- 1. 🦷歯のかぶせもの(クラウン)の種類と選び方|保険・自費の違いを徹底解説
- 1.1. 歯の被せ物とは?🤔
- 1.2. 主なかぶせものの種類一覧🪥
- 1.2.1. 保険適用のかぶせもの
- 1.2.2. 自費診療のかぶせもの
- 1.3. 保険適用の被せ物の症例:正面観
- 1.3.1. 🦷 解説
- 1.4. 保険適用の被せ物の症例:咬合面観
- 1.4.1. 🦷 補綴状態の説明
- 1.5. 硬質レジン前装冠の欠点|前装部が欠けやすい
- 1.6. 保険と自費の違いを比較📊
- 1.7. 素材別のおすすめポイント🌟
- 1.8. 自分に合ったかぶせものを選ぶポイント💡
- 2. 治療の流れ⏱
- 2.1. 前歯の土台形成から仮歯装着までの治療プロセス
- 3. 治療症例
- 3.1. メタルコア(白金加金製)を装着
- 3.1.1. 🦷 状況の概要
- 3.1.2. 🔩 メタルコア(白金加金)の役割
- 3.1.3. 🧾 現在のステップ
- 3.1.4. ⚠️ 注意点
- 3.2. メタルボンドクラウンを装着
- 3.2.1. 🦷 症例の概要
- 3.2.2. 💎 メタルボンドクラウンの特徴
- 3.2.3. 👁🗨 観察ポイント
- 3.2.4. ✅ 総評
- 4. 長持ちさせるためのケア方法🪥
- 5. よくある質問(FAQ)💬
- 6. まとめ|見た目・耐久性・費用をバランスよく選ぼう🪄
- 7. 🏥江戸川区篠崎でどのかぶせものを選べばいいのかわからない方へ
- 8. 【動画】ステイン着色汚れをクリーニングするエアフロー
- 9. 筆者・院長

✅虫歯や歯の破折で大きく削った歯には、「かぶせもの(クラウン)」で形や噛む力を回復させる治療が行われます🦷
一口に“かぶせもの”といっても、保険が使えるものから自費の高品質素材まで種類はさまざま。
見た目・費用・耐久性など、それぞれに特徴とメリット・デメリットがあります。
この記事では、歯科医の立場から代表的なかぶせものの種類・費用・選び方のポイントをわかりやすく解説します✨
🦷歯のかぶせもの(クラウン)の種類と選び方|保険・自費の違いを徹底解説
歯の被せ物とは?🤔
虫歯や歯の破折で大きく削った歯は、そのままではもろくなり、再び虫歯になったり、欠けたりすることがあります。
そこで使われるのが「かぶせもの(クラウン)」です。
歯の形や噛み合わせを回復し、見た目や機能を整える大切な治療のひとつです✨
「詰めもの(インレー)」は部分的に覆うのに対し、「かぶせもの」は歯全体をカバーする点が異なります。
主なかぶせものの種類一覧🪥

保険適用のかぶせもの
✅ 銀歯(金銀パラジウム合金)
銀歯は耐久性に優れ、保険が使えるため費用が安いのが特徴です。
ただし、金属アレルギーや見た目の問題があることも。
✅ 硬質レジン前装冠
硬質レジン前装冠は前歯部分に使われることが多く、表面を白いプラスチックで覆います。
時間が経つと変色する点には注意⚠️
✅ CAD/CAM冠
CAD/CAM冠は、保険で使える白いプラスチック素材。金属を使わないためアレルギーの心配が少なく、近年人気が高まっています🌿
自費診療のかぶせもの
💎 セラミッククラウン
セラミッククラウン(オールセラミック)は、自然な透明感があり、前歯に最適。変色せず、美しさが長持ちします。
デメリットは費用がやや高い点。
💪 ジルコニアクラウン
ジルコニアクラウンは非常に丈夫で、奥歯にも向いています。金属を使わず、見た目も自然。
🌸 メタルボンドクラウン
メタルボンドクラウンは、内側に金属、外側にセラミックを焼き付けたタイプ。強度と審美性のバランスが良い人気素材です。
✨ ゴールドクラウン
適合精度が高く、歯にやさしい素材。金属色はありますが、長持ちするのが特徴です。
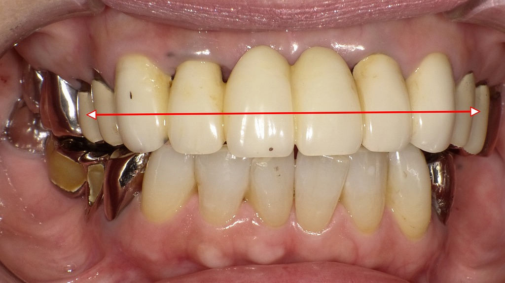
保険適用の被せ物の症例:正面観
この画像は、前歯部を中心とした口腔内写真です。赤い矢印は、上顎の左右第二小臼歯(5番)間を示しています。

🦷 解説
- 補綴物の種類
赤線で示された上顎前歯から小臼歯(右上5番〜左上5番)まで、すべてが保険適用の硬質レジン前装冠です。
これは金属のフレームに硬質レジンを前面に貼り付けた被せ物で、見た目は白く、保険内で審美性をある程度確保できます。
ただし経年的に変色しやすく、透明感や光沢はセラミック冠に劣ります。 - 右側上下の金属冠
画像左側(患者右側)の上下臼歯には、**保険の金属冠(銀歯)**が装着されています。
これは保険診療で一般的に使用される金銀パラジウム合金によるクラウンで、強度は高いものの、審美性には劣ります。
保険適用の被せ物の症例:咬合面観
この画像は、同一症例の上顎咬合面観(下から見た口腔内写真)です。赤い矢印は、左右の上顎第二小臼歯(5番)間を示しています。

🦷 補綴状態の説明
- 第二小臼歯間(前方部)
すべて保険適用の硬質レジン前装冠が装着されています。
外側(唇側)には白いレジンが貼られていますが、内側(口蓋側)は金属フレームで構成されており、画像でも金属が露出しているのが確認できます。
これは硬質レジン前装冠の構造的特徴で、強度確保のために裏打ち金属を残す設計です。 - 左右の第一大臼歯・第二大臼歯(6番・7番)
いずれも**保険の金属冠(銀歯)**が装着されています。
咬合面全体が金属で覆われ、耐久性と強度を重視した補綴です。審美性よりも機能性を優先した設計といえます。
硬質レジン前装冠の欠点|前装部が欠けやすい

硬質レジン前装冠は、金属フレームの表面にレジン(プラスチック)を貼り付けた被せ物です。赤矢印部のように、金属とレジンの境目は応力が集中しやすく、噛み合わせや経年的劣化によりレジンが欠け(チッピング)やすいという欠点があります。特に前歯では見た目への影響が大きく、欠けると金属が露出して審美性が低下します。
保険と自費の違いを比較📊

| 項目 | 保険のかぶせもの | 自費のかぶせもの |
|---|---|---|
| 見た目 | 白くない場合が多い | 自然で透明感あり✨ |
| 耐久性 | 5〜7年程度 | 10年以上長持ちも◎ |
| アレルギー | 金属使用あり | 金属不使用タイプあり |
| 費用 | 数千円〜1万円程度 | 7〜15万円程度 |
見た目を重視する方・長期的に使いたい方は自費治療の方が満足度が高い傾向があります😊
素材別のおすすめポイント🌟
- 🦷 セラミック:前歯におすすめ。美しく透明感があり、変色しにくい。
- 💪 ジルコニア:強度が高く、噛む力が強い方や奥歯向き。
- 🌿 CAD/CAM冠:保険で白い歯にしたい方に人気。
- ✨ メタルボンド:審美と耐久性を両立。
- 💛 ゴールド:歯との適合が良く、再治療リスクが少ない。
自分に合ったかぶせものを選ぶポイント💡
- 見た目重視なら → セラミック・ジルコニア
- 強度を重視するなら → ジルコニア・ゴールド
- 費用を抑えたいなら → CAD/CAM冠・銀歯
- 金属アレルギーがあるなら → セラミック・ジルコニア
歯の位置(前歯・奥歯)や噛み合わせ、体質によっても適した素材は変わります。
歯科医と相談して、自分に最適な選択をしましょう😊
治療の流れ⏱

1️⃣ 歯の土台(コア)を作る
2️⃣ 型取りまたはスキャン
3️⃣ 仮歯の装着
4️⃣ 技工所で製作(1〜2週間)
5️⃣ 完成したかぶせものを装着
前歯の土台形成から仮歯装着までの治療プロセス


根管治療後の前歯にファイバーコアやメタルコアを築造し、クラウン装着のための形態に整えた段階です。歯ぐきの炎症状態や支台の形を確認しながら、次のステップである「精密な型取り(印象採得)」に進む準備をしています。
赤矢印の部分に仮歯を装着し、見た目・噛み合わせ・発音のバランスを確認している段階です。仮歯は最終的なクラウンを製作する前に、歯ぐきの治癒状態や歯列の調和を整える重要なステップとして使用されます。
治療期間は2〜3回の通院で完了することが多いですが、歯の状態によって変わります。
治療症例
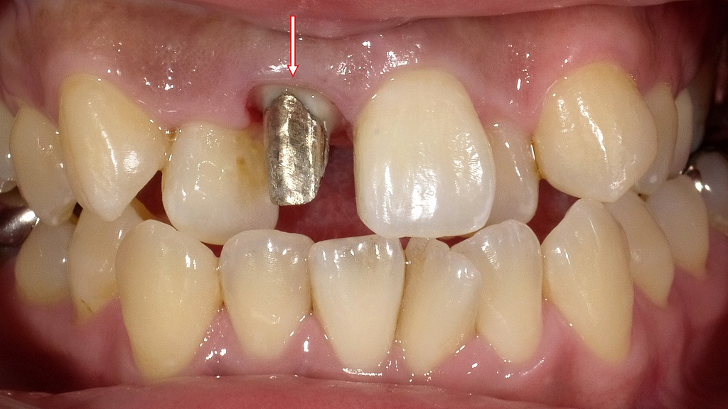
メタルコア(白金加金製)を装着
この写真は、根管治療後にメタルコア(白金加金製)を装着した状態を示しています。以下に詳しく解説します。

🦷 状況の概要
中央の前歯(上顎中切歯)の天然歯冠はすでに失われており、根管治療(神経を除去した治療)が完了しています。そこに**金属の土台(メタルコア)**が装着され、今後クラウン(被せ物)を作るための準備段階にあります。
🔩 メタルコア(白金加金)の役割
- 根管内に挿入された支台として、クラウンを安定させるための基礎となります。
- 使用されているのは**白金加金(プラチナ+ゴールドの合金)**で、強度・適合精度・耐食性に優れています。
- 一般的な銀合金コアに比べて金属イオンの溶出がなく変形が少なく、接着精度が高いのが特徴です。
🧾 現在のステップ
赤い矢印の部分に見られるように、金属コアが露出しています。
これは最終的な被せ物(クラウン)を装着する前の段階で、**「プレパレーション後の印象採得(型取り)」**の準備状態です。
次の手順としては:
- 支台歯形成(プレパレーション)で形を整える
- 印象材で歯型を採取
- 技工所でクラウンを製作
- 仮合わせ後、本装着
という流れになります。
⚠️ 注意点
- メタルコアは強度が高い一方、歯根破折のリスクがやや高いため、近年ではファイバーコアを選択するケースも増えています。
- 特に審美領域(前歯部)では、金属の色が歯肉に透ける場合があるため、セラミッククラウンを装着する際は色調管理が重要です。
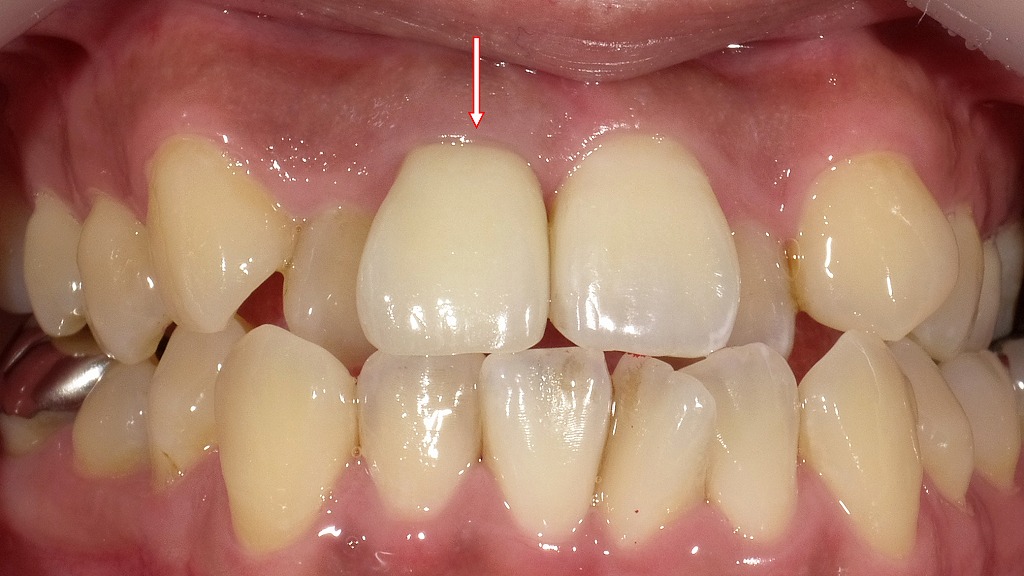
メタルボンドクラウンを装着
この画像は、前回提示された症例(根管治療後に白金加金メタルコアを装着した上顎中切歯)に最終補綴物であるメタルボンドクラウン(金属焼付けポーセレン冠)を装着した状態を示しています。

🦷 症例の概要
中央の上顎前歯(右上中切歯)は、以前に根管治療後のメタルコア(土台)がセットされていた歯です。
この画像では、その上にメタルボンドクラウンが装着された完成状態が確認できます。
💎 メタルボンドクラウンの特徴
- 内側に金属(白金加金など)、**外側に陶材(ポーセレン)**を焼き付けた二重構造のクラウン。
- 内面の金属が高い強度と適合性を確保し、外層のポーセレンが自然な透明感と色調を再現しています。
- 審美性と耐久性を両立したクラウンで、特に前歯部の補綴によく用いられます。
👁🗨 観察ポイント
- 色調・形態ともに自然で、隣接歯との調和が良好です。
- 歯肉縁(矢印部)も健康的で、炎症や黒ずみは認められません。
- メタルボンド特有の金属フレームの透過やマージンの黒ずみも目立たず、審美的に優れた仕上がりです。
- 咬合関係も安定しており、機能的にも問題ない状態が確認できます。
✅ 総評
この写真は、根管治療後の前歯にメタルボンドクラウンを装着した最終補綴状態を示しており、審美性・適合性・機能性ともに良好な結果が得られている症例といえます。
長持ちさせるためのケア方法🪥
- 毎日の歯磨きを丁寧に(歯と歯ぐきの境目を意識)
- フロスや歯間ブラシを併用✨
- 定期検診で汚れや噛み合わせをチェック
- 歯ぎしり・食いしばりのある方はナイトガードの使用もおすすめ😴
よくある質問(FAQ)💬
Q:セラミックは割れやすい?
A:最新のジルコニア素材は非常に強く、割れにくくなっています。
Q:CAD/CAM冠は前歯にも使える?
A:条件を満たせば保険適用可能です。ただし色調はセラミックほど自然ではありません。
Q:金属アレルギーが心配…
A:ジルコニアやオールセラミックを選ぶと安心です🌿
まとめ|見た目・耐久性・費用をバランスよく選ぼう🪄
歯のかぶせものは、見た目・噛み心地・健康寿命に大きく関わる大切な治療です。
「安いから」「白いから」だけで選ばず、自分のライフスタイルや歯の状態に合わせて選ぶことがポイントです。
🏥江戸川区篠崎でどのかぶせものを選べばいいのかわからない方へ

江戸川区篠崎の当歯科クリニックでは、
保険のかぶせものからセラミック・ジルコニアなどの審美素材まで、
見た目・耐久性・費用のバランスを考えた最適な治療プランをご提案しています🦷✨
「白く自然な歯にしたい」「長く使える素材を選びたい」など、
一人ひとりのご希望に合わせたご相談が可能です。
まずはお気軽にご相談ください😊
【動画】ステイン着色汚れをクリーニングするエアフロー
筆者・院長

深沢 一
Hajime FUKASAWA
- 登山
- ヨガ
メッセージ
日々進化する歯科医療に対応するため、毎月必ず各種セミナーへの受講を心がけております。
私達は、日々刻々と進歩する医学を、より良い形で患者様に御提供したいと考え、「各種 歯科学会」に所属すると共に、定期的に「院内勉強会」を行う等、常に現状に甘んずる事のないよう精進致しております。 又、医療で一番大切な事は、”心のある診療”と考え、スタッフと共に「患者様の立場に立った診療」を、心がけております。


