- 1. 歯周病の進行が「隙間」と「出っ歯」を招くしくみ
- 1.1. ① 歯周病で歯槽骨が減る → 歯を支えられなくなる
- 1.1.1. ● 支えを失った歯は “揺れやすくなる”
- 1.2. ② 歯肉が下がり、歯の間に“隙間”ができる(ブラックトライアングル)
- 1.2.1. ● 歯と歯の間の歯肉(歯間乳頭)が消失
- 1.2.2. ● 歯の間に黒い隙間(ブラックトライアングル)が出現
- 1.3. ③ 歯の向きが変わる → 特に前歯が前に倒れ出っ歯になる
- 1.3.1. ● 前歯は“前方へ倒れる(フレアアウト)”傾向が強い
- 1.3.2. ● 下の前歯は内側に倒れ込む場合も
- 1.4. ④ 歯並びが乱れると、さらに歯周病が悪化する“負のループ”に
- 1.5. ⑤ 歯周治療と矯正で改善できること
- 1.5.1. ● 歯周治療でできること
- 1.5.2. ● 歯周病が安定したら、矯正で歯並びと嚙み合わせを改善できる
- 1.5.3. ● とくに前歯のフレアアウト(前への倒れ込み)は矯正で大きく改善可能
- 2. 歯周病の進行によって起こるフレアアウト(前歯の倒れ込み)症例
- 3. 【総合まとめ】
- 4. 江戸川区篠崎で出っ歯化にお悩みの方へ💧
- 5. 筆者・院長

歯周病は「歯ぐきの病気」と思われがちですが、実際には歯を支える骨(歯槽骨)にまで影響が及ぶ病気です。骨が減ると歯は本来の位置を保てなくなり、歯の間に隙間ができたり、前歯が前に倒れて“出っ歯”のように見えるなど、見た目や噛み合わせに大きな変化が起こります。
こうした変化は単なる老化ではなく、歯周病による構造的なトラブルが背景にあります。
本記事では、歯周病がどのようにして隙間や出っ歯を引き起こすのか、その仕組みを画像とともに分かりやすく解説し、さらに歯周治療と矯正で改善できるポイントも詳しくご紹介します。
「最近前歯が広がってきた」「歯の間が黒く見える」という方は、ぜひ参考にしてください。🦷✨。
歯周病の進行が「隙間」と「出っ歯」を招くしくみ
歯周病が進むと、見た目だけでなく歯の位置関係にも大きな変化が起こります。
その中心にあるのが、歯を支える骨(歯槽骨)の吸収です。



① 歯周病で歯槽骨が減る → 歯を支えられなくなる
健康な状態では、
- 歯槽骨
- 歯根膜
- 歯肉
といった「支持組織」がしっかり歯を固定しています。
しかし歯周病が進むと、細菌による炎症で歯槽骨が徐々に溶けて吸収されていきます。
● 支えを失った歯は “揺れやすくなる”
骨が減ると歯はしっかり噛み合う力に耐えられず、
動揺(歯が揺れる) が起きます。
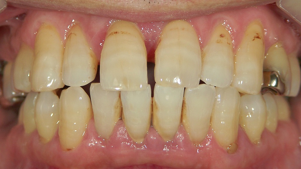
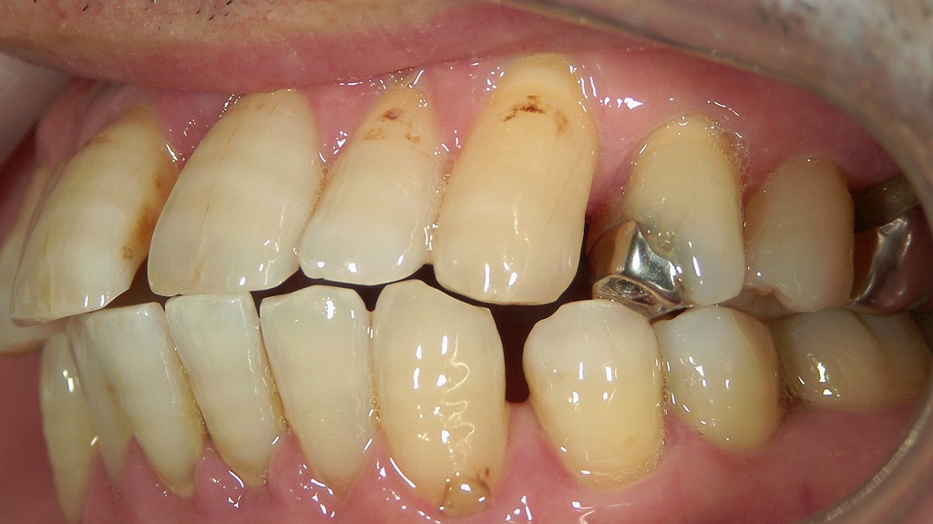
② 歯肉が下がり、歯の間に“隙間”ができる(ブラックトライアングル)
歯槽骨が減ると、それに合わせて歯肉も下がります。
その結果…
● 歯と歯の間の歯肉(歯間乳頭)が消失
通常は三角形の歯肉が歯間を埋めていますが、
骨が吸収されるとこの歯肉が支えを失い、やせて下がってしまいます。
● 歯の間に黒い隙間(ブラックトライアングル)が出現
画像でも見られるように、
前歯部に多数の隙間が見えるのは 歯周病による典型的変化 です。
③ 歯の向きが変わる → 特に前歯が前に倒れ出っ歯になる
歯槽骨が減ると、歯は支えを失い本来の位置をキープできなくなります。
その結果…
● 前歯は“前方へ倒れる(フレアアウト)”傾向が強い
理由は以下の通り:
- 本来、前歯は軽い外側方向の力を受けやすい歯
- 支えが弱くなるとその力に抵抗できない
- 結果として、歯冠が前に傾斜 → 出っ歯のような見た目に
→ 歯周病が「後天的な出っ歯」を作り出すことは珍しくありません。
● 下の前歯は内側に倒れ込む場合も
噛み合わせの力の影響で、
上が前へ、下が内側へとズレるため、
咬合が崩壊し、さらに歯の隙間が広がりやすくなります。
④ 歯並びが乱れると、さらに歯周病が悪化する“負のループ”に
- 歯が動く
- 歯並びが乱れる
- 清掃がしにくくなる
- プラーク・歯石が溜まる
- 歯周炎が進行する
- 歯槽骨がさらに吸収される
- さらに歯が前方や外側に倒れる
このように歯周病と歯列不正は互いに悪循環を形成し、
見た目も機能も急速に悪化していきます。
⑤ 歯周治療と矯正で改善できること
進行した歯周病でも、治療を正しく行えば改善が可能です。
● 歯周治療でできること
- 歯石除去・ルートプレーニングで炎症を抑える
- プラークコントロールで進行を止める
- 歯肉の腫れ・出血が改善する
- 歯の動揺が減り、安定しやすくなる
- 歯肉の厚みや形態が改善する
- 骨吸収の進行を止め、現状維持が可能になる
→ まずは“これ以上歯を失わない状態”をつくることが最優先。
● 歯周病が安定したら、矯正で歯並びと嚙み合わせを改善できる
歯周病がコントロールされた後であれば、
中等度の骨吸収があるケースでも矯正は十分可能です。
矯正治療によって、
- 前歯の傾斜(出っ歯)が改善
- 歯の隙間を閉じやすくなる
- 清掃性が大幅に向上
- 噛み合わせが安定
- 歯への負担が軽減
- 歯周病の再発リスクが下がる
などのメリットがあります。
● とくに前歯のフレアアウト(前への倒れ込み)は矯正で大きく改善可能
歯を適正な角度に戻すことで、
見た目の印象も大きく改善します。
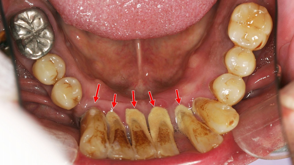
歯周病の進行によって起こるフレアアウト(前歯の倒れ込み)症例

下顎前歯の舌側に大量の歯石が付着し、歯周病が進行している状態です。
歯を支える骨や歯周組織が弱くなると、前歯は内側からの舌の圧や噛み合わせの力に耐えられず、徐々に前方へ倒れ込む「フレアアウト」を起こします。
フレアアウトは見た目の問題だけでなく、歯周病のさらなる悪化や噛み合わせの不調を招くため、早期の歯周治療と歯石除去が重要です。
【総合まとめ】
- 歯周病が進行すると歯槽骨が吸収し、歯を支えられなくなる
- 歯肉が下がり、歯の間に隙間(ブラックトライアングル)ができる
- 支えを失った前歯が前に倒れ、出っ歯傾向が強くなる
- 歯並びの乱れがさらに歯周病を悪化させる悪循環が起こる
- まず歯周治療で炎症を止めることが最優先
- 歯周状態が安定すれば矯正治療で歯並び・噛み合わせの改善が可能
- 両方を組み合わせることで、見た目・機能・長期的な健康が大きく向上する
江戸川区篠崎で出っ歯化にお悩みの方へ💧

歯の隙間が広がってきた、前歯が前に出てきた──こうした変化は、歯周病が原因の場合があります。
江戸川区篠崎の当歯科クリニックでは、歯周治療と矯正治療を組み合わせ、見た目と噛み合わせの両面から改善をサポートしています。歯周病の進行を抑え、歯が動く原因をしっかり整えることで、将来のトラブル予防にもつながります。
「最近、前歯の隙間や傾きが気になる」という方は、お気軽にご相談ください。😊。
筆者・院長

深沢 一
Hajime FUKASAWA
- 登山
- ヨガ
メッセージ
日々進化する歯科医療に対応するため、毎月必ず各種セミナーへの受講を心がけております。
私達は、日々刻々と進歩する医学を、より良い形で患者様に御提供したいと考え、「各種 歯科学会」に所属すると共に、定期的に「院内勉強会」を行う等、常に現状に甘んずる事のないよう精進致しております。 又、医療で一番大切な事は、”心のある診療”と考え、スタッフと共に「患者様の立場に立った診療」を、心がけております。


