- 1. 🦷歯磨き後に飲んでいいもの・避けたいもの|正しい知識で歯を守ろう!
- 1.1. ✅ 歯磨き後に飲んで良いもの
- 1.1.1. 🚰 水
- 1.1.2. 🍵 ☕無糖のお茶(緑茶・麦茶など)コーヒーや紅茶
- 1.2. ⚠️ 歯磨き後に避けたい飲み物
- 1.2.1. 🥤 ジュースや炭酸飲料
- 1.2.2. 🍺 アルコール飲料
- 1.2.3. ⚡ スポーツドリンク・エナジードリンク
- 1.3. 💡 歯磨き後に飲み物を楽しむ工夫
- 1.3.1. 🕒 飲むタイミングを工夫する
- 1.3.2. 🥤 ストローを活用する
- 1.3.3. 🚿 うがいを取り入れる
- 2. ❓ よくある質問(FAQ)
- 3. まとめ
- 4. 江戸川区篠崎で歯の白さや健康を保ちたい方へ🦷✨
- 5. 【動画】ステイン着色汚れをクリーニングするエアフロー
- 6. 筆者・院長

毎日欠かせない歯磨きですが、「磨いた後に飲んでいいものって何だろう?」と疑問に思ったことはありませんか?実は、歯磨き直後に選ぶ飲み物によって、歯や口の健康に大きな影響を与えることがあります。特に、虫歯や着色のリスクを減らすためには「飲んでいいもの」と「避けたいもの」を知っておくことが大切です。
この記事では、歯科の視点から正しい知識と日常での工夫をご紹介します。✨
🦷歯磨き後に飲んでいいもの・避けたいもの|正しい知識で歯を守ろう!
✅ 歯磨き後に飲んで良いもの

🚰 水
最も安心して飲めるのが「水」です。歯磨き直後に水を飲んでも、フッ素や歯の表面を傷める心配はありません。特に就寝前や起床後の水分補給は、口の中を潤し、虫歯菌の活動を抑える効果も期待できます。
🍵 ☕無糖のお茶(緑茶・麦茶など)コーヒーや紅茶
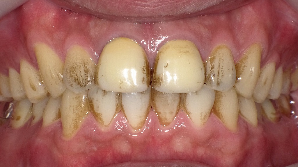
無糖の緑茶や麦茶は、歯磨き後でも安心して飲める飲み物です。特に緑茶にはカテキンと呼ばれる抗菌作用があり、虫歯や歯周病の予防にもつながります。ただし、毎日何度も飲むと歯に色素沈着(ステイン)がつきやすいため、こまめなうがいがおすすめです。
ブラックコーヒーや無糖の紅茶も、砂糖が入っていなければ虫歯リスクは低めです。ただし、こちらもステインによる着色が起こりやすいため「飲む頻度」や「その後のうがい」を工夫するとよいでしょう。

歯磨き直後の歯は表面の保護膜(ペリクル)が一時的に薄く、着色しやすい状態です。
無糖の緑茶・麦茶などは比較的安心ですが、コーヒーや紅茶はタンニンを多く含み、歯の表面に着色(ステイン)が付着しやすくなります。歯磨き後すぐは水や無糖のお茶を選び、コーヒー・紅茶は時間をあけてから飲むのがおすすめです。
⚠️ 歯磨き後に避けたい飲み物

🥤 ジュースや炭酸飲料
オレンジジュースやコーラなどの炭酸飲料は酸性度が高く、歯の表面のエナメル質を溶かしてしまう「酸蝕症(さんしょくしょう)」のリスクがあります。また、糖分も多いため、虫歯の原因にもなります。
🍺 アルコール飲料
ビールやチューハイ、カクテルなどは酸性で糖分を含む場合も多く、口腔環境を悪化させる可能性があります。またアルコールは口の乾燥を招くため、虫歯や口臭リスクも上がります。
⚡ スポーツドリンク・エナジードリンク
「健康に良さそう」と思いがちですが、実は高糖分で酸性度も高く、歯磨き後に飲むと歯に大きなダメージを与える代表的な飲み物です。運動後に飲む場合も、ストローを使ったり水でうがいをするなど工夫が必要です。
💡 歯磨き後に飲み物を楽しむ工夫

🕒 飲むタイミングを工夫する
歯磨き直後よりも、少し時間を置いてから飲むのがおすすめです。特に酸性飲料を飲む場合、歯の表面が一時的に弱くなっているため、30分程度間をあけると安心です。
🥤 ストローを活用する
ジュースやコーヒーを飲むときはストローを使うことで、歯に直接触れる量を減らせます。着色や酸蝕を防ぐちょっとした工夫になります。
🚿 うがいを取り入れる
飲んだ後に水で軽くうがいをするだけで、歯に残る糖分や酸を洗い流すことができます。特に着色が気になる方には効果的です。
❓ よくある質問(FAQ)
Q:歯磨き後に牛乳を飲んでもいい?
A:牛乳はカルシウムが豊富で酸性度も低いため、基本的には問題ありません。ただし脂肪分が多い種類は口の中に残りやすいため、飲んだ後に軽くうがいをすると安心です。
Q:寝る前にお茶を飲んでもいい?
A:無糖のお茶なら大きな問題はありません。ただし利尿作用があるので、就寝前は少量にしておくと良いでしょう。
Q:ホワイトニング中でも飲める飲み物は?
A:ホワイトニング直後は色素沈着しやすいため、基本は「水」がベストです。お茶やコーヒーはできるだけ避けた方が白さを保てます。
まとめ
- 歯磨き後に安心して飲めるのは「水」や「無糖のお茶」
- 甘い飲み物や酸性飲料は歯に悪影響を与えるため注意
- 飲むタイミング・ストロー・うがいなど、ちょっとした工夫でリスクを減らせる
歯磨き後の飲み物選びは、日常生活の中で歯を守るための大切なポイントです。正しい知識を身につけて、虫歯や着色を防ぎながら、健康な歯を維持しましょう。
江戸川区篠崎で歯の白さや健康を保ちたい方へ🦷✨

「歯磨き後に何を飲めばいいの?」そんな疑問も、江戸川区篠崎駅南口すぐの当歯科クリニックでご相談ください。地域密着の歯科医院として、毎日の生活習慣から歯の健康をサポートします。
【動画】ステイン着色汚れをクリーニングするエアフロー
筆者・院長

深沢 一
Hajime FUKASAWA
- 登山
- ヨガ
メッセージ
日々進化する歯科医療に対応するため、毎月必ず各種セミナーへの受講を心がけております。
私達は、日々刻々と進歩する医学を、より良い形で患者様に御提供したいと考え、「各種 歯科学会」に所属すると共に、定期的に「院内勉強会」を行う等、常に現状に甘んずる事のないよう精進致しております。 又、医療で一番大切な事は、”心のある診療”と考え、スタッフと共に「患者様の立場に立った診療」を、心がけております。


