一覧
- 13. 【動画】ホワイトスポットをアイコンで治す
- 14. 筆者・院長
美しさと機能を両立する審美歯科治療のご提案

審美歯科とは歯や歯茎など口腔の調和のとれたトータルの美しさを追及する総合的な歯科治療のことを言います。江戸川区篠崎駅南口徒歩1分のふかさわ歯科クリニック篠崎では、審美的な問題を解決するだけでなく「歯周病や虫歯を治療する」「よく噛むことができる」といった機能的な側面をプラスし、出来るだけ天然歯を削らない低侵襲な審美修復治療のご提案に努めています。
上記写真は、歯、歯並びとも綺麗ですが、歯茎に弱い炎症があります。軽度の歯肉炎になっているので歯磨き指導と歯のクリーニングを提案いたしました。
セラミック・審美歯科治療では経験20年以上の歯科医師が各人の噛み合わせを考慮し、前歯や奥歯など治療部位にあった様々な素材や治療法で白い詰め物・被せ物を歯科技工士と協力して作製しております。患者様ご自身が口元に自信を持ち、笑顔で過ごせるような当院が実施している審美歯科のこだわりをご紹介致します。
自費の審美修復
白い被せ物 セラミック治療
| 種類 | 特徴 | 詳細ページ |
| メタルボンド | 内側を金属で作り外側にセラミックを焼き付けて作ります。審美性が高く強度があります。 | メタルボンド |
| オールセラミッククラウン | すべての素材をセラミックで作ります。審美性は極めて高いがやや強度に劣ります。 | オールセラミッククラウン |
| ラミネートベニア | 歯の表面を僅かに削ってセラミックのシェルを接着します。 | ラミネートベニア |
白い被せ物 ジルコニア治療
| 種類 | 特徴 | 詳細ページ |
| ジルコニアクラウン | ジルコニア単体で作るフルジルコニアクラウンとジルコニアの表面に セラミックを焼き付けるポーセレン焼き付けジルコニアクラウンの 2種類があります。 フルジルコニアクラウンは強度はありますが、審美性にやや劣ります。 ポーセレン焼き付けジルコニアクラウンは強度、審美性とも優れています。 | ジルコニアクラウン |
白い詰め物 セラミック治療
| 種類 | 特徴 | 詳細ページ |
| セラミックインレー | セラミックで作る詰め物です。審美性は優れていますが強度が劣ります。 | セラミックインレー |
| Eマックスインレー | ニケイ酸リチウムガラスと呼ばれる次世代のセミラック素材で作られる セラミックインレーです。やや強度に難があります。 |
白い詰め物 ジルコニア治療
| 種類 | 特徴 | 詳細ページ |
| ジルコニアインレー | 強度があります。審美性はセラミックインレーにはやや劣りますが、 近年改善してきています。 | ジルコニアインレー |
削らずに歯の色を白くする
歯茎の変色を治す
| 種類 | 特徴 | 詳細ページ |
| ブラックマージン | 被せ物の根元と歯茎の境界が黒く見える状態です。 治療は被せ物や土台のやり換えを行います。 | ブラックマージン |
| メタルタトゥー | 被せ物や差し歯の根元の歯茎が黒色に変色する症状です。 治療は被せ物や差し歯や土台のやり換えを行います。 | メタルタトゥー |
| 歯茎のメラニン色素沈着 | 歯茎のメラニン色素沈着の治療法はフェノールアルコール法が有効です。 子供の黒い歯茎は経過観察でOKです。 | 歯茎のメラニン色素沈着 |
| 歯茎下がり | 下がった歯茎の治療はコンポジットレジン充填か遊離歯肉移植術が 有効です。 | 歯茎下がり |
保険の審美修復
白い被せ物 レジン修復治療
| 種類 | 特徴 | 詳細ページ |
| 硬質レジン前装冠 | 内側を金属で作り外側に硬質レジンを盛り上げて。経年劣化するため変色します。 強度はがありますが硬質レジンが欠けやす欠点があります。 | 硬質レジン前装冠 |
| 高強度硬質レジンブリッジ | 5番欠損で4番・6番共に神経がなく、4本すべての7番が残存し咬合に関与している場合の ブリッジに限るという条件があります。 | 高強度硬質レジンブリッジ |
| CAD/CAM冠 | CAD/CAM冠(キャドキャム冠)は第二小臼歯まで無条件で適用できます。 大臼歯(6番、7番)には適用条件があります。 ハイブリッドレジと呼ばれる歯科用プラスチックにセラミックを混ぜた素材で作ります。 経年劣化するため変色します。強度が低いためやや割れやす傾向があります。 | CAD/CAM冠 |
白い詰め物 レジン修復治療
| 種類 | 特徴 | 詳細ページ |
| コンポジットレジン(CR) | コンポジットレジン(CR)は流動性のある素材を窩洞内に充填します。 強度はがありますが経年劣化するため変色します。 | コンポジットレジン(CR) |
| CAD/CAMインレー | CAD/ CAMインレーの素材であるハイブリッドレジンは、歯科用プラスチックである「レジン」にセラミック(陶器)の粉末を混ぜた複合材料です。 セラミックの含有量が限定されているため、完全なセラミックよりも硬度が低く、摩耗しやすいという特徴があります。 | CAD/CAMインレー |
費用・ご希望を考慮した素材や治療法をご提案します
当院では審美性や咬み合わせの回復に使用する素材・治療法には、保険適用から自由診療となるものまで幅広くご提案いたします。患者様一人ひとりのご希望や噛み合わせの状態を考慮して、適切な素材・治療法の中からベストな治療法をご提案致しますのでどうぞお気軽にご相談ください。
下記は審美治療の一部をまとめたものです。参考になさってください。詳細は各リンクから確認してください。
ホワイトニングで自然な明るさのある笑顔へ
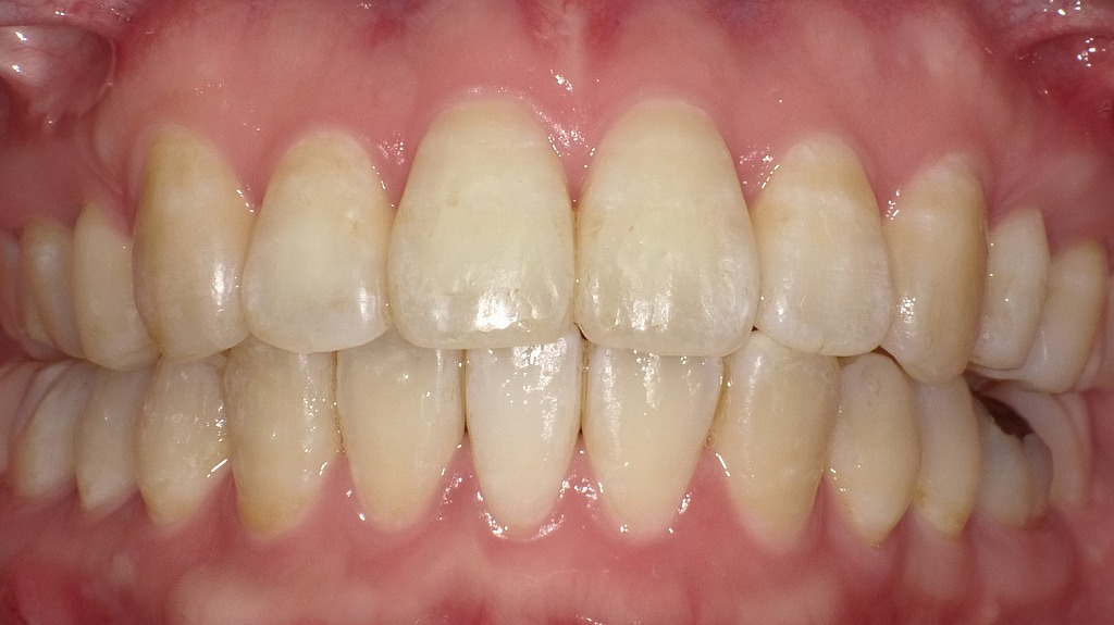
Before / After でわかるホワイトニングの効果


■ホワイトニング前(Before)
掲載画像:1枚目
ホワイトニング前は、歯の全体に黄ばみが見られ、透明感がやや失われています。また、エナメル質の一部には白く見える「ホワイトスポット(白斑)」があり、色ムラとして気になりやすい状態です。
飲食物による着色や年齢による変化で、誰にでも起こりうる自然な変化ですが、笑顔の印象に影響することがあります。
■ホワイトニング後(After)
掲載画像:2枚目
ホワイトニング後は、歯全体の白さと明るさが均一に整い、自然なツヤが出ています。気になっていたホワイトスポットも周囲の歯色となじみ、目立ちにくくなっています。
「不自然な白さ」ではなく、患者さまの歯質に合わせて透明感を活かしたナチュラルな白さに仕上がる点が、ホワイトニングの魅力です。
🦷 ホワイトニングで得られるメリット
● 清潔感のある明るい笑顔へ
歯の白さが整うことで、お顔全体の印象が大きく変わります。
● ホワイトスポットが目立ちにくく
色のコントラストがやわらぎ、白斑が自然に見えるようになります。
● 歯を削らずに改善できる
ホワイトニングは歯の表面を傷つけず、薬剤で内部から白くする治療です。
● 自分に合った白さを選べる
自然な白さからしっかり白くしたい方まで、段階的に調整可能です。
🌿 当院のホワイトニングの特徴
● 歯科医院ならではの安全性
歯科医師が事前にお口の状態をチェックし、最適な方法をご提案します。
● 丁寧なカウンセリング
白さの希望レベル・歯質・生活スタイルに合わせて、無理のないプランをご案内。
● ホーム × オフィスで柔軟に対応
ご自宅で行う「ホームホワイトニング」と、医院で短時間で白さを出す「オフィスホワイトニング」を組み合わせて、理想の白さを目指せます。
重度の変色にも対応:ラミネートべニアで美しい歯へ
当院ではテトラサイクリン変色歯の治療には長期間のホームホワイトニングを実施していただいております。変色度合いが激しくホームホワイトニングだけでは満足いく結果が得られない場合には、ラミネートべニアで最終的な審美修復を行っております。
当院で治療したテトラサイクリン変色歯

テトラサイクリン変色歯に効果的
ホームホワイトニング後のテトラサイクリン変色歯です。重度の場合にはホワイトニングでは十分な効果が得られないためラミネートべニアで治療を行ないます。

ラミネートべニア修復
上顎の犬歯から犬歯までをラミネートベニアをセメントで装着したところです。ラミネートベニアは歯の表面をわずかに削りますが、メリットでもありデメリットでもあります。
すきっ歯(正中離開)

すきっ歯(正中離開)をラミネートベニア修復
前歯のすきっ歯を治すのにラミネートベニアは最適です。矯正治療では治療期間が長くなりますがラミネートベニアなら2回で治療が終了できます。
低侵襲治療で実現するホワイトスポットの審美修復
当院ではホワイスポットの治療はほとんど削らない低侵襲の治療にこだわっています。そこで、歯科Icon®アイコンを採用し良好な結果を得ています。
ホワイトスポットを自力で治す

エナメル質形成不全症
写真は子供のエナメル質形成不全によるホワイトスポットです。
エナメル質の石灰化が不十分の場合に白く見える現象です。範囲が小さく浅い場合には自力で治すことが可能です。
また、子供の場合、徐々に薄くなっていくことが多いので、予後観察しても良いでしょう。
Miペースト

フッ素入り歯磨き粉

フッ素入り歯磨き粉で自力で治す
フッ素を積極的に使うことで歯の再石灰化を促します。写真は1450 ppm のフッ素が入った大人用の歯磨き粉です。
子供用には950 ppmのフッ素 入りのチェックアップフォームがおすすめです。
【Amazonで購入】
【楽天で購入】
当院で治療したホワイトスポット

Icon歯科アイコン
歯科Icon®アイコンは歯のホワイトスポットに低粘度の光重合レジン・インフィルトランを浸透させて歯質を強化する治療法で、費用は保険適用外。
メリット
メリットは歯を削らないので歯科麻酔の必要がありません。 安全性が高くエナメル質の強化が図られ耐酸性が向上します。
デメリット
C2以上の大きな虫歯には適応出来ません。経年的に変色が起こるリスクがあります。
治療中、歯肉損傷のリスクがあるためラバーダムの装着は必須です。
ホワイトスポットが深く広範囲に渡っている場合には完全な治癒ができないケースがあります。
変色した前歯の最適な治療法:オールセラミッククラウンのすすめ
当院では変色した前歯の治療には審美性が最も優れたオールセラミッククラウンでの治療を推奨しています。
神経が死に前歯が変色

根管治療後数年経過して変色
神経が死んだため神経を取り、根管治療を行い裏側からコンポジットレジンを詰める治療を行てから数年経った状態です。茶色に変色してしまっていますね。
根管治療の X 線像

根充の X 線像
矢印の2本の歯の根管の中が白い筋状に写っています。 これは根管治療が完了しガッタパーチャーポイントで根充した状態を示しています。
根尖病巣は出来ていません。従って、再根管治療を行なうことなく変色した前歯の治療ができます。
① ウォーキングブリーチで変色歯を治す
茶色に変色したままだと審美的に良くないので、根管内にホワイトニング剤を入れて漂白する治療がウォーキングブリーチと呼ばれるものです。
ウォーキングブリーチ法は、前歯を強く打ったりして神経が死んだ場合などに適用されることが多いです。なぜならば歯に実質的な欠損が全く起こっていないからです。上写真のケースは虫歯が原因でコンポジットレジンを詰めた症例ですが、こういった場合にはメタルボンドやオールセラミッククラウンなどで治療することが多いです。

ウォーキングブリーチの手順
STEP
歯の裏側に穴を開ける
変色した歯の裏側に穴を開け、コンポジットレジンを除去します。根管充填剤もある程度除去してホワイトニング剤を入れるスペースを作ります。
STEP
ホワイトニング剤を入れ仮封
ホワイトニング剤を入れ仮封剤で一時的に蓋をします。 この工程を歯が白くなるまで数回繰り返します。
STEP
裏側の穴をコンポジットレジン充填
歯が白くなったら裏側の穴を再びコンポジットレジンで封鎖します。
ウォーキングブリーチのデメリット
欠点
歯根が割れるリスク
ホワイトニング剤を根管内に入れて家に帰ってもらいますが、 その間に根管内の内圧が高まって歯根が破折してしまうリスクがあります。
欠点
再び変色するリスク
一旦白くなった歯も再び変色するリスクがあります。 ウォーキングブリーチ法は歯をあまり削らないメリットがありますが、これを繰り返すと歯にダメージを与え、歯の寿命を短くする結果となってしまいます。
② 当院でオールセラミッククラウンで治療した変色歯

変色した二本の前歯
前歯が二本の変色しています。根管治療後、内側からコンポジットレジンで穴を詰めたものです。

オールセラミッククラウンで治療
二本の変色歯にファイバーコア(土台)を立ててオールセラミッククラウンで治療した症例です。大変審美的に改善されています。
ブラックマージンを解消!メタルフリーのセラミック治療のすすめ
当院のブラックマージンの治療は原因となる金属をすべて外し、メタルフリーのセラミック治療を実施しています。
差し歯と歯茎の境目が黒く見える!
ブラックマージンとは、差し歯の根元と歯茎の境目に黒いラインが入ったように見えることを言います。原因はいくつかあるので下記に列挙しますので参考にしてください。

① 差し歯の歯茎下がりで金属部分が露出
差し歯の根元に金属が使われている場合があります。差し歯の歯茎が下がるとその金属が僅かに見えることで黒く見えて来ます。
② 黒く変色した歯根が露出
歯茎が下がり、黒く変色した歯根が露出することで差し歯の根元が黒く見えます。
歯根が黒く変色する理由は、神経がない歯に金属性のポスト(土台)を嵌め込む事で、金属イオンが溶出して歯根が変色します。
③ 虫歯で黒く変色
差し歯の根元部分の歯根が虫歯になり黒く変色して見えます。
当院で治療したブラックマージン

ブラックマージン
向かって左側の1番の差し歯の歯茎部分が黒くなっています。右側の一番もやや茶色く変色しています。 向かって左側の2番も差し歯の根元の歯茎部分が少しだけ黒くなっています。
歯茎も黒く変色したメタルタトゥーが出来ています。

オールセラミッククラウンで治療
人工歯と金属製のポスト(メタルコア)を外し、金属を使わないファイバーコアに変えて3本の前歯をオールセラミッククラウンで治療した症例です。
差し歯の根元の黒い部分のブラックマージンが消え、歯茎が黒く変色するメタルタトゥーもだいぶ改善しています。
差し歯の根元が黒くなる原因とメタルタトゥーの治療方法
差し歯の根元の歯茎が黒く変色する現象をメタルタトゥーと言います。まさに黒い刺青をしたかのように見えます。当院ではメタルタトゥーの原因となる金属を外し、ファイバーコアとオールセラミッククラウンでの審美治療を行っています。
メタルタトゥーの原因

① メタルコア(保険適用の銀合金)
差し歯を作る際、土台を作る必要があります。その土台が金属製のメタルコア(特に保険適用の銀合金)が使われている場合、金属から溶出するイオンが歯根に入り込み、さらに歯茎に流出してメタルタトゥーを作ります。
② 差し歯の内側の金属の溶出
差し歯の内側に使われている金属が低品質の卑金属が使われてる場合、前述したメタルコアと同様の現象が起こります。
メタルタトゥーの治療法

① ファイバーコアに交換
メタルタトゥーの最大の原因となっているメタルコアを外して、金属性ではないファイバーコアに変更します。
② オールセラミッククラウンに交換
金属を使わないオールセラミックかジルコニアクラウンを装着します。
メタルタトゥーが薄い場合には金属製のものを外すだけで自然と消えていきます。強いメタルタトゥーの場合には外科的切除やレーザーを使うこともあります。
「歯が白い!」と思われるA1・B1シェードの魅力とは?
人から「歯白いな!」と思われるシェードはA1,B1
シェード
日本人に多いAシェード
歯の色には A タイプ、 B タイプ、 C タイプ 、D タイプ の4種類があります。 日本人ではほとんどがAタイプです。
テトラサイクリン変色歯の場合には C タイプや D タイプといった人も稀に見受けられます。
シェード
ホワイトニングでは A1 、B1を目指す
ホワイトニングではA1やB1の白さを目指しますが、オールセラミッククラウンなどの被せ物治療では周りの歯に溶け込ませるように作成します。
シェード
シェードテイキング
歯科医院で歯の色合わせを行うことをシェードテイキングと言います。その際、シェードガイドを目的の歯の近くに持って行き、歯の色を判定しますが、周りの歯の色や光線(太陽光、蛍光灯、歯科用ライト)などの影響を受け、違った色に見えることがあります。
基本的には太陽光の下で見ると正しく判定できます。
歯の白さのレベルを見分けるシェードガイド

シェードガイドA1
シェードガイドA1と比較すると周りの歯はもっと濃いように見えます。

シェードガイドA1
シェードガイドA1と比較すると周りの歯はA3に近いように見えます。

シェードガイドA2
シェードガイドA2を上顎の歯に近づけた状態です。周りの歯の色はA2に近いように見えます。

シェードガイドA2
シェードガイドA2と比べると周りの歯はもっと白いように見えます。A1と言えますね。
シェードA1の歯は「かなり白い」という印象がありますね。

シェードガイドA3
シェードガイドA3と比べると周りの歯はほとんど同じように見えます。

シェードガイドA3
シェードガイドA3と比べると周りの歯はわずかに白いようにも見えます。A2とA3の中間といったところでしょうか。

シェードガイドA3.5
シェードガイドA3.5と比べると向かって左隣の歯はほぼ同じ色ですが、右側の犬歯はさらに濃い色をしていますね。A4くらいでしょうか。

シェードガイドA3.5
シェードガイドA3.5と比べると周りの歯はかなり白い印象をうけますね。
黒ずんだ歯茎をピンクに!ガムピーリング治療のご紹介
当院では歯茎のメラニン色素沈着による黒変症状をフェノールアルコール法によるガムピーリングを実施しています。
歯茎の色が黒くなる原因

① 長期間の喫煙
多くのケースはタバコを長期間吸い続けたことによるものです。
これは、タバコから出るニコチンやタールなどの有害物質から歯茎を守るため、メラニン色素を大量に作って防御しようとする内因性の反応です。
② 長期間の口呼吸
子供の歯茎が黒くなる原因として口呼吸が挙げられます。 口を開いているため紫外線など外からの刺激を受けやすくなります。歯茎を守ろうとする反応からメラニン色素が過剰に歯茎に沈着します。
③ 妊娠で女性ホルモンバランスが変化
妊娠すると女性ホルモンのエストロゲン(卵胞ホルモン)の量が増大します。
エストロゲンは色素細胞に作用しメラニン色素の生成を促進します。妊婦の乳輪が黒ずんでくるのもこの作用によるものです。
通常出産後は、エストロゲンの分泌が急激に低下するため歯茎の色は次第に改善します。
自分で治す方法
方法
禁煙
歯茎の色をピンク色にするにはメラニン色素沈着の原因を除去することです。喫煙者は禁煙することですね。
方法
受動喫煙防止
受動喫煙でも歯茎の色が悪くなることがあります。 子供がいる家庭ではタバコは吸わないことですね。
方法
口呼吸から鼻呼吸へ
子供の口呼吸の原因は様々あります。口呼吸から鼻呼吸へ変えるための方法の詳細はリンクを確認してください。
当院で治療した黒い歯茎
フェノールアルコール法

メラニン色素が沈着した黒い歯茎
軽度のメラニン色素沈着が歯茎に認められます。

術後
フェノールアルコール法によるガムピーリングは、色素沈着の程度によって回数が1回から3回と異なります。 写真の症例は1回のみの処置でピンク色の歯茎に変わっています。
歯茎下がりの治療法:遊離歯肉移植術とコンポジットレジン充填の選択肢
当院では歯茎下がりに対しては、症例に合わせコンポジットレジン充填(ダイレクトボンディング)か遊離歯肉移植術等を行っています。
歯茎下がりのタイプ

垂直性に歯茎が下がった症例
矢印の3本の歯が垂直的に歯茎が下がっています。

水平的に歯茎が下がった症例
特に下顎の前歯が歯茎が下がった状態になっているのが目立ちます。
下がった歯茎を自力で戻す?
対策
マッサージ
下がった歯茎をマッサージしても元には戻りません。歯茎のマッサージは歯茎を健康にする作用があるため、歯周病などで炎症がある場合などはさらに歯茎が下がります。
歯周病がある場合、歯茎が引き締まって下がるということです。
対策
歯磨き粉
歯磨き粉を使って一生懸命歯磨きしても下がった歯茎は元に戻りません。いかなる歯磨き粉の中にも歯茎を戻す作用のある成分は入っていないからです。
対策
市販薬
薬効成分には歯茎の組織修復機能、抗炎症作用、血行促進作用、殺菌作用、止血作用などが入った医薬品はありますが、それらの成分によって、下がった歯茎を元に戻すことはほぼ不可能です。
歯茎下がりを歯科で戻す
遊離歯肉移植術

術式
垂直性に歯茎が下がった症例のみに適用できる術式です。口蓋(上顎の粘膜)から短冊状に薄く粘膜を切り取ります。それを歯茎が下がった部位に移植し、数箇所を縫合して固定します。
薄く切り取られた口蓋粘膜は自然治癒するので心配ありません。
デメリット
下がった歯茎を遊離歯肉移植術で戻す治療法では、長い接合上皮が歯根表面に付着する上皮性付着という治癒形式で治ります。
上皮性付着は剥がれやすい性質があり、人工的な歯周ポケットを作ってしまうリスクがあります。また、手術後に上皮性付着を獲得できない場合もあります。 これらの様な場合には再び歯茎がさらに下がってしまうリスクがあります。
審美的な回復目的なので遊離歯肉移植術は保険適用外です。
ヒアルロン酸注入

術式
治療の対象になるのは歯茎の三角形状の隙間(ブラックトライアングル)ができている場合に限られます。歯茎にヒアルロン酸を注入することで歯茎を膨らませるイメージです。
デメリット
ブラックトライアングルが大きすぎると十分歯茎を満たせないため適用にはなりません。つまり、ほんの小さなブラックトライアングルしか治せないということです。
さらに、ヒアルロン酸は自然吸収されるので半年から1年で再注入が必要になります。
また、人工的な歯周ポケットを作ってしまいます。完全なプラークコントロールが出来ない方は、歯周病を誘発しかねないリスクがあります。
費用対効果の面からも当院ではお勧めしておりません。
コンポジットレジン充填

術式
ヒアルロン酸注入と同様、ブラックトライアングルができた所のみ適用できます。
少し歯を横に張り出すような形でコンポジットレジンを充填します。
デメリット
歯茎からの立ち上がりの部分を移行的に仕上げるのが難しいため、上手にやらないと歯垢が溜まりやすくなってしまいます。
経年的にコンポジットレジンは劣化するため変色するリスクがあります。
また、人工的な歯周ポケットを作ってしまいます。完全なプラークコントロールが出来ない方は、歯周病を誘発しかねないリスクがあります。
江戸川区篠崎でメタルフリーの審美歯科治療をご希望の方へ

\
いつでも
お気軽にご相談ください
/
ふかさわ歯科クリニック篠崎では、金属アレルギーの原因ともなる金属の使用を極力抑えたメタルフリー審美治療に努めております。見た目はもちろんですが、機能性や適合性にも留意した審美修復治療を実施しております。天然歯を出来るだけ削らない低侵襲処置(ミニマルインターベーション)を基本とし、長期維持を追求したつめ物・かぶせ物治療に努めております。江戸川区篠崎で、以前治療したつめ物・かぶせ物の劣化による変色、銀歯、歯茎の色が気になる等の方はぜひ、精度の高い審美歯科治療をご提案いたしますので、当院までお気軽にご相談下さい。
審美歯科記事一覧
【動画】ホワイトスポットをアイコンで治す
筆者・院長

深沢 一
Hajime FUKASAWA
- 登山
- ヨガ
メッセージ
日々進化する歯科医療に対応するため、毎月必ず各種セミナーへの受講を心がけております。
私達は、日々刻々と進歩する医学を、より良い形で患者様に御提供したいと考え、「各種 歯科学会」に所属すると共に、定期的に「院内勉強会」を行う等、常に現状に甘んずる事のないよう精進致しております。 又、医療で一番大切な事は、”心のある診療”と考え、スタッフと共に「患者様の立場に立った診療」を、心がけております。
















