- 1. 【📹 30秒】奥歯の抜歯後、放置しても大丈夫?後悔しないための知識
- 2. ✅ 抜歯したまま放置しても問題ない?|その疑問に歯科医が答えます
- 2.1. 💬 痛くないから放置していいの?
- 2.2. 🤔 見えない奥歯なら大丈夫?
- 2.3. 🧠 実は知らない奥歯の重要性
- 3. ⚠️ 抜歯後に「そのまま放置」すると起こる5つのリスク
- 3.1. 🧩 噛み合わせが崩れる
- 3.2. 🦷 咀嚼力の低下と全身への影響
- 3.3. 🦴 顎の骨が痩せる(骨吸収)
- 3.4. 🧫 虫歯・歯周病・口臭リスク増加
- 3.5. 😟 顔貌の変化・老け見え
- 4. 🦷 【部位別】抜歯後放置の影響と対策
- 4.1. 🔻 下顎6番を放置したケース
- 4.2. 🔻 下顎7番を放置したケース
- 4.3. 🔻 上顎6番・7番を放置したケース
- 4.4. 🔻 下顎5番を放置したケース
- 5. 🛠 抜歯後にできる対処法|3つの代表的な選択肢
- 5.1. 🧱 ①ブリッジ
- 5.1.1. 5番抜歯後のブリッジが原因で4番に負担集中:歯根破折の典型例
- 5.2. 🦿 ②インプラント
- 5.2.1. インプラント埋入の症例
- 5.2.1.1. 🦷 解説
- 5.2.1.1.1. ■ 部位と状況
- 5.2.1.1.2. ■ 周囲組織の状態
- 5.2.1.1.3. ■ 手術の目的と流れ(推定)
- 5.2.1.2. 💬 コメント
- 5.3. 🪥 ③部分入れ歯
- 5.3.1. 部分入れ歯(ワイヤークラスプ義歯)
- 5.4. 📌 どの治療法を選べばいい?比較ポイントと選び方
- 5.4.1. 🔄 ライフスタイル
- 5.4.2. 💴 予算
- 5.4.3. 🦴 顎骨や歯の状態
- 6. 💸 費用と保険の違い|自費と保険の境界線
- 6.1. 💴 保険適用での費用感(ブリッジ・入れ歯)
- 6.1.1. 🔹 ブリッジ(保険)
- 6.1.2. 🔹 部分入れ歯(保険)
- 6.2. 💰 自費治療の相場(インプラント・ノンクラスプ義歯)
- 6.2.1. 🔹 インプラント
- 6.2.2. 🔹 ノンクラスプデンチャー(自費入れ歯)
- 6.3. 🧾 医療費控除・助成制度の活用術
- 6.3.1. ✅ 医療費控除とは?
- 6.3.2. ✅ 高額療養費制度(保険診療のみ)
- 6.3.3. ✅ 各自治体の助成制度
- 7. 🕒 放置が長期化した場合のリカバリー治療
- 7.1. 🌀 矯正によるアップライト(倒れた歯の再建)
- 7.2. 🦷 親知らずの移植や活用法
- 7.2.1. ⏱ ① 即時移植(同日移植)
- 7.2.2. 🕓 ② 遅延移植(骨が治癒してからの移植)
- 7.2.3. 🧲 ③ 矯正引き出し(挺出による再配置)
- 8. 🩺 抜歯後の経過とトラブル予防
- 8.1. 🧊 痛み・腫れ・ドライソケットへの対処
- 8.1.1. 🩹 よくある経過と対処
- 8.1.2. ⚠️ ドライソケットとは?
- 8.2. 🧼 抜歯後のセルフケアと禁忌事項(タバコ・飲酒など)
- 8.2.1. ✅ 抜歯後に気をつけるポイント
- 8.2.2. 🚭 禁忌事項(48時間程度は特に注意)
- 8.3. 🔍 定期検診の重要性|異常の早期発見と予防
- 8.3.1. 📅 抜歯後の定期検診で確認すること
- 8.3.2. 🦷 なぜ早期発見が重要なのか?
- 9. 🧠 放置しても問題ないケースはあるのか?
- 9.1. 🩻 例外的に様子見が可能な条件とは?
- 9.1.1. ✅ 噛み合わせにほとんど影響がない場合
- 9.1.2. ✅ 周囲の歯の状態が安定している場合
- 9.1.3. ✅ 患者の全身状態によりすぐの治療が難しい場合
- 9.2. 👨⚕️ 必ず歯科医師に相談してから判断を!
- 9.2.1. 🔻 自己判断のリスク
- 10. 💬 よくある質問(FAQ)
- 10.1. ❓ 奥歯を抜いてもすぐに治療しなくていいの?
- 10.2. ❓ 費用が心配。安く済ませる方法は?
- 10.3. ❓ インプラントとブリッジ、どう違うの?
- 10.4. ❓ 抜歯して何年も放置していたけど治療できる?
- 11. 📝 まとめ|抜歯したままはNG!早めの対処で未来の健康を守ろう
- 11.1. 🧾 リスクを知って、行動することが大切
- 11.2. 👨⚕️ 迷ったら歯科医院で相談を
- 11.3. 💡 長期的な視点でベストな治療を選ぼう
- 12. 🏥 江戸川区篠崎で「奥歯を抜いたまま放置」している方へ
- 13. 【動画】奥歯を抜歯したまま放置すると?
- 14. 筆者・院長

「奥歯を抜いたまま、痛みもないしそのままで大丈夫かな…?」
そんなふうに思っている方は意外と多いのではないでしょうか。
しかし、歯を抜いたまま放置することには見えないリスクが潜んでいます。噛み合わせの乱れ、隣の歯の傾き、顎の骨の吸収、さらには全身の健康への影響まで――。
この記事では、抜歯後に放置すると起こる問題や、具体的な対処法(インプラント・ブリッジ・入れ歯など)を歯科医の視点からわかりやすく解説します。
「すぐに治療が必要?」「今さらでも間に合う?」「費用はどれくらい?」といった疑問にもお答えしますので、ぜひ最後までお読みください。
【📹 30秒】奥歯の抜歯後、放置しても大丈夫?後悔しないための知識
✅ 抜歯したまま放置しても問題ない?|その疑問に歯科医が答えます
💬 痛くないから放置していいの?
「痛みがなくなったから治った」と思っていませんか?
抜歯後の痛みが治まっても、お口の中では確実に変化が起きています。歯がなくなったスペースには、周囲の歯が動き始め、かみ合わせが崩れていきます。痛みが出るのは数か月〜数年後になるケースも多く、「もっと早く治療しておけばよかった」と後悔する方も少なくありません。
特に奥歯は咀嚼を支える重要な歯。放置は、全身の健康に波及するリスクを含んでいます。
🤔 見えない奥歯なら大丈夫?
「見えない場所だし、歯が1本くらいなくても…」というのは大きな誤解です。
実際は、奥歯こそ“噛む”という機能を支える中心であり、1本抜けるだけで咀嚼バランスが大きく崩れます。


放置すると…
- 対向する歯が伸びてくる(挺出)
- 隣の歯が倒れ込む
- 噛み合わせ全体が狂う
といった連鎖的な問題が起こり、別の健康な歯まで悪影響を受ける可能性があります。
🧠 実は知らない奥歯の重要性
奥歯には、次のような役割があります。
- 🍽 食べ物をしっかりすりつぶす → 消化の負担軽減
- 🗣 正確な発音の補助 → 舌の位置を正しくキープ
- 😊 顔の輪郭を支える → 頬がこけたり、老けた印象を防ぐ
- 🔄 他の歯を支える → 歯列の安定
このように、奥歯は“ただの歯”ではなく、口腔機能と見た目の両面に深く関わる存在です。
抜歯したままにすることで、そのバランスが崩れ、治療の難易度や費用が数倍に跳ね上がることもあるため、早期の対処が重要です。
⚠️ 抜歯後に「そのまま放置」すると起こる5つのリスク
奥歯を抜いた後、そのまま放置してしまうと、口腔内だけでなく全身の健康にも悪影響が及ぶ可能性があります。以下では、代表的な5つのリスクについて詳しく解説します。
🧩 噛み合わせが崩れる
対合歯の挺出・隣接歯の傾斜・歯列崩壊
抜歯したスペースをそのままにしておくと、上下左右の歯がバランスを失い、動き始めます。


- 噛み合っていた反対側の歯が下に伸びてくる(挺出)
- 両隣の歯が空いたスペースに倒れ込む
- 歯列全体が乱れ、かみ合わせが悪くなる
結果として、他の歯にも負担がかかり、さらなる抜歯が必要になることもあります。
🦷 咀嚼力の低下と全身への影響
消化不良、栄養吸収の低下、内臓への負担
奥歯は“すり潰す”役割を担っているため、1本でも失うと食べ物をしっかり噛めなくなります。その結果…
- 胃や腸への負担が増す
- 栄養の吸収効率が落ちる
- 消化不良や便秘・下痢といった体調不良を招く
特に高齢の方や持病のある方は、栄養状態の悪化が深刻な健康問題に直結する場合もあります。
🦴 顎の骨が痩せる(骨吸収)
将来的にインプラント困難になる可能性
歯を支えていた顎の骨は、歯がなくなると刺激がなくなり徐々に吸収されていきます。これを「骨吸収」と呼びます。
- 骨が痩せると顔の輪郭にも影響
- インプラント治療が難しくなる
- 義歯やブリッジも適合しにくくなる
抜歯直後の適切な処置が、将来の治療の幅を広げる鍵になります。
🧫 虫歯・歯周病・口臭リスク増加
清掃不良 → 細菌繁殖 → 口腔環境悪化
空いたスペースは歯ブラシが届きにくく、汚れが溜まりやすいため、放置すると以下の問題が起こります。
- 食べかすが詰まりやすくなる
- 虫歯や歯周病が進行しやすい
- 細菌の繁殖によって口臭が悪化する
1本の歯を放置したことで、健康だった周囲の歯を失うリスクも生まれます。
😟 顔貌の変化・老け見え
頬のたるみ・輪郭の変化
奥歯がなくなると、噛む力のバランスが崩れて骨や筋肉が衰え、見た目にも影響が現れます。
- 頬がこけて老けて見える
- 口元が下がって不健康な印象に
- 顎のラインが崩れて顔全体がたるむ
これは見た目の問題だけでなく、心理的なストレスや自信の低下にもつながります。
🦷 【部位別】抜歯後放置の影響と対策
歯の抜歯後に「どこを抜いたか」によって、その後の影響は大きく異なります。ここでは、部位別に起こりやすい変化と対策を具体的に解説します。
🔻 下顎6番を放置したケース
歯の傾斜・咬合不全・治療困難化
下顎6番(第一大臼歯)は、噛み合わせの要となる最も重要な歯のひとつです。この歯を抜いたままにしておくと…



- 隣の7番が前に倒れ込む
- 上顎の6番が挺出して下に伸びる
- スペースが中途半端に狭くなる
これにより、ブリッジやインプラントが物理的に不可能になることも。
また、傾斜した歯の咬合力が分散しにくく、**咬合性外傷(噛む力による歯や顎のトラブル)**が生じやすくなります。
📌 対策:倒れた歯を矯正でアップライトし、インプラントやブリッジが可能なスペースを確保します。
治療には1年以上かかるケースもあるため、早期の対応が鍵です。
🔻 下顎7番を放置したケース
上顎7番の挺出・噛み合わせの乱れ・顎関節症のリスク
下顎7番(第二大臼歯)は、奥歯の最後方に位置する歯です。ここを失うと、対応する上顎7番に支えがなくなり、挺出してしまいます。


- 上顎7番が下に伸びて歯茎を傷つける
- 顎のスライドが不自然になり、顎関節に負担
- 上下の咬合面が不整になり、食事の際に違和感が出る
- 下顎親知らずが手前に移動する
特に片側だけで噛む癖がつくと、顎関節症の原因になることもあり注意が必要です。
📌 対策:挺出を防ぐためのインプラントや入れ歯で咬合を回復させるほか、矯正治療で挺出した歯を引き戻す方法も検討します。
🔻 上顎6番・7番を放置したケース
食物詰まり・6番の移動・咬合面の不整
上顎の奥歯を放置した場合、一見影響が少ないように思えますが、次のような問題が徐々に現れます。
- 下顎の歯に対応する歯がなくなり、噛みにくくなる
- 手前の5番や奥の歯が前後にズレ、食物が詰まりやすくなる
- 咬合平面(噛み合わせのライン)が崩れる
特に7番を失うと、6番が奥へ移動し、歯と歯の隙間が開いてしまうため、見た目や発音にも影響が出るケースがあります。
📌 対策:放置期間が短ければブリッジや入れ歯で対応可能ですが、歯の移動が進んでいる場合は矯正処置+補綴が必要になります。
🔻 下顎5番を放置したケース
6番の傾斜・咬合平面の乱れ
下顎5番(小臼歯)は、前歯と奥歯の橋渡しとなる歯です。この歯を抜いたままにしておくと…

右下5番を抜歯後放置

左下5番を抜歯後放置
- 6番が前に傾き、4番との間に隙間ができる
- 上顎の5番が挺出して噛み合わせが不均衡に
- 噛み合わせの面がカーブ状に歪む(咬合平面の崩壊)
この結果、食べ物が詰まりやすくなり、虫歯・歯周病・口臭のリスクが高まります。
📌 対策:早期にブリッジや入れ歯でスペースを補い、歯列の移動を防ぐのが理想的です。すでに歯が動いている場合は、部分矯正を併用することも考えられます。
🛠 抜歯後にできる対処法|3つの代表的な選択肢
奥歯を抜歯した後、放置せずにきちんと機能を回復させるためには、補綴(ほてつ)治療が必要です。代表的な治療法は「ブリッジ」「インプラント」「部分入れ歯」の3つ。
それぞれの特徴を理解し、自分に合った方法を選ぶことが大切です。



🧱 ①ブリッジ
両隣の歯を削って、人工歯を橋のようにかける治療法
【特徴】
- 固定式で見た目が自然
- 短期間で治療が終わる
- 保険適用の範囲で対応可能(※材質による)
【メリット】
- 見た目や噛み心地が自然で違和感が少ない
- 取り外しの手間が不要
【デメリット】
- 両隣の健康な歯を削る必要あり
- 支える歯に負担がかかりやすい
- 顎の骨が痩せるのを防ぐことはできない
🔎 見た目◎/歯の負担×/保険○(一部自費もあり)
5番抜歯後のブリッジが原因で4番に負担集中:歯根破折の典型例

5番を抜歯後、4・5・6番でブリッジを装着した症例です。欠損部を支えるため4番に大きな咬合負担がかかり、赤矢印の歯が“歯根破折”を起こしてしまいました。ブリッジは見た目も噛み心地も自然ですが、支えとなる歯に過重負担がかかるリスクがあります。特に小臼歯の支台歯は破折しやすく、治療選択時の重要なポイントとなります。
🦿 ②インプラント
顎の骨に人工歯根を埋め込み、その上に人工の歯を装着する治療法
【特徴】
- 自分の歯に近い自然な噛み心地と見た目
- 隣の歯を削らずに済む
- 顎の骨の吸収を防げる
【メリット】
- 機能・審美ともに最高レベル
- 長期的な耐久性に優れる
- 周囲の歯に負担をかけない
【デメリット】
- 外科手術が必要
- 治療期間が数ヶ月〜かかる
- 費用が高額(保険適用外が基本)
🔎 見た目・機能◎/費用×/保険×(自由診療)
インプラント埋入の症例
この画像は、下顎の第1大臼歯(6番)および第2大臼歯(7番)相当部にインプラントが埋入された術中の状態を示しています。

🦷 解説
■ 部位と状況
- 画面左側には金属冠が装着されています。
- その後方(6番・7番相当部)に、2本のインプラントフィクスチャーを埋入しました。
- インプラント体の上部には**カバースクリュ**が装着されています。
■ 周囲組織の状態
- 歯肉弁が剥離され、骨面が露出しています。
- 創部の出血は少なく、良好な視野確保のもとで清潔に処置を行えました。
■ 手術の目的と流れ(推定)
- 欠損部(下顎6・7番)の補綴を目的にインプラントを選択。
- フラップを剥離し、骨の形態を確認。
- ドリリングシーケンスに従い、2本のフィクスチャーを埋入。
- カバースクリューを装着して、縫合準備段階。
💬 コメント
この症例は、下顎大臼歯部欠損に対する2本埋入によるインプラント補綴の典型例です。
骨幅や高さが十分に確保されており、2本で咬合支持を分担する設計です。術野の清潔さや出血コントロールの点からも、安全で丁寧な埋入手技を実施。
🪥 ③部分入れ歯
取り外し式の人工歯で、金属のバネや樹脂で固定するタイプ
【特徴】
- 比較的安価で作製可能
- 多くのケースで保険適用可
- 着脱して清掃ができる
【メリット】
- 両隣の歯を削らずに済む
- 修理や調整がしやすい
- 高齢の方や全身疾患のある方にも対応可能
【デメリット】
- 装着時に違和感や異物感が出やすい
- 噛む力がやや弱くなる
- 長期的には支えの歯や歯茎に負担がかかることも
🔎 費用◎/違和感×/保険○(自費で審美性アップも可)
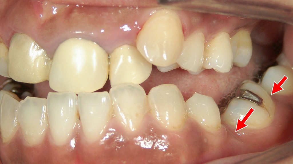
部分入れ歯(ワイヤークラスプ義歯)

下顎左右の6・7番を抜歯後、咀嚼機能の回復と残存歯の位置安定を目的に部分入れ歯で対応した症例です。左右の4・5番にワイヤークラスプによる双歯鉤を設置し、義歯の安定性を確保しています。抜歯後に欠損部を放置すると、隣在歯の傾斜や対合歯の挺出が起こりやすいため、早期に入れ歯などの補綴治療を行うことが重要です。
📌 どの治療法を選べばいい?比較ポイントと選び方
治療法の選択は、以下の3つの視点で決めると失敗しません。
🔄 ライフスタイル
- 忙しくて通院回数を減らしたい → ブリッジ
- 清掃しやすさ重視 → 部分入れ歯
- 見た目も機能も妥協したくない → インプラント
💴 予算
- 保険で対応したい → ブリッジ or 部分入れ歯
- 長期的に投資したい → インプラント(医療費控除も活用可)
🦴 顎骨や歯の状態
- 顎の骨がしっかりしている → インプラント向き
- 支える歯が弱い → 入れ歯または矯正との併用を検討
- 歯周病などの影響で支台歯に不安 → インプラントや部分入れ歯が候補
💸 費用と保険の違い|自費と保険の境界線
歯を失ったあとの治療を考えるとき、多くの方が最も気になるのが「費用」と「保険適用の有無」です。ここでは、治療法別の費用感と、医療費控除などのサポート制度について解説します。
💴 保険適用での費用感(ブリッジ・入れ歯)
保険診療での治療は、**機能回復を目的とした「最低限の治療」**に限られます。
具体的には以下のような費用感です(3割負担の場合):
🔹 ブリッジ(保険)
- 金属+レジンの素材が基本
- 費用:1〜3万円程度
- 見た目は前歯などで多少劣るが、基本的な機能は確保
🔹 部分入れ歯(保険)
- 金属のバネ(クラスプ)を使用
- 費用:5,000〜1万円前後
- 見た目の自然さや装着感は限定的
📌 注意点:
保険診療では素材や設計が制限されるため、審美性・快適性を重視したい方には物足りない場合もあります。
💰 自費治療の相場(インプラント・ノンクラスプ義歯)
自費診療では、見た目や耐久性、快適性にこだわった治療が選べます。費用は高くなりますが、長期的な満足度が高い傾向にあります。
🔹 インプラント
- 人工歯根+被せ物をセットで作成
- 費用:1本あたり30〜50万円
- 骨造成やサイナスリフトが必要な場合は、+10〜30万円ほど追加


🔹 ノンクラスプデンチャー(自費入れ歯)
- 金属バネなし、見た目が自然で違和感が少ない
- 費用:10〜20万円前後(片顎)
- 複数歯・精密設計により価格は上がる
📌 自費治療は医院ごとに価格差が大きいため、事前の見積もり確認がおすすめです。
🧾 医療費控除・助成制度の活用術
自費治療でも、条件を満たせば税金の軽減が可能です。
✅ 医療費控除とは?
- 1年間に支払った医療費が10万円(または所得の5%)を超えた場合
- 所得税や住民税の一部が確定申告で還付されます
👉 インプラント・ノンクラスプ義歯・ブリッジなど、「治療目的」であれば対象
👉 ホワイトニングなど美容目的は対象外
✅ 高額療養費制度(保険診療のみ)
- 月の医療費が高額になった場合、自己負担の上限を超えた分が払い戻されます
- 保険適用治療が対象
✅ 各自治体の助成制度
- 一部の市区町村では、高齢者・障害者向けに入れ歯の助成や補助金制度を設けている場合も
📌 医療費控除や助成金の対象となるかは、治療の内容・目的によって異なります。事前に歯科医院や税務署に確認しましょう。
🕒 放置が長期化した場合のリカバリー治療
抜歯した歯をそのまま放置して数か月〜数年が経過すると、周囲の歯や顎骨に大きな変化が起こります。
このような状態でも治療は可能ですが、通常の補綴治療(インプラント・ブリッジ・入れ歯)だけでは対応が難しい場合もあります。
ここでは、長期放置後に必要となるリカバリー治療について解説します。
🌀 矯正によるアップライト(倒れた歯の再建)
長期間抜歯部位を放置すると、隣接する歯(特に奥歯)がスペースに倒れ込んでしまうことがあります。
この状態ではブリッジやインプラントを入れるスペースが足りず、治療そのものが困難になります。
🔧 解決法:矯正による「アップライト」処置
アップライトとは、傾いた歯を元の垂直方向に戻す矯正治療です。
- ワイヤー矯正やマイクロインプラント(アンカー)を使い、傾いた歯を引き起こす
- 数ヶ月〜1年ほど治療期間を要する
- インプラントやブリッジを行えるようスペースと角度を整える
📌 注意点
アップライトには矯正専門的な知識と技術が必要で、自費診療になります。早期対応であれば矯正せずに済む場合も多いため、放置期間が短いうちに相談するのが理想です。
🦷 親知らずの移植や活用法
即時移植/遅延移植/矯正引き出しの3つのアプローチ
抜歯後のスペースが長期間放置された場合、親知らず(第3大臼歯)を活用する方法があります。
⏱ ① 即時移植(同日移植)
- 抜歯と同日に親知らずを移植する方法
- 抜歯窩が新鮮な状態で骨がまだ柔らかく、結合しやすい
- 治療期間が短く、保険適用となるのが大きなメリット
📌 適応条件:親知らずの形・根の形状が抜歯部位に合うことが前提
🕓 ② 遅延移植(骨が治癒してからの移植)
- 抜歯後しばらく経って骨が硬くなってしまった状態での移植
- 歯槽骨を形成し直す「移植床形成」が必要
- **保険適用外(自費)**になるが、手術可能な場合は十分選択肢に入る
📌 骨の厚みや深さが必要となるため、CT診断が重要
🧲 ③ 矯正引き出し(挺出による再配置)
- 埋まっている親知らずを矯正装置で手前に引っ張り出す方法
- 隙間に親知らずを“誘導”して新たな咀嚼歯として活用
- 治療期間は長く(1年〜)、高度な矯正管理が必要
📌 費用は自費になるが、抜歯せずに自分の歯を活用できる唯一の方法として注目されています。
🩺 抜歯後の経過とトラブル予防
抜歯はよくある歯科処置ですが、適切なアフターケアを怠ると、予期せぬトラブルが起こることもあります。ここでは、抜歯後に注意すべきポイントと、トラブルを予防するための対策を解説します。
🧊 痛み・腫れ・ドライソケットへの対処
抜歯後には、一定の腫れや痛みが生じるのが一般的ですが、通常は2~3日で軽減していきます。
以下の症状と対処法を知っておくことで、安心して回復を迎えられます。
🩹 よくある経過と対処
- 痛み・腫れ:
→ 保冷剤や氷で20分程度冷やすことで炎症を抑えられます。
→ 歯科医から処方された鎮痛薬を指示通りに服用。 - 出血:
→ ガーゼをしっかり噛んで止血。口をゆすぎすぎると血餅(かさぶた)が取れるので注意。

⚠️ ドライソケットとは?
- 抜歯窩に血餅ができず、骨が露出して激しい痛みを伴う状態。
- 3日目以降に強い痛みがぶり返す場合は要注意。
📌 対策:
ストロー・うがい・喫煙などで血餅が取れやすくなるため、抜歯当日は控えるのが鉄則です。
🧼 抜歯後のセルフケアと禁忌事項(タバコ・飲酒など)
抜歯後の回復をスムーズにするためには、日常生活でのセルフケアとやってはいけない行動を正しく理解しておくことが重要です。
✅ 抜歯後に気をつけるポイント
- 食事は柔らかく冷たいもの(例:おかゆ・ヨーグルト・ゼリー)
- 清潔を保ちつつも、抜歯部位は強くブラッシングしない
- うがいは優しく1〜2回程度にとどめる
🚭 禁忌事項(48時間程度は特に注意)
- タバコ: 血流が悪化し、治癒が遅れる原因に。ドライソケットのリスクも上昇。
- 飲酒: 出血が止まらない・炎症が悪化する恐れあり。
- 激しい運動・入浴: 血圧が上昇し、再出血のリスクが高まります。
📌 抜歯後の48時間は体を休めて、安静に過ごすことが最優先です。
🔍 定期検診の重要性|異常の早期発見と予防
抜歯後は、痛みが治まったら「もう終わり」と思いがちですが、真の回復には経過観察と定期検診が欠かせません。
📅 抜歯後の定期検診で確認すること
- 傷口の治癒状況(腫れ・膿・出血の有無)
- 周囲の歯や噛み合わせの変化
- インプラントや補綴治療の準備状況
🦷 なぜ早期発見が重要なのか?
- 傾いた歯・挺出してきた歯を早期に修正できる
- 細菌感染による骨の吸収や歯周病の進行を防げる
- 補綴治療のタイミングを逃さず、無駄な追加治療を避けられる
📌 見た目に異常がなくても、抜歯後1か月以内には一度は再診を受けることをおすすめします。
🧠 放置しても問題ないケースはあるのか?
「抜歯後、すぐに治療しなければならないの?」「放っておいても大丈夫な場合は?」
こうした疑問を持つ患者さんは少なくありません。結論として、基本的には放置はリスクが高い行為ですが、一部例外的に“様子見”が許容されるケースもあります。
🩻 例外的に様子見が可能な条件とは?
以下のような条件を満たしている場合、一時的な経過観察が選択肢となることがあります。
✅ 噛み合わせにほとんど影響がない場合
- 抜歯した歯が噛み合わせに関与していなかった(例:出っ歯傾向で7番が機能していなかった)
- 噛み合う歯(対合歯)がすでに挺出しているなど、実質的な負荷がかかっていない
✅ 周囲の歯の状態が安定している場合
- 隣接歯や対合歯がしっかりしており、動揺や傾斜のリスクが低い
- 歯並びがもともと不正でなく、崩れる兆候が見られない
✅ 患者の全身状態によりすぐの治療が難しい場合
- 高齢、持病、手術中・治療中の疾患によりすぐの補綴が難しい
- 一時的に医療費や通院に制限があるなど、やむを得ない事情がある
📌 ただし、このような“放置可能な状態”は例外中の例外であり、時間が経つと状況が変化するため「永久に放置OK」ではありません。
👨⚕️ 必ず歯科医師に相談してから判断を!
見た目に異常がなくても、歯は目に見えない部分(骨や歯根)で問題が進行することが多くあります。自己判断で放置すると、以下のようなリスクを見逃す可能性があります。
🔻 自己判断のリスク
- 実際には対合歯が少しずつ挺出していた
- 隣接歯がわずかに動き始めていた
- 骨吸収が進行し、インプラントが適応外になってしまった
🦷 歯科医師は、レントゲンや咬合診査をもとに、**「いつまで様子見可能か」「どの治療が最適か」**を客観的に判断します。
📌 抜歯後は、見た目が落ち着いていても一度は歯科医院を受診し、将来を見据えた治療計画を立てることが大切です。
💬 よくある質問(FAQ)
❓ 奥歯を抜いてもすぐに治療しなくていいの?
A:基本的にはできるだけ早く治療を始めるのが望ましいです。
抜歯直後は見た目も気にならず、痛みも引くため「そのままでいいかな」と思ってしまいがちですが、数週間〜数ヶ月で歯列や噛み合わせが崩れ始めます。
放置期間が長くなるほど治療が複雑化し、費用もかかる傾向にあるため、抜歯から1ヶ月以内には治療方針を決めるのが理想的です。
❓ 費用が心配。安く済ませる方法は?
A:保険適用の治療や医療費控除の活用がおすすめです。
以下のような方法で、費用の負担を抑えることができます:
- 🦷 保険適用のブリッジや部分入れ歯を選ぶ
- 🧾 医療費控除(年間10万円以上の医療費で確定申告により還付)を申請
- 💳 **歯科医院での分割払い(デンタルローン)**の相談
- 🏙 自治体の高額医療助成制度を確認
📌 初回カウンセリングや見積もりは無料の医院も多いため、早めの相談が安心です。
❓ インプラントとブリッジ、どう違うの?
A:見た目と機能は似ていますが、治療方法とメリット・デメリットが異なります。
| 項目 | インプラント | ブリッジ |
|---|---|---|
| 方法 | 顎の骨に人工歯根を埋める | 両隣の歯を削って人工歯をかける |
| 費用 | 高額(自費) | 保険適用も可能(素材により異なる) |
| 他の歯への影響 | 影響なし(歯を削らない) | 両隣の健康な歯を削る必要あり |
| 骨の維持 | 顎骨が痩せにくい | 顎骨の吸収を防げない |
| 治療期間 | 数ヶ月かかる | 数週間で完了することも |
📌 長期的な機能性を求めるならインプラント、費用やスピード重視ならブリッジが選ばれます。
❓ 抜歯して何年も放置していたけど治療できる?
A:はい、治療は可能ですが、状況によっては矯正などの前処置が必要になることがあります。
数年放置した場合、次のような問題が起きている可能性があります:
- 歯が傾いてスペースがなくなっている
- 噛み合う歯が伸びてしまっている(挺出)
- 顎の骨が痩せてインプラントが難しい状態に
📌 こうした場合でも、矯正によるアップライトや親知らずの移植など、リカバリー方法は多数あります。
「今さら無理かも…」と諦めず、まずは歯科医師に相談してみましょう。
📝 まとめ|抜歯したままはNG!早めの対処で未来の健康を守ろう
奥歯を抜歯した後、そのまま放置してしまうことで、見た目だけでなく機能面や健康面に多くの悪影響が起こります。
「痛みがなくなったから大丈夫」ではなく、その後の対応こそが口腔内の未来を左右する重要なポイントです。
🧾 リスクを知って、行動することが大切
- 🦷 噛み合わせの乱れ、歯列の崩壊
- 🦴 顎骨の吸収によるインプラント困難化
- 🧫 虫歯・歯周病・口臭などの二次トラブル
- 😟 顔貌の変化、老けた印象への影響
これらのリスクは**「放置する」という選択によって確実に進行します**。
逆に言えば、早めに対処すれば予防できるということ。
リスクを正しく理解し、「まだ間に合ううちに」行動しましょう。
👨⚕️ 迷ったら歯科医院で相談を
「インプラントかブリッジか迷っている」「放置してどのくらい経ってしまったか分からない」
そんなときこそ、専門家である歯科医師に相談するのが最善の一歩です。
- 初診相談や見積もりは無料の医院も多数
- レントゲンやCTで状態を把握してもらえる
- 治療の緊急度や選択肢の幅を教えてもらえる
📌 自己判断で放置するのではなく、現状を正しく把握して「今できる最善の選択」をしましょう。
💡 長期的な視点でベストな治療を選ぼう
治療法は「今だけの問題」ではなく、5年後・10年後の健康や生活の質(QOL)に大きく関わります。
- インプラントなら骨の維持と自然な噛み心地
- ブリッジならスピードと費用のバランス
- 入れ歯なら体の状態や予算に応じた柔軟さ
それぞれにメリット・デメリットがあり、ライフスタイル・年齢・全身の健康状態などによって適した選択肢は異なります。
📌 最も大切なのは「あなたにとって続けやすい・納得できる治療法を選ぶこと」。
そして、その第一歩は歯科医院での相談から始まります。
この記事を通して、抜歯後の放置がもたらすリスクと、その対処法をご理解いただけたなら幸いです。
未来の口腔と全身の健康を守るために、どうか**“放置しない勇気”**を持ってください。
🏥 江戸川区篠崎で「奥歯を抜いたまま放置」している方へ

奥歯を抜いたまま放置していませんか?
「痛くないから大丈夫」「見えない場所だから平気」と思っていても、実は放置することで歯並びの崩れや顎の骨の吸収、口臭・歯周病のリスクが高まっていきます。
当院(江戸川区篠崎)では、インプラント・ブリッジ・入れ歯などの選択肢をわかりやすくご説明し、患者さま一人ひとりに最適な治療法をご提案しています。
「数年前に抜いたけどそのまま…」「治療したいけど費用や期間が心配」そんな方も、まずはお気軽にご相談ください。
後悔しないための第一歩は、“放置しない”ことから始まります。
江戸川区篠崎で抜歯後の対応にお悩みの方は、当院までご連絡ください。
【動画】奥歯を抜歯したまま放置すると?
筆者・院長

深沢 一
Hajime FUKASAWA
- 登山
- ヨガ
メッセージ
日々進化する歯科医療に対応するため、毎月必ず各種セミナーへの受講を心がけております。
私達は、日々刻々と進歩する医学を、より良い形で患者様に御提供したいと考え、「各種 歯科学会」に所属すると共に、定期的に「院内勉強会」を行う等、常に現状に甘んずる事のないよう精進致しております。 又、医療で一番大切な事は、”心のある診療”と考え、スタッフと共に「患者様の立場に立った診療」を、心がけております。




