- 1. 🦷 セラミックインレーとは?自然で美しい詰め物治療✨
- 1.1. 💡 銀歯との違い
- 1.2. 保険適用の銀歯の症例
- 1.2.1. 🔍 写真の解説
- 1.2.1.1. 右側(写真では左に見える側)
- 1.2.1.2. 左側(写真では右に見える側)
- 1.2.2. 🦷 用語の補足
- 1.3. セラミックインレーの症例
- 1.3.1. 🦷 解説
- 1.3.1.1. ■ セラミックインレーとは
- 1.3.2. 👀 見た目の特徴
- 1.3.3. 💡 コメント
- 1.4. ⚙️ 素材の種類と特徴
- 1.4.1. 🩵 e.max(イーマックス)
- 1.4.2. 🤍 ジルコニア
- 1.4.3. 🩶 ハイブリッドセラミック
- 1.5. 💰 費用と保険適用
- 1.6. 🧩 治療の流れ
- 1.7. ✅ メリットとデメリット
- 1.7.1. メリット
- 1.7.2. デメリット
- 1.8. 🪥 長持ちさせるためのポイント
- 2. 💬 よくある質問(FAQ)
- 3. 🌿 まとめ
- 4. 江戸川区篠崎でセラミック治療をご希望の方へ🦷
- 5. 【動画】ホワイトスポットをアイコンで治す
- 6. 【動画】初期虫歯COを削らずに自分で治す方法
- 7. 筆者・院長

「銀歯が目立つのが気になる」「自然な見た目にしたい」――
そんな方に人気なのが、白くて美しい詰め物「セラミックインレー」です✨
セラミック素材は、天然の歯のような透明感があり、金属アレルギーの心配もありません。
見た目の美しさだけでなく、耐久性・清潔さにも優れた理想的な治療法です。
この記事では、セラミックインレーの特徴・費用・種類・メリットとデメリットを歯科医の視点でわかりやすく解説します🦷
🦷 セラミックインレーとは?自然で美しい詰め物治療✨
💡 銀歯との違い

保険治療で使われる銀歯は、強度はありますが金属色が目立ちやすく、笑ったときに見えるのが気になる方も多いですよね😅
また、経年劣化により歯ぐきが黒ずんだり、金属アレルギーの原因になることもあります。
一方、セラミックインレーは自然な白さで、見た目も清潔感があります✨
変色しにくく、歯ぐきとの境目もなじみやすいため、長期的に美しさを保てます。
保険適用の銀歯の症例
この画像は、下顎の臼歯部(奥歯)を上から見た口腔内写真です。歯の修復状態を示しており、矢印と文字でそれぞれの治療部位が示されています。以下に解説します。

🔍 写真の解説
右側(写真では左に見える側)
- 右下6番(第一大臼歯)
→ 「金属冠」と表示されている部分です。
全体を金属で覆う被せ物(クラウン)が装着されています。
保険診療で一般的に使用される「金銀パラジウム合金(金パラ)」が使われています。
左側(写真では右に見える側)
- 左下4番・5番・6番・7番
→ 「メタルインレー」と表示されています。
これらは歯の一部(咬む面の欠損部分)を金属で補う詰め物です。
こちらも保険適用の金銀パラジウム合金による修復です。
🦷 用語の補足
- メタルインレー(Metal Inlay)
虫歯で削った部分を金属で埋め戻す詰め物。
天然歯の一部が残るため、見た目は部分的な銀色の修復です。 - 金属冠(Metal Crown)
歯全体を覆う金属製の被せ物。
強度が高く、保険での奥歯治療によく使われます。
このように、奥歯の多くが金属で修復されており、保険診療で一般的な銀歯治療が施されています。審美的に気になる場合は、セラミックインレーやジルコニアクラウンなどの白い素材に置き換える選択肢もあります。
セラミックインレーの症例
この画像は、下顎の第2小臼歯(5番)と第1大臼歯(6番)にセラミックインレーが装着されている症例を示しています。
赤い矢印の先にある歯がセラミックインレーです。

🦷 解説
■ セラミックインレーとは
虫歯を削ったあとに詰める「詰め物(インレー)」の一種で、セラミック(陶材)素材で作られています。金属を使わないため、見た目が自然で透明感があり、変色もしにくいのが特徴です。
👀 見た目の特徴
- 5番(左の矢印):やや明るめの色調で、隣の天然歯とも自然に調和しています。
- 6番(右の矢印):境目(辺縁)が非常に滑らかで、どこからどこまでが詰め物かほとんど判別できないほど審美的です。歯肉との適合も良好で、健康的な状態を保っています。
💡 コメント
この症例は、
・色調のマッチング
・辺縁の精密な適合
・咬合面(噛み合わせ)の形態再現
がいずれも高いレベルで仕上がっており、審美性・機能性ともに優れた治療例といえます。
特に6番のインレーは、天然歯と見分けがつかないほど自然で、セラミック治療の完成度の高さをよく示しています。
⚙️ 素材の種類と特徴
セラミックといっても、いくつかの種類があります。
🩵 e.max(イーマックス)
審美性と強度のバランスが取れた素材。透明感があり、前歯や見える部分の奥歯に最適。
🤍 ジルコニア
非常に硬く、割れにくい素材。咬む力が強い奥歯でも安心。やや白さが強めで自然な美しさも◎。
🩶 ハイブリッドセラミック
セラミックと樹脂を混ぜた素材。柔らかく歯にやさしい反面、やや変色しやすいが、コストを抑えたい方におすすめ。
💰 費用と保険適用
セラミックインレーは自費治療に分類されます。
費用の目安は1本あたり 約3〜7万円。
素材や歯の部位によって異なります。
なお、保険が使える「ハイブリッドレジンインレー(CAD/CAMインレー)」もありますが、条件が限られています。
たとえば「上下とも奥歯がすべて残っている」などの指定があり、すべての方が適用になるわけではありません。
🧩 治療の流れ

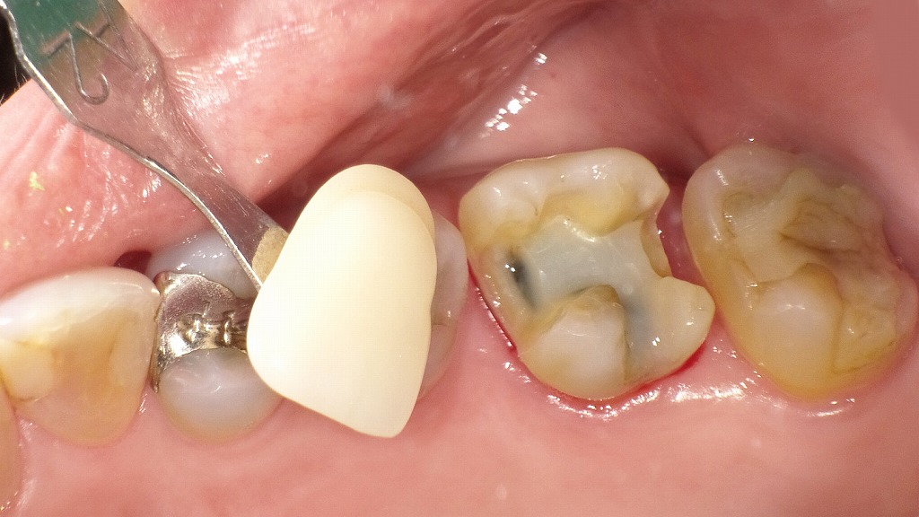
虫歯部分を丁寧に削り、セラミックインレーが適合する形に整えた段階です。隣接歯との調和を図るため、専用のシェードガイドを用いて色を正確に選択しています。
- 虫歯を削り、形を整える
- 型取りまたは口腔内スキャン(デジタル)
- 技工所でセラミックを製作(約1週間)
- 詰め物を装着し、咬み合わせを調整
最新のCAD/CAM技術を用いることで、より精密でぴったり合う詰め物が作れるようになっています。👨⚕️✨
✅ メリットとデメリット
メリット
・天然歯のような自然な見た目🌸
・金属アレルギーの心配がない
・変色や摩耗が少なく長持ち
・汚れが付きにくく清潔を保ちやすい
デメリット
・費用が高め💰
・強い衝撃で欠けることがある
・保険が効かない(自由診療)
🪥 長持ちさせるためのポイント
セラミックインレーを長く使うためには、日々のケアが大切です。
・硬いものをかじらない
・就寝時の歯ぎしりがある方はナイトガードを装着
・定期的に歯科検診・クリーニングを受ける🦷
これらを守ることで、10年以上長持ちするケースも多くあります。
💬 よくある質問(FAQ)
Q. セラミックインレーはどれくらい持ちますか?
→ 適切にケアすれば10年以上使えることもあります。
Q. 割れたり欠けたりしたら?
→ 早めに再接着や再作製で対応できます。放置はNGです⚠️
Q. ホワイトニングと合わせられますか?
→ ホワイトニング後の歯の色に合わせて作ると、より自然に仕上がります✨
🌿 まとめ

セラミックインレーは、見た目・機能・健康面のすべてを重視した「ワンランク上の詰め物治療」です。
銀歯が気になる方や、長くきれいな歯を保ちたい方にとって最適な選択肢といえるでしょう。
江戸川区篠崎駅近くの当歯科クリニックでは、経験豊富な歯科医師が一人ひとりに合った治療をご提案しています🦷✨
江戸川区篠崎でセラミック治療をご希望の方へ🦷

当歯科クリニックでは、見た目だけでなく「噛みやすさ」や「耐久性」にもこだわったセラミック治療を行っています✨
CAD/CAM技術を活用し、精密なフィット感と自然な仕上がりを実現。
e.maxやジルコニアなど複数の素材から、患者さまの歯の状態・ご希望・ご予算に合わせて最適なものをご提案します。
「銀歯を白くしたい」「自然な見た目にしたい」
そんな方はぜひ一度ご相談ください😊
【動画】ホワイトスポットをアイコンで治す
【動画】初期虫歯COを削らずに自分で治す方法
筆者・院長

深沢 一
Hajime FUKASAWA
- 登山
- ヨガ
メッセージ
日々進化する歯科医療に対応するため、毎月必ず各種セミナーへの受講を心がけております。
私達は、日々刻々と進歩する医学を、より良い形で患者様に御提供したいと考え、「各種 歯科学会」に所属すると共に、定期的に「院内勉強会」を行う等、常に現状に甘んずる事のないよう精進致しております。 又、医療で一番大切な事は、”心のある診療”と考え、スタッフと共に「患者様の立場に立った診療」を、心がけております。


