
前歯は見た目の印象に大きく関わるだけでなく、噛む・話すといった機能面においても重要な役割を担っています。本症例では、前歯部に装着されていた補綴物周囲の歯頚部露出やう蝕を契機に、歯根部の評価・処置、コアの再構築を行い、その後メタルボンドクラウンによる補綴治療を実施しました。初期状態から治療、さらに補綴後3か月経過時の口腔内の変化を通して、前歯部補綴における適合性、清掃性、そしてメンテナンスの重要性について考察します。✨
前歯の歯頚部う蝕と差し歯トラブルを根本から改善した症例
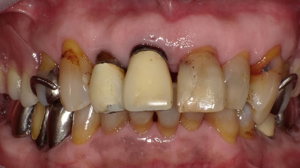
上顎前歯の補綴物周囲にみられる歯頚部トラブルとう蝕🦷

上顎右1・2番に硬質レジン前装冠が装着されており、歯肉退縮により歯頚部の露出と歯根部の黒変が認められます。周囲の天然歯には歯頚部う蝕も確認できます。撮影前にはエアフローによるクリーニングを行い、歯面のステインやバイオフィルムを除去した状態ですが、それでも歯頚部の問題が明瞭に確認できる症例です。補綴物の適合性や歯周環境の重要性が示唆されます。
歯頚部う蝕へのレジン修復と前歯部コアの再構築✨

同症例に対し、歯頚部に認められたう蝕をコンポジットレジンにて充填修復しました。また、上顎1・2番には白金加金コアを装着し、歯根部の強度確保と適切な補綴前処置を行っています。歯頚部の清掃性と適合性を改善することで、二次う蝕や歯肉トラブルのリスク低減を図った治療例です。
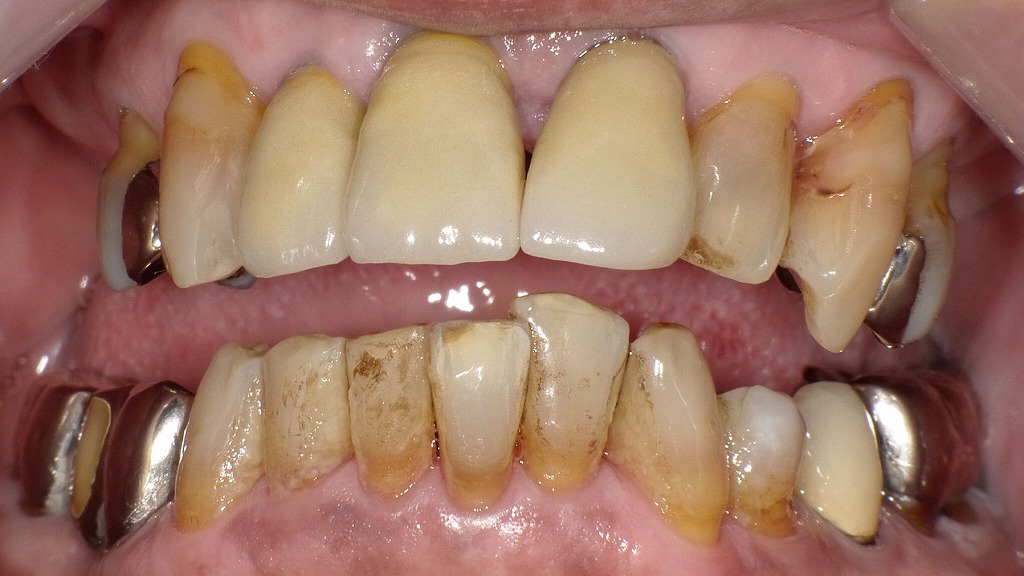
前歯部ジルコニアクラウン補綴後3か月の経過観察

同症例において、上顎1・1・2番をジルコニアクラウンにて補綴治療後、3か月が経過した状態です。撮影時は上顎の入れ歯を外しています。補綴物自体の形態・適合は安定していますが、口腔内全体に着色やステインの沈着が目立っており、清掃状態や生活習慣の影響がうかがえます。補綴治療後も、定期的なメンテナンスとクリーニングの重要性が示される症例です。
江戸川区篠崎でジルコニアクラウンなら🦷

江戸川区篠崎で前歯の見た目や差し歯のトラブルにお悩みの方へ。歯頚部う蝕や補綴物の不適合を見逃さず、土台から丁寧に見直したうえで、機能性と審美性の両立を重視した前歯部補綴治療を行っています。治療後も長く安心して使っていただくために、定期的なメンテナンスまで含めたサポートを大切にしています。😊
【動画】ホワイトスポットをアイコンで治す
【動画】初期虫歯COを削らずに自分で治す方法
筆者・院長

深沢 一
Hajime FUKASAWA
- 登山
- ヨガ
メッセージ
日々進化する歯科医療に対応するため、毎月必ず各種セミナーへの受講を心がけております。
私達は、日々刻々と進歩する医学を、より良い形で患者様に御提供したいと考え、「各種 歯科学会」に所属すると共に、定期的に「院内勉強会」を行う等、常に現状に甘んずる事のないよう精進致しております。 又、医療で一番大切な事は、”心のある診療”と考え、スタッフと共に「患者様の立場に立った診療」を、心がけております。


