- 1. 🦷 自費診療とは?なぜ歯医者にすすめられるの?
- 1.1. 💡 保険診療とは?
- 1.2. 🌟 自費診療とは?
- 1.3. 🤔 なぜ歯医者は自費診療をすすめるの?
- 2. 🦷 歯医者が自費診療をすすめる主な理由
- 2.1. 1️⃣ 治療の質と長持ちを重視できる
- 2.2. 2️⃣ 見た目(審美性)を優先できる
- 2.3. 3️⃣ 選べる治療方法の幅が広い
- 2.4. 4️⃣ 治療にかけられる時間の違い
- 3. 自費診療の治療例
- 3.1. 審美性を向上させるホワイトニングは自費診療
- 3.1.1. ① 1枚目:ホワイトニング前の歯
- 3.1.2. ② 2枚目:ホワイトニング後の歯
- 3.2. インプラントは“高度で精密な外科処置”のため保険適用外
- 3.2.1. ■ 1枚目:インプラントの埋入手術
- 3.2.1.1. 見えているポイント
- 3.2.1.2. この画像が示すこと
- 3.2.2. ■ 2枚目:埋入直後のパノラマレントゲン
- 3.2.2.1. 画像のポイント
- 3.2.2.2. なぜレントゲンが必要なのか
- 4. 【画像で解説】保険診療と自費診療の比較
- 4.1. ■ 硬質レジン前装冠の経年変化
- 4.1.1. ● ① 全体的な変色
- 4.1.2. ● ② 右上1番(中央の歯)の破折
- 4.2. 変色歯をオールセラミックで補綴
- 4.2.1. ■ 1枚目:歯髄壊死による前歯の変色
- 4.2.2. ■ 2枚目:オールセラミックによる自然な色調の回復
- 4.2.2.1. セラミックで得られるメリット
- 4.3. ■ なぜ自費診療をすすめるのか?
- 4.3.1. ① 保険診療の材料では色調再現に限界がある
- 4.3.2. ② 審美性が求められる部位ほど精密な技術が必要
- 4.3.3. ③ 長期的に見たときのメリットが大きい
- 5. 🚫 自費診療=押し売りではない
- 6. ✅ 大切なのは「理解して選ぶ」こと
- 7. ❓読者の疑問に答えるQ&A見出し案
- 7.1. Q1:なぜ歯医者は自費診療をすすめるの?
- 7.2. Q2:自費診療と保険診療の一番の違いは何?
- 7.3. Q3:自費診療をすすめられたら断ってもいいの?
- 7.4. Q4:自費診療は本当に高いだけの価値がある?
- 7.5. Q5:歯医者によって自費診療をすすめる頻度は違う?
- 7.6. Q6:江戸川区篠崎で相談できる歯医者はある?
- 8. 📝 まとめ|納得して治療を選ぶために
- 9. 🏥 保険診療とどう違う?歯医者が自費診療をすすめる本当の理由
- 10. 【動画】ステイン着色汚れをクリーニングするエアフロー
- 11. 筆者・院長

✅ 「歯医者に行ったら自費診療をすすめられたけど、本当に必要なの?」と不安に思ったことはありませんか?
自費診療は保険診療に比べて費用が高額になるため、「押し売りでは?」と感じる方も少なくありません。
しかし実際には、治療の精度・見た目の美しさ・長持ちする仕上がりなど、患者さんにとって大きなメリットがある場合が多いのです。
この記事では、歯医者が自費診療をすすめる本当の理由と、保険診療との違いについてわかりやすく解説します。
🦷 自費診療とは?なぜ歯医者にすすめられるの?
歯科治療には大きく分けて 「保険診療」 と 「自費診療」 の2種類があります。

💡 保険診療とは?
- ✅ 最低限の機能回復を目的とする
- ✅ 国が定めた範囲・材料・方法で行う
- ✅ 費用は比較的安く、誰でも受けやすい
ただし、治療に使える材料や方法が限られており、見た目や耐久性よりも「最低限の機能回復」が重視されます。
🌟 自費診療とは?
- ✨ 保険外の材料や最新の技術を使用できる
- ✨ 見た目の美しさや自然さを追求できる
- ✨ 耐久性・快適性を重視した治療が可能
セラミックやジルコニアなどの素材を用いることで、**「白く自然な歯」「長持ちする治療」**を実現できます。
🤔 なぜ歯医者は自費診療をすすめるの?
多くの患者さんが「なぜ歯医者は自費診療をすすめるの?」と疑問に感じます。
その理由の多くは、
- 🛡️ 虫歯の再発を防ぎやすい
- 👄 見た目が自然で目立たない
- ⏳ 長持ちして再治療のリスクが減る
- ⌛ 時間をかけて丁寧な治療ができる
といった「患者さんの利益」にあります。
確かに費用は高額になりやすいですが、長期的に見れば再治療の回数が減り、結果的にコストを抑えられるケースも少なくありません。
👉 まとめると、歯医者が自費診療をすすめるのは「押し売り」ではなく、より良い治療の選択肢を伝えているという側面が大きいのです。
🦷 歯医者が自費診療をすすめる主な理由
1️⃣ 治療の質と長持ちを重視できる
保険診療は最低限の機能回復に限られるため、材料は金属やプラスチックが中心です。
一方、自費診療ではセラミックやジルコニアなど耐久性の高い素材を選ぶことが可能。
その結果、虫歯の再発(二次カリエス)を防ぎやすいのが大きなメリットです。

2️⃣ 見た目(審美性)を優先できる
保険診療の銀歯は口を開けたときに目立ちやすく、さらに金属アレルギーのリスクもあります。
自費診療なら、天然歯に近い白さや透明感を再現でき、
✨「見た目の自然さ」✨ を重視したい方にぴったりです。


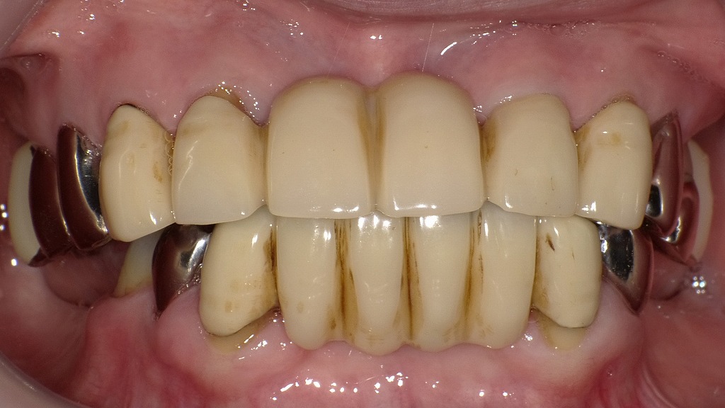
上下前歯には保険適用の硬質レジン前装冠によるブリッジが装着されており、経年劣化によって変色・着色が進行しています。レジンは水分を吸収しやすく、色がくすんだり茶色くなる特徴があるため、長期間使用すると自然な白さを保つことが難しくなります。審美性の改善を希望する場合は、変色しにくく透明感の高い自費素材(セラミック)が適しています。
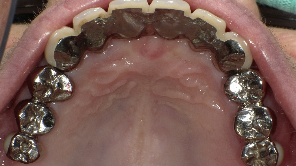
上顎に多数の金属冠(いわゆる銀歯)が使用されている状態です。保険の金属にはニッケル・クロムなどのアレルギーを起こしやすい金属が含まれることがあり、長期間の使用で金属イオンが溶け出すと皮膚炎・湿疹・口内の違和感などの金属アレルギーにつながるリスクがあります。金属を使わないセラミック治療を選ぶことで、アレルギーリスクを大幅に減らすことができます。
3️⃣ 選べる治療方法の幅が広い
- インプラント
- マウスピース矯正
- 精密根管治療
- ホワイトニング
これらの治療は多くが自費診療でのみ対応可能です。
快適性や再発リスクの低減といった観点から、より良い選択肢を提示できる点が、歯医者が自費診療をすすめる大きな理由です。
4️⃣ 治療にかけられる時間の違い
保険診療は「点数制度」によって治療内容や時間に制限がかかります。
一方、自費診療ではじっくり時間をかけて丁寧に治療できるため、
仕上がりの精度が高まり、長期的に安定した結果につながります。
👉 このように、自費診療をすすめるのは「高額だから」ではなく、
質・見た目・選択肢・時間の自由度といった患者さんの利益を考えているケースが多いのです。
自費診療の治療例
審美性を向上させるホワイトニングは自費診療


① 1枚目:ホワイトニング前の歯
最初の画像では、
- 全体的に黄ばみが強い
- 歯と歯の間に着色がある
- 表面の艶が少なく、くすんで見える
といった特徴が見られます。
これは、保険診療のクリーニング(歯石取り・着色除去)だけでは限界がある部分です。
黄ばみの多くは、歯の内部に沈着した色(加齢、食生活、生活習慣など)であり、
保険の範囲ではこの「内部の漂白」はできません。
② 2枚目:ホワイトニング後の歯
2枚目では、
- 黄ばみが減って明るいトーンに
- 表面の透明感が増して清潔な印象に
- 歯並びそのものは変わらないが、全体の印象が大きく改善
という変化がはっきり分かります。
これは ホワイトニング=自費診療だからこそ実現できる改善 です。
保険では“機能的に問題ない歯”を白くする処置はできないため、
見た目の美しさを改善する治療はすべて自費になります。
インプラントは“高度で精密な外科処置”のため保険適用外
インプラント治療は自費診療に分類されますが、その理由には“医学的な背景”があります。
ここでは実際の手術写真とレントゲンをもとに、分かりやすくご説明します。


■ 1枚目:インプラントの埋入手術
最初の写真は、インプラント体を顎の骨に埋め込んだ直後の様子です。
見えているポイント
- 金属のネジ状の部分が インプラント体(人工歯根)
- 白い粒状のものは 骨補填材(ボーン graft)
- 骨量が不足している部位を補い、インプラントを長期的に支えるために使用
この画像が示すこと
インプラントはただ「ネジを入れるだけ」では成立しません。
安全に長持ちさせるためには、
- 正確な位置・角度
- 周囲の骨量の確保
- 清潔な手術環境
- 滅菌された器具
など高い精度が必要です。
このような精密な外科処置は、保険診療の基準では行えないため、自費診療で提供されています。
■ 2枚目:埋入直後のパノラマレントゲン
2枚目の画像は、インプラントを埋入した直後のレントゲン写真です。
画像のポイント
- 赤い矢印の先が埋入されたインプラント
- 顎の骨の中に適切な深さ・角度で固定されている
- 神経や隣接歯から安全な距離を確保していることが確認できる
なぜレントゲンが必要なのか
インプラント手術では、
- 神経の位置
- 骨の厚み
- 骨密度
- 上顎洞との距離
などを正確に把握し、安全性を確保する必要があります。
そのため、CT撮影・シミュレーション・サージカルガイドなど
高度な設備や技術を駆使することが重要です。
これらは保険診療の枠組みでは提供できないため、
インプラント治療は自費診療として行われています。
いった患者さんの利益を考えているケースが多いのです。
【画像で解説】保険診療と自費診療の比較
保険で使える被せ物には“材料の制限”があります。
この画像は、保険診療の代表である「硬質レジン前装冠」が数年経過した状態です。
■ 硬質レジン前装冠の経年変化
写真では、前歯3本が硬質レジン前装冠になっています。
矢印の部分には次のような症状が見られます。

● ① 全体的な変色
レジンはプラスチックの一種のため、
- 水分を吸収しやすい
- 着色が沈着しやすい
- 経年で黄ばみやすい
といった特徴があります。
その結果、周囲の天然歯と色が合わなくなり、見た目の違和感が生じます。
● ② 右上1番(中央の歯)の破折
画像中央の被せ物は、表面のレジン部分が欠け、
レジンで一時的に修復している状態です。
レジン前装冠は金属の上にレジンを貼り付けているため、
- 噛む力で欠ける
- 縁から剥がれる
- 表面がすり減る
などのトラブルが起こりやすく、長期的な耐久性に限界があります。
変色歯をオールセラミックで補綴
前歯の見た目は、日常生活で大きく印象を左右します。
しかし、保険診療では材料や色調再現に限界があるため、希望通りの仕上がりが難しい場合があります。


■ 1枚目:歯髄壊死による前歯の変色
矢印の歯は、**歯髄壊死(歯の神経が死んでしまった状態)**のため、内部からグレー~茶色に変色しています。
歯髄壊死では、
- 歯の内部に血液が浸透
- 内部が黒く変色
- 加齢とともにさらに暗くなる
といった特徴があり、通常のホワイトニングでは改善しにくい深い変色が起こります。
また、保険診療では色合わせの自由度が低いため、
周りの歯と同じ自然な透明感・明るさを再現するのが困難です。
■ 2枚目:オールセラミックによる自然な色調の回復
2枚目の画像では、変色していた歯をオールセラミッククラウンで補綴しています。
セラミックで得られるメリット
- 天然歯のような透明感
- 個々の歯に合わせた細かな色調再現
- 黄ばみにくく長期間白さが持続
- 金属を使わないため歯ぐきが黒ずまない
特に前歯の治療では、どれだけ自然に見えるかが非常に重要です。
画像のように、周囲の歯と調和した自然な仕上がりが得られるのは、
セラミック治療ならではの強みです。
■ なぜ自費診療をすすめるのか?
① 保険診療の材料では色調再現に限界がある
保険で使えるレジン(プラスチック)は
- 透明感が少ない
- 時間とともに変色
- 自然なグラデーションが出せない
などの理由から、綺麗な前歯の再現が難しくなります。
② 審美性が求められる部位ほど精密な技術が必要
前歯は「人から見られる場所」なので、
- 色合わせ
- 形態
- 透明度
- 歯の厚み
などの細かな調整が重要です。
自費診療では、
時間をかけた審美的な調整と
高品質な材料を使うことが可能です。
③ 長期的に見たときのメリットが大きい
セラミックは
- 変色しにくい
- 破折しにくい
- さやかな光沢が長期間持続
- 二次虫歯のリスクが低い
といった特徴があり、長持ちしやすいのが大きな利点です。
🚫 自費診療=押し売りではない
「歯医者に高い治療をすすめられて不安…」と感じる方も少なくありません。
しかし実際には、多くの歯科医院が 「押し売り」ではなく「選択肢の提示」 として説明をしています。
- 📝 保険診療でできる範囲
- 🌟 自費診療でできること
- ⚖️ それぞれのメリットとデメリット
これらを比較したうえで、最終的に治療法を選ぶのは患者さん自身です。
無理に高額な治療を強制されることはなく、むしろ 「納得して選べるように情報を提供する」 のが歯科医師の役割です。
✅ 大切なのは「理解して選ぶ」こと
自費診療には確かに費用面での負担がありますが、
- 長持ちしやすい
- 見た目が自然
- 再発リスクを下げられる
といった 将来的なメリット も多く存在します。
だからこそ、メリットとデメリットを理解した上で、自分に合った治療法を選ぶことが何より大切です。
❓読者の疑問に答えるQ&A見出し案
Q1:なぜ歯医者は自費診療をすすめるの?
→ 治療の質・長持ち・見た目の自然さなど、保険診療では補えない部分をカバーするためです。
Q2:自費診療と保険診療の一番の違いは何?
→ 保険診療は「最低限の機能回復」、自費診療は「より快適で美しい仕上がり」が目指せる点です。
Q3:自費診療をすすめられたら断ってもいいの?
→ もちろん可能です。無理に選ぶ必要はなく、治療方法は患者さんが決定できます。
Q4:自費診療は本当に高いだけの価値がある?
→ 耐久性や見た目の自然さ、再治療リスクの低減などを考えると、長期的にみて費用対効果が高い場合があります。
Q5:歯医者によって自費診療をすすめる頻度は違う?
→ 医院によって方針が異なります。説明が一方的すぎる場合は、セカンドオピニオンを検討しましょう。
Q6:江戸川区篠崎で相談できる歯医者はある?
→ はい。篠崎駅徒歩1分の「当歯科クリニック」では、自費と保険の違いをわかりやすく説明し、納得して治療を選べる体制を整えています。
📝 まとめ|納得して治療を選ぶために
歯医者が自費診療をすすめるのは、決して「高額な治療を売りたいから」ではありません。
実際には、
- 🛡️ 治療の精度や長持ち
- ✨ 見た目の美しさ
- 🔍 選べる治療方法の幅
といった 患者さんの利益を考えた結果 であることが多いのです。
もちろん費用面は大切ですが、金額だけで判断するのではなく、
「自分に合った治療はどちらか」 を歯科医師と相談しながら決めることが一番の安心につながります。
👉 しっかり説明を受けて、納得したうえで治療を選ぶことが、将来のお口の健康と満足度を高めるポイントです。
🏥 保険診療とどう違う?歯医者が自費診療をすすめる本当の理由

江戸川区篠崎で「歯医者に自費診療をすすめられて迷っている」という方へ。当歯科クリニックでは、保険診療と自費診療の違いを丁寧に説明し、患者さまが納得して選べる治療を大切にしています。篠崎駅南口徒歩1分、アクセス便利な当院でぜひご相談ください。
【動画】ステイン着色汚れをクリーニングするエアフロー
筆者・院長

深沢 一
Hajime FUKASAWA
- 登山
- ヨガ
メッセージ
日々進化する歯科医療に対応するため、毎月必ず各種セミナーへの受講を心がけております。
私達は、日々刻々と進歩する医学を、より良い形で患者様に御提供したいと考え、「各種 歯科学会」に所属すると共に、定期的に「院内勉強会」を行う等、常に現状に甘んずる事のないよう精進致しております。 又、医療で一番大切な事は、”心のある診療”と考え、スタッフと共に「患者様の立場に立った診療」を、心がけております。


