- 1. 初期虫歯から重度まで、当院のMI治療と再発予防
- 2. 初期虫歯COを見逃さない!白濁から茶色への変色をチェック
- 2.1. 初期虫歯の見分け方と治療方法
- 2.2. 初期虫歯COの処置方法
- 3. 初期虫歯を自力で治す!プラークコントロールとフッ素の活用法
- 3.1. 初期虫歯COを自力で治す方法
- 3.2. 虫歯COの特徴と予防
- 3.3. MIペースト
- 3.4. キシリトールガム100%
- 4. 虫歯C1をセルフケアで治す!再石灰化の重要性とポイント
- 4.1. 虫歯C1の進行と注意点
- 4.2. 虫歯C1の進行速度
- 4.3. 虫歯C1の再石灰化と注意点
- 4.3.1. 注意点
- 5. 削る量を最小限に!虫歯C2の低侵襲治療
- 5.1. 極力削らないC2虫歯の低侵襲治療をこころがています
- 5.2. 虫歯C2の見た目
- 5.2.1. 穴が空いていない虫歯C2
- 5.2.2. 穴が空いている虫歯C2
- 5.3. 歯髄を守る虫歯C2の最適治療
- 5.4. 象牙質に進行した虫歯C2:早期発見と迅速な治療の重要性
- 6. 虫歯C3の精密根管治療と垂直根充法で歯を守る
- 6.1. 虫歯C3の治療:精密な根管治療と垂直根充法の採用
- 6.2. C3虫歯の症状と歯髄炎の前兆
- 6.3. C3虫歯の見た目
- 6.4. 自分でできる歯髄炎の応急処置
- 6.4.1. 1. 冷たいものを避ける
- 6.4.2. 2. 正露丸を虫歯の穴に詰める
- 6.4.3. 3. 市販の痛み止めを使用する
- 6.4.4. 4. 口腔衛生を保つ
- 6.4.5. 5. 冷湿布をあてる
- 6.4.6. 6. 柔らかい食事を摂る
- 6.4.7. 注意事項
- 6.5. 神経を抜いた歯のリスク:歯根破折と歯根嚢胞の可能性
- 6.5.1. 神経を抜いた歯の弱点
- 6.5.2. 歯根嚢胞とフィステルの関係
- 6.5.3. 歯根嚢胞の原因と治療法
- 6.5.4. 歯根端切除術と歯根嚢胞摘出術で抜歯回避
- 7. 虫歯C4の抜歯回避!エクストルージョン法と外科的挺出法の活用
- 7.1. 虫歯C4の抜歯回避を目指して
- 7.1.1. エクストルージョン法と外科的挺出法で抜歯を回避
- 7.1.2. 虫歯C4 残根の見た目
- 8. 10年以上放置された重度の虫歯を救う治療法とは
- 8.1. 虫歯や歯周病を10年以上放置した症例
- 8.2. 治療後
- 8.3. 虫歯を放置する起こる病気について
- 9. 虫歯記事一覧
- 10. 【動画】エアフロー
- 11. 筆者・院長
初期虫歯から重度まで、当院のMI治療と再発予防

医療法人社団スマイル会・ふかさわ歯科クリニック篠崎では、虫歯予防を最優先に考え、患者様に様々な方法をお伝えしています。仮に虫歯になった場合でも、天然歯の保存にこだわり、極力歯を抜かない・できるだけ削らない治療(MI)を行っています。ミニマル・インターベンション(MI)の導入により、虫歯の再発予防も効率的に行えるようになりました。
初期虫歯であれば、削らずに自然治癒させることも可能です。また、虫歯の治療時の痛みを緩和し、患者様の精神的負担を減らす治療を提案しています。
歯磨きをしっかり行い、定期的に歯科でクリーニングを受けても虫歯を止められないほどミュータンス菌が多い場合には、除菌療法(3DS)をお勧めしています。
健康な歯を傷つけない保存治療のため、初期虫歯から重度の虫歯まで、江戸川区篠崎駅前の当院で行っている治療方法をご紹介します。
初期虫歯COを見逃さない!白濁から茶色への変色をチェック
初期虫歯の見分け方と治療方法
初期虫歯はCO(シーオー)または要観察歯と呼ばれ、削って詰める治療は行いません。
初期虫歯の見分け方としては、まず歯が白濁することが挙げられます。その後、白濁した部分が黄色から茶色に変色していきます。黒い点が見られる段階ではまだ大丈夫ですが、小さな穴が開き始めると虫歯C1の可能性があります。

白く変色した初期虫歯CO
この画像は、前歯に初期の虫歯が複数見られる状態を示しています。矢印で示された部分は、エナメル質に白く不透明な斑点が見えることから、虫歯が進行している可能性が高いです。これは「ホワイトスポット」と呼ばれる初期虫歯の兆候で、適切な治療を受けることで進行を防ぐことができます。
この段階では、通常の虫歯治療よりも簡単な処置で対応できることが多いです。例えば、フッ素塗布や歯磨き指導、食事の見直しなどが推奨される場合があります。
ふかさわ歯科クリニック篠崎では、初期虫歯の早期発見と予防を重視しており、患者様一人ひとりに最適な治療プランを提供しています。気になる症状がある場合は、早めにご相談いただくことをお勧めします。

白濁がやや強くなり黄色から茶色に変色
この画像は、側面から見た歯列で、複数の虫歯が確認できる状態を示しています。
- 赤い矢印: これらの矢印が示す部分は、初期虫歯です。エナメル質が白濁し、COと診断できます。
- 青い矢印: これらの矢印が示す部分は、歯の表面に茶色や黒の着色が見られ、虫歯がやや進行した箇所です。
このような状態では、虫歯治療とともに、歯のクリーニングが必要です。放置すると虫歯の進行や歯周病の悪化を招く可能性があります。
ふかさわ歯科クリニック篠崎では、エアフローによる丁寧なクリーニングと治療を行い、口腔内の健康を回復させるお手伝いをしています。気になる症状がある場合は、早めにご相談いただくことをお勧めします。
初期虫歯COの処置方法
当院では、初期虫歯COの処置は削って詰める治療ではなく、再石灰化により自然治癒を促進する処置を行います。以下に具体的な処置法を説明いたします。
Method
ダイアグノデントペンで虫歯の進行度検査
ダイアグノデントペンは、低出力の半導体レーザーを初期虫歯に照射して蛍光反射を測定し、虫歯の進行度を数値化する光学式う蝕検出装置です。
ダイアグノデントペンの測定結果が00〜12の場合、初期虫歯COと判定します。

Method
フッ素塗布
フッ素塗布により初期虫歯の再石灰化を促進させます。毎月行うのが効果的です。当院は「か強診」認定歯科医院であるため、保険診療で大人も子供も毎月フッ素塗布が可能です。
江戸川区在住の子どもの方は、無料でフッ素塗布を行うことができます。

Method
歯磨き指導(TBI)
歯科衛生士が歯垢染め出し液を使って磨き残しをチェックします。個々の年齢や状態に応じて、スクラッピング法、バス法、つまようじ法、フォーンズ法の中から最適な歯磨き法を指導いたします。

Method
歯のクリーニング
歯のクリーニングによって、虫歯菌の塊である頑固なバイオフィルムを破壊し、症状の悪化を防止します。当院では、エアフローという器具を使用して効果的にバイオフィルムを除去しています。

初期虫歯を自力で治す!プラークコントロールとフッ素の活用法
初期虫歯COを自力で治す方法
- 初期虫歯COを自力で治すための基本
- 初期虫歯COを自力で治すための基本はプラークコントロールです。歯垢を残さないようにしっかりと歯磨きを行わなければ、再石灰化は起こりません。
磨き残しがないかを歯垢染め出し液を使って確かめてください。そして、正しい歯磨きの仕方を学習し、実践することが重要です。

- 再石灰化を促進するフッ素入り歯磨き粉、MIペースト、キシリトールガム
- 完全に歯垢を除去したら、フッ素入り歯磨き粉、MIペースト、キシリトールガムなどを使って再石灰化を促進させます。つまり、初期虫歯を自然治癒させるということです。

虫歯COの特徴と予防
フッ素入り歯磨き粉
虫歯COは、エナメル質が酸によって溶け出し、石灰化が不十分になり白く見える現象です。
15歳以上の方には、フッ素濃度1450ppmの歯磨き粉をお勧めします。
ここでは虫歯予防という視点からチェックアップスタンダードを取り上げましたが、知覚過敏防止用や歯のホワイトニングを目的にした歯磨き粉もあります。各自のニーズに合わせて使用してみると良いでしょう。
【Amazonで購入】
【楽天で購入】
MIペースト

MIペーストによる再石灰化促進
MIペーストは、牛乳由来の再石灰化を促進する成分が含まれており、初期虫歯による白濁に有効です。ただし、先天的なホワイトスポットやエナメル質形成不全には、効果は限定的です。
範囲が小さく浅い場合には、自力で治すことが可能です。
注意点として、牛乳にアレルギーがある方は使用を禁じています。
最も効果的な方法として、イラストのように歯列にぴったりと合ったマウスピースを作り、その中にMIペーストを入れ、口腔内に30分間保持する方法があります。これを数ヶ月間繰り返すことで、虫歯C1が再石灰化され、自力で治すことができる場合があります。
【Amazonで購入】
【楽天で購入】
キシリトールガム100%
キシリトールの効果と摂取方法
キシリトールは、歯を再石灰化させる効果と、虫歯菌の中でも最も問題の大きいミュータンス菌を減少させる力を持っています。
キシリトールを効率よく摂取するには、キシリトールガム100%が最も効果的です。キシリトールを含む歯磨き粉もありますが、その濃度は低すぎるため、大きな効果は期待できません。
キシリトールガムには100%以外にも50%含有のものも販売されていますが、あまりお勧めできません。100%のキシリトールガムを1日5粒を目安に、一粒ずつ時間を分けて噛むようにしてください。
【Amazonで購入】
【楽天で購入】
虫歯C1をセルフケアで治す!再石灰化の重要性とポイント
虫歯C1の治療法は、虫歯COとほぼ同じです。再石灰化を促進するための処置とセルフケアが重要です。以下にその方法を再度確認します。
- 再石灰化の促進:
- フッ素入り歯磨き粉、MIペースト、キシリトールガムなどを使用して再石灰化を促します。
- プラークコントロール:
- 歯垢を完全に除去することが重要です。歯垢染め出し液を使って磨き残しがないかを確認し、正しい歯磨き方法を実践します。
- キシリトールガム:
- キシリトールガム100%を1日5粒を目安に、一粒ずつ時間を分けて噛みます。
セルフケアが重要であることは変わりありませんので、日々の口腔ケアを徹底して行うことが、虫歯の進行を防ぐ鍵となります。
虫歯C1の進行と注意点
虫歯C1では、多くのケースで茶色だった部分が次第に黒くなります。また、小さな穴が開き始めます。注意しなければならないのは、見た目には小さな穴に見えても、実際には内部で大きくなっている場合があることです。この場合、虫歯はC2に進行してしまっています。
セルフケアに加えて、定期的な歯科検診を受けることで、虫歯の早期発見と適切な治療を行うことが重要です。

虫歯C1の見た目 症例1
矢印で示した3本の歯にC1が認められます。 黒く変色し小さな穴も見られます。
また2本の歯にC2があります。写真では分かりづらいですが、よく見ると穴の深さに違いがあるのがわかります。

虫歯C1の見た目 症例2
インレーの形成時、隣の歯( 下顎第二小臼歯)の歯の間にC1が認められました。
通常は外から見ても確認できない場所にC1の虫歯ができています。
虫歯C1の進行速度
虫歯C1が虫歯C2への進行速度
適切な生活習慣があれば、虫歯がC1の状態のままで一生C2になることはない可能性もあります。つまり、虫歯のC1からC2への進行速度には個人差が大きいということです。
適切な生活習慣のポイント
- 正しい歯磨き:
- 毎日の適切な歯磨きで歯垢をしっかりと除去する。
- フッ素の利用:
- フッ素入り歯磨き粉やフッ素塗布を定期的に行う。
- 食生活の改善:
- 糖分の摂取を控え、バランスの取れた食事を心がける。
- 定期的な歯科検診:
- 定期的に歯科医院で検診を受け、早期発見・早期治療を行う。
- キシリトールガムの利用:
- キシリトールガム100%を1日5粒を目安に噛み、再石灰化を促進する。
これらの習慣を維持することで、C1の虫歯がC2に進行するリスクを大幅に減らすことができます。
虫歯C1の再石灰化と注意点
注意点
- 虫歯がC2に進行している場合:
- 自然治癒は期待できませんので、歯医者を受診してください。
- 正確な診断の重要性:
- 虫歯の進行がCO、C1、C2のどれにあたるかを自分で正確に診断することは難しいため、まずは歯科で確定診断を受けてから自然治癒を目指してください。
虫歯C1は削って詰めるか再石灰化し自力で治す?についての詳細は↓をクリック。
削る量を最小限に!虫歯C2の低侵襲治療
虫歯C2の治療には、虫歯部分を削って詰めることが必要です。当院では、ミニマル・インターベーション(MI)の概念に基づき、虫歯部分のみを最小限に除去し、健全な歯質を可能な限り温存する治療法を採用しています。治療には、歯と同じ色調の高分子化合物(コンポジットレジンなど)を使用して修復します。この方法では、1回の治療で完了し、高額な費用もかかりません。さらに、フッ素を含有する材質が開発されており、虫歯予防効果が高まっています。
虫歯C2は神経に近いため、削る際に痛みが生じることがあります。そのため、当院では麻酔を使用し、可能な限り痛みの少ない治療を心がけています。
極力削らないC2虫歯の低侵襲治療をこころがています
Method
拡大鏡精密治療
拡大鏡を用いることで、虫歯部分を数倍に拡大して見ることができ、健全な歯質と感染した歯質の境界を目視で確認することができます。これにより、削り残しや削り過ぎを防止できます。
さらに、虫歯の見落としも防げるため、二次カリエスのリスクが格段に下がります。また、早期発見と早期治療が可能となり、虫歯を小さい段階で処置することができます。

Method
スプーンエキスカベーターを使用
当院では、虫歯部分を健全な歯質の近くまではドリルで削りますが、健康な歯質を保存するために、最終仕上げにはスプーンエキスカベーターという手動の切削器具を使用しています。この方法により、より精密な処置を心がけております。

Method
ダイレクトボンディング:歯を守り、即日完了する精密治療法
虫歯の大きさや形態にもよりますが、当院では歯を削った部分の詰め物にはダイレクトボンディング(コンポジットレジン)による直接修復を心がけています。ダイレクトボンディングは、歯の切削範囲を最小限に抑えることができるため、健康な歯質を多く残すことができます。
また、歯型取りを行い技工士が作成する工程が必要ないため、当日に治療が完了することも特徴です。ただし、大臼歯や小臼歯の隣接面には適応できないことがあります。

虫歯C2の見た目
穴が空いていない虫歯C2
虫歯C2の見た目は、明確な穴が空いていないため、表面上は目立ちにくいことがあります。具体的には、歯の表面に小さな白斑や茶色の変色が見られることがあり、触っても凹凸を感じにくい場合が多いです。歯のエナメル質の内部で進行しているため、外見上は大きな穴や崩れがなくても、内部では虫歯が進行していることがあります。定期的な検診と適切な診断が重要です。

穴が空いていない虫歯C2 症例1
上顎1番の2本にC2の虫歯が認められます。穴を直接見ることはできませんが、歯の間から小さな穴が出来ていると思われます。 エナメル質を通して象牙質が黒くなっているのが透けて見えています。
また、多くの歯に初期虫歯COも見られます。
治療法
治療はダイレクトボンディング(コンポジットレジン)充填します。 保険適用です。

穴が空いていない虫歯C2 症例2
下顎の5番と6番の歯の間からC2の虫歯ができています。
治療法
治療は手前の第二小臼歯はダイレクトボンディング(コンポジットレジン)で充填できますが、第一大臼歯はメタルインレーを一旦除去し、さらに大きなメタルインレーにします。
審美性の高い白い歯で作る場合には、保険適用のCRインレーか保険適用外のセラミックインレーで作ります。
穴が空いている虫歯C2
穴が空いている虫歯C2は、視覚的にも明確に認識できる段階に達しています。具体的には、歯の表面に小さな穴や窪みが見られ、触るとザラザラした感触がある場合があります。この穴は、エナメル質が溶けて内部の象牙質まで達した状態を意味します。放置するとさらに進行し、痛みや感染のリスクが高まりますので、早期の治療が必要です。

穴が空いている虫歯C2 症例1
上顎の3番と4番の歯の間からできたC2の虫歯です。2本とも大きな穴が開いています。このように穴が開けば自分自身でも虫歯であることは、はっきりしますね。
治療法
3番はダイレクトボンディング(コンポジットレジン)で充填しますが、4番は保険適用の治療ならメタルインレーか CR インレーです。強度が強いセラミックインレーなら保険適用外です。

穴が空いている虫歯C2 症例2
上顎の1番と2番の歯の間からできたC2の虫歯です。前歯なので鏡で見れば穴が開いているのがはっきり見れますね。
治療法
保険適用のダイレクトボンディング(コンポジットレジン)で充填します。
歯髄を守る虫歯C2の最適治療
歯髄近くまで進行したC2の虫歯では、歯髄(神経)を保護する処置が必要です。単に詰め物をするだけでは、術後に冷たいものや熱いものがしみてしまう可能性があります。そのため、当院では特殊な材料であるMTAセメントを使用し、歯髄を保護する処置を行っています。この方法により、歯の神経を守り、術後の不快感を軽減します。
Method
MTAセメントによる保護処置
MTAセメントは殺菌効果が高いため、象牙細管に残った細菌を死滅させる効果があります。当院では、MTAセメントを用いて神経を保護する覆髄処置を実施し、神経の保存を試みています。
しかし、治療前に熱いものや冷たいものに強くしみていた場合は、MTAセメントを使用しても神経を残すことができない可能性があります。また、治療後に咬合痛や自発痛が生じた場合は、神経を取る必要があります。


インレーを外すと中に深い虫歯C2
黒く変色した虫歯を削っていくと歯髄(神経)近くまで到達しました。

歯髄保護
画像のようにC2の深い虫歯は特殊な材料を使って歯髄保護を行います。形態を整えてから型取りを行います。
象牙質に進行した虫歯C2:早期発見と迅速な治療の重要性

虫歯C2が虫歯C3への進行速度
象牙質まで進行した虫歯C2は自然治癒しません。また、その進行速度はエナメル質にとどまる虫歯(COやC1)に比べて遥かに速い特徴があります。
虫歯の進行スピードは様々な条件によって異なるため、一概に何ヶ月や何年で進行するとは言えません。しかし、冷たいものにしみるようになったら、歯髄までの進行がかなり進んでいる証拠です。早めの治療が必要です。
虫歯C3の精密根管治療と垂直根充法で歯を守る
虫歯C3の治療:精密な根管治療と垂直根充法の採用
虫歯C3は、虫歯が神経にまで達しているため、抜髄(神経を抜く根管治療)が必要となります。当院では、拡大鏡を使用した精密な根管治療を行っております。さらに、根管治療の最後に行う根管充填(薬剤で根管内を密閉する)においては、垂直根充法を積極的に採用しています。この方法により、根管内を緊密に封鎖し、歯根嚢胞の発症を極力低減させることに努めています。


C3虫歯の症状と歯髄炎の前兆
- 抜髄が必要になる
- C3の虫歯になると神経に炎症が起こり、歯髄炎が発生します。その前触れとして、最初は冷たいものにしみる症状が現れ、次第に熱いものにもしみるようになります。歯髄炎になると、ズキズキとした痛みが四六時中続くようになります。
歯の神経を抜く処置が必要になります。

C3虫歯の見た目

虫歯C3 症例1
向かって左側の糸切り歯が大きく欠けています。 これはC3の虫歯です。
また、上顎一番の2本がC2の虫歯になっています。これを一ヶ月ほど放置すると痛みが出てくる可能性があります。 歯髄までギリギリの所まで虫歯が来ているということです。

虫歯C3 症例2
向かって右側の第1大臼歯に大きな穴が開いています。これはC3の虫歯です。 この状態をこのまま放置すると一か月くらいでC4の虫歯となり抜歯の必要性が出てきます。
また、左右にC4の虫歯がありますね。これらは抜歯をしなければなりません。
自分でできる歯髄炎の応急処置
歯髄炎の応急処置として、自宅でできる方法をご紹介します。ただし、応急処置は一時的なものであり、早急に歯科医師の診察を受けることが重要です。
1. 冷たいものを避ける
歯髄炎の症状が出ている場合、冷たい飲み物や食べ物が刺激となることがあります。温かいものや常温のものを選びましょう。
2. 正露丸を虫歯の穴に詰める
正露丸を虫歯の穴に詰めることで、一時的に痛みを和らげることができます。正露丸の使用は一時的な対処法であり、根本的な治療にはなりませんので、できるだけ早く歯科医師の診察を受けてください。
3. 市販の痛み止めを使用する
市販の鎮痛剤(アセトアミノフェンやイブプロフェンなど)を服用することで、痛みを一時的に和らげることができます。ただし、服用方法や量については、薬の説明書に従ってください。
4. 口腔衛生を保つ
歯磨きをしっかり行い、口腔内を清潔に保つことで、症状の悪化を防ぐことができます。ただし、痛みがひどい場合は、歯磨きを優しく行いましょう。
5. 冷湿布をあてる
痛みがある部位に冷湿布をあてることで、炎症を和らげることができます。氷を直接肌にあてるのではなく、布やタオルに包んで使用しましょう。
6. 柔らかい食事を摂る
硬い食べ物を避け、柔らかい食事を摂ることで、痛みを軽減することができます。
注意事項
これらの応急処置は一時的なものであり、根本的な解決にはなりません。できるだけ早く歯科医院を受診し、適切な治療を受けてください。

正露丸を歯髄炎が起きた歯の穴に詰める
【注意】
子供に対し行う時は、乳歯の虫歯では逆に痛みが強く起こってしまうリスクがあります。
正露丸が効かない場合とは
すでに神経が死んでしまって歯髄壊死になっている場合には正露丸を詰めても効きません。
歯髄壊死の自覚症状は上下の歯を噛み合わせた時に、少し触れただけでもかなりの痛みがある場合です。

正露丸の詰め方
① 虫歯でできた穴の中を歯ブラシなどを使いできるだけ綺麗にします。
② 穴の中に正露丸を一粒ずつ詰めていきます。あまり強く詰めすぎると痛みが起こる可能性があるのでそっと行ってください。
また、詰めすぎるのも良くありません。噛んだ時に当たらないくらいがちょうど良い量です。
神経を抜いた歯のリスク:歯根破折と歯根嚢胞の可能性
歯の神経を抜くと、歯自体の柔軟性が失われ、歯根破折の危険性が高まります。また、大臼歯では根管治療が難しいため、根っこの先端に膿の袋(歯根嚢胞)ができやすくなります。歯根嚢胞が発生すると、その膿が外に出るための通り道としてフィステルが形成されることがあります。
神経を抜いた歯の弱点

歯根破折のリスク
上顎の第二小臼歯が歯根破折を起こしています。これは、神経を抜いた歯が延長ブリッジの土台になり、強い力がかかりすぎたために発生したものと考えられます。
神経のない歯は、枯れ木のように柔軟性を失っているため、このようなことが起こりやすいのです。
歯根嚢胞とフィステルの関係

症状と治療法
写真は、金属のクラウン冠をかぶった第1大臼歯の歯茎にできたフィステルです。見た目はニキビのようです。
フィステルの先端部分には小さな穴が開いており、そこから膿が排出されます。これは、歯根嚢胞内に溜まった膿によって内圧が高まり、膿を排出する経路が自然と作られたものです。
歯根嚢胞の治療(根管治療など)が完了すれば、フィステルは消えます。
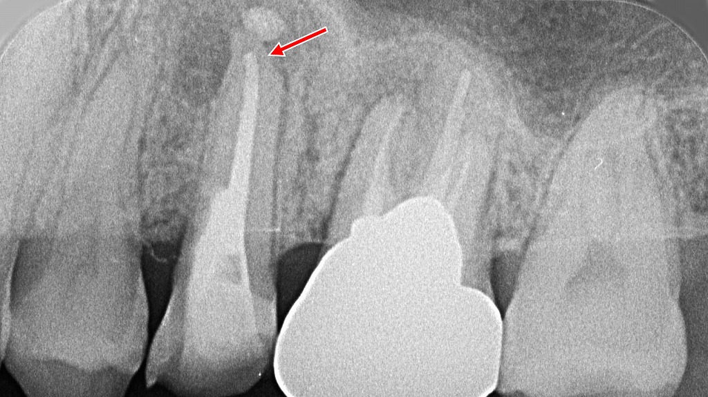
歯根嚢胞の原因と治療法

レントゲン画像から学ぶ
この写真は、根っこの先端に歯根嚢胞を形成したレントゲン画像です。矢印の部分にX線透過像(黒く映る部分)が認められ、ここに膿が溜まっています。
歯根嚢胞ができる原因は、根管治療がうまくいかず、歯根の中で細菌が繁殖するためです。歯根の形態が複雑になるほど、根管治療の難易度は上がります。
このように歯根嚢胞ができた場合には、再度根管治療をやり直す必要があります。それでもうまくいかない場合には、抜歯するか、外科的に歯根嚢胞を摘出する手術が必要になります。
歯根端切除術と歯根嚢胞摘出術で抜歯回避
ふかさわ歯科クリニック篠崎では、根管治療では治癒できない大きな歯根嚢胞に対して、歯根端切除術と歯根嚢胞摘出術を行っています。この処置により、抜歯を回避することが可能です。

大きな歯根嚢胞
この画像は、下顎1番に根尖部(歯の根の先端部分)に発生した歯根嚢胞を示すX線画像です。根管内の感染や炎症が原因で発生したもので、根管治療を試みましたが治癒しませんでした。

歯根端切除術と歯根嚢胞摘出術
同症例の歯根端切除術と歯根嚢胞摘出術の術中の写真です。
虫歯C4の抜歯回避!エクストルージョン法と外科的挺出法の活用
虫歯C4の抜歯回避を目指して
当院では、可能な限り虫歯C4の抜歯を回避する処置を模索しています。残根(虫歯C4)は通常抜歯が必要となりますが、条件が整えば抜歯をすることなく保存することができる場合があります。
エクストルージョン法と外科的挺出法で抜歯を回避

エクストルージョン法
エクストルージョン法は、虫歯C4の歯を保存するための方法です。この方法では、虫歯の両隣の歯を固定源として、ゴムなどで矯正力をかけて歯根を引き抜きます。
歯茎の外まで引き抜いた後、両隣の歯に固定します。固定期間は約3ヶ月で、歯が動かなくなったら土台を立てて冠を被せます。
エクストルージョン法の条件と注意点
エクストルージョン法には、以下の条件が必要です。
- 十分な歯根の長さ: 歯根を引き抜いた後に人工歯を作れるだけの十分な歯根の長さが必要です。
- 保険適用外: この治療は保険適用外となります。

外科的挺出法
虫歯C4の治療には、通常の抜歯と同様の手法を用いて脱臼させる外科的挺出法を採用します。具体的には、以下の手順で行います。
- 脱臼: 虫歯C4の歯を脱臼させて、歯根をグラグラにします。
- 引き上げと固定: グラグラになった歯根を引き上げ、両隣の歯に固定します。
- 固定期間: 歯根が骨に固定されるまで約3ヶ月間待ちます。
- 上部構造の作成: 固定期間が終了したら、上部構造(クラウン)を作成します。
外科的挺出法の条件
外科的挺出法には以下の条件が必要です。
- 十分な歯根の長さ: エクストルージョン法と同様に、歯根を引き抜いた後、人工歯を作れるだけの十分な歯根の長さが必要です。
- 保険適用外: この治療も保険適用外となります。
虫歯C4 残根の見た目

残根(虫歯C4) 症例1
この画像は、C4の虫歯がある歯の様子を示しています。画像では、矢印で示された部分がC4の虫歯であり、歯の一部が大きく欠けています。
周囲の歯茎も腫れて炎症を起こしています。隣接する歯には補綴物が装着されており、全体的には治療の必要性が高い状態です。
このような場合、迅速な歯科治療が必要であり、根管治療や抜歯、そして適切な補綴治療が考えられます。ふかさわ歯科クリニック篠崎では、こうした重度の虫歯にも対応し、最適な治療を提供しています。

残根(虫歯C4) 症例2
この画像は、複数の虫歯がある口腔内の様子を示しており、各虫歯の進行段階が示されています。
- C1: 初期の虫歯で、エナメル質の一部が損なわれている状態です。この段階では、通常、痛みは感じられませんが、早期の治療が必要です。
- C2: 虫歯が象牙質に達した状態です。冷たいものや甘いものに対する感受性が高まり、早急な治療が推奨されます。
- C4: 虫歯が神経(歯髄)に達し、歯の大部分が崩壊している状態です。この段階では、強い痛みが伴い、根管治療や抜歯が必要になることがあります。
画像では、C1、C2、C4の虫歯がそれぞれ複数確認でき、特にC4の虫歯が深刻です。虫歯が進行するにつれて、治療の難易度と費用も増加するため、早期の歯科治療が重要です。ふかさわ歯科クリニック篠崎では、こうした重度の虫歯にも対応し、最適な治療を提供しています。お早めのご相談をお勧めします。
10年以上放置された重度の虫歯を救う治療法とは
当院では、10年以上放置されて重度の虫歯となった場合でも、さまざまな治療法を駆使して歯の保存に努めています。以下に治療例をご紹介します。諦めずに、お気軽に当院までご相談ください。
虫歯や歯周病を10年以上放置した症例

虫歯を10年以上放置した症例 正面
重度の虫歯と歯周病が進行した正面からの状態です。複数の歯が虫歯によって大きく崩壊し、歯石や歯垢が大量に付着しています。歯茎は赤く腫れ、炎症が確認されます。また、下前歯には金属製の補綴物が装着されていますが、その周囲にも虫歯の影響が見られます。この状態では、徹底的な口腔ケアと専門的な治療が必要です。
歯科医院での診断と治療計画を立て、適切な処置を受けることが重要です。ふかさわ歯科クリニック篠崎では、こうした重度の症例にも対応し、可能な限り歯の保存を目指しています。

虫歯を10年以上放置した症例 側面
重度の歯周病と虫歯が進行した口腔内の様子です。いくつかの歯が虫歯によって大きく崩壊し、歯石や歯垢が大量に付着しています。また、歯茎が腫れて炎症を起こしており、赤く腫れています。
この状態では、歯の保存が難しいですが、ふかさわ歯科クリニック篠崎では、可能な限り歯を保存するための治療を行っています。
治療後

治療後の正面観
保存不可能な歯は抜歯をして、保存可能な歯は根管治療後、クラウンをかぶせた治療後の口腔内の様子です。
歯石や歯垢が取り除かれ、歯周病の治療が施された結果、歯茎の炎症が収まり、健康的なピンク色になっています。ボロボロだった虫歯も適切な治療によって修復され、しっかりとした人工歯や詰め物が施されています。
全体的に歯並びも整い、機能的で見た目にも健康的な状態に改善されています。このように、適切な治療を受けることで、重度の虫歯や歯周病でも大きく改善することができます。同一人物の口の中とは思えないくらい改善しています。

治療後の側面観
治療後の右側口腔内の様子です。いくつかの歯には金属製の補綴物(被せ物や詰め物)が装着されて、歯茎の状態も改善されており、健康的なピンク色に戻っています。
歯並びや咬み合わせも調整され、全体的に機能性が向上しています。このように、適切な治療を受けることで、虫歯や歯周病が進行していた歯でも改善し、健康な口腔内環境を取り戻すことができます。
まだ少し出血している部位がありますが、徐々に改善に向かっているので心配ありません。歯がない部分はインプラントで治療する予定です。
虫歯を放置する起こる病気について
放置
歯髄炎による激痛が続く
虫歯が神経まで到達すると歯髄炎を起こし激痛が続きます。
放置
虫歯C4では抜歯が必要
残根がC4になると抜歯が必要です。歯が無くなった部位はブリッジや入れ歯などで修復するか、人工歯根のインプラントを手術して埋入し、人工歯を作る必要があります。
放置
歯原性菌血症から脳梗塞や心筋梗塞
歯周病菌や虫歯菌などの悪玉菌は、歯茎の毛細血管を通して動脈内に入り込むことがあります。これを歯原性菌血症と呼びます。この状態が長期間続くと、脳梗塞や心筋梗塞のリスクが高まります。
放置
骨髄炎や心内膜炎のリスク
C3やC4の虫歯まで進行すると、口腔内の細菌が増殖し、骨髄炎や心内膜炎などの発症リスクが増大します。
放置
上顎洞炎(蓄膿症)
上顎洞と接触している歯根が虫歯になり根尖病巣を形成すると、上顎洞炎、つまり蓄膿症を発症するリスクがあります。
放置
口腔癌(舌癌)発症のリスク
虫歯を放置すると、虫歯の尖った部分が舌の脇に触れ、口腔癌(舌癌)が発症する可能性があります。
虫歯記事一覧
【動画】エアフロー
筆者・院長

深沢 一
Hajime FUKASAWA
- 登山
- ヨガ
メッセージ
日々進化する歯科医療に対応するため、毎月必ず各種セミナーへの受講を心がけております。
私達は、日々刻々と進歩する医学を、より良い形で患者様に御提供したいと考え、「各種 歯科学会」に所属すると共に、定期的に「院内勉強会」を行う等、常に現状に甘んずる事のないよう精進致しております。 又、医療で一番大切な事は、”心のある診療”と考え、スタッフと共に「患者様の立場に立った診療」を、心がけております。


























