- 1. 笑顔をもっと可愛く!印象を変える“スマイルデザイン”の秘訣✨
- 1.1. 😁 可愛い笑顔の条件とは?
- 1.2. 💪 笑顔を可愛くするトレーニング
- 1.2.1. ① ほうれい線予防エクササイズ
- 1.2.2. ② スマイルトレ
- 1.2.3. ③ 目元連動トレーニング
- 2. 🦷 歯と口元の美しさが笑顔の印象を決める
- 2.1. ホワイトニングで透明感ある白い歯へ
- 2.1.1. ■【症例1】ホワイトニングで笑顔の印象が明るくなったケース
- 2.1.1.1. ●1枚目:ホワイトニング前
- 2.1.1.2. ●2枚目:ホワイトニング後
- 2.1.2. ■【症例2】黄ばみが一段階トーンアップ:ホワイトニング前後の変化
- 2.1.2.1. ■1枚目:ホワイトニング前
- 2.1.2.2. ■2枚目:ホワイトニング後
- 3. 🌟 笑顔をもっと可愛く見せる第一歩
- 3.1. ― エアフローで叶える“清潔感のある歯” ―
- 3.1.1. 🔍 【術前】歯の表面に付着した着色が笑顔の明るさを邪魔
- 3.1.2. ✨ 【術後】パッと明るい口元へ
- 3.1.3. 🌸 まとめ:可愛い笑顔は「歯の透明感」から
- 4. 💋 口元ケアで印象アップ!
- 5. 📸 写真で可愛く笑うコツ
- 6. 🌈 まとめ|笑顔は筋肉・歯・自信のバランスで決まる
- 7. 江戸川区篠崎で「笑顔をもっと可愛く見せたい」とお考えの方へ🦷
- 8. 【動画】ホワイトスポットをアイコンで治す
- 9. 【動画】初期虫歯COを削らずに自分で治す方法
- 10. 筆者・院長

「笑顔が可愛い人」って、なぜあんなに印象的なのでしょうか?😊
実は、人の第一印象の8割以上は“表情”で決まると言われています。特に笑顔は、相手に「優しそう」「話しかけやすい」「清潔感がある」と感じさせる重要なポイントです。
しかし、「自分の笑顔がぎこちない」「写真で笑うと変に見える」と悩む人も少なくありません。
この記事では、誰でもできる“可愛い笑顔”の作り方を、顔の筋肉・口元のケア・歯の見え方などの視点から紹介します🪞
笑顔をもっと可愛く!印象を変える“スマイルデザイン”の秘訣✨
😁 可愛い笑顔の条件とは?

可愛い笑顔のポイントは「自然さ」と「バランス」です。
鏡を見ながらチェックしてみましょう。
- 目と口角が同時に動いているか👀
- 歯ぐきが見えすぎていないか🦷
- 片側だけ口角が上がっていないか💡
自然な笑顔は、目元が優しくなり、口角が左右対称に上がっています。反対に、口角が引きつっていたり、目が笑っていないと、ぎこちなく見えてしまいます。
💪 笑顔を可愛くするトレーニング

笑顔は「表情筋」という筋肉で作られています。特に頬や口角を動かす筋肉を鍛えると、自然で明るい笑顔に✨
① ほうれい線予防エクササイズ
口を「いー」と横に広げた後、「うー」とすぼめる動きを10回。
→ 頬と口角の筋肉をバランスよく使えます。
② スマイルトレ
鏡を見ながら口角を左右均等に上げて5秒キープ。
→ 無理のない自然な笑顔を習慣づけられます。
③ 目元連動トレーニング
目を軽く細めて微笑む練習をすることで、「目が笑っていない」状態を防止。
→ 柔らかい印象を与えます🌸
🦷 歯と口元の美しさが笑顔の印象を決める

どんなに表情がよくても、歯が黄ばんでいたり、歯並びが乱れていると清潔感が半減してしまいます。
白く整った歯は「明るく健康的」な印象を与え、笑顔をより引き立ててくれます✨
- ホワイトニングで透明感ある白い歯へ
- 定期的なクリーニングでステイン除去
- マウスピース矯正で歯並びを自然に整える
歯の見え方は笑顔の印象を左右する大きな要素。
特に口角が上がると歯列全体が見えるため、歯のケアは「笑顔美人」への第一歩です💎
ホワイトニングで透明感ある白い歯へ
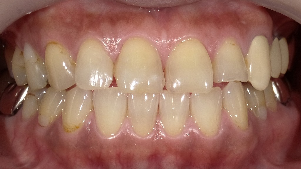
■【症例1】ホワイトニングで笑顔の印象が明るくなったケース


●1枚目:ホワイトニング前
歯の表面に少し黄ばみがあり、下の前歯や奥歯の裏側付近に色素沈着(ステイン)が見られます。コーヒー・紅茶・お茶・タバコなどの影響で、自然に着色が蓄積した状態です。
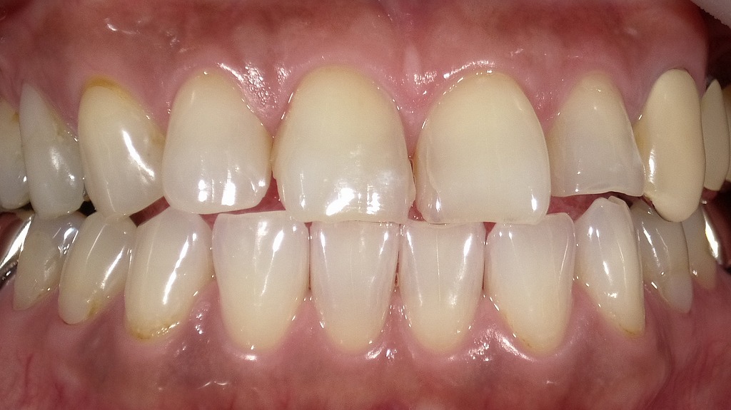
●2枚目:ホワイトニング後
歯全体のトーンが明るくなり、黄ばみが軽減されています。透明感が出て、口元がより清潔で健康的な印象になりました。とくに前歯の輝きが増し、笑ったときの見え方が大きく改善しています。
■【症例2】黄ばみが一段階トーンアップ:ホワイトニング前後の変化


■1枚目:ホワイトニング前
全体的に歯の色がやや黄みが強く、特に上顎前歯と下顎前歯の表面に軽度の着色が見られます。歯面の透明感がやや弱く、色調にばらつきがあるため、全体として少し暗い印象のトーンになっています。また、日常的な飲食(コーヒー・お茶など)による着色や、加齢に伴う内部の象牙質の黄ばみが影響していると考えられます。
■2枚目:ホワイトニング後
ホワイトニング後は、歯の黄ばみが明らかに軽減され、トーンが一段階明るい色へと変化しています。表面の透明感も高まり、光の反射が均一になったことで、自然な白さと清潔感が際立っています。特に前歯部は色のムラが少なくなり、より均整の取れた明るい口元に改善されています。
🌟 笑顔をもっと可愛く見せる第一歩
― エアフローで叶える“清潔感のある歯” ―
エアフロー(パウダーメインテナンス)は、細かなパウダーと水圧で歯の表面をやさしく磨き上げるクリーニング方法です。着色・細菌の膜(バイオフィルム)を効果的に取り除くため、笑顔の印象が一気に明るくなるのが特徴です。


🔍 【術前】歯の表面に付着した着色が笑顔の明るさを邪魔
左の術前写真では、歯と歯の間や歯肉近くに茶色い着色が目立っています。
特に前歯の隙間部分にある色素沈着は、写真や対面の印象を暗く見せがちで、清潔感にも影響します。
- コーヒー・紅茶・喫煙による着色
- 歯ブラシでは落としきれないバイオフィルム
- 歯と歯の間のくすみ
こうした汚れは日常のブラッシングだけでは取り切れず、笑顔の見た目を損ねてしまいます。
✨ 【術後】パッと明るい口元へ
右の術後写真では、着色がしっかり除去されて歯の本来の明るさが戻っています。
歯と歯の間のくすみが消え、均一で自然な白さに近づいたことで、笑顔全体の透明感がアップ。
- 歯の表面がツルツルに
- くすみが取れて清潔感のある印象に
- 口元が明るく見えることで“可愛さ”が自然にアップ
エアフローは歯を削らず、痛みも少ないため、笑顔の印象改善にとても適したケアです。
🌸 まとめ:可愛い笑顔は「歯の透明感」から
歯並びや形だけでなく、歯の色・質感・ツヤが整うと、笑顔は一段と魅力的になります。
エアフロークリーニングはその第一歩として、短時間で大きな変化が実感できる方法です。
「笑顔の印象をもっと良くしたい」「写真写りを良くしたい」という方に特におすすめです。
💋 口元ケアで印象アップ!
可愛い笑顔は、唇や口周りの潤いにも関係しています。
乾燥した唇や荒れた口角は、せっかくの笑顔を台無しにしてしまうことも…。
- リップクリームでこまめに保湿💧
- 唇の血色を良くするマッサージ
- 就寝前にワセリンパックでしっとりケア
また、歯科では「スマイルライン」と呼ばれる、歯と唇のカーブのバランスを整える治療(セラミック治療や矯正)もあります。
自然な笑顔を引き出す“スマイルデザイン治療”を行うことで、より自信のある表情が生まれます😊
📸 写真で可愛く笑うコツ
写真のとき、「イーッ」と歯を見せるより、「にっ」と軽く口角を上げるのがポイント。
口角の形が自然になり、柔らかい雰囲気になります🌼
さらに、
- 顔を少し斜めに向ける
- 顎を引いて目線をやや上に
- 光の方向を意識して明るく撮る
この3つを意識するだけで、ぐっと印象が変わります✨
🌈 まとめ|笑顔は筋肉・歯・自信のバランスで決まる
笑顔を可愛く見せる秘訣は、「筋肉の柔らかさ」「歯の清潔感」「自分らしい自信」。
どれか一つではなく、この3つがそろうことで本当に魅力的な笑顔が生まれます。
毎日のトレーニングとケアを続けることで、あなたの笑顔は必ず変わります。
歯や口元に不安がある場合は、歯科医院で相談してみましょう🦷
“あなたらしい笑顔”を取り戻すお手伝いをしてくれます✨
江戸川区篠崎で「笑顔をもっと可愛く見せたい」とお考えの方へ🦷

可愛い笑顔は、清潔で健康な口元から生まれます😊
歯の色や歯並び、口角の動きまでトータルで整えることで、自然で魅力的な表情に。
当歯科クリニックでは、ホワイトニング・矯正・スマイルデザインなど、笑顔をより輝かせる治療をご提案しています✨
あなたの“最高の笑顔”を、私たちがサポートします🦷
【動画】ホワイトスポットをアイコンで治す
【動画】初期虫歯COを削らずに自分で治す方法
筆者・院長

深沢 一
Hajime FUKASAWA
- 登山
- ヨガ
メッセージ
日々進化する歯科医療に対応するため、毎月必ず各種セミナーへの受講を心がけております。
私達は、日々刻々と進歩する医学を、より良い形で患者様に御提供したいと考え、「各種 歯科学会」に所属すると共に、定期的に「院内勉強会」を行う等、常に現状に甘んずる事のないよう精進致しております。 又、医療で一番大切な事は、”心のある診療”と考え、スタッフと共に「患者様の立場に立った診療」を、心がけております。


