- 1. 🦷 歯肉圧排とは
- 1.1. 歯肉圧排の目的
- 1.1.1. 🔹 上顎3番(犬歯)
- 1.1.2. 🔹 上顎6番(第1大臼歯)
- 1.1.3. 🔹 欠損部位(上顎4番・5番相当)
- 1.2. 適応症
- 2. (シリコーン印象+歯肉圧排)
- 2.1. ① シリコーン印象材の特徴
- 2.2. ② 歯肉圧排の目的と効果
- 3. 🧩 歯肉圧排の方法と種類
- 3.1. 機械的圧排
- 3.1.1. 🦷 全体の状況
- 3.1.2. 🔹 上顎3番(犬歯)
- 3.1.3. 🔹 上顎6番(第1大臼歯)
- 3.1.4. 🔹 他の歯の状態
- 3.2. 化学的圧排
- 3.3. 機械的+化学的併用法
- 3.4. 圧排ペースト法
- 4. 上顎両側1番のメタルボンド症例
- 4.1. 圧排糸を歯肉溝内に挿入
- 4.1.1. 🔍 解説
- 4.1.1.1. 🦷 圧排糸とは
- 4.1.2. 📸 画像の状況
- 4.2. メタルボンドクラウンの装着
- 4.2.1. 🦷 症例の概要
- 4.2.2. 🔍 メタルボンドクラウンとは
- 4.2.3. 👀 画像のポイント
- 4.2.4. 💡 まとめ
- 5. 🧠 臨床操作のポイント
- 5.1. 圧排糸の選択と扱い方
- 5.2. 圧排時の注意点
- 6. 🧪 最新の歯肉圧排材料とデジタル印象への応用
- 6.1. 圧排ペーストの進化
- 6.2. デジタル印象時の工夫
- 7. ⚠️ トラブルシューティング
- 7.1. 歯肉退縮が生じた場合
- 7.2. 出血が止まらない場合
- 8. 📚 まとめ
- 9. 差し歯やクラウンの精度を高める!江戸川区篠崎の歯医者が行う歯肉圧排の工夫✨
- 10. 筆者・院長

🚨歯肉圧排は、クラウンやブリッジの印象精度を左右する重要なステップです。
特に歯頸部マージンが歯肉縁下に設定される症例では、歯肉圧排の成否がそのまま補綴物の適合精度や審美性、さらには歯周組織の健康維持にも影響します。
近年は、従来の圧排糸法に加えて、ペースト法や化学的圧排法、さらにはデジタル印象との併用といった多様なアプローチが登場し、臨床現場ではより低侵襲で効率的な選択が求められています。
本稿では、歯肉圧排の目的・適応・方法別の特徴・最新材料の動向を整理し、臨床的な操作ポイントとトラブル回避のコツを体系的に解説します。
精度の高い印象採得と歯周組織の保全を両立するための実践的ガイドとしてご活用ください。
🦷 歯肉圧排とは
歯肉圧排の目的
・支台歯形成後のマージン明示化
・印象精度向上(特に歯頸部マージンの再現)
・歯肉保護および乾燥環境の確保
上顎左側犬歯(3番)から第1大臼歯(6番)にかけて、メタルボンドブリッジの支台歯形成後の状態を示しています。
矢印で示された部位には、印象採得(型取り)前の準備ができます。

🔹 上顎3番(犬歯)
- **生活歯(歯髄が残っている)**であり、支台歯形成が適切に行われています。
- 歯質は健全で、削合量は最小限。歯肉縁部には軽度の圧排糸が確認され、マージン部(形成境界線)が明瞭に見えます。
- 支台形態はクラウン用のテーパーが適正で、後方の6番と連結予定の支台として整えられています。
🔹 上顎6番(第1大臼歯)
- **ファイバーコア(グラスファイバー強化樹脂製コア)**が築造されています。
- 歯冠部は滑沢に形成され、金属支台ではなく光透過性のあるファイバーコア材が使用されていることから、審美性・接着性を考慮した設計であると分かります。
- 歯肉縁には圧排糸が挿入されており、印象時にマージンを正確に再現できるよう準備されています。
🔹 欠損部位(上顎4番・5番相当)
- 3番と6番の間には歯の欠損があり、ブリッジのポンティック部が設置される予定です。
- 歯槽堤の吸収は軽度で、粘膜状態は健康的。ポンティック設計(リッジラップまたはモディファイドリッジラップ)が適応可能な状態。
適応症
・クラウン・ブリッジの印象採得時
・ラミネートベニアやインレーなど歯頸部にマージンが近い場合
・CAD/CAM冠やデジタル印象時のスキャン精度向上目的
(シリコーン印象+歯肉圧排)
この画像は、**上顎前歯部〜小臼歯部のシリコーン印象(精密印象)**を採得した直後の状態を示しています。
各支台歯の周囲には、**歯肉圧排を行ったことで生じた歯肉縁の溝(サルカス)**が明瞭に描写され、**マージン(支台歯の形成境界)**がクリアに再現されています。

① シリコーン印象材の特徴
- 使用しているのは**付加型シリコーン**で、高い寸法精度と細部再現性が特徴です。
- 表面が滑らかで、支台歯の形態(円錐状・テーパー・軸面)が正確に描写されています。
② 歯肉圧排の目的と効果
印象の周囲がしっかりと歯頚部まで回り込んで写っているのは、歯肉圧排が適切に行われた証拠です。
- 圧排糸を用いて歯肉を外側へ軽く押し広げることで、印象材がマージン部まで流れ込みやすくなる
- 支台歯の肩(ショルダー)やシャンファー部分が明瞭に再現され、技工物の精度が高まる
- 画像では、各歯の周囲に“立体的な溝”として再現されており、適切な圧排・乾燥・印象採得ができていることがわかる
適合性・審美性を左右するため、今回のような高精度な印象採得が重要です。
🧩 歯肉圧排の方法と種類
機械的圧排
・圧排糸法(シングルコード法/ダブルコード法)
・圧排糸の種類:綿糸・編み込みタイプ・含薬タイプ(硫酸アルミニウム、塩化アルミニウム、エピネフリンなど)
この写真は、上顎の口蓋側から撮影された口腔内写真です。

🦷 全体の状況
上顎右側犬歯(3番)から右上第1大臼歯(6番)にかけてのブリッジ形成後の状態です。歯列の中央やや右側に見える赤い矢印部分には、印象採得(型取り)のために歯肉圧排糸が挿入されています。歯肉縁下のマージン(支台歯の境界線)を明確にする目的です。
🔹 上顎3番(犬歯)
- 生活歯(歯髄が生きている)であり、削合量が比較的少なく保たれています。
- 歯肉縁に沿って細い圧排糸が見られ、出血や腫脹はなく、適切に圧排されています。
- 今後、ブリッジの支台歯としてメタルボンド冠が装着される予定。
🔹 上顎6番(第1大臼歯)
- ファイバーコア(グラスファイバー強化樹脂製のコア)が築造されています。
- コア表面は滑沢で、支台歯形成のラインが明瞭。
- 歯肉縁には圧排糸が挿入され、マージンがしっかり露出しています。
- 周囲歯肉に炎症所見はなく、印象採得に適した状態。
🔹 他の歯の状態
- 左上の臼歯部には銀合金インレー・クラウンが装着されています。
- 口蓋粘膜は健康的な淡紅色を呈し、腫脹や潰瘍などの異常所見はありません。
化学的圧排
・止血剤併用:アルミニウム塩、フェリックサルフェート、アドレナリン
・薬剤選択のポイント:組織反応性・止血効果・シリコーン印象材との適合性
機械的+化学的併用法
・含薬圧排糸の応用
・短時間での効果的な歯肉排除と止血
圧排ペースト法
・アルミニウム塩含有ペースト(例:Expasyl、Traxodentなど)
・シリンジによる簡便操作、患者負担軽減
・デジタル印象との相性の良さ
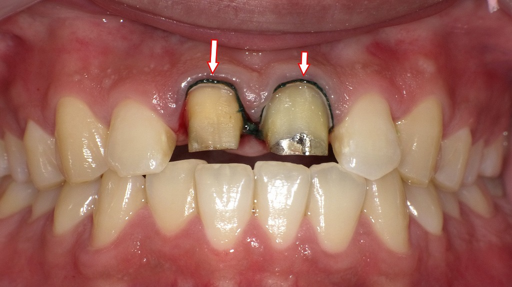
上顎両側1番のメタルボンド症例
圧排糸を歯肉溝内に挿入
この画像は、上顎中切歯(右上1番・左上1番)の補綴処置(被せ物作製)のために印象採得(型取り)を行う直前の状態を示しています。
赤い矢印で示されている部分には、**圧排糸(あっぱいし)**と呼ばれる細い糸が歯肉溝内に挿入されています。

🔍 解説
🦷 圧排糸とは
圧排糸は、歯と歯ぐき(歯肉)の境目に一時的に挿入する糸で、
歯肉をやさしく押し下げて歯の縁(マージン)を露出させるために使用します。
この処置によって、
- 歯と歯ぐきの境目まで精密に型を取ることができる
- 技工物(クラウン・ブリッジなど)の適合性を高める
- 仕上がりの審美性や清掃性を向上させる
といった効果があります。
📸 画像の状況
- **中央の2本の歯(上顎中切歯)**は、すでに支台歯形成(削って形を整える処置)が完了しています。
- 歯の周囲(歯頚部)に圧排糸が入れられており、歯肉がわずかに開いてマージン部が見えています。
- 支台歯表面は黄色っぽく見えますが、これは象牙質またはメタルコア(土台)の露出によるものです。
- このあと**精密印象(シリコン印象材など)**を流して、被せ物(セラミッククラウンなど)の製作工程に進みます。
メタルボンドクラウンの装着
この画像は、前回の「圧排糸による印象採得」の症例の最終補綴後(完成形)を示しています。
中央の赤矢印が示すのは、上顎中切歯(右上1番・左上1番)に装着されたメタルボンドクラウン(陶材焼付鋳造冠)です。

🦷 症例の概要
この患者さんは、上顎前歯2本(中切歯)の被せ物を新しく作り直す治療を受けています。
前回の写真(支台歯形成+圧排糸装着)で型取りが完了し、その後に技工所で製作されたメタルボンドクラウンが装着された状態です。
🔍 メタルボンドクラウンとは
- 内側に金属フレーム、その上にセラミック(陶材)を焼き付けた構造の被せ物です。
- 金属の強度と、セラミックの自然な透明感を兼ね備えています。
- 前歯部では審美性が高く、色調調整も可能なため、保険適用外の高品質補綴として用いられます。
👀 画像のポイント
- 赤矢印の歯(上顎1番)は左右ともにメタルボンドクラウンが装着されています。
- 歯肉との境界(マージン部)は滑らかで、炎症や出血が見られず、適合性が良好。
- 隣接歯との形態・色調の調和もとれており、自然な仕上がりとなっています。
- 咬合も安定しており、中央の正中線もほぼ一致しています。
💡 まとめ
この画像は、
➡️ 上顎中切歯にメタルボンドクラウンを装着した最終補綴の状態を示しています。
圧排糸による精密印象から得られた高精度な模型をもとに、
審美性・適合性ともに優れた補綴が完成しており、
前歯部審美修復の成功例といえる症例です。
🧠 臨床操作のポイント
圧排糸の選択と扱い方
・太さと編み方の選択(圧排量と歯肉厚に応じて)
・圧排方向:マージンに平行に挿入し、組織損傷を避ける
・滞留時間:3〜5分を目安(薬剤濃度により調整)
圧排時の注意点
・強すぎる圧排による歯肉退縮リスク
・血管収縮薬使用時の全身への影響
・印象材やスキャナによるマージン再現性の確認
🧪 最新の歯肉圧排材料とデジタル印象への応用
圧排ペーストの進化
・従来法より低侵襲・短時間化
・歯周組織への安全性向上
デジタル印象時の工夫
・歯肉圧排を最小限にするスキャニング角度
・レーザースキャナや光学印象でのマージン明示テクニック
⚠️ トラブルシューティング
歯肉退縮が生じた場合
・原因分析(過圧・滞留時間・薬剤濃度)
・歯肉保護材やヒーリング期間の設定
出血が止まらない場合
・止血剤の変更または圧排法の見直し
・歯周炎・抗凝固薬服用患者の管理
📚 まとめ
・目的に応じて「機械的・化学的・ペースト法」を選択
・マージン明示と組織保護のバランスが鍵
・デジタル印象時代における圧排法の再評価
差し歯やクラウンの精度を高める!江戸川区篠崎の歯医者が行う歯肉圧排の工夫✨

被せ物や差し歯を長持ちさせるためには、「精密な型取り(印象)」がとても大切です。
その際に行うのが、**歯ぐきを優しく広げてマージン(境目)を明確にする“歯肉圧排”**という処置です。
江戸川区篠崎の当歯科クリニックでは、
従来の「糸による方法」に加えて、ペーストを用いた低刺激の歯肉圧排も導入しています。
歯ぐきを傷つけず、出血を抑えながら、より正確に歯の形を記録できるのが特徴です。
このひと手間が、
✅ 被せ物のフィット感を高め
✅ 歯ぐきとのすき間からの虫歯・歯周病再発を防ぎ
✅ 審美的にも自然な仕上がりにつながります。
「痛くない」「丁寧で正確な」治療を心がけ、
篠崎地域の皆さまに長く安心できる歯科治療を提供しています。
筆者・院長

深沢 一
Hajime FUKASAWA
- 登山
- ヨガ
メッセージ
日々進化する歯科医療に対応するため、毎月必ず各種セミナーへの受講を心がけております。
私達は、日々刻々と進歩する医学を、より良い形で患者様に御提供したいと考え、「各種 歯科学会」に所属すると共に、定期的に「院内勉強会」を行う等、常に現状に甘んずる事のないよう精進致しております。 又、医療で一番大切な事は、”心のある診療”と考え、スタッフと共に「患者様の立場に立った診療」を、心がけております。


