- 1. 🦷 高齢者の歯の残存本数とは?
- 1.1. 🔢 残存歯数の定義(自分の歯の本数を数える方法)
- 1.2. 🏢 厚生労働省や8020運動の基準
- 1.3. 👵👴 年齢別の平均残存歯数(70代・80代・90代の目安)
- 2. 🧑⚕️ 歯の残存本数と全身の健康との関係
- 2.1. 🧠 噛む力と認知症予防の関係
- 2.2. 🥗 残存歯数と栄養状態(食べられる食品の幅が変わる)
- 2.3. 🧓 残存歯数が少ないと要介護リスクが高まる理由
- 3. 🦷 高齢者に多い「歯を失う原因」
- 3.1. 🦠 歯周病による歯の喪失
- 3.2. 🪥 虫歯の進行と抜歯
- 3.3. 🦷 不適切な入れ歯使用や放置によるトラブル
- 4. 🌿 歯の残存本数を増やす・守るための取り組み
- 4.1. 🏥 定期的な歯科検診とプロフェッショナルケア
- 4.2. 🪥 日常のセルフケア(歯磨き・フロス・うがい)
- 4.3. 🎯 8020運動に学ぶ予防歯科の重要性
- 4.4. 🦷 入れ歯・インプラント・ブリッジで噛む機能を補う方法
- 4.4.1. 6番・7番相当部のインプラント症例
- 4.4.2. 下顎5番の欠損を保険ブリッジで補った症例
- 5. 🏙️ 江戸川区篠崎で高齢者の歯を守る取り組み
- 5.1. 🩺 地域で受けられる高齢者歯科健診
- 5.2. 🚑 訪問歯科診療の活用
- 6. ✅ まとめ|歯の残存本数は健康寿命を左右する
- 7. 🏥 江戸川区篠崎の皆さまへ|当院でのサポート体制
- 8. 【動画】ステイン着色汚れをクリーニングするエアフロー
- 9. 筆者・院長

✅ 加齢とともに「自分の歯がどれだけ残っているか」は健康に大きな影響を与えます。
高齢者の歯の残存本数は、単なる「噛む力」だけでなく、栄養状態・認知症予防・要介護リスク に直結していることが、近年の研究でも明らかになっています。
「70代や80代では平均でどのくらい歯が残っているの?」「歯が少なくなると生活にどんな影響があるの?」と疑問に思う方も多いのではないでしょうか。
この記事では、高齢者の歯の残存本数の平均値・健康との関係・歯を守るための取り組み をわかりやすく解説します。
江戸川区篠崎でも高齢者向けの歯科健診や訪問診療が行われており、地域でのサポート体制も充実しています。
歯を1本でも多く残すことは、健康寿命を延ばし、人生をより豊かにする第一歩です。
🦷 高齢者の歯の残存本数とは?
「高齢者の歯の残存本数」とは、加齢によって失われずに残っている自分の歯の本数を指します。
歯の本数は健康寿命に深く関係しており、1本でも多く歯を残すことが生活の質の向上につながると考えられています。

🔢 残存歯数の定義(自分の歯の本数を数える方法)
残存歯数とは「今ある自分の天然歯の本数」のことです。
通常、永久歯は親知らずを含めて32本(親知らずを除くと28本)あります。その中で、虫歯や歯周病などで失われずに残っている歯を数えたものが残存歯数です。
👉 義歯(入れ歯)やインプラントは残存歯には含まれません。
🏢 厚生労働省や8020運動の基準
厚生労働省が推進する「8020(ハチマルニイマル)運動」は、80歳になっても20本以上の歯を残そうという取り組みです。
20本の歯が残っていれば、多くの食品を自分の歯でしっかり噛み、食生活を楽しめるとされています。
👉 「20本」という数字は、健康寿命を延ばすための大きな目標となっています。
👵👴 年齢別の平均残存歯数(70代・80代・90代の目安)
最新の調査によると、日本人高齢者の平均残存歯数は以下のように推移しています。
- 70代:平均 約20本前後
- 80代:平均 約15本前後
- 90代:平均 10本未満 のケースも多い
特に80代以降は歯の喪失が進みやすく、残存歯数の差が生活の質(食事・会話・健康)に大きく影響します。
🧑⚕️ 歯の残存本数と全身の健康との関係
高齢者の歯の残存本数は、単に「噛めるかどうか」だけでなく、認知症予防・栄養状態・要介護リスク など、全身の健康と深く関わっています。

右側臼歯部は重度の虫歯(C4)と欠損により咬合が崩壊し、噛む機能が大きく低下しています。歯を失うと咀嚼力の低下だけでなく、栄養状態の悪化・フレイル・認知機能低下など全身の健康リスクが高まることが分かっています。残存歯数を守ることは、健康寿命を延ばすための重要なポイントです。
🧠 噛む力と認知症予防の関係
しっかり噛むことは脳を活性化させ、記憶や判断力の維持に役立ちます。
残存歯数が少なくなると、噛む刺激が減ってしまい、脳の血流や活動が低下しやすいと考えられています。
👉 研究でも「歯の本数が多い高齢者ほど認知症リスクが低い」と報告されています。
🥗 残存歯数と栄養状態(食べられる食品の幅が変わる)
歯がしっかり残っていれば、肉や野菜など硬い食べ物も噛むことができます。
逆に残存歯数が少なくなると、柔らかい食品に偏りやすく、タンパク質や食物繊維の摂取不足につながります。
👉 結果として、栄養バランスが崩れ、筋力低下やフレイル(虚弱)の進行を招く恐れがあります。
🧓 残存歯数が少ないと要介護リスクが高まる理由
歯が少ないと「噛む」「食べる」機能が低下し、食欲や体力の減少につながります。
さらに口腔機能の低下は「オーラルフレイル」と呼ばれ、全身の衰えの入り口とも言われています。
👉 残存歯数が少ない高齢者ほど、要介護認定を受けるリスクが高いことが調査で明らかになっています。
🦷 高齢者に多い「歯を失う原因」
高齢者が歯を失う原因の多くは、加齢そのものではなく、歯周病や虫歯の進行、入れ歯のトラブル などによるものです。ここでは代表的な原因を解説します。
🦠 歯周病による歯の喪失
歯を失う最大の原因は「歯周病」です。
歯周病は歯を支える骨や歯ぐきを破壊し、進行すると歯がぐらぐらになって抜け落ちてしまいます。
👉 特に高齢者は歯周病が進行していても痛みが少ないため、気づかないうちに歯を失うケースが多いのです。

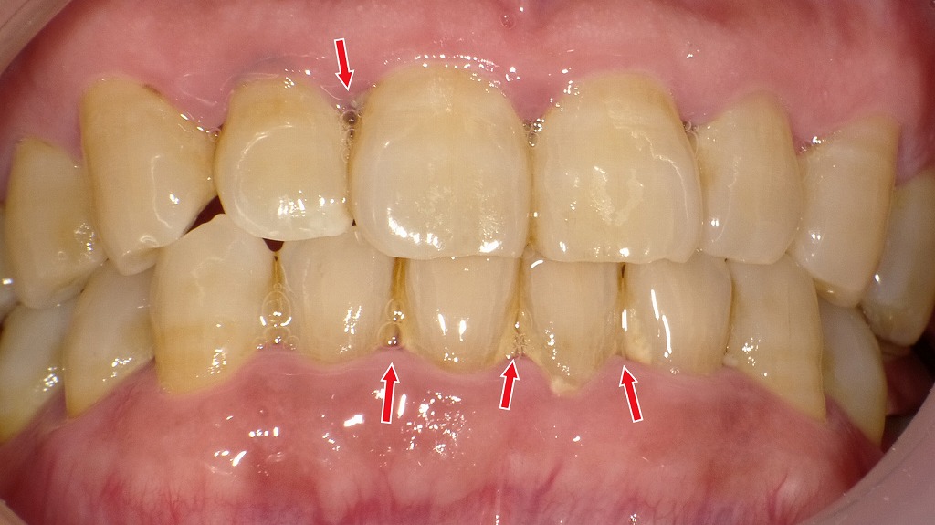
赤矢印部には硬く固着した歯石と歯肉の強い炎症が認められます。歯石が長期間放置されると、歯周ポケットが深くなり、歯を支える骨が徐々に失われ、最終的には“歯の喪失”につながります。早期のクリーニングと歯周治療が、歯を残すために不可欠です。
🪥 虫歯の進行と抜歯
若い頃に治療した歯でも、加齢とともに再び虫歯が進行することがあります。
神経まで到達した虫歯や根の部分が大きく崩壊した場合、残念ながら抜歯せざるを得ないケースも。
👉 定期検診で早期発見・早期治療を行うことが、歯の残存本数を守るカギになります。
🦷 不適切な入れ歯使用や放置によるトラブル
入れ歯が合わないまま使用すると、歯ぐきに負担がかかり、周囲の歯までダメージを受けることがあります。
また、歯を失った部分を長期間そのままにしておくと、噛み合わせが崩れ、さらに他の歯を失いやすくなります。
👉 適切な入れ歯調整やブリッジ・インプラントの活用が、残っている歯を守るために大切です。
🌿 歯の残存本数を増やす・守るための取り組み
高齢者の歯の残存本数は、毎日のケアや歯科医院での管理によって大きく変わります。
「歯を守ること」は健康寿命を延ばすための重要な取り組みです。
🏥 定期的な歯科検診とプロフェッショナルケア
歯科医院での定期検診は、虫歯や歯周病を早期に発見し、重症化を防ぐ最も確実な方法です。
また、歯科衛生士による**スケーリングやPMTC(プロによるクリーニング)**は、セルフケアでは落とせない歯石やバイオフィルムを除去できます。
👉 半年に一度は定期検診を受ける習慣を持ちましょう。
🪥 日常のセルフケア(歯磨き・フロス・うがい)
毎日の歯磨きは基本ですが、フロスや歯間ブラシを併用することで残存歯数を守る確率が高まります。
また、うがい(洗口液)を取り入れることで口腔内の細菌を減らし、歯周病予防にもつながります。
👉 「毎日のセルフケア+定期的なプロのケア」の両立が理想です。
🎯 8020運動に学ぶ予防歯科の重要性
「8020運動」は、80歳で20本以上の歯を残すことを目標とする国の取り組みです。
20本の歯が残っていれば、多くの食品を自分の歯でしっかり噛め、健康的な食生活を維持できます。
👉 予防歯科の意識を持つことが、結果的に残存歯数を増やすことにつながります。
🦷 入れ歯・インプラント・ブリッジで噛む機能を補う方法
もし歯を失ってしまっても、入れ歯・インプラント・ブリッジといった補綴治療で噛む機能を補うことが可能です。
噛む力を取り戻すことで、口腔内だけでなく消化機能や全身の健康にも良い影響を与えます。
👉 放置せず、適切な補綴治療を選ぶことが「残っている歯を守る」ことにもつながります。
6番・7番相当部のインプラント症例

6番・7番相当部に2本のインプラントを適切な位置・角度で埋入した直後の術中写真です。骨質を確認しながら初期固定を確保し、周囲骨との密着性を高めるように配慮して埋入しています。矢印はインプラントボディの位置を示しており、今後の治癒期間を経て上部構造の装着へ移行する予定です。
下顎5番の欠損を保険ブリッジで補った症例

下顎5番の欠損部位に対し、両側の歯を支台として連結した保険適用の金属ブリッジを装着した症例です。
欠損を放置すると噛み合わせの崩れや隣在歯の傾斜が進行しますが、ブリッジにより咬合機能を安定的に回復できます。
ただし、支台歯に負担がかかるため、定期的なメンテナンスと噛み合わせチェックが長期維持の重要なポイントとなります。
🏙️ 江戸川区篠崎で高齢者の歯を守る取り組み
江戸川区篠崎では、高齢者の歯の残存本数を守るためにさまざまな取り組みが行われています。
地域の制度や歯科医院のサポートを上手に活用することで、健康寿命を延ばし、安心して生活することができます。
🩺 地域で受けられる高齢者歯科健診
江戸川区では、高齢者を対象とした歯科健診が実施されています。
歯の残存本数や歯周病の有無をチェックし、必要に応じて早めに治療や予防指導を受けられる仕組みです。
👉 地域の健診を利用することで「知らないうちに歯を失う」リスクを減らせます。
🚑 訪問歯科診療の活用
通院が難しい高齢者の方には、訪問歯科診療が大きな支えとなります。
ご自宅や施設で診察やクリーニングを受けることができ、残存歯数を守るだけでなく、口腔機能の維持にも役立ちます。
👉 嚥下機能や栄養状態の改善にもつながるため、要介護予防に有効です。
✅ まとめ|歯の残存本数は健康寿命を左右する
高齢者の歯の残存本数は、単なる「噛む力」だけでなく、全身の健康や生活の質に直結しています。
- 🦷 自分の歯を1本でも多く残すことが、健康寿命を延ばす大きなポイント
- 🩺 定期検診+日常ケア が、残存歯数を守るために最も効果的な方法
- 🏥 不安がある場合は地域の歯科医院に相談 することが安心につながります
江戸川区篠崎のように、地域で高齢者歯科健診や訪問診療が充実している場所もあります。身近な歯科医院を活用しながら、歯を守り、元気に暮らしていきましょう。
🏥 江戸川区篠崎の皆さまへ|当院でのサポート体制

「歯の本数は年齢だから仕方ない」と思っていませんか?
実は、高齢者でも適切なケアを続ければ歯を残すことは可能です。
江戸川区篠崎の当歯科クリニックでは、定期検診やクリーニングを通じて、1本でも多くの歯を守るサポートを行っています。
【動画】ステイン着色汚れをクリーニングするエアフロー
筆者・院長

深沢 一
Hajime FUKASAWA
- 登山
- ヨガ
メッセージ
日々進化する歯科医療に対応するため、毎月必ず各種セミナーへの受講を心がけております。
私達は、日々刻々と進歩する医学を、より良い形で患者様に御提供したいと考え、「各種 歯科学会」に所属すると共に、定期的に「院内勉強会」を行う等、常に現状に甘んずる事のないよう精進致しております。 又、医療で一番大切な事は、”心のある診療”と考え、スタッフと共に「患者様の立場に立った診療」を、心がけております。


