- 1. 🪥 歯磨きの基本は「1日2〜3回」
- 1.1. 🍴 理想は毎食後(1日3回)
- 1.2. 🌅 最低限、朝と寝る前は必須
- 1.3. 🌙 夜の歯磨きが特に大切な理由
- 2. ⏰ タイミング別の歯磨きの効果
- 2.1. 🌅 朝起きてすぐの歯磨きで口内細菌をリセット
- 2.2. 🍱 昼食後は虫歯・口臭予防に効果的
- 2.3. 🌙 就寝前は最も重要!歯周病や虫歯予防の決め手
- 3. 🎯 歯磨きの質も大切!正しい磨き方のポイント
- 3.1. 🤲 力を入れすぎず優しく磨く
- 3.2. 🧵 歯間ブラシやフロスを併用する
- 3.3. 🪥 フッ素入り歯磨き粉を使用
- 3.4. 染め出しで実感する歯磨きの質の変化:1年間のブラッシング改善記録
- 4. 💡 忙しい人のための歯磨き工夫
- 4.1. 💧 昼はうがいやマウスウォッシュで代用もOK
- 4.2. 🎒 携帯用歯ブラシやデンタルフロスを活用
- 4.3. 🏢 オフィスや学校でも簡単にできるケア方法
- 5. ✅ まとめ|歯磨きは「回数」よりも「タイミング」と「質」が重要
- 6. 歯磨きは朝と夜が必須!1日何回すべきか歯科医が解説
- 7. 【動画】ステイン着色汚れをクリーニングするエアフロー
- 8. 筆者・院長

「歯磨きは1日何回すれば良いの?」「朝だけじゃダメ?」と疑問に思ったことはありませんか?実は、歯磨きは回数だけでなく“タイミング”がとても重要です。この記事では、歯科医が推奨する歯磨きの回数と最適なタイミングを詳しく解説します。
🪥 歯磨きの基本は「1日2〜3回」

🍴 理想は毎食後(1日3回)
歯磨きの理想は 朝・昼・夜の1日3回。毎食後に磨くことで、食べかすやプラークを早めに取り除き、虫歯や歯周病のリスクを大きく減らせます。特に矯正中や虫歯リスクが高い方には重要です。

矯正治療中は、ブラケットやワイヤーの周囲に汚れが停滞しやすく、通常よりも虫歯や歯肉炎のリスクが高まります。基本は1日3回、毎食後の歯磨きが理想的です。特に就寝前は唾液の分泌が減少するため、最も重要なタイミングとなります。写真のように染め出しを行うと、磨き残しやすい部位が明確になり、効率的なセルフケアにつながります。歯ブラシに加え、ワンタフトブラシや歯間ブラシを併用し、装置の周囲まで丁寧に清掃することが大切です。
🌅 最低限、朝と寝る前は必須
忙しくて昼に磨けない場合でも、朝起きてすぐと夜寝る前の2回は必須です。朝は一晩で増えた細菌をリセット、夜は寝ている間の菌の繁殖を防ぐ効果があります。
🌙 夜の歯磨きが特に大切な理由
就寝中は唾液の分泌が減り、口の中が細菌にとって繁殖しやすい環境になります。そのため、夜の歯磨きを怠ると虫歯や歯周病のリスクが急上昇。寝る前の丁寧なブラッシングこそが、歯を守る最大のポイントです。
⏰ タイミング別の歯磨きの効果
🌅 朝起きてすぐの歯磨きで口内細菌をリセット
寝ている間は唾液の分泌が減り、口の中に細菌が増加します。朝起きてすぐ歯磨きをすることで、口臭の原因菌をリセットし、爽快に一日をスタートできます。
🍱 昼食後は虫歯・口臭予防に効果的
昼食後の歯磨きは、食べかすや糖分を早めに除去できるため虫歯予防に効果的です。また、午後の商談や会話の前に磨くことで、口臭ケアにもつながります。外出先では歯ブラシが難しい場合、うがいやデンタルリンスでも一定の効果があります。
🌙 就寝前は最も重要!歯周病や虫歯予防の決め手
夜寝る前の歯磨きは、一日の汚れをリセットする最も大切なタイミングです。特に就寝中は唾液が減り細菌が繁殖しやすいため、丁寧に磨くことで虫歯や歯周病の発症リスクを大幅に低減できます。
🎯 歯磨きの質も大切!正しい磨き方のポイント
🤲 力を入れすぎず優しく磨く
ゴシゴシ強く磨くと、歯ぐきを傷つけたり知覚過敏を悪化させる原因になります。歯ブラシは鉛筆を持つように軽く持ち、優しく小刻みに動かすのが理想的です。
🧵 歯間ブラシやフロスを併用する
歯と歯の間は通常の歯ブラシだけでは磨き残しが多く残ります。歯間ブラシやデンタルフロスを併用することで、プラークを徹底的に除去できます。特に夜の歯磨きでは必ず取り入れると効果的です。
🪥 フッ素入り歯磨き粉を使用
フッ素は歯を強化し、虫歯菌が出す酸に対して歯を溶けにくくする働きがあります。毎日の歯磨きにフッ素入り歯磨き粉を使うことで、虫歯予防効果を高められるのでおすすめです。
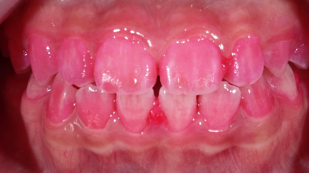
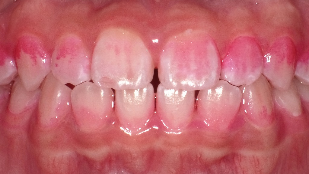
染め出しで実感する歯磨きの質の変化:1年間のブラッシング改善記録


歯磨き指導前に染め出し液でプラーク(磨き残し)を可視化した状態です。赤く染まった部分は日頃のブラッシングで特に汚れが残りやすい場所。まずは“どこが磨けていないか”を知ることで、正しい歯磨きの第一歩が踏み出せます。
歯磨き指導から1年後の染め出し結果です。赤く染まる部分(プラーク)が明らかに減少し、歯と歯ぐきの境目の清掃が上達していることがわかります。継続した正しいブラッシング習慣が、むし歯・歯周病予防につながります。
💡 忙しい人のための歯磨き工夫
💧 昼はうがいやマウスウォッシュで代用もOK
仕事や学校で歯磨きができないときは、うがいで口の中を洗い流すだけでも効果的です。マウスウォッシュを使えば、口臭予防や殺菌効果もプラスできます。
🎒 携帯用歯ブラシやデンタルフロスを活用
外出先でも使いやすいように、コンパクトな携帯用歯ブラシやフロスを持ち歩くのがおすすめです。短時間でもプラークを除去でき、虫歯や歯周病のリスクを下げられます。
🏢 オフィスや学校でも簡単にできるケア方法
オフィスや学校では、昼食後にトイレや洗面所で軽くブラッシングするだけでも違います。時間がないときは、無糖ガムを噛んで唾液を増やすのも有効です。手軽に続けられる方法を取り入れて、忙しくてもお口の健康を守りましょう。
✅ まとめ|歯磨きは「回数」よりも「タイミング」と「質」が重要
歯磨きは 1日2〜3回が理想 ですが、特に大切なのは
🌅 朝起きた直後 と 🌙 寝る前。
この2つのタイミングで丁寧に磨くことで、細菌の繁殖を抑え、虫歯や歯周病のリスクを大幅に下げられます。
さらに、🪥 正しい磨き方 と 🧵 フロスや歯間ブラシの活用 を習慣にすることで、✨ 健康な歯と歯ぐきを長く保つことが可能 です。
毎日の小さな習慣の積み重ねが、将来の大きな差につながります😊。
歯磨きは朝と夜が必須!1日何回すべきか歯科医が解説

「歯磨きは1日何回すればいいの?」と疑問に思ったことはありませんか?実は、回数だけでなく朝・昼・夜のタイミングがとても大切です。特に寝る前の歯磨きは虫歯・歯周病予防のカギとなります。
当歯科クリニック(江戸川区篠崎駅南口徒歩1分)では、患者さん一人ひとりの生活習慣に合わせた最適な歯磨き方法やケアのアドバイスを行っています。
毎日の歯磨きを正しく行うことで、きれいな歯と健康な歯ぐきを守りましょう✨。江戸川区篠崎で信頼できる歯科医院をお探しなら、ぜひ当院へご相談ください。
【動画】ステイン着色汚れをクリーニングするエアフロー
筆者・院長

深沢 一
Hajime FUKASAWA
- 登山
- ヨガ
メッセージ
日々進化する歯科医療に対応するため、毎月必ず各種セミナーへの受講を心がけております。
私達は、日々刻々と進歩する医学を、より良い形で患者様に御提供したいと考え、「各種 歯科学会」に所属すると共に、定期的に「院内勉強会」を行う等、常に現状に甘んずる事のないよう精進致しております。 又、医療で一番大切な事は、”心のある診療”と考え、スタッフと共に「患者様の立場に立った診療」を、心がけております。


