- 1. 【 📹28秒】 「出血=治る」は誤解!正しい知識を動画でチェック
- 2. 💡 歯磨きで血が出るのはなぜ?
- 2.1. 🔍 考えられる主な原因一覧
- 3. 🩸歯ぐきは“血を出した方がいい”って本当?
- 3.1. ⚠️ 自己判断による強いブラッシングの危険性
- 4. 🧬 出血によって起こる「歯原性菌血症」とは?
- 4.1. 🦠 歯周病菌や虫歯菌が血管に侵入する仕組み
- 5. 🫀 歯原性菌血症が引き起こす全身疾患リスク
- 5.1. 🧨 動脈硬化(アテローム性動脈硬化)との関連
- 6. 🧼 歯磨きで血が出るときの正しい対処法
- 6.1. 🪥 毎日のセルフケアの見直しポイント
- 6.2. 🦷 歯科でのプロフェッショナルケア
- 7. 💊 ビタミン・サプリメントで補助できる?
- 8. 🏥 歯磨き時の出血が続く場合は歯科へ
- 9. ✅ まとめ|歯磨きの出血は体からの大切なサイン
- 10. 📍 江戸川区篠崎で出血が気になる方へ
- 11. 筆者・院長

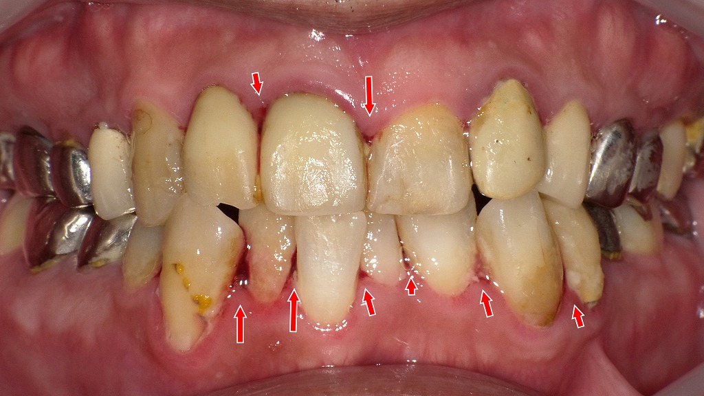
毎日の歯磨き中、「あれ、また血が出てる…」と気になったことはありませんか?
出血は珍しいことではありませんが、実は**歯ぐきからの“危険信号”**かもしれません。
「強く磨けば治る」「体質だから仕方ない」と思い込んでいると、歯周病の悪化や全身疾患につながる恐れもあるため注意が必要です。
本記事では、歯磨き時に出血する原因や放置するリスク、正しい対処法から最新の医療知識まで、専門的な視点からわかりやすく解説します。
歯ぐきの出血に不安を感じている方は、ぜひ参考にしてください。
【 📹28秒】 「出血=治る」は誤解!正しい知識を動画でチェック
💡 歯磨きで血が出るのはなぜ?

🔍 考えられる主な原因一覧
歯磨き中に出血するのは、歯茎に何らかの異常が起きているサインです。以下のような原因が考えられます。
- 歯周病(歯肉炎・歯周炎)
もっとも多い原因で、歯垢の中に潜む細菌が歯茎に炎症を起こし、少しの刺激でも出血しやすくなります。 - 歯の磨きすぎ(過圧・硬すぎるブラシ)
力を入れすぎたブラッシングや、硬すぎる歯ブラシは歯茎を傷つけ、出血を招くことがあります。 - ホルモンバランスの変化(妊娠中・思春期など)
妊娠や思春期、更年期にはホルモンの影響で歯茎が腫れやすく、出血しやすくなることがあります。 - ビタミンC不足
歯茎の健康維持に必要なビタミンCが不足すると、毛細血管がもろくなり出血しやすくなります。 - 血液疾患や薬の影響(抗凝固薬など)
血液の病気や、血をサラサラにする薬を服用している方は、出血が止まりにくいことがあります。
些細な出血でも、原因によっては早期対応が必要です。心当たりがある方は、ぜひ歯科で相談してみてください。
🩸歯ぐきは“血を出した方がいい”って本当?
⚠️ 自己判断による強いブラッシングの危険性

「血が出ても構わず磨けば治る」と思い込んで、強くブラッシングを続ける方が少なくありません。しかしこれは大きな誤解です。
出血は歯茎の炎症サインであり、歯周病が進行している可能性を示しています。無理にゴシゴシ磨き続けることで、炎症が治まるどころか歯茎がさらに傷つき、歯肉退縮(歯茎が下がる)や知覚過敏の悪化を招くこともあります。
また、傷ついた歯肉から細菌が血管に入り込むことで歯原性菌血症のリスクも上がり、全身疾患につながる恐れもあります。
少しでも出血が気になる場合は、自己流のケアを続けるのではなく、早めに歯科医院で原因を確認し、適切な治療やブラッシング指導を受けることが大切です。
正しいケアこそが、歯茎を健康に導く第一歩です。
🧬 出血によって起こる「歯原性菌血症」とは?
🦠 歯周病菌や虫歯菌が血管に侵入する仕組み
歯磨き中の出血を軽く考えてはいけません。実はこの出血によって、**歯原性菌血症(しげんせいきんけっしょう)**という全身に関わる問題が起こることがあります。
これは、口の中の細菌や毒素(LPS:内毒素)が、炎症で傷ついた歯茎の血管から血流に入り込む状態を指します。特に歯周病菌(グラム陰性桿菌)や虫歯菌は、炎症のある部位から血管内へ侵入しやすく、体内をめぐってしまうのです。

また、虫歯が進行して象牙質から歯髄(神経)まで達した場合も、そこに生息する菌が歯髄内の毛細血管を通じて全身に運ばれる可能性があります。
健康な人であれば一時的な菌血症で終わることもありますが、基礎疾患がある方や免疫力が低下している方では、心内膜炎など重大な疾患を引き起こすリスクもあります。
歯磨きの出血が続いている方は、単なる口のトラブルと見なさず、全身の健康にも関わるサインとして注意深く観察し、歯科での早期対応が重要です。
🫀 歯原性菌血症が引き起こす全身疾患リスク
🧨 動脈硬化(アテローム性動脈硬化)との関連

歯磨き中の出血により起こる歯原性菌血症は、一見すると口の中だけの問題に思えますが、血管や全身の健康に深刻な影響を与えることがあります。
その代表が、アテローム性動脈硬化です。これは、血管の内側にプラーク(脂質などの塊)がたまり、血流を妨げる病気で、脳卒中や心筋梗塞のリスクを高めます。
歯周病菌が持つ**LPS(リポポリサッカライド)**という毒素は、血管の内皮細胞を攻撃し、炎症を引き起こします。これが血管の損傷を進め、動脈硬化を加速させる原因になるのです。
また、歯周病はメタボリックシンドロームとも密接に関係しており、肥満・高血圧・高血糖などを抱える方では、歯原性菌血症によって血管ダメージがさらに悪化するリスクがあります。
「人は血管とともに老いる」と言われるように、血管の健康は命に直結します。歯ぐきの出血は、単なる口腔トラブルではなく、全身疾患の前兆かもしれません。出血が続く方は、歯科でのチェックをおすすめします。
🧼 歯磨きで血が出るときの正しい対処法
🪥 毎日のセルフケアの見直しポイント
歯磨き時に出血する場合、まずは毎日のセルフケアを見直すことが大切です。
- 柔らかめの歯ブラシを使う
硬すぎるブラシは歯茎を傷つけやすく、出血を悪化させる原因に。毛先が細く柔らかいものを選びましょう。 - 正しい歯磨きの圧と角度
歯ブラシは軽く握り、「毛先を歯と歯茎の境目に45度」で当てて、小刻みにやさしく動かすのが理想です。力を入れすぎると歯肉が傷ついてしまいます。 - 歯間ブラシやデンタルフロスの活用
歯と歯の間は磨き残しが多く、歯周病の温床になりがち。出血があっても、適切なサイズの歯間ブラシやフロスを継続的に使うことで、炎症は次第におさまります。
🦷 歯科でのプロフェッショナルケア
セルフケアだけで改善しない場合は、歯科での専門的な処置が必要です。
- 歯石除去・ルートプレーニング
歯石やバイオフィルムを除去することで、炎症の根本を取り除きます。進行している場合は歯根の表面を清掃する「ルートプレーニング」も行います。 - 歯周ポケットの検査と治療
出血の原因となる歯周ポケットの深さを測定し、必要に応じて治療計画を立てます。 - 通院頻度の目安
軽度なら3〜6か月ごとの定期健診で管理可能ですが、出血や腫れが強い場合は、1〜2週間ごとの集中治療が必要なケースもあります。
出血を軽視せず、セルフケアとプロケアの両輪で歯ぐきの健康を取り戻しましょう。
💊 ビタミン・サプリメントで補助できる?
歯磨き時の出血には、ビタミン不足が関係していることもあります。特に注目されるのがビタミンCとビタミンKです。
- ビタミンCは、血管や歯茎の結合組織を健康に保つ働きがあります。不足すると毛細血管がもろくなり、少しの刺激でも出血しやすくなります。
- ビタミンKは血液を固めるために必要な栄養素で、出血が止まりにくい場合に影響している可能性があります。

「▶ Amazonで見る」
「▶ 楽天で見る」
また、栄養バランスの乱れや偏った食生活も、歯茎の炎症を悪化させる要因になります。野菜不足やダイエット中の栄養欠乏には特に注意が必要です。
サプリメントの摂取は、栄養補給の手段として有効ですが、あくまで補助的な役割です。根本的な改善には、食事内容の見直しと歯科治療を並行して行うことが不可欠です。
「出血=歯周病」だけでなく、体全体の栄養状態も見直してみましょう。健康な歯茎は、体の内側からも作られます。
🏥 歯磨き時の出血が続く場合は歯科へ
歯磨きのたびに血が出る…それが1週間以上続くようなら、自己判断せず歯科を受診することが重要です。
出血は、歯周病などの炎症が進行しているサインかもしれません。初期の歯肉炎では痛みがないことも多く、本人が気づかないうちに歯周病が深刻化しているケースもあります。
歯科では、
- 歯茎の状態や歯周ポケットの深さのチェック
- 歯石や汚れの付着状況の確認
- 必要に応じたレントゲン検査
などを通じて、見えない部分の炎症や骨の吸収状況を把握できます。
また、出血を放置してしまうと、歯原性菌血症を通じて動脈硬化や心疾患など、全身の健康に悪影響を及ぼすリスクもあります。
「出血は一時的なものだから…」と我慢せず、早めに専門家の診断を受けることが、歯と身体の健康を守る近道です。気になる症状があれば、まずはご相談ください。
✅ まとめ|歯磨きの出血は体からの大切なサイン
歯磨き時の出血は、「少し血が出るだけ」と軽視されがちですが、歯周病の初期症状や全身疾患のリスクサインである可能性もあります。
特に、炎症による出血が続いている場合は、細菌が血管内に侵入し、動脈硬化や心疾患などに波及する危険性も無視できません。
だからこそ大切なのは、早期発見と早期治療。
日々のセルフケアを丁寧に行うとともに、少しでも違和感があれば歯科医院での診察を受けることが、歯と体の健康を守る第一歩です。
「出血を見逃さない」ことが、未来の健康を左右します。
あなたのその気づきが、健康寿命を延ばすきっかけになるかもしれません。
📍 江戸川区篠崎で出血が気になる方へ

「歯磨きのたびに血が出る」「歯茎が腫れていて不安」など、気になる症状がある方は、江戸川区篠崎の地域密着型歯科医院で、早めのチェックをおすすめします。
当院では、出血の原因を丁寧に診断し、
- 軽度の炎症に対するセルフケア指導
- 中等度以上の歯周病に対する専門的処置
- 全身疾患との関係も視野に入れた対応
など、一人ひとりの状態に応じた最適な治療法をご提案しています。
患者さまの不安に寄り添いながら、「出血しないお口」を目指したサポートを行っていますので、どうぞお気軽にご相談ください。
筆者・院長

深沢 一
Hajime FUKASAWA
- 登山
- ヨガ
メッセージ
日々進化する歯科医療に対応するため、毎月必ず各種セミナーへの受講を心がけております。
私達は、日々刻々と進歩する医学を、より良い形で患者様に御提供したいと考え、「各種 歯科学会」に所属すると共に、定期的に「院内勉強会」を行う等、常に現状に甘んずる事のないよう精進致しております。 又、医療で一番大切な事は、”心のある診療”と考え、スタッフと共に「患者様の立場に立った診療」を、心がけております。


