- 1. 【📹 33秒】保険適用で白い歯に!硬質レジン前装冠の利点・欠点
- 2. 🦷 硬質レジン前装冠とは?保険で白い前歯を手に入れる選択肢
- 2.1. 🧾 保険適用の範囲
- 2.2. 👁 見た目はどうなの?自然だけど注意点も…
- 2.3. ✅ メリットまとめ
- 2.4. ⚠️ デメリットもチェック!
- 2.5. ⏳ 寿命の目安は?
- 2.6. 🪥 お手入れとメンテナンス方法
- 2.6.1. 1. 正しいケア方法
- 2.6.2. 2. 定期的な歯科検診の重要性
- 2.7. 📊 他素材との比較(簡易表)
- 3. 硬質レジン前装冠の費用
- 3.1. 保険診療
- 4. 江戸川区篠崎で硬質レジン前装冠・保険適用の白い被せ物をご希望の方へ
- 5. 筆者・院長

🦷 保険で白い歯に!硬質レジン前装冠とは?メリット・デメリットをわかりやすく解説
「前歯を白くしたいけど、自費治療は高そう…」そんなお悩みはありませんか?✨
硬質レジン前装冠は、保険適用で白い被せ物ができる治療法として、多くの患者さまに選ばれています。自然な見た目と十分な強度を兼ね備えており、前歯の審美性を手頃な価格で改善したい方にぴったりです。
ただし、⏳変色やすり減りといった注意点もあるため、治療前にしっかりと特徴を知っておくことが大切です。
この記事では、硬質レジン前装冠の仕組みや保険適用範囲、実際の見た目・寿命・費用、さらに後悔しないためのメンテナンス方法まで、患者目線でわかりやすく解説しています。
👀「保険でできる白い歯治療」をお探しの方は、ぜひ最後までご覧ください!
【📹 33秒】保険適用で白い歯に!硬質レジン前装冠の利点・欠点
🦷 硬質レジン前装冠とは?保険で白い前歯を手に入れる選択肢
「保険で白い歯にしたい…」そんな方におすすめなのが硬質レジン前装冠です。これは、金属のフレームにプラスチック素材(硬質レジン)をかぶせた被せ物で、見た目と機能性のバランスに優れた治療法です


🧾 保険適用の範囲
保険で硬質レジン前装冠を使えるのは、上下の前歯と犬歯(3番)まで。つまり、上6本・下6本の計12本が対象です。🦷
前歯のブリッジ治療にも使用されており、「見た目を気にするけど費用も抑えたい」という方には理想的です。
👁 見た目はどうなの?自然だけど注意点も…

📸硬質レジン前装冠正面観
右上顎2番から左3番と右下顎3番から1番までに硬質レジン前装冠が装着されています。(矢印の歯)
着色が顕著で破折部も見られます。
硬質レジン前装冠は白い見た目で、前歯の審美性をある程度再現できますが、時間が経つと変色や摩耗が目立つことも。
特に、コーヒー・紅茶・喫煙の習慣がある方は要注意です☕🚬

📸硬質レジン前装冠咬合面観
同症例の上顎咬合面観です。矢印間が硬質レジン前装冠です。内側は金属で出来ています。
✅ メリットまとめ
✨ 保険で安く白い歯にできる
👉 約7,000円で前歯の審美治療が可能!
🎨 ある程度の色合わせができる
👉 隣の歯の色に近づけられるので自然な仕上がり。
💪 強度が高い
👉 金属フレームを使っているため、噛む力にも対応。
🔧 修理しやすい
👉 欠けても比較的簡単に補修できる。
⚠️ デメリットもチェック!
欠点
1
🎨 変色・着色しやすい
写真は硬質レジン前装冠が4歯に装着されています。(矢印)
プラスチック素材である硬質レジン部分は、吸水性があるため色素を取り込んで時間の経過とともに変色しやすいという特徴があります。 特に、コーヒーや紅茶、喫煙などの習慣がある方は、変色が顕著です。

欠点
2
💥 破折のリスク
硬質レジン部分の強度が低いため、咀嚼により破折することがあります。写真は破折して金属が露出したものです。コンポジットレジンで修理は出来ますが、審美的に満足できるまでの修復は難しいのが現実です。

欠点
3
🌀 摩耗しやすい
硬質レジンは耐摩耗性が低いため表面がすり減って艶が無くなります。のっぺりとした見た目になります。
歯茎が黒く変色するメタルタトゥーが認められますが、保険のメタルコアが原因と考えられます。

⏳ 寿命の目安は?
🗓 レジン部分の変色・劣化は2〜3年程度で目立ち始めますが、内部の金属は丈夫なため、平均寿命は7年前後とされています。定期的なメンテナンスで、より長く快適に使えます。


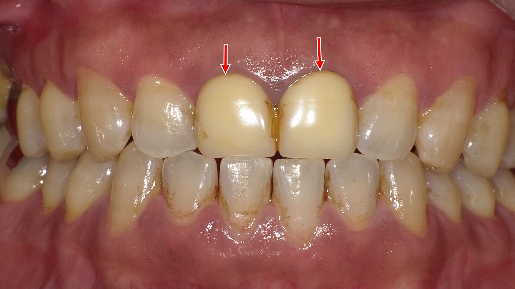
上顎左右1番に装着された硬質レジン前装冠です。長期使用により、前装部の黄ばみ(変色)と表面の摩耗が認められます。硬質レジンは保険適用で広く用いられますが、時間の経過とともに着色しやすく、艶が失われるという特性があります。審美性の低下や周囲歯との色調不調和が生じた場合は、再製作やセラミック冠への変更を検討することがあります。
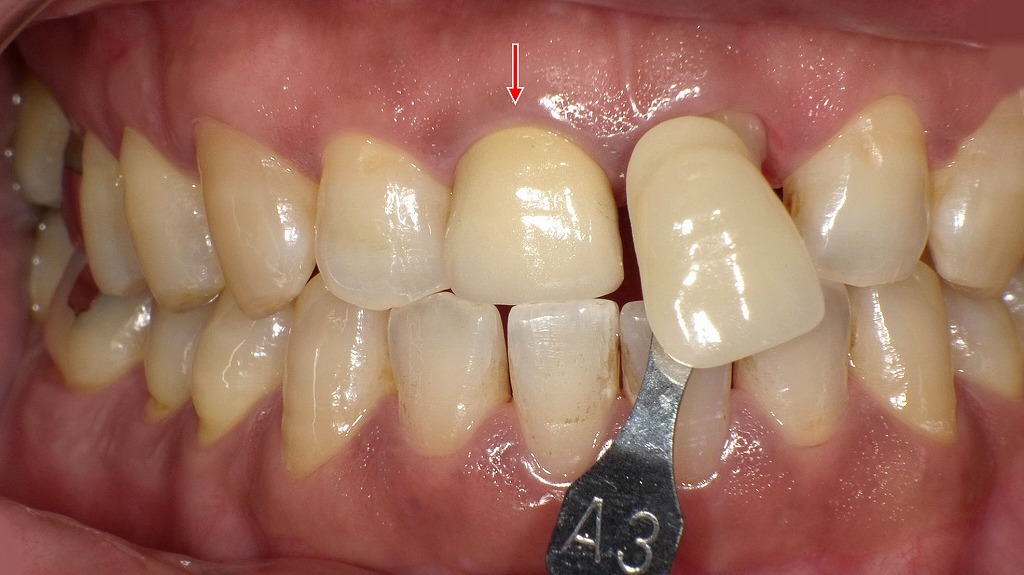
右上1番にはオールセラミッククラウンを装着し、自然な透明感と周囲歯との調和を回復しています。一方、左上1番は修復前のシェードテイキングを行っている段階で、隣在歯や対合歯の色調を確認しながら、最適な色味を選択しています。左右の色調差を最小限に抑えるため、精密なシェード選択が審美修復の仕上がりを左右する重要な工程となります。
🪥 お手入れとメンテナンス方法

硬質レジン前装冠は保険適用で利用できる便利な治療法ですが、快適に過ごすためには適切なケアが必要です。以下、具体的なケア方法やメンテナンスのポイントを解説します。
1. 正しいケア方法
①ブラッシング
- 硬質レジン前の装着冠は、プラスチック部分が摩耗しやすいため、毎日のブラッシングが非常に重要です。
- 柔らかめの歯ブラシを使用し、疲れに強い力をかけないように注意してください。 特に、レジン部分は摩擦による傷がつきやすいので優しく磨くことが大切です。
- フッ素配合の歯磨き粉を使用することで、虫歯予防の効果を高めることができますが、研磨剤が強い歯磨き粉は避けてください。 研磨剤はレジン部分の表面の艶を消し、変色や劣化を早める可能性があります。
② フロスの使用
- 歯と歯の間に汚れが溜まると、硬質レジン前装冠の変色や虫歯の原因になります。デンタルフロスや歯間ブラシを毎日使用し、歯間の清掃を行いましょう。
2. 定期的な歯科検診の重要性
硬質レジン前装冠を長く快適に過ごすためには、定期的な歯科検診が重要です。
- 検診頻度
3~6か月に一度の定期検診を受けることで、クラウンや周囲の歯茎の状態をチェックできます。 特に硬質レジン前装冠は経年劣化しやすいので、早期発見と対応が重要です。 - 検査内容
- 硬質レジン部分の摩耗や変色の確認
- 噛み合わせのチェック(冠が歯や顎に過剰な負担をかけていないか)
- 歯石やプラークの除去(プロフェッショナルケア)
📊 他素材との比較(簡易表)
| 特徴 | 硬質レジン前装冠 | メタルボンド | オールセラミッククラウン |
| 素材 | 金属フレーム+レジン(プラスチック) | 金属フレーム+セラミッック | セラミックのみ |
| 審美性 | 自然な見た目だが変色しやすい | 非常に自然な見ため | 非常に自然で透明感がある |
| 耐久性 | 中程度(摩耗や亀裂の可能性あり) | 高い(セラミックが割れる場合あり) | 非常に高い |
| 費用 | 約¥7,000(保険適用) | ¥115,500(税抜き ¥105,000) | ¥132,000(税抜き ¥120,000) |
| 保険適用 | 適用 | 適用外 | 適用外 |
| 金属アレルギーのリスク | あり | あり | なし |
硬質レジン前装冠の費用
保険診療
保険適用です。
| 内容 | 保険点数 | |
|---|---|---|
| 硬質レジン前装冠 | 金属は金パラ | 2340点 |
※ さらに、初診料、再診料、指導料などがかかる場合があります。※保険点数は改定で変更になる場合があります。
江戸川区篠崎で硬質レジン前装冠・保険適用の白い被せ物をご希望の方へ

硬質レジン前装冠は、特に前歯や見えやすい場所の修復に適しています。保険適用が可能なため、経済的にも比較的負担が少なく、自然な笑顔を取り戻すことができます。
硬質レジン前装冠に関心がある方、または治療について詳しく知りたい方は、ぜひお気軽に当院までご相談ください。患者様一人ひとりに合わせた最適な治療をご提案させていただきます。
筆者・院長

深沢 一
Hajime FUKASAWA
- 登山
- ヨガ
メッセージ
日々進化する歯科医療に対応するため、毎月必ず各種セミナーへの受講を心がけております。
私達は、日々刻々と進歩する医学を、より良い形で患者様に御提供したいと考え、「各種 歯科学会」に所属すると共に、定期的に「院内勉強会」を行う等、常に現状に甘んずる事のないよう精進致しております。 又、医療で一番大切な事は、”心のある診療”と考え、スタッフと共に「患者様の立場に立った診療」を、心がけております。


