- 1. 🦷インプラントは絶対ダメ?後悔する前に知るべき真実
- 1.1. ⚠️なぜ「インプラントは絶対ダメ」と言われるのか?
- 1.2. インプラントの症例
- 1.2.1. 🔍 解説
- 1.2.1.1. ■ 手術部位
- 1.2.1.2. ■ 見えている構造
- 1.2.1.3. ■ 状態のポイント
- 1.2.1.4. 🦷 今後の流れ(一般的な工程)
- 1.2.2. 🔍 解説
- 1.2.2.1. ■ 撮影条件
- 1.2.2.2. ■ 見えている構造
- 1.2.3. 🦷 評価ポイント
- 1.2.4. ✅ 総合評価
- 1.3. 💀インプラントが「ダメ」と言われるリスク
- 1.3.1. 🩸1. 外科手術による感染・神経損傷のリスク
- 1.3.2. 💰2. 治療費が高く経済的負担が大きい
- 1.3.3. 🦠3. メンテナンスを怠ると「インプラント周囲炎」に
- 1.4. 🚫インプラントを「やってはいけない」人の特徴
- 1.5. 💡それでもインプラントが向いている人
- 1.6. 🧠インプラントで失敗しないためのポイント
- 1.6.1. 🏥1. 経験豊富な歯科医院を選ぶ
- 1.6.2. 🧴2. 手術後のケアを徹底する
- 1.6.3. 🪥3. 定期的なメンテナンスで長持ち
- 2. 🔄インプラント以外の選択肢も比較しよう
- 2.1. ブリッジの実例から考える最適な治療選択
- 2.2. 抜歯後の選択肢|保険適用の部分入れ歯
- 3. 🌈まとめ|「絶対ダメ」ではなく「正しく選ぶ」が大切
- 4. 江戸川区篠崎で「インプラントで失敗した」「やめたほうがいい?」と不安な方へ🏥
- 5. 【動画】奥歯を抜歯したまま放置すると?
- 6. 筆者・院長

「インプラントは絶対やめたほうがいい」「危険で後悔する人が多い」といった情報を見て、不安に感じていませんか?
確かに、インプラントには手術や費用のリスクがありますが、正しい知識と準備をすれば安全で快適な治療法です。
この記事では、「絶対ダメ」と言われる理由から、実際に向かない人・成功する人の違いまで、歯科医の視点でわかりやすく解説します🦷✨
🦷インプラントは絶対ダメ?後悔する前に知るべき真実
⚠️なぜ「インプラントは絶対ダメ」と言われるのか?
SNSや口コミで「インプラントで痛い思いをした」「腫れが引かない」といった声を見かけます。
これらの多くは、術前の検査不足や不適切なアフターケアが原因です。
また、担当医の技術差も大きく、経験の少ない医院で手術を受けるとトラブルが起こることがあります。
インプラントの症例
この写真は、下顎右側第1小臼歯(4番)部にインプラントを埋入した直後の術中写真です。矢印の先に見えている金属部分が、**インプラントフィクスチャー(人工歯根)**の上面です。

🔍 解説
■ 手術部位
- 位置:下顎右側4番(第1小臼歯)相当部
- 目的:失われた歯を補うためのインプラント体埋入
■ 見えている構造
- 中央の金属部(矢印):
インプラント本体の上部です。
この部分には後日、アバットメント(支台)や人工歯(上部構造)が接続されます。 - 周囲の歯肉切開部:
手術により粘膜・骨膜を剥離し、骨面が露出しています。
インプラント体が適切な深さに埋入されていることが確認できます。 - 隣在歯(3番・5番):
支持骨や隣接面との距離が確保されており、位置関係は良好です。
■ 状態のポイント
- 歯槽骨内に垂直にフィクスチャーが固定されており、
歯軸方向と平行に設置されているのが分かります。 - 出血は少なく、術野は清潔で視野確保が良好です。
- この段階ではまだ縫合前で、ヒーリングキャップも装着されていません。
🦷 今後の流れ(一般的な工程)
- 埋入後、約2〜3か月の骨結合(オッセオインテグレーション)期間をおく。
- 結合が確認された後、2次手術でアバットメントを装着。
- 歯肉治癒後に人工歯(クラウン)を装着して噛み合わせを回復。
この画像は、下顎右側第1小臼歯(4番)部にインプラント上部構造を装着した後のパノラマX線写真です。矢印が示す部分が埋入されたインプラントフィクスチャーで、骨との結合状態(オッセオインテグレーション)が良好であることを確認できます。

🔍 解説
■ 撮影条件
- 画像種類:パノラマX線写真
- 撮影タイミング:上部構造(人工歯冠)装着後
- 目的:インプラントの位置・骨結合状態・周囲歯との関係を確認するため
■ 見えている構造
- 矢印部(インプラント体):
チタン製のフィクスチャーが下顎骨内に垂直に埋入されています。ネジ山が明瞭に確認でき、骨との密着も均一です。 - 上部構造(人工歯):
白く写っている部分がクラウン(補綴物)で、周囲歯と調和した高さ・形態で装着されています。 - 周囲骨との関係:
インプラント周囲に明らかな骨吸収像や透過像が認められず、骨結合(オッセオインテグレーション)は良好と判断されます。
🦷 評価ポイント
| 項目 | 評価内容 |
|---|---|
| インプラント軸 | 咬合平面に対して良好に垂直方向に配置 |
| 骨レベル | ネック部まで骨が維持されており吸収なし |
| 周囲歯との距離 | 適正に保たれ、隣接歯への影響なし |
| 補綴物形態 | 咬合接触および隣接関係が自然 |
✅ 総合評価
- フィクスチャーの骨結合(オッセオインテグレーション)は良好。
- 骨吸収、異常陰影は見られません。
- 咬合および歯列バランスも整っており、長期的安定が期待できる状態です。
💀インプラントが「ダメ」と言われるリスク

🩸1. 外科手術による感染・神経損傷のリスク
インプラントは顎の骨に人工歯根を埋め込む外科手術です。
衛生管理が不十分だったり、骨の位置を誤ると神経を傷つけるリスクがあります。
💰2. 治療費が高く経済的負担が大きい
保険が効かないため、1本30〜50万円ほどが相場。
ローンを組む方も多く、費用面で後悔するケースも少なくありません。
🦠3. メンテナンスを怠ると「インプラント周囲炎」に
定期検診をサボると、歯周病のように炎症が起き、せっかく入れたインプラントが抜け落ちることも。
ケア次第で寿命が大きく変わる治療です。
🚫インプラントを「やってはいけない」人の特徴

- 糖尿病や高血圧など、全身疾患がコントロールできていない人
- 喫煙習慣があり、血流が悪い人
- 顎の骨が薄く、骨造成手術が必要な人
- 成長期の子ども、妊娠中の女性
これらに該当する方は、他の治療法を検討するのが安全です。
💡それでもインプラントが向いている人
- 入れ歯が合わず、ズレたり痛みがある人
- 健康な骨と歯ぐきを持っている人
- 定期的に通院でき、清潔な口腔環境を保てる人
条件を満たしていれば、10年以上快適に使えるケースも多くあります。
🧠インプラントで失敗しないためのポイント

🏥1. 経験豊富な歯科医院を選ぶ
CT撮影やシミュレーションを行い、神経・骨の位置を正確に把握する医院を選びましょう。
🧴2. 手術後のケアを徹底する
抗菌薬の服用、口腔清掃、禁煙は必須。
「入れて終わり」ではなく、一生付き合う歯として管理が必要です。
🪥3. 定期的なメンテナンスで長持ち
3〜6ヶ月ごとの検診・クリーニングを欠かさないことで、トラブルを未然に防げます。
🔄インプラント以外の選択肢も比較しよう
| 治療法 | メリット | デメリット |
|---|---|---|
| ブリッジ | 手術不要・短期間で完了 | 隣の歯を削る必要あり |
| 入れ歯 | 費用が安く保険適用可 | 違和感・外れやすい |
| インプラント | 見た目・噛み心地が自然 | 手術・費用・メンテ必須 |
自分に合った治療法を選ぶことが、後悔しない第一歩です。
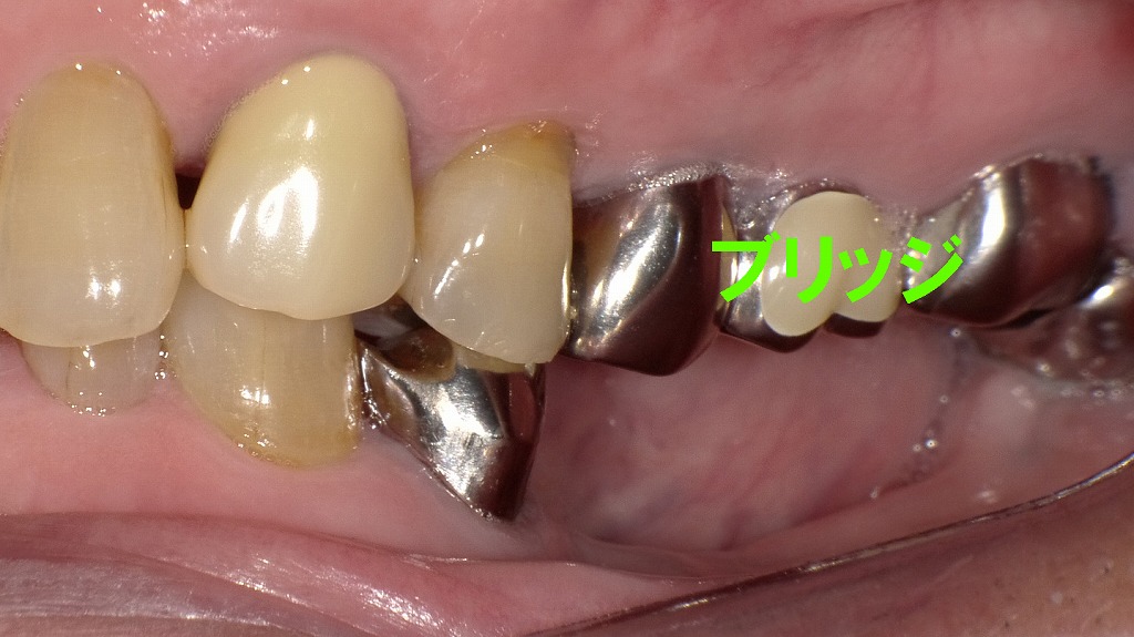
ブリッジの実例から考える最適な治療選択

一見問題なく見えても、ブリッジは支台歯への負担増加や清掃のしにくさ、将来的なむし歯・歯周病のリスクが高まることがあります。
インプラントが「絶対ダメ」と思い込む前に、現在の支台歯の状態や残存歯の負担、長期的な予後を総合的に考えることが大切です。
抜歯後の選択肢|保険適用の部分入れ歯

奥歯を抜歯した後の治療法のひとつが、保険適用の部分入れ歯です。写真は、金属のバネ(クラスプ)で歯に固定し、上顎はパラタルバーで安定性を高めた設計です。比較的早く作製でき、費用を抑えられる点がメリットですが、装着感や見た目、噛む力には限界があります。抜歯後は放置せず、口腔内の状態やライフスタイルに合った補綴方法を検討することが大切です。
🌈まとめ|「絶対ダメ」ではなく「正しく選ぶ」が大切
インプラントは万能でもなければ危険な治療でもありません。
体の状態、生活習慣、予算を踏まえて正しい判断をすることが重要です。
不安を抱えたまま決めるのではなく、信頼できる歯科医師に相談してから判断しましょう。
江戸川区篠崎で「インプラントで失敗した」「やめたほうがいい?」と不安な方へ🏥

インプラントは“絶対ダメ”ではありませんが、人によっては向かない治療です。
江戸川区篠崎の当歯科クリニックでは、患者さまの体調・骨の状態・生活習慣を丁寧に確認し、
「後悔しない選択」ができるようサポートしています😊
【動画】奥歯を抜歯したまま放置すると?
筆者・院長

深沢 一
Hajime FUKASAWA
- 登山
- ヨガ
メッセージ
日々進化する歯科医療に対応するため、毎月必ず各種セミナーへの受講を心がけております。
私達は、日々刻々と進歩する医学を、より良い形で患者様に御提供したいと考え、「各種 歯科学会」に所属すると共に、定期的に「院内勉強会」を行う等、常に現状に甘んずる事のないよう精進致しております。 又、医療で一番大切な事は、”心のある診療”と考え、スタッフと共に「患者様の立場に立った診療」を、心がけております。


