- 1. 【🎞️ 29秒】強度と美しさを兼ね備えたメタルボンド
- 2. 💡 メタルボンドの基本知識
- 2.1. 🔍 メタルボンドの構造と仕組み
- 2.2. 🧪 使用される金属の種類と特徴
- 2.3. 🧱 内側金属+外側セラミックの利点とは
- 3. 🔄 他素材との比較|ジルコニア・オールセラミックとどう違う?
- 3.1. ⚔️ 強度・耐久性の比較
- 3.2. 🌈 審美性と透明感の違い
- 3.2.1. 🔍 観察ポイント
- 3.2.2. ⚠️ 想定される原因
- 3.2.3. 💡 改善の選択肢
- 3.3. 🛡 金属アレルギーとリスクの有無
- 3.4. 💰 費用感とコストパフォーマンス比較
- 4. ✅ メリット・選ばれる理由
- 4.1. 💪 奥歯にも対応できる高強度
- 4.2. 🌟 自然な見た目を実現
- 4.3. 🧩 広い適応範囲(前歯〜ブリッジ)
- 4.3.1. 保険適用の硬質レジン前装冠
- 5. ⚠️ デメリットと注意点
- 5.1. 歯肉退縮による審美的問題
- 5.1.1. 🦷 状況の解説
- 5.1.2. 🔍 処置内容とその限界
- 5.1.3. 💡 審美改善のための考慮点
- 5.1.4. ✍️ まとめ
- 5.2. 💥メタルボンド破折|長期使用で起こりやすいトラブルと注意点
- 5.3. 🧬 金属アレルギーの可能性
- 5.4. 💸 保険適用外のため自費治療
- 5.5. 🫥 透明感ではオールセラミックに劣る
- 6. 🏥 どんなケースに向いている?
- 6.1. 😁 前歯の自然な仕上がりを目指す場合
- 6.2. 🦷 奥歯やブリッジの高負荷部位
- 6.3. 🚫 金属アレルギーがある方への非推奨
- 7. ⏳ 寿命と耐久性|何年持つのか?
- 7.1. ⛓ 10~15年が目安、長期使用も可能
- 7.2. 🧼 メンテナンスと清掃性の良さ
- 7.3. 🧑🔬 歯科医師の技術と適合性がカギ
- 8. 🪥 長持ちさせるためのケアと生活習慣
- 8.1. 🦷 日々のブラッシングとフロス
- 8.2. 🏥 6ヶ月ごとの定期検診とPMTC
- 8.3. 😬 歯ぎしり対策とナイトガード活用
- 8.4. 🚭 禁煙と食生活の見直し
- 9. 🔧 修理や再治療が必要なケースとは?
- 9.1. 💥 セラミックの欠け・破損
- 9.2. 🌪 金属の劣化や腐食
- 9.3. 🦷 接着セメントの剥がれ
- 9.4. 🦠 歯周病や虫歯による支台歯の問題
- 9.5. 🧮 再治療にかかる費用と流れ
- 10. 🛠 治療の流れ|初診から装着まで
- 10.1. 👩⚕️ カウンセリングと適応判断
- 10.2. 🦴 土台(メタルコア)の装着
- 10.3. 🎨 シェードテイキングと印象採得
- 10.4. 🔄 仮装着→噛み合わせ調整→セメント合着
- 11. 📷 症例紹介とビフォーアフター
- 11.1. 📸 歯周病治療後の補綴症例
- 12. 🧾 他素材との料金比較
- 12.1. 💡 選び方のポイント
- 13. 🕰 メタルボンドの歴史と進化
- 13.1. 🏛 1950年代の登場背景
- 13.2. 🔬 技術革新による審美性の向上
- 13.3. 🚀 現代における位置づけと症例数
- 14. 🙋♂️ メタルボンド vs 保険の硬質レジン前装冠|よくある質問(Q&A)
- 14.1. Q:見た目の違いはありますか?
- 14.2. Q:強度や耐久性はどう違いますか?
- 14.3. Q:費用にどれくらい差がありますか?
- 14.4. Q:前歯など目立つ場所にはどちらが向いていますか?
- 14.5. Q:耐用年数はどのくらい?
- 15. 🙋♀️ よくある質問(FAQ)
- 15.1. Q:メタルボンドとジルコニア、どちらが良いですか?
- 15.2. Q:前歯でも金属が透けますか?
- 15.3. Q:費用はどのくらいかかりますか?
- 15.4. Q:治療期間はどれくらい?
- 16. 📍 江戸川区篠崎でメタルボンドをご希望の方へ
- 17. 筆者・院長

「見た目も大事だけど、しっかり噛める歯にしたい」――そんな方に選ばれているのがメタルボンドクラウンです。
内側に金属、外側にセラミックを使用することで、強度と審美性のバランスが取れた補綴(ほてつ)治療として、長年にわたり多くの症例に使われてきました。
本記事では、メタルボンドの特徴・ジルコニアやオールセラミックとの違い・費用相場・治療の流れ・注意点までをわかりやすく解説します。
「どの素材が自分に合っているかわからない…」という方も、ぜひ参考にしてください。
【🎞️ 29秒】強度と美しさを兼ね備えたメタルボンド
💡 メタルボンドの基本知識
🔍 メタルボンドの構造と仕組み
メタルボンドとは、内側に金属、外側にセラミック(陶材)を焼き付けたクラウン(被せ物)のことです。正式には「陶材焼付鋳造冠(PFM)」と呼ばれ、金属の強度とセラミックの審美性を兼ね備えています。歯科技工所で製作される際、まず金属製のフレームを鋳造し、その上からセラミックを何層にもわたって焼き付けることで、自然な色合いと形態が再現されます。
この構造により、咬合力が強くかかる奥歯やブリッジにも使用できる耐久性を実現しながら、見た目の美しさも維持できます。特に「フルベイク」と呼ばれる工程では、金属が見えにくいように内側や裏側までセラミックで覆う技術もあり、審美性をより高めた仕上がりが可能です。

🧪 使用される金属の種類と特徴
メタルボンドの内側に使用される金属は、主にセミプレシャスメタル(準貴金属)が中心です。金や白金、パラジウムなどを含む合金がよく用いられ、強度・耐蝕性・加工性に優れています。特に、白金加金合金(PG合金)は、セラミックとの膨張係数が近く、熱による剥がれを防ぐ点で優れた適合性を持っています。
一方で、ニッケル系やコバルト系合金などを用いるとコストは抑えられますが、金属アレルギーのリスクが高まるため、金属アレルギーの既往がある患者には慎重な素材選定が必要です。高品質なメタルボンドは、見た目だけでなく、体にも優しい素材を選んでいるかどうかも重要なポイントになります。
🧱 内側金属+外側セラミックの利点とは

メタルボンド最大の魅力は、内側の金属による「強度」と、外側のセラミックによる「審美性」が両立している点にあります。金属がベースにあることで、割れやすいセラミックをしっかり支え、力のかかる部位でも安心して使用できます。セラミック部分は吸水性がなく、長期間使用しても変色しにくいため、見た目もきれいなまま維持しやすいのが特長です。
また、調整がしやすく適合精度も高いため、患者ごとの歯列や咬合にも対応しやすく、ブリッジのような複数歯にまたがる補綴にも適応します。このように、メタルボンドは機能性と美しさを兼ね備えた“バランスの良い”補綴物として、今なお多くの歯科医院で選ばれ続けています。
🔄 他素材との比較|ジルコニア・オールセラミックとどう違う?
⚔️ 強度・耐久性の比較
メタルボンドは、内側に金属フレームを持つため非常に高い強度を誇ります。咬合力が強くかかる奥歯や長さのあるブリッジなど、負荷の大きい部位でも安心して使用できます。ジルコニアも硬度が非常に高く、摩耗や破折に強いため、近年では奥歯の補綴にも多く使用されるようになっています。
一方で、オールセラミックは100%陶材で作られており、審美性には優れていますが、金属やジルコニアに比べるとやや脆く、強い力が加わる部位には不向きです。強度を重視するなら、メタルボンドかジルコニアが選ばれるケースが多くなります。
🌈 審美性と透明感の違い
審美性の面では、オールセラミックがもっとも優れています。天然歯に近い透明感と色調の再現が可能で、前歯のように見た目を最重視する部位に適しています。ジルコニアも白い素材で審美性は高いものの、やや不透明で、自然な透け感には劣る傾向があります。
メタルボンドも外側はセラミックで覆われているため見た目は自然ですが、内側の金属が光の透過性を妨げるため、透明感ではやや見劣りします。また、歯茎が後退した際に金属の縁が見える「ブラックマージン」が生じることもあります。前歯で極めて高い審美性を求める場合は、オールセラミックの方が適しているでしょう。
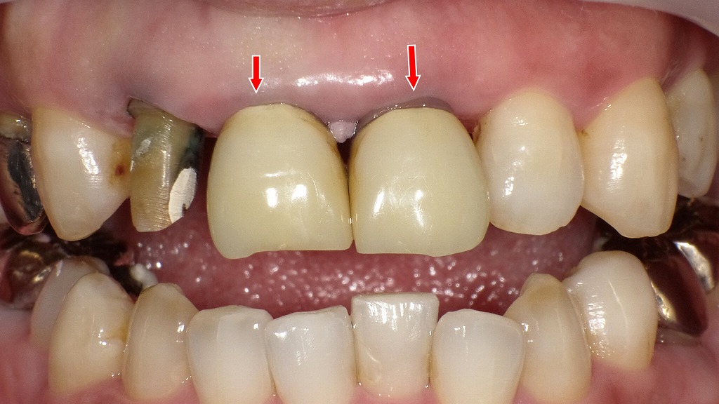
この写真は、左上の中切歯(左上1番)にメタルボンド冠(陶材焼付鋳造冠)が装着されている状態を示しています。矢印の部分に注目すると、以下のような特徴と問題点が確認できます。

🔍 観察ポイント
- 補綴物(被せ物):左上1番にメタルボンド冠が装着されています。内部は金属、外側にセラミックが焼き付けられた構造です。
- ブラックマージン(黒い境界線):歯茎との境目に黒いラインが見えます。
- 歯肉退縮:補綴物周囲の歯ぐきが下がっており、以前より歯根方向に歯肉ラインが後退しています。その結果、マージン(被せ物の境界の歯根)が露出しています。
- 審美的不調和:隣接する天然歯と比べると、歯の色味や透過感に違いがあり、特に歯頸部付近の歯根露出が審美的な問題となっています。
⚠️ 想定される原因
- 長期的な経年変化による歯肉退縮
- 歯周病やブラッシング圧による歯ぐきの減少
- 補綴物のマージン位置が歯肉縁に近いため、時間とともに歯根が露出
💡 改善の選択肢
- オールセラミック冠(ジルコニア冠など)への再製作:金属を使用しないため、ブラックマージンが発生しにくい。
- 歯肉再生治療(歯肉移植など):歯ぐきの厚みや位置を回復させ、露出部分をカバーする方法も検討可能です。
- 日常ケアの見直し:歯磨き圧やブラッシング方法を調整し、さらなる歯肉退縮を防ぐことが大切です。
🛡 金属アレルギーとリスクの有無
メタルボンドは金属を使用しているため、金属アレルギーのリスクが伴います。特に、ニッケルやパラジウムなどの金属はアレルギーを引き起こすことがあり、既往歴のある方には使用を避けるべきです。最近ではアレルギー対応の貴金属合金もありますが、コストが上がる傾向にあります。
一方、ジルコニアやオールセラミックは100%メタルフリーで、アレルギーのリスクはほぼゼロです。金属アレルギーがある、またはその可能性がある方には、これらのメタルフリー素材を選ぶのが一般的です。
💰 費用感とコストパフォーマンス比較
費用面では、保険適用外である点は共通ですが、素材や技工の難易度により金額は異なります。メタルボンドは10万円前後(税抜)で提供されることが多く、強度と審美性のバランスが取れていることから、コストパフォーマンスの高い補綴物といえます。
ジルコニアやオールセラミックはそれぞれ10〜13万円前後が相場で、審美性重視の治療や金属アレルギーのリスク回避に適しています。ただし、ジルコニアは加工が難しく、技工料が高くなる傾向があります。
結果として、「見た目」と「強度」と「価格」のバランスをどこに置くかによって、最適な選択肢が変わります。たとえば、奥歯にはジルコニアかメタルボンド、前歯にはオールセラミックなど、部位ごとに使い分けるのも一つの方法です。
✅ メリット・選ばれる理由
💪 奥歯にも対応できる高強度
メタルボンドの最大の強みは、内側に金属フレームを使用することによって得られる高い強度です。咬合力が強くかかる奥歯や、複数歯にわたるブリッジといった耐久性が要求される部位にも対応でき、長期間にわたって安定した機能を発揮します。
特に、金属がベースにあることで、セラミック単体では発生しやすいひび割れや破折のリスクを大幅に軽減。これにより、硬い食べ物を噛む場面でも安心して使用できる補綴物となっています。強度面ではジルコニアと並ぶ性能を誇り、日常生活での使用において心強い存在です。
🌟 自然な見た目を実現
メタルボンドの外側はセラミック(陶材)で覆われており、天然歯に近い色調や質感を再現できます。セラミックは吸水性がないため変色しにくく、長年使用しても美しい見た目を維持できるという利点があります。
また、患者ごとの歯の色に合わせて細かく色調調整ができるため、周囲の歯と自然に馴染む仕上がりが可能です。とくに「フルベイク」技法を用いれば、正面からも裏側からも金属が見えにくくなり、より審美性の高いクラウンが仕上がります。
「前歯に入れても目立たなかった」「写真でも違和感がない」といった患者の声も多く、見た目と機能性のバランスに優れた補綴物として評価されています。
🧩 広い適応範囲(前歯〜ブリッジ)
メタルボンドは、適応できる部位の広さも大きな魅力です。前歯のように審美性が重視される部位から、奥歯や長いスパンのブリッジまで、さまざまな症例に対応できます。この「万能型の補綴物」という特性が、今なお多くの歯科医院で選ばれる理由の一つです。
加えて、補綴物の厚みや形態を細かく調整できるため、患者ごとの咬み合わせや歯列に合わせた設計がしやすく、装着後の違和感も最小限に抑えられます。強度・適合性・審美性の三拍子が揃っており、保険適用の硬質レジン前装冠よりもワンランク上の選択肢として提案しやすいのも利点です。
その結果、「見た目も機能も妥協したくない」という多くの患者にとって、バランスのとれた最適解となることが多く、今なお根強い人気を誇っています。
保険適用の硬質レジン前装冠

写真中央の2本は保険適用の硬質レジン前装冠です。
メタルボンドは色調の再現性が高く、歯肉との境目が自然で長期的な審美性に優れます。一方、硬質レジン前装冠は保険適用で費用を抑えられる反面、経年的な変色や歯ぐきの黒ずみが生じやすい点が特徴です。
見た目・耐久性・費用のバランスを考えた治療選択が重要です。
⚠️ デメリットと注意点
歯肉退縮による審美的問題
この画像は、前歯部(上顎)にメタルボンドクラウン(陶材焼付鋳造冠)が装着されている症例です。赤い矢印の部分に注目すると、以下のような状態が確認できます。

🦷 状況の解説
- 左上1番(中央左の前歯)、**右上1番・2番(中央右およびその隣の歯)**にメタルボンドクラウンが装着されています。
- 歯肉が退縮(歯ぐきが下がる)したことで、クラウンの金属フレーム(メタル部分)が歯肉縁上に露出しています。
- その結果、歯ぐきの境目に**黒っぽい変色(メタルマージンの露出)**が見られ、審美的な不調和が生じています。
🔍 処置内容とその限界
- 露出した歯根や金属縁の部分をコンポジットレジン(樹脂)で修復し、色調の改善を試みています。
- しかし、金属色の透過や歯肉ラインの不自然さにより、審美的な回復は不十分です。
💡 審美改善のための考慮点
- オールセラミッククラウンへの再製作
金属を使用しないため、歯肉退縮後も自然な色調が保たれやすい。 - 歯肉の再生治療(歯肉移植など)
露出した歯根やメタルマージンを覆うことで、見た目の調和を取り戻す。 - 歯肉ラインの設計変更と新しい補綴物の作成
長期的な安定と審美性の両立が可能。
✍️ まとめ
この症例は、メタルボンドの経年変化による歯肉退縮と金属露出が原因で、歯肉縁部の黒ずみと審美的不調和が生じた典型例です。
コンポジットレジンによる一時的な補修では限界があり、オールセラミックへの再補綴がより自然で長期的な解決策となります。
💥メタルボンド破折|長期使用で起こりやすいトラブルと注意点

メタルボンド冠は強度と審美性を兼ね備えた補綴物ですが、内部の金属と外側のセラミックに異なる性質があるため、経年的な力の集中や噛み合わせの不調和によって破折が生じることがあります。
赤矢印の部分では、セラミックが欠けて金属フレームが露出しており、再治療が必要となる典型的な破折例です。
🧬 金属アレルギーの可能性
メタルボンドクラウンは、その内側に金属フレームを使用しているため、金属アレルギーのリスクが存在します。使用される金属には、パラジウムやニッケルなど、過去にアレルギー報告のある素材が含まれることがあり、体質によっては口腔内にアレルギー症状を引き起こすことがあります。
具体的には、口内炎のような粘膜の荒れ、味覚の変化、舌のヒリヒリ感などが見られることがあります。金属アレルギーの既往がある患者はもちろん、皮膚アレルギーの経験がある方も、事前にパッチテストを受けるなど慎重な対応が必要です。
近年ではアレルギー対応の高純度金属や、金や白金ベースの貴金属合金もありますが、それでも完全にリスクをゼロにすることはできません。メタルフリー素材(ジルコニアやオールセラミック)との比較検討も重要です。
💸 保険適用外のため自費治療
メタルボンドは基本的に保険適用外の自費診療で行われる治療です。そのため、治療費が高額になる点は患者にとって大きなハードルとなります。相場としては、1本あたり10万円〜12万円程度(税別)で、素材や使用する金属の種類、技工レベルによって価格が変動します。
保険適用の硬質レジン前装冠(内側が金属、外側がプラスチック)と比べると、審美性・耐久性ともに優れていますが、費用差は数倍になることもあります。歯数が多い場合やブリッジ治療となると、さらに経済的負担が大きくなります。
そのため、費用対効果を丁寧に説明し、治療の必要性・選択肢を患者と共有することが大切です。
🫥 透明感ではオールセラミックに劣る
メタルボンドは外側にセラミックを使用しているため、見た目は十分に自然で審美的ですが、透明感においてはオールセラミックには及びません。これは、内側の金属が光の透過を妨げるため、わずかに「くすみ感」や「不自然さ」を感じることがあるためです。
また、時間の経過とともに歯茎が下がると、歯と歯茎の境目に金属の縁が現れる「ブラックマージン」が見えることもあります。とくに笑ったときや口を大きく開けたときに目立つことがあり、前歯のように審美性が最重視される部位ではマイナスになる可能性があります。
そのため、「より自然に見えること」を最優先する場合には、ジルコニアセラミックやオールセラミックのほうが適しているケースもあります。美しさと耐久性、費用のバランスを患者ごとに見極めることが重要です。
🏥 どんなケースに向いている?
😁 前歯の自然な仕上がりを目指す場合
メタルボンドは、前歯の審美修復にも十分対応できる補綴物です。外側がセラミックで覆われており、天然歯に近い色調・質感を再現できるため、笑ったときや話すときに見える部分でも自然な仕上がりが期待できます。
とくに「フルベイク」と呼ばれる技法を用いれば、唇側・舌側ともにセラミックで覆われ、金属が見えにくくなります。これにより、見た目の美しさを求める患者にも納得していただけるクオリティを実現できます。
ただし、オールセラミックに比べるとやや透明感が劣るため、「光の透過性までこだわりたい」「自然歯と完璧に調和させたい」といった超審美的なニーズにはオールセラミックの方が優位な場合もあります。コストと見た目のバランスを重視する方には、メタルボンドは非常に実用的な選択肢です。
🦷 奥歯やブリッジの高負荷部位
咬合力が大きくかかる奥歯や、複数歯にわたるブリッジには、メタルボンドの高い強度が大きな利点となります。金属フレームが内蔵されていることで、セラミックの破折リスクを抑え、長期的に安定した機能が得られます。
特に、奥歯では審美性よりも耐久性や咀嚼能力が重視されるため、多少金属の見えるリスクがあっても、メタルボンドのように「壊れにくく・外れにくい」補綴物が好まれます。
また、ジルコニアは非常に硬くて割れにくい反面、調整や加工が難しい素材であり、ブリッジのように複雑な設計には不向きなケースもあります。その点、メタルボンドは柔軟な設計が可能で、土台の角度調整や細かな適合処理がしやすいため、機能性と精度を両立しやすい素材です。
🚫 金属アレルギーがある方への非推奨
メタルボンドの構造上、金属を使用しないことはできません。そのため、金属アレルギーの既往がある方や、パッチテストで陽性が出た方には基本的に推奨されません。
アレルギー反応は時間の経過とともに突然発症することもあり、口腔内にアレルゲンが常に存在する状態は、体調や皮膚症状に悪影響を及ぼす可能性があります。とくに、ニッケル・パラジウム・コバルトなどに反応を示す方は要注意です。
近年ではアレルギー対応の金属(高純度金や白金加金など)を使用したメタルボンドもありますが、完全な安全性が保証されるわけではありません。少しでも不安がある場合は、金属を一切使用しないジルコニアやオールセラミックを選ぶ方が安心です。
⏳ 寿命と耐久性|何年持つのか?
⛓ 10~15年が目安、長期使用も可能
メタルボンドクラウンの一般的な寿命は10~15年とされており、適切な管理と使用環境が整っていれば、それ以上の長期使用も十分に可能です。内側の金属フレームが補綴物全体の構造を支えるため、非常に頑丈で、割れや外れといったトラブルが起きにくいのが特長です。
特に、奥歯やブリッジといった咬合力の強くかかる部位では、この強度が大きな武器になります。セラミック自体も耐摩耗性に優れており、長年使用してもすり減りが少なく、美しい形態と咬み合わせを保ちやすいという利点があります。
ただし、寿命は補綴物そのものの強度だけでなく、支える歯や歯周組織の健康状態にも大きく左右されます。土台の歯が虫歯や歯周病になると、クラウンを外さざるを得なくなるため、全体の口腔ケアが非常に重要です。
🧼 メンテナンスと清掃性の良さ
メタルボンドの表面はセラミックで構成されており、非常に滑沢(かつたく)でプラークや色素が付着しにくい性質があります。そのため、毎日の歯磨きやフロスで比較的清掃しやすく、清潔な状態を保ちやすいというメリットがあります。
また、セラミックは吸水性がないため、経年による黄ばみや変色の心配もほとんどありません。見た目の美しさが長持ちしやすく、前歯に使用しても長期間自然な色調を維持できます。
とはいえ、補綴物と天然歯の境目にはプラークが溜まりやすく、ここから虫歯や歯周病が進行することもあるため、歯間ブラシやデンタルフロスなどの補助清掃用具を併用した日々のケアが欠かせません。
また、6か月に1回を目安とした定期検診やプロフェッショナルクリーニング(PMTC)を受けることで、補綴物の状態確認や歯周ケアを継続的に行うことができ、寿命をより長く保つことが可能です。
🧑🔬 歯科医師の技術と適合性がカギ

メタルボンドの寿命を大きく左右するもう一つの要素が、「適合性の良さ」です。補綴物が歯にしっかりフィットしていないと、境目から細菌が侵入して虫歯や歯周病を引き起こす原因になります。
適合性を高めるには、歯科医師による精密な形成技術、的確な印象採得(型取り)、そして歯科技工士による高精度な製作が欠かせません。特に、クラウンと歯肉の境目に段差ができてしまうと、清掃が困難になり、トラブルの原因になります。
また、咬み合わせの調整が不十分だと、過剰な力が一点に集中し、セラミックが欠けるリスクが高まります。そのため、最終装着前の仮合わせや噛み合わせのチェックも重要な工程です。
信頼できる歯科医院で、技術力の高い歯科医と技工士が連携して治療にあたることで、メタルボンドはその本来の性能を最大限に発揮し、長く使える補綴物としての役割を果たします。
🪥 長持ちさせるためのケアと生活習慣
🦷 日々のブラッシングとフロス

メタルボンドを長持ちさせるためには、毎日のセルフケアが最も基本であり、最も重要です。歯とクラウンの境目にはプラーク(歯垢)が溜まりやすく、そこから虫歯や歯周病が進行する可能性があります。
歯ブラシは毛先が柔らかめのものを使用し、力を入れすぎずやさしく磨くことがポイントです。研磨剤が強すぎる歯磨き粉はセラミック表面を傷つける恐れがあるため、できるだけ低研磨性のものを選ぶようにしましょう。
さらに、歯間ブラシやデンタルフロスも必須アイテムです。クラウン周辺やブリッジ下には磨き残しが出やすいため、歯と歯の間の清掃は特に意識して取り組むことで、トラブルを未然に防ぐことができます。
🏥 6ヶ月ごとの定期検診とPMTC
セルフケアだけでは落としきれない汚れや、目に見えない補綴物の劣化・トラブルを早期に発見するためにも、歯科医院での定期検診は欠かせません。目安としては6ヶ月に1回、少なくとも年に1回は来院し、クラウンの適合状態や歯茎の状態をチェックしてもらいましょう。
定期検診時には「PMTC(プロフェッショナル・メカニカル・トゥース・クリーニング)」を受けることもおすすめです。これは歯科衛生士が専用の機械を使って、クラウン周囲や歯間のバイオフィルムを徹底的に除去するプロのケアです。見た目の美しさを保つだけでなく、トラブル予防にも非常に有効です。
早期発見・早期対処が、結果的に補綴物の寿命を延ばす一番の近道です。
😬 歯ぎしり対策とナイトガード活用
歯ぎしりや食いしばりといった無意識の癖は、メタルボンドにとって大きな負担となります。特に、寝ている間の歯ぎしりは想像以上の力が加わり、セラミック部分の破損や、クラウン脱離の原因になることがあります。
歯科医院で「ナイトガード(就寝用マウスピース)」を作製してもらうことで、歯ぎしりから補綴物を守ることができます。柔らかい素材やハードタイプなど種類も選べるため、症状に応じて適切なものを選びましょう。
日中の食いしばりに気づきにくい方には、スマホアラームを活用して「噛んでいないか?」を定期的に確認するなどの習慣も効果的です。
🚭 禁煙と食生活の見直し
タバコは歯茎の血流を悪化させ、歯周病の進行を早めるだけでなく、補綴物の寿命にも影響を与える悪習慣です。喫煙者は非喫煙者に比べてクラウンのトラブル発生率が高く、ブラックマージン(歯と歯茎の境目の黒ずみ)も目立ちやすくなります。
また、砂糖を多く含む飲食物や、酸性度の高い食品(炭酸飲料・柑橘類など)の過剰摂取は、天然歯と補綴物の境目を弱らせ、虫歯や脱離のリスクを高めます。バランスの良い食事と、間食の回数を抑える意識が大切です。
日々のちょっとした習慣が、メタルボンドの寿命を左右します。高価な治療だからこそ、丁寧に付き合い、長く大切に使っていくことが求められます。
🔧 修理や再治療が必要なケースとは?
💥 セラミックの欠け・破損
メタルボンドは強度に優れた補綴物ですが、外側がセラミックでできている以上、外部からの強い衝撃や歯ぎしり・食いしばりによって欠けや破損が起こることがあります。特に、咬み合わせが強い部位や、硬い食べ物を頻繁に噛む習慣がある場合はリスクが高まります。
小さな欠けであれば、コンポジットレジンなどで補修が可能なケースもありますが、広範囲に及ぶ破損や審美的に問題がある場合は、新たなクラウンの作製が必要となります。破損の程度に応じて、修理か再製作かを判断します。
🌪 金属の劣化や腐食
メタルボンドの内側には金属が使用されており、長期間使用していると、唾液中の成分や食生活の影響で金属が腐食・劣化することがあります。特に、酸性の飲食物(柑橘類、炭酸飲料など)の摂取頻度が高い方では、金属の表面がざらついたり、変色が起こる場合もあります。
腐食が進行すると補綴物の適合が悪くなり、そこから細菌が侵入して二次的な虫歯を引き起こすリスクもあるため、早期の対応が必要です。金属フレームの状態によっては、クラウンの再製作が推奨されます。
🦷 接着セメントの剥がれ
メタルボンドは歯に接着セメントで固定されていますが、経年劣化や過度な咬合力によってセメントが剥がれ、クラウンが浮いたり脱落することがあります。特に、長年使用しているとセメントが劣化し、密着力が低下することがあります。
再装着が可能な場合もありますが、セメントの剥がれた部分から虫歯が進行しているケースでは、まず虫歯治療を行い、その後に補綴物を再装着または新製作する必要があります。装着後に違和感やグラつきを感じた場合は、すぐに歯科医院でチェックを受けましょう。
🦠 歯周病や虫歯による支台歯の問題
クラウン自体が健全でも、それを支える天然歯(支台歯)が虫歯や歯周病によってダメージを受けていると、補綴物の安定性は保てません。歯周病によって歯槽骨が吸収され、歯が動揺すると、クラウンの寿命も短くなります。
また、クラウンの内側に隠れた部分で虫歯が進行していた場合、発見が遅れると神経の処置や歯根破折につながることもあります。定期的なレントゲン検査やプロービング(歯周ポケット測定)を受けることで、問題を早期に把握し対処することが重要です。
🧮 再治療にかかる費用と流れ
メタルボンドの修理・再治療が必要になった場合の費用は、補修の程度によって大きく異なります。
- 小さな欠けの補修(レジン充填):¥5,000〜¥15,000程度
- 新しいメタルボンドの再製作:¥100,000〜¥120,000(税別)
- 支台歯の虫歯治療・再根管治療:¥10,000〜¥30,000(自費の場合)
- ナイトガードの製作:¥15,000〜¥30,000程度
再治療の流れは以下の通りです:
- 診査・診断:脱離や破損の程度を確認。必要に応じてレントゲン検査を実施。
- 支台歯の治療:虫歯・歯周病の処置を行う。
- 型取りとシェード確認:新たに補綴物を作製する場合、印象採得と色合わせを実施。
- 仮歯の装着(必要に応じて)
- 新クラウンの装着・調整
再治療が必要になる前に、日々のケアと定期メンテナンスを継続することが、結果としてコストを抑え、快適な口腔環境を保つことにつながります。
🛠 治療の流れ|初診から装着まで
👩⚕️ カウンセリングと適応判断

メタルボンド治療は自費診療であり、患者ごとの要望や口腔内の状態を十分に把握したうえで進める必要があります。まずはカウンセリングにて、希望する見た目、噛み合わせの不具合、費用感などをヒアリングします。
その後、レントゲンや口腔内写真、咬合状態のチェックを行い、メタルボンドが適応かどうかを判断します。強度が求められる奥歯やブリッジ、あるいはコストと見た目のバランスを重視する患者に適した選択肢であるかを見極めます。
金属アレルギーの既往がある場合は、メタルボンドの使用を避けるか、アレルギー対応金属を提案することもあります。
🦴 土台(メタルコア)の装着

メタルボンドを装着するためには、まず支台となる歯の形成が必要です。神経を除去した歯には「メタルコア(金属の土台)」を挿入し、その上に被せ物を乗せる設計が基本です。
メタルコアは高い強度を持ち、前後的に薄く作ることができるため、審美性を保ちたい場合に有利です。一方で、歯根破折のリスクがあるため、症例に応じてはファイバーコア(グラスファイバー製の土台)との比較検討も行います。
土台を装着したら、歯の周囲を削り、クラウンがぴったり適合するよう精密に形成します。この段階の形成精度が、最終的なフィット感とクラウンの長持ちに大きく影響します。
🎨 シェードテイキングと印象採得

クラウンの色調を周囲の歯と調和させるために、シェードガイド(色見本)を使って歯の色を確認し、記録します。照明の影響を避けるため、自然光に近い環境下で行うのが理想的です。
続いて、最終補綴物を作るための精密な型取り(印象採得)を行います。患者の歯列や咬み合わせを正確に記録し、それをもとに歯科技工士が金属フレームとセラミックの焼き付けを行います。
必要に応じて、仮歯(テンポラリークラウン)を装着し、歯の位置や見た目を一時的に保ちながら、技工物の完成を待ちます。
🔄 仮装着→噛み合わせ調整→セメント合着

技工所から完成したメタルボンドクラウンが届いたら、まず仮装着を行い、噛み合わせ・色調・形態・フィット感を丁寧に確認します。咬合紙を使って咬み合わせの当たり具合を見ながら微調整し、患者の違和感がないことを確認します。
問題がなければ、専用のセメントでクラウンを本装着(合着)します。最後に咬合の最終チェックを行い、ブラッシング指導やメンテナンスの説明をして治療完了です。
治療期間は、初診から装着まで通常2〜3回の通院(約2〜3週間)が目安です。土台の処置や仮歯の期間が必要な場合は、4回程度かかることもあります。
📷 症例紹介とビフォーアフター
📸 歯周病治療後の補綴症例

歯周治療修了時
重度歯周病の治療が終了した状態です。歯槽骨の吸収が激しく動揺が強いためスーパーボンドで暫間固定を行っています。
歯周治療により歯茎は引き締まり治癒しますが、歯茎が下がります。

メタルボンド装着
矢印の5歯を連結してメタルボンドで修復しています。下がった歯茎も審美的に改善されています。
左に見えるのはシェードガイドといい、色合わせに使います。
ビフォー:
60代女性。重度歯周病により複数の前歯が動揺し、歯茎も後退している状態でした。歯周基本治療により炎症は軽減したものの、機能回復と見た目改善のために補綴治療を希望。
治療内容:
歯周治療後の引き締まった歯茎に合わせて、メタルボンドクラウンを5歯連結で装着。骨吸収による歯間空隙も補うように形態を調整し、審美的・機能的に安定したブリッジを設計。咬合力の分散も意識した補綴設計としました。
アフター:
歯茎が下がっていた部分も自然なラインで補われ、審美性の改善が確認できました。患者様は「歯ぐきのラインがきれいに整い、見た目のコンプレックスがなくなった」と大変満足されたご様子。口元の印象も大きく改善されました。
このように、メタルボンドは機能性と審美性のバランスに優れ、様々な症例に対応可能な補綴物です。前歯・奥歯・歯周病後など、状況に応じて設計を工夫することで、長期間にわたり快適な口腔環境を維持できます。
🧾 他素材との料金比較
クラウン治療を検討する際、素材ごとの性能や見た目だけでなく、費用感の違いも重要な判断材料となります。以下に代表的な自費クラウン素材4種の特徴と料金の目安をまとめました。
| 素材名 | 種類 | 特徴 | 税込価格(目安) |
|---|---|---|---|
| メタルボンド | 金属+セラミック | 強度◎・審美○・汎用性あり | ¥115,500 |
| オールセラミック | 100%セラミック | 審美◎・透明感◎・金属不使用 | ¥132,000 |
| ジルコニアセラミック | ジルコニア+陶材 | 強度◎・審美◎・ブリッジにも適用 | ¥110,000 |
| フルジルコニア | 100%ジルコニア | 強度◎・審美△・割れにくい | ¥92,400 |
💡 選び方のポイント
- 審美性最重視の方には、透明感に優れたオールセラミックがおすすめ。
- 強度と審美性のバランスを求めるなら、ジルコニアセラミックが適しています。
- 奥歯やブリッジなど強度優先の部位には、メタルボンドまたはフルジルコニアが候補になります。
- 費用を抑えつつ耐久性も重視したい場合には、フルジルコニアがコストパフォーマンスに優れています。
それぞれに特徴と価格帯があり、目的や部位、見た目の希望、金属アレルギーの有無などによって最適な素材は異なります。治療前には歯科医師と十分な相談を行い、ご自身に合った素材を選ぶことが大切です。
🕰 メタルボンドの歴史と進化
🏛 1950年代の登場背景

メタルボンドクラウンは、1950年代に欧米で登場した補綴技術です。当時は、金属の被せ物にレジンを焼き付けた「硬質レジン前装冠」が主流でしたが、レジンは吸水性があり変色や劣化が早いため、審美性と耐久性の両立が課題でした。
そこで開発されたのが、内側に金属、外側にセラミックを高温で焼き付ける「陶材焼付鋳造冠(PFM)」です。この画期的な構造により、高強度と自然な見た目の両立が可能となり、補綴歯科の新たなスタンダードとして急速に世界中に広まりました。
当初は一部の限られた症例に用いられていましたが、セラミックの接着技術と鋳造技術の進歩により、前歯から奥歯、さらにはブリッジまで幅広い症例に対応できるようになりました。
🔬 技術革新による審美性の向上
1980年代以降、歯科技工の分野ではセラミック材料や焼成技術が飛躍的に進化しました。初期のメタルボンドはやや白濁した仕上がりで「作り物感」が否めませんでしたが、現在では多層築盛技術やステインによる色調調整が進化し、天然歯に近いグラデーションや透明感を再現できるようになっています。
また、「フルベイク(full-bake)」と呼ばれる技法では、金属フレームの裏側までセラミックを焼き付けることで、口を開けた際にも金属が目立ちにくい構造を実現。前歯の審美性をさらに高める工夫が可能になりました。
さらに、CAD/CAM技術や高精度スキャナーの普及により、精密な適合と再現性の高い補綴が実現され、従来以上に長期間安定して使えるクラウンが提供されています。
🚀 現代における位置づけと症例数
現在では、ジルコニアやオールセラミックといった新素材が登場し、メタルフリーの選択肢が増えたことから、メタルボンドのシェアは以前ほど圧倒的ではありません。しかし、強度と適応範囲においては依然として高い評価を受けており、とくに咬合力が強くかかる奥歯や長いブリッジでは今なお第一選択肢となっています。
また、審美性を補う技術も成熟しているため、前歯でもコストパフォーマンスを重視した選択肢として採用されるケースが多くあります。歯科医師と技工士の連携がうまく取れていれば、ジルコニアやオールセラミックに遜色のない見た目を得ることも可能です。
現在の日本でも、審美歯科や自費診療を中心に年間数万件単位で使用されている実績があり、技術的に成熟した「信頼性の高いクラウン」として、今なお現役で活躍しています。
🙋♂️ メタルボンド vs 保険の硬質レジン前装冠|よくある質問(Q&A)
Q:見た目の違いはありますか?

A:大きく異なります。
メタルボンドは外側にセラミックを使用しており、天然歯に近い自然なツヤと色調を再現できます。一方、硬質レジン前装冠は内側が金属・外側がプラスチックで作られており、時間が経つと変色しやすく、光の透過性も乏しいため、「人工的な見た目」になりがちです。口を開けたときに金属が見えることも多く、審美性ではメタルボンドが圧倒的に優れています。
Q:強度や耐久性はどう違いますか?
A:メタルボンドの方が圧倒的に高耐久です。
硬質レジン前装冠は強度がやや低く、プラスチック部分が割れたり欠けたりするリスクがあります。さらに、吸水性が高いため内部劣化もしやすいです。
一方で、メタルボンドは金属フレームで補強された構造により、咬合力がかかる奥歯やブリッジにも適応可能で、10年以上の長期使用にも耐えられる設計です。
Q:費用にどれくらい差がありますか?
A:保険と自費の違いにより大きな差があります。
硬質レジン前装冠は保険適用で治療できるため、患者負担は数千円〜1万円台程度(3割負担の場合)で済みます。
一方、メタルボンドは自費診療扱いで、**1本あたり約115,500円(税込)**が目安です。
ただし、見た目・強度・寿命を考慮すると、メタルボンドの方がコストパフォーマンスに優れていると考える患者も少なくありません。
Q:前歯など目立つ場所にはどちらが向いていますか?
A:審美性を求めるならメタルボンドがおすすめです。
硬質レジン前装冠は、変色や金属の露出が起こりやすいため、前歯では目立ってしまうリスクがあります。
メタルボンドならセラミック特有の自然な透明感があり、見た目を大切にしたい方にも満足いただけます。
ただし、保険適用外になるため、見た目をどこまで重視するかが選択の分かれ目になります。
Q:耐用年数はどのくらい?
A:硬質レジン前装冠は5〜7年、メタルボンドは10〜15年が目安です。
日々のケアや咬み合わせの状態によって異なりますが、メタルボンドの方が明らかに長寿命です。特に破折・変色リスクが低く、長く安心して使用したい方に向いています。
🙋♀️ よくある質問(FAQ)
Q:メタルボンドとジルコニア、どちらが良いですか?
A:用途や優先したいポイントによって異なります。
強度・適応範囲の広さ・コストバランスを重視するならメタルボンド、金属を一切使いたくない方や、より自然な見た目にこだわりたい方にはジルコニアが向いています。
奥歯やブリッジなど負荷のかかる部位にはメタルボンドが適しており、前歯など審美性重視の部位ではジルコニアやオールセラミックが選ばれる傾向にあります。
Q:前歯でも金属が透けますか?
A:ケースによっては金属がうっすら見えることがあります。
メタルボンドは内側に金属フレームがあるため、光の加減や歯茎の状態によっては金属の「影」や「ブラックマージン(歯と歯茎の境目の黒ずみ)」が気になることがあります。
そのため、透明感を重視したい方や審美性を最優先する方には、オールセラミックやジルコニアセラミックがより適しています。ただし、フルベイク仕上げを行うことで金属の露出を極力抑えることも可能です。
Q:費用はどのくらいかかりますか?
A:メタルボンドの場合、1本あたり税込で約115,500円が目安です。
自費診療のため、素材や技工の難易度によって価格が変動します。他の素材との比較は以下の通りです:
| 素材名 | 税込価格(目安) |
|---|---|
| メタルボンド | ¥115,500 |
| ジルコニアセラミック | ¥110,000 |
| オールセラミック | ¥132,000 |
| フルジルコニア | ¥92,400 |
費用のご相談にも対応していますので、事前にしっかりご説明いたします。
Q:治療期間はどれくらい?
A:通常2〜3回の通院、期間にして2〜3週間程度が目安です。
初診での診査・カウンセリング後、必要に応じて土台(メタルコア)を装着し、型取り→クラウンの製作→装着という流れで進行します。
歯周病治療や神経の処置などが必要な場合は、治療回数が増えることもあります。詳しいスケジュールは、初診時にしっかりご案内いたしますのでご安心ください。
📍 江戸川区篠崎でメタルボンドをご希望の方へ

江戸川区篠崎エリアで審美歯科やクラウン治療をご検討中の方へ。当院では、メタルボンドはもちろん、ジルコニア・オールセラミックなど複数の素材を取り扱い、患者様お一人おひとりのご希望や症状に合わせたオーダーメイドの補綴治療をご提案しています。
「前歯を自然に仕上げたい」「奥歯でも長く安心して使えるものを選びたい」「費用と見た目のバランスを取りたい」など、患者様のお悩みやご要望に丁寧に耳を傾け、見た目・強度・予算を総合的に考えた最適なプランをご案内いたします。
また、他院での治療方針に迷われている方にはセカンドオピニオンも対応しております。素材選びから治療後のメンテナンスまで、地域に根ざした歯科医院として安心のサポート体制を整えておりますので、どうぞお気軽にご相談ください。
筆者・院長

深沢 一
Hajime FUKASAWA
- 登山
- ヨガ
メッセージ
日々進化する歯科医療に対応するため、毎月必ず各種セミナーへの受講を心がけております。
私達は、日々刻々と進歩する医学を、より良い形で患者様に御提供したいと考え、「各種 歯科学会」に所属すると共に、定期的に「院内勉強会」を行う等、常に現状に甘んずる事のないよう精進致しております。 又、医療で一番大切な事は、”心のある診療”と考え、スタッフと共に「患者様の立場に立った診療」を、心がけております。


