- 1. 【📹 43秒】ファイバーコアの特徴とメタルコアとの違い|どちらを選ぶべき?
- 2. 🧱 ファイバーコアとは?基本構造と役割
- 2.1. 🧬 ファイバーコアの素材と構造(グラスファイバー+樹脂)
- 2.2. 🦴 ファイバーコアが必要になる症例とは?
- 2.3. 🌈 オールセラミックとの相性が良い理由
- 3. 前歯の黒ずみメタルタトゥーによる審美的問題
- 3.1. メタルタトゥーの症例:術前
- 3.1.1. 🔍 観察ポイントと解説
- 3.1.1.1. ■ 左上1番の状態(矢印部)
- 3.1.1.2. ■ メタルボンドクラウンの特徴
- 3.1.2. 🦷 臨床的考察
- 3.2. メタルタトゥーの症例:術後
- 3.2.1. 🔍 観察ポイントと経過の変化
- 3.2.1.1. ■ 左上1番の状態
- 3.2.1.2. ■ 補綴物の特徴
- 3.2.2. 🦷 改善点のまとめ
- 3.2.3. 💡 臨床的考察
- 4. 🛡 ファイバーコアのメリットとデメリット
- 4.1. ✅ メリット一覧(歯根破折予防・審美性・金属アレルギー対応)
- 4.1.1. 上顎5番の歯根破折(メタルコア)
- 4.1.1.1. 観察ポイント
- 4.2. ⚠️ デメリット一覧(適応症例の限界・技術差・費用)
- 4.3. 🔄 他の土台(メタルコア・レジンコア)との比較
- 5. 🧠 ファイバーコアが選ばれるケース
- 5.1. 💎 審美性重視の前歯治療
- 5.2. 🛠 再治療を見越した選択肢
- 5.3. 💥 金属アレルギーのある患者
- 5.4. 🧱 歯根が健全で残存歯質がある場合
- 6. 📸 症例紹介|ファイバーコアでここまで変わる!
- 6.1. 📍 症例①:前歯にファイバーコアを使用→審美回復症例
- 6.1.1. 🔎患者情報
- 6.1.2. 💡治療の流れ
- 6.1.3. ✅ 治療後の結果
- 6.2. 📍 症例②:メタルコアからファイバーコアに変更したケース
- 6.2.1. 🔎患者情報
- 6.2.2. 💡治療の流れ
- 6.2.3. ✅ 治療後の結果
- 6.3. 📍 症例③:奥歯にファイバーコアを使用したケース
- 6.3.1. 🔎患者情報
- 6.3.2. 💡治療の流れ
- 6.3.3. ✅ 治療後の結果
- 7. 🔄 ファイバーコアとメタルコアの違い
- 7.1. 🦷 弾性・歯根破折リスクの違い
- 7.2. 🌟 審美性・金属色の透けの違い
- 7.3. 🔧 再治療のしやすさ
- 7.4. 📊 比較表(強度・適応・費用など)
- 8. 💸 ファイバーコアの費用と保険適用
- 8.1. 💴 保険適用になる条件(CAD/CAM冠・適応症)
- 8.1.1. ✅ 保険適用となる主な条件
- 8.2. 🧾 保険と自費の費用比較表
- 8.2.1. 保険点数
- 8.3. 🪙当院のファイバーコア(自費)の費用
- 8.3.1. 自費治療
- 8.4. 🤔 自費ファイバーコアを選ぶべき人とは?
- 8.4.1. 🎯 自費を選ぶべき人の特徴
- 9. 🧪 ファイバーコア治療の流れ【STEP解説】
- 9.1. 🩻 STEP1:診断・レントゲン・CT
- 9.2. 🔬 STEP2:根管治療と消毒
- 9.3. 🧱 STEP3:支台築造(接着処理含む)
- 9.4. 🦷 STEP4:クラウン装着(仮歯→最終補綴)
- 10. 💬 よくある質問Q&A(FAQ)
- 10.1. ❓ どのくらい持ちますか?寿命と耐久性
- 10.2. ❓ 再治療は可能ですか?
- 10.3. ❓ 誰にでも使えますか?適応外のケース
- 10.3.1. 🚫 ファイバーコアが適さない例
- 10.4. ❓ 金属コアと迷っています。どう選べば?
- 11. 📝 まとめ|ファイバーコアは“未来を見据えた選択”
- 11.1. 💡 審美・安全・再治療性すべてを考慮した支台選びを
- 11.2. 🏥 医院選びは“ファイバーコアの経験”と“接着技術”がカギ
- 11.3. 🎯 カウンセリングで自分に合った選択を
- 12. 江戸川区篠崎でファイバーコア治療をご希望の方へ
- 13. 【動画】歯茎の出来物、フィステル、口内炎、口腔癌の見分け方
- 14. 筆者・院長

「歯の土台が金属じゃないって本当?」
根管治療後にクラウン(かぶせ物)を入れる際、見えない“土台”部分に何を使うかは、歯の寿命や見た目に大きく影響します。
近年注目されているのが、**グラスファイバーを使った「ファイバーコア」**という支台材料。金属に比べてしなやかで、見た目も自然、そして将来的な再治療にもやさしい素材です。
本記事では、ファイバーコアのメリット・デメリット・保険適用の条件・治療の流れまで、患者目線でわかりやすく解説します。
「メタルコアとどちらを選べばいい?」「費用は?」「本当に長持ちするの?」という疑問にもお答えしますので、治療前にぜひお読みください。
【📹 43秒】ファイバーコアの特徴とメタルコアとの違い|どちらを選ぶべき?
🧱 ファイバーコアとは?基本構造と役割
ファイバーコアとは、根管治療後に歯を補強するための「土台(コア)」です。クラウン(かぶせ物)をしっかり固定し、歯の機能と審美性を回復させる重要なパーツです。
従来は金属製の「メタルコア」が主流でしたが、現在では**歯にやさしく審美性にも優れた「ファイバーコア」**が広く使用されています。


🧬 ファイバーコアの素材と構造(グラスファイバー+樹脂)
ファイバーコアは、グラスファイバー(ガラス繊維)を芯に、レジン(樹脂)で固めた構造になっています。
この複合素材によって、以下のような特徴が得られます:
- 🪶 天然歯に近い“しなやかさ”(弾性)
- 💡 光の透過性があり、自然な見た目に仕上がる
- 🧱 金属を含まないので、金属アレルギーの心配がない
この柔軟性により、噛む力を分散し、歯根への負担を軽減する効果があります。
🦴 ファイバーコアが必要になる症例とは?
以下のような場合に、ファイバーコアの装着が検討されます:
- 🦷 神経を取った歯(根管治療後)
→ 歯の内部が空洞になり、脆くなるため支台補強が必要。 - 🦷 大きなむし歯で歯質が失われたケース
→ クラウンを安定させるために土台が必要。 - 🦷 前歯など“見た目”を重視する部位
→ 審美性の高い仕上がりが求められるため、金属の使用は避けたい。 - 🦷 金属アレルギーの心配がある方
→ 金属を一切含まないファイバーコアなら安心。
🌈 オールセラミックとの相性が良い理由
ファイバーコアは、オールセラミッククラウンとの相性が抜群です。その理由は以下の通りです:
- ✨ 光を透過するため、透明感のあるクラウンに仕上がる
- 🧼 金属色が透けないので、歯ぐきとの境目も自然
- 🧲 メタルコアでは避けられない“黒ずみ”が発生しない
- 🛡 セラミックと同様、金属アレルギーの心配がない
そのため、審美性を最も重視する前歯の治療には、ファイバーコア+オールセラミックの組み合わせがベストとされています。
前歯の黒ずみメタルタトゥーによる審美的問題
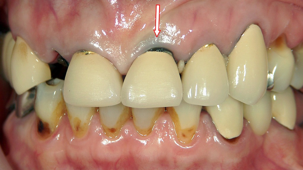
メタルタトゥーの症例:術前
この画像は、上顎前歯部(特に左上1番)にメタルボンドクラウンが装着されている口腔内写真です。以下に詳細を説明します。

🔍 観察ポイントと解説
■ 左上1番の状態(矢印部)
赤い矢印で示された部分では、歯肉の縁に**灰青色の変色(メタルタトゥー)**が見られます。
これは、**メタルコアの素材が銀合金(シルバー合金)**であることが原因と考えられます。金属イオンが微量に溶出し、歯肉組織内に沈着することでこのような色調変化が起こります。
■ メタルボンドクラウンの特徴
左上1番のクラウンは、内面に金属フレーム(メタル)をもち、表層にセラミックを焼き付けたメタルボンド冠です。
経年的な歯肉退縮により、金属フレームの縁が歯肉付近で露出し、審美的な問題(黒っぽいライン)を引き起こしています。
🦷 臨床的考察
この症例は、銀合金メタルコアを使用したメタルボンドクラウンによる審美的問題の典型例です。
歯肉変色(メタルタトゥー)や歯周炎が進行しており、今後は**ファイバーコア+オールセラミック(またはジルコニア)**への再治療が望ましいと考えられます。
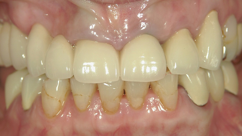
メタルタトゥーの症例:術後
この画像は、前回のメタルボンドクラウン症例の術後1年経過時の状態を示しています。以下に詳細な解説を行います。

🔍 観察ポイントと経過の変化
■ 左上1番の状態
前回、銀合金メタルコアによる**歯肉のメタルタトゥー(青黒い変色)**が見られた部分は、
ファイバーコアへ置換し、オールセラミッククラウンで補綴された結果、歯肉色は自然なピンクに近づいています。
わずかに変色が残存していますが、臨床的にはほぼ審美的に改善しています。
■ 補綴物の特徴
新たに装着されたクラウンは金属を使用しないオールセラミックであり、
透明感・光の透過性が天然歯に近く、周囲の歯肉との調和も良好です。
歯頚部ラインも滑らかで、歯肉との境界に黒変が見られません。
🦷 改善点のまとめ
| 改善項目 | 術前の状態 | 術後1年後の状態 |
|---|---|---|
| 歯肉の変色 | 明らかな青黒いメタルタトゥー | ごくわずかに残るがほぼ消失 |
| クラウンの色調 | 不自然な不透明感、金属縁の露出 | 天然歯に近い明るさと透明感 |
| 歯肉の健康状態 | 軽度の炎症・腫脹あり | 発赤消失、健康的な歯肉ライン |
| 審美性 | 金属の露出が目立つ | 自然で調和のとれた見た目 |
💡 臨床的考察
ファイバーコアとオールセラミックの組み合わせにより、
- 金属イオンによる歯肉変色が防止され、
- 歯肉との親和性が高まり、
- 長期的な審美性が維持しやすくなっています。
1年経過後の状態からみても、歯肉の安定性・補綴物の適合性は良好と判断されます。
🛡 ファイバーコアのメリットとデメリット
ファイバーコアは、従来のメタルコアやレジンコアに代わる「次世代の歯の土台」として注目されています。ここでは、ファイバーコアの主なメリットとデメリット、さらに他の支台材料との違いをわかりやすく解説します。
✅ メリット一覧(歯根破折予防・審美性・金属アレルギー対応)

1. 歯根破折のリスクを軽減
天然歯に近い“しなやかさ”を持つファイバーコアは、噛む力を分散し、歯根にかかる負担を減少させます。そのため、メタルコアよりも歯根破折のリスクが圧倒的に低いとされています。
2. 高い審美性
ファイバーコアは光を透過する性質があり、上に被せるオールセラミッククラウンと自然に調和します。金属色が透けないため、前歯など見た目が重要な部位に最適です。
3. 金属アレルギーの心配がない
完全に**メタルフリー(非金属)**の素材で構成されているため、金属アレルギーのある方にも安心して使用できます。
4. 再治療がしやすい
ファイバーコアは除去が容易なため、将来、再治療が必要になった際にも歯へのダメージを最小限に抑えられます。
上顎5番の歯根破折(メタルコア)

赤い矢印で示された上顎5番の根管内には、メタルコアが装着されています。その周囲には**歯根破折の透過像(黒く抜けて見える部分)**が確認できます。
観察ポイント
- 垂直性の透過像
歯根に沿うように黒い線状の透過像が見られ、これは典型的な歯根破折の所見です。 - メタルコアの存在
メタルコアは硬く、力が集中しやすいため、長期的には歯根破折のリスクが高まります。 - 周囲歯槽骨の吸収
破折に伴い、周囲の骨が部分的に吸収しています。
⚠️ デメリット一覧(適応症例の限界・技術差・費用)
1. 適応できないケースがある
・歯根が大きく破折している
・歯質がほとんど残っていない
・極端に強い咬合力がかかる奥歯
これらの症例では、ファイバーコアでは十分な補強ができないことがあります。
2. 治療技術に差が出る
接着処理が非常に重要であるため、歯科医の技術によって成功率が左右される点もデメリットの一つです。
3. 自費診療になることが多い
保険適用のファイバーコアもありますが、強度や審美性を重視した高品質なものは自費扱いとなり、費用負担が大きくなる場合があります。
🔄 他の土台(メタルコア・レジンコア)との比較
| 項目 | ファイバーコア | メタルコア | レジンコア |
|---|---|---|---|
| 素材 | グラスファイバー+樹脂 | 金属(銀合金など) | 樹脂のみ |
| 弾性 | ◎(天然歯に近い) | △(硬すぎ) | ○(柔らかい) |
| 歯根破折リスク | 低い | 高い | 中程度 |
| 審美性 | ◎(光を透過) | ×(金属色が透ける) | ○(白いがやや濁る) |
| 金属アレルギー | なし | あり | なし |
| 再治療のしやすさ | ◎(除去しやすい) | ×(除去困難) | ◎ |
| 費用 | △(自費の場合あり) | ◎(保険適用) | ◎(保険適用) |
🧠 ファイバーコアが選ばれるケース
ファイバーコアは万能な材料ではありませんが、条件が合えば非常に高いパフォーマンスを発揮します。ここでは、ファイバーコアが特におすすめされる4つの代表的なケースを紹介します。
💎 審美性重視の前歯治療
前歯は、笑ったときや会話中にもっとも目立つ部位です。
そのため、透明感や自然な白さが求められる方にはファイバーコアが最適です。
- 🌟 光を透過するため、オールセラミッククラウンと自然に調和
- 🖤 メタルコアで起こりがちな「黒ずみ」や「歯ぐきの変色」を回避
- 📸 見た目の美しさにこだわる審美歯科治療では必須の素材
→ 見た目にこだわる方には、金属を使わないファイバーコアが強く推奨されます。
🛠 再治療を見越した選択肢
歯科治療は一度で終わるとは限りません。将来の再治療も考慮するなら、取り外しのしやすいファイバーコアが有利です。
- 🧩 メタルコアは除去時に歯を大きく削るリスクあり
- 🔧 ファイバーコアは比較的簡単に除去でき、歯質へのダメージが少ない
- 📈 再治療の選択肢を残しておきたい方にとって安心な素材
→ 長期的に歯を守るという意味でも、ファイバーコアは合理的な選択肢です。
💥 金属アレルギーのある患者
金属アレルギーをお持ちの方には、金属を一切使用しないファイバーコアが理想的です。

- 🤧 メタルコアに含まれるニッケルや銀がアレルゲンになることも
- 🧪 ファイバーコアはグラスファイバーと樹脂製なのでアレルギー反応の心配なし
- ⚡ 口腔内の不快な電流(ガルバニー電流)の原因にもなりにくい
→ 皮膚炎や粘膜のトラブルを防ぐためにも、金属フリー治療が重要です。
🧱 歯根が健全で残存歯質がある場合
ファイバーコアは、ある程度の歯質が残っているケースにもっとも適しています。
- 💡 適度な弾性で、歯根に無理な力をかけずに補強できる
- 🦷 十分な歯質があることで、強固に接着できる
- 🔍 歯根が大きく破折していたり、歯質がほぼ残っていない場合は適応外になることも
→ 残存歯質がしっかりある場合、ファイバーコアは理想的な支台構築材料です。
📸 症例紹介|ファイバーコアでここまで変わる!
ファイバーコアは見た目だけでなく、歯の保存性や将来の再治療のしやすさにも優れた治療法です。ここでは、実際の症例をもとに、どのようなメリットが得られるのかを具体的にご紹介します。
📍 症例①:前歯にファイバーコアを使用→審美回復症例

上顎1番の歯根にファイバーコアを装着
ファイバーコアは歯の色とほぼ同じです。被せ物を作る為にシェードガイドを使い色合わせをしています。

オールセラミッククラウンを装着
ファイバーコアの上にオールセラミッククラウンをセットした写真です。
🔎患者情報
- 年齢・性別:50代女性
- 主訴:「前歯のクラウンの色が浮いて見える」
- 治療前の状態:
- 過去にメタルコア+オールセラミッククラウンを装着
- クラウンの内部の金属色が透けており、見た目が不自然
- 歯ぐきが少し下がり、メタルコアの金属部分が見えてしまっている
💡治療の流れ
- メタルコアを除去 → 歯根に負担をかけないように慎重に取り除く
- 根管の状態を確認 → 問題がなかったため、ファイバーコアを築造
- オールセラミッククラウンを装着 → 自然な色合いに調整
✅ 治療後の結果
- 金属色が透けることなく、自然な歯の色に仕上がった
- 歯ぐきとの境目も自然で、審美性が大幅に向上
- 光透過性のあるファイバーコアがオールセラミッククラウンと調和し、よりリアルな見た目を実現
📍 症例②:メタルコアからファイバーコアに変更したケース

上顎2番の歯根にファイバーコアを装着
ファイバーコアは象牙質の色とほぼ同じです。

メタルボンドをセット
非常に審美的に良い状態に仕上がっているため天然歯との区別がつきません。
🔎患者情報
- 年齢・性別:40代女性
- 主訴:「昔治療した歯が黒ずんできたので、きれいにしたい」
- 治療前の状態:
- 10年前にメタルコア+金属焼付けセラミッククラウン(メタルボンド)を装着
- 金属が溶出し、歯ぐきの色が黒ずんで見える(メタルタトゥー)
- クラウンの色調が合わず、不自然な印象
💡治療の流れ
- メタルコアを除去 → 歯根を傷つけないよう慎重に対応
- 歯ぐきの黒ずみを改善 → メラニン除去処置を実施
- ファイバーコアを装着 → 透明感のある支台で、自然な仕上がりを目指す
- オールセラミッククラウンを装着 → 患者の希望に合わせて色を調整
✅ 治療後の結果
- 金属色が透けず、自然な白さを実現
- 歯ぐきの黒ずみも改善され、より健康的な見た目に
- ファイバーコアの導入で、歯根破折のリスクも軽減
📍 症例③:奥歯にファイバーコアを使用したケース

🔎患者情報
- 年齢・性別:40代男性
- 主訴:「奥歯の詰め物が取れたので、しっかりとした治療をしたい」
- 治療前の状態:
- 大臼歯(奥歯)に大きなむし歯があり、神経を取る必要があった
- 強い咬合力がかかる部位のため、強度が求められる
💡治療の流れ
- 根管治療を実施 → 感染部分を除去し、根管をしっかり密封
- ファイバーコアを装着 → 奥歯でも強度が保てるように最適な材料を使用
- ジルコニアクラウンを装着 → 強度があり、審美性も考慮した選択
✅ 治療後の結果
- 強度を保ちつつ、金属を使用しない治療が可能に
- メタルコアと違い、歯根破折のリスクを軽減
- 強い咬合力にも耐えられるように、適切な材料と接着技術を採用
🔄 ファイバーコアとメタルコアの違い
歯の土台には主に**ファイバーコアとメタルコア(銀合金などの金属製支台)**の2種類があります。それぞれに特徴がありますが、見た目・耐久性・再治療のしやすさなどで大きな違いが出ます。以下でポイントごとに解説します。
🦷 弾性・歯根破折リスクの違い
| 材料 | 弾性 | 歯根への影響 |
|---|---|---|
| ファイバーコア | 天然歯に近い柔軟性 | 噛む力を分散し、歯根破折を予防 |
| メタルコア | 非常に硬い | 応力が集中しやすく、歯根破折のリスクが高まる |
メタルコアは硬すぎるため、強い咬合力がかかったときに歯根へ“くさび”のような力が加わることがあり、破折の原因になります。一方ファイバーコアはしなることで衝撃を吸収し、歯を守る働きをします。
🌟 審美性・金属色の透けの違い
| 項目 | ファイバーコア | メタルコア |
|---|---|---|
| 色調 | 白く半透明 | 金属色(グレー) |
| 光透過性 | ◎(オールセラミックと調和) | ×(黒ずみ・金属色が透ける) |
| 審美治療への適性 | 非常に高い | 低い(歯ぐきが下がると金属が露出) |
ファイバーコアは前歯などの審美治療と相性が非常に良く、透明感のあるオールセラミッククラウンと組み合わせることで自然な見た目を実現できます。
メタルコアでは**金属の影が透けたり、歯ぐきが黒ずむ(メタルタトゥー)**といった審美的な問題が起こりがちです。
🔧 再治療のしやすさ
ファイバーコアは接着剤で固定されていても比較的除去しやすいのが特徴です。
- 🔄 ファイバーコア:歯質を多く残して取り外しが可能
- ❌ メタルコア:除去が難しく、歯を大きく削る必要あり
そのため、将来的に根管の再治療が必要になった場合、歯に優しい選択肢といえます。
📊 比較表(強度・適応・費用など)
| 項目 | ファイバーコア | メタルコア |
|---|---|---|
| 素材 | グラスファイバー+樹脂 | 銀合金、金合金などの金属 |
| 弾性 | ◎(しなやか) | ×(硬い) |
| 歯根破折リスク | 低い | 高い |
| 審美性 | ◎(透けにくい) | ×(黒ずむ可能性あり) |
| 金属アレルギー | なし | あり(ニッケルなど) |
| 再治療のしやすさ | ◎(除去しやすい) | △(除去困難) |
| 保険適用 | あり(保険の被せ物時のみ) | 保険適用あり(保険の被せ物時のみ) |
| 自費の費用目安 | 約1〜3万円 | 保険適用なら数千円 |
💸 ファイバーコアの費用と保険適用
ファイバーコアは、素材や治療法によって保険が適用されるケースと自費になるケースがあります。ここでは、費用の目安や保険適用の条件、自費を選ぶべきケースなどを詳しく解説します。
💴 保険適用になる条件(CAD/CAM冠・適応症)
ファイバーコアは2016年から一部条件下で保険適用となりました。ただし、どのようなケースでも保険が使えるわけではありません。
✅ 保険適用となる主な条件
- 使用するクラウンがCAD/CAM冠など保険対象のもの
- コアの材料が「グラスファイバー入りのレジン」など保険認可されたもの
- 適応症(根管治療後など)が明確であること
📝 一方で、オールセラミッククラウンやジルコニアクラウンを使用する場合は、ファイバーコアも自費診療扱いになるのが一般的です。
🧾 保険と自費の費用比較表
以下は、保険診療と自費診療におけるファイバーコアの費用目安です(3割負担・2025年現在の参考価格)。
| 項目 | 保険診療(3割負担) | 自費診療 |
|---|---|---|
| ファイバーコア(土台) | 約1,000〜3,000円 | 約10,000〜30,000円 |
| 被せ物(クラウン) | CAD/CAM冠:約5,000〜10,000円 | オールセラミック:約80,000〜150,000円 |
保険点数
| 種類 | 金額 ※単位:保険点数 |
|---|---|
| 直接法 | 前歯・小臼歯:212~281点 大臼歯:250~319点 |
| 間接法 | 前歯・小臼歯:234~303点 大臼歯:272~341点 |
💡 保険診療ではコストを抑えられますが、素材の選択肢や仕上がりの美しさには限界があります。
💎 自費診療では高品質な素材が使え、審美性・耐久性に優れるというメリットがあります。
🪙当院のファイバーコア(自費)の費用
自費治療
保険適用外です。
治療内容 | 内訳 | 値段 |
|---|---|---|
| ファイバーコア | 前歯・奥歯共通 グラスファイバー | ¥20,900 (税抜き ¥19,000) |
🤔 自費ファイバーコアを選ぶべき人とは?
以下のような方には、保険ではなく自費の高品質なファイバーコアをおすすめします。
🎯 自費を選ぶべき人の特徴
- 🌈 オールセラミッククラウンなど審美性を重視した治療を希望
- 🦷 前歯で透明感や自然な白さを求める
- 💥 金属アレルギーがあり、メタルフリー治療を希望
- 📈 将来の再治療まで見越して、歯を長く守りたい
- 📸 写真・接客業などで口元の美しさが気になる方
自費診療は一時的に費用はかかりますが、長期的な満足度・再治療の回避・審美性という面で非常に高い価値があります。
🧪 ファイバーコア治療の流れ【STEP解説】
ファイバーコアの治療は、根管治療を行った後の歯に対して**「土台」を作り、クラウンを装着する一連の工程**です。ここでは、治療の流れを4つのステップに分けて詳しく解説します。
🩻 STEP1:診断・レントゲン・CT
治療の第一歩は、歯の状態を正確に診断することから始まります。
- 🧐 視診・触診で歯の欠損状況や歯ぐきの健康状態を確認
- 📸 レントゲン撮影で根の形や長さ、むし歯・感染の有無を評価
- 🧠 CT撮影(必要に応じて)で立体的に歯根の状態を把握
この段階で、歯が保存可能かどうか・ファイバーコアが適応かどうかを判断します。
🔬 STEP2:根管治療と消毒
歯の神経が死んでいる・感染している場合は、**根管治療(神経の除去と消毒)**が必要です。
- 🦷 感染した神経や歯質を丁寧に除去
- 🧼 根管内を専用の器具と薬剤で清掃・消毒
- 🧴 根管充填剤で密封し、再感染を防止
根管治療の成功がファイバーコアの長期安定性に直結しますので、精密な処置が求められます。
🧱 STEP3:支台築造(接着処理含む)
根管治療が完了したら、ファイバーコアによる土台(支台)づくりに入ります。
- ✂️ 歯の形を整え、コアを適合させるための形成
- 🧪 接着処理(プライマー+レジンセメント)を丁寧に施す
- 🧩 グラスファイバー入りのコアを挿入・固定
- 🔍 最終的にクラウンが被せやすいように形を整える
このステップでの接着の精度が、脱離防止や長期使用に大きく影響します。
🦷 STEP4:クラウン装着(仮歯→最終補綴)
支台が完成したら、クラウン(かぶせ物)で最終的な歯の形を再現します。
- 🧾 型取り(印象採得)を行い、歯科技工所でクラウンを作製
- 😬 仮歯を装着し、形や噛み合わせ・見た目を確認
- 💍 最終クラウン(オールセラミックなど)を接着剤で装着
- 🪞 噛み合わせ・色調・フィット感を最終調整して完了
ファイバーコアはオールセラミックとの相性が抜群なので、透明感のある自然な歯に仕上がるのが魅力です。
💬 よくある質問Q&A(FAQ)
ファイバーコア治療を検討している方からよく寄せられる質問に、歯科医師の視点で丁寧にお答えします。迷っている方・不安な方の参考になる情報をまとめました。
❓ どのくらい持ちますか?寿命と耐久性
🦷 ファイバーコア自体の耐久性は非常に高く、適切な処置とケアがあれば
▶️ 10年以上使用できるケースも珍しくありません。
ただし、以下のような要因で寿命に差が出ることがあります。
- 根管治療の精度(再感染がないか)
- クラウンとの適合性
- 噛み合わせ(強い力がかかる奥歯など)
- 日常のケアや定期検診の有無
💡 治療後のメンテナンス次第で寿命は大きく伸ばせます。
❓ 再治療は可能ですか?
はい、ファイバーコアは比較的容易に除去できるため、再治療にも対応しやすいのがメリットです。
- メタルコアは除去時に歯を大きく削る必要がありますが、
- ファイバーコアは歯への負担が少なく、歯質を残しやすい構造になっています。
📌 再治療の際にも歯をできるだけ保存したい方に向いている支台材といえます。
❓ 誰にでも使えますか?適応外のケース
ファイバーコアは多くの症例に対応可能ですが、すべての方に使えるわけではありません。
以下のようなケースでは、使用が難しいことがあります。
🚫 ファイバーコアが適さない例
- 歯根が大きく破折している
- 歯質が極端に少なく、支台の保持力が確保できない
- 咬合力(噛む力)が極端に強い奥歯
- 根管治療が適切に行われていない場合(感染リスクがある)
このような場合は、補強処置やメタルコアへの変更が検討されることもあります。
❓ 金属コアと迷っています。どう選べば?
▶️ 審美性・安全性・再治療性を重視する方には、ファイバーコアが圧倒的におすすめです。
一方で、以下のような場合はメタルコアの選択も視野に入ります。
| 状況 | おすすめされるコア |
|---|---|
| 奥歯など強度が必要 | メタルコア(ただし歯根破折リスクあり) |
| 前歯・見た目重視 | ファイバーコア(透明感あり) |
| 金属アレルギーがある | ファイバーコア |
| 将来の再治療も考慮 | ファイバーコア |
📝 まとめ|ファイバーコアは“未来を見据えた選択”
ファイバーコアは、ただの「土台」ではありません。
歯を長く、美しく、健康に保つための重要な選択肢です。
ここで改めて、ファイバーコアが持つ本質的な価値と、治療を成功させるためのポイントを整理します。
💡 審美・安全・再治療性すべてを考慮した支台選びを
- 🌟 見た目の美しさ(審美性)
- 🛡 歯根破折を防ぐしなやかさ(安全性)
- 🔧 再治療にも対応しやすい構造(長期的なメンテナンス性)
これらをバランスよく備えているのがファイバーコアです。
とくに前歯や金属アレルギーのある方にとっては、「今」だけでなく「将来」を見据えた最適な選択になりえます。
🏥 医院選びは“ファイバーコアの経験”と“接着技術”がカギ
ファイバーコア治療の成否は、歯科医師の経験と技術に大きく左右されます。
- 🎯 根管治療の精密さ
- 🧪 接着処理(レジンセメント)の適切な使い方
- 🛠 築造とクラウンの適合精度
こうした工程を丁寧かつ一貫して対応できる医院を選ぶことで、トラブルの少ない、長持ちする治療が実現します。
🎯 カウンセリングで自分に合った選択を
治療のゴールは、患者一人ひとりの価値観やライフスタイルによって異なります。
- 「できるだけ長く自分の歯を使いたい」
- 「見た目にこだわりたい」
- 「金属は使いたくない」
そんな思いがある方は、まずは信頼できる歯科医院でカウンセリングを受けてみてください。
ファイバーコアが**ご自身の希望に合っているかどうか、丁寧に説明してもらうことが大切です。
🔚 ファイバーコアは、見えない部分だからこそ“後悔しないための選択”が問われる治療です。
しっかりと理解したうえで、自分に合った方法を選びましょう。
江戸川区篠崎でファイバーコア治療をご希望の方へ

江戸川区篠崎で審美性と耐久性を両立した歯の治療をご希望の方へ――
当院では、**金属を使わず、見た目も自然で歯に優しい「ファイバーコア治療」**を行っています。
従来のメタルコアに比べ、歯根破折のリスクを抑え、再治療もしやすいのが特長です。
特に、前歯の見た目が気になる方、金属アレルギーが心配な方、長く自分の歯を守りたい方におすすめです。
江戸川区篠崎で、見えない部分までこだわる丁寧な歯科治療をご希望の方は、ぜひご相談ください。
【動画】歯茎の出来物、フィステル、口内炎、口腔癌の見分け方
筆者・院長

深沢 一
Hajime FUKASAWA
- 登山
- ヨガ
メッセージ
日々進化する歯科医療に対応するため、毎月必ず各種セミナーへの受講を心がけております。
私達は、日々刻々と進歩する医学を、より良い形で患者様に御提供したいと考え、「各種 歯科学会」に所属すると共に、定期的に「院内勉強会」を行う等、常に現状に甘んずる事のないよう精進致しております。 又、医療で一番大切な事は、”心のある診療”と考え、スタッフと共に「患者様の立場に立った診療」を、心がけております。


