- 1. 【📹 33秒】ストローマグ卒業のタイミングは?コップ飲みへのスムーズな移行法
- 2. ⏰ ストローマグはいつから使える?月齢別の目安と発達のポイント
- 2.1. 👶 生後4〜6か月|スプーンとスパウトで準備開始
- 2.2. 🍼 生後6〜9か月|ストローマグデビューのベストタイミング
- 2.3. 👧 生後10〜12か月|自分で持って飲む練習期
- 2.4. 🏁 1歳以降|ストローマグ卒業とコップ飲みへのステップ
- 3. 🧪 ストローマグ vs コップ・スパウト|違いと選び方を比較解説
- 3.1. ⚖️ ストローマグ vs コップ|習得しやすさ・衛生面・利便性
- 3.2. 🆚 スパウトマグとどっちが先?|機能と役割の違い
- 3.3. 📌 スパウトを飛ばしてストローマグへ移行はアリ?
- 4. 🏋️♀️ ストローマグ練習ステップ|月齢別トレーニング方法
- 4.1. 🍽 ステップ1|スプーンで水分補給(4〜6か月)
- 4.2. 🧃 ステップ2|ストローの感触に慣れる(6〜9か月)
- 4.3. 🍼 ステップ3|ストローマグで実際に飲む練習(9〜12か月)
- 4.4. 🧸 うまく飲めない時の対策|5つの工夫とNG行動
- 4.4.1. ✅ 対策①:ストローに飲み物を含ませる
- 4.4.2. ✅ 対策②:ストロー付き紙パックを軽く押す
- 4.4.3. ✅ 対策③:細めのストローに変える
- 4.4.4. ✅ 対策④:親が見本を見せる
- 4.4.5. ✅ 対策⑤:一度お休みしてみる
- 5. 📅 ストローマグはいつまで使う?コップ飲みへの移行の進め方
- 5.1. 👶 1歳〜1歳半が卒業の目安
- 5.2. 💦 スムーズに切り替えるための環境と練習法
- 5.3. 🚫 使いすぎNG?長期使用によるデメリットと発達影響
- 6. 🦷 歯並び・発音への影響は?ストローマグの注意点
- 6.1. 📉 舌突出癖・低位舌が起こる理由とその影響
- 6.2. 👄 嚥下や顎の発達を妨げないために必要なこと
- 6.3. 👶 母乳保育・手づかみ食べとの関係性
- 6.3.1. 🍼 母乳保育
- 6.3.2. ✋ 手づかみ食べ(1歳〜2歳)
- 7. 🛒 後悔しない!ストローマグの選び方ガイド【最新2025年版】
- 7.1. 🧵 ストローの種類(柔らかい/硬い/スリット入り)
- 7.2. 💧 逆流防止機能の有無と選び方
- 7.3. ✋ 持ち手の有無で変わる使いやすさ
- 7.4. 🧴 素材別の特徴(プラスチック/シリコン/ステンレス)
- 8. 🧼 ストローマグの正しい使い方とお手入れ方法
- 8.1. 🧽 誤嚥を防ぐための使い方と姿勢
- 8.2. 💡 毎日の洗い方と週1の消毒チェックリスト
- 8.3. 🌫 カビや汚れを防ぐポイントとおすすめグッズ
- 9. 🎒 外出に便利!おすすめストローマグTOP3【保冷・漏れ防止】
- 9.1. 🥇 サーモス|保冷力最強マグ
- 9.2. 🥈 ピジョン|どんな角度でも飲みやすいおもり付き
- 9.3. 🥉 コンビ|洗いやすくて漏れにくい安心設計
- 10. 💬 よくある質問(Q&A)
- 10.1. ❓ ストローマグは使わなきゃいけない?
- 10.2. ❓ うまく飲めないときの対処法は?
- 10.3. ❓ 洗浄の頻度と注意点は?
- 10.4. ❓ 歯並びに本当に影響するの?
- 10.5. ❓ 1歳を過ぎても使って大丈夫?
- 11. 📘 まとめ|ストローマグは“使い方と卒業タイミング”が成功のカギ!
- 11.1. ✅ 赤ちゃんの発達に応じて段階的に活用しよう
- 11.2. ✅ 練習は焦らず「楽しく・ゆっくり」がポイント
- 11.3. ✅ 1歳以降はコップ飲みに切り替える準備を
- 12. 🏥 江戸川区篠崎でお子さまの健やかな口腔発達をサポートしています
- 13. 【動画】指しゃぶりや指吸いを止めさせる方法
- 14. 筆者・院長

赤ちゃんの水分補給や飲み方の練習に欠かせない「ストローマグ」。
でも実際には、
- 「いつから使い始めるのがいいの?」
- 「スパウトとどう違うの?」
- 「うちの子、全然うまく飲めない…」
- 「長く使いすぎると歯並びに悪いって本当?」
といった不安や疑問を抱えるママ・パパも多いのではないでしょうか?
この記事では、ストローマグの使い始めのタイミングから、練習方法・選び方・卒業の進め方までを月齢別にやさしく解説します。
さらに、歯並びや発音への影響、洗浄方法、おすすめ商品ランキングまで一挙に紹介。
🔰 初めての方でも安心して読める内容になっていますので、「ストローマグどうしよう?」と迷っている方は、ぜひ最後までご覧ください!
【📹 33秒】ストローマグ卒業のタイミングは?コップ飲みへのスムーズな移行法
⏰ ストローマグはいつから使える?月齢別の目安と発達のポイント
赤ちゃんが母乳や哺乳瓶から卒業し、水分補給を新しい形で始める時期に便利なのが「ストローマグ」です。ただし、発達には個人差があるため、月齢の目安と赤ちゃんの様子を見ながら導入しましょう。
👶 生後4〜6か月|スプーンとスパウトで準備開始
この時期は、ストローで吸う力がまだ弱いため、スプーンで白湯や麦茶を少しずつ与える練習からスタートしましょう。
スパウトマグを活用すれば、哺乳瓶とコップ飲みの中間的な動きが身につきやすくなります。

🔹 ポイント
- 無理に吸わせず、ストローに触れることに慣れさせる
- おもちゃのようにストローマグを触らせて、興味を引く工夫を
🍼 生後6〜9か月|ストローマグデビューのベストタイミング
この頃になると、舌の動きや口周りの筋肉が発達し、吸う動作ができる赤ちゃんが増えてきます。ストローの先に飲み物を少し含ませたり、パック飲料を軽く押して飲ませる練習も効果的です。

🔹 おすすめのストローマグ選び
- 柔らかいシリコンストロー
- 逆流防止機能がないシンプルなもの
👧 生後10〜12か月|自分で持って飲む練習期
この時期には、多くの赤ちゃんが自分でストローマグを持って飲めるようになります。持ち手付きのマグを選ぶと、飲みやすい角度で練習しやすくなります。
🔹 練習のポイント
- お出かけにも持参して、日常的に使う習慣を
- 飲み物の種類を増やして(白湯→麦茶→薄めたスープなど)興味を刺激
🏁 1歳以降|ストローマグ卒業とコップ飲みへのステップ
1歳を過ぎたら、少しずつコップ飲みの練習を始める時期です。ストローマグを完全にやめる必要はありませんが、「家ではコップ・外ではストローマグ」など場面による使い分けが理想です。

🔹 卒業に向けたアプローチ
- ストローを徐々に短くする
- 取っ手付きのトレーニングコップにステップアップ
- ストロー飲みに依存せず、口・舌・顎の筋力をバランスよく育てる
🧪 ストローマグ vs コップ・スパウト|違いと選び方を比較解説
赤ちゃんの飲み方トレーニングには「ストローマグ」「スパウトマグ」「コップ飲み」などさまざまな方法がありますが、どれをいつ、どのように使うかは悩みどころ。ここでは、それぞれの違いと選び方を詳しく解説します。
⚖️ ストローマグ vs コップ|習得しやすさ・衛生面・利便性
| 比較項目 | ストローマグ | コップ飲み |
|---|---|---|
| 習得のしやすさ | 吸うだけなので比較的簡単 | 最初はこぼしやすく時間がかかる |
| 飲むときの動き | 吸う力で飲む(舌を後ろに引く動き) | 唇や舌、顎を使って調整する必要がある |
| こぼれにくさ | 逆流防止や密閉設計でこぼれにくい | 傾けすぎるとこぼれる |
| 外出時の利便性 | フタ付きでバッグにも入れやすい | 携帯にはやや不向き |
| 発達への影響 | 長期間の使用で舌の動きに偏りが出る可能性も | 口腔周囲筋・嚥下機能をバランスよく育てられる |
🔍 結論:
両者にメリットはありますが、最終的には「コップ飲み」がゴール。
外出時や練習初期にはストローマグ、自宅ではコップを使うなど使い分けがおすすめです。
🆚 スパウトマグとどっちが先?|機能と役割の違い
| 比較項目 | スパウトマグ | ストローマグ |
|---|---|---|
| 対象月齢 | 生後4〜6か月頃〜 | 生後6〜9か月頃〜 |
| 飲み方 | 哺乳瓶と同様に傾けて口に含む | 吸う力でストローから飲む |
| 発達の段階 | 哺乳瓶→スパウト→ストローが一般的な流れ | 哺乳瓶→ストローに直接移行も可能 |
| 習得の難易度 | 初期段階でも比較的スムーズ | 吸う力が必要で、慣れるまで時間がかかることも |
| こぼれにくさ | 比較的こぼれにくい | 逆流防止があればこぼれにくい |
🔍 結論:
スパウトは「吸う」より「口に含む」感覚に近く、哺乳瓶とのギャップが少ないため、ストローへの橋渡し役として有効です。
📌 スパウトを飛ばしてストローマグへ移行はアリ?
🟢 答え:Yes。ただし個人差あり!
スパウトを使わず、いきなりストローマグへ移行する赤ちゃんも多数います。特に哺乳瓶から直接ストローに挑戦することで、吸う力や意欲が一気に伸びる子も。
📝 スパウトを飛ばす場合の注意点
- 最初は柔らかいストロー+逆流防止なしのタイプがおすすめ
- 無理に吸わせず、ストローの先に飲み物を含ませて誘導する
- 吸えない・むせるようならスパウトに一度戻してOK
🏋️♀️ ストローマグ練習ステップ|月齢別トレーニング方法
ストローマグは便利な育児アイテムですが、赤ちゃんにとっては「吸う」という動きが初体験。焦らず段階を踏むことで、スムーズな習得につながります。ここでは月齢ごとに最適な練習方法をご紹介します。
🍽 ステップ1|スプーンで水分補給(4〜6か月)
この時期の赤ちゃんはまだ吸う力が弱いため、まずはスプーンで白湯や麦茶を与えるところからスタートします。
✅ できることリスト
- 小さなスプーンで数滴ずつ与える
- 飲み物の温度や味に慣れさせる
- 飲む姿勢(少し前傾)を意識する
💡 ポイント
「ゴクン」と飲み込む感覚を覚えることで、後のストロー飲みにつながります。無理に飲ませず、笑顔で楽しく進めるのがコツ!
🧃 ステップ2|ストローの感触に慣れる(6〜9か月)
この時期から口や舌の筋肉が発達し、ストローの練習が始められます。ただし、最初は吸えなくて当然!
✅ おすすめの練習方法
- 親がストローで飲む姿を見せる
- ストローの先に飲み物を含ませて舌で味を感じさせる
- ストロー付きパック飲料を使って、軽く押して飲み物を出す(吸う感覚をサポート)
💡 ポイント
逆流防止機能のない、柔らかいストローからスタートするのがおすすめ。吸えたときは「すごいね!」としっかり褒めましょう✨
🍼 ステップ3|ストローマグで実際に飲む練習(9〜12か月)
9〜12か月になると、多くの赤ちゃんが自分でマグを持って飲めるようになります。この時期は「習慣づけ」が大切です。
✅ 取り入れたい練習
- 持ち手付きストローマグで自分で持たせる
- 公園や外出先でも使って、どこでも飲める環境を作る
- 水分のバリエーションを増やす(麦茶・スープ・果汁少量)
💡 ポイント
飲んだ後は歯磨きも忘れずに。甘い飲み物を使う場合は虫歯対策が必要です🦷
🧸 うまく飲めない時の対策|5つの工夫とNG行動
ストロー飲みがなかなかうまくいかないこともあります。そんな時は、以下の方法を試してみてください👇
✅ 対策①:ストローに飲み物を含ませる
→ 舌で味を感じることで、自然に吸いたくなります。
✅ 対策②:ストロー付き紙パックを軽く押す
→ 「吸うと出る」という感覚がつかみやすくなります。
✅ 対策③:細めのストローに変える
→ 一部のストローは太くて吸いにくい場合があるので、細めにすると飲みやすいです。
✅ 対策④:親が見本を見せる
→ 赤ちゃんはママ・パパの真似が大好き!一緒に飲むことでやる気UP。
✅ 対策⑤:一度お休みしてみる
→ 1〜2週間あけて再チャレンジすると、案外すんなり吸えることもあります。
🚫 NG行動:無理やり吸わせる・叱る・嫌がっているのに続ける
→ ストローへの嫌悪感が強くなり、逆効果になる恐れがあります。
📅 ストローマグはいつまで使う?コップ飲みへの移行の進め方
ストローマグは赤ちゃんの水分補給をサポートする便利アイテムですが、いつまで使うかは成長や生活スタイルに大きく関わるポイント。ここでは、スムーズなコップ飲みへの切り替え方と、長期使用による注意点を解説します。
👶 1歳〜1歳半が卒業の目安
ストローマグの卒業時期は、一般的に1歳〜1歳半ごろが目安です。1歳を過ぎると、赤ちゃんの口腔機能(唇・舌・顎の動き)がさらに発達し、コップ飲みに挑戦できるようになります。
🔸 卒業のタイミングサイン
- 自分でマグを持って飲めるようになった
- 食事中の「手づかみ食べ」が増えてきた
- コップに興味を示すようになった
📝 無理にやめる必要はありませんが、「そろそろ練習を始めようかな」と考える時期です。
💦 スムーズに切り替えるための環境と練習法
ストローマグからコップ飲みへの移行は、段階的に・生活に取り入れながら進めるのが理想です。
✅ 実践しやすいコップ練習法
- 少量の水から始め、こぼれてもOKな場所(お風呂・バスタオルの上など)で試す
- 取っ手付きのトレーニングコップを使う
- 最初は親が手を添えて飲ませる → 徐々に一人で持たせる
- 食事中1回だけコップにするなど、使い分け方式が効果的
🎯 おすすめ環境づくり
- 安定した椅子(ハイチェア)で姿勢を整える
- 飲む前に「そーっとね」「ゆっくり傾けてみよう」と声かけ
- 「お兄さんコップ」や「お姉さんマグ」で気分を盛り上げるのも◎
🚫 使いすぎNG?長期使用によるデメリットと発達影響
ストローマグはとても便利ですが、1歳以降も頻繁に使い続けることは避けたいという意見もあります。特に口腔機能の発達や歯並びに影響するリスクがあるため、注意が必要です。

⚠️ 長期使用による主なリスク
- 舌が後方に下がりやすく、**乳児型嚥下(赤ちゃん特有の飲み方)**が残ってしまう
- 低位舌や舌突出癖の原因になりやすい(舌で前歯を押すような飲み方)
- ストローに頼りすぎると、口唇・顎のコントロール力が育ちにくい
- ジュースや甘い飲み物をストローで頻繁に飲むと虫歯リスクも高まる
💡 解決策
- 外出時など必要な場面だけで使用する
- 自宅ではなるべくコップ飲みに切り替える
- ストローを短くする/スリットストローに変更して段階的に難易度を上げる
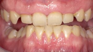
🦷 歯並び・発音への影響は?ストローマグの注意点
ストローマグは便利な育児グッズですが、長期間の使用や誤った使い方が、歯並びや舌の発達に影響する可能性もあります。ここでは、ストローマグが赤ちゃんの口腔機能や発音に与える影響と、その予防策について解説します。
📉 舌突出癖・低位舌が起こる理由とその影響
ストローマグの柔らかく長いストローを使い続けると、飲み物が簡単に喉の奥に届くようになり、本来鍛えるべき舌や唇・顎の筋肉が使われにくくなります。

🔻 結果として起こりやすい癖:
- 舌突出癖(ぜつとっしゅつへき):飲み込むときに舌を前に突き出す
- 低位舌(ていいぜつ):舌が常に下に落ちている状態
🦷 これらの癖が続くと…
- 前歯を押すように舌が働き、出っ歯や開咬(かいこう)※前歯が噛み合わない状態の原因に
- 発音時に舌が歯に当たりやすく、サ行・タ行の滑舌が不明瞭に
- 口呼吸・いびきの要因にもなり、睡眠の質にも影響することも
👄 嚥下や顎の発達を妨げないために必要なこと
赤ちゃんが本来持っている「嚥下(えんげ)=飲み込み」や「咀嚼(そしゃく)=噛む」機能を正しく育てるには、口周りの筋肉をしっかり使う経験が大切です。
🔸 発達を促すポイント
- コップで飲む習慣を1歳前後から少しずつ始める
- 飲み物の温度・舌触り・量などを変えて口腔感覚の刺激を増やす
- 食事中に「よく噛んでね」「ゴックンしようね」と声かけして、飲み込みの動作を意識づける
💡 ストローマグの使い方アレンジ
- ストローの長さを短くすることで、奥まで届きにくくなり、舌を動かす練習につながる
- ときどき「逆流防止機能なし」のシンプルタイプに切り替えると、口の使い方に変化が出て◎
👶 母乳保育・手づかみ食べとの関係性
口腔機能の発達には、ストローマグ以外の生活習慣も大きく関係しています。特に注目したいのが、以下の2つ。
🍼 母乳保育
- 母乳を飲む動作では、舌・顎・口唇が自然に連動して働きます。
- 哺乳瓶よりも**「吸って→飲み込む」過程が複雑で、筋肉がバランスよく発達**しやすいのが特徴です。
✋ 手づかみ食べ(1歳〜2歳)
- 食材の硬さや形を手で感じながら、自分のタイミングで口に運ぶことで、咀嚼・舌の動かし方・唇の閉じ方を自発的に学びます。
- この時期にストローマグばかりに頼ると、「自分で飲み込む」経験が減ってしまうことも。
📌 ワンポイントアドバイス
「便利だから使い続ける」ではなく、「今、どんな力を育てたいか」を意識してストローマグと向き合うのが大切です。
🛒 後悔しない!ストローマグの選び方ガイド【最新2025年版】
ストローマグは種類が豊富で、デザインや機能もさまざま。
「どれを選べばいいの?」と悩むママ・パパのために、月齢・発達・使い方に合わせた選び方のポイントを徹底解説します!
🧵 ストローの種類(柔らかい/硬い/スリット入り)
ストローの素材や形状によって、吸いやすさや使い勝手が大きく異なります。
| 種類 | 特徴 | おすすめの月齢 | メリット | 注意点 |
|---|---|---|---|---|
| 柔らかいストロー | シリコン製。口当たりがやさしく安全 | 生後6か月〜 | 吸いやすく、初期練習に最適 | 噛み癖があると破れやすい |
| 硬いストロー | プラスチック製。しっかりした吸い応え | 生後9か月〜 | 耐久性があり、成長段階に向く | 初心者には吸いにくいことも |
| スリット入り | 先端に切れ込みがあり、逆流しにくい | 生後6か月〜 | 飲み物が出すぎず安全 | 洗いにくく、劣化に注意 |
🔍 ポイント
初めてのストローマグには、柔らかいシリコンタイプ+スリット付きのものが◎。
ストローを噛みやすくなったら、硬め素材へ切り替えるのがおすすめです。
💧 逆流防止機能の有無と選び方
ストローマグには「逆流防止バルブ」がついているタイプと、ついていないシンプルタイプがあります。
| 機能 | メリット | デメリット | 適した場面 |
|---|---|---|---|
| 逆流防止機能あり | 飲み物がこぼれにくく、バッグの中も安心 | 吸う力が必要で、練習初期は難しいことも | 外出用・移動中 |
| 逆流防止機能なし | 軽い力で吸えるので初心者向け | 倒すとこぼれる可能性あり | 自宅での練習・入門用 |
🔍 選び方のコツ
- **はじめは「逆流防止なし」**で練習 → 慣れたら「ありタイプ」で外出用に
- 飲み物がこぼれて困るシーンでは逆流防止が活躍します!
✋ 持ち手の有無で変わる使いやすさ
赤ちゃんが自分でマグを持つようになると、持ち手付きかどうかも重要な判断ポイントになります。
| 持ち手のタイプ | 特徴 | メリット | デメリット |
|---|---|---|---|
| 持ち手付き | 両手で支えやすく、安定して飲める | 初心者でも飲みやすく安心感◎ | ややかさばる・洗い物が多い |
| 持ち手なし | スリムで省スペース。バッグにも入れやすい | お出かけやコップ練習に便利 | 最初は持ちにくいことがある |
🔍 選び方のコツ
- 練習スタート時は持ち手付きを選び、自分で持てる楽しさを体験させましょう。
- 1歳を過ぎてコップ練習に入るなら、シンプルな持ち手なしタイプがおすすめ。
🧴 素材別の特徴(プラスチック/シリコン/ステンレス)
ストローマグの本体素材も、用途や衛生面での使い勝手が異なります。
| 素材 | 特徴 | メリット | デメリット |
|---|---|---|---|
| プラスチック | 軽くてカラフル。種類豊富 | 扱いやすくコスパが良い | 傷がつきやすく、長持ちはしにくい |
| シリコン | やわらかくて落としても安心 | 衝撃に強く、口当たりがソフト | やや汚れがつきやすい |
| ステンレス | 保冷・保温機能付き。夏やお出かけに便利 | 耐久性◎/飲み物の温度を保てる | 重くて価格もやや高め |
🔍 選び方のコツ
- 自宅用→軽量なプラスチックやシリコン
- 外出用→保冷機能つきのステンレスマグ
シーン別に使い分けるのが賢い選択です💡
🧼 ストローマグの正しい使い方とお手入れ方法
ストローマグは赤ちゃんの口に直接触れるものだからこそ、正しい使い方と衛生管理がとても重要です。ここでは、誤嚥リスクを防ぐ使い方や、カビ・雑菌を防ぐお手入れのコツをわかりやすくご紹介します。
🧽 誤嚥を防ぐための使い方と姿勢
赤ちゃんがストローマグを使う際に最も気をつけたいのが、誤嚥(ごえん)=飲み物が気管に入る事故です。
✅ 誤嚥を防ぐ正しい姿勢
- 背もたれのある椅子か親の膝で、軽く前傾姿勢にする
- 飲むときは「お口でゴックン」と声かけしながら見守る
- 寝かせたまま飲ませるのはNG!(気管に入りやすくなります)
✅ 使用時のチェックポイント
- 最初は少量ずつ与える(一気飲みを防止)
- 吸いすぎてむせるようなら、逆流防止機能付きマグに切り替える
- 飲んだ後もしばらく様子を観察し、咳き込みや異変がないか確認する
🔍 まとめ
誤嚥予防には、「量・姿勢・見守り」の3つが基本です。赤ちゃんが自分で吸えるようになっても油断せず、安全第一で使いましょう。
💡 毎日の洗い方と週1の消毒チェックリスト
ストローマグは毎回しっかり洗浄+週1回の消毒が基本です。特にストロー部分は、細かい汚れや菌がたまりやすいため注意が必要です。
✅ 使用後の毎日ケア
- 使用後すぐに分解して洗う(本体・フタ・パッキン・ストロー)
- ストロー内部は専用のストローブラシでこすり洗い
- ミルクやジュースを使った場合は特に念入りに!
✅ 週1の消毒メニュー
- 🔥 熱湯消毒(耐熱製品のみ)
5分ほど煮沸 or 熱湯を注ぐだけでもOK - 🧴 消毒液(ミルトンなど)に30分ほど漬け置き
- ♨️ 電子レンジ対応のものはレンジ除菌容器でチン
🔍 POINT
ストロー・パッキンはカビや菌が繁殖しやすいパーツNo.1!定期的な消毒で清潔を保ちましょう。
🌫 カビや汚れを防ぐポイントとおすすめグッズ
「洗ってるのに、なんだか黒ずんできた…」という声も多いストローマグ。カビやヌメリを防ぐには“湿気を残さないこと”がカギです!
✅ カビ防止のコツ
- 使用後はしっかり乾かす&風通しのいい場所で保管
- ストロー部分は下向きに吊るして乾かすのが◎
- 使わない日は分解して乾燥保管(密閉NG)
✅ おすすめお手入れグッズ
| アイテム名 | 特徴 |
|---|---|
| ストローブラシ(100均〜) | 細いストローにも対応。専用なら洗いやすい! |
| 食洗機対応ストローマグ | 食洗機で丸洗いOK。共働きママの味方! |
| 除菌・乾燥スタンド | 分解したパーツを衛生的に乾燥保管できる |
🔍 POINT
カビが発生してしまった場合は、無理に使い続けずストローだけの交換またはマグごと買い替えを検討しましょう。
🎒 外出に便利!おすすめストローマグTOP3【保冷・漏れ防止】
お出かけ先でも赤ちゃんがスムーズに水分補給できるように、**「漏れにくい」「温度を保てる」「扱いやすい」**ストローマグを選ぶのがポイントです。ここでは2025年版として、保護者の満足度が高い厳選3商品をご紹介します。
🥇 サーモス|保冷力最強マグ
🔸 商品名:サーモス 真空断熱ベビーストローマグ
保冷力に特化したステンレス製の人気モデル。夏場のお出かけや公園遊びにも最適です。
| 特徴 | 詳細 |
|---|---|
| 保冷時間 | 約6時間の保冷が可能(※目安) |
| 素材 | ステンレス製真空断熱構造 |
| 容量 | 250ml〜300ml(モデルによる) |
| 対象月齢 | 生後9か月頃〜 |
✅ ここが便利!
- 飲み物がぬるくなりにくいので、赤ちゃんが最後まで美味しく飲める
- フタがしっかり閉まり、バッグの中でも漏れにくい
- 取っ手付き・取っ手なし両方のラインナップあり

「▶ Amazonで見る」
「▶ 楽天で見る」
💬 口コミより
「猛暑でも冷たい麦茶をキープできて大満足!ステンレスなのに軽いのも◎」
🥈 ピジョン|どんな角度でも飲みやすいおもり付き
🔸 商品名:ピジョン マグマグ ストロー
ストローの先におもりが付いているため、赤ちゃんがどんな角度でも飲みやすい設計。初めての外出先でも失敗が少なく安心です。
| 特徴 | 詳細 |
|---|---|
| 吸引角度対応 | 寝転びながらでも吸える |
| 素材 | プラスチック+シリコン |
| 容量 | 約200ml |
| 対象月齢 | 生後8か月頃〜 |
✅ ここが便利!
- 360度どの方向でも吸いやすい
- コンパクトで軽く、持ち運びやすい
- 吸う力が弱くても飲みやすい設計

「▶ Amazonで見る」
「▶ 楽天で見る」
💬 口コミより
「ベビーカーでも寝ながら飲めて助かる!旅行や車移動に欠かせないアイテムです」
🥉 コンビ|洗いやすくて漏れにくい安心設計
🔸 商品名:コンビ ラクマグシリーズ
衛生面と扱いやすさを追求した構造で、忙しい外出中でもママ・パパが安心して使える設計。フタの内側に溝がないので洗いやすさ抜群!
| 特徴 | 詳細 |
|---|---|
| 構造 | 内部に汚れがたまりにくいシンプル設計 |
| 素材 | プラスチック+シリコンパーツ |
| 容量 | 240ml〜340ml(ラインナップによる) |
| 対象月齢 | 生後6か月頃〜(シリーズによる) |
✅ ここが便利!
- フタ裏の複雑な構造がなく、外出先でもサッと洗いやすい
- 逆流防止機能でバッグの中でも安心
- 飲み口のパーツが交換できるので長く使える

「▶ Amazonで見る」
「▶ 楽天で見る」
💬 口コミより
「出先でさっと洗えて衛生的!初めてのストローマグに選んで正解でした」
💬 よくある質問(Q&A)
ストローマグに関して、多くのママ・パパが抱える疑問をQ&A形式でまとめました。実際の育児シーンで役立つ実践的な回答ばかりですので、ぜひ参考にしてください!
❓ ストローマグは使わなきゃいけない?
🅰 必須ではありません。
ストローマグはあくまで「水分補給をスムーズにする補助アイテム」。
スパウトマグやコップから直接練習することも可能です。
💡 ただし、外出時の携帯性やこぼれにくさから、一時的に導入する家庭は多く、「使っておくと便利」という側面が強いアイテムです。
❓ うまく飲めないときの対処法は?
🅰 以下の方法を試してみましょう👇
✅ ストローの先に少量の飲み物を含ませて、舌で味を感じさせる
✅ ストロー付きパック飲料(麦茶など)を軽く押して、吸う感覚をつかませる
✅ 親が見本を見せて一緒に飲む
✅ ストローを細めのものに変更する
✅ 1〜2週間休んでから再チャレンジ
💡 「できない」ではなく「まだ時期じゃないだけ」と考え、焦らず進めましょう。
❓ 洗浄の頻度と注意点は?
🅰 毎回使用後に洗浄し、週1〜2回は消毒が理想的です。
✅ 毎日:使用後はすぐに分解して洗浄(特にストロー・パッキン)
✅ 週1:熱湯・電子レンジ・消毒液(ミルトンなど)で殺菌
✅ 注意点:完全に乾燥させてから保管(湿気はカビのもと!)
💡 食洗機対応マグやストローブラシを活用すると時短&衛生面も安心です。
❓ 歯並びに本当に影響するの?

🅰 使い方や使用期間によっては影響の可能性があります。
✔ 長期間ストローマグを使い続ける
✔ 舌の位置が低くなる(低位舌)
✔ 飲み込む時に舌を突き出す(舌突出癖)
これらが重なると、前歯の発育に悪影響を及ぼす場合があります。
🦷 1歳半前後を目安にコップ飲みに移行するのが推奨されています。
❓ 1歳を過ぎても使って大丈夫?
🅰 使ってもOKですが、“使い方”と“頻度”に注意が必要です。
🔻 理想のスタンス
- 自宅ではコップ飲みを中心に
- 外出時だけストローマグを併用
- ストローを徐々に短くするなどして、乳児型嚥下からの移行を促す
💡 「使い続ける」のではなく「卒業に向けて付き合う」のがポイントです。
📘 まとめ|ストローマグは“使い方と卒業タイミング”が成功のカギ!
ストローマグは、赤ちゃんの飲み方のステップアップを助ける便利な育児サポートツール。
ただし、使い方や卒業のタイミングを誤ると、口腔機能の発達に影響を与えることも。
**「いつから始めて、いつまでにどう切り替えるか」**が、成功のカギを握ります。
✅ 赤ちゃんの発達に応じて段階的に活用しよう
赤ちゃんの成長スピードには個人差があるため、「○か月になったから使う」よりも、その子の発達段階に合わせて導入することが大切です。
🔸 生後4〜6か月:スプーンやスパウトで“飲む”準備
🔸 生後6〜9か月:ストローマグの練習スタート
🔸 生後10〜12か月:自分で持って飲めるように
🔸 1歳以降:コップ飲みへ移行を意識
✅ 練習は焦らず「楽しく・ゆっくり」がポイント
最初からうまく吸えなくても大丈夫。
ストローに触れる、口に入れてみる、真似してみる…。そのすべてが練習の一部です。
💡 「できたね!」「すごいね!」と声かけで成功体験を重ねてあげることが、赤ちゃんの意欲を引き出します。
✅ 1歳以降はコップ飲みに切り替える準備を
ストローマグは便利ですが、長期間の使用は口や舌の発達に悪影響を及ぼすリスクも。
1歳を過ぎたら、日常生活の中にコップ飲みの練習時間を取り入れましょう。
🔹 自宅ではコップ/外出時はストローマグなど使い分け
🔹 取っ手付きトレーニングカップから始めてみる
🔹 飲む姿勢や量にも配慮しながら、少しずつ移行を
🏥 江戸川区篠崎でお子さまの健やかな口腔発達をサポートしています

江戸川区篠崎にある当院では、赤ちゃんや小さなお子さまの口腔発達や飲み方の癖に関するご相談を多数いただいています。
「ストローマグはいつから?」「歯並びに影響しない使い方は?」「コップ飲みの練習はどうすれば?」といった疑問は、将来の歯並びや咀嚼・発音にも関わる大切なテーマです。
当院では、乳児期からの口腔育成サポートや、むし歯予防・歯並び相談を専門的に行っております。
👶 初めての歯科デビューも大歓迎!
お気軽に「ストローマグの相談がしたくて…」とご予約ください。
江戸川区篠崎エリアで小児歯科をお探しの方は、ぜひ当院にご相談ください。
【動画】指しゃぶりや指吸いを止めさせる方法
筆者・院長

深沢 一
Hajime FUKASAWA
- 登山
- ヨガ
メッセージ
日々進化する歯科医療に対応するため、毎月必ず各種セミナーへの受講を心がけております。
私達は、日々刻々と進歩する医学を、より良い形で患者様に御提供したいと考え、「各種 歯科学会」に所属すると共に、定期的に「院内勉強会」を行う等、常に現状に甘んずる事のないよう精進致しております。 又、医療で一番大切な事は、”心のある診療”と考え、スタッフと共に「患者様の立場に立った診療」を、心がけております。


