- 1. 【📹】オールセラミックの魅力とは?天然歯のような美しさと機能性
- 2. 📘 オールセラミックの基本情報と特徴
- 2.1. 🪄 オールセラミックとは?金属不使用の審美治療
- 2.2. 🌟 天然歯のような透明感と色調
- 2.3. 🛡 金属アレルギー・歯茎の黒ずみの心配なし
- 3. 🔍 症例で見る!オールセラミック治療のビフォーアフター
- 3.1. 📸 神経を取った歯の変色を補綴(ファイバーコア+クラウン)
- 3.1.1. ▶ 症例1:前歯2本の黒ずみを自然な色に
- 3.2. 📸 複数の変色歯を美しく再現(クラウン+ラミネートベニア)
- 3.2.1. ▶ 症例2:4本の前歯の色ムラを解消した審美治療
- 3.3. 📸 フィステルによる変色・歯並びの改善例
- 3.3.1. ▶ 症例3:膿の排出(フィステル)と歯の変色を改善
- 4. 🔧 オールセラミック治療の流れと注意点
- 4.1. 🩺 初診カウンセリングと治療計画の立案
- 4.1.1. ✅ 主なチェックポイント
- 4.2. ✂️ 歯の形成・仮歯の装着で最終仕上がりをシミュレーション
- 4.2.1. ▶ 歯の形成の流れ
- 4.2.2. ▶ 歯の形成後の流れ
- 4.3. 🔬 技工士による色調調整と最終装着
- 4.3.1. ▶ 装着の流れ
- 4.4. 📸オールセラミックの治療例
- 5. 🏥 どんな症例にオールセラミックが使われる?
- 5.1. 🦷 前歯・小臼歯のクラウン(被せ物)
- 5.2. 🧩 インレー(詰め物)としての適応
- 5.3. 🚫 ブリッジには不向き?適応外となる理由
- 6. 🎨 種類別に比較|自分に合ったセラミックを選ぶには
- 6.1. 💎 e.max(イーマックス)|審美性重視のガラスセラミック
- 6.2. 🏋️ ジルコニアセラミック|奥歯向けの高強度タイプ
- 6.3. 🌈 フルジルコニアとレイヤリングジルコニアの違い
- 6.4. 📊 比較表|e.max・ジルコニア・フルジルコニアの違い
- 7. 💸 費用と保険適用の違い
- 7.1. 💰 自由診療での価格相場(1本10~25万円)
- 7.2. 💰 当院の費用
- 7.2.1. 自費治療
- 7.3. 🏥 保険適用のCAD/CAM冠との比較
- 7.4. 🧾 医療費控除や分割払いなど費用対策
- 7.4.1. ✅ 医療費控除の活用
- 7.4.2. ✅ デンタルローン・分割払い
- 8. 🧪 他の素材とどう違う?徹底比較
- 8.1. 🧱 オールセラミック vs メタルボンド
- 8.2. 🧬 オールセラミック vs ハイブリッドセラミック
- 8.3. 🧃 オールセラミック vs レジン(プラスチック)
- 9. ⚠️ オールセラミックのデメリットと対策
- 9.1. 🪓 歯を大きく削る必要がある場合も
- 9.2. 🧠 神経除去とそのリスク(抜髄・寿命の短縮)
- 9.3. 🦷 強い噛み合わせ・歯ぎしりによる破損リスク
- 9.4. 🦷 ナイトガードの活用で寿命を延ばす方法
- 10. 🔄 長持ちさせるためのメンテナンス方法
- 10.1. 🪥 正しい歯磨きとフロスの使い方
- 10.1.1. ✅ 歯磨きのポイント
- 10.1.2. ✅ フロス・歯間ブラシの活用
- 10.2. 🧼 定期検診での咬合チェックとクリーニング
- 10.2.1. 定期検診でできること
- 10.3. 🛍 おすすめの電動歯ブラシ・口腔ケア製品
- 10.3.1. 🔋 電動歯ブラシのメリット
- 10.3.2. 🧴 補助ケアアイテム
- 11. ✅ オールセラミックがおすすめな人とは?
- 11.1. 🌸 金属アレルギーがある方
- 11.2. 🎯 見た目を重視する前歯の治療を希望する方
- 11.3. 💼 長期的な補綴の安定性を求める方
- 11.4. 🔄 過去に銀歯やレジンで後悔した方
- 12. 📝 よくある質問(Q&A)
- 12.1. ❓ オールセラミックはどのくらい持つの?
- 12.2. ❓ 神経を抜くのは絶対?
- 12.3. ❓ 奥歯にも使える?
- 12.4. ❓ ホワイトニングとの違いは?
- 13. 🏁 まとめ|後悔しないセラミック治療を受けるために
- 13.1. ✅ 素材の選択・費用・適応条件を正しく理解する
- 13.2. ✅ 信頼できる歯科医院と技工所の選定がカギ
- 13.3. ✅ メンテナンス次第で10年以上の美しさと快適性を実現!
- 14. 🏥江戸川区篠崎でオールセラミック治療をお考えの方へ
- 15. 歯周ポケットを掃除し改善するセルフケア法
- 16. 筆者・院長

「銀歯が目立って笑えない」「前歯の変色が気になる」「歯をもっと自然に見せたい」——
そんなお悩みをお持ちの方に選ばれているのが、オールセラミック治療です。金属を一切使わず、天然歯のような透明感と美しさを再現できるこの治療は、審美性・安全性・耐久性のバランスがとれた選択肢として注目を集めています。
しかし一方で、「高額になるのでは?」「本当に長持ちするの?」「奥歯には使えないの?」といった不安や疑問の声も少なくありません。
本記事では、オールセラミックの特徴や種類ごとの違い、費用相場、他素材との比較、そして症例やメンテナンス方法まで、治療前に知っておきたい情報を網羅的に解説します。
後悔しない選択をするために、ぜひ最後までご覧ください。
【📹】オールセラミックの魅力とは?天然歯のような美しさと機能性
📘 オールセラミックの基本情報と特徴
🪄 オールセラミックとは?金属不使用の審美治療
オールセラミックとは、**金属を一切使用せず、セラミックのみで作られた被せ物(クラウン)や詰め物(インレー)**のことを指します。歯科の審美治療において広く使われており、見た目の美しさだけでなく、体への優しさからも注目されています。
一般的な銀歯や金属フレーム入りのメタルボンドとは異なり、オールセラミックは完全なメタルフリー素材。そのため、審美性に優れ、金属アレルギーの心配もない点が大きな特徴です。

🌟 天然歯のような透明感と色調
オールセラミックの最大の魅力は、天然歯に極めて近い見た目を再現できることです。光を自然に透過させるため、まるで本物の歯のような透明感があり、色調も周囲の歯と調和しやすくなっています。
特に前歯のように目立つ部分では、**「白すぎる」「人工的に見える」**といった心配が少なく、ナチュラルな仕上がりを実現できます。写真を撮ったときや会話時の印象もグッと良くなるため、美しい笑顔を手に入れたい方に最適な選択肢です。
🛡 金属アレルギー・歯茎の黒ずみの心配なし
オールセラミックは金属を一切使用していないため、金属イオンの溶出による歯ぐきの黒ずみが起きる心配がありません。また、金属アレルギーのある方でも安心して使える点も大きなメリットです。
過去に「銀歯でアレルギーが出た」「年数が経って歯ぐきが黒ずんできた」といった経験のある方には、オールセラミック治療が体に優しい選択肢となるでしょう。
🔍 症例で見る!オールセラミック治療のビフォーアフター
オールセラミックは、単に白く美しいだけでなく、さまざまな症例に対応できる審美補綴素材です。ここでは、実際に行われた治療のビフォーアフターをご紹介します。
📸 神経を取った歯の変色を補綴(ファイバーコア+クラウン)
▶ 症例1:前歯2本の黒ずみを自然な色に
患者様は、過去に神経を取った前歯2本(上顎1番・2番)が黒く変色しており、見た目を気にされて来院されました。変色は、神経を失った歯にコンポジットレジンを詰めた状態で年数が経過したことが原因でした。

術前(症例1)
上顎1番と2番の2本が神経が死んだため神経を取り、根管治療を行い裏側からコンポジットレジンを詰める治療を行てから数年経った状態です。黒色に変色してしまっていますね。

術後(症例1)
2本の変色歯にファイバーコアの土台を立ててオールセラミックで治療しました。周りの天然歯と良く調和してますね。
治療内容:
- 再根管治療を実施し、無菌化を確認
- ファイバーコア(土台)を築造
- 上からオールセラミッククラウンを装着
結果:
周囲の天然歯と色・形が調和し、まるで元の歯のような自然な見た目に。患者様からは「笑顔に自信が持てるようになった」と好評でした。
📸 複数の変色歯を美しく再現(クラウン+ラミネートベニア)
▶ 症例2:4本の前歯の色ムラを解消した審美治療
患者様は前歯4本の変色を主訴に来院。神経が残っている歯と、人工歯が混在しており、それぞれに応じた最適な処置が必要でした。

術前(症例2)
前歯が4本変色しています。右上2番と左上1番は神経が生きています。右上1番は根管治療後、内側からコンポジットレジンが充填されていました。左上2番は人工歯が入っています。

術後(症例2)
青い矢印はオールセラミッククラウンで、赤い矢印は神経を保存するためラミネートベニアで治療しています。
治療内容:
- 神経を抜いた歯にはファイバーコア+オールセラミッククラウン
- 神経を保存した歯にはラミネートベニアで対応
結果:
歯の色だけでなく形や並びも整い、顔全体の印象が明るくなったような仕上がりに。異なる素材を使い分けることで、機能性と審美性の両立が実現しました。
📸 フィステルによる変色・歯並びの改善例
▶ 症例3:膿の排出(フィステル)と歯の変色を改善
歯茎に**フィステル(膿の通り道)**ができたことで、歯が茶色に変色し、審美性が大きく損なわれていた症例です。

術前(症例3)
赤い矢印の場所にフィステルが出来ています。そして歯が茶色に変色しています。
根管内が細菌感染をして膿がフィステルから出ています。

術後(症例3)
根管治療を行ってフィステルが消失しています。次にオールセラミックで治療したことで歯並びもやや改善出来ています。
治療内容:
- 根管治療で感染を除去 → フィステル消失
- ファイバーコアを設置し、オールセラミッククラウンを装着
結果:
変色が完全に解消されただけでなく、歯並びもわずかに整えられたことで、より自然な仕上がりに。健康面・見た目ともに満足度の高い治療となりました。
🔧 オールセラミック治療の流れと注意点
オールセラミック治療は、見た目の美しさだけでなく、精密な工程と計画性が求められる治療です。ここでは、治療の一連の流れと注意点をわかりやすく解説します。
🩺 初診カウンセリングと治療計画の立案
治療はまずカウンセリングからスタートします。歯科医師が口腔内をチェックし、オールセラミックが適しているかを判断します。
✅ 主なチェックポイント
- 虫歯・歯周病の有無(あれば先に治療)
- 噛み合わせの状態(咬合力が強いと補綴物の破損リスクあり)
- 歯ぎしり・食いしばりの習慣
- 患者の希望(見た目重視か、強度重視か)
そのうえで、e.max・ジルコニア・フルジルコニアなど素材を決定し、治療計画を立てます。
✂️ 歯の形成・仮歯の装着で最終仕上がりをシミュレーション
クラウンを装着するには、歯を削って形を整える形成処置が必要です。オールセラミックは金属より厚みが必要なため、適切な量の削合が求められます。
▶ 歯の形成の流れ

ファイバーコアの作製
神経を取った歯では、歯の内部にファイバーコアを装着し、被せ物を支える土台を作ります。
金属を使わないため、歯根破折のリスクを抑え、自然な仕上がりにつながります。
形成(歯の形を整える処置)
オールセラミックが正確に適合するよう、歯を削って形を整えます。
噛み合わせや清掃性も考慮し、長期安定を見据えた形成を行います。
印象採得(型取り)
形成後の歯を精密に記録するため、型取り(印象採得)を行います。
被せ物の適合精度を左右する重要な工程です。
色合わせ(シェード選択)
シェードガイドを使用し、周囲の歯と調和する色調を確認します。
透明感や明るさまで細かく調整することで、自然な見た目を実現します。
▶ 歯の形成後の流れ
- 仮歯(プロビジョナルクラウン)を装着
- 色・形・噛み合わせをシミュレーション
- 歯肉の形も整えて最終補綴物との適合性アップ
仮歯の段階で見た目に違和感がある場合は、この時点で調整できるのが大きなメリットです。
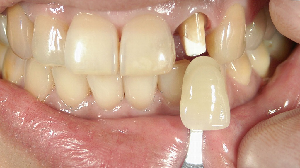
🔬 技工士による色調調整と最終装着
完成したセラミッククラウンは、歯科技工士が患者の歯の色や形に合わせて丁寧に仕上げたものです。特に前歯の場合は、写真撮影やシェードガイドを使って細かく色合わせを行います。
▶ 装着の流れ
- セラミックの色・形・適合性を最終確認
- 歯の表面をクリーニングし、接着面を処理
- レジンセメントで精密に装着
- 噛み合わせを微調整し、快適なかみ心地に
ここでの精度が治療の満足度を大きく左右するため、技術力の高い歯科医院と技工所を選ぶことが非常に重要です。
💡【注意点まとめ】
- 歯の削合量は多め → 神経に近い場合は抜髄が必要になることも
- 仮歯の段階で違和感をしっかりチェック
- 補綴物の精度は、歯科医師と技工士の腕に左右される
📸オールセラミックの治療例
🏥 どんな症例にオールセラミックが使われる?
オールセラミックは、見た目の美しさと金属不使用の安心感から、幅広い治療に使用される人気の補綴(ほてつ)素材です。ただし、どんな歯にも万能というわけではなく、適応部位には向き不向きがあります。
🦷 前歯・小臼歯のクラウン(被せ物)
オールセラミックの美しい透明感は、前歯や小臼歯のように「見た目の印象」が重視される部位に最適です。笑ったときに見える前歯が黄ばんでいたり、変色していたりすると、口元の印象が大きく変わります。
神経を取った歯やホワイトニングでは改善しない変色歯にも、オールセラミッククラウンを使うことで自然な色調と形を再現できます。周囲の歯と違和感なくなじみ、「歯を治したと気づかれにくい」仕上がりが可能です。
🧩 インレー(詰め物)としての適応
銀歯を白くしたいというニーズに応え、オールセラミックはインレー(詰め物)としても使用されます。小さな虫歯の治療や、古くなった詰め物の交換時に選ばれやすいです。
ただし、噛む力が強くかかる奥歯(特に大臼歯)には注意が必要。セラミックは強度がある反面、極度な力が加わると欠けてしまうこともあるため、インレーとして使用する際は歯ぎしりの有無や咬合力を事前に確認することが大切です。
🚫 ブリッジには不向き?適応外となる理由
オールセラミックは単独のクラウンやインレーには非常に優れた素材ですが、ブリッジ(複数の歯をつないで補う治療)には基本的に不向きです。
ブリッジでは両隣の歯で人工歯を支える構造上、強い負荷がかかります。セラミックだけでは曲げやねじれに弱く、割れやすいため、ジルコニアなど強度の高い素材や金属フレーム入りのメタルボンドを検討するのが一般的です。
ただし、前歯部のブリッジで咬合力が比較的弱い場合は、ジルコニアセラミックなどで対応可能なケースもあります。歯科医師とよく相談のうえ、機能性と審美性のバランスを見極めることが重要です。
🎨 種類別に比較|自分に合ったセラミックを選ぶには
セラミック治療と一口に言っても、素材によって審美性・強度・価格が異なります。自分の症状や目的に合った素材を選ぶことで、より満足度の高い治療結果につながります。
💎 e.max(イーマックス)|審美性重視のガラスセラミック
**e.max(イーマックス)**は、ガラスセラミックを主成分とする素材で、透明感と色調の再現性が非常に高いのが特徴です。
その美しさは、天然歯と見分けがつかないほど。そのため、前歯や小臼歯のように審美性が求められる部位に適しています。
ただし、強度は約400MPaとやや低めのため、強い咬合力がかかる奥歯には不向きなケースもあります。
🏋️ ジルコニアセラミック|奥歯向けの高強度タイプ
ジルコニアセラミックは、酸化ジルコニウムを主成分とし、1,000MPa以上の高強度を誇る素材です。金属に匹敵する硬さを持つため、奥歯やブリッジなどの負荷がかかる部位に適しています。
透明感はe.maxにやや劣りますが、表面に陶材(ポーセレン)を焼き付けることで審美性を高めることも可能です。
🌈 フルジルコニアとレイヤリングジルコニアの違い
ジルコニアには大きく分けて2種類あり、用途に応じて選ぶことが重要です。
- フルジルコニア(モノリシックジルコニア)
100%ジルコニア素材で、**圧倒的な強度(約1,200MPa)**が特長。白くやや不透明な仕上がりですが、奥歯のクラウンやブリッジに最適です。 - レイヤリングジルコニア(ジルコニアセラミック)
内側にジルコニア、外側に陶材を焼き付けた2層構造で、透明感と自然な色合いが得られます。審美性が求められる前歯部におすすめです。

📊 比較表|e.max・ジルコニア・フルジルコニアの違い
| 特性 | e.max(イーマックス) | ジルコニアセラミック | フルジルコニア(モノリシック) |
|---|---|---|---|
| 透明感 | ◎(非常に高い) | ◯(表面加工で自然に) | △(やや不透明) |
| 強度(MPa) | 約400MPa | 約1,000MPa | 約1,200MPa以上 |
| 審美性 | ◎(天然歯に近い) | ◯(自然な見た目) | △(人工的な白さ) |
| 適応部位 | 前歯・小臼歯 | 前歯〜奥歯・ブリッジ | 奥歯・ブリッジ |
| 費用の目安(1本) | 約10~18万円 | 約12~25万円 | 約9~15万円 |
💡 前歯など見た目を重視する場合は「e.max」や「レイヤリングジルコニア」がおすすめ。
💡 奥歯の噛む力が強い部分には「フルジルコニア」で耐久性を確保!
💸 費用と保険適用の違い
オールセラミック治療は、見た目も耐久性も優れた自由診療です。そのため、費用が気になるという方も多いのではないでしょうか。ここでは、自由診療と保険適用の違い、そして費用対策のポイントをわかりやすく解説します。
💰 自由診療での価格相場(1本10~25万円)
オールセラミックは保険適用外の自費治療となり、1本あたりの価格はおおよそ10万円〜25万円が相場です。
| 素材 | 価格帯(1本あたり) | 特徴 |
|---|---|---|
| オールセラミック | 12〜20万円 | 高い透明感と審美性 |
| e.max(イーマックス) | 10〜18万円 | 前歯向けの美しい仕上がり |
| ジルコニアセラミック | 12〜25万円 | 強度と審美性のバランス |
| フルジルコニア | 9〜15万円 | 高強度・奥歯向け |
💡 見た目を重視した前歯の治療には高審美性タイプを、奥歯には耐久性重視のジルコニアが人気です。
💰 当院の費用
自費治療
保険適用外です。
治療内容 | 内訳 | 値段 |
|---|---|---|
| オールセラミック | 前歯、奥歯共通(すべてをセラミック作るクラウン) | ¥132,000 (税抜き ¥120,000) |
| メタルボンド | 前歯、奥歯共通(内側は金属で外側がセラミック) | ¥115,500 (税抜き ¥105,000) |
| ジルコニアセラミック | ジルコニアフレームにセラミックを焼き付けるクラウン | ¥110,000 (税抜き ¥100,000) |
| フルジルコニア | すべてジルコニアで作るクラウン | ¥92,400 (税抜き ¥84,000) |
| ファイバーコア | 前歯・奥歯共通 グラスファイバーの土台 | ¥20,900 (税抜き ¥19,000) |
ややテカリが強く、審美性に劣ります。
🏥 保険適用のCAD/CAM冠との比較
保険適用のセラミック治療も存在します。それが「CAD/CAM冠(キャドキャム冠)」です。前歯・小臼歯、条件付きで大臼歯に適用でき、費用は**1本5,000~1万円程度(3割負担)**と大きく抑えられます。
ただし、使用素材は**ハイブリッドセラミック(プラスチック混合)**であるため、以下のような違いがあります。
| 項目 | 保険適用(CAD/CAM冠) | 自由診療(オールセラミック) |
|---|---|---|
| 費用(3割負担) | 約5,000~10,000円 | 約100,000~250,000円 |
| 審美性 | △ やや不自然な白さ | ◎ 天然歯のような透明感 |
| 耐久性 | △ 経年劣化しやすい | ◎ 長期使用可能 |
| 金属アレルギー | ◯ メタルフリー | ◎ 100%セラミックで安心 |
💡 長期的に考えると、耐久性・美しさの両面でオールセラミックのほうがコストパフォーマンスに優れます。
🧾 医療費控除や分割払いなど費用対策
「費用がネック…」という方も、適切な対策で負担を軽減できます。
✅ 医療費控除の活用
年間10万円以上の医療費がかかった場合、医療費控除の対象になる可能性があります。オールセラミック治療も、機能回復を目的とする治療であれば控除対象です。
✅ デンタルローン・分割払い
多くの歯科医院では、無理なく支払える分割制度やデンタルローンも用意されています。月々1万円前後からの支払いで済むケースもあるため、一括支払いが難しい方にもおすすめです。
🧪 他の素材とどう違う?徹底比較
オールセラミックは審美性・安全性に優れた素材として人気がありますが、歯科治療では他にもさまざまな素材が使われています。ここでは、代表的な補綴素材とオールセラミックの違いを比較し、どんな方に適しているかを解説します。
🧱 オールセラミック vs メタルボンド
メタルボンドは、内側に金属フレーム、外側にセラミックを焼き付けたクラウンです。強度に優れる一方、審美性や安全性の面では注意が必要です。
| 項目 | メタルボンド | オールセラミック |
|---|---|---|
| 審美性 | △ やや不透明・光を通さない | ◎ 天然歯のような透明感 |
| 金属アレルギー | × 金属使用あり | ◎ メタルフリーでアレルギーの心配なし |
| 歯ぐきの黒ずみ | × 金属イオンで黒くなる可能性 | ◎ 変色なし |
| 強度 | ◎ 高い(内側が金属) | ○ 十分な強度(咬合力には注意) |
💡 金属によるアレルギーや見た目の変色を避けたい方には、オールセラミックがおすすめです。
🧬 オールセラミック vs ハイブリッドセラミック
ハイブリッドセラミックは、セラミックとプラスチック(レジン)を混合した素材。保険適用のCAD/CAM冠などに使われることもあり、費用面では手が届きやすい反面、耐久性や審美性では劣ります。
| 項目 | ハイブリッドセラミック | オールセラミック |
|---|---|---|
| 審美性 | ○ 白いが透明感は少なめ | ◎ 自然な色合い・透明感 |
| 強度 | △ 摩耗・劣化しやすい | ◎ 長期間の使用に耐える |
| 変色 | × 経年で黄ばむことがある | ◎ 変色しにくく美しさが続く |
| 費用 | ◎ 比較的安価 | △ 自由診療のため高額 |
💡 「まずは費用を抑えたい」という方には選択肢のひとつですが、長期的な美しさを求めるならオールセラミックの方が安心です。
🧃 オールセラミック vs レジン(プラスチック)
**レジン(保険の白いプラスチック素材)**は、小さな虫歯の治療や仮歯として多く使われています。保険適用で安価ですが、強度・見た目・耐久性の面では限界があります。
| 項目 | レジン(プラスチック) | オールセラミック |
|---|---|---|
| 審美性 | △ 白いが不透明・人工的 | ◎ 天然歯に近い透明感 |
| 強度 | × 割れやすく摩耗しやすい | ◎ 高い耐久性と安定感 |
| 変色 | × 数年で黄ばみや黒ずみが発生 | ◎ ほぼ変色なし |
| 保険適用 | ◎ 適用あり(安価) | × 自由診療 |
💡 レジンは短期的な処置や保険内治療向きですが、見た目や耐久性を重視するならオールセラミックが圧倒的に優れています。
⚠️ オールセラミックのデメリットと対策
オールセラミックは多くのメリットがある一方で、事前に知っておきたいデメリットも存在します。正しい情報を把握し、適切な対策をとることで、後悔のない治療選択が可能になります。
🪓 歯を大きく削る必要がある場合も
オールセラミックは一定の厚みを持たせないと破折しやすいため、被せ物(クラウン)にする際は天然歯をやや大きく削る必要があります。特に金属よりも厚みが必要な素材のため、削合量が多くなりがちです。

- 前歯の場合:見た目の自然さを優先し、削る量も比較的多め
- 奥歯の場合:強度とスペース確保のために十分な形成が必要
💡 歯を削ることで知覚過敏や神経への影響が出る可能性もあるため、歯の状態をしっかり見極めて処置を進めることが重要です。
🧠 神経除去とそのリスク(抜髄・寿命の短縮)
深い虫歯や大きな削合が必要な場合、神経を取る「抜髄(ばつずい)」が避けられないケースもあります。しかし、神経を除去すると歯は栄養を受け取れなくなり、脆くなって割れやすくなるというリスクがあります。
抜髄による影響:
- 歯の寿命が短くなる可能性
- 破折・脱離のリスクが上昇
- 根管治療やファイバーコアの併用が必要になる場合も
💡 できるだけ神経を残せるように歯科医師と相談し、必要に応じてラミネートベニアなど別の選択肢を検討することも大切です。
🦷 強い噛み合わせ・歯ぎしりによる破損リスク
セラミックは硬く美しい素材ですが、衝撃には弱い性質があります。強い噛み合わせの方や歯ぎしり・食いしばりの癖がある方は、セラミックが欠けたり割れたりするリスクが高くなります。
特に注意が必要な方:
- 奥歯で強く噛む癖がある
- 寝ている間に歯ぎしりをしていると言われたことがある
- 過去に被せ物が割れた経験がある
💡このような方には、ジルコニアなど強度重視の素材や、咬合力を緩和するアイテムの併用が効果的です。
🦷 ナイトガードの活用で寿命を延ばす方法
歯ぎしり・食いしばりから歯を守るために、ナイトガード(就寝時のマウスピース)を使うことが非常に有効です。オールセラミックの破損防止だけでなく、天然歯や歯周組織の保護にもつながります。
- 自分の歯型に合わせたオーダーメイドタイプが基本
- 軽くて装着感の少ないソフトタイプも選択可能
- 長期間使用することで、セラミック補綴の寿命が延びる
💡 ナイトガードは破損を防ぐ“保険”のような存在。とくに高額なセラミック治療を受けた方には、強くおすすめしたい対策です。
🔄 長持ちさせるためのメンテナンス方法
オールセラミックは適切にメンテナンスを行えば10年以上美しさと機能性を保てる補綴物です。しかし、日々のケアを怠ると、破損や脱離、歯ぐきのトラブルなどのリスクも。ここでは、長持ちさせるための具体的な方法をご紹介します。
🪥 正しい歯磨きとフロスの使い方
オールセラミック自体は虫歯になりませんが、周囲の歯や歯ぐきが不衛生になるとトラブルの原因になります。特に歯と補綴物の境目には、汚れがたまりやすいため要注意です。
✅ 歯磨きのポイント
- 研磨剤入りの歯みがき粉は避ける(表面を傷つけるおそれ)
- やわらかめの歯ブラシを使用し、やさしく磨く
- 補綴物の縁を重点的に清掃
✅ フロス・歯間ブラシの活用
- 歯と歯の間にフロスを通し、補綴物の周囲を清潔に保つ
- 歯間ブラシは無理に差し込まず、サイズに合ったものを使用
💡「オールセラミック=メンテナンスフリー」ではありません。日々のケアが美しさを保つカギです。
🧼 定期検診での咬合チェックとクリーニング
セラミックは硬くて丈夫な反面、噛み合わせがずれると欠けたり割れたりすることもあります。定期的な歯科検診で咬合(こうごう)をチェックしてもらうことが重要です。
定期検診でできること
- 噛み合わせの微調整
- 歯ぐきの健康チェック(歯周病リスクの把握)
- 専門の機器によるプロフェッショナルクリーニング
特に半年に1回のクリーニングは、補綴物の縁の汚れを落とし、歯ぐきとの適合性を保つために効果的です。
🛍 おすすめの電動歯ブラシ・口腔ケア製品
毎日のケアを効率よく行いたい方には、電動歯ブラシや洗口液の導入もおすすめです。
🔋 電動歯ブラシのメリット
- 振動でプラークをしっかり除去
- 手磨きよりも短時間で清潔に
- 圧力センサー付きのモデルなら補綴物を傷つけにくい
✅ 人気モデル例:
- ソニッケアー エキスパートクリーン(Philips)
- ブラウン オーラルB iOシリーズ(P&G)

「▶ Amazonで見る」
「▶ 楽天で見る」
🧴 補助ケアアイテム
- ノンアルコールタイプのマウスウォッシュで歯ぐきを優しくケア
- フッ素入りの歯磨き粉で、周囲の歯の虫歯予防も万全に
💡 自分に合ったケア用品を選び、継続的に使うことが最大のポイント。歯科医院でおすすめ商品を聞くのも一つの方法です。
✅ オールセラミックがおすすめな人とは?
オールセラミックはすべての人にとって万能な治療ではありませんが、特定のニーズを持つ方にとっては非常に適した選択肢です。ここでは、どんな方にオールセラミック治療がおすすめかをご紹介します。
🌸 金属アレルギーがある方
金属を一切使わない“メタルフリー”の素材であるオールセラミックは、金属アレルギーをお持ちの方にとって最も安全な選択肢の一つです。
- 銀歯やメタルボンドでかゆみ・かぶれが出た経験がある
- 皮膚科で金属アレルギーと診断された
- 歯ぐきが黒ずんできた経験がある
💡このような方は、金属イオンの溶出が原因の場合があり、オールセラミックにすることで症状が改善することもあります。
🎯 見た目を重視する前歯の治療を希望する方
「前歯が気になって人前で笑えない…」
そんなお悩みを解決するのが、自然な白さと透明感を再現できるオールセラミックです。
- ホワイトニングでも白くならない変色歯
- 神経を取って黒ずんだ前歯
- 歯の形やサイズが不揃いで気になる
💡 天然歯に近い美しさを再現できるため、審美性を重視する治療には最適な素材です。
💼 長期的な補綴の安定性を求める方
オールセラミックは適切なケアを行えば10〜20年の耐久性が期待でき、長期的に安定した補綴治療が可能です。
- 頻繁に歯のやり直しをしたくない
- 「一生ものの治療」を目指したい
- 長期的に美しさと機能を保ちたい
💡 耐久性と見た目の両立を求める方には、オールセラミックは理想的な選択肢です。
🔄 過去に銀歯やレジンで後悔した方
「安い銀歯を選んだけど、結局目立って気になった」
「レジンが黄ばんで見た目が悪くなった」
そんな経験がある方には、後悔しない治療としてオールセラミックをおすすめします。
- 経年劣化による変色や破損を繰り返している
- 再治療のたびに費用と時間がかかるのがストレス
- 「もっと早く知っていれば…」という声も多数
💡 最初から審美性・耐久性に優れた素材を選ぶことで、長い目で見たときの満足度が大きく変わります。
📝 よくある質問(Q&A)
❓ オールセラミックはどのくらい持つの?
適切なケアと定期的なメンテナンスを行えば、10〜20年ほど持つと言われています。
ただし、強い歯ぎしりや噛み合わせのズレがあると、破損や脱離のリスクが高まるため、ナイトガードの使用や咬合調整などの対策が重要です。
💡 歯ぐきや周囲の歯の健康を保つことも、寿命を延ばすポイントです。
❓ 神経を抜くのは絶対?
いいえ、すべての症例で神経を抜く必要があるわけではありません。
ただし、深い虫歯があったり、オールセラミッククラウンを装着するために大きく削る必要がある場合、神経を保存できないこともあります。
💡 神経を残せるかどうかは歯の状態次第なので、治療前に歯科医師としっかり相談することが大切です。
❓ 奥歯にも使える?
はい、使えますが素材の選び方に注意が必要です。
- 咬合力が強い奥歯には、**強度の高い「ジルコニア」や「フルジルコニア」**がおすすめです。
- 審美性を優先したい部位には、「ジルコニアセラミック(レイヤリングタイプ)」も選択肢に入ります。
💡 奥歯では、見た目よりも耐久性を重視した素材選びがポイントになります。
❓ ホワイトニングとの違いは?
ホワイトニングは「歯の表面を白くする方法」、
**オールセラミックは「人工の歯で見た目を根本から変える方法」**です。
| 項目 | ホワイトニング | オールセラミック |
|---|---|---|
| 対象 | 自分の天然歯 | 被せ物・詰め物としての人工歯 |
| 効果 | 着色を分解して白くする | 色・形・歯並びまで改善可能 |
| 色戻り | 数ヶ月〜数年で元に戻ることも | 戻らない(人工素材のため) |
| 適応外 | 神経を取った歯は白くならない | 変色歯も自然に再現できる |
💡 ホワイトニングでは改善できない変色や形の問題には、オールセラミックが有効です。
🏁 まとめ|後悔しないセラミック治療を受けるために
オールセラミックは、見た目・安全性・耐久性のすべてを兼ね備えた高品質な補綴治療です。しかし、素材の特性や治療の流れをしっかり理解せずに選んでしまうと、後々「思っていたのと違う…」と後悔してしまうことも。
後悔しないためには、以下の3つが大切です。
✅ 素材の選択・費用・適応条件を正しく理解する
- e.max・ジルコニア・ハイブリッドなど、素材によって審美性・強度・費用が異なる
- 自分の希望や歯の状態に合った素材を歯科医師と一緒に選ぶことが重要
- 保険診療との違いやメリット・デメリットも理解したうえで選択しよう
✅ 信頼できる歯科医院と技工所の選定がカギ
- オールセラミックの仕上がりは、歯科医師の形成技術と技工士のセンスに大きく左右される
- 症例実績やカウンセリングの丁寧さ、説明の分かりやすさも医院選びの重要なポイント
- 技工所と連携しているか、色合わせがきちんとできるかなども確認を
✅ メンテナンス次第で10年以上の美しさと快適性を実現!
- 毎日の正しい歯磨きと定期検診の継続が、セラミックの寿命を大きく左右
- 歯ぎしり対策としてのナイトガード使用も有効
- 美しさを保つには「治療して終わり」ではなく**“育てる意識”が大切**
🏥江戸川区篠崎でオールセラミック治療をお考えの方へ

美しい笑顔を手に入れたい方へ—— 江戸川区篠崎の当歯科では、金属を使用しない「オールセラミック治療」 を提供しています。
✨ オールセラミックの特徴
✔ 天然歯に近い透明感で、美しい仕上がり
✔ 金属アレルギーの心配なし、体に優しい素材
✔ 変色しにくく、長期間白さをキープ
当院では、患者さま一人ひとりに合わせた精密なオールセラミック治療 を行っております。
前歯の審美治療から、強度が求められる奥歯の補綴まで、経験豊富な歯科医師が丁寧に対応 いたします。
🔹 カウンセリング受付中!
「オールセラミックってどんな治療?」
「費用や治療期間は?」
そんな疑問にも丁寧にお答えします!
江戸川区篠崎でオールセラミック治療を検討中の方は、ぜひ一度ご相談ください。
✨ 自然な白い歯で、自信のある笑顔を手に入れましょう! ✨
歯周ポケットを掃除し改善するセルフケア法
筆者・院長

深沢 一
Hajime FUKASAWA
- 登山
- ヨガ
メッセージ
日々進化する歯科医療に対応するため、毎月必ず各種セミナーへの受講を心がけております。
私達は、日々刻々と進歩する医学を、より良い形で患者様に御提供したいと考え、「各種 歯科学会」に所属すると共に、定期的に「院内勉強会」を行う等、常に現状に甘んずる事のないよう精進致しております。 又、医療で一番大切な事は、”心のある診療”と考え、スタッフと共に「患者様の立場に立った診療」を、心がけております。





