- 1. 【📹 52秒】八重歯の矯正ガイド|見た目・健康リスク・矯正の必要性を解説
- 2. 📸 八重歯ってどんな歯?【基本知識】
- 2.1. 🐶 八重歯と犬歯の違いを解説
- 2.2. 🌏 日本と海外で異なる八重歯の評価
- 2.3. ❤️「かわいい八重歯」のメリットと落とし穴
- 3. 🔍 八重歯ができる理由とは?
- 3.1. 👪 遺伝の影響と家族歴
- 3.2. 🦷 歯の大きさと顎のアンバランス
- 3.3. 👶 乳歯の生え変わりが遅れると?
- 3.4. 👅 舌の癖・口呼吸・頬杖などの生活習慣
- 3.5. 🍚 やわらかい食事が増えた現代人の特徴
- 4. ⚠️ 八重歯を放置するデメリットと健康リスク
- 4.1. 🦠 虫歯・歯周病のリスクが高まる
- 4.2. 🦠 八重歯周辺にできた虫歯の症例
- 4.2.1. 🦷 各部位の説明
- 4.2.1.1. ① 上顎右側側切歯(2番)
- 4.2.1.2. ② 上顎右側犬歯(3番)
- 4.2.1.3. 🪥 総評・対応の目安
- 4.3. 🍽 かみ合わせのズレ → 消化不良・顎関節症へ
- 4.4. 😷 発音や滑舌が悪くなる
- 4.5. 💄 口元が出っ張り、顔の印象に影響(Eラインの崩れ)
- 4.6. 🧠 頭痛や肩こり、全身症状につながることも
- 5. 🛠 八重歯を治す矯正方法とその選び方
- 5.1. 🔍 矯正が必要な八重歯の症状とは?
- 5.2. 🔧 矯正の種類別解説(ワイヤー/インビザライン/部分矯正)
- 5.2.1. 🛠 ワイヤー矯正(表側・裏側)
- 5.2.2. 😬 インビザライン(マウスピース矯正)
- 5.2.3. 🔍 部分矯正(軽度の八重歯向け)
- 5.3. ⏳ 治療期間と痛みの目安
- 5.4. 🛡 後戻りを防ぐリテーナーとメンテナンス
- 5.5. 🩹 抜歯が必要なケースと避ける方法
- 5.5.1. 🦷 抜歯が必要になるケース
- 5.5.2. ✅ 抜歯を避ける方法
- 5.6. 🧒 大人と子どもの八重歯矯正の違い
- 5.6.1. 👶 子どもの場合(6〜14歳)
- 5.6.2. 👨🦱 大人の場合(15歳以上)
- 6. 💰 矯正費用・保険・医療費控除まとめ
- 6.1. 💴 治療方法ごとの費用相場
- 6.2. 🧾 分割払い・医療費控除の活用法
- 6.2.1. 💳 分割払いの活用
- 6.2.2. 🧾 医療費控除の対象になるケース
- 6.3. 🏥 保険適用になるケースと条件
- 6.3.1. ✅ 保険適用となる主な例
- 6.4. 🔍 失敗しない矯正歯科の選び方
- 6.4.1. ✅ チェックポイント
- 7. 🚫 矯正したくない人向け|八重歯との付き合い方
- 7.1. 🦷 ラミネートベニアやダイレクトボンディングで見た目改善
- 7.1.1. 💎 ラミネートベニア
- 7.1.2. ✨ ダイレクトボンディング
- 7.2. 🪥 ワンタフト・フロスを使った徹底セルフケア
- 7.2.1. 🪥 ワンタフトブラシ
- 7.2.2. 🧵 デンタルフロス・歯間ブラシ・電動歯ブラシ
- 7.3. 🧑⚕️ 定期検診でトラブルを未然に防ぐ
- 7.3.1. ✅ 定期検診のメリット
- 7.4. 🍬 食生活・噛み癖の改善も重要
- 7.4.1. 🍭 食生活のポイント
- 7.4.2. 😬 噛み癖・生活習慣の見直し
- 8. ❓ よくある質問(FAQ)
- 8.1. 🕒 八重歯矯正は何歳まで可能?
- 8.2. ❌ 抜歯しないで治療できる?
- 8.2.1. ✅ 抜歯なしで矯正できるケース
- 8.2.2. ❗ 抜歯が必要なケース
- 8.3. 😖 矯正はどれくらい痛い?
- 8.3.1. 🩺 痛みを感じやすいタイミング
- 8.3.2. ✅ 痛みをやわらげるコツ
- 8.4. 📅 治療期間はどれくらいかかる?
- 8.5. 🦷 治療中に気をつけるべきことは?
- 8.5.1. ✅ 日常で気をつけること
- 9. ✨ 付け八重歯ってどうなの?【可愛いを叶える選択肢】
- 9.1. 😁 付け八重歯の作り方・メリット・デメリット
- 9.1.1. 🦷 作り方の基本
- 9.1.2. ✅ メリット
- 9.1.3. ❌ デメリット
- 9.2. 🛒 市販品と歯科医院製作の違い
- 9.3. 💡 注意点と安全性のチェックポイント
- 9.3.1. ✅ 使用時の注意点
- 9.3.2. ❗こんな症状があれば中止を
- 10. 📌 まとめ|八重歯は早めの対策が未来の笑顔を守るカギ
- 10.1. ✔️ 見た目だけでなく健康面の影響にも注意を
- 10.2. ✔️ 自分に合った治療法を専門医と相談して決めよう
- 10.3. ✔️ 無理に矯正しない選択肢も「正しい知識」があってこそ
- 11. 江戸川区篠崎で八重歯の矯正をお考えの方へ!
- 12. 【動画】アデノイド顔貌
- 13. 筆者・院長

「八重歯ってチャーミングで可愛いよね」
そんなイメージをお持ちの方も多いのではないでしょうか?
実際、笑顔のアクセントとして八重歯に魅力を感じる人も多く、あえて“付け八重歯”を希望する人もいるほどです。
しかし一方で、八重歯は歯並びの乱れや口元の突出を引き起こしやすく、虫歯・歯周病・顎関節症などのリスクが高まる可能性があることをご存じでしょうか?
この記事では、
- 八重歯ができる原因
- 矯正する場合の方法と費用
- 無理に矯正しない場合のケア方法
- 可愛く見せたい人向けの“付け八重歯”まで
見た目と健康の両面から「八重歯」との上手な付き合い方をわかりやすく解説します。
矯正を検討している方も、迷っている方も、まずは正しい知識からスタートしましょう。
【📹 52秒】八重歯の矯正ガイド|見た目・健康リスク・矯正の必要性を解説
📸 八重歯ってどんな歯?【基本知識】
🐶 八重歯と犬歯の違いを解説
八重歯とは、歯列の外側に飛び出して生えている犬歯のことを指します。もともと犬歯は、糸切り歯とも呼ばれ、食べ物を引き裂く役割を持つ重要な歯です。正常な位置にある犬歯は、かみ合わせの安定や奥歯の保護にも関与しています。
一方、八重歯はこの犬歯が本来の位置に収まらず、唇側や斜め前方にズレて生える状態です。専門用語では「低位唇側転位(ていいしんそくてんい)」と呼ばれ、叢生(そうせい)=ガタガタの歯並びの一種に分類されます。
つまり、犬歯が異常な位置に生えてしまったものが「八重歯」であり、すべての犬歯が八重歯なわけではない点に注意が必要です。

右上顎の犬歯が八重歯
向かって左上顎の犬歯が八重歯になっています。上顎の犬歯が八重歯になることで、下顎の歯並びにも影響が出てきます。この症例では向かって左側の第一小臼歯が手前に倒れ込んでしまいました。

同症例の咬合面観
犬歯が八重歯になることで、矢印で示すように大臼歯や小臼歯が手前側に移動してきているのがわかります。
この様に八重歯・乱杭歯を放置すると犬歯だけにとどまらず 、歯並び全体に悪影響が出てくるのがよくわかります。
🌏 日本と海外で異なる八重歯の評価
日本では「八重歯がある女性はかわいらしい」「笑ったときの八重歯が魅力的」とされ、一種のチャームポイントとして親しまれてきました。特に昭和〜平成初期のアイドル文化では、その傾向が強く、意図的に「付け八重歯」をつける人もいたほどです。
しかし海外、特に欧米では事情が異なります。八重歯は「malocclusion(不正咬合)」として扱われ、見た目の悪さだけでなく、口腔内トラブルの原因とされることが一般的です。歯列の美しさ=健康の証とされており、早期に矯正治療を受けるのが当然という文化が根付いています。
このように、八重歯に対する価値観は国や文化によって大きく異なるため、自分の将来やライフスタイルに合った判断が大切です。
❤️「かわいい八重歯」のメリットと落とし穴
確かに八重歯には、若々しく親しみやすい印象を与えるという一面があります。実際に「八重歯がチャームポイント」とされる芸能人も過去には多く見られました。
しかし、見た目のかわいさの裏には次のような落とし穴があります:
- 🦷 歯ブラシが届きにくく虫歯・歯周病になりやすい
- 🦷 かみ合わせが乱れ、顎関節症や肩こりを招く
- 🦷 発音・滑舌が悪くなることもある
- 🦷 顔の非対称(片側だけの八重歯で筋肉バランスが崩れる)
そのため、「可愛いから残したい」という気持ちだけで放置するのは要注意です。見た目と健康、どちらも大切にするバランスの取れた選択を意識しましょう。
🔍 八重歯ができる理由とは?
八重歯は単なる「見た目の問題」ではなく、さまざまな原因が絡み合ってできる歯列不正です。ここでは、主な5つの原因をわかりやすく解説します。

👪 遺伝の影響と家族歴
八重歯は、遺伝的な要因によって起こりやすい歯並びのひとつです。とくに次のような体質が親から子へ引き継がれた場合、八重歯になるリスクが高まります。
- 顎が小さい家系
- 歯が大きい家系
- 歯の本数が多い(過剰歯)
- 永久歯の萌出(生え方)のタイミングがずれる
例えば、両親や祖父母に八重歯の方がいる場合、子どもにも同じような歯列不正が起きやすいため、早めに矯正相談を受けることが勧められます。
🦷 歯の大きさと顎のアンバランス
顎のスペースに対して歯が大きすぎると、並びきれずに外へはみ出す形で生えてしまいます。特に犬歯(八重歯になりやすい歯)は、最後に生えるためスペース不足に陥りやすく、
- 「前歯は並んでいるのに犬歯だけ飛び出している」
- 「歯並びの途中からガタついてくる」
といった状態になりやすいです。このような歯と顎のサイズ不調和は、現代人に非常に多く見られる傾向です。
👶 乳歯の生え変わりが遅れると?
乳歯がなかなか抜けないと、永久歯が正しい位置に生えるスペースがなくなり、八重歯になるリスクが高くなります。特に以下のようなケースは要注意です。

歯の隙間が全くない上顎乳歯列
歯同士がぴったりと接触しています。永久歯に交換すると八重歯になりそうです。
乳歯列には霊長空隙・発育空隙などの隙間があることが理想です。

歯の隙間が全くない下顎乳歯列
同症例の下顎乳歯列です。乳歯列にかかわらず僅かに乱杭歯になっています。
永久歯の歯並びがかなり不安になる症例です。
- 永久歯が内側から生えてきて、乳歯が押し出されない
- 虫歯で乳歯の生え変わりが遅れている
- 外傷などで乳歯が早く抜け、隣の歯が移動してしまった
生え変わり時期を見逃さず、必要に応じて歯科医によるタイミングを見た抜歯が重要です。
👅 舌の癖・口呼吸・頬杖などの生活習慣
見落としがちですが、日常のクセも歯並びに大きく影響します。特に以下の習慣は八重歯の原因となります。
- 舌で前歯を押す(舌突出癖)
- 口呼吸が習慣化している
- 頬杖をつく(片側だけの圧力で顎が歪む)
- 指しゃぶり・爪かみの癖がある
これらは、顎の成長を妨げたり、歯の位置を徐々にずらしたりするため、早期発見・改善がカギになります。
🍚 やわらかい食事が増えた現代人の特徴
昔に比べて、現代人の食生活はやわらかい食材が中心になっています。結果として、
- 顎の筋肉が十分に発達しない
- 噛む回数が減って顎骨が育たない
- 顎が小さくなり、歯が並びきらない
といった問題が起こります。「よく噛む」食習慣が、実は美しい歯並びを育てる土台になるのです。
このように八重歯は、遺伝と環境の両方の要素から生まれるものであり、早期の気づきと対処が非常に重要です。次章では、放置するとどうなるのか——八重歯のデメリットについて詳しくご紹介します。
⚠️ 八重歯を放置するデメリットと健康リスク
八重歯を「見た目の個性」として放置している方も多いですが、実は見た目以上に健康への悪影響が深刻です。ここでは、八重歯を放置することで生じる主なリスクを詳しく解説します。
🦠 虫歯・歯周病のリスクが高まる
八重歯の周囲は、歯が重なっているためブラッシングが非常に難しい部位です。歯ブラシの毛先が届きにくく、次のようなリスクが高まります:

左上顎の犬歯が八重歯
向かって右側上顎の犬歯が八重歯になっています。八重歯とは正常な歯列から犬歯がはみ出した状態を指していいます。
この症例では向かって左側の側切歯も歯列からはみ出しています。この様に凸凹した歯並びを乱杭歯とも呼んでいます。

同症例の咬合面観
向かって右側の犬歯と左側の側切歯が完全に歯列からはみ出しているのがわかります。
側切歯には歯の間に虫歯が認められます。
このようにガタガタの歯並びでは歯磨きがうまく出来ないため、虫歯が発生しやすくなります。
- プラーク(歯垢)がたまりやすい
- 八重歯の裏側に磨き残しができやすい
- 歯ぐきが腫れやすく、出血・炎症が慢性化しやすい
この結果、虫歯や歯周病が発症・悪化しやすくなるのです。特に八重歯の下部は汚れが溜まりやすいため、初期むし歯や歯周炎を見逃しがちです。
🦠 八重歯周辺にできた虫歯の症例

🦷 各部位の説明
① 上顎右側側切歯(2番)
赤い矢印の先端部、遠心側(右側の隣接面)に黒っぽい変色が確認できます。
→ **C2(エナメル質を越えて象牙質に達する虫歯)**の可能性が高く、進行性のう蝕が疑われます。穴はまだ浅いものの、早期治療が望ましい状態です。
② 上顎右側犬歯(3番)
この歯は**八重歯(叢生)の状態で、歯列よりやや外側に位置しています。
近心(2番との隣接面)に影や変色が見られ、虫歯の初期段階(C1〜C2)**の可能性があります。位置的に歯ブラシやフロスが届きにくいため、汚れが残りやすく虫歯が発生しやすい環境です。
🪥 総評・対応の目安
- 2番遠心部:早期に治療(コンポジットレジン修復など)を検討。
- 3番近心部:虫歯リスクが高いため、隣接面清掃を強化(デンタルフロス・歯間ブラシなど)。
- 叢生(八重歯)により清掃性が悪化しているため、定期的なプロフェッショナルケア(PMTC、エアフロー等)も有効です。
🍽 かみ合わせのズレ → 消化不良・顎関節症へ
犬歯は、本来「噛み合わせのガイド」として重要な役割を持っています。しかし八重歯になると、犬歯がかみ合わせに参加できず、全体のバランスが崩れやすくなります。
- 食べ物をしっかり噛み砕けない → 胃腸に負担がかかる
- 片側噛みが癖になり、顎の関節に無理が生じる
- 顎関節症(顎がカクカク鳴る・口が開きにくい・痛み)の原因に
歯並びのズレは“噛み方のズレ”を引き起こし、それが“体全体の不調”につながるという連鎖反応に注意が必要です。
😷 発音や滑舌が悪くなる
八重歯によって舌の動きが制限されると、特定の音が発音しづらくなることがあります。特に影響が出やすいのは以下の音です:

- サ行(さ・し・す・せ・そ)
- タ行(た・ち・つ・て・と)
- ラ行(ら・り・る・れ・ろ)
滑舌の悪さは、日常会話・接客・プレゼンなどのコミュニケーションに支障をきたすことも。口元のコンプレックスから自信を失うきっかけになるケースもあります。
💄 口元が出っ張り、顔の印象に影響(Eラインの崩れ)
八重歯は、上の前歯や犬歯が前に押し出される要因となり、口元が全体的に突出した「口ゴボ(くちごぼ)」のような状態になります。
- 唇が閉じにくい
- 鼻と顎を結んだEラインが崩れる
- 横顔がふくらんで見える
結果として、「野暮ったい印象」「ぼやけた顔立ち」に見られやすくなります。見た目の変化は、写真写り・面接・人前に立つ仕事への影響にもつながります。
🧠 頭痛や肩こり、全身症状につながることも
かみ合わせのズレが続くと、顎から首、肩、背中へと筋肉の負担が広がっていきます。その結果として、

- 頭痛や肩こりが慢性化する
- 姿勢が悪くなり、首や背中に張りや痛みが出る
- 集中力の低下・疲労感につながる
といった、「歯並びが原因とは気づかれにくい全身症状」が現れることもあります。特にデスクワークの方は、「噛み合わせと身体のバランス」が密接に関係していることを知っておくべきです。
🛠 八重歯を治す矯正方法とその選び方
八重歯を改善するには、症状に合った矯正治療の選択が重要です。ここでは、どんな場合に矯正が必要なのか、治療法や選び方までわかりやすくご紹介します。
🔍 矯正が必要な八重歯の症状とは?
八重歯があってもすぐに矯正が必要とは限りません。しかし、以下のような症状がある場合は、治療を検討しましょう。
- 🦷 歯ブラシが届かず、虫歯や歯ぐきの腫れが起きやすい
- 🍽 噛み合わせが悪く、しっかり咀嚼できない
- 💬 発音が不明瞭で会話に支障がある
- 😓 顎が痛い、音が鳴る(顎関節症の疑い)
- 💄 見た目の印象が気になって笑顔に自信が持てない
上記のような**「機能的な問題」や「心理的な悩み」**がある場合、専門医の診断と適切な矯正治療が推奨されます。
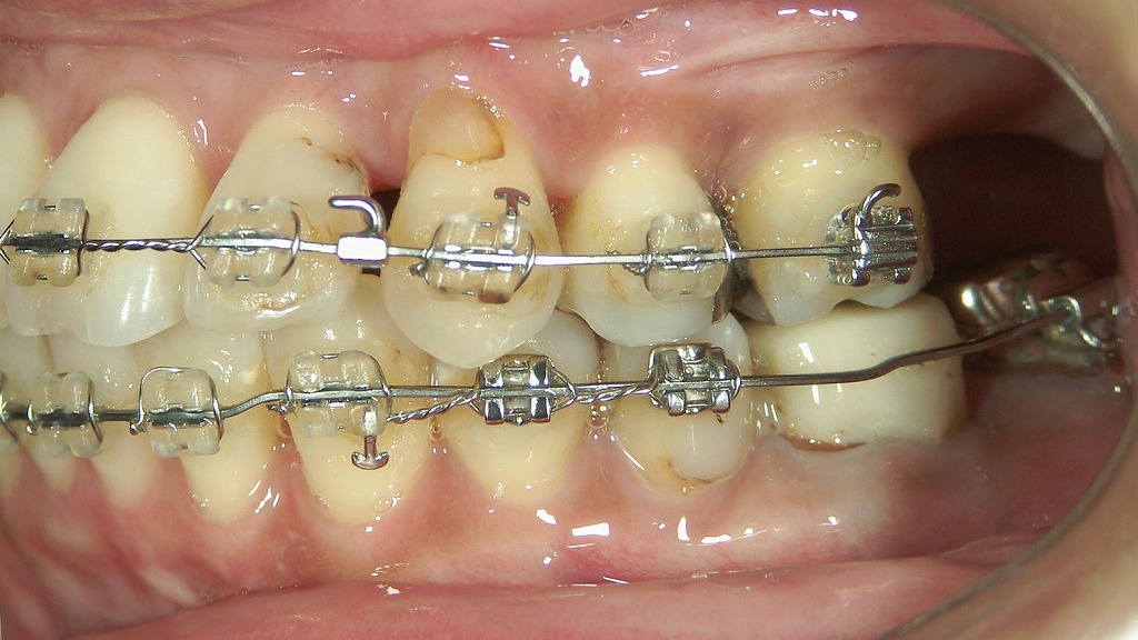
🔧 矯正の種類別解説(ワイヤー/インビザライン/部分矯正)
八重歯の矯正には、以下のような方法があります:
🛠 ワイヤー矯正(表側・裏側)

- 表側矯正:最も一般的。金属またはセラミックの装置を歯の表面に装着。
- ✔ ほとんどの症例に対応
- ✖ 見た目が気になる
- 裏側矯正(リンガル矯正):歯の裏側に装置を装着。
- ✔ 外から見えない
- ✖ 慣れるまで違和感あり/費用が高め
😬 インビザライン(マウスピース矯正)
- 透明なマウスピースで歯を少しずつ動かす
- ✔ 目立たない/取り外し可
- ✖ 重度の八重歯には不向きな場合も
🔍 部分矯正(軽度の八重歯向け)
- 前歯だけを動かす簡易的な矯正
- ✔ 治療期間が短く、費用も抑えられる
- ✖ 咬み合わせの調整には不十分なことも
⏳ 治療期間と痛みの目安
矯正の治療期間は、八重歯の程度と治療法によって大きく異なります。
| 矯正方法 | 期間の目安 | 痛みの傾向 |
|---|---|---|
| 部分矯正(軽度) | 6ヶ月〜1年 | 軽度の違和感程度 |
| 全体矯正(中〜重度) | 1.5年〜3年 | 装置調整後に鈍痛あり |
| 抜歯を伴う矯正 | 2年〜4年 | 初期は痛みを感じやすい |
💡 インビザラインは比較的痛みが少ないですが、ワイヤー矯正は「締め直し直後」に痛みが出やすい傾向があります。
🛡 後戻りを防ぐリテーナーとメンテナンス
矯正後は、歯が元の位置に戻ろうとする“後戻り”を防ぐための保定が不可欠です。
- 📌 リテーナーの種類
- 取り外し式(透明プレート型)
- 固定式(ワイヤーを裏側に装着)
- ⏰ 装着期間の目安
- 矯正直後:1日20時間以上
- 半年以降:就寝時のみ装着
- 🩺 メンテナンスのポイント
- 3〜6ヶ月に1回の定期検診
- 噛み合わせや装置の劣化をチェック
- 舌の癖や口呼吸の改善も大切
🩹 抜歯が必要なケースと避ける方法
重度の八重歯では、歯を並べるスペースを確保するために抜歯が必要なことがあります。
🦷 抜歯が必要になるケース

- 顎が小さく、歯が収まりきらない
- 犬歯が大きく飛び出している
- 全体の叢生(がたがた)が強い
❗ただし、基本的に犬歯は抜かず、小臼歯(4番または5番)を抜歯します。
✅ 抜歯を避ける方法
- IPR(歯の表面を少しだけ削ってスペース確保)
- 顎の拡大(拡大床・急速拡大装置など)
- 奥歯を後方に移動させる(インプラントアンカー併用)
🧒 大人と子どもの八重歯矯正の違い
矯正治療は年齢によってアプローチが異なります。
👶 子どもの場合(6〜14歳)
- 顎の成長を利用できる
- 拡大装置で非抜歯矯正が可能
- 早期に開始すれば、将来的な負担が軽減
👨🦱 大人の場合(15歳以上)
- 顎の成長が止まっているためスペース確保が必要
- 抜歯やワイヤー矯正が必要になることが多い
- 美観を意識したインビザラインの選択が増えている
💡大人でも歯ぐきの健康状態が良ければ矯正は可能です。
💰 矯正費用・保険・医療費控除まとめ
八重歯の矯正を考えるうえで、費用の目安・支払い方法・保険適用の可否は多くの方にとって大きな関心事です。ここでは、金額面の情報をわかりやすく整理してご紹介します。
💴 治療方法ごとの費用相場
矯正治療の費用は、選択する治療法や症例の難易度、医院の立地によって異なります。以下は一般的な相場です。
| 矯正方法 | 費用相場(総額) | 特徴 |
|---|---|---|
| ワイヤー矯正(表側) | 約70万〜120万円 | 効果が高く幅広い症例に対応。見た目がやや目立つ。 |
| ワイヤー矯正(裏側) | 約100万〜150万円 | 表から見えないが、費用と違和感がやや大きめ。 |
| インビザライン | 約80万〜130万円 | 透明で目立たず人気。重度には不向きなことも。 |
| 部分矯正(前歯のみ) | 約20万〜50万円 | 軽度の八重歯におすすめ。短期間で費用も安め。 |
| 小児矯正(第1期治療) | 約30万〜60万円 | 顎の成長を利用する治療。非抜歯での矯正が可能になる。 |
💡医院によって価格差があるため、事前のカウンセリングで明細を確認することが重要です。
🧾 分割払い・医療費控除の活用法
高額になりがちな矯正費用も、支払い方法や税制度を上手に活用することで負担を軽減できます。
💳 分割払いの活用
- 多くの歯科医院では、金利0〜数%の分割プランを用意
- 月額1〜3万円程度で計画的に支払える
- 医院独自のローン制度や、デンタルローンの活用も可能
🧾 医療費控除の対象になるケース
- 咬み合わせの改善や発音障害の改善が目的の矯正は、医療費控除の対象
- 美容目的(審美性重視)の場合は対象外
✅ 控除対象となる費用:
- 矯正装置費用/診断料
- 通院時の交通費(電車・バス代)
- 検査・再診費用 など
💡 年間10万円以上の医療費がある場合、確定申告で所得税が戻る可能性があります。
🏥 保険適用になるケースと条件
基本的に矯正治療は自由診療ですが、特定の条件に当てはまる場合は健康保険が適用されます。
✅ 保険適用となる主な例
- 口唇裂・口蓋裂などの先天異常
- 顎変形症(外科手術が必要な重度の噛み合わせ異常)
- 厚生労働省が定める特定疾患がある場合(※全国で140種類以上)
🧑⚕️ 保険適用を受けるには…
- 指定自立支援医療機関(育成医療・更生医療)の登録歯科医院での治療が必要
- 診断書・CT検査などを提出して、保険適用の可否を判断
💡 保険が適用されると自己負担は原則3割となり、大きな費用軽減につながります。
🔍 失敗しない矯正歯科の選び方
費用面だけでなく、矯正の成功には医院選びが重要なカギを握ります。以下のポイントを参考に、信頼できる医院を選びましょう。
✅ チェックポイント
- 👨⚕️ 矯正専門医が在籍しているか
- 💬 初回カウンセリングが丁寧でわかりやすいか
- 📷 症例写真やビフォーアフターを公開しているか
- 🧾 料金体系が明確で、追加費用が発生しないか
- 📍 定期通院しやすい立地にあるか
- 🛡 リテーナー管理やアフターケアも充実しているか
💡とくに「八重歯矯正」の症例経験が豊富な医院は、治療の精度と満足度が高まります。
🚫 矯正したくない人向け|八重歯との付き合い方
「八重歯が気になるけど、矯正には抵抗がある…」「費用や期間の問題で今は無理かも」という方も多いのではないでしょうか。そんな方に向けて、矯正以外で八重歯と上手に付き合う方法をご紹介します。
🦷 ラミネートベニアやダイレクトボンディングで見た目改善
「とにかく見た目だけでも整えたい」という場合には、歯科的な補綴処置でカバーする選択肢があります。
💎 ラミネートベニア
- セラミックの薄いシェルを歯の表面に貼り付ける方法
- 歯を少し削る必要があるが、自然で美しい仕上がり
- 通院回数が少なく、短期間(1〜2回)で治療完了
✨ ダイレクトボンディング
- 歯科用レジン(樹脂)を直接盛り付けて形を整える方法
- 歯を削らずに済むことが多く、費用も比較的リーズナブル
- 年数が経つと変色や摩耗が生じる可能性あり
💡 どちらの方法も「根本治療」ではなく審美的なカバーなので、かみ合わせや健康への影響は残る点に注意が必要です。
🪥 ワンタフト・フロスを使った徹底セルフケア
八重歯は構造上、歯ブラシの毛先が届きにくく、虫歯や歯周病の温床になりがちです。そのため、以下のような補助清掃グッズを活用した「特別ケア」が欠かせません。
🪥 ワンタフトブラシ
- 小さな毛束でピンポイントに磨けるブラシ
- 八重歯の裏側や隙間、歯ぐきとの境目に最適
🧵 デンタルフロス・歯間ブラシ・電動歯ブラシ
- 歯と歯の間の汚れを除去
- 特に重なりのある八重歯にはフロスの使用が必須
- 磨き残しを減らすために、電動歯ブラシを活用すると効率的。

「▶ Amazonで見る」
「▶ 楽天で見る」
💡 普通の歯ブラシだけでは磨き残しが多いため、「2段階清掃」が基本です。
🧑⚕️ 定期検診でトラブルを未然に防ぐ
八重歯がある方は、虫歯や歯ぐきの炎症リスクが高くなるため、必ず定期検診を受けましょう。
✅ 定期検診のメリット
- 🦷 初期虫歯・歯周病の早期発見
- 🧽 プロによる歯石除去やクリーニング(PMTC)
- 👄 かみ合わせの変化のチェック
📅 目安は3〜6ヶ月に1回。セルフケアでは届かない部分をプロがサポートしてくれます。
🍬 食生活・噛み癖の改善も重要
日々の習慣も、八重歯の悪化や口腔トラブルに大きく影響します。
🍭 食生活のポイント
- 砂糖の多いお菓子・飲料を控える
- 硬めの食品(野菜・ナッツ・玄米など)をよく噛んで食べる
- 唾液を増やす食品(キシリトールガム、梅干しなど)を取り入れる
😬 噛み癖・生活習慣の見直し
- 片側噛みや頬杖は歯列のゆがみを助長
- 舌の癖(前歯を押す)や口呼吸は要注意
- 姿勢や睡眠姿勢も顎の成長に影響
💡「矯正しない」場合こそ、日常の積み重ねが大切です。
❓ よくある質問(FAQ)
八重歯の矯正を検討している方から、よく寄せられる疑問にわかりやすくお答えします。初めての矯正でも安心して一歩を踏み出せるように、ぜひ参考にしてください。
🕒 八重歯矯正は何歳まで可能?
✅ 年齢制限は基本的にありません!
矯正治療は、歯と歯ぐきが健康であれば何歳でも可能です。ただし、年齢によって治療方法や対応力が変わるため、以下のような違いがあります。
- 👶 子ども(〜14歳)
- 顎の成長を利用できるため、非抜歯矯正の可能性が高い
- 拡大床やマウスピースでの早期対応が効果的
- 👩🦱 大人(15歳〜)
- 成長が止まっているため、歯の移動スペースを確保する必要あり
- 抜歯や本格的な装置を使った治療が多くなる
- 👵 40代・50代以上
- 歯周病の有無が重要。まずは口腔環境を整える必要あり
- 無理なくできる矯正法を選ぶことが大切
💡「今さら遅いかも」と思っている方も、一度カウンセリングを受けてみる価値は十分にあります。
❌ 抜歯しないで治療できる?
可能かどうかは八重歯の程度と顎のスペース次第です。
✅ 抜歯なしで矯正できるケース
- 軽度の八重歯で、歯の並ぶスペースが比較的ある場合
- 顎の拡大や、歯の側面を削るIPR(削合)で調整可能な場合
❗ 抜歯が必要なケース
- 歯の重なりが大きい
- 顎が小さく、歯が物理的に並びきらない
- 前歯の突出(口ゴボ)を改善したい
💬 **「できるだけ抜歯せずに治したい」という希望は多くの方にあります。**そのため、治療前の精密診断で最適な方法を判断することが重要です。
😖 矯正はどれくらい痛い?
矯正には多少の痛みが伴いますが、多くの人が「数日で慣れる」と感じています。
🩺 痛みを感じやすいタイミング
- 装置を装着・調整した直後(2〜3日)
- 食事時に強く噛んだとき
- 新しいマウスピースに交換した初日(インビザライン)
✅ 痛みをやわらげるコツ
- ロキソニンなどの市販薬を使用(歯科医に相談)
- 冷たい飲み物やアイスで冷やす
- 柔らかい食事を摂る(スープ、豆腐、うどん など)
💡特にマウスピース矯正は痛みが少ない傾向があります。
📅 治療期間はどれくらいかかる?
矯正の期間は、八重歯の重症度と治療方法によって異なります。
| 矯正方法 | 治療期間の目安 |
|---|---|
| 部分矯正(軽度) | 6ヶ月〜1年 |
| 全体矯正(中等度) | 1.5年〜3年 |
| 抜歯を伴う全体矯正 | 2年〜4年 |
💡長く感じるかもしれませんが、一生使う歯と口元の美しさをつくる期間と考えると、価値ある投資です。
🦷 治療中に気をつけるべきことは?
矯正中は装置を装着しているため、虫歯・歯ぐきの炎症・装置トラブルに注意が必要です。
✅ 日常で気をつけること
- 🍽 硬い・粘着性のある食べ物は避ける
- ワイヤーやブラケットが外れる原因に
- 🪥 歯磨きは念入りに(ワンタフト+フロス使用)
- 装置の周りは磨き残しが多くなるので要注意
- 🧴 口内炎や装置による傷はワックスで保護
- 🦷 マウスピース矯正の方は着脱・洗浄を丁寧に
💡また、通院をサボらず、指示通りリテーナーを装着することが、矯正成功のカギです。
✨ 付け八重歯ってどうなの?【可愛いを叶える選択肢】
「八重歯=かわいい!」と感じる方も多く、**あえて八重歯を“つける”**という選択肢が注目されています。特に若年層を中心に、「笑顔をもっとチャーミングにしたい」「アイドルのような印象に近づきたい」という理由で人気です。

😁 付け八重歯の作り方・メリット・デメリット
🦷 作り方の基本
付け八重歯は、既存の歯に装着する人工の歯で、以下のような方法があります。
- 歯科医院でオーダーメイド製作
- 歯型を取り、自分の歯にぴったり合った八重歯をセラミックやレジンで作成
- 専用の接着材で着脱可能な形で装着
- 市販品・ネット通販
- 自分で取り付ける簡易タイプ(プラスチック製)
- 接着剤やホワイトニング素材で作られている
✅ メリット
- 💖 短期間で「かわいい八重歯」が手に入る
- 📸 撮影やイベントで印象アップ
- 🦷 歯を削らない方法もある(医院製作の場合)
❌ デメリット
- ⚠ 食事中に外れる可能性がある
- 🦠 長時間つけたままだと衛生面のリスクあり
- 🩹 噛み合わせに悪影響を与える可能性も
💡「可愛さ」だけでなく、「使うシーン」「衛生管理」も考慮して選びましょう。
🛒 市販品と歯科医院製作の違い
| 項目 | 市販品・通販タイプ | 歯科医院オーダーメイドタイプ |
|---|---|---|
| 費用 | 数千円〜1万円前後 | 1本あたり1〜3万円(素材により変動) |
| フィット感 | 決まったサイズでズレやすい | 歯型に合わせて作るためフィット感◎ |
| 装着の安定性 | 外れやすく違和感が出ることも | 安定性が高く、自然な見た目 |
| 耐久性・安全性 | プラスチック製で壊れやすい | セラミック製などで強度・衛生面も安心 |
| 使用可能シーン | 短時間(写真・動画撮影など) | イベント・日常でも比較的使用可能 |
💡 「一時的に楽しみたい」なら市販品、「本格的な仕上がり」なら歯科医院での作成がおすすめです。
💡 注意点と安全性のチェックポイント
付け八重歯は手軽に可愛さを演出できますが、口の中に装着する以上、安全性と清潔さが最重要です。
✅ 使用時の注意点
- ⏱ 長時間の装着は避ける(就寝中は必ず外す)
- 🧼 毎回しっかり洗浄・乾燥
- 🍽 食事中は外すのが基本
- 🦷 本物の歯や歯ぐきを傷つけないように注意
❗こんな症状があれば中止を
- 歯ぐきの腫れ・痛み
- 違和感や頭痛が続く
- 着脱で歯がグラグラする
💬 安全に使うためには、「歯医者での相談&定期チェック」を習慣にしましょう。特に長期間使いたい場合は、必ずプロのサポートを受けてください。
📌 まとめ|八重歯は早めの対策が未来の笑顔を守るカギ
八重歯は「かわいさ」の象徴として親しまれてきた一方で、口腔の健康や顔全体のバランスに大きな影響を与える存在でもあります。
✔️ 見た目だけでなく健康面の影響にも注意を
八重歯を放置すると、虫歯や歯周病のリスクが高まるだけでなく、噛み合わせの乱れによる消化不良・顎関節症・全身の不調につながることも。可愛さを理由に見過ごすのではなく、「健康を守る視点」からの判断が大切です。
✔️ 自分に合った治療法を専門医と相談して決めよう
矯正治療には多くの選択肢があり、費用・期間・方法は人それぞれです。信頼できる矯正歯科でカウンセリングを受け、自分の生活や価値観に合った最適なプランを見つけましょう。
✔️ 無理に矯正しない選択肢も「正しい知識」があってこそ
矯正をしない場合でも、セルフケア・定期検診・生活習慣の見直しで健康リスクを減らすことが可能です。また、付け八重歯など審美的な手段を選ぶ場合も、安全性や使用方法をきちんと理解したうえで行うことが重要です。
🔎 「八重歯が気になる」と思った今こそ、未来の笑顔のための第一歩。
矯正するかしないかにかかわらず、正しい知識と早めの対処が、歯と身体を守るカギとなります。
江戸川区篠崎で八重歯の矯正をお考えの方へ!

「八重歯が気になるけど、矯正って必要なの?」「見た目は好きだけど、将来のことを考えると不安…」
そんなお悩みをお持ちの方は、江戸川区篠崎の当歯科医院で気軽にご相談ください。
当院では、
✅ 大人・子どもそれぞれに適した八重歯の矯正方法
✅ 抜歯を避けるための精密な診断と治療計画
✅ 見た目だけでなく、噛み合わせや健康面まで考慮したご提案
を行っております。
「矯正する」「しない」どちらの選択でも、正しい知識と納得できる判断が大切です。
江戸川区篠崎で八重歯にお悩みの方は、まずは無料カウンセリングであなたに合った道を一緒に考えてみませんか?
【動画】アデノイド顔貌
筆者・院長

深沢 一
Hajime FUKASAWA
- 登山
- ヨガ
メッセージ
日々進化する歯科医療に対応するため、毎月必ず各種セミナーへの受講を心がけております。
私達は、日々刻々と進歩する医学を、より良い形で患者様に御提供したいと考え、「各種 歯科学会」に所属すると共に、定期的に「院内勉強会」を行う等、常に現状に甘んずる事のないよう精進致しております。 又、医療で一番大切な事は、”心のある診療”と考え、スタッフと共に「患者様の立場に立った診療」を、心がけております。


