- 1. 歯の隙間が気になる原因とは?🦷
- 1.1. すきっ歯の原因
- 1.2. 正中離開の原因
- 1.2.1. ■ 正中離開とは
- 1.2.2. 🦷 主な原因
- 1.2.3. 🦷 治療の選択肢
- 2. 歯の隙間を埋める治療法の種類✨
- 2.1. コンポジットレジン(保険適用あり)
- 2.2. ラミネートベニア
- 2.3. セラミッククラウン
- 2.4. 矯正治療(マウスピース・ブラケット)
- 2.5. インプラントやブリッジ
- 2.6. 治療ごとのメリット・デメリット比較📊
- 3. 歯の隙間を放置するとどうなる?⚠️
- 4. 費用相場と保険適用💰
- 5. セルフケアで改善できるのか?🤔
- 6. まとめ📝
- 7. 江戸川区篠崎で「歯の隙間が気になる」とお悩みの方へ🦷
- 8. 【動画】ホワイトスポットをアイコンで治す
- 9. 【動画】初期虫歯COを削らずに自分で治す方法
- 10. 筆者・院長

「前歯の隙間が気になる…」「笑うと目立ってしまう…」そんなお悩みを抱える方は少なくありません。歯の隙間は見た目のコンプレックスだけでなく、発音や噛み合わせにも影響を与えることがあります。
本記事では、歯の隙間ができる原因・治療法・費用・放置するリスクまで詳しく解説します。江戸川区篠崎で歯の隙間治療をお考えの方も、ぜひ参考にしてください。
歯の隙間が気になる原因とは?🦷
すきっ歯の原因
歯の隙間は「すきっ歯」とも呼ばれ、見た目だけでなく機能的な問題を引き起こすことがあります。原因は大きく以下のように分けられます。

- 👶 生まれつきの要因:歯のサイズと顎の骨のバランスが合わない場合、隙間が生じやすくなります。
- 😬 歯並びや噛み合わせ:歯の位置や傾きにより隙間ができることがあります。
- 👴 加齢や歯周病:歯ぐきが下がったり歯が移動したりすることで隙間が生じます。
- 🦷 虫歯や治療後:虫歯治療で削った部分や詰め物の劣化も原因になります。
正中離開の原因
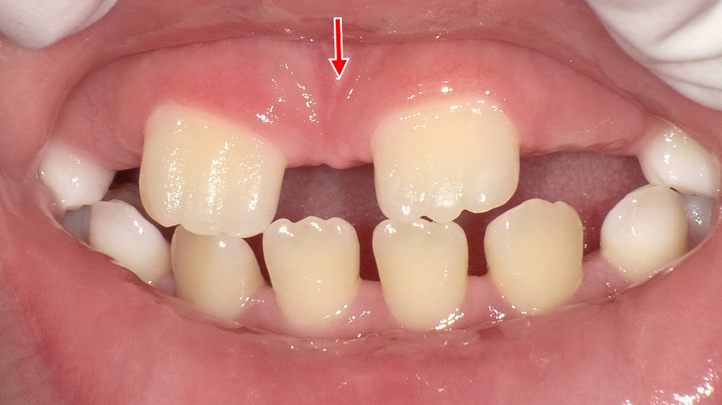
この画像は、上顎前歯(中切歯:いわゆる「前歯の真ん中2本」)の間に正中離開(せいちゅうりかい)が見られる状態です。赤い矢印が指している部分が離開の位置です。

■ 正中離開とは
上の前歯2本の間に**すき間(空隙)**が生じる状態を「正中離開」といいます。
医学的には「上顎中切歯間空隙」または「diastema(ダイアステマ)」と呼ばれます。
🦷 主な原因
- 上唇小帯(じょうしんしょうたい)の付着位置が低い
上唇と歯ぐきをつなぐ筋(上唇小帯)が、歯のすぐ上まで入り込んでいると、歯が離れて生えてしまうことがあります。 - 歯の大きさ・歯列のバランス
歯が小さい、あるいは歯列の幅が広い場合も、自然にすき間ができます。 - 永久歯の萌出途中
子どもの場合、永久歯が生え変わる途中で一時的に正中離開が見られることがあります。これは「見にくいアヒル時代」と呼ばれ、自然に閉じるケースも多いです。 - 咬合(かみ合わせ)の影響
前歯に不均等な力がかかっていると、少しずつ歯が開いてくることがあります。

上顎の前歯(中切歯)が生えそろう過程で、一時的に正中離開(前歯のすき間)がみられる状態です。永久歯の萌出途中ではよく見られる生理的な現象で、犬歯など周囲の歯が生えてくることで、自然にすき間が閉じていくケースも少なくありません。経過観察が基本となりますが、すき間が大きい場合や長期間改善しない場合は、歯科医院での評価が大切です。
🦷 治療の選択肢
- 経過観察
成長期の子どもの場合は、自然に閉じる可能性があるため、すぐに治療をせず様子を見ることもあります。 - 矯正治療
ワイヤー矯正やマウスピース矯正で前歯を中央に寄せる治療が一般的です。 - 審美修復
ごく小さな隙間なら、コンポジットレジン(歯科用プラスチック)、ラミネートベニヤで埋めて自然に見せる方法もあります。 - 上唇小帯切除
上唇小帯の位置が原因であれば、小帯切除術を併用して再発を防ぎます。
歯の隙間を埋める治療法の種類✨

コンポジットレジン(保険適用あり)
白いプラスチック素材を歯に盛り付けて隙間を埋める方法です。
✅ 即日治療が可能
✅ 保険適用で費用が安い
⚠️ 着色や欠けやすさがデメリット
ラミネートベニア
歯の表面を少し削り、セラミックの薄いシェルを貼り付ける治療法。
✅ 自然で美しい見た目
✅ 色や形を理想に近づけられる
⚠️ 歯を削る必要がある


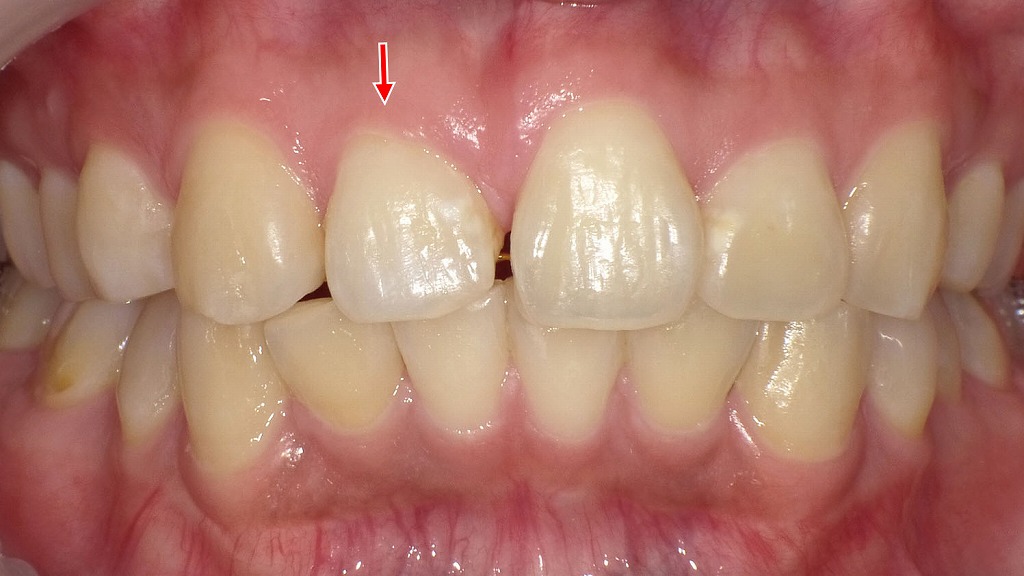
右上顎1番が短く小さいことで生じていた前歯のすき間に対し、ラミネートベニア治療を行った症例です。歯を大きく削らず、歯の表面に薄いセラミックを貼り付けることで、歯の長さ・幅・形態を自然に調整しています。周囲の歯とのバランスが整い、審美性と清掃性の両立が図られました。前歯のすき間や形の違和感に対する低侵襲な治療法の一つです。
セラミッククラウン
歯全体をセラミックで覆う方法。
✅ 強度が高く、長期的に安定
✅ 変色しにくい
⚠️ 自費治療で高額
矯正治療(マウスピース・ブラケット)
根本的に歯並びを改善する方法。
✅ 根本解決で再発しにくい
✅ 健康な歯を削らない
⚠️ 治療期間が長い・費用が高い
インプラントやブリッジ
歯の欠損による隙間の場合に適応。
治療ごとのメリット・デメリット比較📊
| 治療法 | メリット | デメリット | 費用の目安 |
|---|---|---|---|
| レジン | 安価・即日可能 | 着色・欠けやすい | 保険適用 1,000〜3,000円程度 |
| ベニア | 審美性◎ | 歯を削る必要あり | 自費 8〜15万円/本 |
| クラウン | 強度・色調◎ | 健全歯質を削る | 自費 10〜15万円/本 |
| 矯正 | 根本解決 | 期間・費用が大 | 30〜100万円 |
| インプラント | 欠損補綴に最適 | 外科手術必要 | 30〜50万円/本 |
歯の隙間を放置するとどうなる?⚠️
- 👄 見た目のコンプレックスが強くなる
- 🗣️ サ行やタ行などの発音が不明瞭になる
- 🍴 食べ物が詰まりやすくなり、虫歯や歯周病のリスク増加
放置することで「見た目・機能・健康」のすべてに影響するため、早めの対応が推奨されます。
費用相場と保険適用💰
- レジン充填:保険適用で数千円程度
- ラミネートベニア・セラミッククラウン:自費で数万円〜十数万円
- 矯正治療:数十万円〜100万円程度(部分矯正は安価)
※症例や医院によって異なるため、事前カウンセリングで確認が大切です。
セルフケアで改善できるのか?🤔
残念ながら、市販のホワイトニングや歯磨きでは「隙間そのもの」を埋めることはできません。
ただし以下の点で予防・進行抑制が可能です。
- 🪥 毎日の正しいブラッシング
- 🧵 デンタルフロスで歯間を清潔に
- 🦷 定期的な歯科検診で早期発見
まとめ📝
- 歯の隙間は原因に応じて治療法が異なる
- レジンで即日対応、セラミックで審美性重視、矯正で根本解決
- 放置せず、早めに歯科医院へ相談することが大切
江戸川区篠崎で「歯の隙間が気になる」とお悩みの方へ🦷

当院では、保険内のレジン治療から審美性重視のセラミック治療、矯正治療まで幅広く対応しています。
- 即日で隙間を埋めたい方にはレジン治療
- 見た目の美しさを求める方にはセラミック・ベニア
- 根本改善を希望する方には矯正治療
江戸川区篠崎駅から徒歩1分の便利な立地で、カウンセリングも行っています。お気軽にご相談ください。
【動画】ホワイトスポットをアイコンで治す
【動画】初期虫歯COを削らずに自分で治す方法
筆者・院長

深沢 一
Hajime FUKASAWA
- 登山
- ヨガ
メッセージ
日々進化する歯科医療に対応するため、毎月必ず各種セミナーへの受講を心がけております。
私達は、日々刻々と進歩する医学を、より良い形で患者様に御提供したいと考え、「各種 歯科学会」に所属すると共に、定期的に「院内勉強会」を行う等、常に現状に甘んずる事のないよう精進致しております。 又、医療で一番大切な事は、”心のある診療”と考え、スタッフと共に「患者様の立場に立った診療」を、心がけております。


