- 1. 神経を抜いた前歯が黄ばむ理由と、どこまで白くできるか徹底ガイド
- 1.1. ◆レントゲン画像(神経のない前歯の状態)
- 1.2. ◆ホワイトニング前の口腔内写真
- 1.3. ◆ホワイトニング後の口腔内写真
- 1.4. 神経を失った歯は白くならない?ホワイトニングで強調される失活歯の変色
- 1.4.1. ◆ホワイトニング術前
- 1.4.2. ◆ホワイトニング術後
- 2. ◆では、神経のない歯をもっと自然に白くするには?
- 2.1. ●ウォーキングブリーチとは
- 3. 江戸川区篠崎で神経のない前歯の変色でお悩みの方へ。🦷
- 4. 【動画】ホワイトスポットをアイコンで治す
- 5. 【動画】初期虫歯COを削らずに自分で治す方法
- 6. 筆者・院長

前歯の色だけが他の歯と違って見える——。
特に**神経を抜いた歯(失活歯)**は、時間の経過とともに黄ばみや黒ずみが強くなり、笑ったときに目立ちやすいため、お悩みの患者さんがとても多い部位です。
「ホワイトニングで白くなるの?」「周りの歯と同じ色にそろえたい」
そう相談されることは日常的にありますが、実は神経のない歯は通常のホワイトニングでは限界があるのをご存じでしょうか。
外側から明るくするだけでは届かない“内部の変色”があるためです。
しかし、適切な方法を選べば、天然歯に近い自然な白さに近づけることは可能です。
この記事では、
- なぜ神経のない歯は白くなりにくいのか
- ホワイトニングでどこまで改善できるのか
- さらに白くしたい場合の専門的な方法(ウォーキングブリーチ)
を、実際の症例写真とともにわかりやすく解説します。
前歯の色が気になっている方は、ぜひ参考にしてください。
神経を抜いた前歯が黄ばむ理由と、どこまで白くできるか徹底ガイド
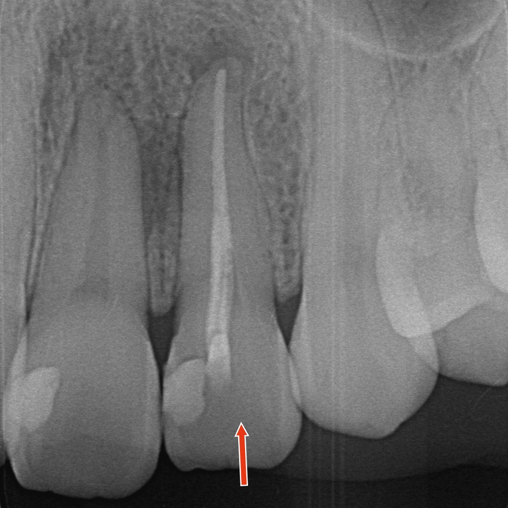
◆レントゲン画像(神経のない前歯の状態)

矢印の歯は、すでに根管治療が行われており、神経(歯髄)がありません。
根管内には根充材が充填され、根の先までしっかり封鎖されていることが確認できます。
神経を失った歯は、時間の経過とともに
- 歯の内部が変色する(象牙質が暗くなる)
- 外側のエナメル質越しに色が透けて見える
といった理由で、周囲よりも暗く・黄褐色に見えやすくなります。
ここが、外側からだけ白くする**一般的なホワイトニング(ホーム/オフィス)**では限界が出やすいポイントです。
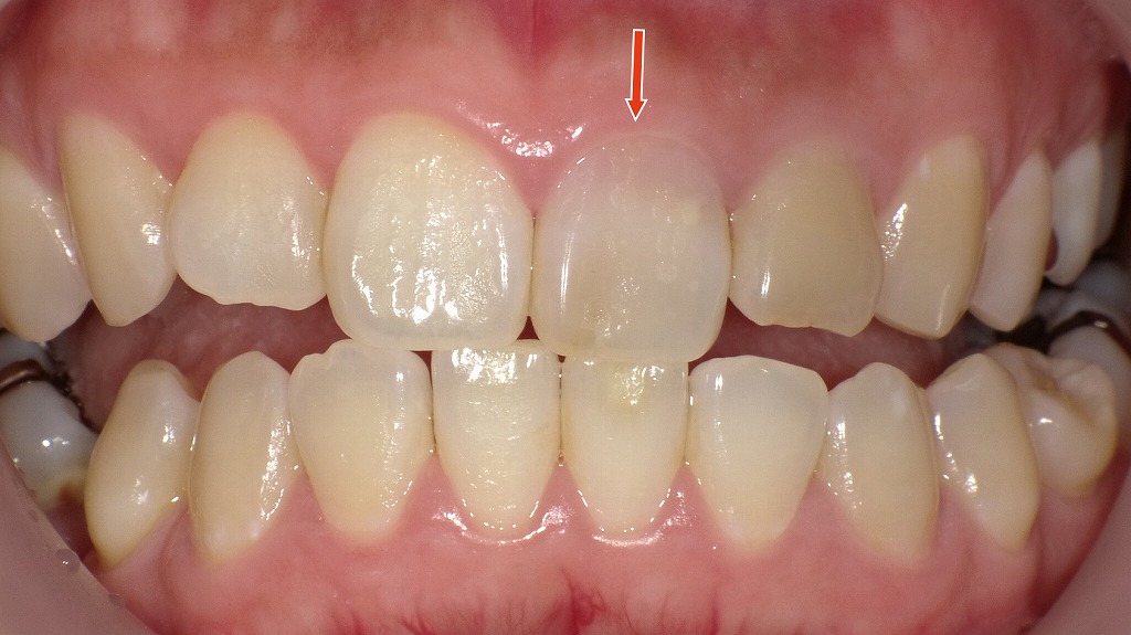
◆ホワイトニング前の口腔内写真

このの写真では、神経を失った前歯が周囲の天然歯よりも暗く、やや黄褐色が強い状態であることがわかります。これは、歯の内部(象牙質)が時間とともに変色し、その色が外側のエナメル質を通して透けて見えるためです。外側からのホワイトニングを行う前は、このように周囲の歯と色の差が大きく、単独で目立ちやすいのが失活歯の特徴です。
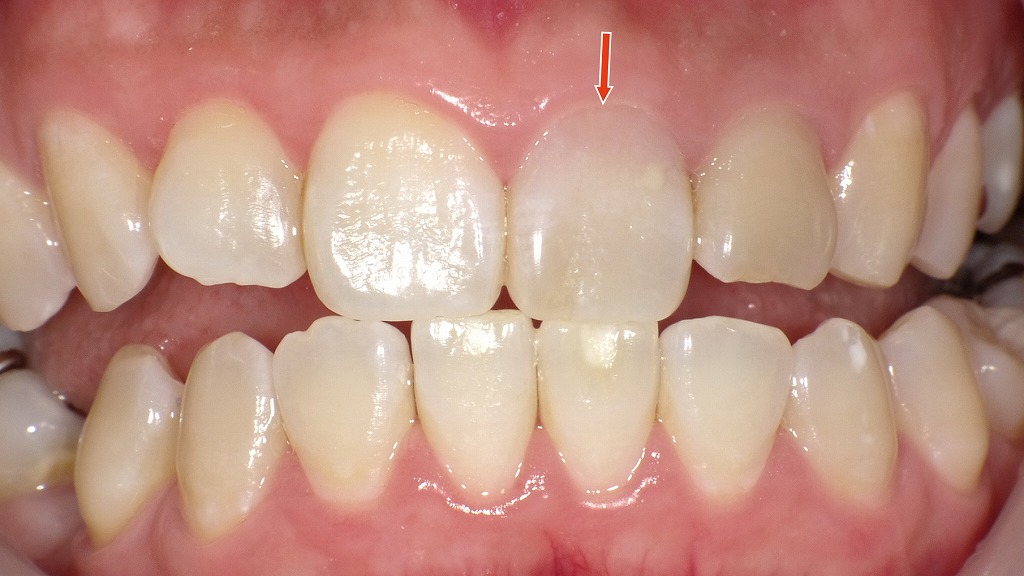
◆ホワイトニング後の口腔内写真

ホワイトニングにより、矢印の歯は全体の明度が上がり、周囲の歯との調和が取れやすくなってきた状態です。
ただし、まだわずかに内部の色が透けるため、天然歯のような均一な白さには到達していません。
ここから分かるように、
神経のない歯は、一般的なホワイトニングだけでは“限界”があり、周囲の歯と完全に同じ透明感・色調にそろえるのは難しい
という現実があります。
神経を失った歯は白くならない?ホワイトニングで強調される失活歯の変色


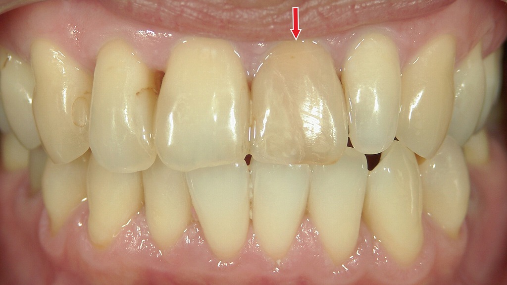
◆ホワイトニング術前
術前:全体的に黄ばみがある状態。失活歯(矢印)は内部の変色が進んでおり、周囲の天然歯と同様に黄ばみが強く出ています。
◆ホワイトニング術後
術後:通常のホワイトニングで天然歯は明るく白くなった一方、失活歯だけは色が変わらず暗いまま。神経のない歯は内部からの漂白(ウォーキングブリーチ)など特別な処置が必要です。
◆では、神経のない歯をもっと自然に白くするには?
その代表的な方法が ウォーキングブリーチ(内部漂白) です。
●ウォーキングブリーチとは
根管治療済みの歯の「内部」に漂白剤を入れ、数日〜数週間かけて
内側から歯を白くしていく方法 です。
- 歯の内部から象牙質の変色を改善できる
- ホワイトニングでは出せない白さが得られる
- 天然歯に近い色調に寄せやすい
という大きなメリットがあります。
神経のない歯の色が気になる場合、
外側のホワイトニング+内部漂白(ウォーキングブリーチ)
を組み合わせることで、より自然で均一な白さが期待できます。
江戸川区篠崎で神経のない前歯の変色でお悩みの方へ。🦷

江戸川区篠崎の当歯科クリニックでは、通常のホワイトニングだけでは難しい失活歯の色調改善にも対応しています。外側からのホワイトニングに加え、内部から白さを戻す「ウォーキングブリーチ」まで、状態に合わせた最適な治療法をご提案。
自然で違和感のない白さを取り戻したい方は、ぜひご相談ください。
【動画】ホワイトスポットをアイコンで治す
【動画】初期虫歯COを削らずに自分で治す方法
筆者・院長

深沢 一
Hajime FUKASAWA
- 登山
- ヨガ
メッセージ
日々進化する歯科医療に対応するため、毎月必ず各種セミナーへの受講を心がけております。
私達は、日々刻々と進歩する医学を、より良い形で患者様に御提供したいと考え、「各種 歯科学会」に所属すると共に、定期的に「院内勉強会」を行う等、常に現状に甘んずる事のないよう精進致しております。 又、医療で一番大切な事は、”心のある診療”と考え、スタッフと共に「患者様の立場に立った診療」を、心がけております。


