- 1. 🦷 ホワイトニングで“ホワイトスポット”がより目立ってしまったケース
- 1.1. 【症例1】ホワイトニングで“ホワイトスポット”が目立つ
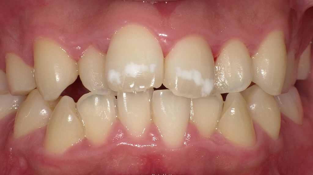
- 1.1.1. ■【1枚目:ホワイトニング前】
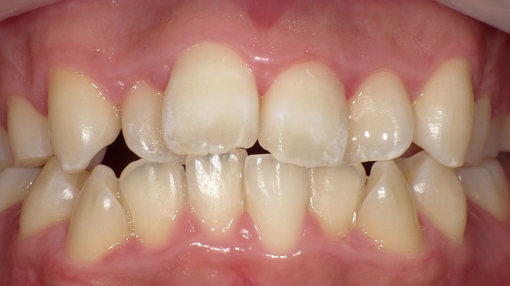
- 1.1.2. ■【2枚目:ホワイトニング後】
- 1.2. 【症例2】ホワイトニングで“ホワイトスポット”が目立つ
- 1.2.1. ■1枚目:ホワイトニング前
- 1.2.2. ■2枚目:ホワイトニング後
- 1.3. 【症例3】ホワイトニング前後で異なる反応を示す歯 ― ホワイトスポットが目立つ歯・なじむ歯
- 1.3.1. ■【1枚目:ホワイトニング前】
- 1.3.2. ■2枚目:ホワイトニング後
- 2. 🔍 なぜホワイトスポットだけ目立つようになるのか?
- 3. 💡 患者さんへのアドバイス
- 3.1. 削らずに改善するホワイトスポット治療(Icon治療)
- 4. 江戸川区篠崎でホワイトニング後に「白い点だけが浮き出て見える…」と心配される方へ🦷
- 5. 【動画】ホワイトスポットをアイコンで治す
- 6. 【動画】初期虫歯COを削らずに自分で治す方法
- 7. 筆者・院長

ホワイトニングを行ったあと、歯全体は明るく白くなったのに、前歯の白い斑点(ホワイトスポット)だけが強調されて見えることがあります。
「白くしたはずなのに、逆に白いシミが目立ってしまった…」と不安になる方も少なくありません。
これは、ホワイトスポット特有のエナメル質の状態が原因で起こるよくある現象で、決して珍しいことではありません。
適切に経過を見ることで自然になじむ場合もありますし、必要に応じてアイコン治療やレジン修復などで改善することも可能です。
本記事では、ホワイトニング後にホワイトスポットが目立つ理由や、治療の選択肢について、患者さん向けに分かりやすく解説します。
🦷 ホワイトニングで“ホワイトスポット”がより目立ってしまったケース
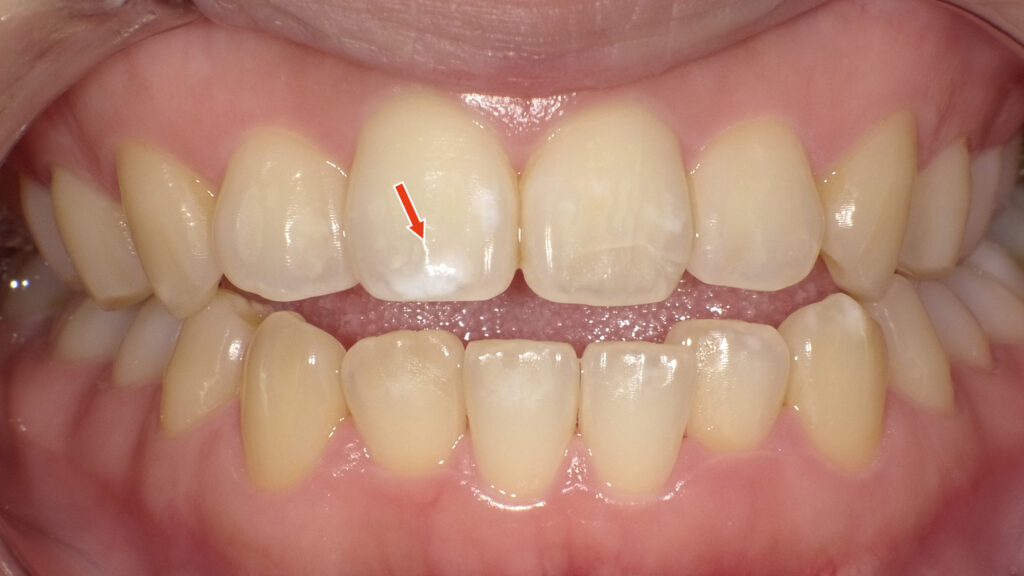
【症例1】ホワイトニングで“ホワイトスポット”が目立つ


■【1枚目:ホワイトニング前】
- 前歯(特に左上1番)に白い斑点=ホワイトスポットが確認できます。
- エナメル質形成時の脱灰や初期むし歯、フッ素の影響など、原因はいくつかありますが、このケースは“生まれつきの白濁”としてよく見られる所見です。
- 歯全体の色はやや黄味があり、そのためホワイトスポットとのコントラストがまだ強くない状態です。
→ その結果、「白斑はあるけれど、そこまで目立たない」レベルに見えています。
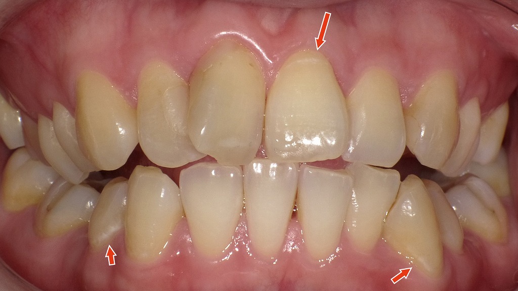
■【2枚目:ホワイトニング後】
- ホワイトニングにより歯全体の色が明るくなり、黄味が減少しています。
- 一方、ホワイトスポット自体は周囲の歯より白くなりにくい特徴があります。
- そのため、ホワイトニングを行うと
周囲の歯:均一に白くなる
ホワイトスポット:相対的に“真っ白に浮き上がる”ように見える
という現象が起こります。 - 結果として、ホワイトニング後にホワイトスポットがかえって目立つという典型的な見え方になっています。
【症例2】ホワイトニングで“ホワイトスポット”が目立つ


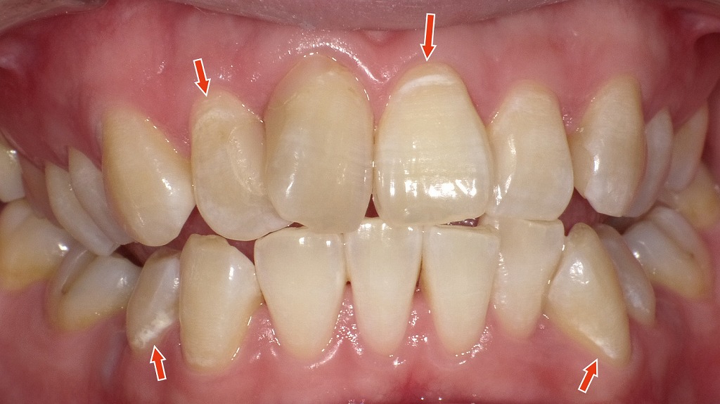
■1枚目:ホワイトニング前
1枚目では、矢印の部位に**淡い白斑(ホワイトスポット)**が確認できます。
これはエナメル質の石灰化不全や初期虫歯、フッ素症などで見られる典型的な白濁です。
ただし、周囲の歯が全体的に黄味がかっているため、
ホワイトスポットのコントラストが低く、比較的目立ちにくい状態です。
- エナメル質表面の質感は均一で、ツヤは保たれている
- 白斑は存在するが、背景色(歯の黄ばみ)に埋もれている
- 色むらはあるものの、審美的に大きな違和感は生じていない
つまり、**“元から白い部分があっても、周囲が暗い色だと隠れて見える”**状態です。
■2枚目:ホワイトニング後
ホワイトニング後の2枚目では、矢印部のホワイトスポットが明確に浮き上がって見えるのが特徴です。
これはホワイトニングの性質によるもので、
「白い部分は変化せず、周囲だけが明るくなる」
というホワイトスポット特有の挙動によって生じます。
【症例3】ホワイトニング前後で異なる反応を示す歯 ― ホワイトスポットが目立つ歯・なじむ歯


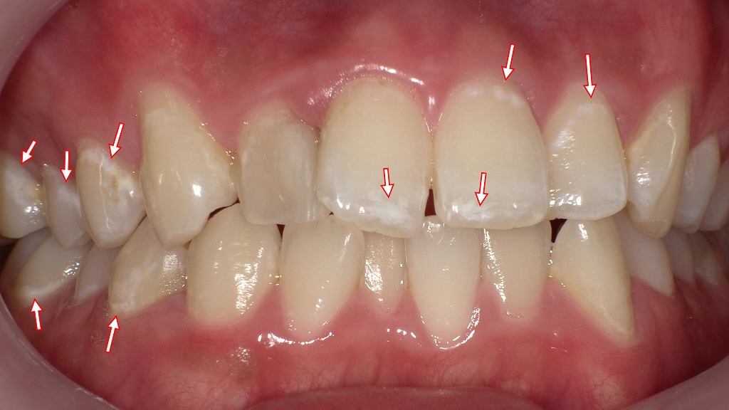
■【1枚目:ホワイトニング前】
歯の表面にみられる白濁(ホワイトスポット)が、歯ごとに不均一に存在しています。
脱灰の程度やエナメル質の性状の違いにより、すでに目立つ部位と、周囲となじんでいる部位が混在している状態です。
■2枚目:ホワイトニング後
ホワイトニング後、歯によって反応の差が生じています。
ホワイトスポットが一時的に強調される歯がある一方で、再石灰化の進行や色調の均一化により、白濁が目立たなくなっている歯も確認できます。
ホワイトニングでは、歯質の違いによって仕上がりに個人差が出ることがあります。
🔍 なぜホワイトスポットだけ目立つようになるのか?
- ホワイトスポット部分はエナメル質の構造が通常と異なり、光の透過・反射が強く、白く見えやすい。
- ホワイトニング剤の作用は“正常なエナメル質”のほうが強く現れるため、周囲だけ先に白くなる。
- そのため、治療前より明暗差が強調されてしまうことがあります。
💡 患者さんへのアドバイス
- ホワイトスポットはホワイトニング初期に“目立つ”ように見えることが多いですが、
その後、歯全体の脱水が戻るとコントラストがやや落ち着く場合もあります。 - さらに気になる場合は、
アイコン(Icon)治療、レジン修復などで改善できます。 - 逆に、ホワイトニングによってホワイトスポットが目立たなくなる場合もあります。
歯全体の色調が均一に明るくなることで白斑とのコントラストが弱まり、見た目が自然になじむケースも少なくありません。
削らずに改善するホワイトスポット治療(Icon治療)


ホワイトスポットは原因によっては削らずに改善できる場合があります。
Icon治療は、歯の表面構造を利用して白濁を目立ちにくくする方法で、自然な仕上がりを目指せるのが特長です。前歯の見た目が気になる方に有効な選択肢のひとつです。
江戸川区篠崎でホワイトニング後に「白い点だけが浮き出て見える…」と心配される方へ🦷

ホワイトニング後に「白い点(ホワイトスポット)が前より目立つ気がする…」と感じる方は、江戸川区でも多くいらっしゃいます。これはエナメル質の性質によるよくある反応で、決して失敗ではありません。
篠崎駅そばの当院では、ホワイトスポットの状態を丁寧にチェックしながら、必要に応じて
Icon(アイコン)治療・レジン修復など、自然な見た目に整えるための最適な方法をご提案しています。
「せっかく歯が白くなったのに、白い斑点だけ気になる…」
そんな不安をお持ちの方も、どうぞお気軽にご相談ください。
江戸川区篠崎でホワイトニングや前歯の見た目改善をご希望の方をしっかりサポートします。
【動画】ホワイトスポットをアイコンで治す
【動画】初期虫歯COを削らずに自分で治す方法
筆者・院長

深沢 一
Hajime FUKASAWA
- 登山
- ヨガ
メッセージ
日々進化する歯科医療に対応するため、毎月必ず各種セミナーへの受講を心がけております。
私達は、日々刻々と進歩する医学を、より良い形で患者様に御提供したいと考え、「各種 歯科学会」に所属すると共に、定期的に「院内勉強会」を行う等、常に現状に甘んずる事のないよう精進致しております。 又、医療で一番大切な事は、”心のある診療”と考え、スタッフと共に「患者様の立場に立った診療」を、心がけております。


