メタルボンドで境目が目立つ理由と治療選択肢
― 歯肉退縮の原因から歯肉移植(FGG)の効果・限界まで ―
- 1. メタルボンドの境目が見える原因|歯肉退縮と対処法
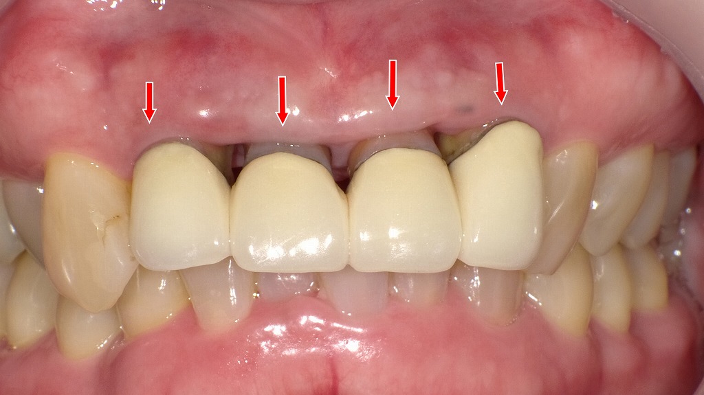
- 1.1. ■ 右上前歯ブリッジで起きた歯肉退縮|1番・3番の境目が見える理由
- 1.1.1. ● 歯肉退縮(矢印の部位)
- 1.1.2. ● ブリッジの構造(横矢印の部位)
- 1.1.3. ● 歯肉移植術で歯ぐきの厚み・高さを回復
- 1.2. メタルボンドの欠点|歯肉退縮による黒い歯根の露出
- 1.2.1. 治療方針の考え方(本症例のポイント)
- 1.2.2. ① 基本治療:原因コントロール(必須)
- 1.2.3. ② 補綴再治療(必要に応じて)
- 2. ■ 遊離歯肉移植術(FGG)の欠点
- 2.1. ● 再発の可能性
- 2.2. ● 歯周ポケットが形成されることがある
- 3. 江戸川区篠崎で前歯の見た目にお悩みの方へ🦷
- 4. 【動画】ホワイトスポットをアイコンで治す
- 5. 【動画】初期虫歯COを削らずに自分で治す方法
- 6. 筆者・院長

前歯のブリッジを入れてしばらく経つと、歯ぐきが少しずつ下がり、被せ物との境目が黒く見えてくることがあります。特にメタルボンドのブリッジでは、支台になっている歯に力が集中しやすく、歯肉退縮が起きやすいのが特徴です。
本記事では、その原因と治療で改善できるポイントを解説します。
メタルボンドの境目が見える原因|歯肉退縮と対処法
■ 右上前歯ブリッジで起きた歯肉退縮|1番・3番の境目が見える理由

この写真は 右上1番・2番・3番がメタルボンドブリッジ(連結の被せ物)で補綴されている状態 を示しています。
● 歯肉退縮(矢印の部位)
赤い縦矢印で示された 右上1番・3番の歯肉が下がっており(歯肉退縮)、被せ物と歯ぐきの境目に段差や黒っぽい影が見えています。
歯肉退縮が起こる理由の代表例:
- 加齢による歯肉の薄さ
- ブラッシング圧が強い
- 咬み合わせや歯ぎしりによる負荷
- ブリッジ支台歯への長期的な力の集中
退縮が進むと、歯の根が露出したり、被せ物の境目が見えやすくなったりします。
● ブリッジの構造(横矢印の部位)
赤い横矢印は 1番〜3番が連結されているブリッジ であることを示しています。
2番をダミー歯として、1番と3番が支台歯となり、3本まとめて補綴されている典型的な構造です。
ブリッジ特有の特徴:
- 支台歯(1番・3番)に強い力が集中する
- 清掃が難しい箇所が増える
- 長期経過で歯肉退縮が起こりやすい
● 歯肉移植術で歯ぐきの厚み・高さを回復
右上1番・3番は歯肉が薄く下がっているため、
歯肉移植(遊離歯肉移植) を行うことで、
- 退縮した歯肉の高さの回復
- 歯肉のボリュームを増す
- メタルの影を見えづらくする
などの効果が期待できます。
特に前歯部では、厚みのある歯肉を確保することが審美性の改善に直結します。
メタルボンドの欠点|歯肉退縮による黒い歯根の露出

上顎2番〜2番に装着されたメタルボンドの症例。経年的な歯肉退縮により、歯ぐきが下がり、金属フレームや歯根部の黒ずみ(赤矢印)が目立っています。メタルボンドは強度に優れる一方、歯肉退縮が起こると審美性が大きく損なわれる点が欠点の一つです。
治療方針の考え方(本症例のポイント)
- 前歯部メタルボンド(2番〜2番)
- 支台歯部での歯肉退縮
- 歯肉縁下に金属色・歯根部の黒ずみが露出
- 審美障害が主訴になりやすい部位
👉 単に被せ物をやり替えるだけでは不十分で、
歯周組織(歯ぐき)へのアプローチが重要なケースです。
① 基本治療:原因コントロール(必須)
まずは、歯肉退縮を進行させる因子を整理・是正します。
- ブラッシング圧の見直し(歯ブラシ指導)
- 咬合調整(前歯部への過剰負担の軽減)
- 歯ぎしり・食いしばりがあればナイトガード作製
- ブリッジ下・歯肉縁の徹底したプラークコントロール
※ この段階を省くと、どんな外科処置をしても再発リスクが高くなります。
CTGのほうが適する可能性が高いケースです。
② 補綴再治療(必要に応じて)
歯肉環境が安定した後、以下を検討します。
- メタルボンドの再製作
- マージン位置の再設定
- 歯肉縁下への金属色の影響を最小化
- 審美要求が高い場合
- オールセラミックブリッジへの変更も選択肢
※ 歯肉が整ってから補綴を行うことで、
長期的な審美性・安定性が大きく向上します。
■ 遊離歯肉移植術(FGG)の欠点
遊離歯肉移植術(FGG)は、歯肉の薄い部位に角化歯肉を増やすことで、歯肉退縮の進行を抑えたり、清掃性を改善したりする効果があります。しかし、いくつかの欠点も存在します。
● 再発の可能性
FGGは「厚みのある角化歯肉を獲得する」点では優れた方法ですが、後戻り(再退縮)が起きることがあります。
特に以下のケースでは再発しやすくなります:
- ブラッシング圧が強い
- 歯ぎしり・食いしばりなどで強い負荷がかかる
- 支台歯やブリッジ構造へ咬合力が集中している
- 清掃不良による炎症が続く
移植で厚みを増しても、負荷や炎症が続けば歯肉は再び下がるリスクがあります。
● 歯周ポケットが形成されることがある
FGGは移植片の“境界”が明確なため、移植部と周囲の歯肉との段差(ステップ)が生じやすい傾向があります。
この段差が原因で、
- プラークが停滞しやすくなる
- 局所的な炎症が起きる
- 結果として浅い歯周ポケットが形成される
といった問題が起きることがあります。
特に前歯部では見た目への影響が出ることもあり、症例によってはCTG(結合組織移植術)のほうが自然に仕上がるケースもあります。
江戸川区篠崎で前歯の見た目にお悩みの方へ🦷

江戸川区篠崎の当歯科クリニックでは、メタルボンドブリッジで起こりやすい歯肉退縮や境目の黒ずみを、歯肉移植やセラミック再補綴で改善しています。「前歯の見た目が気になる」「歯ぐきが下がってきた」方はお気軽にご相談ください。
【動画】ホワイトスポットをアイコンで治す
【動画】初期虫歯COを削らずに自分で治す方法
筆者・院長

深沢 一
Hajime FUKASAWA
- 登山
- ヨガ
メッセージ
日々進化する歯科医療に対応するため、毎月必ず各種セミナーへの受講を心がけております。
私達は、日々刻々と進歩する医学を、より良い形で患者様に御提供したいと考え、「各種 歯科学会」に所属すると共に、定期的に「院内勉強会」を行う等、常に現状に甘んずる事のないよう精進致しております。 又、医療で一番大切な事は、”心のある診療”と考え、スタッフと共に「患者様の立場に立った診療」を、心がけております。


