- 1. 【🎞️47秒】エアフローで虫歯・歯周病を予防!バイオフィルム除去の新常識
- 2. 🦷エアフローとは?基本情報と特徴
- 2.1. 💨ジェットパウダークリーニングの仕組み
- 2.2. 🧼従来のPMTCやスケーリングとの違い
- 2.3. 📈EMSエアフロー機器の最新技術
- 3. 🌟エアフローの効果とは?
- 3.1. ✨着色汚れ(ステイン)の除去
- 3.2. 🦠バイオフィルムの除去による歯周病・虫歯予防
- 3.3. 👄インプラント・矯正中の清掃にも有効
- 4. 🌟エアフローの症例
- 4.1. 🦷症例①:前歯のステイン除去
- 4.2. 🦷症例②:歯間の汚れ・プラーク除去
- 4.3. 🦷症例③:バイオフィルムの徹底除去
- 5. エアフロー+ホワイトニングの症例
- 5.1. ① 1枚目:ステイン(着色)付着の状態
- 5.2. ② 2枚目:エアフロー(パウダークリーニング)後
- 5.3. ③ 3枚目:ホワイトニング後
- 6. 🦠エアフローが対象とする汚れとは?
- 6.1. 🔍歯周ポケット内のバイオフィルムまで除去可能
- 6.2. 💨エアフローの高い除去効率と安全性
- 6.2.1. 🧴14μmの超微粒子「エリスリトール」で汚れを一掃
- 6.2.2. 🧪エリスリトールは高い安全性がある成分
- 7. 🛡️エアフローのメリットとデメリット
- 7.1. ✅痛みが少なく歯や歯茎に優しい
- 7.2. ⚠️使用できないケースと注意点(呼吸器疾患・重度の知覚過敏など)
- 8. 🕒治療の流れと所要時間
- 8.1. 🔍診断と適応確認(初回カウンセリング)
- 8.2. 🧯エアフロー施術のステップ(準備・処置・仕上げ)
- 8.3. 🪥施術後のセルフケアと注意事項
- 9. 👨⚕️エアフローはこんな方におすすめ
- 9.1. 🧑🦱着色が気になる方(コーヒー・タバコ愛用者)
- 9.2. 👴歯周病予防を強化したい方
- 9.3. 🦷矯正・インプラント中で通常の清掃が困難な方
- 10. 🏥エアフローの費用と保険適用の有無
- 10.1. 💰自由診療の相場感
- 10.2. 💰当院のエアフローの費用
- 10.2.1. 🦷保険適用でエアフローを使える条件とは?
- 10.2.1.1. ✅歯周病の治療目的であれば保険が適用される
- 10.2.1.2. 🏥当院は「口腔管理体制強化加算(口管強)」の認定歯科医院
- 10.2.1.3. 📅「口管強」認定外の歯科医院では3ヶ月に1回まで
- 10.2.1.4. 🔍保険適用には歯周病の確定診断が必要
- 10.3. 自費治療の場合
- 11. 📍江戸川区篠崎でエアフローを受けるなら?
- 11.1. 🦷当院のエアフローの特徴とこだわり
- 11.2. 🧑⚕️経験豊富な歯科衛生士が丁寧に施術
- 12. 江戸川区篠崎で痛みの少ない歯のクリーニングをご希望の方へ
- 13. 【動画】ステイン着色汚れをクリーニングするエアフロー
- 14. 筆者・院長

「歯の着色が気になるけど、ホワイトニングはちょっと不安…」そんな方におすすめなのが、歯科医院で受けられる“エアフロー”という最新のクリーニング法です。
エアフローは、微粒子のパウダーと水・空気を歯に噴射し、コーヒー・紅茶・タバコなどによる着色汚れ(ステイン)や、虫歯や歯周病の原因となるバイオフィルムをやさしく除去する方法。歯を削らず、痛みも少ないことから、近年多くの歯科医院で導入が進んでいます。
この記事では、
エアフローの特徴や仕組み
期待できる効果とメリット・デメリット
費用相場や保険適用の有無
などを、わかりやすく丁寧に解説していきます。
初めての方でも安心して受けられるエアフローについて、ぜひ参考にしてください。
【🎞️47秒】エアフローで虫歯・歯周病を予防!バイオフィルム除去の新常識
🦷エアフローとは?基本情報と特徴
エアフローとは、専用の機器を使って微細なパウダーと水・空気を歯に吹き付け、着色汚れやバイオフィルムを優しく取り除く予防歯科のクリーニング方法です。従来の器具での機械的な清掃と比べて、痛みが少なく歯や歯ぐきに優しいのが特徴です。EMS社のエアフローは、世界的にも評価されている最新機器で、精密でスピーディーな処置が可能です。

💨ジェットパウダークリーニングの仕組み
エアフローでは「エリスリトール」などの超微粒子パウダーを空気と一緒に噴射し、歯の表面に付着した着色(ステイン)や細菌の膜(バイオフィルム)を短時間で除去します。歯に強く当てる必要がないため、エナメル質を傷つけずに安全な処置が行えます。
🧼従来のPMTCやスケーリングとの違い
PMTC(プロによる機械的歯面清掃)やスケーリングは、主に金属の器具で歯石を削る方法ですが、エアフローは薬剤や摩擦を最小限に抑え、歯に優しいのが特徴です。とくに歯肉縁上のプラークやステイン除去に高い効果があり、施術後はツルツルした清潔な歯面に仕上がります。
📈EMSエアフロー機器の最新技術
EMS社の「AIRFLOW® Prophylaxis Master」は、G.B.T.(Guided Biofilm Therapy)に基づいた最新モデルで、温水噴射やパウダー圧の最適化が可能です。患者の快適性と治療精度の両立を実現し、矯正器具やインプラントにも対応できる柔軟性があります。従来の機種より施術時間が短縮され、痛みや不快感も軽減されています。
🌟エアフローの効果とは?
エアフローは、歯の着色汚れをきれいに落とすだけでなく、虫歯や歯周病の原因となるバイオフィルムの除去にも高い効果を発揮します。さらに、矯正治療中やインプラント周囲など、通常のクリーニングが難しい部位のケアにも適しています。


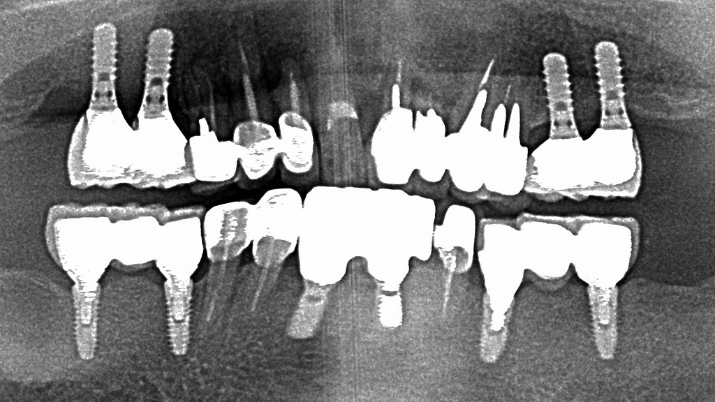
このレントゲン画像は、複数本のインプラントと補綴物が装着されている口腔内の状態を示しています。
エアフローは、微細なパウダーと水流を用いてインプラント表面や上部構造周囲のバイオフィルム(細菌の膜)を効率よく除去できるクリーニング方法です。
金属器具による清掃と比べてインプラント表面を傷つけにくく、インプラント周囲炎の予防・メンテナンスに有効とされています。
定期的なエアフローによるケアは、インプラントを長く安定して使うために重要です。
✨着色汚れ(ステイン)の除去
コーヒー・紅茶・ワイン・タバコなどによる歯の着色(ステイン)は、通常の歯みがきではなかなか落とせません。エアフローは、超微粒子のパウダーとジェット水流によって、歯の表面にこびりついたステインをやさしくスピーディーに除去します。処置後はツルツルとした本来の歯の白さを取り戻すことができ、見た目の印象もぐっと明るくなります。
🦠バイオフィルムの除去による歯周病・虫歯予防
歯の表面に付着するバイオフィルム(細菌の膜)は、虫歯や歯周病の主な原因です。エアフローは、目に見えないバイオフィルムを効率よく除去し、再付着を防ぐことで、口腔内の健康を長期的に守ります。歯ぐきの炎症が気になる方や、定期的なメンテナンスを重視する方にもおすすめです。
👄インプラント・矯正中の清掃にも有効
インプラントや矯正器具の周囲は、ブラシが届きにくく、汚れが溜まりやすい部分です。エアフローは、ブラケットやワイヤーの隙間、インプラントの周囲などの清掃がしやすく、器具や人工歯を傷つけることなく汚れを除去できます。メンテナンスが重要な方には、特に有効なクリーニング方法です。
🌟エアフローの症例
エアフローは、ステイン(着色汚れ)やプラーク(歯垢)、さらにはバイオフィルムを短時間で除去する歯科用クリーニング技術です。以下の症例を通して、その効果をご紹介します。
🦷症例①:前歯のステイン除去

🟥術前の状態
前歯3本のメタルボンド以外の歯に大量のステインが付着しており、審美的に目立っていました。

✅術後の変化
エアフローによりステインが除去され、メタルボンドの色とほぼ同じ自然な色調に改善されました。
🦷症例②:歯間の汚れ・プラーク除去

🟥術前の状態
歯の表面のステインに加え、歯と歯の間にプラークが顕著に付着していました。

✅術後の変化
エアフロー施術によりステインとプラークを除去し、歯茎の引き締まりも確認できるようになりました。
🦷症例③:バイオフィルムの徹底除去

🟥術前の状態
磨きにくい奥歯の部位にタバコのヤニや茶渋が強く付着し、歯間には目に見えない**バイオフィルム(古いプラーク)**が形成されていました。

✅術後の変化
エアフローの微粒子ジェットにより、歯間や歯周ポケットなどの清掃困難部位のバイオフィルムを徹底的に破壊・除去できました。
エアフロー+ホワイトニングの症例



① 1枚目:ステイン(着色)付着の状態
最初の画像では、上下前歯を中心に**茶色〜黒褐色のステイン(外因性着色)**が広く付着しています。
特徴としては:
- 歯の表面(エナメル質)に不均一に付着
- 特に歯頸部(歯と歯ぐきの境目)や歯間部に強く見られる
- タバコのヤニ、コーヒー・紅茶・ワインなどの色素、プラークの沈着が主な原因
- 光沢が失われ、全体的に暗く見える
ステイン自体は歯内部の変色ではなく、多くが表面沈着のため適切なクリーニングで改善可能です。
② 2枚目:エアフロー(パウダークリーニング)後
2枚目では、**エアフロー(ジェットパウダークリーニング)**によってステインが取り除かれた直後の状態です。
改善点:
- 1枚目で目立っていた茶色のステインがほぼ完全に除去
- 歯本来の白さが戻り、表面の光沢も改善
- 歯間部の細かい着色もしっかり落ちている
- 歯肉に炎症はほぼ見られず健康的に見える
エアフローは細かいパウダーを吹き付けて着色だけを落とすため、歯面を傷つけずに短時間でクリーニングできる点が特徴です。
③ 3枚目:ホワイトニング後
3枚目は、ステイン除去後にホワイトニングを行った後の仕上がりです。
変化のポイント:
- 歯の明度(明るさ)が全体的に1段階以上アップ
- 表面の透明感が増し、自然な白さに
- エナメル質の光沢・ツヤが均一で健康的な印象
- エアフロー後よりもさらに全体の色調が明るく整っている
ホワイトニングはエナメル質内部の黄ばみ(象牙質の色を透過した暗さ)を改善するため、
クリーニングでは取れない“内部の黄ばみ”にアプローチできるのが特徴です。
🦠エアフローが対象とする汚れとは?
🔍歯周ポケット内のバイオフィルムまで除去可能

- エアフローは、超音波スケーラーやPMTCでは届きにくい歯肉縁下(歯周ポケット)やアンダーカット部に付着したバイオフィルムを除去できるのが最大の特長です。
- 通常のスケーリングやPMTCでは、非接触の箇所が生じて点状・線状にバイオフィルムが残ることがありますが、エアフローはその弱点を補完します。
💨エアフローの高い除去効率と安全性
🧴14μmの超微粒子「エリスリトール」で汚れを一掃
- エアフローでは、直径14μmのエリスリトールパウダーを空気と共に噴射し、歯の表面や歯周ポケットに付着したステインやバイオフィルムを短時間で除去します。
- この超微粒子により、エナメル質を傷つけずにクリーニングが可能で、安全性にも優れています。
🧪エリスリトールは高い安全性がある成分
- エリスリトールは果物や味噌・醤油などの発酵食品にも含まれる糖アルコールの一種。
- ブドウ糖を酵母で発酵させて得られる成分であり、体にも優しく、安全性の高い材料として使用されています。
🛡️エアフローのメリットとデメリット
エアフローは、従来のクリーニング方法に比べて多くのメリットがありますが、すべての方に適しているわけではありません。ここでは、利点と注意点を分かりやすく解説します。
✅痛みが少なく歯や歯茎に優しい
エアフロー最大のメリットは、歯や歯ぐきにやさしい点です。金属製の器具でこすったり削ったりする従来のクリーニングとは異なり、エアフローでは水と超微粒子パウダーを空気圧で吹き付けるため、処置中の痛みや不快感が少なく、処置後のしみや出血も起こりにくいです。特に歯周病治療後のメンテナンスや、知覚過敏の方に適しています。
また、表面をやさしく洗い流すため、歯のエナメル質を削らず、繰り返しの施術でも安心です。施術後は口の中がさっぱりし、舌触りもツルツルに仕上がります。
⚠️使用できないケースと注意点(呼吸器疾患・重度の知覚過敏など)

一方で、以下のようなケースではエアフローの使用に注意が必要です。
- 呼吸器系の疾患(喘息・COPDなど):微細なパウダーが気道に入り込む恐れがあるため、慎重な対応が求められます。
- 重度の知覚過敏や歯根露出がある方:冷水の噴射により、痛みが強く出る可能性があります。
- 口腔内に傷や口内炎がある場合:刺激により症状が悪化することがあります。
また、金属アレルギーのある方や、妊娠中の方は事前に歯科医師に相談しましょう。
🕒治療の流れと所要時間
エアフローは1回の施術でも効果を実感できるクリーニングですが、正しい診断と手順を踏むことでより安全かつ効果的に行えます。初めての方でも安心して受けられるよう、治療の流れと所要時間を説明します。
🔍診断と適応確認(初回カウンセリング)
まずは、カウンセリングとお口の状態のチェックを行います。歯ぐきの腫れや知覚過敏、呼吸器の持病がないかなどを確認し、エアフローの適応があるかどうかを判断します。
歯科医師または歯科衛生士が、ステインの付着状態やバイオフィルムの有無、治療の目的(予防・メンテナンス・審美)に応じた最適な施術プランを提案します。
🧯エアフロー施術のステップ(準備・処置・仕上げ)
- 前処置(必要に応じて)
歯石が多くついている場合は、スケーリングで先に除去します。 - エアフロー本処置
EMS機器で微細パウダーと水を歯に噴射し、表面の汚れをやさしく除去します。所要時間は15〜30分ほど。温水使用で快適性もアップ。 - 仕上げと確認
歯の状態を最終チェックし、必要に応じてフッ素塗布やブラッシング指導を行います。
全体の所要時間は約30〜45分程度です(初診の場合はもう少し長め)。
🪥施術後のセルフケアと注意事項
施術後は歯がツルツルしてステインがつきにくくなりますが、以下の点に注意すると効果が長持ちします。
- 当日は着色しやすい飲食(カレー・赤ワイン・コーヒーなど)を控える
- 柔らかい歯ブラシでの優しいブラッシングを心がける
- 定期的なエアフロー施術(3〜6ヶ月に1回)で予防効果をキープ
また、万が一知覚過敏や違和感が出た場合は、すぐに歯科医院にご相談ください。
👨⚕️エアフローはこんな方におすすめ
エアフローは、すべての方に効果的なクリーニング方法ではありますが、特に以下のような方に強くおすすめできます。自分に合っているか、ぜひチェックしてみてください。
🧑🦱着色が気になる方(コーヒー・タバコ愛用者)
日常的にコーヒー・紅茶・赤ワインなどを飲む方や、喫煙習慣がある方は、歯の表面にステインが蓄積しやすくなります。こうした着色汚れは、通常の歯磨きでは完全に落としきれません。
エアフローは、微粒子パウダーで歯の細かな凹凸にも入り込み、優しくかつ確実に汚れを除去。自然な歯の白さを取り戻したい方に最適です。ホワイトニング前の前処置としても非常に効果的です。
👴歯周病予防を強化したい方
歯ぐきの炎症や出血、口臭が気になる方は、バイオフィルムの蓄積が原因かもしれません。エアフローは歯周ポケット内のバイオフィルムまで除去できるため、歯周病の進行を防ぐための「予防メンテナンス」として非常に優れています。
歯周病治療後の再発防止、メンテナンス中の方にもおすすめです。
🦷矯正・インプラント中で通常の清掃が困難な方
矯正装置(ブラケットやワイヤー)を装着している方や、インプラント治療を受けている方は、器具の周りに汚れが溜まりやすく、通常の歯磨きだけでは清掃が不十分になることがあります。
エアフローなら、細部にも届くミスト状のパウダーが器具の隙間やインプラント周囲をやさしく洗浄できるため、特にこうした方の「部分的な清掃強化」に最適です。
🏥エアフローの費用と保険適用の有無
エアフローに関するよくある質問のひとつが「保険適用されるのか?」「費用はいくらぐらいかかるのか?」という点です。ここでは、料金の目安と公的補助の有無についてご説明します。
💰自由診療の相場感
エアフローによるクリーニングは、基本的に保険適用外の自由診療となります。歯石除去やスケーリングといった保険診療のクリーニングと比べ、より審美的・予防的な要素が強いためです。
一般的な相場は以下の通りです:
- 1回あたりの施術費用:5,000円〜10,000円(税込)
- 所要時間:30〜45分程度
- 初診の場合は別途カウンセリング料や検査費が必要な場合あり
※使用する機材やパウダーの種類、施術範囲によって価格は変動します。
💰当院のエアフローの費用
🦷保険適用でエアフローを使える条件とは?
歯周病の治療後のメインテナンス
✅歯周病の治療目的であれば保険が適用される
- 通常、エアフローは自由診療ですが、歯周病などの疾患があり、その治療の一環として使用する場合には保険適用となります。
🏥当院は「口腔管理体制強化加算(口管強)」の認定歯科医院
- 当院は厚生労働省から**「口管強」認定**を受けており、
- 歯周病メインテナンスにおいて、症例に応じて毎月エアフローを用いた治療が可能です。
📅「口管強」認定外の歯科医院では3ヶ月に1回まで
- 認定のない歯科医院では、エアフローの保険使用は3ヶ月に1回に限られます。
🔍保険適用には歯周病の確定診断が必要
- エアフローを保険で使用するためには、歯周病であるという確定診断が必要です。
- そのため、まず歯周病の検査を行い、病名が確定された後に歯石除去を実施。
- その上で、エアフローを使った治療が行える流れになります。
自費治療の場合
歯を綺麗にしたいといった審美的目的は保険適用外です。
| 項目 | 価格(税込み) |
|---|---|
| エアフロー(30分) | 7,700円 |
📍江戸川区篠崎でエアフローを受けるなら?
エアフローによるクリーニングをお考えの方へ、当院では最新の設備と経験豊富なスタッフが、患者様一人ひとりに合わせた丁寧な施術を提供しています。
🦷当院のエアフローの特徴とこだわり
当院では、スイスEMS社製の「AIRFLOW® Prophylaxis Master」を導入し、最新のGBT(Guided Biofilm Therapy)に基づいたクリーニングを行っています。この機器は、微細なパウダーと温水をジェット噴射することで、歯の表面や歯周ポケット内のバイオフィルムやステインを効果的に除去します。
また、患者様の快適性を重視し、施術中の痛みや不快感を最小限に抑えるよう努めています。施術後は、歯の表面が滑らかになり、再付着を防ぐ効果も期待できます。
🧑⚕️経験豊富な歯科衛生士が丁寧に施術
当院の歯科衛生士は、エアフローの専門的なトレーニングを受けており、患者様の口腔内の状態に応じた最適な施術を提供します。初めての方でも安心して受けられるよう、施術前に丁寧なカウンセリングを行い、不安や疑問にお答えします。
また、定期的なメンテナンスとしてエアフローを取り入れることで、虫歯や歯周病の予防につながります。患者様のライフスタイルに合わせたケアプランをご提案いたします。
江戸川区篠崎で痛みの少ない歯のクリーニングをご希望の方へ

当院では、最新の「エアフロー」を導入し、コーヒーやタバコによる着色汚れ・歯周病の原因となるバイオフィルムをやさしく除去します。
従来のスケーリングに比べて歯や歯ぐきへの負担が少なく、処置後は歯がツルツルに。
矯正中の方やインプラントをされている方にもおすすめです。
江戸川区篠崎エリアで、快適かつ効果的なクリーニングをお探しなら、ぜひ当院にご相談ください。
経験豊富な歯科衛生士が、あなたのお口の健康を丁寧にサポートいたします。
【動画】ステイン着色汚れをクリーニングするエアフロー
筆者・院長

深沢 一
Hajime FUKASAWA
- 登山
- ヨガ
メッセージ
日々進化する歯科医療に対応するため、毎月必ず各種セミナーへの受講を心がけております。
私達は、日々刻々と進歩する医学を、より良い形で患者様に御提供したいと考え、「各種 歯科学会」に所属すると共に、定期的に「院内勉強会」を行う等、常に現状に甘んずる事のないよう精進致しております。 又、医療で一番大切な事は、”心のある診療”と考え、スタッフと共に「患者様の立場に立った診療」を、心がけております。


