- 1. 歯を白くする方法とは?自宅と歯科医院でできるホワイトニング徹底解説✨
- 1.1. 歯が黄ばむ原因とは?🦷
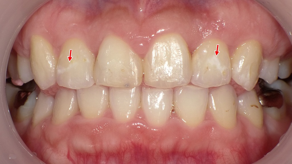
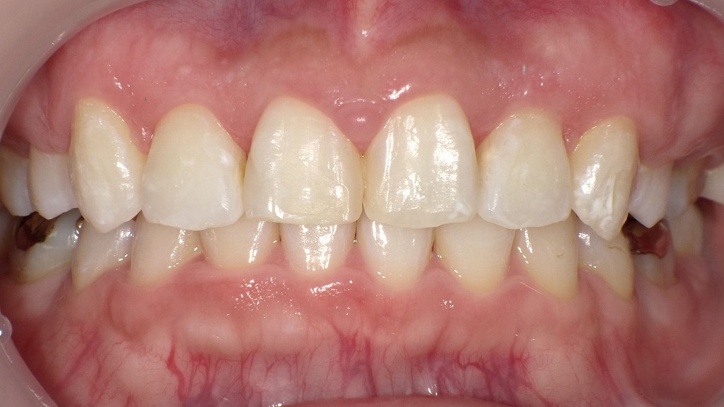
- 1.2. ホワイトニング+アイコン併用による歯の白さ改善とホワイトスポット治療(術前・術後)
- 1.3. 自宅で歯を白くする方法(セルフケア)🏠✨
- 1.3.1. ホワイトニング歯磨き粉
- 1.3.2. 市販のホワイトニングアイテム🛒
- 1.3.3. 食生活の工夫🥗
- 1.3.4. 正しいブラッシングとフロス🪥
- 1.4. 歯科医院でできる歯を白くする方法🏥
- 1.4.1. オフィスホワイトニング
- 1.4.2. ホームホワイトニング
- 1.4.3. デュアルホワイトニング
- 1.4.4. 歯石除去・エアフロー(プロのクリーニング)🦷✨
- 1.5. 注意点とリスク⚠️
- 1.5.1. 知覚過敏のリスク
- 1.5.2. 妊娠中・授乳中は控えるべき
- 1.6. セルフホワイトニングサロンとの違い
- 1.7. 効果を長持ちさせるための習慣💡
- 2. 強い着色(ステイン)を除去した症例
- 2.1. 術前:強い着色(ステイン)
- 2.1.1. 🔹上顎前歯部(中央の3本)
- 2.1.2. 🔹その他の歯(天然歯)
- 2.1.3. 🔹補足所見
- 2.1.4. 🦷まとめ
- 2.2. 術後:強い着色(ステイン)除去
- 2.2.1. 🔹治療内容と変化
- 2.2.2. 🔹歯の性状
- 2.2.3. 🔹その他の所見
- 2.2.4. 🦷まとめ
- 3. 着色(ステイン)を除去し、ホワイトニングした症例
- 3.1. 軽度の着色(ステイン)症例
- 3.1.1. 🦷 全体的な状態
- 3.1.2. 📍 ステインの原因として考えられる要素
- 3.1.3. 👄 歯肉・歯列の観察
- 3.1.4. 🪥 臨床的なコメント
- 3.2. エアフローにてステインを除去
- 3.2.1. 🦷 清掃後の特徴
- 3.2.2. 💨 エアフローの効果
- 3.3. オフィスホワイトニング
- 3.3.1. 🦷 ホワイトニング後の変化
- 3.3.2. 💡 オフィスホワイトニングの効果
- 3.3.3. 👄 総合評価
- 3.3.4. ✨ 補足
- 4. まとめ🌸
- 5. 江戸川区篠崎で歯を白くしたい方へ
- 6. 【動画】ホームホワイトニングの効果的なやり方
- 7. 筆者・院長

💭「笑顔に自信を持ちたい」「第一印象を良くしたい」――そんな思いから歯の白さにこだわる方が増えています。しかし、歯を白くする方法には自宅でできるセルフケアと歯科医院での専門的なホワイトニングがあり、効果や持続性に違いがあります。
本記事では、歯が黄ばむ原因から、自宅・歯科医院でのホワイトニング方法、注意点や効果を長持ちさせるコツまで詳しく解説します。
歯を白くする方法とは?自宅と歯科医院でできるホワイトニング徹底解説✨
歯が黄ばむ原因とは?🦷
「昔より歯の色が気になる…」という方は少なくありません。実は歯の黄ばみにはいくつかの原因があります。

- 加齢による変化
年齢とともにエナメル質が薄くなり、内側の象牙質の黄色味が透けて見えやすくなります。 - 食べ物・飲み物による着色☕🍷
コーヒー、紅茶、赤ワイン、カレーなど色の濃い食品はステイン(着色汚れ)の原因になります。 - 喫煙🚬
タバコのヤニは強力に沈着し、歯を黄ばませます。 - 歯磨き不足・歯石の蓄積
磨き残しや歯石があると、黄ばみが定着しやすくなります。
ホワイトニング+アイコン併用による歯の白さ改善とホワイトスポット治療(術前・術後)


ホワイトニングで歯全体のトーンを明るく整えた後、アイコン(レジン浸潤法)を併用することで、ホワイトスポットのコントラストを低減。歯の白さと見た目の均一感が自然に改善されています。
※ホワイトスポットの状態によっては、適応や効果に個人差があります。治療方法は歯科医師の診断に基づき選択されます。
自宅で歯を白くする方法(セルフケア)🏠✨
ホワイトニング歯磨き粉
研磨剤や漂白成分入りの歯磨き粉でステインを落とすことができます。ただし限界があり、劇的な白さにはならないことも理解しておきましょう。
市販のホワイトニングアイテム🛒
ホワイトニングシートやホワイトニングペンなどがあります。手軽に使えますが、効果は一時的で歯科医院ほどの白さは得られません。
食生活の工夫🥗
- コーヒーやワインはストローを使う
- 食後すぐに水でうがいする
- 着色しやすい食品を取りすぎない
これだけでも歯の色は大きく変わってきます。
正しいブラッシングとフロス🪥
歯ブラシ+フロスでプラークをしっかり除去すると、着色もつきにくくなります。
歯科医院でできる歯を白くする方法🏥

オフィスホワイトニング
歯科医院で専用の薬剤と光を使い、1回で効果を実感できる即効性の高い方法です。結婚式やイベント前に人気があります。
ホームホワイトニング
マウスピースに専用ジェルを入れて自宅で行う方法。時間はかかりますが、自然で長持ちする白さが得られます。
デュアルホワイトニング
オフィス+ホームを組み合わせる方法。効果も持続性も最も高いのが特徴です。
歯石除去・エアフロー(プロのクリーニング)🦷✨
専用器具で歯石やステインを徹底除去。ホワイトニング前の準備としても有効です。

プロのクリーニングで白さを取り戻しつつ、右下1番は重度歯周病のため抜歯が必要なケースです。

歯の表面には、タバコ・飲食物によるステイン(着色)や、放置された歯石が厚く付着しています。これらは毎日の歯みがきだけでは除去できず、歯の黄ばみの大きな原因になります。
歯科医院で行うスケーリング(歯石除去)やエアフローは、こうした汚れを安全に取り除き、歯本来の白さを引き出す基本のケアです。
なお、右下1番は重度歯周病で保存困難な状態のため、抜歯が必要となるケースです。歯周病の進行を抑えるためにも、早期のクリーニングと治療介入が重要です。
歯石を除去したことで、歯の根面が明瞭になり、見た目の清潔感が大きく改善しています。
左下1番・2番は歯周病の進行により動揺が強く、改善を図るためスーパーボンドによる暫間固定を実施しています。
動く歯を一時的に連結固定することで、咬合時の負担を軽減し、歯周組織の安定化につながります。
注意点とリスク⚠️
知覚過敏のリスク
ホワイトニング後、一時的に歯がしみることがありますが、多くは数日で改善します。
妊娠中・授乳中は控えるべき
薬剤の安全性が確立されていないため、ホワイトニングはおすすめできません。
セルフホワイトニングサロンとの違い
歯科医師が関与しないサロンでは医療用の薬剤が使えないため、効果が弱いことが多いです。
効果を長持ちさせるための習慣💡

- 定期検診・クリーニング(3〜6か月ごと)
- 水や無糖茶を選ぶ習慣
- 禁煙🚭でヤニの付着を防ぐ
せっかく白くした歯も、日常の習慣次第で持続期間が大きく変わります。
強い着色(ステイン)を除去した症例
術前:強い着色(ステイン)
この写真は、強い着色(ステイン)が付着した口腔内の前歯部~小臼歯部を示しています。

🔹上顎前歯部(中央の3本)
上顎中切歯および側切歯の3本は硬質レジン前装冠(保険適用の前装冠)です。
セラミック調の白さがありますが、やや経年的な変色と艶の低下が見られます。
天然歯よりもやや不透明で、光の反射が均一なため人工歯特有の質感になっています。
🔹その他の歯(天然歯)
上顎・下顎の他の歯は天然歯で、全体的に強度のステイン(着色汚れ)が沈着しています。
主な特徴は以下の通りです:
- ステインの主な原因:喫煙、コーヒー・紅茶・ワインなどの色素、長期間の歯垢・歯石沈着
- 沈着部位:特に歯頸部(歯ぐきとの境目)や隣接面に多く、茶褐色~黒褐色
- 表面性状:ツヤがなく、粗造。歯石を伴っている可能性が高い
🔹補足所見
- 咬耗(歯のすり減り)が強く、咬合力やブラキシズム(歯ぎしり)が影響している可能性あり
- 一部金属修復物(右上・左下大臼歯部)も見られる
- 歯肉の退縮と歯頸部露出があり、知覚過敏や歯周病が疑われる
🦷まとめ
この症例は、強度の外因性ステイン沈着を伴う中等度~高度の歯面汚染症例です。
審美的改善には、まず歯石除去・PMTC・エアフロー(プロフェッショナルクリーニング)を行い、必要に応じてホワイトニングや補綴物の再製作を検討することが適切です。
術後:強い着色(ステイン)除去
この画像は、エアフロー(歯面清掃)後の口腔内写真です。前回の画像に比べ、歯面の茶褐色のステインが大幅に除去されていることが確認できます。

🔹治療内容と変化
施術:エアフロークリーニング(プロフェッショナルケア)
- 歯面に付着していた**強いステイン(外因性着色)**が除去され、歯の自然な色調が現れています。
- 特に下顎前歯部や上顎犬歯部の茶色い沈着物がほぼ消失。
- 歯面全体にツヤが出ており、清掃後の滑沢面が確認できます。
- 一部に象牙質の露出や咬耗面が見られます。
🔹歯の性状
- 上顎中切歯および側切歯(3本)は硬質レジン前装冠で、周囲の天然歯より明るい色調。
- 天然歯部分はわずかに灰黄色を帯びた色調を示し、軽度のテトラサイクリン歯が疑われます。
- テトラサイクリン歯の特徴的な「やや灰褐色がかった透明感」が認められます。
- 着色は歯面汚染によるものではなく、歯質内部の色素沈着によるもの。
🔹その他の所見
- 歯頸部の軽度歯肉退縮と歯根面露出。
- 咬耗および知覚過敏のリスクあり。
- 金属修復物が左右臼歯部に存在。
🦷まとめ
本症例は、エアフローによって外因性ステインを除去した後の軽度テトラサイクリン歯症例です。
清掃によって歯面は大幅に明るくなっていますが、歯質内部の色素変化は残存しており、さらなる審美改善を希望する場合は、ホワイトニングまたはラミネートベニア・セラミック冠による補綴的改善が検討されます。
着色(ステイン)を除去し、ホワイトニングした症例
軽度の着色(ステイン)症例
この写真は成人の口腔内を正面から撮影したものです。主な特徴は以下の通りです。

🦷 全体的な状態
歯の表面に**軽度のステイン(着色汚れ)**が全体的に付着しています。特に、上顎犬歯から小臼歯、下顎前歯部の歯頸部付近に茶褐色の着色が目立ちます。歯面の光沢は保たれており、エナメル質の構造自体には大きな損傷は見られません。
📍 ステインの原因として考えられる要素
- コーヒー・紅茶・喫煙などによる外因性着色
- プラークの残留による軽度の歯垢沈着
- 加齢に伴う歯質の黄ばみ(象牙質の透過)
👄 歯肉・歯列の観察
- 歯肉は全体的に淡いピンク色で、炎症所見(発赤・腫脹)は軽度またはほぼ認められません。
- 歯列はおおむね整っており、正中線のズレは軽度です。
🪥 臨床的なコメント
このレベルのステインは、**プロフェッショナルクリーニング(PMTCやエアフロー)**により容易に除去可能です。
定期的なメインテナンスやホームケアの見直しにより、審美性を改善できます。
エアフローにてステインを除去
この画像は、前回提示した「口腔内全体に軽度のステインを認めた症例」に対して、エアフロー(エリスリトールパウダーによる歯面清掃)を実施した後の状態を示しています。

🦷 清掃後の特徴
- 歯面全体に付着していた茶褐色のステインがほぼ除去されています。
- 上下顎前歯の歯頸部付近にあった着色が消え、自然な歯面光沢が回復しています。
- 清掃後の歯面は滑沢で、プラークや沈着物の残存はほとんど見られません。
- 歯肉縁に近い部分も清掃が行き届いており、歯肉炎症の悪化リスクが軽減されています。
💨 エアフローの効果
- 微細なパウダーをジェット水流で吹き付けることにより、歯面に傷をつけずにステインやバイオフィルムを除去できます。
- 従来のラバーカップ研磨より短時間で、かつ歯肉縁下のプラーク除去にも有効です。
- エナメル質のツヤを保ちながら、滑らかな表面に仕上がっています。
このような症例では、3〜6か月ごとの定期クリーニングを継続することで、再着色や歯石形成を予防し、美しい口腔環境を維持できます。
オフィスホワイトニング
この画像は、前回のエアフロークリーニング後にオフィスホワイトニングを実施した同一症例の口腔内写真です。

🦷 ホワイトニング後の変化
- 全体的に歯面の明度が上昇し、特に上顎前歯部では自然な透明感とツヤが増しています。
- 以前見られた黄ばみが軽減し、A3〜A2程度の色調改善が確認できます。
- 表層のステイン除去後に薬剤が均一に浸透しており、ムラのない仕上がりです。
- 下顎前歯も明るくなり、上下の色差が少なく自然な調和を保っています。
💡 オフィスホワイトニングの効果
- 高濃度過酸化水素(H₂O₂)を用いて短時間で歯の色調を改善。
- エアフローによる前処置でバイオフィルムを除去しているため、薬剤の反応効率が高く、均一な漂白効果が得られています。
- 歯面にはツヤがあり、乾燥や白濁などの副作用は認められません。
👄 総合評価
「オフィスホワイトニング施術後、全体的に明度が上がり、自然で透明感のある白さを獲得。
クリーニングによる前処置効果により、仕上がりが均一で審美的にも良好な結果を示す。」
✨ 補足
この段階での仕上がりは非常に良好であり、ホームホワイトニングを併用することで色調の維持・微調整が可能です。
今後は**定期的なPMTC・エアフロー清掃と再ホワイトニング(約6か月〜1年ごと)**を行うことで、美しい歯の白さを長期間保てます。
まとめ🌸
歯を白くするには「自宅でのセルフケア」と「歯科医院での専門的なホワイトニング」の両方があります。
- 即効性を求めるなら オフィスホワイトニング
- 持続性を重視するなら ホームホワイトニング
- どちらも叶えたいなら デュアルホワイトニング
まずは歯科医院でカウンセリングを受け、自分に合った方法を選びましょう✨
江戸川区篠崎で歯を白くしたい方へ

江戸川区篠崎でホワイトニングをご検討の方は、当歯科クリニックへお気軽にご相談ください。当院ではオフィスホワイトニング・ホームホワイトニングの両方に対応し、患者さまのご希望に合わせた最適なプランをご提案いたします。
歯を白くして笑顔に自信を持ちたい方は、ぜひ一度カウンセリングにお越しください✨
【動画】ホームホワイトニングの効果的なやり方
筆者・院長

深沢 一
Hajime FUKASAWA
- 登山
- ヨガ
メッセージ
日々進化する歯科医療に対応するため、毎月必ず各種セミナーへの受講を心がけております。
私達は、日々刻々と進歩する医学を、より良い形で患者様に御提供したいと考え、「各種 歯科学会」に所属すると共に、定期的に「院内勉強会」を行う等、常に現状に甘んずる事のないよう精進致しております。 又、医療で一番大切な事は、”心のある診療”と考え、スタッフと共に「患者様の立場に立った診療」を、心がけております。


