- 1. 歯石が原因の口臭にご注意!実際の診療で多い「歯石のにおい」って?
- 1.1. 💡歯石とは?においが出るしくみ
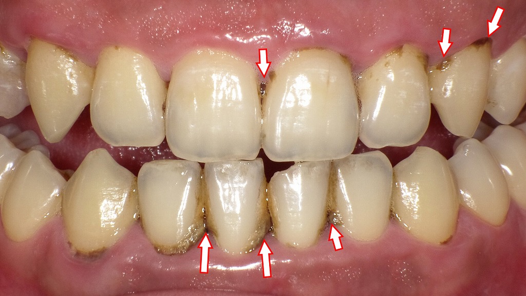
- 1.2. 歯石の症例
- 1.2.1. 🔍 解説
- 1.2.1.1. ■ 黒い歯石とは
- 1.2.1.2. ■ 問題点
- 1.2.1.3. ■ 対策・治療法
- 1.3. 👃歯石による口臭の特徴と、患者さんの声
- 1.4. ⚠️放置すると臭いが悪化する理由
- 1.5. 🔍歯石が溜まっているサイン
- 2. 🪥歯科での歯石除去(スケーリング)
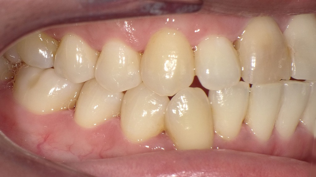
- 2.1.1. 歯石が原因の口臭は改善できる|歯石除去(スケーリング)のビフォー・アフター
- 2.1. 🔁再発を防ぐためのケア
- 2.2. 😷他の原因にも注意
- 3. 🌿まとめ:臭いの原因は“取るだけで終わり”ではない
- 4. ✨江戸川区篠崎で口臭や歯石が気になる方へ
- 5. 【動画】なかなか取れない舌苔の完全除去方法
- 6. 筆者・院長

「最近、口の中がなんとなく臭う…」そんなお悩みはありませんか?
実は、そのにおいの原因が歯石(しせき)にあることも少なくありません。
歯石は、歯の表面にこびりついた汚れが硬くなったもので、細菌が繁殖しやすい環境を作ります。
放置すると、歯周病や強い口臭(歯石臭)につながることも。
この記事では、歯石が臭う原因や改善方法、再発を防ぐポイントをわかりやすく解説します🦷✨
歯石が原因の口臭にご注意!実際の診療で多い「歯石のにおい」って?
「最近、マスクの中がなんだか臭うんです…」
そんな相談を受けることが、歯科ではとても多いです。
実はその原因のひとつに、“歯石”が関係していることがあります。

💡歯石とは?においが出るしくみ
歯石は、歯の表面についた歯垢(プラーク)が唾液中のカルシウムと結びつき、石のように固まったもの。
一度硬くなると歯ブラシでは取れず、表面がザラザラしているため、細菌がさらに付着しやすくなります。
この細菌が「硫化水素」や「メチルメルカプタン」といったガスを発生し、卵が腐ったような独特の臭いを生み出すのです。
特に歯ぐきの中にできる縁下歯石は目に見えにくく、においの発生源になりやすい部分です。
歯石の症例
この画像は、歯の表面や歯と歯の間に黒い歯石(黒色歯石・縁上歯石)が沈着している様子を示しています。
赤い矢印の部分に注目すると、歯肉の境目や隣接面に黒〜茶色の付着物が見られます。

🔍 解説
■ 黒い歯石とは
黒い歯石は、主に**歯肉縁下歯石(しにくえんかしせき)**と呼ばれ、歯ぐきの縁や内部にできる硬い沈着物です。
唾液中のカルシウムやリン酸が、プラーク(歯垢)に含まれる細菌と反応して石灰化したもので、時間が経つほど黒く変色します。
喫煙者や歯周病の方に特に多く見られます。
■ 問題点
- 歯石表面はざらざらしており、細菌(プラーク)が付着しやすいため、
→ プラークの温床となり、歯周病や口臭の原因になります。 - 歯ブラシでは除去できず、放置すると炎症が進み、歯ぐきが下がったり出血しやすくなります。
■ 対策・治療法
- **歯科医院でのスケーリング(歯石除去)**が必要です。
超音波スケーラーや手用スケーラーで歯石を丁寧に取り除き、歯面を滑らかに整えます。 - **定期的なクリーニング(3〜6か月ごと)**で再付着を防ぐことができます。
- 毎日のブラッシングでは、歯間ブラシやフロスも併用することが効果的です。
👃歯石による口臭の特徴と、患者さんの声
「朝起きたときの口のにおいが気になる」
「家族に“口が臭う”と言われてショックでした」
このような声を聞くことは珍しくありません。
歯石が溜まると、においは“ドブ臭”や“鉄っぽい臭い”と表現されることが多く、
歯周病が進行すると膿が混ざり、より重く嫌な臭いに変わっていきます。
ただし、本人は慣れて気づきにくく、周囲の人が先に気づくケースも多いのです。
⚠️放置すると臭いが悪化する理由
歯石をそのままにすると、歯ぐきが炎症を起こして歯周病に進行します。
炎症が強くなると、歯ぐきの中に膿がたまり、出血や細菌の分解臭が混ざってさらに悪臭が強くなります。
実際に「においが気になる」と来院された方の多くが、
クリーニング後には「口の中が軽くなった」「息が爽やかになった」と実感されています。
🔍歯石が溜まっているサイン
- 歯ぐきが赤く腫れている
- 歯みがきで血が出る
- 朝起きたときに強い口臭がある
- 歯の根元に白や黄ばみが見える
こうした症状がある場合は、歯石の可能性が高いです。
特に歯ぐきの中の歯石は自分では見えないため、歯科でのチェックが欠かせません。
🪥歯科での歯石除去(スケーリング)

歯石は歯ブラシでは落とせません。
当院では「超音波スケーラー」という専用器具で、細かく振動を与えて歯石を除去します。
痛みはほとんどなく、1回で口の中がスッキリします。
実際に施術を受けた患者さんの中には、
「マスクの中のにおいが気にならなくなった」
「家族に“口がいい匂いになったね”と言われた」
といった嬉しい声もあります。
歯石が原因の口臭は改善できる|歯石除去(スケーリング)のビフォー・アフター


左(または上)の画像では、歯ぐきの縁や歯周ポケット内に歯石が付着し、細菌が増殖しやすい状態が確認できます。
歯石は口臭の原因となるガスを発生させ、歯周病の進行や不快なネバつきの原因にもなります。
右(または下)の画像は、歯石除去(スケーリング)後の状態です。
歯石と細菌性バイオフィルムが除去され、歯面が清潔になり、歯ぐきの炎症や口臭の原因が改善しています。
口臭対策には、セルフケアだけでなく、定期的なプロフェッショナルクリーニングが重要です。
🔁再発を防ぐためのケア
歯石は一度取っても、数か月で再び付着します。
再発を防ぐには以下の習慣が大切です。
- フロスや歯間ブラシで歯と歯の間の汚れを除去
- 歯ブラシで1本ずつ丁寧に磨く
- 水分をしっかりとってドライマウスを防止
- 3〜6か月ごとの定期クリーニングを受ける
定期的なメンテナンスで「臭いを出さないお口」に整えていきましょう。
😷他の原因にも注意
歯石を取っても臭いが続く場合、ほかの原因が隠れていることもあります。
- 舌の汚れ(舌苔)
- 虫歯や根の感染
- 扁桃腺の臭玉
- ドライマウス
- 糖尿病や胃腸のトラブル
当歯科医院では、これらを総合的にチェックして原因を見極めます。
🌿まとめ:臭いの原因は“取るだけで終わり”ではない
歯石による口臭は、プロのケアなしでは改善しません。
定期的なクリーニングで歯ぐきを引き締め、
清潔な口腔環境を保つことが、においの再発防止と健康維持につながります。
「なんだか最近、口の中がにおう気がする…」
そんなときは、早めに歯科で相談してください。
私たちがあなたのお口をリセットし、息まで清潔に保つお手伝いをいたします😊🦷
✨江戸川区篠崎で口臭や歯石が気になる方へ

「口の臭いが気になる」「歯を磨いてもにおいが取れない」——そんなお悩みはありませんか?
その原因は、歯の表面や歯ぐきの中にこびりついた歯石かもしれません。
歯石は細菌の温床となり、歯周病や強い口臭(歯石臭)を引き起こすことがあります。
江戸川区篠崎の当歯科クリニックでは、超音波スケーリングによる安全な歯石除去と、再発を防ぐホームケア指導を行っています🦷✨
口臭が気になる方は、ぜひ一度ご相談ください。
【動画】なかなか取れない舌苔の完全除去方法
筆者・院長

深沢 一
Hajime FUKASAWA
- 登山
- ヨガ
メッセージ
日々進化する歯科医療に対応するため、毎月必ず各種セミナーへの受講を心がけております。
私達は、日々刻々と進歩する医学を、より良い形で患者様に御提供したいと考え、「各種 歯科学会」に所属すると共に、定期的に「院内勉強会」を行う等、常に現状に甘んずる事のないよう精進致しております。 又、医療で一番大切な事は、”心のある診療”と考え、スタッフと共に「患者様の立場に立った診療」を、心がけております。


