- 1. 歯茎から膿が出るのは危険? 🦷
- 1.1. 歯茎から膿が出るのはどんな状態?🤔
- 2. 歯茎から膿が出る主な原因 🔍
- 2.1. 歯周病の進行
- 2.2. 歯根の感染(根尖性歯周炎)
- 2.3. フィステル(瘻孔)の形成
- 2.4. 親知らずの炎症(智歯周囲炎)
- 3. 歯周病が原因で歯茎から膿がでる症例
- 3.1. 1. 歯周病により歯周ポケットから排膿している症例
- 3.1.1. 🦷 状態の概要
- 3.1.2. 🔍 推定される原因
- 3.1.3. ⚠️ 放置した場合のリスク
- 3.1.4. 💊 治療の方向性
- 3.2. 2. 歯周外科FOPの術前術後:炎症除去で歯周組織を整えた症例
- 3.2.1. 🪥 予防と再発防止
- 4. 虫歯がないのに歯ぐきにできもの…その正体はフィステル
- 4.1. ■ フィステルとは?
- 4.2. ■ なぜ虫歯がないのに膿が出るのか?
- 4.2.1. ● ① 過去の小さな外傷(ぶつけた、噛みしめた)
- 4.2.2. ● ② 噛みしめ・歯ぎしりによる慢性的な負担
- 4.2.3. ● ③ 過去の治療歴によるダメージ
- 4.3. ■ 今起きている状態(写真の解説)
- 4.4. ■ 治療方法
- 4.4.1. ● ① 根管治療(神経の管のお掃除)
- 4.4.2. ● ② 外科的治療(必要な場合)
- 4.4.2.1. 歯根端切除術の流れ
- 4.5. ■ 放置してはいけない理由
- 5. 歯茎から膿が出たときの応急処置 🆘
- 6. 歯科で行う治療方法 🏥
- 7. 再発予防のためにできること 🌟
- 8. 受診の目安とまとめ 📌
- 9. 江戸川区篠崎で歯茎のトラブルにお悩みの方へ 🏡
- 10. 【動画】ステイン着色汚れをクリーニングするエアフロー
- 11. 筆者・院長

✅ 「歯茎から膿が出ている…」そんな症状に気づいたとき、多くの方が「自然に治るのかな?」と不安に感じます。実は膿は、歯周病や歯の根の感染など、口の中で炎症が進行しているサインです。放置すると歯を失ったり、全身の健康に影響を及ぼす危険もあります。
本記事では、歯茎から膿が出る原因・治療法・応急処置・予防法まで、歯科医がわかりやすく解説します。
歯茎から膿が出るのは危険? 🦷
歯茎から膿が出るのはどんな状態?🤔
歯茎から膿(うみ)が出るのは、口の中で強い炎症や感染が進んでいるサインです。
典型的な症状としては以下が挙げられます。
- 歯茎の腫れや痛み
- 強い口臭(膿のにおい)
- 噛むと違和感や痛みが出る
👉 膿は自然に治ることはほとんどなく、放置すると症状が悪化します。
歯茎から膿が出る主な原因 🔍

歯周病の進行
歯周病菌が歯ぐきの奥に入り込み、膿がたまると歯茎から排出されます。
歯根の感染(根尖性歯周炎)
虫歯が進行して神経が死んでしまった歯の根の先に膿が溜まるケースです。
フィステル(瘻孔)の形成
膿の出口として歯茎に小さな穴(白いプツッとしたできもの)ができる状態です。
親知らずの炎症(智歯周囲炎)
親知らずの周りに食べカスや細菌がたまり、膿が出ることがあります。

赤矢印の親知らず周囲で炎症が起き、歯茎の腫れや膿の排出につながる「智歯周囲炎」の典型例です。親知らずが斜めに埋まっていることで清掃が難しく、細菌が繁殖して膿が溜まりやすい状態になっています。
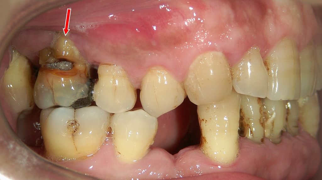
歯周病が原因で歯茎から膿がでる症例
1. 歯周病により歯周ポケットから排膿している症例
この画像は、右下5番(下顎の第一小臼歯)の歯頚部から膿が排出している様子を示しています。
以下に、臨床的な解説を詳しくまとめます。

🦷 状態の概要
赤い矢印の指す部分に、歯と歯ぐきの境目(歯頚部)から白っぽい膿が確認できます。
このような状態は、**歯周組織の感染(歯周膿瘍)**によって起こることが多く、歯肉の深部に細菌感染が生じ、炎症性の膿が歯肉縁から排出されています。
🔍 推定される原因
- 進行した歯周病(歯周ポケット内感染)
プラークや歯石によって歯根面に炎症が広がり、歯周ポケット内に膿がたまる。 - 深い歯周ポケットの形成
ポケット内に酸素の少ない環境が生じ、嫌気性菌が増殖して膿を生じる。 - 噛み合わせや清掃不良による悪化
金属冠の縁や歯石の残存が感染の温床となっている可能性が高い。
⚠️ 放置した場合のリスク
- 膿が排出されても炎症の根本原因(感染細菌)は残ったまま。
- 再発を繰り返し、歯を支える骨(歯槽骨)の吸収が進行。
- 最終的に歯の動揺や喪失につながる危険があります。
💊 治療の方向性
- 歯周ポケットの洗浄と消毒
- 抗菌薬(局所または全身投与)による感染制御
- 歯石除去やルートプレーニング(歯根面の清掃)
- 状況によっては歯周外科処置を行い、ポケットを改善。
2. 歯周外科FOPの術前術後:炎症除去で歯周組織を整えた症例


🪥 予防と再発防止
- 定期的な歯科クリーニング(3〜4か月ごと)
- 正しいブラッシングとフロス・歯間ブラシの併用
- 噛み合わせや被せ物の適合確認も重要
虫歯がないのに歯ぐきにできもの…その正体はフィステル
■ フィステルとは?
フィステル(瘻孔)は、**歯の中や根の先で炎症が起き、溜まった膿の出口として歯ぐきにできる“排膿の通り道”**です。
写真のように小さな白っぽいふくらみ・ニキビのような形で現れ、押すと膿が出ることもあります。

虫歯がない左下1番の内部で感染が起きています。

膿の原因となっている感染源を正確に示しています。
■ なぜ虫歯がないのに膿が出るのか?
原因歯(左下1番)に虫歯がなくても、以下のような理由で根の先に炎症が起こることがあります。
● ① 過去の小さな外傷(ぶつけた、噛みしめた)
前歯は外傷を受けやすく、**打撲による歯髄壊死(神経が死ぬ)**が後年になって炎症として現れることがよくあります。
● ② 噛みしめ・歯ぎしりによる慢性的な負担
強い咬合力が続くと、歯髄の血流が低下し、神経が徐々に弱って炎症が起こる場合があります。
● ③ 過去の治療歴によるダメージ
小さな処置や、古い樹脂の影響で神経が弱ることもあります。(今回写真では該当なしだが一般的原因)
■ 今起きている状態(写真の解説)
- フィステル:根の先でできた膿が歯ぐきから出てきている状態
- 原因歯(左下1番):虫歯は無いが、内部の歯髄が壊死し根尖に感染が広がっている可能性が高い
膿が出ているため痛みが軽減することもありますが、根の先に感染が残っている限り治癒はしません。
■ 治療方法
● ① 根管治療(神経の管のお掃除)
原因歯の内部を清掃・消毒し、感染源を取り除く治療です。
フィステルは、原因を除去すると数日〜数週間で自然に消失します。
● ② 外科的治療(必要な場合)
まれに感染が強い場合や根の先の形態が複雑な場合には、
歯根端切除術など外科的に膿の袋を除去することもあります。
歯根端切除術の流れ



■ 放置してはいけない理由
- 感染が広がり、骨が溶ける
- 周囲の歯ぐきや歯にも影響
- フィステルが閉じる→再度腫れるを繰り返す
根本治療をしないと、炎症は必ず戻ります。
歯茎から膿が出たときの応急処置 🆘
- 膿を自分で潰すのはNG ❌
- 強く押したり揉んだりしない
- 口を清潔に保ち、ぬるま湯や食塩水でうがい
- 痛みが強い場合は冷たいタオルで頬を冷やす
※あくまで一時的な対処であり、必ず歯科を受診することが必要です。
歯科で行う治療方法 🏥
症状に応じて歯科では次のような治療を行います。
- 膿の排出と消毒
- 抗生物質の投与
- 歯周病治療(スケーリング・ルートプレーニング)
- 根管治療(歯の神経の治療)
- 保存が難しい場合は抜歯
👉 適切な治療を行えば、痛みや腫れは改善し、再発も防げます。
再発予防のためにできること 🌟
- 毎日の歯磨き+デンタルフロス
- 定期的な歯科検診(3〜6か月ごと)
- 規則正しい生活習慣(禁煙・バランスの取れた食事)
小さな炎症の段階で治療できれば、歯を守る可能性は大きく高まります。
受診の目安とまとめ 📌
- 歯茎から膿が繰り返し出る
- 強い口臭や腫れがある
- 熱や全身のだるさを感じる
これらの症状がある場合は、すぐに歯科を受診しましょう。
江戸川区篠崎で歯茎のトラブルにお悩みの方へ 🏡

歯茎から膿が出る症状は、放置すると歯を失うリスクがある深刻なサインです。
江戸川区篠崎駅南口徒歩1分の当歯科クリニック では、歯周病治療や根管治療に力を入れており、症状に合わせた最適な治療をご提案します。
「膿が出て心配」「どこで相談すればいいかわからない」という方も、どうぞお気軽にご相談ください。
【動画】ステイン着色汚れをクリーニングするエアフロー
筆者・院長

深沢 一
Hajime FUKASAWA
- 登山
- ヨガ
メッセージ
日々進化する歯科医療に対応するため、毎月必ず各種セミナーへの受講を心がけております。
私達は、日々刻々と進歩する医学を、より良い形で患者様に御提供したいと考え、「各種 歯科学会」に所属すると共に、定期的に「院内勉強会」を行う等、常に現状に甘んずる事のないよう精進致しております。 又、医療で一番大切な事は、”心のある診療”と考え、スタッフと共に「患者様の立場に立った診療」を、心がけております。


