- 1. 歯がないとどうなる?リスクを徹底解説🦷
- 1.1. 歯がない状態を放置するとどうなる?⚠️
- 1.1.1. 噛む力の低下と消化不良🍚
- 1.1.2. 歯並び・かみ合わせの乱れ😬
- 1.1.3. 発音や見た目への影響💬
- 1.1.4. 歯周病や他の歯への負担増加🦠
- 2. 下顎前歯の先天欠損による歯列不正と噛み合わせの乱れ
- 2.1. 下の前歯が足りないと起きる歯並びの問題とは?
- 2.2. この症例で起きていること
- 2.2.1. ✔ 1. 下顎前歯の先天欠損
- 2.2.2. ✔ 2. 加齢とともに顕著になる“すきっ歯”
- 2.2.3. ✔ 3. 噛み合わせの異常
- 2.2.4. ✔ 4. 上顎犬歯の萌出異常(八重歯化)
- 2.3. 子どもの頃から必要だった治療計画(典型例)
- 2.3.1. ① 成長期(小児期)
- 2.3.2. ② 中高生〜成人直前
- 2.3.3. ③ 成人後
- 2.4. まとめ
- 3. 歯を失う主な原因🔍
- 3.1.1. 虫歯の悪化🪥
- 3.1.2. 歯周病の進行🦷
- 3.1.3. 外傷や事故🤕
- 3.1.4. 全身疾患との関係⚕️
- 4. 歯が無くなった症例
- 4.1. 🔍 状況の説明
- 4.2. 🦷 今後の治療選択肢
- 4.3. 💡 歯科医のコメント
- 5. 歯がない場合の治療法の選択肢💡
- 5.1.1. インプラント治療🦷✨
- 5.1.1.1. 🦷 所見の概要
- 5.1.1.2. 🦷 手術内容の概要
- 5.1.1.3. 🧩 骨の状態とGBR(骨再生誘導法)
- 5.1.1.4. 🔩 オッセオインテグレーション(骨結合)について
- 5.1.1.5. 💡 今後の流れ(一般的な治療ステップ)
- 5.1.2. ブリッジ治療🔗
- 5.1.2.1. 🦷 ブリッジの構造解説
- 5.1.2.2. 🔹 各部位の構成
- 5.1.2.3. 🔧 使用材料と特徴
- 5.1.2.4. ⚠️ 注意点
- 5.1.3. 入れ歯治療(部分入れ歯・総入れ歯)🦷
- 5.1.3.1. 🦷 状況の概要
- 5.1.3.2. 🦷 状況の概要
- 5.1.3.3. 🔍 見た目と機能の特徴
- 5.1.3.4. 💡 審美性を高める選択肢:スマイルデンチャー
- 5.1.4. 最新の治療法(All-on-4など)💎
- 5.1. 治療法の比較と選び方🔍
- 6. 歯がないままにしないための予防法🛡️
- 7. よくある質問(FAQ)❓
- 8. まとめ📌
- 9. 🏥 江戸川区篠崎で「歯がない」ことでお悩みの方へ
- 10. 【動画】ステイン着色汚れをクリーニングするエアフロー
- 11. 筆者・院長

✅「歯が1本くらいなくても大丈夫」と思っていませんか?🦷
実は、歯がない状態を放置すると かみ合わせの乱れ・消化不良・老け顔・歯周病のリスク増加 など、口の中だけでなく全身の健康にも影響を及ぼします。
さらに、時間が経つほど治療の選択肢が限られたり、費用が高額になるケースも…。
だからこそ、歯を失ったときには早めに正しい治療を選ぶことが大切です✨
本記事では、歯がないことで起こるリスク、考えられる原因、そして インプラント・ブリッジ・入れ歯 といった治療法の違いや費用感をわかりやすく解説します。
「歯がなくなったけど、どうすればいいの?」と不安な方は、ぜひ最後までご覧ください。😊
歯がないとどうなる?リスクを徹底解説🦷
歯がない状態を放置するとどうなる?⚠️

噛む力の低下と消化不良🍚
歯は食べ物を細かく噛み砕く大切な役割を担っています。1本でも歯がないと噛む力が弱まり、消化不良や胃腸への負担が増えることがあります。
歯並び・かみ合わせの乱れ😬
歯はお互いに支え合っています。1本でも失うと、隣の歯が倒れ込んだり、噛み合う歯が伸びてきたりして歯並びが崩れる原因に。結果的にさらに多くの歯を失う悪循環につながります。
発音や見た目への影響💬
前歯を失うと「サ行」などの発音がしにくくなります。また、口元がへこみ老け顔に見えることもあり、見た目のコンプレックスにつながります。
歯周病や他の歯への負担増加🦠
歯を失った部分に食べ物が詰まりやすくなり、歯周病や虫歯が進行しやすくなります。残っている歯に負担が集中し、将来的にさらに歯を失うリスクも。
下顎前歯の先天欠損による歯列不正と噛み合わせの乱れ
下の前歯が足りないと起きる歯並びの問題とは?

この写真では、下顎前歯(通常4本あるうちの1本)が先天的に欠損しているため、下顎前歯部に**明らかな隙間(スペース)**が生じています(赤矢印)。このスペースは、周囲の歯を支える位置関係に影響し、上下の噛み合わせにもズレが生じています。
また、上顎犬歯(赤矢印上部)は萌出スペースが不足したまま生えてきており、歯列外側に位置する“八重歯”の状態になっています。これは、下顎前歯の欠損により咬合のバランスが崩れたことも一因です。
この症例で起きていること
✔ 1. 下顎前歯の先天欠損
- 本来4本並ぶはずの前歯が1本欠損しているため、
左右のバランスが崩れ、スペースが均等に分配されない - 歯列の中心(正中)がずれやすい
- 上下の噛み合わせに影響が波及し、犬歯誘導も不安定
✔ 2. 加齢とともに顕著になる“すきっ歯”
- 成長期に顎が大きくなる一方、歯の本数が足りない
→ 歯間空隙が広がりやすい
✔ 3. 噛み合わせの異常
- 上下の前歯が適切に噛み合わず、
・前歯で噛み切りにくい
・犬歯のガイドが弱くなる
・奥歯に過度な負担が集中する
など機能面の問題が発生
✔ 4. 上顎犬歯の萌出異常(八重歯化)
- 下顎側の欠損とスペース不均衡の影響で
犬歯が正しい位置に並ぶスペースが不足し、歯列外に生えている
子どもの頃から必要だった治療計画(典型例)
先天欠損がある場合、以下のような長期計画が理想的です。
① 成長期(小児期)
- レントゲンで永久歯の本数を確認
- 顎の成長を妨げないように矯正治療のタイミングを判断
- スペースコントロール(拡大・保隙装置)
② 中高生〜成人直前
- 歯の欠損部をどう扱うか決定
・矯正で閉鎖するか
・仮歯・将来のインプラントスペースを確保するか
③ 成人後
- 必要に応じて
・インプラント
・ブリッジ
・矯正再調整
などで最終補綴を行い、長期的な咬合の安定を図る
まとめ
「下の前歯が先天的に1本欠けているため、前歯に隙間ができ、上下の噛み合わせにもズレが出ています。お子さんの時から計画的な矯正治療が必要なタイプの先天欠損です。」
歯を失う主な原因🔍
虫歯の悪化🪥
初期の虫歯を放置すると神経まで達し、最終的に抜歯が必要になることもあります。
歯周病の進行🦷
日本人が歯を失う原因の第一位は歯周病。歯ぐきや骨が溶けることで歯が支えられなくなり、自然に抜けてしまうことも。
外傷や事故🤕
転倒やスポーツ中の事故で歯を失うケースもあります。
全身疾患との関係⚕️
糖尿病や骨粗しょう症などの全身疾患も、歯を失うリスクを高める要因です。
歯が無くなった症例
この写真は左上の前歯部(上顎犬歯部)抜歯後の状態を示しています。以下のように説明できます。

🔍 状況の説明
- 赤矢印部(左上3番):
最近抜歯された部位で、歯肉の形態がまだ不完全です。粘膜はふくらみがあり、治癒過程の初期段階にあります。歯槽骨の吸収や歯肉の陥凹が進む前の状態です。 - 左上1番部位:
こちらは抜歯後ある程度時間が経過しており、歯肉の形態が比較的整っています。歯肉の成熟が進み、表面が滑らかになっています。 - 隣接歯(2番・4番):
歯の色調や歯石沈着、金属修復物が見られます。咬耗や歯軋りの影響も一部認められます。
🦷 今後の治療選択肢
抜歯部位の欠損補綴には、以下の3つの方法が考えられます。
- ブリッジ
隣接する歯を削って連結し、人工歯で欠損部を補う方法。固定式で違和感が少ないが、健康な歯を削る必要がある。 - 入れ歯(部分義歯)
取り外し式で、他の歯をほとんど削らずに済む。コストが抑えられるが、装着感や見た目で違和感を感じやすい。 - インプラント
欠損部の骨にチタン製の人工歯根を埋入し、その上に人工歯を装着。審美性・咀嚼機能に優れるが、外科処置と治療期間が必要。
💡 歯科医のコメント
- 現在の左上3番部位は、まだインプラント埋入やブリッジ印象採得には早い段階です。
歯肉・骨の治癒を待って形態が安定してから補綴設計を行うのが理想です。 - 一方、左上1番のように歯肉形態が安定している部位では、補綴のタイミングとして適しています。
歯がない場合の治療法の選択肢💡

インプラント治療🦷✨
顎の骨に人工歯根を埋め込み、その上に人工の歯を装着する方法。天然歯に近い噛み心地と見た目が得られるのが魅力です。ただし、手術が必要で保険適用外のため費用が高め。
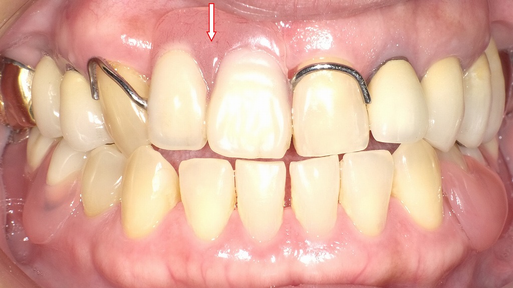
この画像は、前歯部(特に上顎前歯)の欠損状態を示しています。以下に詳細を解説します。

🦷 所見の概要
- 左上1番(上顎左中切歯)が欠損しています。
- 欠損部の歯肉(歯ぐき)はやや陥没しており、歯槽骨吸収が疑われます。
この画像は、上顎左中切歯(左上1番)部のインプラント埋入手術直後の状態を示しています。以下に詳細を説明します。

🦷 手術内容の概要
- 欠損していた左上1番部にインプラント体を埋入しています。
- インプラントフィクスチャーの頭部(ヒーリングキャップ)が露出して見えています。
- 周囲に**人工骨(骨補填材)**が填入されており、白色顆粒状の物質として確認できます。
🧩 骨の状態とGBR(骨再生誘導法)
- 欠損部の骨量が不足していたため、**GBR(Guided Bone Regeneration:骨再生誘導法)**を併用しています。
- 骨補填材を埋入部周囲に充填し、インプラント体の露出部分を覆うことで、骨の厚み・高さを再建しています。
- 通常、この上には**吸収性または非吸収性のメンブレン(膜)**を設置して骨再生を誘導します。
🔩 オッセオインテグレーション(骨結合)について
- この段階ではまだ仮固定状態であり、骨とチタン表面の結合は形成途中です。
- 通常、2〜6か月間の治癒期間を経て、骨とインプラントが一体化(オッセオインテグレーション)します。
- 骨結合が安定した後に、アバットメント装着→上部構造(人工歯)作製へと進みます。
💡 今後の流れ(一般的な治療ステップ)
- 埋入手術(今回の状態)
- 治癒期間(骨結合待ち)
- 2次手術(アバットメント連結)
- 上部構造(セラミッククラウンなど)の装着
- 咬合調整・メンテナンス
ブリッジ治療🔗
失った歯の両隣の歯を削り、橋渡しのように人工の歯を装着する方法。保険が適用できる場合が多く、短期間で治療可能。ただし健康な歯を削る必要があるのがデメリットです。
この画像は、右下の奥歯(下顎右側)に装着された保険適用の金属ブリッジを示しています。

🦷 ブリッジの構造解説
ブリッジは、**欠損している歯(この場合は右下7番=第二大臼歯)**の両隣の歯を支えとして、**連結された人工歯(ポンティック)**で欠損部を補う治療法です。
🔹 各部位の構成
- 右下6番(第一大臼歯):金属のクラウン(被せ物)が装着されており、支台歯として機能。
- 右下7番(第二大臼歯):欠損しており、ここにポンティック(金属製のダミーの歯)が連結されています。→矢印の箇所。
- 右下8番(親知らず):金属冠が支台歯として利用されています。
このため、「右下6番・7番・8番ブリッジ」と呼ばれます。
🔧 使用材料と特徴
- 材質:銀合金(金銀パラジウム合金)
- 治療区分:保険適用ブリッジ
- 特徴:
- 強度が高く、咬合力に耐えられる
- 金属色のため審美性は低い
- 適切に装着すれば長期使用も可能
⚠️ 注意点
- 支台歯となる6番・8番に負担がかかるため、清掃が不十分だと虫歯や歯周病のリスクがあります。
- ブリッジ下(ポンティック下部)は食べかすがたまりやすく、デンタルフロスやスーパーフロスでの清掃が重要です。
入れ歯治療(部分入れ歯・総入れ歯)🦷
取り外し式で比較的安価に治療できます。最近は金属床やノンクラスプデンチャーなど、快適さや見た目に配慮したタイプも増えています。
この画像は、右上の中切歯(1番)と側切歯(2番)の欠損が見られる症例です。

🦷 状況の概要
- 右上1番(中切歯)と2番(側切歯)が欠損しています。
そのため、前歯部に明確な空隙(歯の抜けた部分)が確認できます。 - 対合歯(下の前歯)は比較的整っています。
この画像は、保険適用の部分入れ歯(局部義歯)を装着している状態を示しています。

🦷 状況の概要
- 上顎前歯部に**部分入れ歯(義歯)**が装着されています。
- 金属の**クラスプ(留め具)**が右の犬歯と左の1番に見られ、歯に引っかけて義歯を支えています。
- 赤い矢印の部位(右上1番・2番部)は、人工歯が装着されている部分です。
🔍 見た目と機能の特徴
- クラスプが目立つため、笑った際や会話中に金属が見えることがあります。
- 保険適用の義歯のため、金属製クラスプやレジン床を使用しており、維持力はありますが審美性に劣る点が特徴です。
- 咬合(かみ合わせ)は保たれていますが、上顎前歯の人工歯の透明感がやや少なく、自然歯との差が見られます。
💡 審美性を高める選択肢:スマイルデンチャー

- クラスプ(金属のバネ)を使わない、**スマイルデンチャー(ノンクラスプデンチャー)**を選ぶことで、見た目を大きく改善できます。
- 特徴:
- 半透明のナイロン系樹脂で作られており、自然な歯ぐきの色合いに近い。
- 金属のバネがないため、笑っても義歯が目立たない。
- 軽くてフィット感が良く、装着感が自然。
- 自費治療となりますが、審美性・快適性・自信ある笑顔を求める方におすすめです。
最新の治療法(All-on-4など)💎
歯がほとんどない場合でも、少数のインプラントで固定式の義歯を支える方法もあります。従来より短期間で機能回復が可能です。
治療法の比較と選び方🔍
- 見た目:インプラント>ブリッジ>入れ歯
- 噛み心地:インプラントが最も自然
- 治療期間・費用:入れ歯が最も短期間・低コスト、インプラントは高額
- メンテナンス:インプラントは定期検診必須、入れ歯は取り外しケアが必要
自分に合った治療法を選ぶためには、歯科医師に相談し「費用・期間・生活習慣」を含めた総合的な判断が重要です。
歯がないままにしないための予防法🛡️
- 定期的な歯科検診と歯石除去🦷
- 正しいブラッシングとフロスの習慣🪥
- 食生活の見直し(砂糖を控える・栄養バランスを整える)🥗
- 禁煙🚭・過度の飲酒を控える🍷
よくある質問(FAQ)❓
Q:歯が1本だけない場合でも治療が必要ですか?
A:はい。1本でも欠けると隣の歯や噛み合わせに影響します。
Q:歯がない期間が長いとインプラントはできない?
A:骨が痩せてしまうと難しい場合もありますが、骨造成手術で対応できるケースもあります。
Q:保険でできる治療と自費治療の違いは?
A:入れ歯やブリッジは保険適用の範囲がありますが、インプラントは自費診療のみとなります。
まとめ📌

歯がない状態を放置すると、見た目や食事だけでなく全身の健康に影響を及ぼします。治療法にはインプラント・ブリッジ・入れ歯などがあり、それぞれメリットとデメリットがあります。まずは歯科医院で相談し、自分に合った治療を選ぶことが大切です。
「歯がないまま放置しないこと」こそ、将来の健康を守る第一歩です✨
🏥 江戸川区篠崎で「歯がない」ことでお悩みの方へ

歯がない状態をそのままにしておくと、噛みにくさや見た目だけでなく健康面にも大きな影響があります。当院では、インプラント・ブリッジ・入れ歯 など、患者さま一人ひとりに合った治療法をご提案しております。まずはお気軽にご相談ください🦷✨
【動画】ステイン着色汚れをクリーニングするエアフロー
筆者・院長

深沢 一
Hajime FUKASAWA
- 登山
- ヨガ
メッセージ
日々進化する歯科医療に対応するため、毎月必ず各種セミナーへの受講を心がけております。
私達は、日々刻々と進歩する医学を、より良い形で患者様に御提供したいと考え、「各種 歯科学会」に所属すると共に、定期的に「院内勉強会」を行う等、常に現状に甘んずる事のないよう精進致しております。 又、医療で一番大切な事は、”心のある診療”と考え、スタッフと共に「患者様の立場に立った診療」を、心がけております。


