- 1. 前歯2本だけ大きく見えるのはなぜ?
- 1.1. 前歯だけ大きく見える主な理由
- 1.1.1. ● 中切歯そのものが大きい(形態の個性)←今回はコレ
- 1.1.2. ● 側切歯が小さい(矮小歯)
- 1.1.3. ● 歯の位置による見え方の変化
- 1.1.4. ● 摩耗や噛み合わせの変化
- 2. 中切歯2本だけ大きく見える方への治療計画
- 2.1. — 歯を少し削って整え、矯正とセラミックで自然な口元を実現 —
- 2.2. 治療計画①:中切歯2本を“わずかに削って”小さく整える
- 2.3. 治療計画②:矯正治療で全体の歯並びを整える
- 2.4. 治療計画③:左上2番(側切歯)をセラミッククラウンで修復
- 2.5. 今回の治療で期待できる仕上がり
- 3. 江戸川区篠崎で前歯だけ大きくて気になる方へ🦷
- 4. 【動画】ホワイトスポットをアイコンで治す
- 5. 【動画】初期虫歯COを削らずに自分で治す方法
- 6. 筆者・院長

「前歯2本だけが大きくて気になる」「写真を撮ると前歯だけ目立つ」――そんなお悩みを抱える方は少なくありません。
前歯はお顔の印象を大きく左右するため、わずかな形や大きさの違いでも目立ちやすい部位です。
本記事では、前歯が大きく見える理由と、見た目のバランスを整えるための治療法について、歯科医師がわかりやすく解説します。
前歯2本だけ大きく見えるのはなぜ?
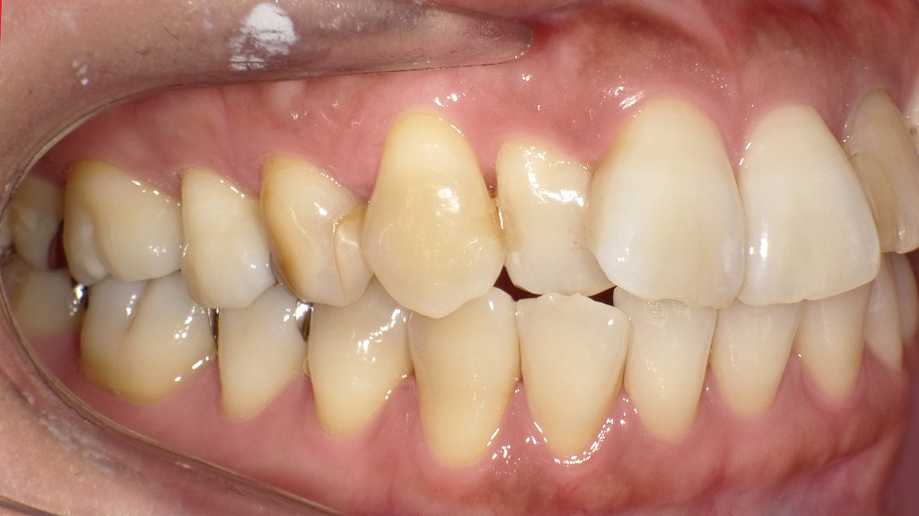
前歯の中でも、左右の「中切歯(真ん中の前歯)」だけ大きく見えることは珍しくありません。
「2本だけ目立つ」「笑うと前歯だけ強調される」というお悩みは多く、審美面だけでなく噛み合わせに影響することもあります。



中央の中切歯2本が幅がやや大きく、周囲の歯に比べて強調されて見える状態。今回の治療では、この2本を“最小限だけ削って”理想的な比率に整え、矯正治療と組み合わせて自然な前歯ラインを形成する。
前歯だけ大きく見える主な理由
● 中切歯そのものが大きい(形態の個性)←今回はコレ
中切歯は元々他の前歯より大きい歯で、個体差が大きいのが特徴です。
● 側切歯が小さい(矮小歯)
横の歯が小さい場合、相対的に真ん中の歯が大きく見えます。
● 歯の位置による見え方の変化
前方に位置していると、実際より大きく見えることがあります。
● 摩耗や噛み合わせの変化
歯列全体のバランスが変わり、前歯の見え方にも影響します。
中切歯2本だけ大きく見える方への治療計画
— 歯を少し削って整え、矯正とセラミックで自然な口元を実現 —
「前歯2本だけ大きく見える」「左右のバランスが悪い気がする」など、前歯の大きさや形が気になる方は少なくありません。
前歯は顔全体の印象を大きく左右するため、わずかな形の違いでも目立ちやすい部位です。
今回のケースでは、
① 中切歯が大きく見える形態の不調和
② 歯列の不揃い
③ 左上2番の失活歯による変色
が複合的に関係していました。
これらを改善し、自然で調和の取れた前歯へ導くために、以下の3つの治療を組み合わせて行う計画となりました。
治療計画①:中切歯2本を“わずかに削って”小さく整える
目立って見える中切歯は、形のバランスを整えるために最小限だけ削合し、幅の微調整を行います。
◆ ポイント
- 削る量は必要最低限
- 歯質を極力残す
- 自然な比率になるよう左右の中切歯を調整
- 他の歯との調和が取れ、前歯だけが強調されにくくなる
治療計画②:矯正治療で全体の歯並びを整える
前歯の“大きく見える”印象には歯の位置も大きく影響します。
今回のケースでは、歯列全体の位置や角度を整えるために、ワイヤー矯正またはマウスピース矯正を行います。
◆ メリット
- 歯の位置を整えることで中切歯の突出感が減る
- 全体のバランスが改善
- 清掃性が向上し、虫歯・歯周病リスクも軽減
矯正単独では改善が不十分な「形態の問題」を、前述の 削合+補綴治療で補完します。
治療計画③:左上2番(側切歯)をセラミッククラウンで修復
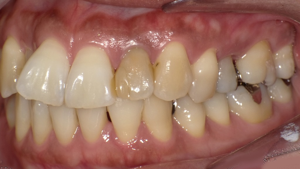
左上側切歯は**失活歯(神経が無い歯)**で、変色があり、周囲の歯との色調差が強く出ていました。
そこで、
セラミッククラウンによる審美修復を行い、自然な色と形へ整えます。
◆ セラミッククラウンのメリット
- 隣の歯と色合わせができる
- 透明感のある自然な仕上がり
- 形態の微調整により前歯全体のバランスが整う
- 変色した失活歯の見た目を根本的に改善できる
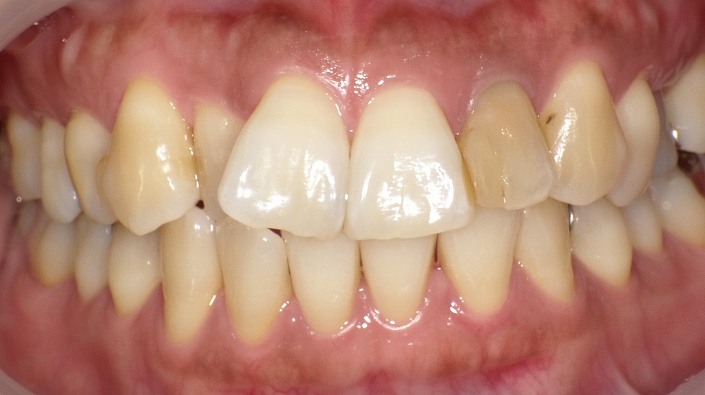
今回の治療で期待できる仕上がり
3つの治療を組み合わせることで、以下のような総合的な改善が見込めます。
- 中切歯の大きさのバランスが整う
- 歯列の乱れが改善し、前歯が自然に見える
- 左上2番の変色が解消され、色調の統一感が生まれる
- 全体として“自然な前歯の比率”が回復
- 笑ったときの印象が大きく改善
審美性だけでなく、噛み合わせや清掃性など“機能面”も向上することが期待できます。
江戸川区篠崎で前歯だけ大きくて気になる方へ🦷

前歯2本だけ大きく見えるお悩みは、専門的な診断と適切な治療選択で自然に改善できます。
江戸川区篠崎の当院では、矯正・ボンディング・セラミック・前歯を小さく整える審美治療まで、患者さんの口元に合わせた最適なプランをご提案しています。お気軽にご相談ください。
【動画】ホワイトスポットをアイコンで治す
【動画】初期虫歯COを削らずに自分で治す方法
筆者・院長

深沢 一
Hajime FUKASAWA
- 登山
- ヨガ
メッセージ
日々進化する歯科医療に対応するため、毎月必ず各種セミナーへの受講を心がけております。
私達は、日々刻々と進歩する医学を、より良い形で患者様に御提供したいと考え、「各種 歯科学会」に所属すると共に、定期的に「院内勉強会」を行う等、常に現状に甘んずる事のないよう精進致しております。 又、医療で一番大切な事は、”心のある診療”と考え、スタッフと共に「患者様の立場に立った診療」を、心がけております。


