- 1. 🩺 頬が腫れる原因とは?歯や病気の可能性・自宅でできる対処法と受診の目安
- 1.1. 🦷 頬が腫れる主な原因
- 1.1.1. ① 虫歯や歯の根の炎症(根先性歯周炎)
- 1.1.2. ② 歯ぐきの炎症(歯周病・歯槽膿漏)
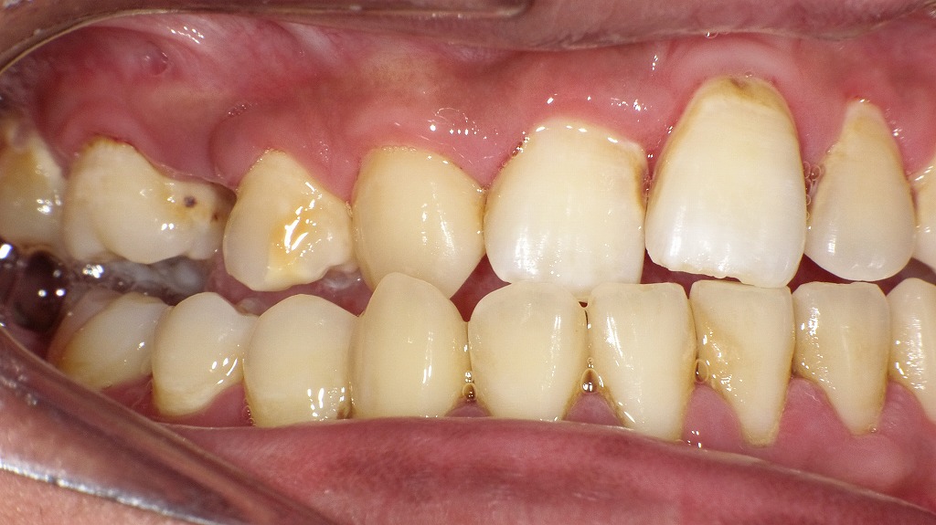
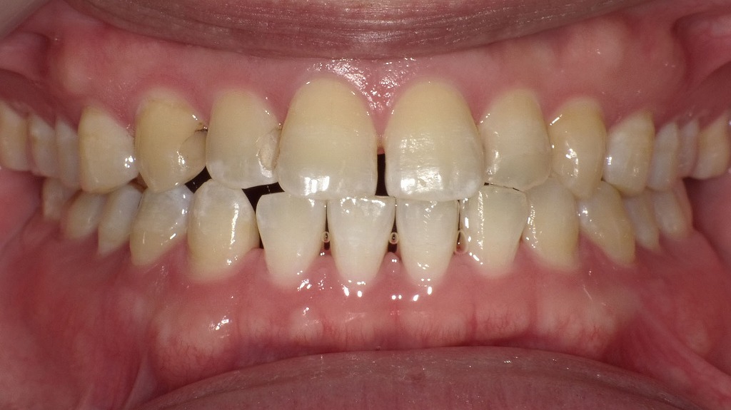
- 1.1.2.1. 歯のクリーニング(PMTC)による着色・歯石除去症例
- 1.1.3. ③ 親知らずの炎症(智歯周囲炎)
- 1.1.4. ④ 唾液腺の病気(耳下腺炎・顎下腺炎)
- 1.1.5. ⑤ リンパ節の腫れ・腫瘍など
- 1.2. ⚠️ 腫れ方でわかる危険サインと受診の目安
- 1.3. 🧊 自宅でできる応急処置・セルフケア
- 1.4. 🏥 何科に行くべき?
- 1.5. 💉 歯科での主な治療内容
- 1.6. 🌿 頬の腫れを防ぐための予防法
- 2. 💬 まとめ:頬の腫れは放置せず、早めの受診を!
- 3. 江戸川区篠崎で頬が腫れて痛い・熱がある方へ✨
- 4. 筆者・院長

🚨 鏡を見たときに「片方の頬が腫れてる…」と気づいて驚いたことはありませんか?
頬の腫れは、虫歯や歯ぐきの炎症、親知らずなどの歯のトラブルから、唾液腺・リンパの炎症など病気のサインまで、さまざまな原因が考えられます。
放置すると、顔全体が腫れたり発熱を伴ったりすることもあるため注意が必要です。
この記事では、頬が腫れる主な原因・自宅での対処法・受診の目安を歯科医の視点でわかりやすく解説します。
🩺 頬が腫れる原因とは?歯や病気の可能性・自宅でできる対処法と受診の目安
🦷 頬が腫れる主な原因

① 虫歯や歯の根の炎症(根先性歯周炎)
虫歯が悪化して神経まで感染が進むと、根の先に膿がたまり、頬が腫れることがあります。
放置すると炎症が広がり、顔全体やあごまで腫れるケースもあります。痛み・熱・ズキズキする感覚がある場合は、早急に歯科を受診しましょう。
② 歯ぐきの炎症(歯周病・歯槽膿漏)
歯周病が進行すると、歯ぐきの中で膿がたまり、局所的に腫れることがあります。
特に「歯ぐきの一部がぷっくりして痛い」「押すと膿が出る」場合は、歯周病性の腫れが疑われます。

歯面には歯石やプラークが沈着し、歯ぐきには発赤・腫脹がみられます。これは歯周病が進行した状態で、歯周ポケットの内部で細菌が増えることで炎症が悪化し、周囲の組織に膿が溜まると頬が腫れる原因になります。放置すると骨の破壊が進み、歯槽膿漏へ移行することもあるため、早期の治療と専門的クリーニングが重要です。
歯のクリーニング(PMTC)による着色・歯石除去症例


日常の歯みがきでは落としきれない歯石や着色を、専用の器具を用いた歯科クリーニングで除去した症例です。術前では歯の表面や歯の間に歯石やステインの付着が確認されますが、クリーニング後は歯面が滑沢になり、本来の歯の色調に近い自然な明るさを取り戻しています。
③ 親知らずの炎症(智歯周囲炎)
親知らずが半分だけ生えていると、歯と歯ぐきの間に汚れがたまりやすく、細菌感染で頬が腫れることがあります。
口が開けにくい・喉の奥まで痛むときは、炎症が強いサインです⚠️

画像のように、親知らずが手前の歯と密接していると汚れが溜まりやすく、強い炎症や腫れを引き起こします。
さらに、手前の歯の側面には虫歯もできやすく、痛み・腫れ・口が開きにくいといった症状につながります。
④ 唾液腺の病気(耳下腺炎・顎下腺炎)
食事中や食後に頬が急に腫れて痛む場合は、唾液の通り道が詰まっている「唾石症」や、ウイルス感染による「耳下腺炎(おたふく風邪)」などが考えられます。
⑤ リンパ節の腫れ・腫瘍など
炎症反応や感染症により、あご下や頬のリンパ節が一時的に腫れることもあります。
数週間たっても腫れが引かない場合や、硬くて痛みがないしこりの場合は、腫瘍などの可能性もあるため、早めの受診が必要です。
⚠️ 腫れ方でわかる危険サインと受診の目安
- 🔴 片側だけ腫れてズキズキ痛い → 歯や歯ぐきの感染を疑う
- 🔴 発熱・だるさ・顎の下まで腫れている → 細菌感染の可能性大
- 🔴 数日たっても腫れが引かない・痛みが強い → 放置せず歯科または耳鼻科へ
腫れが軽くても、**「原因不明」や「繰り返す腫れ」**は注意が必要です。見た目だけでは判断できないため、早めに医師に相談しましょう。
🧊 自宅でできる応急処置・セルフケア

- 🧊 冷やす:清潔なタオルで軽く冷やすと痛みが和らぎます。
- 🚫 強く押したり揉んだりしない:炎症を悪化させることがあります。
- 🪥 やさしくうがい・歯磨き:刺激を与えないようにケアしましょう。
- 🍜 辛い・熱い食べ物は控える:刺激が腫れを悪化させることがあります。
- 💊 痛み止め・抗生剤の自己判断使用は避ける:根本原因が治らないまま症状が隠れてしまう場合があります。
🏥 何科に行くべき?
| 状況 | 受診すべき診療科 |
|---|---|
| 歯が痛い・歯ぐきが腫れている | 🦷 歯科 |
| あごの下・耳の下が腫れている | 👂 耳鼻咽喉科 |
| 熱や倦怠感を伴う | 🏥 内科 |
迷ったときはまず歯科で診断を受けるのがおすすめです。
口腔内の腫れが原因かどうかを見極め、必要があれば耳鼻科や内科を紹介してもらえます。
💉 歯科での主な治療内容

- 🦷 虫歯・歯の根の炎症 → 根管治療・膿の排出・抗菌処置
- 🪥 歯周病による腫れ → 歯石除去・歯ぐきの洗浄
- 🦷 親知らずの炎症 → 抜歯・抗生剤・洗浄処置
炎症を繰り返す場合は、**根本原因(歯の感染・歯石・噛み合わせ)**をしっかり治すことが大切です。
🌿 頬の腫れを防ぐための予防法
- 🪥 定期的な歯科検診とクリーニング
- 🦷 早期の虫歯・歯周病治療
- 🥗 バランスのとれた食生活で免疫力アップ
- 😴 睡眠・ストレスケアで体調管理
特に、歯石やプラークの蓄積は炎症の温床になります。
3〜6か月に一度の定期クリーニングが、頬の腫れ予防にも効果的です✨
💬 まとめ:頬の腫れは放置せず、早めの受診を!
頬の腫れは、「虫歯の悪化」「歯ぐきの炎症」「唾液腺のトラブル」など、体からのSOSサインです。
軽い腫れでも、原因を放置すると膿が広がり発熱や顔全体の腫れに進行することもあります。
早めに歯科で原因を特定し、必要に応じて他科と連携した治療を受けることで、重症化を防げます。
「なんとなくおかしいな」と感じたら、迷わず受診しましょう😊
江戸川区篠崎で頬が腫れて痛い・熱がある方へ✨

頬の腫れは、放置すると炎症が広がり、発熱や強い痛みにつながることもあります。
「少し腫れているだけ」と思っても、原因を正確に診断するには歯科でのレントゲン検査や診察が必要です。
当院では、原因を丁寧に見極め、痛みを抑えた治療と再発防止ケアを行っています。
気になる症状がある方は、どうぞお早めにご相談ください。
筆者・院長

深沢 一
Hajime FUKASAWA
- 登山
- ヨガ
メッセージ
日々進化する歯科医療に対応するため、毎月必ず各種セミナーへの受講を心がけております。
私達は、日々刻々と進歩する医学を、より良い形で患者様に御提供したいと考え、「各種 歯科学会」に所属すると共に、定期的に「院内勉強会」を行う等、常に現状に甘んずる事のないよう精進致しております。 又、医療で一番大切な事は、”心のある診療”と考え、スタッフと共に「患者様の立場に立った診療」を、心がけております。


