- 1. 🦷銀歯が原因の口臭症例
- 1.1. 1. 銀歯の不適合が原因と考えられる口臭症例
- 1.1.1. 🦷 画像の概要
- 1.1.2. 🔍 問題点の詳細
- 1.1.2.1. ■ 右下6番(下顎第一大臼歯)
- 1.1.2.2. ■ 右下4番(金属冠)
- 1.1.2.3. ■ 右上6番・7番(金属冠)
- 1.1.3. 💨 臨床的な懸念点
- 1.1.4. 🩺 対応のポイント
- 1.2. 2. 銀歯のフィステルが原因の口臭症例
- 1.2.1. 🦷 画像の概要
- 1.2.2. 🔍 臨床的特徴
- 1.2.2.1. ■ フィステル(瘻孔)の形成
- 1.2.2.2. ■ 原因歯:左下7番
- 1.2.3. 💨 臨床的懸念点
- 1.2.4. 🩺 治療のポイント
- 2. 🦷銀歯が臭う原因と対策|口臭を防ぐための正しいケアと治療法
- 2.1. 💡銀歯が臭う主な原因
- 2.1.1. 🔹1. 銀歯の下で虫歯が再発している
- 2.1.1.1. 🦷 ブリッジ構造
- 2.1.1.2. ⚠️ 5番の問題点:ポスト周囲の虫歯
- 2.1.1.3. 💨 口臭・銀歯のにおいの原因
- 2.1.1.4. 🧱 セメント接着の劣化
- 2.1.1.5. 🔍 治療の方向性
- 2.1.1.6. 🦴 抜歯後の治療選択肢
- 2.1.2. 🔹2. 接着剤や銀歯自体の劣化
- 2.1.3. 🔹3. 歯垢や歯石の蓄積
- 2.1.4. 🔹4. 銀歯の金属臭
- 2.1.5. 🔹5. フィステル(歯ぐきの膿の出口)からの臭い
- 2.2. ⚠️銀歯の臭いを放置するとどうなる?
- 2.3. 🔍自分でできる臭いチェック方法
- 2.4. 🪥銀歯の臭いを防ぐセルフケア方法
- 2.4.1. ✔️1. 歯間ブラシ・フロスを使う
- 2.4.2. ✔️2. 舌ケア&マウスウォッシュを活用
- 2.4.3. ✔️3. 定期的なクリーニングを受ける
- 2.5. 🏥歯科医院でできる改善・治療法
- 2.5.1. 💎1. 銀歯を再治療・再装着
- 2.5.2. 💎2. セラミックやジルコニアへの交換
- 3. 🧾銀歯とセラミックの違い比較表
- 4. 🌸まとめ|銀歯の臭いは放置せず、早めのケアを
- 5. ✨江戸川区篠崎で銀歯の臭いが気になる方へ
- 6. 【動画】なかなか取れない舌苔の完全除去方法
- 7. 筆者・院長

「銀歯のあたりがなんだか臭う気がする…」「口臭の原因が銀歯かも?」
そんなお悩みを抱えていませんか?😷
実は、銀歯の下やすき間には汚れや細菌がたまりやすく、臭いの原因になることがあります。
放置すると虫歯や歯周病が悪化することもあるため注意が必要です。
この記事では、銀歯が臭う原因・セルフチェック方法・改善策・歯科での治療法を、歯科医の視点からわかりやすく解説します🦷✨。
🦷銀歯が原因の口臭症例
1. 銀歯の不適合が原因と考えられる口臭症例
この画像は右側臼歯部(主に右下6番および右上6・7番)を中心とした口腔内写真です。以下に詳細を解説します。

🦷 画像の概要
金属冠(クラウン)やブリッジが装着された口腔内で、複数箇所に不適合や二次う蝕(再発虫歯)が見られる状態です。矢印部分に特に問題が集中しています。
🔍 問題点の詳細
■ 右下6番(下顎第一大臼歯)
- 歯頚部(歯と歯ぐきの境目)に虫歯あり。
- プラーク(歯垢)の蓄積が顕著で、歯肉の炎症リスクも高い。
- 不適合な金属冠と歯の境界から虫歯が進行している。
■ 右下4番(金属冠)
- 歯頚部と金属冠の間に明らかな隙間が認められる。
- その隙間に細菌や歯垢が入り込みやすく、二次カリエス(再発虫歯)のリスク大。
■ 右上6番・7番(金属冠)
- 金属冠と歯肉の境目にギャップ(段差)あり。
- 歯垢がたまりやすく、歯肉炎や口臭の原因になる。
- 清掃が困難なため、定期的な歯科メンテナンスが必要。
💨 臨床的な懸念点
- これらのギャップや不適合な修復物は、プラーク(歯垢)の停滞部位となる。
- その結果、虫歯・歯周病・口臭の原因になる。
- 金属冠の劣化や歯肉退縮により、適合不良が進行している可能性もある。
🩺 対応のポイント
- 不適合な冠の再製作(特に右下6番・右上6番7番)
- 歯肉縁下のプラークリスクを軽減するための精密な補綴再装着
- 定期的なプロフェッショナルクリーニング(PMTC)
- 必要に応じて口臭検査や歯周検査
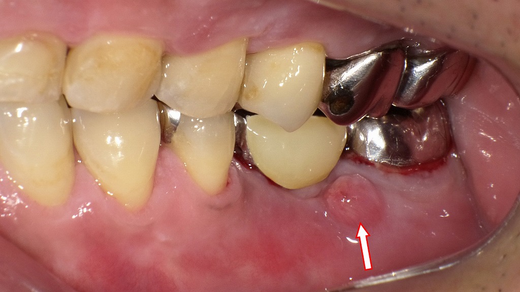
2. 銀歯のフィステルが原因の口臭症例
この画像は、左下臼歯部(特に左下7番周囲)の口腔内を示しています。以下に詳細を解説します。

🦷 画像の概要
左下7番(下顎第二大臼歯)の根尖(歯の根の先)に関連する炎症性変化が見られ、**歯肉にフィステル(瘻孔)**が形成されています。矢印の先に見える小さな赤い隆起がそれです。
🔍 臨床的特徴
■ フィステル(瘻孔)の形成
- 歯の根の先に感染が起こり、膿が歯肉を通って排出されるために**通路(瘻孔)**ができています。
- この状態は、根尖性歯周炎や根管内感染に起因することが多いです。
- 矢印部には膿の排出口が確認でき、周囲粘膜に軽度の発赤と腫脹が見られます。
■ 原因歯:左下7番
- 金属冠が装着されており、根管治療済みの可能性が高いですが、内部感染が再発していると考えられます。
- 根尖部に慢性的な感染巣(根尖病変)が存在し、排膿によってフィステルが形成された状態。
💨 臨床的懸念点
- 膿が排出されている間は一時的に痛みが軽減することがありますが、根本的な感染は残存しています。
- 感染源からの膿やガスが**口臭(膿臭)**の原因となることが多いです。
- 放置すると骨吸収が進行し、根尖病変の拡大や隣在歯への波及のリスクがあります。
🩺 治療のポイント
- 原因歯の根管再治療(再根管治療)
→ 感染源の除去が最も重要です。 - 必要に応じて外科的歯根端切除術を検討。
- 感染が強い場合は抗菌療法の併用。
- 治癒後にフィステルは自然閉鎖しますが、再発防止のための定期管理が必須です。
🦷銀歯が臭う原因と対策|口臭を防ぐための正しいケアと治療法
💡銀歯が臭う主な原因

🔹1. 銀歯の下で虫歯が再発している
銀歯は見た目ではわからなくても、**内部で虫歯が再発(二次虫歯)**していることがあります。
被せ物と歯の境目にすき間ができると、そこから細菌が侵入し、腐敗臭を発生させることも😱。
とくに古い銀歯や長年使っている被せ物は要注意です。
このレントゲン画像は、下顎の5番・6番・7番にかけて装着されたブリッジを示しています。以下のような特徴と臨床的な問題点があります。

🦷 ブリッジ構造
- **下顎の7番(左の支台歯)と5番(右の支台歯)**がブリッジの支えとなり、6番相当部には人工歯(ポンティック)が入っています。
- 5番には金属のポストが装着されています。
⚠️ 5番の問題点:ポスト周囲の虫歯
- 赤い矢印の位置に見られるように、5番支台歯の根管内ポスト周囲に黒っぽい透過像があります。
- これは**二次う蝕(再発虫歯)**の所見であり、セメントの溶解や接着不良から細菌が侵入した結果です。
- 抜歯が必要になると判断しました。
💨 口臭・銀歯のにおいの原因
- ブリッジの下や接着面のすき間にプラークや食べかすが残存しやすく、そこに細菌が繁殖して**口臭(メタリック臭・腐敗臭)**が発生することがあります。
- 金属クラウン(特に保険の銀合金)は、長期使用で腐食や溶出が起こり、においの原因になることもあります。
🧱 セメント接着の劣化
- 長年の使用でセメントが溶解・劣化し、微小な隙間が生じると、そこから唾液・細菌が侵入して虫歯や炎症を引き起こします。
- ブリッジ全体の動揺や、噛むときの違和感・しみる症状が出る場合もあります。
🔍 治療の方向性
- ブリッジを一度除去して虫歯の範囲を確認しますが、再治療の余地が少ない状態です。
🦴 抜歯後の治療選択肢
- インプラント
- 失った5番部位にチタン製インプラントを埋入。
- 隣在歯を削らずに独立した人工歯として回復できる。
- 咬合力が強く、長期的に安定。
- 再ブリッジ
- 4番と7番を新たに支台歯にしてブリッジを再製作。
- ただし、健康な4番を削る必要があるため慎重な判断が必要。
- 部分入れ歯
- 費用を抑えたい場合の選択肢。
- 金属バネの見た目や違和感がデメリット。
🔹2. 接着剤や銀歯自体の劣化
時間の経過とともに、セメント(接着剤)が劣化して臭いが出る場合もあります。
また、銀歯は金属なので金属イオンが溶け出して独特の金属臭を感じることもあります。
🔹3. 歯垢や歯石の蓄積
銀歯の周りは歯ブラシが届きにくく、汚れが溜まりやすい場所です🪥。
歯垢が溜まると細菌が繁殖し、嫌気性菌による強い口臭が発生します。
特に歯と歯の間や歯ぐきとの境目は、臭いの温床になりやすい部分です。
🔹4. 銀歯の金属臭
金属が溶け出すことで、口の中に鉄っぽい・酸化したような臭いを感じることもあります。
これは清掃不足だけでなく、金属の経年劣化や唾液のpHバランスの乱れも関係しています。
🔹5. フィステル(歯ぐきの膿の出口)からの臭い
根の先に膿がたまると、歯ぐきに**フィステル(膿の通り道)**ができることがあります。
この膿がわずかに排出されると、強い腐敗臭や生臭い臭いを感じることがあります🦠。
見た目には小さな白いできものですが、放置すると骨に炎症が広がることもあるため注意が必要です⚠️。
⚠️銀歯の臭いを放置するとどうなる?
銀歯の臭いを「ちょっと気になるけど放っておこう」と放置してしまうと、さまざまなトラブルが起こる可能性があります。
- 🦠 虫歯の悪化で歯を失うリスク
- 😬 歯周病や口臭の慢性化
- ⚡ 金属アレルギーの発症
臭いは、体からのサインとも言えます。
「一時的なもの」と軽視せず、早めに歯科でチェックを受けることが大切です。
🔍自分でできる臭いチェック方法
銀歯の臭いが気になるときは、次のセルフチェックを試してみましょう👇
- 🧵 デンタルフロスで確認
銀歯の周囲をフロスで掃除したあと、臭いを嗅いでみましょう。
臭いが強ければ、汚れや虫歯の可能性があります。 - 🫢 息を手で覆って確認
しばらく口を閉じてから息を吐いてみて、臭いが残るようなら口臭の可能性ありです。
いずれも「持続的な臭い」がある場合は、歯科医院での診察をおすすめします🏥。
🪥銀歯の臭いを防ぐセルフケア方法
✔️1. 歯間ブラシ・フロスを使う
銀歯の周囲や歯と歯の間は、歯ブラシだけでは汚れが残りやすい部分。
歯間ブラシやデンタルフロスを毎日使うことで、臭いの原因を減らせます。
✔️2. 舌ケア&マウスウォッシュを活用
舌の表面には細菌が多く、銀歯の臭いを助長することも👅。
舌ブラシでやさしく磨き、殺菌作用のあるマウスウォッシュを併用しましょう。
✔️3. 定期的なクリーニングを受ける
歯科医院でのプロフェッショナルクリーニングは、
自分では落とせない歯石やバイオフィルムを除去してくれます✨。
🏥歯科医院でできる改善・治療法

💎1. 銀歯を再治療・再装着
すき間や虫歯がある場合は、銀歯を外して再治療を行います。
再装着することで、臭いの原因を根本的に解消できます。
💎2. セラミックやジルコニアへの交換
最近では、**金属を使わない「メタルフリー治療」**が人気です。
セラミックやジルコニアは劣化しにくく、臭いの原因になりにくい素材。
見た目も自然で、口臭対策にも効果的です🌿。
🧾銀歯とセラミックの違い比較表
| 素材 | 特徴 | 臭いリスク | 審美性 |
|---|---|---|---|
| 銀歯(金銀パラジウム合金) | 保険適用・安価 | 高い(劣化しやすい) | ★☆☆ |
| セラミック | 変色しにくく清潔 | 低い | ★★★ |
| ジルコニア | 強度が高く長持ち | 非常に低い | ★★★ |
🌸まとめ|銀歯の臭いは放置せず、早めのケアを
銀歯が臭う原因は、
👉「虫歯の再発」
👉「銀歯や接着剤の劣化」
👉「歯垢・歯石の蓄積」などが主な理由です。
まずは毎日のケアと定期的な歯科検診で清潔を保つことが大切。
そして、必要に応じてセラミックやジルコニアへの交換を検討すると、
臭いの改善だけでなく、見た目や健康面でもメリットがあります😊。
✨江戸川区篠崎で銀歯の臭いが気になる方へ

銀歯の臭いは、放置しても自然には治りません。
そのままにしておくと、虫歯や歯周病が進行することもあります⚠️。
江戸川区篠崎の当歯科クリニックでは、
銀歯の再治療・セラミック治療・口臭ケアまでトータルで対応しています🦷✨。
「口の臭いが気になる」「銀歯をやり替えたい」と感じたら、
ぜひ一度お気軽にご相談ください😊。
【動画】なかなか取れない舌苔の完全除去方法
筆者・院長

深沢 一
Hajime FUKASAWA
- 登山
- ヨガ
メッセージ
日々進化する歯科医療に対応するため、毎月必ず各種セミナーへの受講を心がけております。
私達は、日々刻々と進歩する医学を、より良い形で患者様に御提供したいと考え、「各種 歯科学会」に所属すると共に、定期的に「院内勉強会」を行う等、常に現状に甘んずる事のないよう精進致しております。 又、医療で一番大切な事は、”心のある診療”と考え、スタッフと共に「患者様の立場に立った診療」を、心がけております。


