- 1. 歯磨きのタイミングはいつがベスト?🦷✨
- 1.1. 歯磨きの基本回数と推奨タイミング⏰
- 1.1.1. 朝起きてすぐの歯磨き
- 1.1.2. 食後の歯磨き
- 1.1.3. 就寝前の歯磨き(最重要!)
- 2. 歯磨きはいつが効果的?歯石・歯周病を防ぐベストなタイミング
- 2.1. 🔍 なぜ寝る前の歯磨きが大事?歯石が付く仕組みと正しいケア
- 2.1.1. 主なポイント
- 2.2. 🦷 なぜ「歯磨きのタイミング」が重要なのか
- 2.2.1. ▶ 歯垢→歯石の流れ
- 2.3. ⏰ ベストな歯磨きタイミング
- 2.3.1. ✅ もっとも大事なのは「夜寝る前」
- 2.4. 🪥 歯周病予防に必須のケア
- 3. 食後すぐに磨くのは正しい?間違い?🤔
- 3.1. 酸性飲食後の注意点
- 3.2. すぐ磨いたほうが良い場合
- 3.3. 実生活での工夫
- 4. 歯磨きのベストタイミングを生活シーン別に解説🗓️
- 4.1. 朝食前 vs 朝食後
- 4.2. 昼食後の歯磨き
- 4.3. 夜の歯磨きとフロス・マウスウォッシュ
- 5. 正しい歯磨き習慣を続けるための工夫💡
- 5.1. 磨き残しを防ぐ順番と時間
- 5.2. デンタルフロス・歯間ブラシのタイミング
- 5.3. セルフチェック法
- 6. プラークスコアで歯磨き精度を向上
- 6.1. 染め出しチェック
- 6.1.1. 🩸1枚目:初めての染め出し
- 6.1.2. 🌿2枚目:改善後の染め出し
- 6.2. プラークスコア
- 6.2.1. 🩸1枚目:初めての染め出し(4月23日)
- 6.2.2. 🌿2枚目:改善後(10月16日)
- 6.2.3. 📊まとめ
- 7. よくある質問(FAQ)🙋♀️
- 8. まとめ📝
- 9. 🏥江戸川区篠崎で歯磨きのタイミングを知りたい方へ
- 10. 【動画】ステイン着色汚れをクリーニングするエアフロー
- 11. 筆者・院長

「歯磨きは1日2〜3回」と言われますが、実際には“いつ”磨くのが効果的かご存じでしょうか?🪥
朝起きてすぐ?食後?それとも寝る前?──タイミングによって虫歯や歯周病の予防効果が変わることがあります。
この記事では、歯科医師の視点から正しい歯磨きのタイミングを分かりやすく解説します😊。
歯磨きのタイミングはいつがベスト?🦷✨
歯磨きの基本回数と推奨タイミング⏰

朝起きてすぐの歯磨き
睡眠中は唾液の分泌が減り、口の中に細菌が繁殖しやすくなります。朝起きたときの口臭やネバつきは、この細菌の影響です🦠。
👉 朝は朝食前に歯磨きをして、口内の細菌をリセットすることがおすすめです。
食後の歯磨き
食事をすると、口内は酸性に傾き虫歯になりやすい環境になります。特に糖質を含む食べ物や飲み物は細菌のエサとなり、酸を発生させます🍰🥤。
👉 食後の歯磨きで食べかすを取り除き、酸の影響を最小限に抑えることが大切です。
就寝前の歯磨き(最重要!)

最も大切なのは寝る前の歯磨きです🌙。睡眠中は唾液が減るため、細菌が繁殖しやすく、虫歯や歯周病のリスクが高まります。
👉 寝る直前にしっかり磨くことで、細菌の繁殖を防ぎ、口内を清潔に保てます。
歯磨きはいつが効果的?歯石・歯周病を防ぐベストなタイミング
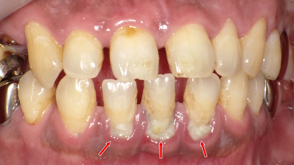
🔍 なぜ寝る前の歯磨きが大事?歯石が付く仕組みと正しいケア
画像では、下顎前歯の根元に 大量のプラーク(歯垢) と 固まった歯石 が付着しています。
特に赤矢印の部分は歯石が厚く沈着し、歯ぐきが腫れて赤くなっているため、歯周病が進行した状態が見て取れます。

主なポイント
- 歯石が歯ぐきの中に入り込み、炎症(歯肉炎〜歯周炎)を悪化させています
- プラークが付着したまま時間が経つと、唾液中の成分と結びついて歯石となり、歯磨きでは取れない状態になります
- 歯石は表面がザラザラしており、新しいプラークがさらに付きやすい悪循環に陥ります
- 前歯の根元が大きく露出しているため、歯周病による骨の吸収も疑われる状況です
🦷 なぜ「歯磨きのタイミング」が重要なのか
歯周病や歯石を防ぐには、
“歯垢が歯石に変わる前に取り除くこと” が最重要ポイントです。
▶ 歯垢→歯石の流れ
- 食後すぐ:柔らかいプラークが歯に付着
- 12〜24時間で硬くなり始める
- 数日で歯石化し、歯ブラシでは取れなくなる
つまり、**「24時間以内に『必ず1回』徹底的に落とす」**ことが科学的に最も重要です。
⏰ ベストな歯磨きタイミング
✅ もっとも大事なのは「夜寝る前」
寝ている間は唾液が減り、細菌が一気に増えるため
夜の歯磨きが1日の中で最重要です。
- 歯垢が残ったまま寝る
→ 細菌が急増しプラークが成熟
→ 歯石・歯周病・虫歯のリスクが大幅に上昇
この画像のように歯石が大量に付いてしまう方は、
夜の歯磨きが不十分な傾向があります。
🪥 歯周病予防に必須のケア
この画像のような状態を防ぐには――
- 夜の歯磨き+フロス/歯間ブラシ
- プラークが溜まりやすい下顎前歯の裏側は意識的に時間をかける
- すでに歯石が多い場合は、**歯科医院での歯石取り(スケーリング)**が必要
食後すぐに磨くのは正しい?間違い?🤔
「食べたらすぐ磨きなさい!」と教わった方も多いと思いますが、実は注意が必要です。

酸性飲食後の注意点
柑橘類🍊や炭酸飲料🥤など酸性度の高い食品を摂った直後は、歯の表面(エナメル質)がやわらかくなっています。この状態ですぐ磨くと、エナメル質が削られるリスクがあります⚠️。
👉 こうした場合は30分程度待ってから歯磨きをするのが理想です。
すぐ磨いたほうが良い場合
一方で、甘いもの・粘着性のあるお菓子🍫・キャラメルなどは歯に残りやすく、虫歯リスクが高いです。
👉 こうした食品を食べた後は、早めの歯磨きが効果的です。
実生活での工夫
「忙しくて30分待てない…」という方も多いですよね。そんなときは、
✅ 軽くうがいで酸を洗い流す
✅ 糖分の少ないお茶や水を飲む
などで対処しましょう💧。
歯磨きのベストタイミングを生活シーン別に解説🗓️
朝食前 vs 朝食後
- 朝食前に磨くメリット:口内細菌を減らしてから食事ができる。
- 朝食後に磨くメリット:食べかすをしっかり除去できる。
👉 両方行うのが理想ですが、難しい場合は**「朝食前の歯磨き+食後はうがい」**がおすすめです。
昼食後の歯磨き
学校や職場では、歯磨きの時間が取りにくいこともあります。そんなときは、
✅ 携帯用の歯ブラシを利用
✅ うがいやキシリトールガムで補助
といった工夫で口内環境を整えましょう🪥。
夜の歯磨きとフロス・マウスウォッシュ
夜は歯ブラシだけでなく、デンタルフロスや歯間ブラシを併用するとさらに効果的です。さらにマウスウォッシュを使えば、殺菌効果もアップ🌿。
正しい歯磨き習慣を続けるための工夫💡
磨き残しを防ぐ順番と時間
歯磨きは1回あたり2〜3分を目安に行いましょう。
👉 「右上→左上→左下→右下→前歯」と順番を決めて磨くと、磨き残しを防げます。
デンタルフロス・歯間ブラシのタイミング
フロスや歯間ブラシは就寝前の歯磨きと一緒に使うのがベスト。歯ブラシだけでは落とせない歯間の汚れをしっかり除去できます🧵。
セルフチェック法
歯磨き後に舌で歯の表面をなぞってみて、ザラつきがないか確認しましょう。鏡で歯と歯ぐきの境目もチェックすれば完璧です✨。
プラークスコアで歯磨き精度を向上
染め出しチェック
この2枚の画像は「プラーク(歯垢)染め出し」を行った例です。歯に付着したプラークを染色液で可視化し、ブラッシングの状態を確認する目的で使われます。


🩸1枚目:初めての染め出し
- 全体的に濃いピンク色が広範囲に染まっています。
- 特に上前歯の歯頸部(歯と歯ぐきの境目)や歯間部に強く染まっており、歯垢が多く残っていることを示します。
- まだ磨き残しが多く、歯ブラシの当て方や磨き順に課題がある段階です。
- 染まった部分=プラークが残っている箇所で、虫歯や歯肉炎のリスクが高いエリアです。
🌿2枚目:改善後の染め出し
- 染まり方が明らかに減少しており、ピンク色の範囲が狭くなっています。
- 前歯部の歯頸部や歯間部の染色が薄く、ブラッシングの精度が上がったことが分かります。
- 特に上前歯の中央部は、以前よりもきれいに磨けており、プラークコントロールが向上しています。
- 一部の歯間部や歯ぐき近くにわずかな染まりが残っているため、今後はデンタルフロスやタフトブラシの併用が推奨されます。
プラークスコア
この2枚の画像は、プラークスコア(歯垢の付着率)の変化を比較したものです。赤く塗られた部分が歯垢の残存部位を示しています。


🩸1枚目:初めての染め出し(4月23日)
- プラークスコア:88.5%
ほとんどの歯の表面が赤く染まっており、全体的に歯垢の付着が多い状態です。 - 特に**上顎前歯と奥歯の歯頸部(歯と歯ぐきの境目)**に広範囲のプラークが確認されます。
- この時点ではブラッシングが不十分で、清掃習慣の改善が必要な段階です。
🦷 ポイント:
歯ブラシの動かし方や磨き残しの部位を把握し、正しいブラッシング指導を行う前の初期評価です。
🌿2枚目:改善後(10月16日)
- プラークスコア:25.0%
赤く染まっている部位が大幅に減少しており、プラークコントロールの著しい改善が見られます。 - 一部、右上・左下の奥歯の歯間部などにわずかな付着が残っていますが、全体的に良好な清掃状態です。
- 定期的なブラッシング指導の成果として、磨き方の習慣化が進んでいます。
🪥 ポイント:
初回から約6か月後には、歯垢残存率が約4分の1以下に改善。
虫歯・歯肉炎のリスクが大幅に減少しています。
📊まとめ
| 評価日 | プラークスコア | 状態 | コメント |
|---|---|---|---|
| 4月23日 | 88.5% | 不良 | 全体的に磨き残しが多く、清掃習慣の見直しが必要 |
| 10月16日 | 25.0% | 良好 | ブラッシング技術が向上し、プラークコントロールが大幅改善 |
👉 継続的なセルフケアと定期的な歯科チェックにより、良好な口腔環境を維持できる状態になっています。
よくある質問(FAQ)🙋♀️
Q:朝はうがいだけでも大丈夫?
👉 歯磨きの代わりにはなりません。最低でも水や洗口液でうがいをしたあと、歯磨きするのが理想です。
Q:1日3回磨かないと虫歯になりますか?
👉 回数よりも寝る前の歯磨きの質が重要です。2回でも正しく磨けていればリスクは大きく減ります。
Q:寝落ちして磨けなかった場合は?
👉 翌朝必ずしっかり歯磨きをしてください。そのまま放置は虫歯や口臭の原因になります⚠️。
まとめ📝
- 最も大切なのは「就寝前」の歯磨き🌙
- 朝は“起きてすぐ”が理想で、口内細菌をリセット
- 食後は状況に応じて(酸性食品後は30分待つ、甘いもの後はすぐ磨く)
- デンタルフロスやマウスウォッシュを併用すると効果アップ
毎日のちょっとした習慣が、歯の健康と笑顔を守ります😊✨。
🏥江戸川区篠崎で歯磨きのタイミングを知りたい方へ

江戸川区篠崎にある当歯科クリニックでは、地域の皆さまが毎日を健康に過ごせるよう、正しい歯磨きのタイミングや効果的なケア方法を丁寧にお伝えしています。🪥✨
「食後はすぐ磨くべき?」「寝る前はどのようにケアすればいい?」など、日常の小さな疑問もお気軽にご相談ください。専門の歯科医師と歯科衛生士が、患者さま一人ひとりに合わせたアドバイスで、虫歯や歯周病を予防し、一生自分の歯で食事を楽しめるようサポートいたします😊。
【動画】ステイン着色汚れをクリーニングするエアフロー
筆者・院長

深沢 一
Hajime FUKASAWA
- 登山
- ヨガ
メッセージ
日々進化する歯科医療に対応するため、毎月必ず各種セミナーへの受講を心がけております。
私達は、日々刻々と進歩する医学を、より良い形で患者様に御提供したいと考え、「各種 歯科学会」に所属すると共に、定期的に「院内勉強会」を行う等、常に現状に甘んずる事のないよう精進致しております。 又、医療で一番大切な事は、”心のある診療”と考え、スタッフと共に「患者様の立場に立った診療」を、心がけております。


