- 1. 【🎞️41秒】知覚過敏・初期虫歯に!MIペーストの効果と活用法とは?
- 2. 🦷MIペーストとは?効果と仕組みをわかりやすく解説
- 2.1. 🔍MIペーストの基本情報
- 2.1.1. MIペーストとは?
- 2.1.2. 主成分CPP-ACP(リカルデント)の働き
- 2.1.3. 再石灰化や知覚過敏への効果
- 2.2. 🛡️MIペーストとフッ素の違いと併用のポイント
- 2.2.1. ✅ 1. フッ素とMIペーストの役割の違い
- 2.2.2. ✅ 2. フッ素との正しい併用方法と順番
- 2.2.3. ✅ 3. さらに効果を高める方法
- 2.2.4. ✅ 4. フッ素とMIペーストは「併用」が基本
- 2.3. ⚠️子ども・妊婦への使用は?
- 3. 🍓MIペーストの使い方と使用上の注意点
- 3.1. 🪥使用のタイミングと頻度
- 3.1.1. 1日何回使うべき?
- 3.1.2. 歯みがきとの順番/就寝前の活用法
- 3.1.3. 使用後のうがいは必要?
- 3.2. ⚠️使用時の注意点
- 3.2.1. 牛乳アレルギーがある方への注意
- 3.2.2. 誤飲しないためのポイント
- 3.2.3. 小児・高齢者のケア時の工夫
- 4. 🦷MIペーストを使った初期虫歯治療|再石灰化を促す効果的な使い方
- 4.1. ✅ 1. 初期虫歯(CO~C1)の症例に有効
- 4.2. ✅ 2. マウスピースを使った高濃度パック法
- 4.3. ✅ 3. 歯ブラシで塗布して使う方法
- 4.4. ✅ 4. 指で直接塗布する簡易ケア法
- 4.5. ✅ 5. 使用時のポイントと注意点
- 5. 🌈MIペーストのラインナップと選び方
- 5.1. 🏷️人気のフレーバー紹介
- 5.2. 👪味の選び方と年齢別おすすめ
- 6. 🦷MIペーストはこんな方におすすめ|活用事例リスト
- 6.1. ✅ 1. 初期虫歯(CO)の再石灰化を目指す方に
- 6.2. ✅ 2. ホワイトスポット・エナメル質形成不全の改善に
- 6.3. ✅ 3. 知覚過敏のある方に
- 6.4. ✅ 4. ホワイトニング後のケアに
- 6.4.1. ホワイトニング前後の歯をやさしく守るケア|MIペーストはこんな方におすすめ
- 6.5. ✅ 5. 小児・矯正中のお子さまに
- 6.6. ✅ 6. 矯正治療中の方全般に
- 6.7. ✅ 7. ミュータンス菌感染・虫歯リスクが高い方に
- 6.8. ✅ 8. ドライマウス(口腔乾燥症)の方に
- 7. 📝患者さんのよくある質問(Q&A)
- 7.1. ❓Q1. フッ素と一緒に使っても大丈夫?
- 7.2. ❓Q2. 使いすぎると害はある?
- 7.3. ❓Q3. 市販のものと歯科専売品はどう違う?
- 7.4. ❓Q4. 開封後どのくらいで使い切るべき?
- 8. 📌まとめ|MIペーストで健康な歯を守ろう!
- 9. 江戸川区篠崎でMIペーストを使った予防歯科なら当院へ
- 10. 【動画】初期虫歯COを削らずに自分で治す方法
- 11. 筆者・院長

毎日の歯みがきだけでは、虫歯や知覚過敏を完全に防ぐことはできません。そんな時に注目されているのが、歯にミネラルを補給できる「MIペースト」。
この記事では、MIペーストの効果や使い方、フッ素との違いなどを歯科医の視点からわかりやすく解説します。初めて使う方にもおすすめのフレーバーや注意点も紹介していますので、ぜひご覧ください。
【🎞️41秒】知覚過敏・初期虫歯に!MIペーストの効果と活用法とは?
🦷MIペーストとは?効果と仕組みをわかりやすく解説
🔍MIペーストの基本情報
MIペーストとは?
MIペーストとは、歯の再石灰化を助けるために開発された歯科専用のトゥースクリームで、虫歯予防や知覚過敏の軽減に用いられます。特に、初期虫歯の進行抑制やホワイトニング後のケアとしても注目されています。市販ではなく、歯科医院や一部通販で購入可能な“歯科専売品”です。
主成分CPP-ACP(リカルデント)の働き
MIペーストの主成分はCPP-ACP(カゼインホスホペプチド・アモルファスカルシウムリン酸)です。これは牛乳由来の成分で、歯の表面にミネラル(カルシウム・リン)を供給し、唾液中でも安定的に作用します。CPPがミネラルを包み込み、歯に効率よく届けることで、虫歯リスクの高い口内環境を中性に保つ中和・緩衝作用も持ちます。

再石灰化や知覚過敏への効果
MIペーストを使うことで、虫歯の初期段階である脱灰(だっかい)を抑え、失われたミネラルを補う再石灰化が促進されます。また、歯の表面にミネラルの層を作ることで、**冷たい飲み物や甘いものにしみる症状(知覚過敏)**の緩和にも効果的です。
🛡️MIペーストとフッ素の違いと併用のポイント


✅ 1. フッ素とMIペーストの役割の違い
- フッ素はエナメル質の強化や虫歯菌の活動抑制に働き、虫歯になりにくい歯質を作る効果があります。
- MIペースト(CPP-ACP)は、歯から失われたカルシウムやリンを補い、再石灰化とpH安定に貢献します。
- 両者は異なるメカニズムで虫歯予防に作用するため、併用することで相乗効果が期待できます。
✅ 2. フッ素との正しい併用方法と順番
- 推奨される使用順は以下の通りです:
① フッ素入り歯磨き粉で丁寧にブラッシング
② うがいは軽めに(有効成分が残るように)
③ MIペーストを歯全体に塗布
④ 30分間は飲食やうがいを控える - この順番により、フッ素が歯質を強化し、MIペーストがその環境を保ちつつミネラル補給を行うことで、虫歯の発生リスクを大幅に低減できます。
✅ 3. さらに効果を高める方法
- MIペーストは歯ブラシに乗せて塗布する方法のほか、マウスピースで保持する方法がより効果的。
- マウスピース内にMIペーストを入れて30分保持すれば、唾液に流されず、高濃度でCPP-ACPを維持可能です。
- フッ素洗口液(例:ミラノール)を使う場合は、うがい後に軽くすすいでからMIペーストを使用すると◎。
✅ 4. フッ素とMIペーストは「併用」が基本
歯磨き後にフッ素+MIペーストを取り入れることで、虫歯になりにくい環境をつくり、再石灰化のチャンスを最大限活かせます。なり、両方の相乗効果が期待できます。
どちらか一方ではなく、役割の異なる2つの成分を合わせて使うことが、最も効果的な虫歯予防法です。
⚠️子ども・妊婦への使用は?
MIペーストは牛乳由来成分を含むため、乳製品アレルギーのある方は使用を控える必要があります。それ以外では、小児や妊婦への使用も可能とされており、特に小児の初期虫歯予防や妊娠中の口腔ケアにも役立つとされています。ただし、必ず歯科医師の指導のもと使用することが大切です。
🍓MIペーストの使い方と使用上の注意点

🪥使用のタイミングと頻度
1日何回使うべき?
MIペーストは1日1〜3回の使用が推奨されています。特に就寝前の使用がもっとも効果的です。寝ている間は唾液の分泌が減少し、虫歯リスクが高まるため、ミネラルを歯に補給するには最適なタイミングといえます。
歯みがきとの順番/就寝前の活用法
正しい使い方は以下の順番です:
- フッ素入りの歯みがき粉で丁寧にブラッシング
- 軽くうがい(※うがいの回数は少なめに)
- 指や綿棒でMIペーストを歯面全体に塗布
- そのまま30分程度は飲食を控える(可能ならそのまま就寝)
この手順で、フッ素とCPP-ACPの両成分が最大限に作用します。**「寝る前のMIペースト」**は、虫歯予防における“仕上げ”のような役割を果たします。
使用後のうがいは必要?
基本的には使用後にうがいをする必要はありません。うがいをしてしまうと、歯面に残った有効成分まで洗い流してしまうため、効果が薄れてしまいます。唾液が気になる場合でも、軽く吐き出すだけに留めましょう。
⚠️使用時の注意点
牛乳アレルギーがある方への注意
MIペーストの主成分であるCPP-ACPは牛乳由来です。そのため、牛乳アレルギーのある方には使用できません。重篤なアレルギー反応を引き起こす可能性があるため、必ず成分表示を確認し、心配な方は医師や歯科医師に相談しましょう。

誤飲しないためのポイント
MIペーストは飲み物ではなく、口腔内に塗って作用させる製品です。大量に誤って飲み込んでしまうと、お腹を壊すことがあります。使用中は、ペーストが喉に流れ込まないよう注意し、小さなお子さんには保護者の管理のもとで使うことが重要です。
小児・高齢者のケア時の工夫
小さな子どもや高齢者に使用する際は、次のような工夫が効果的です:
- 綿棒や指サック型ブラシを使って少量ずつ塗布
- 無理に口を開けさせず、短時間で終了することを意識
- 飲み込まずに吐き出せるよう、「ぺっ」と出す練習を事前に行う
- フレーバーは好みに合ったものを選び、楽しく続けられる工夫をする
MIペーストは正しく使えば虫歯予防・知覚過敏ケアに大変有効な製品です。使用方法を守り、無理のない範囲で日常に取り入れましょう。
🦷MIペーストを使った初期虫歯治療|再石灰化を促す効果的な使い方
✅ 1. 初期虫歯(CO~C1)の症例に有効
- 下顎の歯にCO〜C1の初期虫歯が確認された症例では、「削って詰める治療」は時期尚早と判断され、MIペーストによる再石灰化処置が行われました。
- CPP-ACPによってミネラルを歯に補給し、自然治癒を促進する“削らない治療”が可能です。
✅ 2. マウスピースを使った高濃度パック法
- 歯みがき後にマウスピースにGC MIペーストを入れ、30分間装着する方法。
- 唾液に成分が流されにくく、CPP-ACP(リカルデント)を高濃度で歯面に保持できるため、再石灰化効果が高まります。
- 特に夜間や就寝前に行うと効果的です。

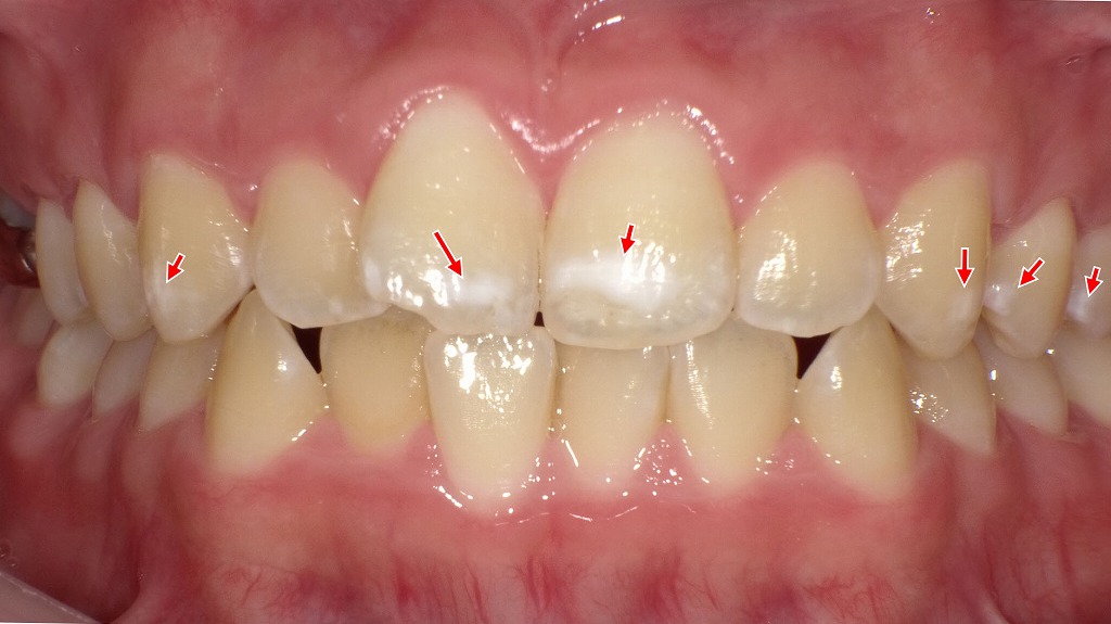
下顎の歯にCO~C1の虫歯発生した症例
矢印の歯に初期虫歯CO~C1が発生した症例です。虫歯を削って詰めるには時期尚早と判断し、再石灰化を促す措置を行いました。

miペーストを マウスピースに入れて使用
食後直ぐにブラッシングした後、マウスピースにGC miペーストを入れ、口腔内に約30分挿入したままにします。
マウスピースにGC miペーストを入れてを使用することで、口腔内の唾液に洗い流されることなく高い濃度のCPP-ACP複合体をキープすることが出来るので再石灰化の効果が高まります。
✅ 3. 歯ブラシで塗布して使う方法

- 歯ブラシにMIペーストをつけ、3分間程度丁寧に歯全体をブラッシング。
- 最後は軽くゆすぐだけにして、有効成分が口腔内に残るようにします。
- ホワイトスポットや白濁が気になる箇所には、追加で指や綿棒で直接塗布するのも効果的です。
✅ 4. 指で直接塗布する簡易ケア法

- 清潔な指にMIペーストを取り、歯の表面に直接塗布。
- 特に夜寝る前に塗ったまま就寝することで、成分が長時間歯にとどまり再石灰化を促進します。
- 就寝中は唾液分泌が少ないため、有効成分の流出が抑えられます。
✅ 5. 使用時のポイントと注意点
- 使用前は必ず手を洗うこと。
- 強くうがぐと成分が流れてしまうため、口を軽くすすぐ程度にとどめる。
- 継続使用が鍵。数週間~数ヶ月の使用で初期虫歯や白濁の改善が期待できます。
このように、MIペーストは「削らずに治す」初期虫歯治療や、ホワイトスポットへのケアとしても非常に有効です。目的に応じた使用法を選ぶことで、より高い効果を得ることができます。
🌈MIペーストのラインナップと選び方
🏷️人気のフレーバー紹介
MIペーストは、年齢や好みに合わせて選べる豊富な味が魅力です。以下が主なラインナップです。

- ミント:すっきり爽快。大人だけでなく、小学生以上にも人気。
- ストロベリー:ほんのり甘酸っぱく、お子さまに好まれやすい味わい。
- ヨーグルト:マイルドな酸味とクリーミーさで、乳製品好きにおすすめ。
- バニラ:やさしい甘さが特徴。初めてMIペーストを使う方にも抵抗感が少ないフレーバー。
- メロン:フルーティで甘みが強め。甘いもの好きのティーン~若年層に好評。
- チョコレート:スイーツ感覚で使える大人向けフレーバー。知覚過敏ケアを楽しく継続できます。
👪味の選び方と年齢別おすすめ
フレーバー選びは「続けやすさ」がポイント。下記を参考に、まずは少量サイズでお試しを。
- 小児(3~12歳)
- 初めてならストロベリーやヨーグルトがおすすめ。甘さが強すぎず、嫌がらずに使えます。
- 甘い味に慣れたらメロンも◎。学校帰りのおやつ感覚で使えます。
- ティーン(13~18歳)
- フルーツ系(ストロベリー/メロン)で気分をアップ。歯科矯正中の若者にも選ばれています。
- バニラは甘さ控えめで大人っぽい印象。友達にも自慢できます。
- 大人(19~59歳)
- ミント/チョコレートが定番。清涼感やスイーツ感を求める方にマッチします。
- フレーバーが強すぎないバニラやヨーグルトも、仕事中のケアとして使いやすいです。
- シニア(60歳以上)
- バニラやヨーグルトのマイルド系で、口腔内に優しい使用感を重視。
- ご高齢の方は唾液量が減りやすいため、味で刺激を選ぶと唾液分泌を促せます。
ご自身やご家族の好み・ライフスタイルに合わせて、まずは1〜2種類を試してみてください。お気に入りのフレーバーが見つかれば、毎日のオーラルケアが楽しく続くはずです!
🦷MIペーストはこんな方におすすめ|活用事例リスト
✅ 1. 初期虫歯(CO)の再石灰化を目指す方に
- エナメル質が脱灰してできる初期虫歯(CO)は、MIペーストに含まれるCPP-ACP(リカルデント)によって再石灰化が促進され、自然治癒が可能です。
- 唾液の約190倍のカルシウム・20倍のリンを過飽和状態で補給し、酸性環境を中和・緩衝する働きも持ちます。
- 子どもから大人まで、CO段階の虫歯予防に有効です。
✅ 2. ホワイトスポット・エナメル質形成不全の改善に
- 歯の表面に白く見えるホワイトスポット(軽度の脱灰)は、継続使用により見た目の改善や虫歯進行の抑制が可能です。
- エナメル質形成不全などの白濁が軽度であれば、MIペーストで再石灰化による自然回復が期待できます。
- マウスピースで30分間保持する方法を数ヶ月継続すると、白濁の薄化がみられることもあります。

✅ 3. 知覚過敏のある方に
- 冷たい飲食物で歯がしみる場合は、CPP-ACPが象牙質表面に保護膜を形成し刺激を緩和します。
- 特にホワイトニング後や歯がすり減った方におすすめ。
- ブラッシング後に塗布するだけで、手軽にケアできます。
✅ 4. ホワイトニング後のケアに
- ホワイトニング後の歯は一時的に脱灰しやすく、再着色や知覚過敏のリスクが上昇します。
- MIペーストを使用することで、歯面を再石灰化・保護し、知覚過敏や再着色を予防できます。
- ホームホワイトニングではトレーに入れて30分、オフィスホワイトニング後は歯ブラシで塗布して使用。
- マイルドなフレーバー(バニラ・ヨーグルト)がおすすめ。
ホワイトニング前後の歯をやさしく守るケア|MIペーストはこんな方におすすめ


✅ 5. 小児・矯正中のお子さまに
- 生えたばかりの乳歯・永久歯は未成熟で虫歯になりやすく、6歳臼歯の予防にも効果的。
- 矯正装置の周囲は磨きにくく脱灰しやすいため、ホワイトスポットや初期虫歯の予防にMIペーストが有効です。
- 子どもが続けやすいストロベリーやヨーグルト味が人気。
✅ 6. 矯正治療中の方全般に
- マルチブラケット装置によりブラッシングが難しく、虫歯のリスクが高まります。
- MIペーストは歯垢がたまりやすい部位の脱灰を抑えるため、矯正中の予防ケアに適しています。
✅ 7. ミュータンス菌感染・虫歯リスクが高い方に
- 虫歯の主な原因菌であるミュータンス菌に感染している方は、MIペーストでミネラル補給と中和作用を強化することで虫歯リスクを軽減できます。
✅ 8. ドライマウス(口腔乾燥症)の方に
- 唾液の分泌が減ると口腔内の中和・再石灰化機能が低下し、虫歯や歯周病になりやすくなります。
- 高齢者や生活習慣病で薬を服用している方にも多く、MIペーストが唾液の代替的役割を果たし、虫歯予防に有効です。
このように、MIペーストは**「治療」よりも「予防」と「補修」**に重点を置いたケアアイテムです。使用者のライフステージやリスクに応じて、適切に活用することが大切です。ケアと組み合わせて、より高い効果を得られるようにしましょう。
📝患者さんのよくある質問(Q&A)
MIペーストに関して、患者さんからよくいただく疑問にわかりやすくお答えします。
❓Q1. フッ素と一緒に使っても大丈夫?
✅ 併用は可能で、むしろ推奨されています。
フッ素はエナメル質を強化し、虫歯菌の活動を抑える作用があります。一方、MIペーストのCPP-ACPはカルシウムやリンを補給し、口腔内を中性に保ちやすくします。役割が異なるため併用することで相乗効果が期待できます。
【おすすめの使用順】
- フッ素入り歯磨き粉でブラッシング
- 軽くうがいをする
- MIペーストを塗布
- 30分は飲食を控える
これにより、フッ素とCPP-ACPがそれぞれの働きを最大限発揮できます。
❓Q2. 使いすぎると害はある?
✅ 基本的に使いすぎによる健康被害はありません。
MIペーストは食品由来の成分がベースとなっており、適量を口腔内に使用する限りは安全です。ただし、大量に飲み込んだり、1日に何十回も使うなどの極端な使い方は避けましょう。
また、牛乳由来の成分を含むため、牛乳アレルギーがある方は厳禁です。初めて使う前にアレルギー歴を確認してください。
❓Q3. 市販のものと歯科専売品はどう違う?
✅ MIペーストは基本的に「歯科専売品」です。
歯科医院または一部の歯科用品専門通販サイトでのみ取り扱いがあります。
そのため、ドラッグストアやスーパーでは基本的に販売されていません。
ただし、近年は楽天市場やAmazonなどのネットショップでも販売されていますが、取り扱い業者の信頼性や保管状態に注意が必要です。できれば、歯科医院での購入・相談を通じて使用するのが安心です。
❓Q4. 開封後どのくらいで使い切るべき?
✅ 目安は「開封後3ヶ月以内」。
開封後はチューブ内に空気が入り込み、成分の劣化や衛生面の問題が起きやすくなります。
特に口に直接塗るものなので、長期間放置すると雑菌の繁殖リスクもあります。
【使い切るコツ】
- 使うたびにキャップをしっかり閉める
- 高温多湿を避け、冷暗所に保管する
- 使用頻度を定めて定期的に使う(例:1日1回の就寝前)
MIペーストは正しく使えば、歯の健康を守る強い味方です。
不安な点は歯科医師に相談しながら、自分や家族に合った使い方を見つけましょう。
📌まとめ|MIペーストで健康な歯を守ろう!
MIペーストは、歯に必要なミネラル(カルシウム・リン)を補給し、再石灰化を促すことで虫歯や知覚過敏を予防する画期的なオーラルケア製品です。主成分のCPP-ACP(リカルデント)は、フッ素と組み合わせて使用することでより高い効果を発揮します。
特に、初期虫歯の進行防止・ホワイトニング後のケア・小児矯正中の虫歯予防など、あらゆるライフステージで活用できる点が魅力です。フレーバーも豊富なので、家族みんなで楽しみながら続けられるのも大きなポイントです。
ただし、牛乳アレルギーの方には使用できないため、使用前の確認や歯科医師との相談が大切です。
「虫歯になってから治療」ではなく、「虫歯にならないように守る」。
MIペーストは、そんな予防歯科の考え方を支える強い味方です。
毎日のケアにMIペーストを取り入れて、健康で美しい歯を長く保ちましょう!
江戸川区篠崎でMIペーストを使った予防歯科なら当院へ

当院では、虫歯や知覚過敏を予防するために「MIペースト」を活用したケアをおすすめしています。MIペーストは歯に必要なミネラルを補給し、再石灰化を促すことで、初期虫歯の進行を防ぐ効果が期待できます。特にお子さまや矯正中の方、ホワイトニング後のケアにも最適です。江戸川区篠崎エリアで、予防に力を入れた丁寧な歯科治療をお探しの方は、ぜひお気軽にご相談ください。MIペーストの使用方法や適したフレーバーについても、わかりやすくご案内いたします。
【動画】初期虫歯COを削らずに自分で治す方法
筆者・院長

深沢 一
Hajime FUKASAWA
- 登山
- ヨガ
メッセージ
日々進化する歯科医療に対応するため、毎月必ず各種セミナーへの受講を心がけております。
私達は、日々刻々と進歩する医学を、より良い形で患者様に御提供したいと考え、「各種 歯科学会」に所属すると共に、定期的に「院内勉強会」を行う等、常に現状に甘んずる事のないよう精進致しております。 又、医療で一番大切な事は、”心のある診療”と考え、スタッフと共に「患者様の立場に立った診療」を、心がけております。


