- 1. 【🎞️40秒】虫歯C4とは?歯根だけ残った最終段階と治療選択肢
- 2. 📚虫歯C4の基礎知識
- 2.1. 🦷虫歯の進行段階まとめ(CO〜C4)
- 2.2. 🦷C4とはどのような状態?
- 2.2.1. 🔹神経の壊死
- 2.2.2. 🔹歯冠崩壊
- 2.2.3. 🔹痛みが消えることもある理由
- 2.2.4. 🔹歯根膜炎・骨髄炎のリスク
- 3. 🦷抜歯が必要になるケース
- 4. 🦷虫歯C4でも諦めない!保存か抜歯かの判断基準
- 4.1. 📚赤矢印=保存可能、青矢印=抜歯妥当
- 4.2. ✨虫歯C4症例1|各歯の診断結果(視診+レントゲン診断)
- 4.2.1. 🔹保存可能と判断された歯
- 4.2.2. 🔹抜歯と判断された歯
- 5. 🦷抜歯か保存か|最終判断は実際に虫歯を削ってから!
- 5.1. 📚【1】事前診断には限界がある
- 5.2. 🔍【2】虫歯を削って状態を直接確認
- 5.3. ⚖️【3】削った結果による最終判断
- 6. 🦷見た目で即座に抜歯判断ができる症例もある
- 6.1. 📚視診のみで抜歯が妥当と判断できるケースとは?
- 6.2. ✨症例紹介|視診だけで抜歯判断ができたケース
- 6.2.1. 🔹症例1:上顎6番に肉芽形成
- 6.2.2. 🔹症例2:上顎6番の歯根分離と歯根露出
- 7. 🦷見た目やレントゲンだけでは判断できない虫歯C4症例もある
- 7.1. 📚視診・レントゲンだけでは判断できないケースとは?
- 7.2. ✨症例紹介|削って最終判断が必要だったケース
- 7.2.1. 🔹症例1:上顎2番(上顎側切歯)
- 7.2.2. 🔹症例2:左上2番、左上1番、右上1番(前歯部)
- 8. 🚨虫歯C4の症状サイン
- 8.1. 🦷見た目の特徴(黒ずみ・歯の欠損)
- 8.2. 🦷感じる症状(鈍い痛み、膿、口臭)
- 8.3. 🦷痛みが一時的に消えるメカニズム
- 9. 🦷残根でも諦めない!エクストルージョン法と外科的挺出法の選択肢
- 9.1. 📚残根を抜かずに残す2つの方法
- 9.2. ✨エクストルージョン法とは?
- 9.2.1. 🔹エクストルージョン法の手順
- 9.2.2. 🎯エクストルージョン法の適用条件
- 9.3. 下顎第2小臼歯(5番)のエクストルージョン症例
- 9.3.1. 🦷 写真の内容解説
- 9.3.2. ⚙️ 装置構造
- 9.3.3. 🎯 処置の目的
- 9.4. ✨外科的挺出法とは?
- 9.4.1. 🔹外科的挺出法の手順
- 9.4.2. 🎯外科的挺出法の変法
- 9.4.3. 🎯外科的挺出法の適用条件
- 10. 費用
- 10.1. 保険適用外治療
- 11. 🦷残根の保存か抜歯か?判断する4つの基準
- 11.1. 📚残根保存か抜歯かの基本方針
- 11.2. ✨残根保存のための4つの基準
- 11.2.1. 🔹基準① 残根上縁と歯槽骨との位置関係
- 11.2.2. 🔹基準② 残根上縁と歯肉縁との距離
- 11.2.3. 🔹基準③ 残根の歯根の長さ
- 11.2.4. 🔹基準④ 根尖病巣の有無
- 12. 残根の抜歯費用
- 12.1. 保険適用治療
- 13. 🦷C4虫歯を抜歯した場合の対応
- 13.1. 🦷抜歯後の治療選択肢
- 13.1.1. 🔹ブリッジ
- 13.1.2. 🔹インプラント
- 13.1.3. 🔹入れ歯(部分義歯)
- 14. 🛡️虫歯C4を防ぐためにできること
- 14.1. 🦷定期検診の重要性
- 14.2. 🦷初期虫歯(CO〜C1)のうちに発見・治療する方法
- 15. ✍️まとめ|虫歯C4は早期発見・早期対応がカギ
- 15.1. ⚡放置するほど選択肢は減り、治療負担も増す
- 15.2. ⚡定期チェックと違和感への即対応が未来を守る
- 16. 江戸川区篠崎で虫歯治療をご検討中の皆さまへ
- 17. 【動画】歯茎のニキビのような出来物・フィステル
- 18. 筆者・院長

「虫歯C4」とは、虫歯が進行して歯の上部(歯冠)が崩壊し、歯根だけが残った状態を指します。
ここまで進行すると、見た目では小さな違和感しかなくても、内部では深刻なダメージが進んでいることが多く、放置すれば抜歯が必要になるケースも少なくありません。
しかし、条件次第では歯を抜かずに保存できる場合もあります。
この記事では、虫歯C4の特徴や治療法、歯を守るためにできることについて詳しく解説します。
【🎞️40秒】虫歯C4とは?歯根だけ残った最終段階と治療選択肢
📚虫歯C4の基礎知識
🦷虫歯の進行段階まとめ(CO〜C4)
- CO(シーオー):初期虫歯。エナメル質の表面がわずかに脱灰しているが、まだ穴は開いていない。
- C1:エナメル質に小さな穴が開き始める段階。痛みはほとんどない。
- C2:虫歯が象牙質に達する。冷たい物がしみたり、痛みを感じることも。
- C3:虫歯が神経(歯髄)に達し、激しい痛みが出る。
- C4:歯冠が崩壊し、歯根だけが残った状態。痛みが消える場合もあるが、重度の感染が進行していることが多い。

🦷C4とはどのような状態?
この画像は、C4(う蝕症第4度)=重度の虫歯の状態を示しています。
赤い矢印の部分がすべて、**歯冠がほとんど崩壊し、歯根のみが残存している状態(残根状態)**です。

🔹神経の壊死
- 虫歯が神経に到達し、血流が絶たれることで神経組織が死んでしまう。
- 神経が壊死すると痛みを感じにくくなるが、内部では感染が進んでいる。
🔹歯冠崩壊
- 歯の上部(歯冠)が虫歯によってボロボロに崩れ、見た目でも大きく欠けたり穴が開いたりする。
- 残るのは歯根だけ、という深刻な状態。
🔹痛みが消えることもある理由
- 神経が壊死しているため、痛みを感じなくなることがある。
- しかし、これは治ったわけではなく、むしろ病状が悪化しているサイン。
🔹歯根膜炎・骨髄炎のリスク
- 歯根の先端に膿がたまり、歯根膜に炎症を起こす(歯根膜炎)。
- 感染がさらに進行すると、顎の骨にまで炎症が及び、骨髄炎を引き起こす危険もある。
🦷抜歯が必要になるケース
- 歯根がボロボロになり、機能回復が不可能な場合は抜歯が必要。
- 抜歯後は、ブリッジ・インプラント・入れ歯などの選択肢を検討。

🦷虫歯C4の進行イメージ|模式図で見る
📚【1】歯冠の完全崩壊
- 虫歯の進行により、歯の上部(歯冠部)はすべて破壊されている。
- 歯根だけが口腔内に残っている状態。
🦠【2】根管内への細菌感染
- 根管(歯の中の空洞)に細菌が侵入・増殖している。
- 感染が進行すると、根の内部組織が壊死する。
⚡【3】歯根先端に膿の袋(歯根嚢胞)の形成
- 歯根の先端部分に膿の袋(嚢胞)が作られている。
- 嚢胞が大きくなると骨を圧迫し、周囲組織にも悪影響を及ぼす。

🦷虫歯C4の症例紹介|保存できないケース
⚡【1】根管治療中断による悪化
- 根管治療を途中で中断し、そのまま放置してしまった。
- 虫歯が歯根深部まで進行し、感染が拡大している。
🦠【2】歯の崩壊と穴あきリスク
- 虫歯を除去すると、歯根部に穴が開くリスクが高い。
- 特に歯根周囲(矢印で示された部分)が脆くなっている。
🚨【3】抜歯以外の選択肢がない理由
- 残存組織が脆弱すぎて、差し歯や補強処置が不可能。
- 抜歯が唯一の治療法となる。
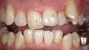
🦷虫歯C4でも諦めない!保存か抜歯かの判断基準
📚赤矢印=保存可能、青矢印=抜歯妥当
- 赤矢印で示された歯は、保存治療が可能と診断。
- 青矢印で示された歯は、抜歯が妥当と診断。
- ※見た目だけでなく、レントゲン(X線検査)結果も踏まえた総合判断によるものです。
✨虫歯C4症例1|各歯の診断結果(視診+レントゲン診断)

🔹保存可能と判断された歯
- 右上1番(上顎中切歯)
- 左上1番(上顎中切歯)
- 右上7番(上顎第二大臼歯)
✅ 視診およびレントゲン検査により、歯根・周囲組織に保存可能な状態が確認された。
🔹抜歯と判断された歯
- 左上2番(上顎側切歯)
- 左上6番(上顎第一大臼歯)
- 右上6番(上顎第一大臼歯)
⚡ 視診とレントゲン結果から、歯根破折・重度感染・歯槽骨吸収が認められたため、保存は困難と判断。
🦷抜歯か保存か|最終判断は実際に虫歯を削ってから!
📚【1】事前診断には限界がある
- 視診やレントゲン診断で大まかな保存・抜歯の判断はできる。
- しかし、虫歯の進行度や歯根内部の状態は外から見ただけでは完全には分からない。
🔍【2】虫歯を削って状態を直接確認
- 虫歯を慎重に削りながら、残存歯質や歯根の状態を目視でチェック。
- 歯の厚み、ひび割れ、歯根の崩壊具合など、細部までリアルに把握する。
⚖️【3】削った結果による最終判断
- 保存可能な場合:十分な歯質が残っていれば、土台(コア)を立てて差し歯治療を行う。
- 保存不可能な場合:崩壊や亀裂が深刻な場合は、抜歯を選択する。
🦷見た目で即座に抜歯判断ができる症例もある
📚視診のみで抜歯が妥当と判断できるケースとは?
- 一部の症例では、外見から明らかに保存不可能と分かる場合がある。
- 特に肉芽形成や歯根分離などが明らかな指標。
✨症例紹介|視診だけで抜歯判断ができたケース
🔹症例1:上顎6番に肉芽形成
- 上顎第六大臼歯(上顎6番)の中央に**肉芽組織(炎症性組織)**を確認。
- 肉芽形成は、歯根破壊や重度感染を示しており、保存困難なため抜歯が適応。

🔹症例2:上顎6番の歯根分離と歯根露出
- 上顎6番では、頬側根と舌側根が完全に分離。
- 上顎7番、5番も、歯根の深部のみが露出している状態。
- 支持力の喪失と予後不良が明らかであり、保存は不可能、抜歯が妥当と判断。

🦷見た目やレントゲンだけでは判断できない虫歯C4症例もある
📚視診・レントゲンだけでは判断できないケースとは?
- 外見やレントゲン画像だけでは内部状態まで把握できず、保存可否の確実な判定は困難なことがある。
- 特に歯根内部の微細な破折・崩壊は削って確認する必要がある。
✨症例紹介|削って最終判断が必要だったケース
🔹症例1:上顎2番(上顎側切歯)
- 視診では保存できそうに見えたが、内部の崩壊が疑われたため実際に削って確認。
- 削合結果を見て最終的な保存・抜歯を判断。

🔹症例2:左上2番、左上1番、右上1番(前歯部)
- レントゲンだけでは保存可否が不明確だったため、削りながら
- 歯質の残存量
- ひび割れの有無
をチェックし、治療方針を決定。

🚨虫歯C4の症状サイン
🦷見た目の特徴(黒ずみ・歯の欠損)
- 歯の表面が黒ずみ、大きく崩れて穴が開いた状態になっている。
- 歯冠部がほとんど消失し、歯根だけが残っているケースも多い。
- 歯の高さが周囲の歯に比べて極端に低くなっていることがある。
🦷感じる症状(鈍い痛み、膿、口臭)
- 鋭い痛みではなく、鈍い痛みや違和感を感じることがある。
- 歯根の先に膿がたまり、膿が歯ぐきから排出されると口臭が強くなる。
- 歯ぐきが腫れる、膿が出る、触ると違和感があるなどの症状が現れる。
🦷痛みが一時的に消えるメカニズム
- 神経が虫歯によって壊死すると、痛みを感じる機能が失われるため、一時的に痛みが消える。
- しかし、内部では細菌感染が進行し、歯根膜炎や骨髄炎など深刻な炎症に発展するリスクが高まる。
- 痛みがなくなったからといって治ったわけではないため、早急な治療が必要。
🦷残根でも諦めない!エクストルージョン法と外科的挺出法の選択肢
📚残根を抜かずに残す2つの方法
- 矯正的に歯を引き上げる「エクストルージョン法」
- 外科的に歯を脱臼させ持ち上げる「外科的挺出法」
✨エクストルージョン法とは?
🔹エクストルージョン法の手順
- 手順1
残根の歯根にフックを埋め込み、隣の歯にワイヤーで固定し、ゴムで弱い矯正力をかけて引き上げる。
定期的に歯根膜を切断する。 - 手順2
残根が歯肉縁から2〜3mm上まで引き上がったら仮歯を作り、隣在歯に固定する。
約3ヶ月間固定し、動揺が落ち着いた後に土台を立て、差し歯を作成する。

🎯エクストルージョン法の適用条件
- 引き上げ後も土台が作れるだけの十分な歯根長がある。
- 歯根先端に膿の袋(感染源)がない、または根管治療で治癒可能であること。
- ※ 条件が不十分な場合、予後不良リスクあり。
下顎第2小臼歯(5番)のエクストルージョン症例
この画像は、下顎第2小臼歯(5番)をエクストルージョン(牽引・挺出)している臨床写真です。

🦷 写真の内容解説
- 矢印で示された部分
白い部分は**エラスティック(ゴム)**で、歯を引き上げるための牽引力を発揮しています。
下顎5番に装着した装置(歯根に近い部分にフック状金属)にゴムを掛け、上方のワイヤーへと引っ張られています。
⚙️ 装置構造
- 4番・6番(隣の歯)
金属冠とワイヤーで連結されており、**固定源(アンカー)**として機能します。これらの歯は動かないようにし、5番を引き出すための支点になります。 - 5番(牽引歯)
何らかの理由(例えば歯冠破折やう蝕で歯肉縁下に歯が沈んでいるなど)で歯が低くなっているため、エラスティックを用いて**歯根ごと上方へ引っ張り出す(エクストルージョン)**処置が行われています。 - ワイヤー
4番〜6番を連結し、ゴムを掛けるためのガイドライン・支えとして使用されています。
🎯 処置の目的
エクストルージョンの目的は、
- 歯肉縁下に埋まってしまった歯質を口腔内へ露出させ、
- クラウンや支台築造を行える十分な歯質を確保することです。
この方法により、抜歯せずに歯を保存できる場合があります。
✨外科的挺出法とは?
🔹外科的挺出法の手順
- 手順1
ルートチップやへーベルを使用して、残根を脱臼させる(歯周組織をできるだけ傷つけないように行う)。 - 手順2
脱臼した残根を歯肉縁から2〜3mm上に持ち上げ、隣の歯に接着剤で固定する。 - 手順3
3ヶ月間固定して歯槽骨や歯根膜の再生を待ち、その後、土台と冠(差し歯)を作製する。

🎯外科的挺出法の変法
- 強い矯正力で歯をわざとグラグラにしてから脱臼させる方法。
- その後の固定・治療手順は通常の外科的挺出法と同じ。
🎯外科的挺出法の適用条件
- エクストルージョン法と同様の条件を満たすことが必要。
費用
保険適用外治療
※ エクストルージョン法と外科的挺出法は共に自費治療です。
| 治療種別 | 金額(税込み) ※単位:円 |
|---|---|
| エクストルージョン法 | 66,000円(税込み価格) 60,000円(税抜き価格) |
| 外科的挺出法 | 66,000円(税込み価格) 60,000円(税抜き価格) |
🦷残根の保存か抜歯か?判断する4つの基準
📚残根保存か抜歯かの基本方針
- 条件をクリアできれば、残根をそのまま保存して差し歯治療が可能。
- 条件を満たせなければ、通常通りルートチップやへーベルを使った抜歯が必要。
- 条件次第では、エクストルージョン法や外科的挺出法を使って保存も選択できる。

✨残根保存のための4つの基準
🔹基準① 残根上縁と歯槽骨との位置関係
- 残根の上縁が歯槽骨の上縁と同一、またはそれ以下なら基本的に抜歯対象。
- ただし、挺出処置(エクストルージョン法・外科的挺出法)で救える可能性あり。
🔹基準② 残根上縁と歯肉縁との距離
- 残根と歯肉縁の距離が3mm以内でないと、土台作成に必要な型取りが困難。
- この距離が確保できていない場合、保存は難しい。
🔹基準③ 残根の歯根の長さ
- 土台(コア)をしっかり作るために、歯根に十分な長さと量が必要。
- 歯根が短すぎる場合は保存ができない。
🔹基準④ 根尖病巣の有無
- 根尖病巣が無い、または根管治療によって完治可能な状態であることが条件。
- 重度の感染や病巣がある場合は抜歯が優先される。
残根の抜歯費用
保険適用治療
※ 残根の抜歯は保険適用です。
| 治療種別 | 金額(税込み) ※単位:円 |
|---|---|
| 難抜歯 | 前歯:1,095円 臼歯:1,425円 ※歯根肥大、骨の癒着歯等に対する骨の開さく又は歯根分離術を行った場合に限り、難抜歯となります。 |
| 普通抜歯 | 前歯:465円 臼歯:795円 |
🦷C4虫歯を抜歯した場合の対応
🦷抜歯後の治療選択肢
🔹ブリッジ
- 両隣の健康な歯を削り、人工の歯(ポンティック)を橋渡しして固定する治療法。
- 見た目が自然で、比較的短期間で治療が完了する。
- 健康な隣接歯に負担がかかるため、慎重な検討が必要。

🔹インプラント
- 抜歯した部分の顎の骨に人工歯根(インプラント)を埋め込み、その上に人工の歯を装着する治療法。
- 隣の歯を削らずに済み、天然歯に近い噛み心地を再現できる。
- 外科手術が必要であり、治療期間や費用は比較的高め。

🔹入れ歯(部分義歯)
- 周囲の歯にバネ(クラスプ)で引っかける部分入れ歯を作成する方法。
- ブリッジやインプラントよりも費用が抑えられる。
- 取り外し式のため慣れるまで違和感があることもある。
🛡️虫歯C4を防ぐためにできること
🦷定期検診の重要性
- 虫歯は自覚症状がないまま進行することが多いため、痛みが出る前の発見が重要。
- 定期検診では、歯科医師が虫歯の早期兆候(脱灰、初期の穴など)を見逃さずチェック。
- プロフェッショナルクリーニング(PMTC)やフッ素塗布など、予防処置も受けることで進行リスクを大幅に減らせる。
- 半年に一度の検診が、C4虫歯への進行を防ぐ大きなカギ。
🦷初期虫歯(CO〜C1)のうちに発見・治療する方法
- **CO(初期脱灰)**段階なら、適切なフッ素ケアとブラッシング指導で再石灰化が可能。
- **C1(小さな穴)**なら、最小限の削合と修復(コンポジットレジン治療)で簡単に治療できる。
- 定期検診時にレントゲン撮影や視診を行い、肉眼では見えない小さな虫歯も早期発見。
- **正しいセルフケア(歯磨き・フロス・フッ素使用)**と、プロの定期管理を併用することがC4進行を防ぐ最善策。
✍️まとめ|虫歯C4は早期発見・早期対応がカギ
⚡放置するほど選択肢は減り、治療負担も増す
- 虫歯がC4まで進行すると、歯を保存できる可能性が大きく低下します。
- 抜歯が必要になるケースも増え、インプラントやブリッジなどの大掛かりな治療が必要になることも。
- 治療費や通院回数も増えるため、患者さんの負担が大きくなるのが現実です。
⚡定期チェックと違和感への即対応が未来を守る
- 半年に一度の定期検診と、違和感を覚えた時点ですぐに受診する行動が、虫歯C4進行を防ぐ最大のカギ。
- 早期発見・早期治療を徹底することで、歯を削る量を最小限に抑え、自分の歯を長く保つことが可能になります。
江戸川区篠崎で虫歯治療をご検討中の皆さまへ

虫歯がC4段階まで進行すると、歯冠が崩壊し歯根だけが残る深刻な状態になりますが、必ずしも抜歯が必要とは限りません。
当院では、視診・レントゲンだけでなく、実際に虫歯を慎重に削って歯の状態を直接確認し、できる限り歯を残す治療に取り組んでいます。
江戸川区篠崎で「虫歯C4」と診断され、不安を感じている方も、ぜひ一度ご相談ください。
あなたの大切な歯を守るために、最適な治療方法をご提案いたします。
【動画】歯茎のニキビのような出来物・フィステル
筆者・院長

深沢 一
Hajime FUKASAWA
- 登山
- ヨガ
メッセージ
日々進化する歯科医療に対応するため、毎月必ず各種セミナーへの受講を心がけております。
私達は、日々刻々と進歩する医学を、より良い形で患者様に御提供したいと考え、「各種 歯科学会」に所属すると共に、定期的に「院内勉強会」を行う等、常に現状に甘んずる事のないよう精進致しております。 又、医療で一番大切な事は、”心のある診療”と考え、スタッフと共に「患者様の立場に立った診療」を、心がけております。


