- 1. 下の歯がガタガタする主な原因
- 1.1. 大人の下の前歯がガタガタの症例
- 1.1.1. 顎の大きさと歯のサイズの不調和
- 1.1.2. 親知らずの影響
- 1.1.3. 子どもの頃の習慣やクセ
- 1.1.4. 歯の早期喪失やかみ合わせの乱れ
- 1.2. 子供の下の前歯がガタガタの症例
- 1.2.1. 🔍 状況の概要
- 1.2.2. 🦷 詳細な所見
- 1.2.3. 📋 まとめ
- 2. 下の歯のガタガタを放置すると起こるリスク
- 2.1. 虫歯や歯周病のリスク増加
- 2.2. かみ合わせの悪化や顎関節症
- 2.3. 見た目のコンプレックス
- 3. 下の歯のガタガタを改善する方法
- 3.1. ワイヤー矯正(表側・裏側)
- 3.2. マウスピース矯正(インビザラインなど)
- 3.3. 部分矯正
- 3.4. 補綴(セラミック)で見た目を整える
- 4. 大人でも矯正できる?年齢別の特徴
- 4.1. 成長期の子どもとの違い
- 4.2. 大人の矯正にかかる期間と注意点
- 4.3. 矯正後の後戻り防止
- 4.3.1. フィックスリテーナー
- 4.3.1.1. 🔍 見られる特徴とポイント
- 4.3.1.1.1. ■ フィックスリテーナー(固定式リテーナー)
- 4.3.1.1.2. ■ 後戻りしやすい理由
- 4.3.1.1.3. ■ 清掃の注意点
- 5. 治療にかかる費用と期間の目安
- 5.1. ワイヤー矯正
- 5.2. マウスピース矯正
- 5.3. 部分矯正
- 5.4. 保険が使えるケースと自費治療
- 6. まとめ:下の歯がガタガタで悩んだら早めの相談を
- 7. 🏥江戸川区篠崎で下の歯がガタガタでお悩みの方へ
- 8. 【動画】アデノイド顔貌
- 9. 筆者・院長

👀 「下の歯がガタガタしてきた」「昔はきれいだったのに、最近歯並びが悪くなった気がする」――そんなお悩みを抱えていませんか?🦷
下の歯の歯並びが乱れると、見た目だけでなく虫歯や歯周病のリスクも高まり、放置すると口全体の健康に影響します。
この記事では、下の歯がガタガタする原因から放置によるリスク、矯正方法や費用まで、わかりやすく解説します✨
下の歯がガタガタする主な原因
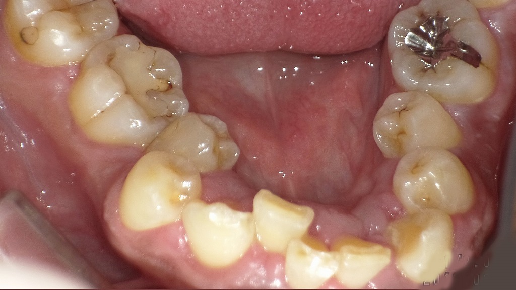
大人の下の前歯がガタガタの症例
下の2枚の画像は下の前歯の叢生(そうせい)=歯並びのガタガタを示しています。下の前歯がねじれて重なり合っているのが確認できます。


顎の大きさと歯のサイズの不調和
人によって顎の大きさと歯の大きさには個人差があります。顎が小さいのに歯が大きいと、歯が並ぶスペースが足りず、重なり合ってガタガタになります。
親知らずの影響
親知らずが奥から生えてくると、前の歯を押して下の前歯がガタガタになることがあります。特に20代以降に乱れが進むケースは、親知らずが関与している場合が多いです。

子どもの頃の習慣やクセ
指しゃぶりや舌で歯を押すクセ、口呼吸などは歯並びを乱す原因に😮💨。成長期に顎の骨や歯の位置に影響して、下の歯が不揃いになることがあります。
歯の早期喪失やかみ合わせの乱れ
虫歯や外傷で歯を失った場合、隣の歯が倒れてスペースが乱れ、結果的に下の歯並びも崩れることがあります。
子供の下の前歯がガタガタの症例
この画像は、6歳児の下顎前歯部(永久歯の萌出期)を示しています。専門的に解説すると以下のようになります。

🔍 状況の概要
赤い矢印の部分に見られるように、**下顎の永久歯(中切歯:1番)が2本とも萌出を開始しています。しかし、乳歯列に隙間(歯間空隙)がなく、萌出スペースが不足しているため、永久歯がガタガタ(叢生)**の状態で生えてきています。
🦷 詳細な所見
- 永久歯の萌出位置
下顎中切歯(1番)は乳歯の裏側(舌側)から萌出しています。これは6歳前後ではよく見られる生理的な現象で、「舌側萌出」と呼ばれます。
通常は後に乳歯が自然に脱落し、舌の圧で永久歯が前方へ移動し、正しい位置に落ち着くこともあります。 - スペース不足の原因
この症例では乳歯列の歯間に隙間がほとんどなく、もともと顎の成長や歯列弓の幅が狭いタイプです。
そのため、永久歯が生えるスペースが足りず、**前歯の叢生(ガタつき)**を生じています。 - 今後の注意点
永久歯の萌出が進む6~8歳の時期に、乳歯の自然脱落と顎の成長によってある程度改善するケースもありますが、
スペースが極端に不足している場合や、側方歯(側切歯・犬歯)の萌出時に重なりが強くなるリスクが高いです。
その場合は、早期矯正(咬合誘導)や顎の成長を促す装置の検討が望まれます。
📋 まとめ
| 項目 | 内容 |
|---|---|
| 年齢 | 約6歳 |
| 状況 | 下顎永久中切歯の舌側萌出+叢生傾向 |
| 問題点 | 乳歯列に隙間がないため萌出スペース不足 |
| 今後の対応 | 乳歯の自然脱落を経過観察し、必要に応じて矯正相談へ |
この時期の診断ポイントは、乳歯が抜けた後に前歯が並ぶ余地があるかどうかです。もし隙間が全くないまま永久歯がずれて生えてくる場合、早期に矯正的介入を検討することが将来的な歯列不正の予防につながります。
下の歯のガタガタを放置すると起こるリスク


下顎の歯列不正により、第二小臼歯が舌側へ転位している状態です。
このようなガタガタ(叢生)を放置すると、歯磨きが行き届きにくくなり、虫歯や歯周病のリスクが高まります。さらに、噛み合わせの乱れや清掃不良による炎症が進行し、将来的に歯の寿命を縮める原因となることもあります。早期の評価と適切な矯正的対応が重要です。
虫歯や歯周病のリスク増加
歯が重なっている部分は歯ブラシが届きにくく、プラークや歯石が溜まりやすくなります🦠。結果的に虫歯や歯周病を引き起こしやすくなります。


下の前歯の裏側(舌側)は唾液の成分が石灰化しやすく、写真のように歯石が厚く付着しやすい部位です。歯石の表面には歯周病菌が増殖し、歯ぐきの腫れ・出血・骨の吸収を引き起こします。歯並びがガタついている場合、ブラシが届きにくく歯石が急速に溜まるため、歯周病リスクがさらに高まります。早めのクリーニングが重要です。
かみ合わせの悪化や顎関節症
歯並びが乱れるとかみ合わせが不均衡になり、顎の関節に負担がかかります。顎関節症や肩こり、頭痛につながることもあります。
見た目のコンプレックス
下の前歯は笑ったときや会話のときに意外と目立ちます。歯並びの悪さが気になり、人前で笑えないなど心理的ストレスにつながることもあります😔。
下の歯のガタガタを改善する方法

ワイヤー矯正(表側・裏側)
従来の方法で、確実に歯を動かせるのが特徴。表側は見えやすいですが、裏側矯正なら目立ちにくいです。
マウスピース矯正(インビザラインなど)
透明なマウスピースを使い、目立たず矯正できるのが魅力✨。取り外し可能で衛生的ですが、装着時間を守る自己管理が必要です。
部分矯正
「前歯だけ気になる」という場合には部分矯正が選択肢に。費用や期間を抑えられるのがメリットです。
補綴(セラミック)で見た目を整える
軽度の歯並びの乱れなら、セラミック治療で見た目を改善できるケースも。ただし根本的に歯を動かすわけではないため、適応は限られます。
大人でも矯正できる?年齢別の特徴
成長期の子どもとの違い
子どもは顎の成長を利用できるため、治療がスムーズに進みます。大人は顎の骨が固まっているため、歯を動かすのに時間がかかるのが特徴です。
大人の矯正にかかる期間と注意点
平均で2〜3年かかることが多く、歯周病の有無や骨の状態によって計画が変わります。
矯正後の後戻り防止
矯正が終わったあとも、リテーナーという保定装置を使って歯を固定する必要があります。これを怠ると歯は元に戻ってしまいます⚠️。
フィックスリテーナー
この画像は下顎前歯部(下の前歯)を舌側から見た口腔内写真です。矯正治療後の**保定装置(フィックスリテーナー)**が装着されています。

🔍 見られる特徴とポイント
■ フィックスリテーナー(固定式リテーナー)
- 赤い矢印で示された部分に、細いワイヤーが歯の裏側(舌側)に接着されています。
- 主に下顎の犬歯(3番)から反対側の犬歯(3番)までを連結しており、計6本の前歯を保定するタイプです。
- これは矯正治療後の後戻り防止を目的としています。
■ 後戻りしやすい理由
- 下顎前歯は歯列の中でも歯根が細く、歯槽骨が薄いため、位置が不安定になりやすい部位です。
- また、唇や舌の力のバランスが変化すると歯が簡単に動いてしまうため、保定を長期に行う必要があります。
- そのため、取り外し式リテーナーだけでなく、このような接着式(フィックス)リテーナーを併用します。
■ 清掃の注意点
- ワイヤーがある部分は歯間ブラシやフロスが通しにくいため、プラークがたまりやすい部位です。
- 定期的に歯科医院でのクリーニングや超音波スケーラーによる歯石除去が推奨されます。
治療にかかる費用と期間の目安
ワイヤー矯正
期間:2〜3年
費用:70〜120万円程度
マウスピース矯正
期間:1.5〜3年
費用:80〜120万円程度
部分矯正
期間:半年〜1.5年
費用:20〜50万円程度
保険が使えるケースと自費治療
顎変形症や先天的な異常など一部ケースでは保険が使えますが、多くは自費治療です。
まとめ:下の歯がガタガタで悩んだら早めの相談を
下の歯の歯並びがガタガタする原因はさまざまで、放置すると虫歯・歯周病・顎関節症など多くのリスクを引き起こします。
大人になってからでも矯正は可能で、部分矯正やマウスピース矯正など選択肢も豊富です✨。
「自分はどの治療が合っているのだろう?」と迷ったら、まずは歯科医院で相談してみましょう。専門家の診断を受けることが、美しい歯並びと健康な口元への第一歩です😊。
🏥江戸川区篠崎で下の歯がガタガタでお悩みの方へ

下の歯のガタガタは「見た目」だけの問題ではありません。
重なった部分は歯磨きが届きにくく、虫歯や歯周病の温床となります。さらに、かみ合わせの乱れや顎の負担、発音のしにくさにもつながります。
当院では、マウスピース矯正・ワイヤー矯正・部分矯正など豊富な治療法から、患者さま一人ひとりに最適なプランをご提案します。大人になってからの矯正も決して遅くはありません。まずはご相談ください。
【動画】アデノイド顔貌
筆者・院長

深沢 一
Hajime FUKASAWA
- 登山
- ヨガ
メッセージ
日々進化する歯科医療に対応するため、毎月必ず各種セミナーへの受講を心がけております。
私達は、日々刻々と進歩する医学を、より良い形で患者様に御提供したいと考え、「各種 歯科学会」に所属すると共に、定期的に「院内勉強会」を行う等、常に現状に甘んずる事のないよう精進致しております。 又、医療で一番大切な事は、”心のある診療”と考え、スタッフと共に「患者様の立場に立った診療」を、心がけております。


