- 1. 📘 はじめに:クワドヘリックスとは?
- 1.1. 🧩 クワドヘリックスの基本構造と仕組み
- 1.2. 🔍 バイヘリックス・W型装置との違い
- 1.3. ⚖ 固定式拡大装置のメリット・デメリット比較
- 1.3.1. ✅ メリット
- 1.3.2. ⚠ デメリット
- 2. 🧠 クワドヘリックスの作用メカニズム
- 2.1. 🔩 ワイヤーとバンドによる拡大力の仕組み
- 2.2. 🔄 歯槽骨リモデリングと歯の傾斜移動
- 2.3. 🧬 左右対称な拡大を実現するワイヤーデザイン
- 2.4. ⚖ 適応症例ごとの圧力調整方法
- 3. 🧒 クワドヘリックスが適している症例
- 3.1. 📏 上顎歯列の狭窄(V字弓)改善
- 3.2. 🔁 交叉咬合(クロスバイト)の治療
- 3.3. 🌀 叢生(デコボコ歯列)のスペース確保
- 3.4. 🚫 抜歯回避を目指す小児矯正への応用
- 3.5. 👩⚕️ 成人矯正における使用可否と限界
- 4. 🛠 クワドヘリックスの治療ステップ
- 4.1. 1️⃣ 初診〜診断・装置設計までの流れ
- 4.2. 2️⃣ 装着時の処置と患者への説明
- 4.3. 3️⃣ 定期調整の頻度と内容
- 4.4. 4️⃣ 治療終了のタイミングと保定処置(リテーナー)
- 5. 🤕 痛み・違和感・トラブル対処
- 5.1. ⚠ 初期の違和感・痛みの目安と対処法
- 5.2. 🍽 食事時の注意点と推奨される食品
- 5.2.1. ❌ 避けるべき食品
- 5.2.2. ✅ おすすめの食品
- 5.3. 🧷 ワイヤーが舌・頬に当たる場合の対応
- 5.3.1. 🛠 主な原因
- 5.3.2. ✅ 対処方法
- 5.4. 🧼 装置周囲の清掃・セルフケア方法
- 5.4.1. 🪥 ケアのポイント
- 6. 💰 クワドヘリックスの費用と保険対応
- 6.1. 💸 費用相場(5万〜15万円)と内訳
- 6.2. 🏥 保険適用となる特殊ケース
- 6.2.1. ✅ 保険適用の可能性がある疾患例
- 6.3. 🔄 他の拡大装置(急速拡大装置・バイヘリックス)との比較
- 6.4. 📊 全体矯正と組み合わせた場合の総額目安
- 7. 📸 症例紹介とビフォーアフター
- 7.1. 👦 小児矯正での非抜歯症例
- 7.1.1. 🔹 症例データ
- 7.1.2. 🔄 治療の流れ
- 7.1.3. 🎯 ビフォーアフターの変化
- 7.2. 👩 成人女性の咬合改善例
- 7.2.1. 🔹 症例データ
- 7.2.2. 🔄 治療の流れ
- 7.2.3. 🎯 ビフォーアフターの変化
- 7.3. ✅ 使用期間・改善ポイント・仕上がりの違い
- 8. 💬 よくある質問(FAQ)
- 8.1. ❓ クワドヘリックスは何歳から使用可能?
- 8.2. ❓ 毎日の生活で気をつけることは?
- 8.3. ❓ 大人でもクワドヘリックスは使えますか?
- 8.4. ❓ 痛みが強いときの緊急対応は?
- 8.4.1. ✅ ご自宅での対処
- 8.4.2. ⚠ 以下のような場合はすぐ歯科医院へ連絡を
- 9. 📍 江戸川区篠崎でクワドヘリックス治療をご希望の方へ
- 9.1. 📝 初診相談の流れと費用
- 10. 【動画】アデノイド顔貌
- 11. 筆者・院長

「子どもの歯並びが気になる」「できれば歯を抜かずに矯正したい」
そんな方におすすめなのが、**固定式拡大装置「クワドヘリックス」**です。
この装置は、上顎の幅が狭いお子さまや、ガタガタな歯並び・噛み合わせのズレ(交叉咬合)などに対して、成長を活かした非抜歯矯正ができる優れた治療法です。
本記事では、クワドヘリックスの仕組み・効果・痛みの有無・治療の流れ・費用感・実際の症例まで、専門医監修のもとわかりやすく解説します。
「いつから始めるべき?」「大人にも使える?」「痛い?」といったよくある疑問にもお答えしていますので、矯正を検討中の方はぜひご一読ください。
📘 はじめに:クワドヘリックスとは?
🧩 クワドヘリックスの基本構造と仕組み
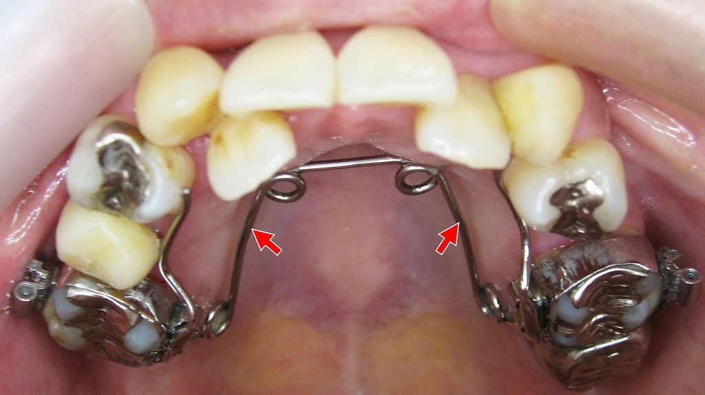
クワドヘリックス(Quad Helix)は、上顎の歯列を横方向に拡大するために使われる固定式の矯正装置です。金属製のワイヤーが4つのループ(ヘリックス)状に加工され、上顎の第一大臼歯に装着されたバンドに固定されます。この装置はワイヤーの弾性を活かして、持続的な圧力を歯と骨に加え、歯列の幅をゆっくりと広げていきます。
一般的な使用期間は6か月前後。小児期の成長を利用することで、歯を抜かずに永久歯の生えるスペースを確保できることから、早期矯正でよく使用される装置です。


🔍 バイヘリックス・W型装置との違い
クワドヘリックスと似た装置として、**バイヘリックス(Bi-Helix)やW型拡大装置(W-arch)**があります。以下にその違いを整理します:
| 装置名 | 主な対象 | 構造の特徴 | 適応症例 |
|---|---|---|---|
| クワドヘリックス | 上顎 | 4つのループ/固定式 | 狭窄歯列・交叉咬合・叢生 |
| バイヘリックス | 下顎 | 2つのループ/固定式 | 下顎歯列の拡大 |
| W型装置 | 上顎 | W形状ワイヤー/取り外し式もあり | 軽度の歯列拡大・保定目的 |
特にクワドヘリックスは「上顎の大きな拡大」が必要な場合に適しており、バイヘリックスは下顎に対して使われます。
⚖ 固定式拡大装置のメリット・デメリット比較
クワドヘリックスを含む固定式の拡大装置には、以下のような利点と注意点があります。
✅ メリット
- 患者の協力度に左右されない(取り外し不要)
- 持続的に力を加えられるため、効果が安定しやすい
- 矯正期間が比較的短縮されることも
⚠ デメリット
- 違和感や痛みを感じやすい(特に装着初期)
- 清掃が難しくなる(食べかすが詰まりやすい)
- 定期的な調整が必須(1~2ヶ月に一度)
🧠 クワドヘリックスの作用メカニズム
🔩 ワイヤーとバンドによる拡大力の仕組み
クワドヘリックスは、第一大臼歯にセメントで固定された金属バンドと、ループ状のワイヤーによって構成されています。このワイヤーに事前に広がる形状の「テンション(力)」を加えて装着することで、歯列の内側から持続的な力を歯と骨に与え、拡大が始まります。
ワイヤーの弾性が常に力を発生させているため、患者の装着時間に左右されず、計画通りの拡大力を得やすいのが特徴です。
🔄 歯槽骨リモデリングと歯の傾斜移動
クワドヘリックスによってかかる力は、**歯を支える「歯槽骨」に生理的な変化(リモデリング)**をもたらします。これにより以下の2つの動きが同時に起こります:
- 🦷 歯の傾斜移動:歯が外側に向かって傾くように動く
- 🦴 骨のリモデリング:圧力が加わる側の骨が吸収され、反対側では新たに骨が作られる
この骨の適応現象によって、無理なく歯列弓(アーチ)が広がるのです。
🧬 左右対称な拡大を実現するワイヤーデザイン
クワドヘリックスのワイヤーは、中央から左右対称に力が分散するように設計されています。これにより、
- 🪞 歯列のバランスを保ったまま左右均等に拡大
- 🧮 歯並びの左右差がある場合も微調整で対応可能
- 🔁 効果的にアーチを整えることが可能
といった特長があり、非対称な症例でもワイヤーの変形やループ調整によって柔軟に対応できるよう工夫されています。
⚖ 適応症例ごとの圧力調整方法
クワドヘリックスは、症例の状態に応じて圧力を段階的に調整できる点が大きな利点です。
| 症例のタイプ | 圧力の調整 | 使用期間の目安 |
|---|---|---|
| 軽度の歯列狭窄 | ワイヤーをやや広げる | 3〜5ヶ月程度 |
| 中等度の叢生・クロスバイト | ワイヤーをしっかり広げて装着 | 6〜9ヶ月 |
| 重度の症例(成人含む) | 徐々に段階調整しながら複数回調整 | 9〜12ヶ月以上 |
このように、成長期の子どもと成人では、装置の使い方や力のかけ方に差を設けて最適な治療が可能です。
🧒 クワドヘリックスが適している症例


📏 上顎歯列の狭窄(V字弓)改善
上顎の歯列がV字型に狭くなっている場合、歯が並ぶスペースが不足しやすく、見た目の問題だけでなく噛み合わせにも悪影響を及ぼします。
クワドヘリックスはこのような狭窄歯列(V字弓)をU字型へ拡大するのに非常に有効です。
- 成長期の子どもでは、顎の発育と合わせて効率的に拡大可能
- 成長が止まった成人でも、一定の効果が見込める症例もあり
🔁 交叉咬合(クロスバイト)の治療
**交叉咬合(クロスバイト)**とは、上下の歯の噛み合わせが左右どちらかにずれている状態を指します。
クワドヘリックスによって上顎を拡大することで、
- 下の歯が外側にある状態(反対咬合)を正常な位置に戻せる
- 噛み合わせのズレを改善し、将来的な顎関節への負担を軽減できる
特に左右非対称の交叉咬合には、クワドヘリックスの微調整機構が有効です。
🌀 叢生(デコボコ歯列)のスペース確保
叢生(そうせい)は、**歯がガタガタ・重なって生えている状態(乱ぐい歯)**です。
原因の多くは、歯が並ぶためのスペース不足。クワドヘリックスで歯列を拡大することで、
- 将来的に抜歯せずに矯正が可能になる
- 歯の自然な並びを誘導し、ワイヤー矯正の前段階としても有効
小児期に処置を行うことで、顎の成長を利用しながらスペースを確保できます。
🚫 抜歯回避を目指す小児矯正への応用
永久歯が生えそろう前の小児期(6〜10歳)にクワドヘリックスを使用することで、
- 顎の成長を利用してスペースを早期確保
- 将来的な抜歯の必要性を低減
- 非抜歯で自然な歯列誘導を行える可能性が高まる
特に「前歯の生えるスペースが足りない」と診断されたお子様にとって、早期導入は大きなメリットになります。
👩⚕️ 成人矯正における使用可否と限界
クワドヘリックスは本来成長期の骨の柔軟性を活かす装置ですが、以下のような条件下では成人にも適応可能です:
- 軽度の上顎歯列の狭窄
- クロスバイトや叢生の補助的な改善
- 全体矯正と併用して歯列弓の形を整える場合
ただし成人では骨の可塑性が低下しているため、拡大効果は限定的です。無理な力を加えると歯の傾きだけが強くなり、正しい噛み合わせにならないリスクもあるため、専門医の的確な診断が必要不可欠です。
🛠 クワドヘリックスの治療ステップ
1️⃣ 初診〜診断・装置設計までの流れ
クワドヘリックス治療は、正確な診断と個別設計が成功の鍵です。初診から装置作成までは以下の流れで行われます。
- 📸 レントゲン・口腔内スキャン・写真撮影を通じて、上顎の形や歯の位置、噛み合わせを分析
- 🔍 医師による診断で、拡大が必要な方向・範囲・力の強さを決定
- 🦷 歯型を採取し、患者専用にクワドヘリックスをオーダーメイドで作製
患者さんごとに上顎の状態は異なるため、オリジナル設計された装置を使用することが重要です。
2️⃣ 装着時の処置と患者への説明
装置の完成後、矯正歯科で以下のような手順で装着します。
- 🪛 上顎の第一大臼歯に金属バンドを固定
- 🌀 ワイヤーに事前に広げたテンションを加えて装着し、拡大がスタート
- 📄 患者と保護者へ、痛みの出方・食事での注意・清掃の方法などを丁寧に説明
装置は患者自身で取り外しできないため、装着後は歯科医院での調整が必要です。
3️⃣ 定期調整の頻度と内容
装着後は1〜2ヶ月ごとに調整を行います。主な内容は以下の通りです。
- 🔧 ワイヤーの微調整(圧力が弱まった場合の再調整)
- 🦷 歯列の拡がり具合や歯の傾きの確認
- 👄 粘膜の擦れや装置の変形がないかチェック
調整後には2〜3日ほど軽い痛みや違和感が出ることがありますが、徐々に慣れていきます。
4️⃣ 治療終了のタイミングと保定処置(リテーナー)
クワドヘリックスによる拡大が完了したら、治療終了の判断と**次のステップ(保定)**に進みます。
- ✅ 拡大後の歯列アーチが安定し、目標スペースが確保されたら終了
- 🔁 後戻りを防ぐために、リテーナー(保定装置)を装着するケースも
- 📅 保定期間中も数ヶ月に一度の経過観察が必要
特に小児矯正では、今後の成長による変化を見守る目的で保定を行うことが多いです。
🤕 痛み・違和感・トラブル対処
⚠ 初期の違和感・痛みの目安と対処法
クワドヘリックス装着直後は、多くの患者さんが**「違和感」や「痛み」**を感じます。特に初めの数日間は以下のような症状が出ることがあります:
- 歯が押されるような鈍い痛み
- 装置が舌に当たって話しづらい
- 食事中に違和感がある
🕒 痛みのピークは装着後1〜3日程度で、1週間ほどで落ち着くのが一般的です。対処法としては:
- 🧊 冷たいタオルや保冷剤で外側から頬を冷やす
- 💊 市販の鎮痛薬(アセトアミノフェンなど)を服用
- 🍵 やわらかい食事に切り替える(スープ・うどん・豆腐など)
🍽 食事時の注意点と推奨される食品
クワドヘリックスは固定式で歯列の内側にあるため、食事の影響を受けやすい装置です。以下の食品には注意しましょう。

❌ 避けるべき食品
| 食品のタイプ | 例 | 理由 |
|---|---|---|
| 硬いもの | 氷、ナッツ、煎餅 | 装置が曲がる・外れる |
| 粘着質なもの | ガム、キャラメル、餅 | ワイヤーに絡む・清掃困難 |
| 糖分の多いもの | ジュース、飴 | 虫歯リスク増加 |
✅ おすすめの食品
- スープ、リゾット、ヨーグルトなど柔らかくて口内にやさしいもの
- 肉や果物は小さくカットして食べる
- ストローを使って飲み物を摂取するのも◎
🧷 ワイヤーが舌・頬に当たる場合の対応
装置のワイヤーが口内に当たることで、舌や頬の粘膜が痛くなることがあります。
🛠 主な原因
- 調整直後でワイヤーの位置が変わる
- ワイヤーの先端が伸びている
- 装置の変形
✅ 対処方法
- 🕳 歯科用ワックスを痛い箇所に貼って保護(市販・医院で配布あり)
- 🧴 はちみつやオリーブオイルで粘膜の保湿
- 📞 長引く痛みや出血がある場合は、歯科医院に早めに相談
🧼 装置周囲の清掃・セルフケア方法
クワドヘリックスは歯の裏側に装着されるため、食べかすが詰まりやすく、虫歯や歯肉炎のリスクが上がります。
🪥 ケアのポイント
- 通常の歯ブラシに加え、タフトブラシや歯間ブラシを使用
- フロスを通しにくい部分は洗口液で補助
- 1日2回以上の丁寧なブラッシングを習慣化
✨ 歯科衛生士による定期クリーニングを併用することで、衛生的に装置を維持できます。
このように、痛みや違和感への適切な対応と日常ケアをしっかり行うことで、クワドヘリックス治療をより快適に、かつ効果的に進めることが可能です。
💰 クワドヘリックスの費用と保険対応
💸 費用相場(5万〜15万円)と内訳
クワドヘリックスは**自費診療(保険外)**となるケースが多く、費用の目安は以下の通りです。
| 費用項目 | 内容 | 相場 |
|---|---|---|
| 装置製作費 | オーダーメイドのワイヤー装置作成費 | 約3〜7万円 |
| 装着・調整費 | 初回装着・定期調整の費用 | 約2〜5万円 |
| 診断・検査費 | レントゲン・口腔内写真・歯型など | 約1〜3万円 |
🧾 総額は5〜15万円程度で、症例の難易度や歯科医院によって異なります。
🏥 保険適用となる特殊ケース
基本的にクワドヘリックスは保険適用外ですが、以下のような**「特定の先天疾患」**に該当する場合は、保険診療が認められることがあります。
✅ 保険適用の可能性がある疾患例
- 顎変形症(重度の骨格性不正咬合)
- 唇顎口蓋裂
- ダウン症などの先天性疾患による咬合異常
これらに該当する場合は、大学病院や保険適用指定機関での診療が必要です。
それ以外の一般的な歯列矯正や小児矯正は、自由診療(自費)扱いになります。
🔄 他の拡大装置(急速拡大装置・バイヘリックス)との比較
クワドヘリックスと比較されやすい他の拡大装置との費用・用途の違いを下表にまとめました。
| 装置名 | 対象 | 特徴 | 費用相場 |
|---|---|---|---|
| クワドヘリックス | 上顎 | ゆっくり・持続的に拡大/固定式 | 5〜15万円 |
| 急速拡大装置(RPE) | 上顎 | ネジを回して強制的に拡大 | 10〜20万円 |
| バイヘリックス | 下顎 | 下顎に特化したシンプル構造 | 5〜12万円 |
📌 クワドヘリックスは費用面・快適性のバランスがよく、軽〜中等度の症例に向いています。
📊 全体矯正と組み合わせた場合の総額目安
クワドヘリックスは単体で使うケースもありますが、将来的に全体矯正(ワイヤー矯正・マウスピース矯正)と組み合わせる場合、トータル費用は以下のようになります。
| 治療内容 | 費用目安 |
|---|---|
| クワドヘリックス単体 | 約5〜15万円 |
| 小児矯正(一期治療) | 約30〜50万円 |
| 全体矯正(ワイヤー or インビザライン) | 約70〜130万円 |
| 外科矯正(顎変形症) | 約150〜300万円(保険適用可) |
💡 当院では初診カウンセリング時にすべての費用を明示し、追加料金は発生しません。
📸 症例紹介とビフォーアフター
クワドヘリックスは、小児から成人まで幅広い患者さんに使用できる拡大装置です。ここでは、実際に当院で行った治療のビフォーアフター事例を紹介します。
👦 小児矯正での非抜歯症例
🔹 症例データ
- 患者:8歳男児
- 主訴:前歯が重なって生えてきた(叢生)
- 診断:上顎歯列の狭窄によるスペース不足
- 使用装置:クワドヘリックス
- 治療期間:約6ヶ月(調整4回)
🔄 治療の流れ
- 上顎の幅を約5mm拡大
- 永久歯の生えるスペースを確保
- ワイヤー矯正を併用せず、自然な配列を誘導
🎯 ビフォーアフターの変化
- 【Before】前歯がねじれて重なっていた
- 【After】歯列が広がり、永久歯が正しく並んで生え始めた
- 🔓 将来的な抜歯が不要となる見込みに!
📝 この症例では、成長期の顎の柔軟性を活かすことで、短期間で大きな成果を得られました。
👩 成人女性の咬合改善例
🔹 症例データ
- 患者:25歳女性
- 主訴:右側の噛み合わせが逆(交叉咬合)
- 診断:軽度の上顎狭窄と非対称咬合
- 使用装置:クワドヘリックス+ワイヤー矯正
- 治療期間:約10ヶ月(装置単体:約4ヶ月)
🔄 治療の流れ
- 上顎右側のみ拡大を調整
- 咬合が正常な位置で接触するよう改善
- 仕上げに全体のワイヤー矯正を実施
🎯 ビフォーアフターの変化
- 【Before】右側で噛み合わず、食事中に違和感あり
- 【After】咬合が安定し、左右のバランスが整った
- 💬 「噛むときのズレがなくなって、顎の疲れが減った」との感想
📝 成人でもクワドヘリックスは補助的に活用すれば高い治療効果を発揮します。
✅ 使用期間・改善ポイント・仕上がりの違い
| 比較項目 | 小児例(8歳) | 成人例(25歳) |
|---|---|---|
| 使用期間 | 約6ヶ月 | 約4ヶ月(拡大)+全体矯正6ヶ月 |
| 拡大量 | 約5mm | 約3mm(片側) |
| 改善点 | 歯列のスペース確保 | 交叉咬合の改善 |
| 使用感 | 違和感ありだが順応早い | 若干長めに違和感継続 |
| 仕上がり | 自然な歯列誘導 | 精密な咬合調整 |
🦷 小児では非抜歯のためのスペース確保、成人では噛み合わせ改善やワイヤー矯正の補助として活用されるケースが多くあります。
💬 よくある質問(FAQ)
❓ クワドヘリックスは何歳から使用可能?
🧒 6〜10歳ごろの混合歯列期(乳歯と永久歯が混在する時期)に導入されることが多いです。
この時期は顎の骨がやわらかく、成長の力を利用して歯列を拡大できるため、効果的です。
ただし、症例によっては5歳から使うケースや、永久歯列完成後の中高生・成人でも適応されることがあります。年齢よりも顎の成長段階や歯列の状態を診て判断します。
❓ 毎日の生活で気をつけることは?
クワドヘリックス装着中は、以下のポイントに注意しましょう:
🧼 清掃を徹底
→ 歯列の内側に装置があるため、タフトブラシや歯間ブラシを使って細かく磨きましょう。
🍭 食事の制限
→ 硬いもの・粘着質なもの(ガム・キャラメルなど)は装置の変形や脱落の原因になるため避けてください。
🗣 話しづらさは一時的
→ 最初の数日は発音しにくく感じますが、1週間ほどで慣れる人がほとんどです。
📅 定期通院を忘れずに
→ 効果を安定させるため、1〜2ヶ月ごとの調整が必須です。
❓ 大人でもクワドヘリックスは使えますか?
はい、成人でも使用可能です。ただし、以下の点に留意する必要があります。
- 成長期のような骨の可塑性が少ないため、大きな拡大は難しい
- 軽度の歯列拡大や咬合の微調整を目的とするケースが中心
- ワイヤー矯正やマウスピース矯正と併用されることが多い
👩⚕️ 成人症例では、歯や歯茎の状態により慎重な診断が不可欠です。
まずは歯科医院でのカウンセリングをおすすめします。
❓ 痛みが強いときの緊急対応は?
装置の圧力による軽い痛みは通常の反応で、2〜3日以内に落ち着くことが多いですが、以下のような対応をしましょう。
✅ ご自宅での対処
- 🧊 頬の外から冷たいタオルや保冷剤で冷やす
- 💊 **市販の鎮痛薬(アセトアミノフェン等)**を服用
- 🍵 やわらかい食事を選び、刺激を減らす
⚠ 以下のような場合はすぐ歯科医院へ連絡を
- 痛みが1週間以上続く
- ワイヤーが外れた・尖って刺さる
- 出血や腫れが出ている
📞 当院では、装置トラブル時のLINE相談・緊急対応も受け付けています。
📍 江戸川区篠崎でクワドヘリックス治療をご希望の方へ

当院(江戸川区篠崎)では、これまでに多数のクワドヘリックス症例を治療してまいりました。特に以下のようなケースに対応しています:
- 小児期の叢生(ガタガタ)予防や非抜歯矯正
- 成長期の上顎歯列狭窄・交叉咬合の改善
- 成人女性の軽度の咬合不正の補正
👨⚕️ 矯正専門の歯科医が一貫して診療を担当し、治療の見通しや費用についても初回から丁寧にご説明します。
📝 初診相談の流れと費用
初めての方でも安心してご来院いただけるよう、以下の流れでご案内しています:
- カウンセリング(約30分)
▶ 現在のお悩みや治療希望をお伺いします - 検査・診断(必要に応じて)
▶ レントゲン・口腔内スキャン・写真撮影など - 治療方針と費用のご案内
▶ オーダーメイドの治療計画と料金を提示します
💬 「話を聞くだけ」でももちろんOKです。無理な勧誘なども一切ありませんので、お気軽にご相談ください。
江戸川区篠崎で お子さまの矯正治療をお考えの方 は、ぜひ一度ご相談ください。お子さまの将来の歯並びを考えた、負担の少ない治療をご提案いたします!
【動画】アデノイド顔貌
筆者・院長

深沢 一
Hajime FUKASAWA
- 登山
- ヨガ
メッセージ
日々進化する歯科医療に対応するため、毎月必ず各種セミナーへの受講を心がけております。
私達は、日々刻々と進歩する医学を、より良い形で患者様に御提供したいと考え、「各種 歯科学会」に所属すると共に、定期的に「院内勉強会」を行う等、常に現状に甘んずる事のないよう精進致しております。 又、医療で一番大切な事は、”心のある診療”と考え、スタッフと共に「患者様の立場に立った診療」を、心がけております。


