- 1. 【🎞️47秒】ラクトバチラス菌の基礎知識|虫歯進行メカニズムと最新ケア方法まとめ
- 2. 🧬ラクトバチラス菌の基礎知識
- 2.1. 🔬ラクトバチラス菌とは?(ミュータンス菌との違い)
- 2.2. 🦠ラクトバチラス菌の特徴と生息部位
- 2.2.1. 🔬ラクトバチラス菌の特徴
- 2.2.2. 🦷ラクトバチラス菌の生息部位
- 3. 🦠口腔内に存在する常在菌と虫歯菌の関係
- 3.1. 🔬常在菌は約700種類以上存在
- 3.2. 😈虫歯菌は酸性の環境下でも生きられる!
- 3.3. ⚡常在細菌叢から病原性細菌叢へ変化するメカニズム
- 4. 🦷ラクトバチラス菌は虫歯菌!効果的な対策方法とは?
- 4.1. 🦠ラクトバチラス菌は虫歯菌
- 4.2. 🛡️ラクトバチラス菌を減らす効果的な方法
- 4.2.1. 🪥プラークコントロール
- 4.3. 📋プラークコントロールレコードの活用
- 4.4. 🛠️シーラントによる予防
- 4.5. 🦷虫歯の治療と不良補綴物のやり替え
- 5. 🍼体全体への影響|妊娠・出産への関係性
- 5.1. 🤰妊娠中の着床率とラクトバチラス菌
- 5.2. 👶ラクトバチラス菌と赤ちゃんの健康への影響
- 5.3. 🧬最新研究:不妊治療分野での注目
- 6. 🦠虫歯の進行に深く関わる「ラクトバチラス菌」をご存じですか?
- 7. 【動画】初期虫歯COを削らずに自分で治す方法
- 8. 筆者・院長

お口の中には、数えきれないほどの細菌が常在していることをご存じでしょうか?
その中でも、**ラクトバチラス菌(乳酸桿菌)**は、虫歯の進行に大きく関わる重要な菌のひとつです。
ラクトバチラス菌は、ミュータンス菌と同じく強い酸を産生する能力を持ち、虫歯を深い部分へと進行させる役割を果たします。
一方で、腸内や膣内などでも善玉菌として働く側面があり、体全体の健康にも影響を与える存在として注目されています。
この記事では、
- ラクトバチラス菌の特徴
- 虫歯との関係
について、わかりやすく解説していきます。
ぜひ最後までご覧ください!
【🎞️47秒】ラクトバチラス菌の基礎知識|虫歯進行メカニズムと最新ケア方法まとめ
🧬ラクトバチラス菌の基礎知識
🔬ラクトバチラス菌とは?(ミュータンス菌との違い)

- ラクトバチラス菌とは?
- 乳酸菌の一種で、グラム陽性の桿菌。
- 通常、口腔・腸内・膣内など、ヒトの粘膜面に存在。
- 糖を分解して乳酸を生成する性質を持つ。
- 虫歯との関係:
- 初期の虫歯を作る主犯はミュータンス菌(Mutans Streptococci)。
- ラクトバチラス菌は虫歯の「進行」を助ける役割が強い。
- エナメル質が破壊された後、象牙質へ深く浸食を進める。
- ミュータンス菌との違いまとめ:
| 比較項目 | ミュータンス菌 | ラクトバチラス菌 |
|---|---|---|
| 役割 | 虫歯の発生 | 虫歯の進行 |
| 活動場所 | 歯の表面(エナメル質) | 象牙質・深層部 |
| 酸産生能力 | 非常に高い | 高い(ただし自壊しやすい) |
🦠ラクトバチラス菌の特徴と生息部位
🔬ラクトバチラス菌の特徴
- 自然界に広く分布している
- お口の中や腸管など、人間の体内にも常在。
- 強い酸を産生する
- ミュータンス菌と同様、強い酸を作り出して歯を溶かす働きを持つ。
- 酸素の有無にかかわらず生存できる
- 酸素の少ない深い虫歯の中でも活動可能。
- 深部で酸を作り、虫歯をさらに奥深く拡大させる。
🦷ラクトバチラス菌の生息部位
- ツルツルした表面には定着できない
- エナメル質など滑らかな場所には生息できない。
- 生息できる主な場所
- ミュータンス菌が作った虫歯のザラザラした部分。
- 奥歯のかみ合わせの溝(細かく複雑な形状のため菌が留まりやすい)。
- 詰め物や被せ物の隙間(適合不良の部位)。
- 特徴的なポイント
- 「引っ掛かり」や「凹凸」のある場所に潜み、虫歯を進行させる拠点となる。
🦠口腔内に存在する常在菌と虫歯菌の関係
🔬常在菌は約700種類以上存在
- 口腔内の細菌バランス
- 人間の口の中には約700種類以上の常在菌が存在。
- これらは「常在細菌叢(マイクロバイオーム)」としてバランスを保ちながら共存している。
- 細菌数の規模
- 口腔内には合計で10兆個以上の細菌が生息。
- そのうち約70〜80%が、虫歯の原因となる酸を作り出す「酸産生菌」。
😈虫歯菌は酸性の環境下でも生きられる!
- 代表的な酸産生菌
- ラクトバチラス菌(乳酸桿菌)
- ミュータンス連鎖球菌
- ミュータンス菌の特徴
- 通常は歯垢中のたった1%程度の存在。
- しかし、歯磨き不足や砂糖の多い食生活によって、酸性環境が長時間続くと急増。
- 酸性環境が生むリスク
- ラクトバチラス菌やミュータンス菌など酸に強い菌の割合が高まり、虫歯リスクが上昇する。
⚡常在細菌叢から病原性細菌叢へ変化するメカニズム
- 健康な常在細菌叢の状態
- 病原性が少なく、口腔内の健康バランスを保つ。
- 酸性化による変化
- 酸性環境が続くと、病原性の高い細菌が優勢に。
- ミュータンス菌やラクトバチラス菌が活性化し、さらに酸性度が増す。
- 最終的な現象:脱灰=虫歯
- 酸によって歯の表面(エナメル質)が溶ける現象=脱灰(だっかい)。
- これが虫歯の始まりとなる。
🦷ラクトバチラス菌は虫歯菌!効果的な対策方法とは?
🦠ラクトバチラス菌は虫歯菌
- ラクトバチラス菌は虫歯の「進行」に深く関与。
- ミュータンス菌が初期虫歯を作り、ラクトバチラス菌が内部を侵食して虫歯を悪化させる。
🛡️ラクトバチラス菌を減らす効果的な方法
🪥プラークコントロール
- ブラッシングで歯垢(プラーク)を除去
- 毎日の正しいブラッシングが基本。
- 歯垢とともにラクトバチラス菌も減少できる。
- 補助的なアイテム・方法:
- ポイックウォーター(殺菌力の高い水)
- フッ素入り歯磨き剤
- 抗菌効果のある洗口液など
- 歯科クリニックでの専門ケア:
- PMTC(Professional Mechanical Tooth Cleaning)
- エアフロークリーニング
- 3DSセラピー(専用トレーを用いた除菌療法)
📋プラークコントロールレコードの活用
- プラークコントロールレコードとは?
- 歯垢の付着状態を記録・可視化する方法。
- 自分のブラッシングの癖や磨き残しを把握し、効率的なケアに役立つ。
- メリット:
- どの部位に磨き残しが多いか明確になり、セルフケアの質が向上。

🛠️シーラントによる予防
- 6歳臼歯の深い溝をシーラントで封鎖
- 6歳前後に生える永久歯は、溝が深く、ラクトバチラス菌が生息しやすい。
- シーラントとは?
- レジン(プラスチック)で溝を埋め、菌の棲みかをなくす治療。
- 汚れや菌が溜まるのを防ぎ、虫歯予防に効果的。

🦷虫歯の治療と不良補綴物のやり替え
- 虫歯は早期治療を徹底!
- 放置するとラクトバチラス菌の温床になり、虫歯がさらに進行。
- 不良な詰め物・被せ物の再治療:
- すき間やズレがある補綴物(ほてつぶつ)は、菌の温床になりやすい。
- 歯とピッタリ合った修復物にやり替えて、菌の侵入を防ぐ。
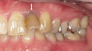
- イメージ例:
- 写真では、詰め物(コンポジットレジン)の隙間から虫歯が再発している様子が確認できます。


🍼体全体への影響|妊娠・出産への関係性
🤰妊娠中の着床率とラクトバチラス菌
- 子宮内フローラの重要性:
- 近年、「子宮内にも細菌叢(フローラ)が存在する」と判明。
- 健康な子宮内フローラにはラクトバチラス菌が豊富に存在するのが理想とされる。
- ラクトバチラス菌と着床率の関係:
- ラクトバチラス菌が優勢な環境では、子宮内膜の炎症リスクが低減。
- これにより、受精卵の着床率が向上すると報告されている。
- 逆に、ラクトバチラス菌が少ない場合:
- 異常な子宮内フローラ(例:ガードネレラ菌優勢)になると、着床障害・流産リスクが上昇。
👶ラクトバチラス菌と赤ちゃんの健康への影響
- 出生時の「初期フローラ」:
- 出産時、産道を通過する際に母親の膣内細菌が赤ちゃんに伝わる。
- ラクトバチラス菌が豊富な母体では、赤ちゃんも良好な腸内細菌叢を獲得できる。
- 赤ちゃんの健康リスクと関連:
- 初期フローラが乱れていると、将来的にアレルギー疾患・肥満・自己免疫疾患のリスクが高まるという研究も。
- 母体のラクトバチラス菌管理が鍵:
- 妊娠中から膣内・腸内フローラを整えることが、赤ちゃんの生涯健康にもつながる。
🧬最新研究:不妊治療分野での注目
生殖医療におけるフローラ検査の普及:
- 体外受精(IVF)前に**子宮内細菌検査(子宮内フローラ検査)**を行うケースが増加。
- ラクトバチラス菌が優勢かどうかが、治療成功率に直結することが明らかに。
ラクトバチラス菌補充療法の研究:
- 子宮内ラクトバチラス菌が不足している女性に対し、乳酸菌製剤を投与してフローラ改善を図る治療法が注目されている。
エビデンス例:
- ある研究では、子宮内ラクトバチラス菌の割合を80%以上に維持できた患者群で、着床率・妊娠率が有意に向上したという報告あり。
今後の展望:
- さらに精密なフローラ診断や、パーソナライズド補菌療法の開発が進められている。
🦠虫歯の進行に深く関わる「ラクトバチラス菌」をご存じですか?

江戸川区篠崎にある当院では、ラクトバチラス菌をはじめとする虫歯リスク菌の検査・管理に力を入れています。
ラクトバチラス菌は、虫歯の深い部分を進行させる原因となる細菌です。
初期虫歯の早期発見はもちろん、菌のバランスを整えることで、虫歯になりにくい口腔環境をつくることができます。
当院では、精密な口腔ケアプログラムを通じて、患者さま一人ひとりに最適な虫歯予防プランをご提案しています。
**「最近、虫歯ができやすいかも…」**と感じている方も、まずはお気軽にご相談ください。
江戸川区篠崎エリアで、お口の健康を守るサポートを全力で行っています!
【動画】初期虫歯COを削らずに自分で治す方法
筆者・院長

深沢 一
Hajime FUKASAWA
- 登山
- ヨガ
メッセージ
日々進化する歯科医療に対応するため、毎月必ず各種セミナーへの受講を心がけております。
私達は、日々刻々と進歩する医学を、より良い形で患者様に御提供したいと考え、「各種 歯科学会」に所属すると共に、定期的に「院内勉強会」を行う等、常に現状に甘んずる事のないよう精進致しております。 又、医療で一番大切な事は、”心のある診療”と考え、スタッフと共に「患者様の立場に立った診療」を、心がけております。


