- 1. 折れた歯を放置するとどうなる?
- 1.1. 虫歯や歯周病の進行リスク
- 1.2. 噛み合わせや見た目への悪影響
- 1.2.1. 前歯が折れた症例とメタルボンドによる治療後の変化
- 1.3. 抜歯やインプラントが必要になるケースも
- 2. 歯が折れたときの応急処置
- 2.1. 痛みや出血への対応
- 2.2. やってはいけないこと
- 2.3. 折れた失活歯の応急処置:レジンで一時的に修復
- 2.3.1. ポイント
- 2.3.2. 応急処置としてのレジン修復の意味
- 3. 折れ方別の治療法
- 3.1. 歯の先端が欠けただけの場合
- 3.2. 神経が露出している場合
- 3.3. 歯根まで折れた場合
- 4. 折れた歯の治療費と期間
- 4.1. 保険でできる治療
- 4.2. 自費治療(セラミック・インプラント)
- 4.3. 治療期間の目安
- 5. 折れた歯を防ぐためにできること
- 5.1. スポーツ時のマウスガード
- 5.2. 歯ぎしり・食いしばり対策
- 5.3. 定期検診と早めの治療
- 6. ✅ FAQ(よくある質問)
- 6.1. Q1:折れた歯は自然に治りますか?
- 6.2. Q2:歯が折れても痛みがない場合は放置しても大丈夫?
- 6.3. Q3:折れた歯は保険で治療できますか?
- 6.4. Q4:折れた歯の治療期間はどのくらいかかりますか?
- 6.5. Q5:子どもの歯が折れた場合も歯医者に行くべきですか?
- 7. まとめ|折れた歯は早めに歯科医院へ
- 8. 江戸川区篠崎で歯が折れてお悩みの方へ🦷
- 9. 【動画】ステイン着色汚れをクリーニングするエアフロー
- 10. 筆者・院長

✅ 日常生活の中で突然「歯が折れた!」という状況に直面することがあります。転んだり、硬いものを噛んだり、スポーツ中の衝突など原因はさまざまです。折れた歯は見た目だけでなく、健康にも大きな影響を与えるため、正しい対処と治療が必要です。
本記事では、折れた歯を放置した場合のリスクや応急処置、治療法まで詳しく解説します🦷✨
折れた歯を放置するとどうなる?


転倒や衝突などの外傷により、前歯の先端が欠けている状態です(矢印部)。歯が折れても痛みが少ない場合がありますが、内部の神経(歯髄)がダメージを受けていることもあり、放置すると変色や感染につながる可能性があります。外傷後は見た目に問題がなくても、早めに歯科での診察・レントゲン検査を受けることが大切です。
虫歯や歯周病の進行リスク
歯が折れると内部の象牙質や神経がむき出しになり、細菌が侵入しやすくなります🦠。放置すると虫歯や歯周病が急速に進行し、強い痛みや腫れを引き起こすことがあります。
噛み合わせや見た目への悪影響
前歯が折れると審美性に大きな影響が出ます😢。また、奥歯の場合でも噛み合わせが乱れ、顎関節や他の歯に負担がかかり、全体のバランスが崩れることがあります。
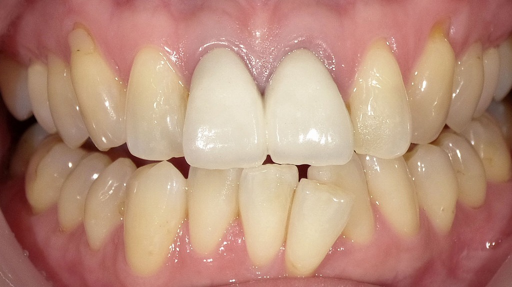
前歯が折れた症例とメタルボンドによる治療後の変化


前歯が折れて歯質を大きく失っていた症例に対し、メタルボンドクラウンを用いて機能と審美性の回復を行いました。内側に金属を使用することで強度を確保し、外側はセラミックで覆うため、前歯でも自然な見た目が得られます。咬合の安定と長期的な耐久性を重視した治療結果です
抜歯やインプラントが必要になるケースも
進行がひどい場合、歯を残せず抜歯になることも。その結果、ブリッジやインプラントといった大掛かりな治療が必要になるリスクがあります⚠️。

歯が折れたときの応急処置
痛みや出血への対応
出血しているときは清潔なガーゼを噛んで圧迫止血しましょう。強い痛みがある場合は、市販の痛み止め💊を服用し、患部を冷やすと楽になります。
やってはいけないこと
歯を無理に元の位置に戻そうとするのは危険です。また、自己判断で削ったり、市販の接着剤で付けるのも絶対に避けましょう❌。
折れた失活歯の応急処置:レジンで一時的に修復

赤矢印で示されている前歯は、神経が無い(失活歯)ため脆くなっていた部分が破折し、欠けたところを応急的にレジン(プラスチック材料)で補修している状態です。
ポイント
- 歯の中央部にレジンが段差状に装着されています。色調や質感が周囲の歯とやや異なるため、応急処置であることがわかります。
- 神経を失った歯は水分量が減り、弾力がなく割れやすいという特徴があります。今回の破折もその結果と考えられます。
- 全体に着色やプラークの付着が見られ、歯周環境としてもリスクが高い状態です。
応急処置としてのレジン修復の意味
- 折れた部分を一時的に塞ぐことで、見た目の改善
- 食事中の鋭利な破折面による舌や唇のケガ防止
- 細菌の侵入を抑えることで二次的な感染リスクを減らす
ただし、レジンは強度が十分ではないため、根本的な治療ではなく、後日**支台築造(ポスト)+クラウン(被せ物)**などの本格的な修復が必要になります。
折れ方別の治療法
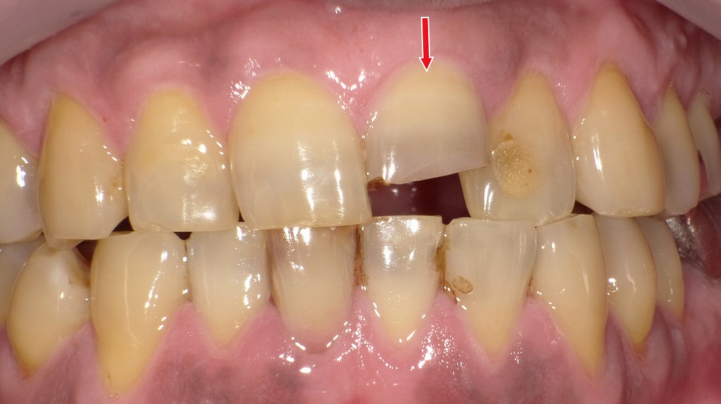
歯の先端が欠けただけの場合
小さな欠けで神経に影響がない場合は、**コンポジットレジン(白い樹脂)**で修復できます。短時間・低コストで自然に仕上がるのが魅力です✨。

神経の露出がない前歯の破折に対して、削る量を最小限に抑えられるコンポジットレジンで修復できるケースです。自然な色調で形を再現できますが、強い咬合力や衝撃により脱離・欠けを繰り返すことがあります。
繰り返し外れる場合は、より強度と安定性の高いセラミッククラウンなどの被せ物による治療を検討します。定期的なメンテナンスが長期安定の鍵です。
神経が露出している場合
歯の深部まで折れた場合は、**根管治療(神経の治療)**を行い、その後クラウン(被せ物)を装着します。セラミックやジルコニアなど、審美的な素材を選ぶ方も多いです。


歯が大きく折れて内部の歯髄(神経)が露出している状態を、前方面および咬合面から示した画像です。外傷や強い咬合力による破折により、歯髄が直接外界にさらされ、強い痛みや出血を伴うことがあります。細菌感染のリスクが非常に高く、放置すると歯髄炎や根尖性歯周炎へ進行する可能性があるため、受傷後はできるだけ早期の歯科受診と適切な処置が必要です。
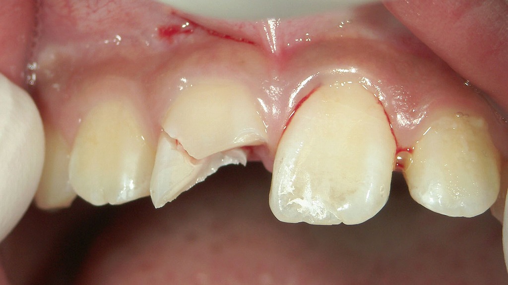
歯根まで折れた場合
歯の根っこまで破折している場合は、残念ながら抜歯が必要になることも。その場合はブリッジ・入れ歯・インプラントといった選択肢から治療法を選びます。特にインプラントは機能性・審美性の両面で優れています💡。

赤矢印が示す部分では、歯の根(歯根)が折れており、この状態は修復や根管治療では保存が不可能です。歯根破折は進行性で、細菌感染が広がるため、このケースの場合“抜歯が唯一の適切な治療”となります。
折れた歯の治療費と期間
保険でできる治療
レジン修復や銀歯クラウンは保険適用で比較的安価に治療可能です。ただし、見た目や耐久性の面では限界があります。
自費治療(セラミック・インプラント)
より自然な見た目を求めるならセラミッククラウンやジルコニアが選ばれます。インプラントは自費治療ですが、噛む力や美しさを取り戻すことができます🦷✨。


上顎前歯が破折して抜歯に至った症例。欠損後の歯槽堤は比較的保たれていたものの、審美性と長期安定性を確保するため、適正な埋入位置を考慮した二本のインプラント埋入と同時の骨造成(GBR)を実施した。術前の軟組織形態から、埋入後の骨補填材によるボリューム再建まで一連の処置を示しており、前歯部インプラントに求められる骨量確保と精密な三次元的ポジショニングの重要性がわかる症例である。
治療期間の目安
- 欠けただけ:即日で修復可能
- 根管治療+クラウン:数週間〜1ヶ月
- インプラント:数ヶ月〜半年以上
折れた歯を防ぐためにできること
スポーツ時のマウスガード
ラグビーやバスケットなど接触の多いスポーツでは、マウスガードを装着することで歯を守ることができます🏀。
歯ぎしり・食いしばり対策
就寝中の歯ぎしりは歯の破折リスクを高めます。ナイトガード(マウスピース)を使うことで予防可能です😬。
定期検診と早めの治療
小さな虫歯や歯周病を放置すると歯が弱くなり、折れやすくなります。定期的な歯科検診で早めに対処することが大切です。
✅ FAQ(よくある質問)
Q1:折れた歯は自然に治りますか?
A:残念ながら折れた歯は自然に元通りにはなりません。欠けた部分の再接着やレジン修復、クラウンなどの治療が必要です。
Q2:歯が折れても痛みがない場合は放置しても大丈夫?
A:痛みがなくても放置は危険です⚠️。神経が徐々に感染したり、虫歯や歯周病が進行する恐れがあります。早めの受診をおすすめします。
Q3:折れた歯は保険で治療できますか?
A:小さな欠けはレジンで保険治療が可能です。大きな破折や審美性を重視する場合は、自費治療(セラミック・インプラント)になることもあります。
Q4:折れた歯の治療期間はどのくらいかかりますか?
A:欠けただけなら1日で修復できます。神経治療やクラウン装着は数週間、インプラント治療は数ヶ月かかるケースもあります。
Q5:子どもの歯が折れた場合も歯医者に行くべきですか?
A:乳歯であっても歯根や歯並びに影響する可能性があるため、必ず歯科医院で診てもらいましょう👶🦷。
まとめ|折れた歯は早めに歯科医院へ
折れた歯は見た目の問題だけでなく、健康全体に大きな影響を与える可能性があります⚠️。
- 応急処置を正しく行う
- できるだけ早く歯科医院を受診する
- 自分に合った治療法を選ぶ
この3つを意識すれば、歯を長く健康に保つことができます。もし歯が折れてしまったら「すぐに歯医者へ行く」ことを忘れないでください🦷💡。
江戸川区篠崎で歯が折れてお悩みの方へ🦷

江戸川区篠崎の当歯科クリニックでは、折れた歯の応急処置から差し歯・インプラントまで幅広く対応しています。前歯の見た目の修復や奥歯の噛む力の回復など、お悩みに合わせた治療をご提案いたします。篠崎駅徒歩1分、土日も診療していますので「歯が折れた」「欠けてしまった」とお困りの方は、ぜひお気軽にご相談ください😊。
【動画】ステイン着色汚れをクリーニングするエアフロー
筆者・院長

深沢 一
Hajime FUKASAWA
- 登山
- ヨガ
メッセージ
日々進化する歯科医療に対応するため、毎月必ず各種セミナーへの受講を心がけております。
私達は、日々刻々と進歩する医学を、より良い形で患者様に御提供したいと考え、「各種 歯科学会」に所属すると共に、定期的に「院内勉強会」を行う等、常に現状に甘んずる事のないよう精進致しております。 又、医療で一番大切な事は、”心のある診療”と考え、スタッフと共に「患者様の立場に立った診療」を、心がけております。


