- 1. 【🎬44秒】もしかして家族にうつしてる?歯周病の意外な感染ルートとは
- 2. 🧠歯周病はうつる病気?そのメカニズムを解説
- 2.1. 🔬歯周病は“感染症”である理由
- 2.2. 🦠代表的な歯周病菌(P. gingivalisなど)の特徴
- 2.3. 🧬遺伝との関係:体質はうつる?菌はうつる?
- 3. 歯周病はキスでうつる? Before→Afterで見る“感染リスク”と改善への道
- 3.1. ■ 歯周病はキスでうつる? 歯ぐきの状態から見える感染リスク
- 3.1.1. ① 歯頚部(歯と歯ぐきの境目)に大量のプラーク(歯垢)
- 3.1.2. ② 黒褐色の歯石(特に下顎前歯部・上顎臼歯部近心)
- 3.1.3. ③ 歯肉の発赤・腫脹(歯肉炎)
- 3.1.4. ④ 歯周病の進行が疑われる所見
- 3.1.5. ⑤ 咬耗・変色・古い補綴物の不調和
- 3.1.6. ■ 総合的な評価
- 3.1.7. ■ 歯科的に考えられる必要な処置
- 3.2. ■ 感染する歯周病、予防できる歯ぐきへ。ケア後の実例
- 3.2.1. ① プラークコントロールが良好になっている
- 3.2.2. ② 歯石除去後の状態
- 3.2.3. ③ 歯ぐきが下がっている(歯肉退縮)
- 3.2.4. ④ 歯肉の炎症が改善している
- 3.2.5. ■ 総合評価
- 3.2.6. ■ 今後必要なケア
- 4. 💋歯周病はどうやって人にうつるの?
- 4.1. 🍽キス・食器の共用など日常的な感染経路
- 4.2. 👶母子感染のリスクとは?赤ちゃんへの影響
- 4.3. 💑夫婦・パートナー間での感染可能性
- 4.4. 🪥歯ブラシの共用や保管方法によるリスク
- 5. 📈歯周病がうつる確率は?最新研究とデータ
- 5.1. 🔎国内外の研究データとエビデンス
- 5.1.1. 🇯🇵 日本のデータ
- 5.1.2. 🇺🇸 アメリカのデータ
- 5.2. 🧪うつりやすい人の特徴(口腔内環境、免疫力など)
- 6. 🛡️歯周病をうつさない・うつらないための対策
- 6.1. 🪥家庭でできる口腔ケアの工夫
- 6.2. 🧴殺菌・抗菌効果のある歯磨き粉やうがい薬の活用
- 6.3. 🏥感染リスクが高い人が定期的に行うべきプロケア
- 7. 👶子どもへの感染を防ぐためにできること
- 7.1. 🍼乳幼児への口移し・共有行動を見直す
- 7.2. 🧸親の口腔ケアが子どもの将来を守る
- 8. 💬よくある質問Q&A
- 8.1. ❓虫歯菌と歯周病菌、うつりやすいのはどっち?
- 8.2. ❓歯周病が自然に治ることはある?
- 8.3. ❓感染した場合、どのくらいで症状が出る?
- 9. 📝まとめ|歯周病は“うつる”からこそ、正しい知識と予防が大切
- 10. 🦷歯周病はうつるってご存知ですか? 江戸川区篠崎でご家族の健康を守る歯科医院です
- 11. 【動画】歯石は自分で取れる?
- 12. 筆者・院長

✏️「歯周病って、うつるの?」
そんな疑問をお持ちの方は少なくありません。実は歯周病は、唾液を介して人から人へ感染する可能性のある“感染症”です。恋人やご家族とのキス、食器の共用、歯ブラシの保管状況など、日常のちょっとした行動が感染の原因になることも。
本記事では、歯周病の感染メカニズムから予防法、最新の研究データまで詳しく解説します。
【🎬44秒】もしかして家族にうつしてる?歯周病の意外な感染ルートとは
🧠歯周病はうつる病気?そのメカニズムを解説
「歯周病は人にうつるの?」という疑問は、多くの方が一度は抱くテーマです。結論から言うと、歯周病は細菌による“感染症”であり、人から人へうつる可能性があります。ただし、インフルエンザのような空気感染とは異なり、唾液や口腔内の接触を通じて時間をかけて感染が進むのが特徴です。

🔬歯周病は“感染症”である理由
歯周病は、歯と歯ぐきの境目に付着するプラーク(歯垢)に潜む細菌が原因で起こります。代表的な歯周病菌には、**P. gingivalis(ポルフィロモナス・ジンジバリス)**をはじめとする、強い炎症性を持つ菌が多数存在しています。
これらの菌は唾液や口腔内の接触によって他人の口の中にも移動し、同じように歯周組織に炎症を起こす可能性があるため、「感染症」として分類されます。
🦠代表的な歯周病菌(P. gingivalisなど)の特徴
以下のような菌が歯周病の発症・進行に関与しています:
- P. gingivalis(ポルフィロモナス・ジンジバリス)
・嫌気性菌で、酸素のない環境で繁殖
・歯ぐきの炎症や組織破壊を引き起こす毒素を産生
・血流を介して全身疾患とも関係(心疾患・糖尿病など) - T. forsythia(タネレラ・フォーサイシア)
・慢性歯周炎の患者で高頻度に見られる
・免疫応答を回避しながら歯周ポケット内に潜伏 - A. actinomycetemcomitans(アクチノバチルス)
・若年性歯周炎の原因菌として有名
・白血球を破壊する毒素(ロイコトキシン)を持つ
これらの菌はいずれも唾液中に存在し、家族・パートナーとの接触でうつる可能性があります。
🧬遺伝との関係:体質はうつる?菌はうつる?
歯周病の発症には、「細菌への感染」と「個人の体質(免疫応答)」の両方が関係します。
- 遺伝するのは「歯周病になりやすい体質」 ・免疫力の弱さや炎症反応の出やすさ ・骨の構造や歯並びによる汚れの溜まりやすさ
- うつるのは「歯周病菌」 ・口腔内にすでに歯周病菌が存在していなければ感染しない
・ただし、家族間の唾液接触で菌が移動することは十分ある
つまり、「体質は親から子へ遺伝しやすく、菌は接触でうつる」というのが現在の歯科医学の見解です。
歯周病はキスでうつる? Before→Afterで見る“感染リスク”と改善への道
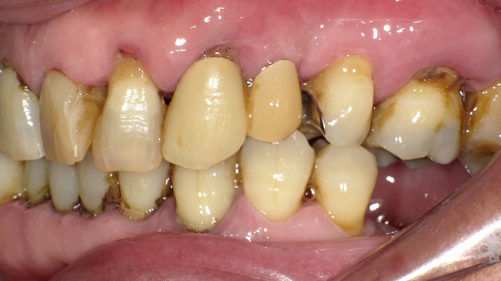
■ 歯周病はキスでうつる? 歯ぐきの状態から見える感染リスク
この口腔内写真では、複数の歯に以下のような特徴がみられます。

① 歯頚部(歯と歯ぐきの境目)に大量のプラーク(歯垢)
- 黄白色のベタついた付着物が多数の歯の歯頚部に見られます。
- プラークは細菌の塊で、歯肉炎・歯周炎の主原因になります。
② 黒褐色の歯石(特に下顎前歯部・上顎臼歯部近心)
- 歯の側面に黒色〜濃褐色の固まった沈着物が見られます。
- これは縁下歯石と呼ばれることが多く、タバコのヤニや血液成分と反応して黒く変色します。
- ブラッシングでは取れず、専門的スケーリング/ルートプレーニングが必要です。
③ 歯肉の発赤・腫脹(歯肉炎)
- 歯肉が赤く腫れ、境界が丸みを帯びています。
- プラーク刺激により炎症が起きている典型所見です。
- 出血しやすい状態です。
④ 歯周病の進行が疑われる所見
- 歯石の量が多く、歯肉退縮や歯根露出が局所的に認められます。
- 一部歯が前後方向に傾斜・移動しており、歯周組織の支持力低下が疑われます。
- 歯の動揺が起きています。
⑤ 咬耗・変色・古い補綴物の不調和
- 複数歯で咬耗(すり減り)があり、茶色いステインが付着。
- 古い被せ物と天然歯の境目にもプラークがたまりやすい状態となっています。
■ 総合的な評価
この症例は、中等度〜重度の歯周病が進行した状態を示しています。
- プラークと歯石の大量付着
- 歯肉の炎症所見
- 歯の変位(動揺が疑われる)
- 歯頚部の歯周組織破壊
これらはすべて歯周病の典型的なサインです。
■ 歯科的に考えられる必要な処置
- 徹底したスケーリング・ルートプレーニング(縁上・縁下歯石の除去)
- 歯周精密検査(歯周ポケット測定・動揺度・X線)
- 歯周基本治療(ブラッシング指導を含む)
- 必要に応じて歯周外科治療
- 補綴治療の見直し
■ 感染する歯周病、予防できる歯ぐきへ。ケア後の実例

① プラークコントロールが良好になっている
- 歯頚部(歯と歯ぐきの境目)の黄白色のプラークがほとんど見られません。
- 表面が比較的クリアで、前回の状態と比べて自宅でのブラッシング精度が向上していると考えられます。
② 歯石除去後の状態
- 黒色・褐色の縁下歯石や縁上歯石が明らかに減少しています。
- 下顎前歯部・臼歯部ともに、歯面が滑沢になっており、スケーリング/ルートプレーニングが行われた後の典型的な状態です。
③ 歯ぐきが下がっている(歯肉退縮)
- 歯根の一部が露出しており、歯肉退縮が確認できます。
- これは以下の要因が関与することが多いです:
- 長期的な歯周病による歯周組織破壊
- 歯石除去後、腫れが引いたことで歯肉ラインが本来の位置へ戻る
- 見た目は「歯が伸びた」と感じる場合がありますが、炎症改善のプロセスでよく見られます。
④ 歯肉の炎症が改善している
- 歯肉が赤く腫れぼったかった前回に比べ、今回はピンク色に近づき、引き締まった形態になっています。
- 歯間乳頭の丸みが減り、シャープな形態に戻ってきているのが特徴です。
- 出血しやすい状態は改善していると推測されます。
■ 総合評価
今回の画像は、歯周基本治療が奏功し、炎症が軽減して健康的な歯肉に改善している過程を示しています。
- プラークコントロール良好
- 歯石除去後の滑らかな歯面
- 炎症が取れて歯肉が引き締まる
→結果として歯肉退縮が見えやすい
これは歯周治療が正しく進んでいるサインです。この様に治療と毎日のケアで歯ぐきの炎症が改善すると、口腔内の細菌量が減り、歯周病の“感染リスク”を大きく下げることができます。
■ 今後必要なケア
- 引き続き丁寧なブラッシング(特に歯頚部)
- フロス・歯間ブラシの併用
- 定期的なメインテナンス(1〜3ヶ月)
- 知覚過敏が出た場合は、コーティング材や知覚過敏抑制剤の検討
💋歯周病はどうやって人にうつるの?
歯周病は空気感染や飛沫感染ではなく、唾液を介した「接触感染」が主な感染経路です。口腔内に棲む歯周病菌は、キスや食器の共用などを通して他人の口の中に入り込み、定着してしまうことがあります。

🍽キス・食器の共用など日常的な感染経路
家族や恋人との日常生活の中で、以下のような場面が歯周病菌の感染リスクとなります:
- キスや口移し → 唾液を通じて直接的に菌が移動
- 食器・コップの共用 → フォークやスプーンの使い回し、飲み物の回し飲み
- ペットボトルの共有や箸の使い回し
→ 口腔内の菌が食器を介して他者にうつる
こうした行動は一度きりでは感染しにくいものの、繰り返すことで菌が定着しやすくなります。
👶母子感染のリスクとは?赤ちゃんへの影響
乳幼児は免疫が未熟なため、口腔内細菌の影響を受けやすいです。特に以下のような行動が母子感染の原因になります:

- 食べ物の口移し
- スプーンの共用
- おしゃぶりを親の口でくわえてから与える
赤ちゃんの口の中はほぼ無菌状態で生まれてきますが、親からの接触で歯周病菌や虫歯菌が移ることで、将来的な歯周病リスクが高まるとされています。
💑夫婦・パートナー間での感染可能性
恋人や配偶者とのキスや濃厚な接触は、歯周病菌の感染を高める原因になります。
- 特に長期的に同じ相手と暮らす場合、口腔内環境が似通っていく傾向があり、
- 一方が歯周病を放置していると、もう一方に時間をかけて感染してしまう可能性があります。
夫婦やカップルで一緒に歯科検診を受け、同時に口腔ケアを行うことが大切です。
🪥歯ブラシの共用や保管方法によるリスク
意外と見落とされがちなのが歯ブラシ周りの感染リスクです。
- 歯ブラシの共用は厳禁! → 唾液・血液を介して菌が付着
- 同じコップでの立てかけや、密接した保管
→ 濡れた状態で菌が移動しやすくなる
🧴乾燥した個別保管と**定期的な交換(1か月に1回程度)**が感染予防に効果的です。
📈歯周病がうつる確率は?最新研究とデータ
歯周病は、唾液を介して人から人へ感染する可能性のある疾患です。ただし、感染の確率は個人の口腔内環境や生活習慣、免疫力などにより大きく異なります。以下に、国内外の研究データと、感染リスクを高める要因について詳しく解説します。
🔎国内外の研究データとエビデンス
🇯🇵 日本のデータ
厚生労働省の「令和4年歯科疾患実態調査」によると、**歯周ポケットの深さが4mm以上の歯を持つ人の割合は全体で47.9%**と報告されています。これは、約2人に1人が中等度以上の歯周病を抱えていることを示しています。年齢が上がるにつれて罹患率も高まる傾向があり、特に高齢者層での割合が増加しています。日本生活習慣病予防協会+1厚生労働省+1
🇺🇸 アメリカのデータ
米国国立歯科頭蓋顔面研究所(NIDCR)の調査によれば、30歳以上の成人の42.2%が歯周病を患っており、そのうち7.8%が重度の歯周病とされています。特に、喫煙者や糖尿病患者、低所得層での罹患率が高いことが報告されています。また、定期的な歯科受診やフロスの使用が少ない人ほど、歯周病の罹患率が高まる傾向が見られます。
🧪うつりやすい人の特徴(口腔内環境、免疫力など)
歯周病菌が口腔内に侵入しても、必ずしも発症するわけではありません。以下のような要因があると、感染リスクが高まります:

- 不十分な口腔ケア:歯磨きやフロスの使用が不十分だと、プラークが蓄積しやすくなります。
- 喫煙:喫煙は歯周組織の血流を悪化させ、免疫力を低下させます。
- 糖尿病:血糖値のコントロールが不十分だと、感染に対する抵抗力が弱まります。
- ストレスや睡眠不足:これらは免疫機能を低下させ、感染リスクを高めます。
- 遺伝的要因:歯周病に対する感受性は遺伝することがあります。
これらの要因を持つ人は、歯周病菌に感染しやすく、また発症・進行のリスクも高まります。そのため、日常的な口腔ケアの徹底と、定期的な歯科検診が重要です。
🛡️歯周病をうつさない・うつらないための対策
歯周病は唾液を介して感染する慢性の感染症ですが、適切な予防とケアを行えば感染リスクを大幅に抑えることが可能です。特に、家族やパートナーと過ごす時間が長い方は、お互いの健康を守るために日頃の口腔ケアを徹底することが大切です。

🪥家庭でできる口腔ケアの工夫
毎日のケアが、歯周病予防の第一歩です。以下のポイントを意識しましょう:
- 歯磨きは1日2回以上、正しいブラッシング法で
- 歯周ポケットに届くように45度の角度で歯ブラシを当てる
- 歯間ブラシやデンタルフロスの併用
- 歯と歯の間に残るプラークは通常の歯ブラシだけでは除去しきれません
- 舌の清掃も忘れずに
- 舌苔には細菌が多く含まれているため、舌ブラシで優しくケアを
また、家族間での歯ブラシの共用や近くに並べて保管することは避け、菌の移動を防ぐことも重要です。
🧴殺菌・抗菌効果のある歯磨き粉やうがい薬の活用
市販の口腔ケア用品の中には、歯周病菌に効果のある成分が含まれた製品が多数あります。
- CPC(塩化セチルピリジニウム)やクロルヘキシジン配合のうがい薬は殺菌効果が高い
- **IPMP(イソプロピルメチルフェノール)**配合の歯磨き粉は歯周病菌の増殖を抑制
- フッ素入り製品で虫歯予防も同時に
使用時は「用法・用量を守る」「長期使用は歯科医に相談」といった注意点も忘れずに。
🏥感染リスクが高い人が定期的に行うべきプロケア
以下のような方は歯周病にかかりやすく、重症化しやすいため、プロによるケアが必須です:
- 歯周病の既往がある方
- 糖尿病・高血圧などの持病がある方
- 妊娠中や喫煙習慣がある方
- ご家族に重度の歯周病歴がある方
歯科医院での**定期的なスケーリング(歯石除去)やPMTC(プロによるクリーニング)**を受けることで、感染リスクを抑え、再発防止につながります。
👶子どもへの感染を防ぐためにできること
赤ちゃんの口の中は、生まれた直後はほぼ無菌の状態です。しかし、親や周囲の大人の行動によって、歯周病菌や虫歯菌が口腔内に入り込むことがあります。歯周病は子どもにも感染する可能性があるため、親の口腔環境を整えることが何よりの予防になります。
🍼乳幼児への口移し・共有行動を見直す
赤ちゃんとのスキンシップの中で、次のような行動は注意が必要です:
- 食べ物の「口移し」や同じ箸・スプーンの使用
- おしゃぶりを自分の口でなめてから与える
- コップや飲み物の回し飲み
これらの行動を繰り返すことで、親の唾液を通じて歯周病菌がうつる可能性があります。
「かわいいからつい...」とやりがちな行為も、子どもの将来の口腔健康に影響を与えることを知っておくことが大切です。
🧸親の口腔ケアが子どもの将来を守る
お子さまを歯周病から守るには、まず親自身が健康な口腔環境を保つことが重要です。
- 毎日の正しいブラッシングと歯間ケアの徹底
- 歯周病の定期検診とプロフェッショナルクリーニング
- 歯ぐきの出血や口臭など、初期症状を放置しない
親の口腔内が清潔であればあるほど、子どもへの感染リスクは確実に減少します。
🧡将来、子どもが虫歯や歯周病で苦しまないためにも、「親子で予防する」意識が何よりの予防策です。
💬よくある質問Q&A
❓虫歯菌と歯周病菌、うつりやすいのはどっち?
どちらの菌も唾液を介してうつる感染性の細菌ですが、以下の違いがあります:
| 虫歯菌(ミュータンス菌) | 歯周病菌(P. gingivalisなど) | |
|---|---|---|
| 感染時期 | 主に乳歯が生える1歳半〜3歳頃 | 年齢問わず、生涯いつでも |
| 感染経路 | 親からのスプーン共有・口移し | キス・食器共有・歯ブラシ接触など |
| 定着しやすさ | 比較的定着しやすい | 定着には継続的な接触が必要 |
| 発症スピード | 比較的早く虫歯に発展 | ゆっくり進行し、重症化まで時間がかかる |
🦷 うつりやすさの点では虫歯菌の方がやや上ですが、歯周病菌も繰り返しの接触で十分感染する可能性があります。
❓歯周病が自然に治ることはある?
残念ながら、歯周病は自然には治りません。
初期の歯肉炎の段階であれば、丁寧なブラッシングと歯科医院でのクリーニングにより改善が期待できますが、歯槽骨が破壊されてしまう中等度〜重度の歯周病では自然治癒は不可能です。
🩺 そのため、出血・腫れ・口臭などの症状があれば早めに受診し、進行を止めることが大切です。
❓感染した場合、どのくらいで症状が出る?
歯周病菌に感染しても、すぐに症状が現れるわけではありません。
- 初期段階では自覚症状がほとんどないため、多くの人が気づきません
- 数か月〜数年かけて少しずつ歯ぐきに炎症が広がり、出血・腫れ・口臭・歯のぐらつきといった症状が進行して現れます
⏳ 気づいた時にはかなり進行していた、というケースが非常に多いため、定期的な歯科検診が重要です。
📝まとめ|歯周病は“うつる”からこそ、正しい知識と予防が大切
歯周病は、唾液を介してうつる感染症です。
家族やパートナー、そして将来を担う子どもたちにまで影響を及ぼす可能性があるため、「自分だけの問題ではない」ことを意識することが大切です。
- 正しい歯磨き習慣を身につける
- 家族やパートナーと口腔ケアを共有する
- 定期的な歯科検診を欠かさない
これらの予防行動を積み重ねることで、歯周病の発症や感染リスクを大幅に下げることが可能です。
🦷口腔内の健康は、自分だけでなく周囲の大切な人を守ることにつながります。
「うつさない」「うつらない」ために、今日からできるケアを始めてみませんか?
🦷歯周病はうつるってご存知ですか? 江戸川区篠崎でご家族の健康を守る歯科医院です

歯周病は、唾液を通じて家族やパートナーにうつる“感染症”です。とくに小さなお子さまやご高齢の方は、感染リスクが高いため注意が必要です。
当院では、江戸川区篠崎エリアで歯周病の早期発見・予防に力を入れた診療を行っております。大切なご家族への感染を防ぐためにも、ぜひ一度、歯ぐきの状態をチェックしてみませんか?
🌿ご自身の健康と、大切な人の笑顔を守るために。お気軽にご相談ください!
【動画】歯石は自分で取れる?
筆者・院長

深沢 一
Hajime FUKASAWA
- 登山
- ヨガ
メッセージ
日々進化する歯科医療に対応するため、毎月必ず各種セミナーへの受講を心がけております。
私達は、日々刻々と進歩する医学を、より良い形で患者様に御提供したいと考え、「各種 歯科学会」に所属すると共に、定期的に「院内勉強会」を行う等、常に現状に甘んずる事のないよう精進致しております。 又、医療で一番大切な事は、”心のある診療”と考え、スタッフと共に「患者様の立場に立った診療」を、心がけております。


