- 1. ステファンカーブとは?むし歯予防のカギを握る口の中の変化 🦷✨
- 1.1. ステファンカーブの基本 📊
- 1.2. むし歯とステファンカーブの関係 🪥
- 1.2.1. 虫歯とプラークの関係
- 1.2.1.1. 🦷全体的な所見
- 1.2.1.2. ⚠️虫歯(う蝕)の所見
- 1.2.1.3. 🧫プラークと細菌活動
- 1.2.1.4. 🪥治療とケアの提案
- 1.3. 食生活とステファンカーブ 🍩🥤
- 1.4. 唾液の役割 💧
- 1.5. むし歯予防のための工夫 ✨
- 1.5.1. ✅ 食生活の工夫
- 1.5.2. ✅ 唾液を増やす工夫
- 1.5.3. ✅ 歯を強くするケア
- 2. まとめ 📌
- 3. 江戸川区篠崎でむし歯予防を考えている方へ 🏥
- 4. 【動画】ステイン着色汚れをクリーニングするエアフロー
- 5. 筆者・院長

みなさんは「ステファンカーブ」という言葉をご存知でしょうか?📉
これは、食事やおやつを食べた後にお口の中で起こる pH(酸性・中性のバランス)変化 を示すグラフのことです。歯の健康に大きく関わるため、歯科の世界ではとても重要視されています。
この記事では、ステファンカーブが示す「むし歯になりやすいタイミング」や、食生活・唾液・ケア方法との関係についてわかりやすく解説します。江戸川区篠崎でむし歯予防に取り組む方もぜひ参考にしてください😊
ステファンカーブとは?むし歯予防のカギを握る口の中の変化 🦷✨
ステファンカーブの基本 📊
「ステファンカーブ」は、食後に口の中のpHがどう変化するかを示したグラフです。

- 食事をすると、細菌が糖を分解して酸を出します。
- 酸の影響でお口の中は一時的に 酸性(pH5.5以下) に傾きます。
- 唾液の働きで徐々に中性に戻り、歯が修復(再石灰化)されていきます。
この「下がって戻る曲線」がステファンカーブです。
一見ただのグラフですが、むし歯予防の本質を表しているのです。
むし歯とステファンカーブの関係 🪥
歯は「酸に弱い」という性質を持っています。特に pH5.5以下になると歯の表面が溶け出す(脱灰) が始まります。
しかし、唾液が酸を中和し、ミネラルを供給してくれることで「再石灰化」も進みます。
つまり歯の運命は、脱灰と再石灰化のバランス によって決まるのです。
ステファンカーブを見ると、食後にどれくらい酸性に傾き、どのくらいで回復するかがわかります。むし歯になりやすい人は、カーブが深く長く続いてしまう傾向があるのです。
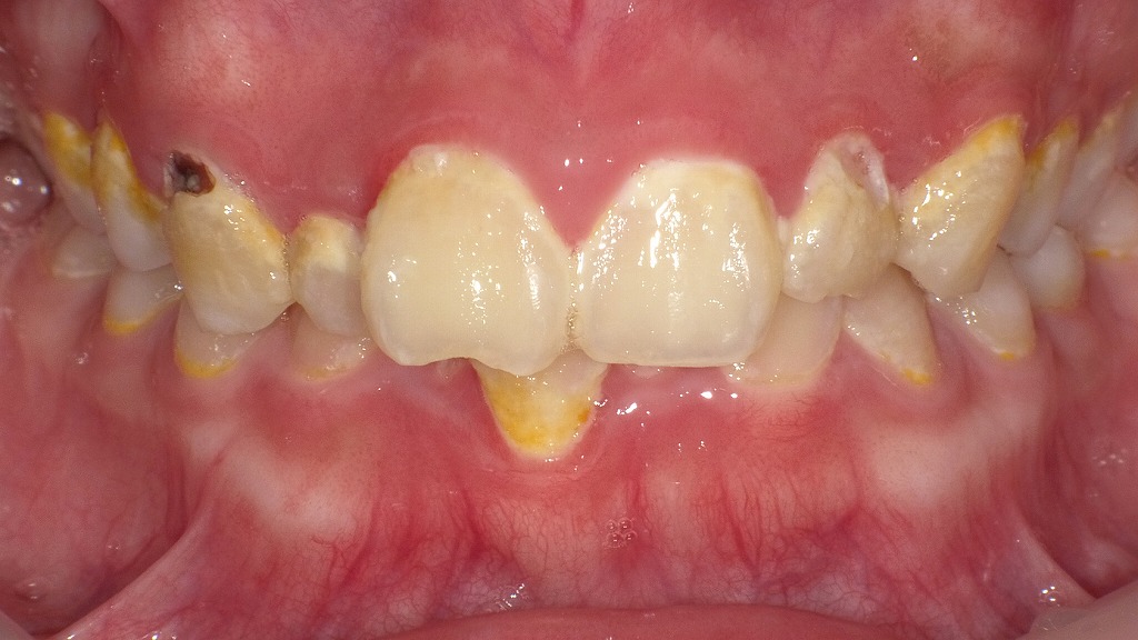
虫歯とプラークの関係
この画像では、以下のような状態が確認されます。

🦷全体的な所見
- **歯の表面や歯頚部(歯と歯ぐきの境目)に黄色いプラーク(歯垢)**が多く付着しています。
→ プラークは細菌のかたまりで、糖分を栄養にして酸を産生します。
→ 酸によって歯の表面(エナメル質)が溶け出し、虫歯の原因になります。
⚠️虫歯(う蝕)の所見
- 左上犬歯(画像左側の尖った歯)付近の歯頚部にC2程度の虫歯が見られます。
→ エナメル質を越えて象牙質に達しており、治療が必要な状態です。
→ 黒褐色に変色し、表面の凹みが認められます。
🧫プラークと細菌活動
- 黄色いプラークは、成熟した細菌バイオフィルムの特徴を示しています。
→ 細菌が活発に活動し、酸を産生していると考えられます。
→ 特に歯頚部や歯間部に多く付着しており、ブラッシング不足や磨き残しが原因と推測されます。
🪥治療とケアの提案
- プロフェッショナルクリーニング(PMTCまたはスケーリング)
→ プラーク・歯石を除去して、再付着を防ぐ。 - C2虫歯の充填治療
→ コンポジットレジンやインレーによる修復を検討。 - ブラッシング指導とプラーク染め出し
→ 毎日のセルフケアでプラークの取り残しを防ぐ。 - フッ素塗布またはMIペースト使用
→ 初期脱灰部の再石灰化を促進。 - 食生活指導(糖の摂取頻度減少)
→ 細菌の酸産生活動を抑制。
食生活とステファンカーブ 🍩🥤
ステファンカーブに大きく影響するのが「食べ方」です。
- 間食が多い人
→ 食べるたびにpHが下がり、酸性の時間が長く続く - 砂糖や炭酸飲料が多い人
→ 酸が強く発生し、カーブが急激に下がる - ダラダラ食べ
→ 唾液が回復させる時間がなく、常に酸性状態
逆に、同じ量の甘い物でも「一度に食べる」ほうが歯への影響は少なくなります。
唾液の役割 💧
唾液は「天然のマウスウォッシュ」とも呼ばれるほど優れた働きをしています。

- 酸を中和して口の中を中性に戻す
- カルシウムやリンを供給し、再石灰化を助ける
- 抗菌作用でむし歯菌の増殖を抑える
しかし、口呼吸や加齢、ストレス、薬の副作用などで唾液が減ってしまう人もいます。その場合、ステファンカーブはより危険な形になりやすいのです。
むし歯予防のための工夫 ✨
ステファンカーブを意識すると、毎日の生活でできる工夫が見えてきます。
✅ 食生活の工夫
- 間食は1日1〜2回に抑える
- 甘い飲み物より「水・お茶」を選ぶ
- 食後はストローを使って歯に直接当たらないようにする
✅ 唾液を増やす工夫
- よく噛んで食べる
- キシリトールガムを噛む
- 水分をしっかり摂る
✅ 歯を強くするケア
- フッ素配合の歯磨き粉を使う
- MIペーストなどで再石灰化をサポート
- 定期的に歯科検診を受ける
まとめ 📌
- ステファンカーブは「食後の口腔内pH変化」を示すグラフ
- pH5.5以下で歯が溶け出し、唾液によって回復する
- 間食や砂糖の摂取、唾液量によってカーブの形は変わる
- 食生活の工夫・唾液の活用・フッ素ケアが予防のカギ
歯の健康は毎日の習慣で守れます。ステファンカーブを意識して、むし歯ゼロの生活を目指しましょう!🌿✨
江戸川区篠崎でむし歯予防を考えている方へ 🏥

当歯科クリニック(江戸川区篠崎駅南口徒歩1分)では、ステファンカーブを理解した上での予防歯科を大切にしています。
「むし歯ができやすい」「甘いものが好き」「唾液が少ない気がする」など気になる方は、一度ご相談ください。お口の状態を確認し、生活習慣に合わせた予防方法をご提案いたします😊
【動画】ステイン着色汚れをクリーニングするエアフロー
筆者・院長

深沢 一
Hajime FUKASAWA
- 登山
- ヨガ
メッセージ
日々進化する歯科医療に対応するため、毎月必ず各種セミナーへの受講を心がけております。
私達は、日々刻々と進歩する医学を、より良い形で患者様に御提供したいと考え、「各種 歯科学会」に所属すると共に、定期的に「院内勉強会」を行う等、常に現状に甘んずる事のないよう精進致しております。 又、医療で一番大切な事は、”心のある診療”と考え、スタッフと共に「患者様の立場に立った診療」を、心がけております。


