- 1. 叢生(乱杭歯)とは?🦷
- 1.1. 犬歯の叢生(乱杭歯)
- 1.1.1. 🦷 所見の解説
- 1.1.1.1. 上顎犬歯(特に右上犬歯)
- 1.1.1.2. 歯列全体の特徴
- 1.2. 🔍 問題点の整理
- 1.3. 🩺 臨床的考察
- 1.4. 臼歯部の叢生のパノラマX線写真
- 1.4.1. 🦷 全体の診断所見
- 1.4.1.1. 右下第4小臼歯(右下4番)
- 1.4.1.2. 右下第5・6・7歯(小臼歯〜大臼歯)
- 1.4.1.3. 右下智歯(親知らず・8番)※左の矢印
- 1.4.2. 🔍 問題の因果関係まとめ
- 1.4.3. 🩺 治療上の考慮点
- 1.5. 同症例の臼歯部叢生の口腔内写真
- 1.5.1. 🦷 全体の所見
- 1.5.1.1. 右下第1小臼歯(右下4番)
- 1.5.1.2. 咬合関係(上下の噛み合わせ)
- 1.5.1.3. 食片圧入の懸念
- 1.5.2. 🔍 問題点まとめ
- 1.5.3. 🩺 臨床的考察
- 2. 叢生の原因・症状・デメリット🔍
- 2.1. 叢生の原因
- 2.2. 叢生の症状・デメリット⚡
- 3. 叢生の治療法💡
- 3.1. ワイヤー矯正
- 3.1.1. 🦷叢生改善のための上下4番抜歯とパワーチェーンを用いた矯正治療
- 3.1.1.1. ✔ 叢生(そうせい)
- 3.1.1.2. ✔ 抜歯スペースの閉鎖中
- 3.1.1.3. ✔ 下顎:ワイヤー+パワーチェーン
- 3.1.1.4. ✔ 上顎:ワイヤー矯正進行中
- 3.2. マウスピース矯正(インビザラインなど)
- 3.3. 小児矯正
- 3.4. 治療期間と費用の目安💰
- 3.5. 矯正治療を始めるタイミング⏰
- 3.6. 叢生を放置するリスク⚠️
- 4. まとめ🌸
- 5. 🏥江戸川区篠崎で歯並びにお悩みの方へ
- 6. 【動画】アデノイド顔貌
- 7. 筆者・院長

👀 あなたの歯並びは「デコボコしていて磨きにくい」「笑うと乱杭歯が目立つ」と感じていませんか?🦷
叢生(そうせい/乱杭歯)は見た目のコンプレックスだけでなく、虫歯や歯周病のリスクを高める要因にもなります。
近年はワイヤー矯正やマウスピース矯正など治療方法も多様化しており、子どもから大人まで改善が可能です。
この記事では、叢生の原因・デメリット・矯正治療の種類・費用や期間・放置リスクまでをわかりやすく解説します。
「自分や子どもの歯並びが気になる」「矯正を始めるタイミングを知りたい」という方は、ぜひ参考にしてください✨。
叢生(乱杭歯)とは?🦷
「叢生(そうせい)」とは、歯が重なり合ってデコボコに生えている状態を指します。一般的に「乱杭歯(らんぐいば)」とも呼ばれ、見た目の問題だけでなく、口腔内の健康にも大きな影響を与えます。歯が重なっていると磨き残しが増え、虫歯や歯周病のリスクが高まるのです⚠️。
犬歯の叢生(乱杭歯)
この口腔内写真は、上顎(上の歯列)を撮影したもので、犬歯の叢生(そうせい:歯が重なって並んでいる状態)が認められます。


🦷 所見の解説
上顎犬歯(特に右上犬歯)
- 犬歯が歯列弓から外側(唇側)に飛び出している状態です。
- 隣在する側切歯(2番)と第1小臼歯(4番)との間に十分なスペースがなく、
**萌出スペース不足による叢生(重なり)**が発生しています。 - 犬歯は萌出力が強いため、他の歯を圧迫しながらこの位置に出てきたと考えられます。
歯列全体の特徴
- 前歯部(特に2番と3番の間)に**歯列のねじれ(ローテーション)**が見られます。
- 側方歯群(小臼歯・大臼歯)の配列は比較的安定しているものの、
前方部での歯列弓の幅径不足が明らかです。 - 犬歯の外側萌出によって審美的にも不均衡が生じています。
🔍 問題点の整理
| 部位 | 状態 | 臨床的懸念 |
|---|---|---|
| 犬歯 | 唇側転位・叢生 | 審美的不均衡・清掃不良リスク |
| 側切歯 | 位置の回転・圧迫 | 歯列弓狭窄の影響 |
| 前歯部全体 | 叢生 | プラーク蓄積・歯肉炎の誘発 |
| 咬合 | 犬歯誘導の欠如 | 将来的な咬合干渉の可能性 |
🩺 臨床的考察
- 主な原因は、**歯列弓の幅径不足(スペース不足)**による萌出異常。
- 放置すると、犬歯誘導の欠如や咬耗・歯肉退縮のリスクが高まります。
- 審美・機能の両面から、矯正治療によるスペース確保と歯列整直が望まれます。
- 特に成長期であれば、拡大装置による歯列弓拡張や早期矯正の効果が期待できます。
臼歯部の叢生のパノラマX線写真
この画像は下顎のパノラマX線写真(オルソパントモグラフ)です。赤い矢印の部分を中心に、歯の位置関係や萌出状態を説明します。

🦷 全体の診断所見
右下第4小臼歯(右下4番)
- **萌出不全(萌出途中で止まっている)**の状態です。
- おそらく永久歯への交換時期にスペース不足があったため、歯列内に十分な場所がなく、正しく萌出できなかったと考えられます。
右下第5・6・7歯(小臼歯〜大臼歯)
- **近心傾斜(手前方向に傾いている)**が認められます。
- これは4番の萌出不全により、歯列に不均衡が生じたことが原因と推察されます。
- 特に6番と7番の傾斜は明確で、歯列全体のバランスに影響しています。
右下智歯(親知らず・8番)※左の矢印
- 完全に水平埋伏しており、骨内で7番の根に向かって前方へ圧力をかけています。
- このような水平埋伏智歯は、前方歯の歯根吸収、歯列不正、虫歯、歯周病リスクなどを引き起こす可能性があります。
🔍 問題の因果関係まとめ
| 歯の番号 | 状態 | 説明 |
|---|---|---|
| 右下4番 | 萌出不全 | スペース不足による |
| 右下5〜7番 | 近心傾斜 | 4番の未萌出+後方圧力による |
| 右下8番 | 水平埋伏 | 骨内で前方に力をかけ、歯列不正に関与 |
🩺 治療上の考慮点
- 8番(智歯)は外科的抜歯を検討すべきケース。
- 傾斜した5〜7番に対し、矯正治療の検討が必要な場合も。
- 萌出できなかった4番が将来的に嚢胞化や再吸収を起こす可能性があるため、経過観察または処置を要検討。
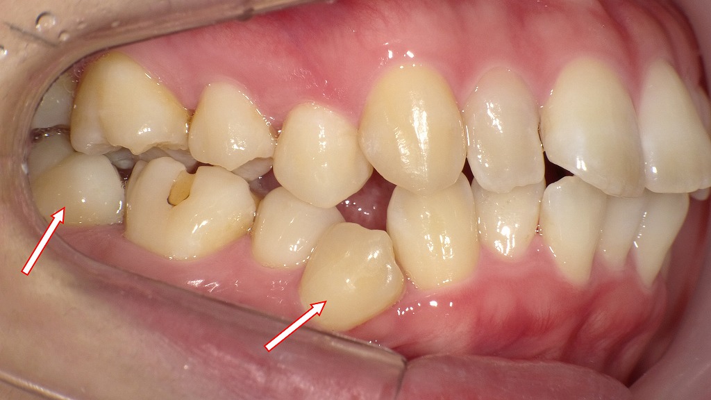
同症例の臼歯部叢生の口腔内写真
同症例の口腔内写真の状態を解説します。

🦷 全体の所見
右下第1小臼歯(右下4番)
- 萌出不完全で、歯列内に十分に位置できていません。
- 萌出方向がやや近心かつ低位で、咬合面に参加できていない状態です。
- 周囲の歯との高さの不一致がみられ、機能的な咬合を妨げています。
咬合関係(上下の噛み合わせ)
- 上下の咬合が崩れている状態で、臼歯部(奥歯)の高さの不揃いが目立ちます。
- 特に右下第7大臼歯(右下7番)は**近心傾斜(手前方向への傾き)**が強く、
上下の咬合関係のバランスを乱しています。 - この傾斜により、咬合接触が不安定になりやすく、長期的には咀嚼効率の低下が懸念されます。
食片圧入の懸念
- 右下6番と7番の間、および4番付近の歯間部に**食片圧入(食べ物が詰まりやすい)**リスクがあります。
- これは歯の傾斜と接触点のずれによって**隙間(歯間空隙)**が生じているためで、
虫歯や歯周病の原因となることがあります。
🔍 問題点まとめ
| 観察部位 | 状態 | 臨床的な懸念 |
|---|---|---|
| 右下4番 | 萌出不完全 | 咬合への不参加、歯列不正 |
| 右下7番 | 近心傾斜が顕著 | 咬合崩壊・清掃不良リスク |
| 右下6〜7間 | 接触不良 | 食片圧入・二次う蝕リスク |
| 全体咬合 | 崩れている | 咀嚼バランス低下、咬耗リスク |
🩺 臨床的考察
- 早期に矯正的介入や智歯(8番)の管理を検討すべき症例。
- 食片圧入部位は歯肉炎やう蝕の初期兆候を起こしやすいため、定期的な清掃指導が必要です。
- 長期的には、歯列全体の調和を整えることで咬合の安定と清掃性の改善が期待できます。
叢生の原因・症状・デメリット🔍
叢生の原因
叢生の主な原因には、次のようなものがあります。
- 顎の大きさと歯の大きさのアンバランス
- 遺伝的な要因
- 乳歯の早期喪失や指しゃぶりなどの習癖
これらの要素が重なると、歯が正しい位置に並ばず、デコボコした歯並びになってしまいます。
叢生の症状・デメリット⚡

さらに歯石の沈着や虫歯、歯周病リスクも高まるため、早めの対策が大切です。
叢生は単なる見た目の問題ではありません。
- 審美性の低下 → 笑顔に自信が持てない
- 虫歯・歯周病リスク増加 → 歯みがきがしにくい
- 噛み合わせの悪化 → 食事や発音に影響
- 将来的なトラブル → 顎関節症や歯の早期喪失のリスク
放置すると悪化する可能性が高いため、早期の対応が大切です。
叢生の治療法💡
ワイヤー矯正
もっとも一般的な治療法で、確実に歯を動かすことができます。
- メタルブラケット:強い力で効率的
- 審美ブラケット:目立ちにくい
- 舌側矯正:裏側から装置をつけるため目立たない✨
🦷叢生改善のための上下4番抜歯とパワーチェーンを用いた矯正治療
この写真は、叢生(歯がデコボコに並んでいる状態)を改善するために上下左右の4番(第一小臼歯)を抜歯して行うワイヤー矯正の途中経過を示しています。

✔ 叢生(そうせい)
前歯の並びが乱れており、歯列に収まりきらない歯が前後にずれています。このため、スペースを確保する目的で上下4番抜歯を行っています。
✔ 抜歯スペースの閉鎖中
抜歯跡のスペースを閉じるために、
**パワーチェーン(弾力のある連結ゴム)**が使用されています。
パワーチェーンはワイヤーとブラケットに装着され、歯を引っ張って隙間を徐々に閉じる役割をします。
✔ 下顎:ワイヤー+パワーチェーン
下顎にはブラケットとワイヤーが装着され、パワーチェーンで犬歯と前歯を大臼歯方向へ牽引しています。
✔ 上顎:ワイヤー矯正進行中
上顎もブラケット装着済みで、同じく抜歯スペースの閉鎖は終わっています。
マウスピース矯正(インビザラインなど)
透明なマウスピースを装着して歯を動かします。
- 目立ちにくい👀
- 取り外し可能で衛生的
- 軽度〜中等度の叢生に適応
小児矯正
子どもの成長期に行う治療。顎の骨の成長を利用し、歯が並ぶスペースを確保します。早期に始めることで抜歯の可能性を減らせる場合があります👶。
治療期間と費用の目安💰
- ワイヤー矯正:2〜3年、80〜120万円程度
- マウスピース矯正:1.5〜3年、90〜120万円程度
- 小児矯正:1〜2年、30〜50万円程度
※費用は歯科医院によって差があります。保険適用外(自由診療)が基本です。
矯正治療を始めるタイミング⏰
- 子ども:6〜12歳頃が適期。成長を利用できるため効果的。
- 大人:年齢に関係なく治療可能。健康な歯と歯ぐきがあれば始められます。
叢生を放置するリスク⚠️
- 磨き残し → 虫歯・歯周病に直結
- 噛み合わせ不良 → 顎関節症の原因に
- 長期的に歯を失うリスク増大
歯並びの乱れは自然に治ることはなく、放置すると悪化します。気になったら早めの相談がおすすめです🏥。
まとめ🌸
叢生(乱杭歯)は見た目だけでなく、健康にも悪影響を与える歯並びです。
- 原因:顎と歯のバランス、習癖、遺伝など
- デメリット:虫歯・歯周病・噛み合わせ悪化
- 治療法:ワイヤー矯正、マウスピース矯正、小児矯正
歯並びを整えることで、見た目も機能も改善し、健康的な笑顔を手に入れることができます😊。
🏥江戸川区篠崎で歯並びにお悩みの方へ

叢生(乱杭歯)は見た目だけでなく健康にも影響します。当院ではワイヤー矯正・マウスピース矯正・小児矯正まで幅広く対応し、患者さまに最適な治療をご提案いたします。✨。😊
【動画】アデノイド顔貌
筆者・院長

深沢 一
Hajime FUKASAWA
- 登山
- ヨガ
メッセージ
日々進化する歯科医療に対応するため、毎月必ず各種セミナーへの受講を心がけております。
私達は、日々刻々と進歩する医学を、より良い形で患者様に御提供したいと考え、「各種 歯科学会」に所属すると共に、定期的に「院内勉強会」を行う等、常に現状に甘んずる事のないよう精進致しております。 又、医療で一番大切な事は、”心のある診療”と考え、スタッフと共に「患者様の立場に立った診療」を、心がけております。


