- 1. 【📹 46秒】ホワイトニング歯磨き粉の選び方と効果的な使い方
- 2. ✨ 1. ホワイトニング歯磨き粉とは?本当に効果があるのか? ✨
- 2.1. 💡 ホワイトニング歯磨き粉の基本的な仕組み
- 2.2. 💡 ホワイトニング歯磨き粉の限界
- 2.3. セルフホワイトニングの限界
- 2.4. 歯科のホワイトニング
- 2.4.1. ✨【症例】歯科ホワイトニングによる自然で明るい白さの回復
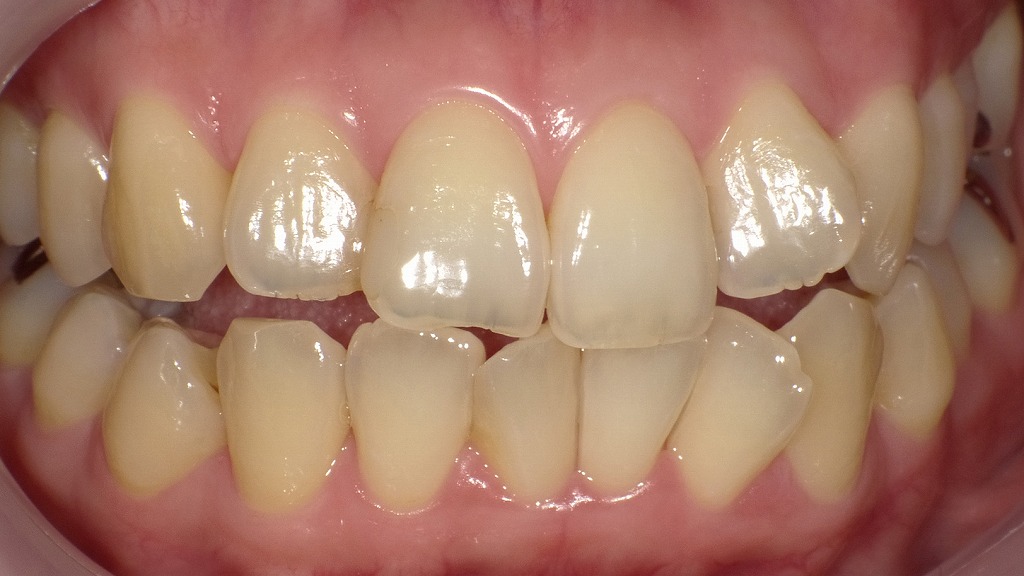
- 2.4.1.1. 📸 1枚目:ホワイトニング前
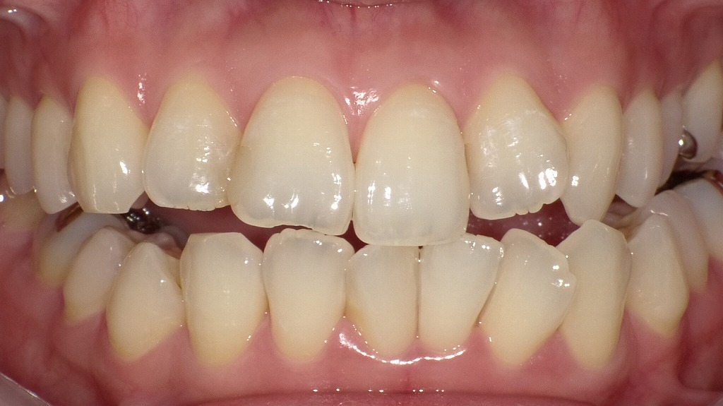
- 2.4.1.2. 📸 2枚目:ホワイトニング後
- 3. 2. ホワイトニング歯磨き粉の効果を左右する成分とは?
- 3.1. 短鎖(分割)ポリリン酸
- 3.2. 「ポリリン酸」の表示に注意
- 3.3. 微粒子
- 3.4. ホワイトニング歯磨き粉の歯磨き回数
- 4. 🎯 3. ホワイトニング歯磨き粉の選び方(失敗しないポイント) 🦷✨
- 4.1. 🧪 ① 成分で選ぶ 💊
- 4.1.1. ⚠ 研磨剤の有無(歯を傷つけないか?)
- 4.1.2. 🏆 ポリリン酸・ピロリン酸・ハイドロキシアパタイトの効果
- 4.1.3. 🦷 フッ素配合の重要性(虫歯予防もしたい人向け)
- 4.2. 🎯 ② 用途で選ぶ 🏷
- 4.3. 🏪 ③ 市販・通販・歯科専売の違い
- 4.3.1. 🏬 ドラッグストア(市販品)
- 4.3.2. 📦 通販(Amazon・楽天・LOHACOなど)
- 4.3.3. 🏥 歯科専売(歯科医院で購入)
- 4.4. 🧐 ④ 口コミ評価のチェック方法(ステマを見抜くポイント)
- 5. 4. 市販で買えるホワイトニング歯磨き粉おすすめTOP4!歯科医が選ぶ本当に白くなる商品とは?
- 5.1. 選択のポイント
- 5.2. シュミテクト トゥルーホワイト
- 5.3. 薬用ポリリンジェルEX
- 5.4. ルシェロ歯みがきペーストホワイト
- 5.5. アパガードリナメル
- 6. ✨ 5. ホワイトニング歯磨き粉の効果的な使い方(間違えると効果半減!) ✨
- 6.1. 🪥 ① 正しい歯磨き方法(ブラッシングのポイント)
- 6.2. ⏰ ② 使用頻度・タイミング(いつ磨くのがベスト?)
- 6.3. 🛠 ③ 併用すべきアイテム(電動歯ブラシ・デンタルフロス・マウスウォッシュ)
- 6.4. ☕ ④ 食事や飲み物の影響(着色を防ぐ方法)
- 6.5. 🛑 着色しやすい食べ物・飲み物(ステインの原因)
- 6.6. 🟢 着色を防ぐ方法
- 7. ✨ 6. ホワイトニング歯磨き粉のメリット・デメリット ✨
- 7.1. ✅ メリット(ホワイトニング歯磨き粉の良いところ)
- 7.1.1. 🦷 ① 手軽にホワイトニングできる
- 7.1.2. 💰 ② 費用が安い(コスパが良い!)
- 7.1.3. 🦷 ③ 虫歯・口臭予防効果も期待できる
- 7.2. ❌ デメリット(注意点)
- 7.2.1. ⏳ ① 効果が出るまで時間がかかる
- 7.2.2. ⚠ ② 強すぎる研磨剤は歯を傷つける
- 7.2.3. 👥 ③ 個人差がある(すぐ白くならない人も)
- 8. 🦷 7. ホワイトニング歯磨き粉のよくある質問(Q&A) ✨
- 8.1. ❓ Q1. どのくらいで効果が出る?
- 8.2. ❓ Q2. 知覚過敏の人でも使える?
- 8.3. ❓ Q3. 歯科医院でのホワイトニングと併用できる?
- 8.4. ❓ Q4. 子供でも使えるのか?
- 8.5. ❓ Q5. 研磨剤なしのホワイトニング歯磨き粉は効果があるのか?
- 9. 🎯 8. 【まとめ】ホワイトニング歯磨き粉で理想の白い歯を手に入れよう! 🦷✨
- 9.1. ✅ ホワイトニング歯磨き粉は正しく使えば効果が期待できる!
- 9.2. ✅ 自分の目的に合った歯磨き粉を選ぶことが重要!
- 9.3. ✅ 歯科医院でのケアや生活習慣も意識しながら白い歯をキープ!
- 10. 江戸川区篠崎で白い歯へ!ホワイトニング歯磨き粉で自宅ケアをサポート
- 11. 【動画】ホームホワイトニングの効果的なやり方
- 12. 筆者・院長

🦷✨ホワイトニング歯磨き粉って本当に白くなるの?その疑問、すべて解決します!✨🪥
「歯を白くしたいけど、歯医者に通うのはちょっとハードルが高い…」「市販のホワイトニング歯磨き粉で本当に効果があるの?」そんな声にお応えして、本記事ではホワイトニング歯磨き粉の仕組み・選び方・使い方・おすすめ商品まで徹底解説します!
✅ 研磨剤・ポリリン酸・ハイドロキシアパタイトなど、白さを引き出す成分とは?
✅ 本当に白くなる歯磨き粉の見極め方とは?
✅ 効果を最大限に引き出す正しい使い方とは?
✅ 市販・通販・歯科専売の違いとおすすめ商品は?
白い歯を目指すなら、ただ選ぶだけではなく「正しく使う」ことがカギです。
この記事を読めば、失敗しないホワイトニング歯磨き粉選びのポイントがすべてわかります!
ぜひ最後までご覧ください🪄✨
【📹 46秒】ホワイトニング歯磨き粉の選び方と効果的な使い方
✨ 1. ホワイトニング歯磨き粉とは?本当に効果があるのか? ✨
💡 ホワイトニング歯磨き粉の基本的な仕組み
ホワイトニング歯磨き粉は、歯の表面の汚れ(ステイン)を落とし、本来の白さを引き出すことを目的とした歯磨き粉です。一般的な歯磨き粉に比べ、研磨剤・漂白成分・コーティング成分などが配合されていることが特徴です。

🆚 一般の歯磨き粉との違い
| 🦷 項目 | ✨ ホワイトニング歯磨き粉 | 🪥 一般の歯磨き粉 |
|---|---|---|
| 目的 | 歯を白くする・着色汚れを防ぐ | 虫歯や歯周病予防 |
| 成分 | 研磨剤・ポリリン酸・ハイドロキシアパタイトなど | フッ素・殺菌成分 |
| 効果 | ステイン除去・歯のコーティング | プラーク除去・口臭予防 |
| 価格帯 | やや高め(500〜3,000円) | 一般的(100〜1,000円) |
🔬 歯が白くなるメカニズム(着色汚れの除去・コーティング効果)
ホワイトニング歯磨き粉が歯を白くする仕組みは、大きく3つのタイプに分かれます。
✔ ① 研磨剤で汚れを物理的に落とす
→ シリカ・ヒドロキシアパタイトなどの微粒子がステインをこすり取る
✔ ② 化学成分で汚れを浮かせて分解する
→ ポリリン酸・ピロリン酸・過酸化水素が着色成分を分解
✔ ③ コーティング成分で汚れの付着を防ぐ
→ ハイドロキシアパタイト・フッ素がエナメル質を保護し、着色しにくい歯へ
⚕ 医薬部外品と化粧品の違い 🏷
ホワイトニング歯磨き粉には「医薬部外品」と「化粧品」の2種類があります。
🩺 医薬部外品(効果を期待できる)
✅ 有効成分が認められている(ポリリン酸・フッ素など)
✅ ホワイトニング効果をうたえる
💄 化粧品(主に汚れを落とす目的)
✅ 効果の表現に制限がある(歯を白くするとは言えない)
✅ 主に歯の清掃を目的とする
💡 結論:ホワイトニング歯磨き粉を選ぶなら「医薬部外品」がオススメ!
💡 ホワイトニング歯磨き粉の限界
歯の黄ばみの本質
歯の黄ばみの原因は歯の表面のステイン(沈着汚れ)とエナメル質内部の色素沈着です。
エナメル質表面のステイン(着色汚れ)
歯の表面に付着したステイン(着色汚れ)は機械的、化学的方法で除去することが可能です。具体的にはホワイトニング歯磨き粉を歯ブラシに付けてブラッシングすることで除去出来ます。
しかし、ホワイトニング歯磨き粉は歯の内部を漂白して歯の本体自体をホワイトニングするものではありません。
あくまでも、エナメル質表面に付着したステイン(着色汚れ)を浮き上がらせで除去し、ステインの再付着を起こりにくくするものです。
従って、ホワイトニング歯磨き粉をしっかり使っても歯の本来の色は変わらないので、”歯が白くならない”と不満に感じる人は多くいると思います。
セルフホワイトニングの限界
ホワイトニング歯磨き粉と同じような商品(サービス)にセルフホワイトニングというものがあります。これは、ホワイトニングサロン、美容院、ネイルサロンなどで自分自身で行うものですが、これも歯の表面のステインを除去するだけのものを”歯のホワイトニング”と称して集客しているものになります。
従って、歯医者で行うホワイトニングの様に”歯の内部を白くするもの”とは本質的に異なるものだという認識が必要です。
歯科のホワイトニング
エナメル質内部の色素を漂白
エナメル質内部に沈着した色素はホワイトニング歯磨き粉では除去出来ません。
歯医者で行うホームホワイトニングやオフィスホワイトニングなどで漂白することで白くすることが出来ます。
歯医者で行うホワイトニングのメカニズムは、薬剤の有効成分である過酸化水素や過酸化尿素が歯の内部に浸透してエナメル質の色素沈着を漂白します。
✨【症例】歯科ホワイトニングによる自然で明るい白さの回復


📸 1枚目:ホワイトニング前
1枚目では、歯全体に黄ばみがあり、特に前歯の透明感がやや少なく、色ムラが見られる状態です。
日常生活での飲食(コーヒー・紅茶・お茶・ワインなど)や年齢による変化で着色が蓄積した典型的なトーンです。
歯の表面は健康ですが、白さの印象が弱く、笑ったときの明るさがやや控えめになっています。
📸 2枚目:ホワイトニング後
2枚目では、歯の明度が大きく上がり、全体的に白くクリアな印象になっています。
特に前歯の黄ばみが改善され、歯面の透明感が増して、光の反射がより均一になっています。
自然な白さを保ちながら、明るさがアップし、笑顔の印象がとても爽やかになっています。
2. ホワイトニング歯磨き粉の効果を左右する成分とは?
ホワイトニング歯磨き粉に配合されるステイン除去効果の高い代表的成分には、ポリリン酸と微粒子があります。
以前からタバコのヤニを除去する目的で、研磨剤が配合された歯磨き粉が販売されていますが、“歯がすり減る”という理由で近年、使用される事は少なくなってきています。
人気のホワイトニング歯磨き粉には研磨剤の代わりに短鎖ポリリン酸や微粒子が配合されるようになっています。
短鎖(分割)ポリリン酸
短鎖(分割)ポリリン酸のステイン除去作用
ポリリン酸は、歯のカルシュウムとキレート結合することによりステインを浮き上がらせ除去するものです。
そして、歯の表面をコーティングし、歯石や歯垢などを付きにくくします。
「ポリリン酸」の表示に注意
ok
短鎖(分割)ポリリン酸
ポリリン酸なら何でも良いという分けではありません。短鎖(分割)ポリリン酸(約7~12個のリン酸が結合した分子)には、歯の表面に付着した汚れ(ステイン)を効率的に除去する働きがあります。
ダメ
ポリリン酸ナトリウム、三リン酸5Na
市販品には、分割されていないポリリン酸ナトリウムや三リン酸5Naなどが入っている歯磨き粉が比較的安価で販売されていますが、ステイン除去効果は疑わしいと思われます。
微粒子
微粒子のステイン除去作用
ステイン除去効果の高い微粒子の代表的なものとして炭酸カルシウム(Lime粒子)やナノ粒子薬用ハイドロキシアパタイトなどがあります。
これらの微粒子を歯磨き粉に配合することでステイン除去を容易に行うと同時に、ステインの再付着を防止する効果も期待出来ます。
ホワイトニング歯磨き粉の歯磨き回数
歯の表面に付着しているステインは、歯磨きの回数に比例して除去されていきます。従って、1日に10回行えば、その分早くステインによる歯の黄ばみが取れていきます。ただし、毛先の開いた使い古しの歯ブラシで1日10回も歯磨きをすると歯茎を痛める危険性があるので注意して下さい。
ホワイトニング歯磨き粉を使い始めた当初の頻度は多めで構いません。ステイン除去か終わったら、1日1回に回数を減らしても白さはの維持は出来るはずです。
🎯 3. ホワイトニング歯磨き粉の選び方(失敗しないポイント) 🦷✨
ホワイトニング歯磨き粉を選ぶ際に重要なのは、成分・用途・購入方法・口コミ評価の4つのポイントです。それぞれ詳しく解説していきます!
🧪 ① 成分で選ぶ 💊
ホワイトニング歯磨き粉の効果を左右するのは配合成分です。以下のポイントをチェックしましょう!
⚠ 研磨剤の有無(歯を傷つけないか?)
✅ 研磨剤あり(物理的にステインを削る)
🔹 シリカ・アルミナなどが含まれ、着色汚れを除去しやすいが、強すぎると歯を傷めることも。
🔹 使う際は「低研磨タイプ」を選ぶのが◎
✅ 研磨剤なし(歯にやさしいが即効性は低め)
🔹 化学成分で汚れを浮かせるタイプ(ポリリン酸・ピロリン酸)
🏆 ポリリン酸・ピロリン酸・ハイドロキシアパタイトの効果
💎 ポリリン酸
✔ 汚れを浮かせて歯の表面から剥がす
✔ コーティング作用で新たな着色を防ぐ
💎 ピロリン酸
✔ 黄ばみの原因「カルシウム」との結びつきを防ぐ
✔ 研磨剤を使わずに汚れを落とすのが特徴
💎 ハイドロキシアパタイト
✔ 歯の表面の微細な傷を修復する
✔ コーティング作用でツルツルの白い歯へ
🦷 フッ素配合の重要性(虫歯予防もしたい人向け)
ホワイトニング効果だけでなく、虫歯予防も考えるなら「フッ素配合」を選ぶのが◎
✅ フッ素の働き
✔ 歯の再石灰化を促進し、エナメル質を強化
✔ むし歯菌の酸産生を抑える
📝 チェックポイント:「フッ素〇〇ppm」と明記されているか?(1000ppm以上が推奨)
🎯 ② 用途で選ぶ 🏷
ホワイトニング歯磨き粉には、さまざまな特化タイプがあります。自分に合ったものを選びましょう!
🔹 虫歯予防+ホワイトニング 💡
→ **フッ素+ホワイトニング成分(ポリリン酸・ピロリン酸)**が配合されているものを選ぶ
🔹 知覚過敏対応 ❄
→ 硝酸カリウム・乳酸アルミニウム配合でしみるのを防ぐホワイトニング歯磨き粉が◎
🔹 口臭予防効果 🗣
→ **炭・茶カテキン・IPMP(イソプロピルメチルフェノール)**などの抗菌・消臭成分入りがオススメ
🏪 ③ 市販・通販・歯科専売の違い
🏬 ドラッグストア(市販品)
✔ 手軽に買える&種類が豊富
✔ 比較的安価(500円~2000円)
❌ 効果はマイルドなものが多い
📦 通販(Amazon・楽天・LOHACOなど)
✔ 市販では手に入らない商品も購入可能
✔ 口コミで選びやすい
❌ 偽物・誇大広告には要注意!
🏥 歯科専売(歯科医院で購入)
✔ 歯科医師が推奨する高品質な商品が多い
✔ **専門成分(高濃度フッ素・ナノ粒子ハイドロキシアパタイトなど)**配合
❌ 価格が高め(2,000円~5,000円)
🧐 ④ 口コミ評価のチェック方法(ステマを見抜くポイント)
📌 ステマに騙されないためのポイント
✔ 販売サイトの「星5つレビュー」ばかりを信用しない!
→ 不自然に絶賛されているレビューは要注意
✔ 「使用期間」が書かれているか?
→ **1回の使用で白くなった!**などのコメントは疑うべき
✔ 比較サイトの運営元を確認!
→ 公式サイトや広告目的の記事でないかチェック
4. 市販で買えるホワイトニング歯磨き粉おすすめTOP4!歯科医が選ぶ本当に白くなる商品とは?
各製品の比較臨床試験を行ったわけではないので絶対的評価ではありません。個人差もありますから、あくまでもホワイトニング歯磨き粉選択の一助としてください。
選択のポイント
- 歯の表面に付いている汚れ(ステイン)を安価で除去したいのか?
- ホワイトニング実施中あるいは術後に歯の白さをできるだけ維持したいのか?
- ホワイトニング中の知覚過敏を防止したいのか?
- 虫歯予防も同時に行いたいのか?
シュミテクト トゥルーホワイト

ポリリン酸配合
ポリリン酸ナトリウム配合処方。プラーク(歯垢)やステイン等の汚れを、化学的作用で柔らかくして浮かせ、ブラッシングによって取り除きやすくします。
分割されていないポリリン酸(ポリリン酸ナトリウム)配合なのでステイン除去効果は疑問?
姉妹品のホワイトニングEXは、清掃剤の微粒子アルミナ(酸化Al)と改良ツインシリカ(含水ケイ酸)が含まれているのでトゥルーホワイトよりもステイン除去効果は高いと言えます。
主要薬効成分
- ポリリン酸ナトリウム<STP>…ステイン除去効果
- 硝酸カリウム…知覚過敏抑制効果
- 1,450ppmフッ化ナトリウム<フッ素>…歯の再石灰化(虫歯予防)及び知覚過敏抑制
お薦めポイント
ホームホワイトニング中の知覚過敏防止に効果的です。ただし、ステイン除去効果は余り期待出来ません。安価なのが魅力です。
価格
80g…900円 (税込)~ 比較的安価で購入可能です。
Amazonで購入
楽天で購入
ステイン除去
知覚過敏
虫歯予防
価格
薬用ポリリンジェルEX

短鎖(分割)ポリリン酸配合
短鎖ポリリン酸により 歯の表面をコーティングし、歯石や歯垢などが付きにくくなります。
また、ステイン除去及び沈着防止作用があり、歯を白くしてくれます。(※エナメル質内部は白くしない。)
主要薬効成分
- 短鎖(分割)ポリリン酸 10(分子の数)
お薦めポイント
最もステイン除去効果が高いので歯を白くしてくれて、白さのキープ力もピカイチです。高価なのが欠点です。
価格
薬用ポリリンジェルEX-10プラス(80g)…1個
7,656円 (税込)
ステイン除去
知覚過敏
虫歯予防
価格
ルシェロ歯みがきペーストホワイト

Lime粒子配合
―4つの力で歯を白く(エナメル質の色素は除去出来ない)―
- 弱アルカリ性で汚れをうかす。「ルシェロ歯みがきペースト ホワイト」は、弱アルカリ性。歯の表面に付着したステインを落としやすくします。
- 清掃剤の炭酸カルシウム(Lime粒子)歯質より軟らかくキメ細やかなLime粒子(清掃剤)を配合。高濃度に配合したLime粒子とブラッシングで落としにくいステインを除去します。
- PEG400で「やに」を落とす。薬用成分「ポリエチレングリコール(PEG)400」が、タバコの「やに」を溶解除去します。
- フッ素が再石灰化(虫歯予防)を促進。薬用成分「モノフルオロリン酸ナトリウム(フッ素)」950ppmが歯質の再石灰化を促進し、むし歯の発生と進行を予防します。
主要薬効成分
- 炭酸カルシウム(Lime粒子)
- ポリエチレングリコール(PEG)400
- フッ素
お薦めポイント
ステイン除去効果、知覚過敏防止効果、虫歯予防効果、価格などが概ねバランスが取れています。
価格
100g ¥1,457円~
Amazonで購入
楽天で購入
ステイン除去
知覚過敏
虫歯予防
価格
アパガードリナメル
ナノ粒子薬用ハイドロキシアパタイト配合
ポリリン酸ナトリウム配合処方。プラーク(歯垢)やステイン等の汚れを、化学的作用で柔らかくして浮かせ、ブラッシングによって取り除きやすくします。
分割されていないポリリン酸(ポリリン酸ナトリウム)配合なのでステイン除去効果は疑問?
姉妹品のホワイトニングEXは、清掃剤の微粒子アルミナ(酸化Al)と改良ツインシリカ(含水ケイ酸)が含まれているのでトゥルーホワイトよりもステイン除去効果は高いと言えます。
主要薬効成分
- ナノ粒子薬用ハイドロキシアパタイト
- ポリリン酸(ポリリン酸ナトリウム)
お薦めポイント
知覚過敏防止効果は殆どありませんが、他は概ねバランスが取れています。しかし、若干割高感も。
価格
120g 2,300円~
Amazonで購入
楽天で購入
ステイン除去
知覚過敏
虫歯予防
価格
✨ 5. ホワイトニング歯磨き粉の効果的な使い方(間違えると効果半減!) ✨
ホワイトニング歯磨き粉を正しく使わないと、本来の効果が発揮されません!
以下のポイントを押さえて、最大限のホワイトニング効果を引き出しましょう。

🪥 ① 正しい歯磨き方法(ブラッシングのポイント)
🛑 NGな磨き方
❌ ゴシゴシ強く磨く → 歯の表面(エナメル質)を傷つける原因に!
❌ 短時間で済ませる → ホワイトニング成分が十分に働かない!
✅ 正しい磨き方のポイント
✔ 歯ブラシを軽く持ち、優しく細かく磨く(1本ずつ丁寧に)
✔ 45度の角度で歯と歯ぐきの境目を磨く
✔ 最低2分以上、できれば3分間磨く
💡 おすすめのブラッシング方法
🟢 「スクラビング法」(歯ブラシを小刻みに動かして磨く)
🟢 「バス法」(歯と歯ぐきの境目にブラシを斜めに当てる)
⏰ ② 使用頻度・タイミング(いつ磨くのがベスト?)
📌 ホワイトニング歯磨き粉の推奨使用回数
✅ 1日2回(朝・夜) が基本
✅ 着色汚れが気になる場合は1日3回までOK!
📌 ベストなタイミング
⏰ 夜寝る前にしっかり磨く!
→ 就寝中は唾液の分泌が減り、着色汚れが蓄積しやすい時間帯。
⏰ 着色しやすい食べ物・飲み物を摂取した後すぐに!
→ ステインの定着を防ぐため、カフェや食事の後に磨くと効果的。
⚠ 注意!食後すぐの歯磨きはNGな場合も
🍋 酸性の食べ物(レモン・柑橘類・炭酸飲料など)を摂取した後は30分待ってから磨く!
→ 歯のエナメル質が弱くなっているため、すぐに磨くとダメージを受ける可能性あり。
🛠 ③ 併用すべきアイテム(電動歯ブラシ・デンタルフロス・マウスウォッシュ)

🔹 電動歯ブラシ
✨ おすすめ理由 → 均一に細かい振動で磨けるので、ホワイトニング成分が行き渡りやすい!
🔹 おすすめ機種:「ソニッケアー」「ブラウン オーラルB」

「▶ Amazonで見る」
「▶ 楽天で見る」
🔹 デンタルフロス(歯間清掃)
✨ おすすめ理由 → 歯と歯の間の汚れ(プラーク)をしっかり落とすことで、着色予防に◎
🔹 おすすめブランド:「クリニカアドバンテージ」「REACH」
🔹 マウスウォッシュ
✨ おすすめ理由 → 口臭予防+ホワイトニング成分を歯に長くとどめる効果
🔹 おすすめ成分:「ポリリン酸」「フッ素」配合のものを選ぶ
☕ ④ 食事や飲み物の影響(着色を防ぐ方法)
ホワイトニング歯磨き粉を使っても、日常の食事で歯が着色してしまうことがあります。
以下のポイントを意識すると、より効果的に白い歯をキープできます!
🛑 着色しやすい食べ物・飲み物(ステインの原因)

❌ コーヒー・紅茶・ウーロン茶(タンニン・ポリフェノールが着色を引き起こす)
❌ 赤ワイン・カレー・チョコレート(強い色素が歯に沈着)
❌ タバコ(ヤニが歯の黄ばみの原因)
🟢 着色を防ぐ方法
✅ ストローを使う → 飲み物が歯に直接触れにくくなる
✅ 食後に水で口をすすぐ → ステインの付着を防ぐ
✅ リンゴ・セロリ・チーズを食べる → 歯の汚れを自然に落とす効果あり
✨ 6. ホワイトニング歯磨き粉のメリット・デメリット ✨
ホワイトニング歯磨き粉は手軽に白い歯を目指せる便利なアイテムですが、メリットとデメリットを理解した上で、正しく活用することが大切です!
✅ メリット(ホワイトニング歯磨き粉の良いところ)
🦷 ① 手軽にホワイトニングできる
✔ 毎日の歯磨きでホワイトニングができる!
✔ 特別な機器や歯科治療が不要で、自宅で簡単に白い歯を目指せる
💰 ② 費用が安い(コスパが良い!)
✔ 1本500円~2,500円程度で購入可能
✔ 歯科ホワイトニング(数万円)に比べると格段に安い
✔ 継続的に使うことで、歯科ホワイトニングの効果を維持することも可能
🦷 ③ 虫歯・口臭予防効果も期待できる
✔ フッ素配合のものを選べば、虫歯予防もできる
✔ ポリリン酸・炭・茶カテキン配合のものなら口臭予防効果も◎
💡 ポイント
「ホワイトニング+虫歯予防+口臭ケア」を兼ねた歯磨き粉を選べば、トータルで口腔ケアができる!
❌ デメリット(注意点)
⏳ ① 効果が出るまで時間がかかる
⚠ 歯科でのホワイトニング(即効性あり)と違い、ホワイトニング歯磨き粉は徐々に効果が現れる
📌 目安:2週間~1ヶ月程度継続使用で変化を実感
⚠ ② 強すぎる研磨剤は歯を傷つける
⚠ 研磨剤が強すぎるとエナメル質を削り、知覚過敏の原因になることも
📌 「低研磨タイプ」や「研磨剤なし」のものを選ぶのが◎
💡 特に要注意!
❌ 「短期間で白くしたい!」とゴシゴシ磨くのはNG!
→ 歯を傷つけてしまい、かえって黄ばみの原因に😱
👥 ③ 個人差がある(すぐ白くならない人も)
⚠ 元々の歯の色・生活習慣によって効果の出方に差がある
📌 「生まれつき黄ばみが強い人」や「コーヒー・紅茶を頻繁に飲む人」は、効果を感じにくいことも
💡 こんな人は歯科ホワイトニングとの併用がおすすめ!
🔹 短期間で白くしたい人 → 歯科ホワイトニング+ホワイトニング歯磨き粉でメンテナンス
🔹 着色しやすい飲食習慣がある人 → 食後のケアを徹底する(ストロー使用・水ですすぐ)
🦷 7. ホワイトニング歯磨き粉のよくある質問(Q&A) ✨
ホワイトニング歯磨き粉を使う上で、よくある疑問や不安を解決します!
❓ Q1. どのくらいで効果が出る?
📌 A. 一般的に2週間〜1ヶ月で変化を実感する人が多い!
💡 ただし、以下の条件によって異なります。
✔ 元の歯の色がどれくらい黄ばんでいるか?
✔ 使用頻度・正しいブラッシングができているか?
✔ コーヒー・紅茶・タバコなど、着色の原因をどれくらい摂取しているか?
⚠ 即効性は期待しないことが大事!
→ じっくり継続して使うことで、徐々に白さを実感できます。
❓ Q2. 知覚過敏の人でも使える?
📌 A. 知覚過敏でも使えるタイプを選べばOK!
知覚過敏の人は、以下の成分が配合されたものがおすすめ。
🟢 硝酸カリウム → 歯の神経の過敏反応を抑える
🟢 乳酸アルミニウム → 知覚過敏の刺激をブロック
🟢 ハイドロキシアパタイト → エナメル質を修復し、歯を強化
❌ 研磨剤が強いものはNG!
→ 低研磨タイプや研磨剤なしのものを選ぶのが◎
❓ Q3. 歯科医院でのホワイトニングと併用できる?

📌 A. 併用OK!むしろおすすめ!
💡 ホワイトニング歯磨き粉は「歯科ホワイトニングの効果を維持するため」に最適!
✔ 歯科でのホワイトニング(オフィスホワイトニング・ホームホワイトニング)は即効性あり!
✔ ホワイトニング歯磨き粉を使うことで、ホワイトニング後の白さを長持ちさせる!
⚠ ただし、注意点も!
❌ ホワイトニング直後(24時間以内)は使用を控える!
→ ホワイトニング後の歯は着色しやすくなっているため、低刺激の歯磨き粉を使う方が安心。
❓ Q4. 子供でも使えるのか?
📌 A. 基本的に大人向けのものが多いが、子供用もある!
🦷 ホワイトニング歯磨き粉の多くは「大人向け」
→ フッ素濃度が高いもの(1450ppm)は6歳未満の子供には不向き。
🟢 子供でも使える低刺激タイプのホワイトニング歯磨き粉を選ぼう!
🔹 子供向けのホワイトニング歯磨き粉の特徴
✔ フッ素濃度が低め(500ppm〜1000ppm)
✔ 研磨剤が少ない or なし
✔ ミントが強すぎず、子供が嫌がらない風味(フルーツ系など)
⚠ 「6歳未満の子供には適していない」と表記されている製品もあるので、必ずチェック!
❓ Q5. 研磨剤なしのホワイトニング歯磨き粉は効果があるのか?
📌 A. 研磨剤なしでも効果はあるが、即効性は低め。
🟢 研磨剤なしのホワイトニング歯磨き粉は「化学成分の力」で歯を白くする!
✔ ポリリン酸・ピロリン酸 → ステイン(着色汚れ)を浮かせて落とす
✔ ハイドロキシアパタイト → 歯の表面の傷を修復し、汚れを付きにくくする
✔ 酵素配合 → タンパク質汚れを分解してスッキリ
⚠ 物理的に削る力がない分、効果が出るまで時間がかかる
→ 「毎日継続すること」が重要!
💡 「研磨剤あり・なし」の違い
| 項目 | 研磨剤あり | 研磨剤なし |
|---|---|---|
| 即効性 | 早い | 遅い |
| 歯への優しさ | やや負担あり | 負担が少ない |
| おすすめの使い方 | 短期間で白くしたい時 | 長期間のケア |
🎯 8. 【まとめ】ホワイトニング歯磨き粉で理想の白い歯を手に入れよう! 🦷✨
ホワイトニング歯磨き粉を活用すれば、手軽に白い歯を目指すことができます!
しかし、**「正しい使い方」や「適切な商品選び」**が重要です。
✅ ホワイトニング歯磨き粉は正しく使えば効果が期待できる!
💡 間違った使い方をすると、効果が半減することも…!
✔ 1日2回、正しいブラッシングで磨く
✔ ゴシゴシ磨かず、優しく細かくブラッシングする
✔ 電動歯ブラシやデンタルフロスを併用すると効果UP!
✔ ホワイトニング後の食事(コーヒー・紅茶・赤ワインなど)にも気をつける
📌 ホワイトニング歯磨き粉は「即効性」ではなく「継続がカギ」
→ 最低2週間〜1ヶ月はしっかり続けることで効果を実感!
✅ 自分の目的に合った歯磨き粉を選ぶことが重要!
ホワイトニング歯磨き粉にはさまざまな種類があります。
自分の歯の状態や目的に合わせて選びましょう!
| 目的 | おすすめの成分・タイプ |
|---|---|
| 短期間で白くしたい! | 研磨剤配合タイプ(シリカ・アルミナ) |
| 知覚過敏が気になる… | 低研磨タイプ or 研磨剤なし(硝酸カリウム配合) |
| 虫歯予防もしたい! | 高濃度フッ素(1450ppm)配合タイプ |
| 歯科ホワイトニングの効果を維持したい! | ポリリン酸・ピロリン酸・ハイドロキシアパタイト配合 |
📌 「市販」「通販」「歯科専売」の違いも理解し、自分に合ったものを選ぶのが◎
✅ 歯科医院でのケアや生活習慣も意識しながら白い歯をキープ!
🎯 ホワイトニング歯磨き粉だけで完璧に白くなるわけではない!
→ 歯科医院でのケア&普段の生活習慣を意識することが大切
🦷 白い歯をキープするためにできること
✔ 定期的に歯科検診&クリーニングを受ける(3〜6ヶ月に1回)
✔ 着色しやすい飲食物(コーヒー・紅茶・赤ワインなど)を控える or ストローを使う
✔ 食後に水で口をすすぐ習慣をつける
✔ 電動歯ブラシやフロスを活用し、ステインの蓄積を防ぐ
📌 歯科ホワイトニング+ホワイトニング歯磨き粉の併用で、より効果的に白い歯を維持できる!
江戸川区篠崎で白い歯へ!ホワイトニング歯磨き粉で自宅ケアをサポート

江戸川区篠崎の皆さま、歯の黄ばみが気になりませんか?✨ 当院では、**歯科ホワイトニングだけでなく、ご自宅で手軽にケアできる「ホワイトニング歯磨き粉」**のアドバイスも行っています。
🔹 市販・歯科専売の違いとは?
🔹 効果的な使い方で白さを持続!
🔹 知覚過敏の方でも安心な低刺激タイプもご紹介!
歯の健康と美しさを両立するため、あなたに最適なホワイトニング歯磨き粉選びをサポートします! 🦷✨ まずは、お気軽にご相談ください!
📍 江戸川区篠崎の当歯科医院で、理想の白い歯を手に入れましょう! 💎
【動画】ホームホワイトニングの効果的なやり方
筆者・院長

深沢 一
Hajime FUKASAWA
- 登山
- ヨガ
メッセージ
日々進化する歯科医療に対応するため、毎月必ず各種セミナーへの受講を心がけております。
私達は、日々刻々と進歩する医学を、より良い形で患者様に御提供したいと考え、「各種 歯科学会」に所属すると共に、定期的に「院内勉強会」を行う等、常に現状に甘んずる事のないよう精進致しております。 又、医療で一番大切な事は、”心のある診療”と考え、スタッフと共に「患者様の立場に立った診療」を、心がけております。








