- 1. 【🎞️43秒】デンタルフロス初心者必見|種類・選び方・正しい使い方を紹介
- 2. 🧵デンタルフロスとは?正しい理解が第一歩
- 2.1. 🦷デンタルフロスの定義と役割
- 2.2. 🔬歯ブラシでは落とせない歯間汚れとは?
- 2.3. 🧪歯周病・虫歯予防との関係
- 3. 🧰種類別に解説!デンタルフロスの選び方
- 3.1. 🧵ロールタイプ vs ホルダータイプ
- 3.1.1. 🦷 形状で選ぶ!自分に合ったデンタルフロスのタイプ
- 3.1.1.1. 🪥 ホルダータイプ【F型】
- 3.1.1.2. 🪥 ホルダータイプ【Y型】
- 3.1.1.3. 🔄 巻型(ロールタイプ)
- 3.2. 🧽スポンジフロス、ワックスタイプなどの特徴
- 3.2.1. 🧵 ワックス付き or ノーワックス付き?デンタルフロスの選び方
- 3.2.1.1. ✅ 【初心者向け】ワックス付きフロス
- 3.2.1.2. 🔄 【上級者向け】ノーワックスフロス
- 3.3. 🦷初心者・子ども・高齢者におすすめのフロスは?
- 4. 💡プロ直伝!デンタルフロスの使い方ガイド
- 4.1. 🪥正しい使い方ステップ
- 4.2. 🔄 巻型タイプを指に巻く方法
- 4.3. 🔁 巻型タイプを輪にして使う方法
- 4.4. 💦出血があっても大丈夫?使い始めの注意点
- 4.5. ⏱1日何回?いつ使うのがベスト?
- 5. 🦷 歯間の磨き残しにはデンタルフロスが効果的!
- 6. ❓よくある疑問Q&A
- 6.1. 🙋♀️フロスと歯間ブラシ、どっちを使えばいいの?
- 6.2. 🚫毎日使っても歯に悪影響はないの?
- 6.3. 👨⚕️歯医者で勧められたけど必要?
- 7. 🏷ドラッグストア・ネット通販で買える!おすすめ商品紹介
- 7.1. 🛍人気ブランド別(ライオン、GUM、クリニカなど)ランキング
- 7.2. 💬口コミ評価・レビューで選ぶフロスベスト3
- 7.3. 💰価格帯とコスパを比較!
- 8. 🏥歯科医師がすすめるフロス習慣
- 8.1. 🧑⚕️なぜ歯科医院でフロスをすすめるのか?
- 8.2. 📊使っている人・使っていない人の違い(統計・データ)
- 9. 🧼 デンタルフロスのお手入れと交換頻度
- 9.1. 🪥 お手入れ方法(ホルダータイプ)
- 9.2. 🔁 交換の目安
- 9.3. 📅 使用のタイミングと頻度
- 10. ⚠️ デンタルフロスに起こりやすい3つのトラブルと対処法
- 10.1. ① 歯茎が下がることがある
- 10.2. ② フロスが引っかかって切れる
- 10.3. ③ 歯茎からの出血
- 11. 🧰 その他の口腔ケア用品
- 12. 📌まとめ|毎日のフロス習慣で歯の寿命が変わる
- 12.1. ✅今日から始める3ステップ
- 12.2. ✅正しく続けるためのコツ
- 13. 江戸川区篠崎で歯の健康を守りたい方へ
- 14. 【動画】歯周ポケットを改善するセルフケア法
- 15. 筆者・院長

歯と歯の間のケア、しっかりできていますか?
日々のブラッシングだけでは取りきれない歯間のプラークは、虫歯や歯周病を引き起こす大きなリスクです。
デンタルフロスを正しく使用することで、歯ブラシでは届かない部位の清掃が可能になり、より高い予防効果が期待できます。
本記事では、フロスの種類や使い方、患者様によくあるご質問まで網羅的に解説いたします。
【🎞️43秒】デンタルフロス初心者必見|種類・選び方・正しい使い方を紹介
🧵デンタルフロスとは?正しい理解が第一歩
🦷デンタルフロスの定義と役割
デンタルフロスとは、歯と歯の間にある歯垢(プラーク)を除去するための細い糸状の清掃用具です。歯ブラシだけでは届きにくい歯間部分の汚れを効果的に取り除くことで、虫歯や歯周病を予防するのに大きく役立ちます。特に、歯の根元や隣接面などの見えにくい部分の清掃に優れており、毎日の口腔ケアに欠かせない存在です。
🔬歯ブラシでは落とせない歯間汚れとは?
通常の歯みがきでは、歯間の約40%に汚れが残るといわれています。歯ブラシの毛先が届かない部分には、細菌が潜み、そこから炎症や虫歯の原因となることも。デンタルフロスを使うことで、これらの汚れをしっかり取り除くことができ、口臭の予防にもつながります。

🧪歯周病・虫歯予防との関係
歯周病は歯ぐきの炎症から始まり、進行すると歯を支える骨まで破壊します。その原因となるのが、歯と歯ぐきの境目にたまるプラークです。デンタルフロスを使えば、こうしたリスク部位の清掃が可能となり、初期の炎症も防ぐことができます。また、隣接面の虫歯(隣接面カリエス)も予防でき、結果的に歯の寿命を延ばすことにつながります。

歯と歯の間にびっしりと付着した歯垢・着色は、ブラッシングだけでは落とし切れない汚れです。放置すると歯石化して炎症が進行し、中等度歯周病へ悪化することもあります。デンタルフロスを併用することで、歯ブラシの届かない歯間部の汚れを効果的に除去し、歯周病・虫歯の発生を大幅に減らすことができます。
🧰種類別に解説!デンタルフロスの選び方
🧵ロールタイプ vs ホルダータイプ
デンタルフロスには主に「ロールタイプ」と「ホルダータイプ」の2種類があります。ロールタイプは自分で長さを調節でき、歯間の形状に合わせて柔軟に使えるのが魅力。一方、ホルダータイプは持ち手付きで操作がしやすく、特に奥歯のケアやフロス初心者に人気です。携帯性や経済性を重視するならロール、手軽さ重視ならホルダーがおすすめです。
🦷 形状で選ぶ!自分に合ったデンタルフロスのタイプ
歯の位置や使いやすさによって、フロスの形状を選ぶことが大切です。それぞれの特徴を確認し、自分に合ったタイプを選びましょう。
🪥 ホルダータイプ【F型】

- 前歯に使いやすい設計
- フロス部分がまっすぐで、前歯の隙間にスムーズに入れやすい
- 初心者でも持ちやすく、操作が簡単
🪥 ホルダータイプ【Y型】

- 奥歯に適した設計
- フロス部分がY字型に開いており、口の奥までしっかり届く
- 奥歯の歯間ケアに苦労している方におすすめ
🔄 巻型(ロールタイプ)

- 自由に長さを調整して使えるフロス
- 指に巻きつけて使用するため、細かいコントロールが可能
- コストパフォーマンスが高く、毎日使う人におすすめ
- 例:ガム・デンタルフロス(巻型)
🧽スポンジフロス、ワックスタイプなどの特徴
素材やコーティングにも違いがあります。スポンジフロスは歯間でふくらみ、プラークをしっかり絡め取れるタイプ。ワックスタイプは滑りがよく、歯間が狭い方でもスムーズに挿入できます。逆に、アンワックスタイプは滑りにくい分、しっかりとした清掃感があります。自分の歯の状態や使い心地で選ぶことが大切です。
🧵 ワックス付き or ノーワックス付き?デンタルフロスの選び方
歯間ケアを始めるなら、まず自分に合ったフロス選びが大切です。フロスには大きく分けて「ワックス付き」と「ノーワックス」「スポンジフロス」の3タイプがあります。それぞれの特徴とおすすめ商品を紹介します。
✅ 【初心者向け】ワックス付きフロス
初心者
🪥 リーチ デンタルフロス ワックス巻型タイプ
初めてフロスを使う方にとって、扱いやすく継続しやすい仕様です。
糸にワックス加工が施されており、滑りがよく歯間に挿入しやすい。
フロス初心者や、歯と歯の間が狭い方におすすめ。
【Amazonで購入】
【楽天で購入】

🔄 【上級者向け】ノーワックスフロス
上級者
🪥 リーチ デンタルフロス ノーワックス巻型タイプ
毎日フロスを使い慣れている方、細かく丁寧にケアしたい方向け。
ワックス加工がされていないため、歯間に入れるにはややコツが必要。
その分、プラーク除去効果が高いのが特徴。
【Amazonで購入】
【楽天で購入】

🦷初心者・子ども・高齢者におすすめのフロスは?
初心者には扱いやすいホルダータイプがおすすめです。特にY字型は奥歯にも届きやすく、操作が簡単です。子ども用にはキャラクター付きや短めの設計で、安全性を考慮した製品が多数あります。高齢者には持ち手が太めのものや、スポンジフロスのように歯ぐきにやさしい素材のものが適しています。年齢や生活スタイルに合わせた選び方が、継続のカギです。
💡プロ直伝!デンタルフロスの使い方ガイド
🪥正しい使い方ステップ
デンタルフロス(糸ようじ)は、正しい使い方をすることで効果が高まり、歯と歯の間のプラーク除去に役立ちます。ロールタイプの場合は、約40cmにカットし、両手の中指に巻き付けてピンと張り、歯の間に優しく挿入して、歯の側面に沿って上下に動かし清掃します。ホルダータイプでも基本的な動作は同じで、力を入れすぎると歯ぐきを傷つける恐れがあるため注意が必要です。
なお、小さなお子さんには一人での使用が難しいため、仕上げ磨きの際に保護者が使うことで効果的なケアができます。
🔄 巻型タイプを指に巻く方法
step
1️⃣ 約40cmにカットし中指に巻く
両端を中指に2〜3回ずつ巻き付けます。

step
2️⃣ 人差し指に絡めてコントロール
人差し指の先端に絡めるようにして支えます。

step
3️⃣ 親指と人差し指で持つ
フロスの間隔を1〜2cmに保ち、ピンと張ります。

step
4️⃣ 歯の間に挿入し清掃
片方の人差し指を奥、もう一方を手前にして歯間にゆっくり挿入。歯冠部を通過したら上下・前後に動かして歯垢を除去します。

🔁 巻型タイプを輪にして使う方法
step
1️⃣ 40cmにカットして輪を作る
糸を結んで輪を作ります。

step
2️⃣ ずらしながら使う
使った部分を少しずつずらすことで、経済的で衛生的です。

step
3️⃣ 指先でピンと張る
人差し指で伸ばし、間隔を1〜2cmに保ちます。

step
4️⃣ 歯間に挿入し両面を清掃
歯の間にゆっくり入れ、フロスをくの字に曲げて歯の側面をこすりながら引き上げます。歯間の両面(左右)をしっかり磨きましょう。

💦出血があっても大丈夫?使い始めの注意点
初めてデンタルフロスを使うと、歯ぐきから出血することがあります。これは、すでに歯ぐきに炎症が起きているサイン。数日間続けることで炎症が落ち着き、出血も自然に止まることがほとんどです。ただし、1週間以上出血が続く場合は、歯科医院でチェックを受けることをおすすめします。
⏱1日何回?いつ使うのがベスト?
デンタルフロスは1日1回が基本で、夜の歯みがき後が最も効果的です。寝ている間は唾液の分泌が減り、細菌が繁殖しやすいため、就寝前に歯間を清掃しておくことが口腔内の健康維持につながります。時間が取れない方は、週に数回の使用から始めても構いません。継続することが最も大切です。

🦷 歯間の磨き残しにはデンタルフロスが効果的!
歯ブラシだけでは取り切れない歯垢(プラーク)は、虫歯や歯周病の原因になります。とくに歯間部のケアには、デンタルフロスの併用が欠かせません。

🔍 歯垢が残りやすい場所
歯と歯の間、歯ぐきとの境目に要注意!
歯ブラシの毛先が届きにくい部分に歯垢が残りやすく、放置すると虫歯や歯周病の原因に。
デンタルフロスを使うことで、歯間の汚れをしっかり除去できます。

⚠️ 前歯の間に虫歯ができやすい理由
見た目ではわかりづらいですが、歯の間に虫歯ができていることがあります。
写真や図でよく見られるように、歯と歯の隙間に黄色く見える部分は虫歯の可能性があります。
虫歯は、表面の約3倍の大きさで内部に進行していることが多いため、早期発見・予防が重要です。
❓よくある疑問Q&A
🙋♀️フロスと歯間ブラシ、どっちを使えばいいの?
デンタルフロスと歯間ブラシは、目的や歯の状態によって使い分けが大切です。歯間が狭い方や、健康な歯ぐきの方にはデンタルフロスがおすすめ。一方で、歯周病などで歯間が広がっている方には歯間ブラシの方が効果的です。両方を併用するのが理想ですが、まずは使いやすい方から始めると習慣化しやすくなります。
🚫毎日使っても歯に悪影響はないの?
適切な使い方を守れば、毎日の使用でもまったく問題ありません。むしろ、歯と歯の間に残るプラークは1日で再生してしまうため、毎日の使用が推奨されます。力を入れすぎて歯ぐきを傷つけないよう注意すれば、歯に悪影響どころか、歯の寿命を延ばすことにつながります。
👨⚕️歯医者で勧められたけど必要?
はい、必要です。歯ブラシだけでは歯間の汚れを完全に除去できません。特に歯科医院では、虫歯のリスクや歯周病の有無を踏まえて、個別にデンタルフロスの使用を勧めています。プロのアドバイスを参考に、自分に合った使い方や頻度で取り入れていくことが、将来の歯の健康に直結します。
🏷ドラッグストア・ネット通販で買える!おすすめ商品紹介
🛍人気ブランド別(ライオン、GUM、クリニカなど)ランキング
- ライオン クリニカアドバンテージ デンタルフロスY字タイプ
初心者でも使いやすいホルダータイプで、奥歯までしっかり届きます。洗って再利用可能でコスパも良好です。 - オーラルケア フロアフロス
384本の繊維が歯間の汚れをしっかり絡め取り、歯周ポケットの清掃に最適です。 - GUM デンタルフロス ワックス ふくらむタイプ
口内でふくらむ特殊な糸が、歯間にフィットしやすく、歯ぐきにやさしい使用感が特徴です。
💬口コミ評価・レビューで選ぶフロスベスト3
- クリニカアドバンテージ スポンジフロス
水分を含むとスポンジ状にふくらみ、歯垢を効果的に除去。キシリトール配合のミントフレーバーで爽快感もあります。 - リーチ デンタルフロス ワックス
ナイロン製で切れにくく、ワックス加工により歯間にスムーズに挿入可能。初心者にも扱いやすいと好評です。 - オーラルB プレミアムデンタルフロス
独自の幅広テープが歯面を包み込み、効率的に汚れを除去。ミントフレーバーで使用後も爽やかです。
💰価格帯とコスパを比較!
| 商品名 | 内容量 | 価格(税込) | 特徴 |
|---|---|---|---|
| クリニカアドバンテージ デンタルフロスY字タイプ | 18本 | 約250円 | 洗って再利用可能で経済的 |
| フロアフロス | 45m | 約660円 | 高品質な繊維で歯周ポケットの清掃に最適 |
| GUM デンタルフロス ワックス ふくらむタイプ | 40m | 約548円 | ふくらむ糸で歯間にフィットしやすい |
| リーチ デンタルフロス ワックス | 50m | 約500円 | ワックス加工で歯間にスムーズに挿入可能 |
| オーラルB プレミアムデンタルフロス | 40m | 約630円 | 幅広テープで効率的に汚れを除去 |
🏥歯科医師がすすめるフロス習慣
🧑⚕️なぜ歯科医院でフロスをすすめるのか?
歯科医院でデンタルフロスの使用が強くすすめられるのは、「歯ブラシだけでは歯間の汚れを完全に除去できない」からです。実際、歯と歯の間のむし歯(隣接面カリエス)や歯周病は、歯ブラシだけのケアでは予防が難しいとされています。歯科医師は、患者の口腔内の状態を診て、必要に応じてフロスの種類や使い方まで指導します。特に根面う蝕や歯周ポケットのリスクがある方には、日々のフロス習慣が予防の鍵となります。

📊使っている人・使っていない人の違い(統計・データ)
厚生労働省や日本歯科医師会の調査によると、デンタルフロスを週3回以上使用している人は、歯周病の進行率が有意に低いというデータがあります。また、国民の約70%はフロス未使用という報告もあり、口腔トラブルの潜在的な原因となっています。さらに、アメリカの研究では「フロスを使う人は歯の本数が多く残る傾向がある」との結果も出ており、フロス習慣が歯の寿命を延ばすことは国際的にも支持されています。

🧼 デンタルフロスのお手入れと交換頻度
毎日使うデンタルフロスは、衛生的に保ち、適切なタイミングで交換することが大切です。ホルダータイプや巻型タイプそれぞれに合ったお手入れ方法を知って、清潔に使い続けましょう。

🪥 お手入れ方法(ホルダータイプ)
- 使い捨てではありません
- ホルダータイプのフロスは繰り返し使えるタイプもあります。
- 使用後は流水でよく洗う
- 汚れや歯垢をしっかり流しましょう。
- 風通しの良い場所で乾燥保管
- 湿気がこもる場所は雑菌繁殖の原因に。通気性の良い場所に保管してください。
🔁 交換の目安
- フロスの糸が毛羽立ってきたら交換
- フロスの効果が下がり、歯ぐきを傷つける原因になるため、早めの交換を。
📅 使用のタイミングと頻度
- 基本は毎日の歯ブラシ時に併用
- 歯みがきだけでは落とせない歯間の汚れを補完します。
- 特に歯の間に物が詰まりやすい方は
- 食後や水以外の飲食後に使用するのが理想的です。
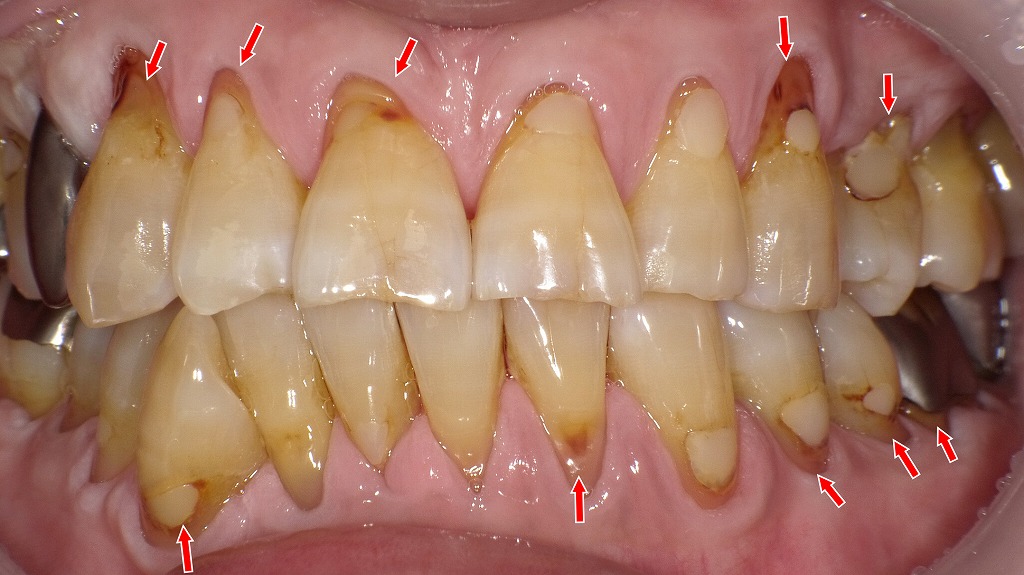
⚠️ デンタルフロスに起こりやすい3つのトラブルと対処法
デンタルフロスは正しく使えば口腔ケアに非常に有効ですが、状態によってはトラブルが発生することもあります。以下に代表的な3つのケースをご紹介します。
① 歯茎が下がることがある
- 中等度〜重度の歯周病がある場合、歯茎が下がることがあります。
- これは炎症で腫れた歯茎が引き締まり、正常に戻る回復反応であり、臨床的には良好な兆候です。
- ただし、見た目(審美面)では歯が長く見えて気になることも。
② フロスが引っかかって切れる
- フロスが途中で切れる場合は、詰め物の段差や虫歯の可能性があります。
- 切れたフロスが詰まった場合は、別のフロスを使って丁寧に取り除きましょう。
- 頻繁に起きる場合は、歯にトラブルがあるサインなので、歯科医院の受診をおすすめします。
③ 歯茎からの出血
- 歯周ポケットに歯石が多く付着していると、フロス使用時に出血しやすくなります。
- 「出血させた方がいい」という情報は誤りで、無理に出血させるのは危険です。
- 出血を放置すると、歯周病菌や毒素が血管から全身に広がるリスクも。
- このような場合は歯周病が進行している可能性が高く、早めに歯科医院での治療が必要です。
🧰 その他の口腔ケア用品
デンタルフロスだけでなく、他の補助的な口腔ケア用品を併用することで、より効果的な歯垢除去と予防が可能になります。

🪥 歯間ブラシの使い方と選び方
サイズ選びが重要
- 歯と歯の間の隙間には個人差があります。無理のないサイズを選びましょう。
歯茎が下がっている方
- 隙間が広い場合は、**太めのサイズ(大きい歯間ブラシ)**が適しています。
歯茎が健康な方
- 隙間が狭い場合は、細いサイズの歯間ブラシを選びましょう。
※ 無理に入れると歯ぐきを傷つける原因になるため、サイズ確認は歯科医院での相談がおすすめです。

🔋 電動歯ブラシの活用
磨き残しを減らす補助ツール
- 手磨きが苦手な方、力加減が難しい方におすすめです。
選び方のポイント
- 毛先が細く、弾力のあるブラシを選ぶと歯と歯ぐきにやさしく、しっかり磨けます。
特におすすめなケース
手の動きが不自由な方や、丁寧に磨いてもプラークが残りがちな方に有効です。
📌まとめ|毎日のフロス習慣で歯の寿命が変わる
デンタルフロスは、歯と歯の間に潜む見えない汚れを取り除き、虫歯や歯周病のリスクを大きく下げる習慣です。たった1日1回、数分のケアを続けるだけで、将来的に多くの歯を守ることができます。歯ブラシとセットで取り入れれば、口腔内の清潔度は格段にアップし、口臭や歯ぐきの炎症も防げます。
✅今日から始める3ステップ
- 自分に合ったフロスを選ぶ
ホルダータイプやスポンジタイプなど、扱いやすいものから始めましょう。 - 夜の歯みがき後に習慣化
寝る前の5分、鏡の前で丁寧に使うのがおすすめです。 - 週に1回からでもOK!
無理せず少しずつ回数を増やしていきましょう。
✅正しく続けるためのコツ
・洗面台にフロスを置いて視覚的に習慣化
・初めの数日はカレンダーやアプリで記録
・使い方に不安がある場合は歯科医院でレクチャーを受けるのも◎
江戸川区篠崎で歯の健康を守りたい方へ

当院では、毎日の歯みがきに加えて「デンタルフロス」の使用を強くおすすめしています。
歯と歯の間は虫歯や歯周病のリスクが高い場所であり、歯ブラシだけでは十分に清掃できません。
正しいフロスの選び方や使い方について、篠崎駅近くの当院で丁寧にご説明いたします。
「どのフロスがいいの?」「出血しても続けていいの?」といった疑問もお気軽にご相談ください。
あなたの大切な歯を、一本でも多く残すために──
江戸川区篠崎の地域密着型の歯科医院として、一人ひとりに合ったセルフケアを全力でサポートします。
【動画】歯周ポケットを改善するセルフケア法
筆者・院長

深沢 一
Hajime FUKASAWA
- 登山
- ヨガ
メッセージ
日々進化する歯科医療に対応するため、毎月必ず各種セミナーへの受講を心がけております。
私達は、日々刻々と進歩する医学を、より良い形で患者様に御提供したいと考え、「各種 歯科学会」に所属すると共に、定期的に「院内勉強会」を行う等、常に現状に甘んずる事のないよう精進致しております。 又、医療で一番大切な事は、”心のある診療”と考え、スタッフと共に「患者様の立場に立った診療」を、心がけております。


