- 1. 【🎞️ 29秒】歯のクリーニングガイド:PMTC・エアフロー・歯石取りの違いとは?
- 2. 🧠 歯のクリーニングとは?
- 2.1. 🔍 クリーニングは診療科目ではない?用語の正確な理解
- 2.2. 🦷 歯のクリーニングの主な目的と効果
- 2.2.1. ✅ 虫歯・歯周病・口臭の予防
- 2.2.2. ✅ バイオフィルムの破壊と細菌リセット
- 3. ⚙ 歯のクリーニングの種類と特徴
- 3.1. 💨 エアフロー(AirFlow)
- 3.1.1. 💨エアフローによる歯のクリーニング施術例
- 3.2. 🧴 PMTC(Professional Mechanical Tooth Cleaning)
- 3.3. 🔧 歯石取り(スケーリング)
- 4. 💡 クリーニングとホワイトニングの違い
- 4.1. 🧼 クリーニングの目的
- 4.2. 🌟 ホワイトニングとの違い
- 4.2.1. ■ホワイトニングの症例
- 4.2.1.1. 1枚目:ホワイトニング前
- 4.2.1.2. 2枚目:ホワイトニング後(左上1番はインプラント予定)
- 4.3. 🪧 どちらを選ぶべき?
- 5. 👶 年齢・ライフスタイル別のクリーニング頻度
- 5.1. 👧 子ども|乳歯期から6ヶ月ごとが目安
- 5.2. 👩 成人|3〜6ヶ月ごとの定期ケアが理想
- 5.3. 👵 高齢者・持病がある方(糖尿病など)|3ヶ月以内の頻度が望ましい
- 5.4. 🚬 喫煙者・着色しやすい食習慣の方|3ヶ月ごとのクリーニングが◎
- 6. 🤰 妊娠・授乳中のクリーニング
- 6.1. 💁♀️ 妊婦さんが受けるべき理由
- 6.2. 🍼 授乳中の注意点
- 7. 🧼 実際のクリーニングの流れ
- 7.1. 📋 初診〜施術までのステップ
- 7.2. 😌 痛みが心配な方への配慮
- 8. 💰 歯のクリーニングにかかる費用
- 8.1. 🏥 保険適用のケース
- 8.2. 💳 自費診療の目安
- 8.3. ⚠ 保険と自費の違いに注意
- 9. 🪥 クリーニング後のセルフケア
- 9.1. 🧴 おすすめの歯磨き粉
- 9.2. 🍽 控えるべき食べ物・飲み物
- 9.3. 🍶 予防につながる食生活
- 10. 📌 PMTCを実施しない場合の理由と代替策
- 10.1. 🚫 当院がエアフローを推奨する理由
- 10.1.1. 🦠 歯原性菌血症のリスク回避
- 10.1.2. ⚙ クリーニング効率の高さ
- 11. 🙋♀️ よくある質問(FAQ)
- 11.1. ❓ 歯のクリーニングはどのくらい白くなる?
- 11.2. ❓ 子どもにも歯のクリーニングは必要?
- 11.3. ❓ ホワイトニングとの違いは?
- 11.4. ❓ 通院頻度は?
- 11.5. ❓ 痛みが不安だけど大丈夫?
- 12. 📝 まとめ|歯の健康はクリーニングから
- 13. 江戸川区篠崎で歯のクリーニングをご希望の方へ
- 14. 【動画】ステイン着色汚れをクリーニングするエアフロー
- 15. 筆者・院長

「歯のクリーニングって、どんなことをするの?」
そう疑問に思ったことはありませんか?
歯科医院で受けるクリーニングは、見た目を美しくするだけでなく、虫歯や歯周病の予防、口臭の改善にもつながる大切なケアです。
PMTC、スケーリング、エアフローなど、方法によって目的や効果はさまざま。さらに、保険適用の可否や通院頻度も気になるポイントです。
本記事では、歯のクリーニングの種類・効果・費用・おすすめ頻度までを徹底解説。
初めての方でも安心して受けられるよう、流れや注意点もわかりやすく紹介します。
健康で美しい歯を保つ第一歩として、ぜひ参考にしてください。
📅 3ヶ月に1回の習慣で、歯も健康も長持ちします。
【🎞️ 29秒】歯のクリーニングガイド:PMTC・エアフロー・歯石取りの違いとは?
🧠 歯のクリーニングとは?
🔍 クリーニングは診療科目ではない?用語の正確な理解
「歯のクリーニング」という言葉は、正式な診療科目ではなく、歯科医院で行う歯の掃除全般を指す総称的な表現です。具体的には、以下のような施術を含みます。
- PMTC(プロフェッショナル・メカニカル・トゥース・クリーニング)
- スケーリング(歯石取り)
- エアフロー(微粒子洗浄)
いずれも「歯をきれいにする」「細菌や汚れを除去する」ことを目的としており、治療というよりも予防医療の一環として行われます。
そのため、保険診療においても明確な項目名は「機械的歯面清掃処置」や「SPT(歯周病安定期治療)」として算定されており、「歯のクリーニング」という名称そのものは便宜的な呼び名に過ぎません。
🦷 歯のクリーニングの主な目的と効果
歯のクリーニングは単に見た目をきれいにするためだけでなく、お口の健康を保ち、将来的なトラブルを未然に防ぐ重要なケアです。主な目的と効果は以下の通りです。
✅ 虫歯・歯周病・口臭の予防
毎日のブラッシングだけでは落としきれない**バイオフィルム(細菌の膜)**や、歯石、着色汚れなどを専門的に除去することで、虫歯や歯周病の発症リスクを大幅に軽減します。加えて、口臭の原因となる細菌の温床も取り除けます。


✅ バイオフィルムの破壊と細菌リセット
歯の表面に付着したバイオフィルムは、細菌同士が結びつき強固な集団となった状態で、通常の歯磨きでは除去できません。クリーニングによってこれを破壊することで、細菌が単独の状態に戻り、毒素や酸の生成能力を弱めることができます。
⚙ 歯のクリーニングの種類と特徴
歯のクリーニングにはいくつかの方法があり、それぞれ目的や使用する器具が異なります。ここでは代表的な3種類をご紹介します。
💨 エアフロー(AirFlow)

エアフローは、微細なパウダー・圧縮空気・水を同時に噴射することで、歯の表面や歯周ポケット内に付着したバイオフィルム(細菌の膜)やステイン(着色汚れ)を効率的に除去する方法です。
- ✅ 痛みや振動が少なく、歯や歯茎への負担が軽い
- ✅ ブラシが届きにくい部位にも効果的
- ✅ インプラントや矯正装置の清掃にも最適
特に歯周ポケット内部の細菌除去にも効果があり、歯周病の予防・再発防止にも役立ちます。
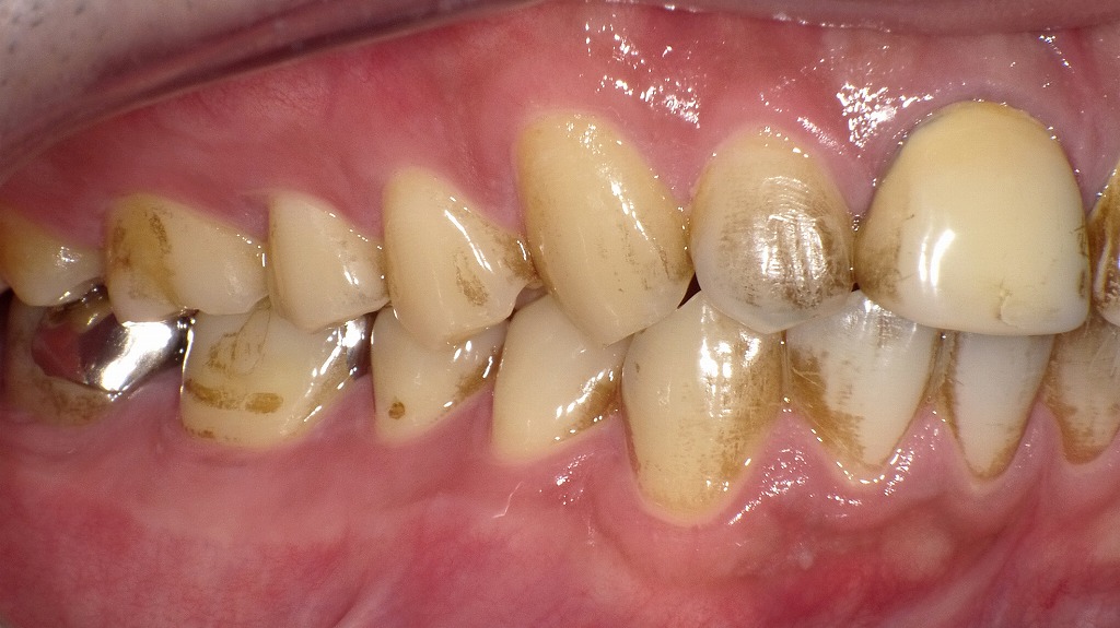
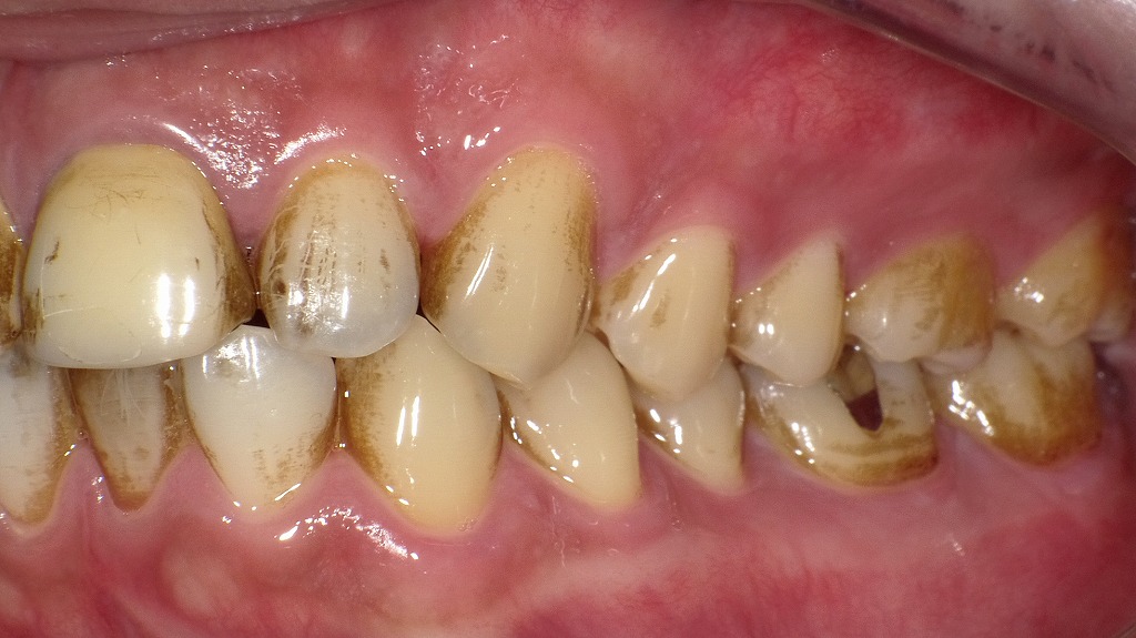
💨エアフローによる歯のクリーニング施術例

エアフロー施術前
ステインが大量に付いています。通常の歯磨きではなかなか落ちません。

エアフロー施術後
エアフローによる歯のクリーニングでステインは綺麗に取れています。

ホワイトニング後
エアフローによる歯のクリーニング後のホワイトニングを行いました。歯の内部から白くなっています。
🧴 PMTC(Professional Mechanical Tooth Cleaning)

PMTCは、歯科医師や歯科衛生士が専用のラバーカップやブラシ、ペーストを用いて、歯面に付着した歯垢やバイオフィルムを機械的に磨き上げるプロフェッショナルなクリーニング法です。
- ✅ 静音性が高く、リラックスして施術を受けられる
- ✅ 歯の表面がツルツルに仕上がる
- ⚠ 炎症がある部位では、歯原性菌血症のリスクに注意が必要
PMTCのプロセスと使用するツール
PMTCのプロセス
歯科医師や歯科衛生士が専用の器具とフッ素剤を使用して、歯の表面を丁寧にクリーニングします。セラミックやレジンなどの修復物も同時にチェックし、異常がないか確認します。
pmtcの使用するツール
各種形状の違ったブラシやラバーカップがあり、掃除する場所によって選択し、左の機器に装着します。用途に合わせたペーストを選択します。
高機能シリカの吸着効果
ウェルテック社製のクリーニングジェル<PMTC>は、歯面を研磨することなく、ジェルの吸着効果により歯面の汚れを除去し、滑沢にします。
PMTCは定期的なメンテナンスに適していますが、歯周病が進行している場合は慎重に選択する必要があります。
🔧 歯石取り(スケーリング)

スケーリングは、超音波スケーラーや手用器具を使用して、歯の表面や歯周ポケットに付着した硬くなった歯石(プラークが石灰化したもの)を除去する処置です。
- ✅ 歯周病予防の基本的な治療
- ✅ 進行性の歯肉炎や歯周炎を防止する重要なステップ
- ⚠ 放置すると歯周ポケットが深くなり、歯の動揺・喪失へ
歯石は一度付着すると歯ブラシでは除去できないため、定期的なプロのケアが不可欠です。
💡 クリーニングとホワイトニングの違い
「歯を白くする」といっても、クリーニングとホワイトニングでは目的も方法も大きく異なります。それぞれの違いを正しく理解することで、自分に合った選択ができるようになります。
🧼 クリーニングの目的
歯のクリーニングは、歯の表面に付着した汚れ・歯垢・歯石・着色(ステイン)を除去することで、歯本来が持つ自然な白さやツヤを取り戻す処置です。主な目的は以下のとおりです。
- ✅ 健康な歯ぐきや歯の維持
- ✅ 虫歯・歯周病・口臭の予防
- ✅ ステイン除去による見た目の改善
つまり、「予防目的」「健康維持」が中心であり、歯の表面の汚れを物理的に取り除く点が特徴です。
🌟 ホワイトニングとの違い
ホワイトニングは、歯の内部に浸透した色素を専用の薬剤で分解し、歯を本来以上に白くする審美的な処置です。以下のような特徴があります。
- ✅ 薬剤(過酸化水素や過酸化尿素)を使用
- ✅ 歯の内側の黄ばみ・変色に効果的
- ✅ より明るいトーンの白さを実現
- ⚠ 効果を保つには定期的なメンテナンスが必要
ホワイトニングは「見た目の美しさを追求したい方」におすすめの施術であり、クリーニングだけでは得られない明度の白さを目指す方に適しています。
■ホワイトニングの症例


1枚目:ホワイトニング前
歯全体に強い黄ばみが見られ、特に上の前歯部には濃い変色があります。左上1番は欠損しており、前歯のバランスも崩れています。また、上下の前歯には咬耗があり、全体的にくすんだ印象です。
2枚目:ホワイトニング後(左上1番はインプラント予定)
歯の色調も均一で、周囲の天然歯と調和しやすい状態になっています。部分矯正によって右上1番の捻転(ねじれ)を改善し、前歯の並びが整った状態にしてから左上1番の欠損部にインプラントで最終的に前歯の形態・色調を整える予定です。
🪧 どちらを選ぶべき?
| 項目 | クリーニング | ホワイトニング |
|---|---|---|
| 目的 | 汚れの除去/予防医療 | 見た目の改善/歯を白くすること |
| 方法 | 汚れの物理的除去(PMTC、エアフロー) | 薬剤による内部の色素分解 |
| 保険適用 | 一部適用あり(症状や目的による) | 自費診療のみ |
| 効果の持続 | 定期的な施術で持続 | メンテナンスが必要 |
| 推奨される方 | 口腔内の健康を保ちたい方 | 白さを重視したい方 |
👶 年齢・ライフスタイル別のクリーニング頻度
歯のクリーニングは、誰にとっても大切な予防ケアですが、効果的な頻度は年齢や生活習慣によって異なります。以下を目安に、ライフスタイルに合ったタイミングで受けることをおすすめします。
👧 子ども|乳歯期から6ヶ月ごとが目安
乳歯や生えたばかりの永久歯は、エナメル質が未成熟で虫歯になりやすいため、定期的なプロケアが重要です。
- ✅ 1歳半〜2歳ごろから定期検診を開始
- ✅ 虫歯予防を目的に半年に1回のクリーニングが推奨
- ✅ 小児期から通院習慣をつけることで、将来の歯科恐怖症予防にも効果的
👩 成人|3〜6ヶ月ごとの定期ケアが理想
成人になると生活習慣の影響で歯石や着色が付きやすくなり、また歯周病のリスクも上昇します。
- ✅ 健康な人でも**年2〜4回(3〜6ヶ月ごと)**のクリーニングが目安
- ✅ 妊娠中や授乳中は女性ホルモンの変化により歯肉炎が起きやすいため、特に注意が必要です
- ✅ ストレス・睡眠不足・食習慣の乱れも口腔環境に影響するため、定期検診との併用が効果的
👵 高齢者・持病がある方(糖尿病など)|3ヶ月以内の頻度が望ましい
高齢になると唾液の分泌量が減り、虫歯や歯周病が進行しやすくなります。また、糖尿病などの全身疾患と口腔の健康は密接に関係しています。
- ✅ 3ヶ月以内のクリーニングで歯周病の進行を抑制
- ✅ 入れ歯やブリッジ使用中の方も残存歯や粘膜の清掃が重要
- ✅ 糖尿病の方は炎症への感受性が高く、毎月のケアが理想的
🚬 喫煙者・着色しやすい食習慣の方|3ヶ月ごとのクリーニングが◎
タバコのヤニやコーヒー・ワインなどの色素は、歯の着色汚れや歯石を悪化させる原因となります。


- ✅ 喫煙者は歯茎の血流が悪化しやすく、歯周病の進行が速い傾向あり
- ✅ コーヒー・紅茶・赤ワインなどを頻繁に摂る方は、3ヶ月に1回のクリーニングでステインをリセット
- ✅ エアフローを併用することで、見た目の清潔感もアップ
定期的なクリーニングは、見た目の美しさだけでなく、お口と全身の健康維持に直結します。自分に合った頻度を見つけるには、ぜひ歯科医師と相談してみてください。
🤰 妊娠・授乳中のクリーニング
妊娠や授乳中はホルモンバランスの変化により、口腔内の環境も大きく変化します。安全で快適な妊娠・育児生活を送るためにも、歯のクリーニングによる予防ケアが重要です。
💁♀️ 妊婦さんが受けるべき理由
妊娠中はエストロゲンやプロゲステロンといった女性ホルモンの増加により、歯茎の炎症(妊娠性歯肉炎)が起こりやすくなります。さらに、つわりなどで歯磨きが不十分になりやすく、虫歯や歯周病のリスクが高まる時期でもあります。
- ✅ 妊娠中の歯周病は、早産や低体重児出産のリスク因子とされています
- ✅ 歯のクリーニングにより、歯周病菌のコントロールと全身への影響軽減が可能
- ✅ 安定期(妊娠5〜8か月)は、クリーニングを受けるのに最も安全な時期
※体調に不安がある場合は、かかりつけ産婦人科医にも相談しましょう。
🍼 授乳中の注意点
授乳中も、歯のクリーニングは基本的に安全に受けられます。ただし、施術時に使われる薬剤や麻酔に関しては、赤ちゃんへの影響を考慮し、事前に歯科医師へ伝えることが大切です。
- ✅ 表面麻酔や一部の薬剤は母乳への移行がほぼないとされていますが、確認は必須
- ✅ 不安がある場合は、**施術後一定時間、母乳を搾って破棄する「授乳間隔の調整」**も有効
- ✅ 施術中の体勢や疲労にも配慮し、短時間で終わるクリーニングメニューを選択するのも一案
妊娠・授乳中はご自身の体と赤ちゃんの健康を守る大切な時期。歯科クリーニングをうまく取り入れることで、安心して過ごせる口腔環境を整えましょう。
🧼 実際のクリーニングの流れ
歯のクリーニングを初めて受ける方にとって、「何をされるのか分からない」という不安はつきものです。ここでは、来院から施術終了までの流れをわかりやすくご紹介します。
📋 初診〜施術までのステップ
1.カウンセリングと口腔内診査
まずは歯科医師または歯科衛生士がお口の状態やお悩みを丁寧にヒアリングします。
必要に応じてレントゲン撮影や歯周ポケットの測定を行い、虫歯や歯周病の有無、クリーニングが必要な範囲を把握します。
2.スケーリング(歯石取り)
専用の超音波スケーラーや手用スケーラーを用いて、歯の表面や歯周ポケット内の歯石を除去します。これにより歯周病の原因となる細菌の温床が取り除かれます。
3.エアフローやPMTCでの歯面清掃
歯の表面や着色汚れには、エアフローによる微粒子洗浄、もしくはラバーカップとペーストを用いたPMTCを行い、歯のツヤや自然な白さを取り戻します。
4.フッ素塗布とセルフケア指導
最後に、虫歯予防のための高濃度フッ素塗布を行います。
その後、歯科衛生士が正しい歯磨き方法やデンタルフロスの使い方を丁寧にレクチャーし、自宅でのケアの質を高めます。
😌 痛みが心配な方への配慮
歯のクリーニングに対して「痛そう」「しみるのでは?」という不安をお持ちの方も安心してください。現在のクリーニングではさまざまな痛み軽減対策が導入されています。
- ✅ 表面麻酔や無針麻酔を使用し、注射が苦手な方にも対応
- ✅ 最新の超音波スケーラーは低振動・低刺激で、痛みを抑えながら歯石を除去
- ✅ 歯科衛生士が患者さんの様子を見ながら細やかに施術を進めるため、緊張せずに受けられます
- ✅ リラックスできるようにBGMや個室空間を用意している医院も増えています
初診から施術終了まで30〜60分程度が一般的です。ご不安な点がある場合は、事前に遠慮なく相談しておくことで、より安心して施術を受けられます。
💰 歯のクリーニングにかかる費用
歯のクリーニングは内容によって保険が適用されるケースと、自費になるケースがあります。費用面を正しく理解しておくことで、安心して治療にのぞめます。
🏥 保険適用のケース
保険診療の中で歯のクリーニングとして算定されるのが「機械的歯面清掃処置(70点)」です。
- ✅ 虫歯や歯周病などの歯科疾患がある場合に限り保険適用
- ✅ 2ヶ月に1回まで算定可能(歯面の一部でも可)
- ✅ 歯周病の治療後には「SPT(歯周病安定期治療)」の一環としてクリーニングを行うことも可能
保険適用の場合、費用の目安は**初診料込みで1,500〜3,000円程度(3割負担)**ですが、診療内容や検査の有無によって前後します。
💳 自費診療の目安
歯の着色を取りたい、ホワイトニングの前に歯をきれいに整えたいといった審美目的のクリーニングは保険適用外となり、自費診療となります。
- 💨 エアフロー・PMTC(30分程度):7,700円(税込)
- 🔁 必要に応じて施術時間を延長(別料金)
自費クリーニングは、見た目の美しさや快適さを重視する方に人気です。また、自由診療で使用する薬剤や器具も高品質なものが多く、より効果的なケアが期待できます。
⚠ 保険と自費の違いに注意
| 比較項目 | 保険診療 | 自費診療 |
|---|---|---|
| 対象 | 病気がある場合(虫歯・歯周病など) | 審美目的・ホワイトニング前など |
| 頻度制限 | 原則2ヶ月~3ヶ月に1回 (症状による制限あり) | 自由に設定可能 |
| 内容 | 必要最低限の処置(歯石取り・清掃など) | 高度な洗浄(エアフロー・フッ素塗布など) |
| 費用の目安(3割負担) | 約1,500〜3,000円 | 約7,000〜10,000円(税込) |
※ 保険では初診料・再診料・指導料・検査料などが加算される場合あり。治療目的か、見た目のケアかによって適用が変わりますので、「どのようなクリーニングを希望しているか」を事前に歯科医院に伝えることが大切です。
🪥 クリーニング後のセルフケア
歯のクリーニングを受けたあとは、お口の中がすっきりし、歯の表面もツルツルになります。この状態をできるだけ長く保つには、日々のセルフケアがとても重要です。ここでは、歯磨き粉の選び方や、食習慣で気をつけたいポイントを紹介します。
🧴 おすすめの歯磨き粉
クリーニング直後の歯は表面がなめらかで汚れがつきにくい状態ですが、再付着を防ぐために適切な歯磨き粉を使いましょう。
- ✅ フッ素配合(1450ppm):エナメル質を強化し、虫歯を予防
- ✅ 低研磨性:磨きすぎによる歯面の傷を防ぎ、知覚過敏のリスクを低下
- ✅ 着色防止成分入り(ポリリン酸・ピロリン酸など):ステインの再付着をブロック
- ✅ 知覚過敏対応(硝酸カリウム・フッ化ナトリウム):クリーニング後の刺激にも安心
「クリーニング後のケア用」や「ステイン予防」などの表記がある歯磨き粉を選ぶと良いでしょう。
🍽 控えるべき食べ物・飲み物
クリーニング後の歯は一時的に着色しやすい状態になるため、以下のような色の濃い食品や酸性のものは数時間控えるのが理想的です。
- ⚠ 着色の強い食品・飲料:カレー、コーヒー、紅茶、赤ワイン、チョコレートソース など
- ⚠ 酸性の食品・飲料:炭酸飲料、柑橘類、酢を使った料理 など
これらを摂った場合は、水で口をすすぐ・ストローを使う・早めに歯を磨くなどの工夫がおすすめです。
🍶 予防につながる食生活
日々の食事にもお口の健康を守るヒントがたくさんあります。次のような食品を積極的に取り入れると、歯の強化や歯茎の健康維持に役立ちます。
- ✅ カルシウムを多く含む食品:牛乳、チーズ、ヨーグルト(歯の再石灰化を助ける)
- ✅ ビタミンCが豊富な食品:オレンジ、キウイ、ブロッコリー(歯茎の出血や炎症を予防)
- ✅ キシリトール入りガム:虫歯の原因菌の活動を抑制し、唾液の分泌も促進
また、水分補給をこまめに行い、口腔内を潤すことで自浄作用(唾液の洗浄力)を高めることも重要です。
クリーニング後の正しいセルフケアを習慣化すれば、白くて健康な歯を長く維持できます。歯科医院でのケアと日々の予防、この2本柱が理想的な口腔管理のカギです。
📌 PMTCを実施しない場合の理由と代替策
PMTC(プロフェッショナル・メカニカル・トゥース・クリーニング)は歯面の清掃において有効な手段の一つですが、すべての患者に一律で推奨できるものではありません。当院では、状況に応じてより効果的で安全性の高い方法を選択しています。
🚫 当院がエアフローを推奨する理由
PMTCにはメリットもある一方で、炎症が強い部位での使用には注意が必要です。とくに当院では、以下のような理由からPMTCの使用を最小限にとどめ、より負担の少ない「エアフロー」によるクリーニングを基本としています。
🦠 歯原性菌血症のリスク回避
歯周病が進行している場合や、歯茎に炎症がある状態でPMTCを行うと、**歯肉から出血を引き起こし、歯周病菌が血流に入り込む「歯原性菌血症」**のリスクが高まるとされています。
これは、動脈硬化や心疾患リスクに関連する可能性もあるため、特に基礎疾患のある方には避けるべきと判断されることがあります。
⚙ クリーニング効率の高さ
PMTCは主に歯の表面を磨く施術であり、歯周ポケット内部までの清掃には限界があります。
一方、エアフローは微細なパウダーと水・空気の力で、歯周ポケットの浅い部分までバイオフィルムを除去することができ、歯面やインプラント周囲にもやさしくかつ効果的に作用します。
当院ではこのような観点から、以下のように施術を使い分けています:
| 状態 | 推奨される施術 |
|---|---|
| 歯周病・炎症がある | エアフロー中心で対応(非接触洗浄) |
| 痛みや水圧・パウダーに敏感な方 | ごく一部のPMTCを併用(必要最小限) |
| 健康な歯肉・審美目的 | 状況に応じてPMTCも選択可能 |
PMTCが合わないケースでも、安全で効果的な代替策としてエアフローをご用意しています。患者様一人ひとりのお口の状態に合わせて最適な方法を提案いたしますので、不安やご希望があれば遠慮なくご相談ください。
🙋♀️ よくある質問(FAQ)
初めて歯のクリーニングを受ける方や、定期ケアの必要性について疑問を持っている方のために、よく寄せられる質問とその答えをまとめました。
❓ 歯のクリーニングはどのくらい白くなる?
A:歯本来の自然な白さが戻りますが、「ホワイトニング」のような漂白効果はありません。
クリーニングでは、歯の表面に付着したステイン(コーヒーやタバコの着色)や歯垢・歯石を除去することで、本来の色味やツヤが回復します。
「もっと白くしたい」という方には、ホワイトニングとの併用がおすすめです。
❓ 子どもにも歯のクリーニングは必要?
A:はい、必要です。特に虫歯リスクの高い乳歯・生えたての永久歯の時期には効果的です。
定期的なクリーニングにより、虫歯や歯肉炎の予防はもちろん、歯医者への恐怖心をなくす効果も期待できます。
目安としては、6か月に1回のチェックと清掃をおすすめしています。
❓ ホワイトニングとの違いは?
A:クリーニングは“汚れ落とし”、ホワイトニングは“漂白”です。
- クリーニング:歯の表面に付いた着色や歯石を除去。健康目的・予防中心。
- ホワイトニング:薬剤を使って歯の内部の色素を分解し、本来以上の白さを実現。
目的や希望に応じて使い分けると効果的です。
❓ 通院頻度は?
A:一般的には3〜6ヶ月に1回が目安ですが、年齢や口腔内の状態によって異なります。
- 健康な成人:3〜6ヶ月ごと
- 虫歯・歯周病リスクが高い方:1〜3ヶ月ごと
- 子どもや高齢者:半年〜3ヶ月ごとがおすすめ
※担当医と相談して、あなたに合ったペースを見つけましょう。
❓ 痛みが不安だけど大丈夫?
A:痛みを感じにくい方法で施術するので、ほとんどの方が安心して受けられます。
- 表面麻酔や無針麻酔の使用で痛みを軽減
- 超音波スケーラーやエアフローなど、最新の機器を使用
- 不安があれば事前にしっかり相談可能
痛みに敏感な方でも、快適な環境で施術できるよう配慮しています。
他にも気になることがあれば、いつでもご相談ください。あなたにとって無理のない、心地よいケアのスタイルを一緒に考えていきましょう。
📝 まとめ|歯の健康はクリーニングから
歯のクリーニングは、単に見た目をきれいにするだけではなく、虫歯・歯周病・口臭といったトラブルを未然に防ぐための大切な予防医療です。
- 🦷 毎日のブラッシングだけでは落としきれないバイオフィルムや歯石をプロの手でしっかり除去
- 👩⚕️ 自分では気づきにくいトラブルの早期発見にもつながる
- 💬 子どもから大人、高齢者や妊婦さんまで、すべての世代に必要なケア
そして、健康な口腔環境を維持するためには、**「定期的なプロフェッショナルケア(クリーニング)」と「毎日のセルフケア」**の両方が欠かせません。
「痛そう」「何をされるか分からない」と不安に思っていた方も、無痛処置や最新機器の活用で安心して受けられる時代になっています。
🟢 まずは一度、お気軽にご相談ください。
あなたのライフスタイルやお口の状態に合わせた、最適なケアプランをご提案いたします。
きれいな歯は、笑顔と健康のはじまりです。
江戸川区篠崎で歯のクリーニングをご希望の方へ

当院では、国家資格を持つ歯科衛生士が、エアフローやPMTCなどを用いた本格的な歯のクリーニングを提供しています。
虫歯・歯周病の予防はもちろん、口臭の改善やステイン除去による自然な白さの回復にも効果的です。
初めての方でもリラックスして受けられるよう、痛みに配慮した処置や無針麻酔も導入。
妊婦さんやお子さま、ご高齢の方も安心して通える環境を整えております。
「最近、歯のザラつきや着色が気になる」「予防のために一度プロケアを受けたい」
そんな方は、江戸川区篠崎駅近くの当院にぜひご相談ください。
📅 3ヶ月に1回の習慣で、歯も健康も長持ちします。
【動画】ステイン着色汚れをクリーニングするエアフロー
筆者・院長

深沢 一
Hajime FUKASAWA
- 登山
- ヨガ
メッセージ
日々進化する歯科医療に対応するため、毎月必ず各種セミナーへの受講を心がけております。
私達は、日々刻々と進歩する医学を、より良い形で患者様に御提供したいと考え、「各種 歯科学会」に所属すると共に、定期的に「院内勉強会」を行う等、常に現状に甘んずる事のないよう精進致しております。 又、医療で一番大切な事は、”心のある診療”と考え、スタッフと共に「患者様の立場に立った診療」を、心がけております。




