
歯周病の治療後、「歯ぐきが下がって歯が長く見えるようになった」「本当に良くなっているのだろうか」と不安を感じる方は少なくありません。
しかし、重度歯周病の場合、治療によって炎症がしっかりとコントロールされると、腫れていた歯ぐきが引き締まり、結果として歯肉退縮が目立つようになります。これは治療が進んだ証拠の一つでもあります。
今回ご紹介する症例は、歯槽骨吸収と歯の動揺を伴う重度歯周病に対し、プラークコントロールの徹底とともに、上顎臼歯部を中心に暫間固定(T-FIX・スーパーボンド)を行い、抜歯を回避しながら安定した状態を維持しているケースです。
上顎と下顎で治療方針を分け、固定の必要性を慎重に判断することで、現在は良好な口腔内環境が保たれています。
本記事では、重度歯周病治療後に起こる口腔内の変化や、暫間固定の役割、そして「歯を守るための治療と管理」について、実際の症例をもとに解説します。🦷✨
🦷歯周病治療後に歯が長く見える理由|炎症改善と歯肉退縮の関係
🔍重度歯周病治療後の口腔内所見|歯肉退縮と良好なプラークコントロール
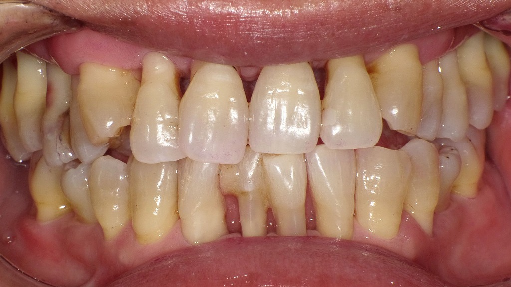
👀正面観

重度歯周病の治療を行った結果、炎症が改善し歯ぐきの腫れが引いたことで、歯肉退縮が明確に認められます。現在はプラークコントロールが良好で、清掃状態は安定しています。
下顎前歯部には動揺抑制を目的とした暫間固定を行い、定期的なプロフェッショナルクリーニングにより、歯周組織の健康維持を図っています。
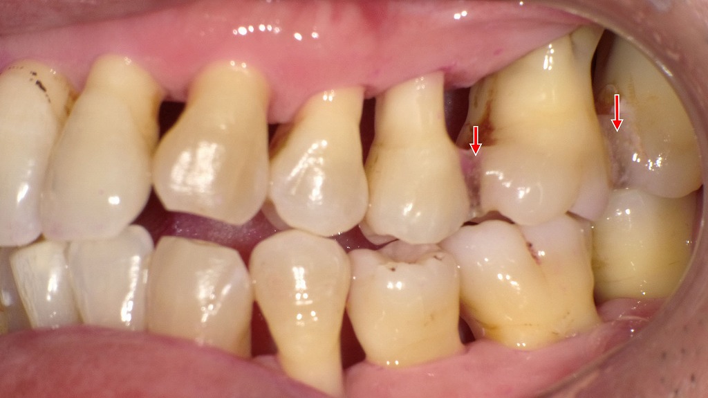
👀右側面観・左側面観


重度歯周病治療後の側面所見です。上顎臼歯部には歯の動揺を抑える目的で暫間固定(T-FIX)を行っています。歯周治療により炎症が改善し、歯ぐきの腫れが引いた結果、特に上顎臼歯部で歯肉退縮と歯根面の露出が明瞭に認められます。現在はプラークコントロールが良好で、定期的なクリーニングにより歯周組織は安定した状態を維持しています。
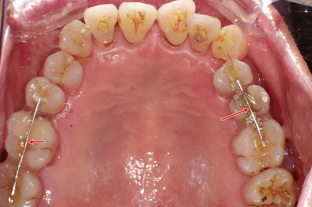
👀上下咬合面観


重度歯周病治療後の上顎咬合面観です。臼歯部では歯槽骨吸収が高度で、咬合時の不安定性(動揺)が認められました。
咬合力の分散と歯の安定を目的として、咬合面にワイヤーを配置し、スーパーボンドを用いた暫間固定を行っています(矢印部)。この処置により、日常の咀嚼時の負担を軽減しながら、歯周組織の長期的な維持管理を図っています。
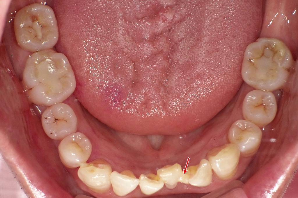
重度歯周病治療後の下顎咬合面観です。下顎では歯槽骨吸収は上顎に比べて比較的軽度で、全体の支持状態は保たれています。
動揺が認められた前歯部に限って、スーパーボンドを用いた暫間固定を行い(矢印部)、咬合時の安定性を確保しています。臼歯部は固定を必要としない状態で、現在は良好なプラークコントロールのもと、歯周組織は安定しています。
🔗歯ぐきが下がってもあきらめない|江戸川区篠崎の歯周病治療💧

江戸川区篠崎にある当院では、重度歯周病であってもすぐに抜歯を選択するのではなく、プラークコントロールの徹底と歯の動揺に応じた暫間固定(T-FIX・スーパーボンド)を組み合わせ、可能な限り歯を残す治療を大切にしています。
歯ぐきが下がったように見える変化も、治療が進んだ結果であることが多く、適切な管理を続けることで安定した状態を維持できます。
江戸川区篠崎周辺で歯周病や「歯を残せるか不安」と感じている方は、症例に基づいた丁寧な診断と説明を行う当院までお気軽にご相談ください。🦷✨
筆者・院長

深沢 一
Hajime FUKASAWA
- 登山
- ヨガ
メッセージ
日々進化する歯科医療に対応するため、毎月必ず各種セミナーへの受講を心がけております。
私達は、日々刻々と進歩する医学を、より良い形で患者様に御提供したいと考え、「各種 歯科学会」に所属すると共に、定期的に「院内勉強会」を行う等、常に現状に甘んずる事のないよう精進致しております。 又、医療で一番大切な事は、”心のある診療”と考え、スタッフと共に「患者様の立場に立った診療」を、心がけております。


