- 1. 🦷歯に穴があいた…放置は危険?原因・治療法・予防まで解説✨
- 1.1. 歯に穴があく原因は?🤔
- 1.1.1. 🪥 虫歯
- 1.1.1.1. 虫歯による穴:症例1
- 1.1.1.2. 虫歯による穴:症例2
- 1.1.2. 🔩 詰め物や被せ物のトラブル
- 1.1.3. 😬 歯ぎしり・外傷
- 1.2. 歯の穴を放置するとどうなる?⚠️
- 1.3. 歯に穴ができたときの治療法🦷
- 1.3.1. 小さな穴なら…
- 1.3.2. 大きな穴なら…
- 1.3.3. 神経まで進んだら…
- 1.4. 応急処置と注意点💊
- 1.5. 歯に穴を作らないための予防法😊
- 1.5.1. 🪥 正しいセルフケア
- 1.5.2. 🦷 定期検診
- 1.5.3. 🍎 食生活の工夫
- 2. 🦷歯の小さな穴でも油断禁物!内部で広がる虫歯のリスクとは
- 2.1. 見た目は小さいのに中で大きく進行する虫歯
- 2.2. 下顎6番の重度虫歯 ― 口腔内所見とレントゲンから抜歯に至った症例
- 2.3. 歯科医院でしか分からない内部の状態
- 2.4. 早期発見・早期治療がカギ🔑
- 3. よくある質問(FAQ)💡
- 4. 📍 江戸川区篠崎で歯に穴=虫歯?と不安な方へ
- 5. 【動画】初期虫歯COを削らずに自分で治す方法
- 6. 筆者・院長

😢鏡をのぞいたとき、「あれ?歯に小さな穴が…😨」と気づいた経験はありませんか?
痛みがなくても、実は虫歯や詰め物の不具合などが原因で進行しているかもしれません。歯にあいた穴を放置すると、知らないうちに悪化して大きな治療が必要になることも…。
この記事では、歯に穴ができる原因や放置のリスク、治療法、そして予防のポイントをわかりやすく解説します。
🦷歯に穴があいた…放置は危険?原因・治療法・予防まで解説✨
歯に穴があく原因は?🤔
🪥 虫歯
もっとも多いのが虫歯です。初期段階では気づきにくいですが、進行すると黒い穴がはっきりしてきます。
虫歯による穴:症例1
この画像は、上顎の小臼歯部を咬合面から撮影した口腔内写真です。

🔍 解説
赤い矢印で示されているのは上顎第2小臼歯(5番)の近心側(前方側の面)です。
その部分に、黒く変色した小さな穴が確認されます。これは虫歯(う蝕)によって形成された実質欠損です。
🦷 詳細説明
- 虫歯は隣接面(歯と歯の間)に発生しやすく、歯ブラシの毛先が届きにくいため、進行してから気づくことが多い部位です。
- 表面の黒い変色は、エナメル質の崩壊や象牙質への進行を示唆します。
- 初期段階では痛みがなくても、進行すると冷たいものがしみたり、咬むと痛むなどの症状が出る可能性があります。
💡 ポイント
このような小さな虫歯は、早期発見・早期治療が大切です。隣接面う蝕はレントゲンでの確認が有効で、進行度によってはコンポジットレジン修復で対応できます。
定期検診と適切な清掃指導によって、再発を防ぐことができます。
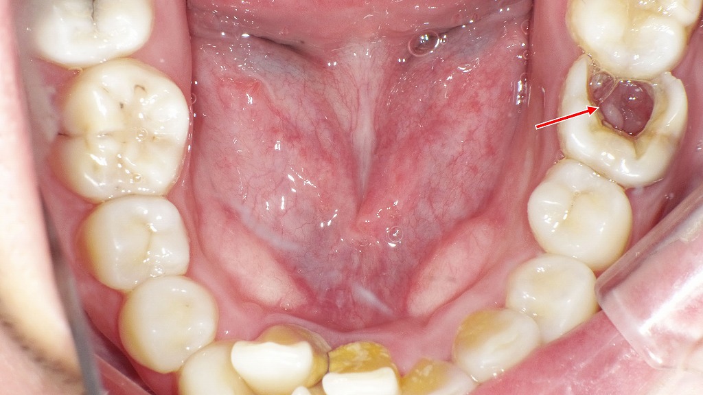
虫歯による穴:症例2
この画像は、下顎の歯列を咬合面(上から)撮影した口腔内写真です。

🔍 解説
赤い矢印で示されているのは右下第2小臼歯(5番)です。
歯の近心側(手前側の面)に、小さな黒い穴が確認されます。これは虫歯(う蝕)によって形成された穴です。
🦷 詳細説明
- 虫歯は歯の表面(エナメル質)から始まり、象牙質へと進行します。
- この段階では穴が浅く、痛みが出にくいこともありますが、放置すると進行して大きくなり、冷たいものがしみたり、神経(歯髄)にまで達するおそれがあります。
- 写真のように、清掃が難しい部位では虫歯が発生しやすくなります。
💡 ポイント
このような小さな虫歯は、早期に発見して治療することで、最小限の削除で済みます。定期的な検診とレントゲン撮影により、見えにくい部位の虫歯も早期発見が可能です。
🔩 詰め物や被せ物のトラブル
治療した歯でも、詰め物や被せ物の隙間から細菌が入り「二次虫歯」になることがあります。外見は小さくても中で広がっていることも😱。
😬 歯ぎしり・外傷
歯ぎしりや強い衝撃で歯が欠け、穴のように見える場合もあります。
歯の穴を放置するとどうなる?⚠️
- 最初は「しみる」「少し痛い」程度でも、放っておくと激しい痛みに悪化💥
- 神経まで進むと「根管治療」や「抜歯」が必要になることも😢
- 細菌が全身に広がれば、体調にも悪影響が出ることがあります💧
歯に穴ができたときの治療法🦷
小さな穴なら…
白い樹脂(レジン)で簡単に修復できます。短時間で見た目も自然✨。


上顎1番(中切歯)に認められた、象牙質まで進行したC2虫歯の治療前後を比較した症例です。治療前はやや大きめの穴が形成されていましたが、虫歯部分を適切に除去したうえでコンポジットレジンにより修復を行いました。歯の色調や形態を考慮することで、前歯部でも自然な見た目と機能の回復が見込めます。早期治療により、歯を削る量を抑え、神経を残せる可能性が高まります。
大きな穴なら…
部分的な詰め物(インレー)やかぶせ物(クラウン)で補強します。

虫歯や過去の治療により歯に大きな穴があいた場合、詰め物では対応できず、インレー修復が適応となることがあります。
本症例は、自費診療によるゴールドインレーを用いた修復例です。
ゴールドは適合精度が非常に高く、歯との隙間が生じにくいため、二次虫歯のリスクを抑えやすい素材です。また、噛み合わせになじみやすく、耐久性にも優れていることから、長期的な安定性を重視する方に選ばれています。
神経まで進んだら…
根管治療が必要です。進行がひどい場合は抜歯になることもあります⚡。
応急処置と注意点💊
「痛い!」ときは市販の鎮痛薬で一時的に和らげるのはOK。
でも、自分で穴をふさぐ・削るのは絶対NG❌。
必ず歯科医院で治療を受けましょう。
歯に穴を作らないための予防法😊
🪥 正しいセルフケア
- フッ素入り歯磨き粉を使う
- デンタルフロスや歯間ブラシで歯の隙間もきれいに
🦷 定期検診
歯科医院でのチェックなら小さな穴も早期発見できます。
🍎 食生活の工夫
甘い飲み物や間食を控え、バランスの良い食事を意識しましょう。
🦷歯の小さな穴でも油断禁物!内部で広がる虫歯のリスクとは
見た目は小さいのに中で大きく進行する虫歯
鏡で見ても「小さな黒い点だから大丈夫かな?」と思うことがありますよね👀。
しかし、虫歯は表面から中に向かって進行するため、外側は小さくても内部では大きく広がっているケースが少なくありません。
特に歯の溝や詰め物の隙間から進行する虫歯は、表からは穴が見えにくく「気づいたときには大きな虫歯」になってしまうことがあります⚠️。

下顎6番の重度虫歯 ― 口腔内所見とレントゲンから抜歯に至った症例


下顎6番(第一大臼歯)に大きな欠損が認められ、口腔内写真では歯質が大きく崩壊している状態が確認できます。レントゲン画像では、虫歯が歯冠部から歯根深部まで進行し、歯根周囲の骨吸収および根尖部の透過像が明瞭に認められました。保存治療による改善が困難と判断され、感染源の除去と周囲組織の回復を目的として抜歯が適応となった症例です。
歯科医院でしか分からない内部の状態
小さな穴の内部がどうなっているかは、肉眼だけでは判断できません。
歯科医院では、以下のような方法で詳しく確認します。
- レントゲン撮影📸
目に見えない虫歯の広がりを確認できます。 - 探針や特殊器具によるチェック🪥
歯の柔らかさや隙間を調べて内部の状態を把握。
これらによって、外からは分からない虫歯の実態が明らかになります。
早期発見・早期治療がカギ🔑
小さな穴のうちに治療すれば、短時間で削る量も少なく済み、見た目もきれいに治せます✨。
しかし、内部で進行してからでは治療回数・費用・負担が大きくなってしまいます。

よくある質問(FAQ)💡
Q:小さな穴だけど痛くない。放置していい?
👉 痛みがなくても虫歯の可能性大!進行するので早めに受診を。
Q:自宅で穴を塞げますか?
👉 一時的なグッズはありますが、根本治療は歯科医院でしかできません。
Q:子どもの歯に穴があいた場合は?
👉 乳歯も虫歯になります。永久歯にも影響するので受診をおすすめします。
📍 江戸川区篠崎で歯に穴=虫歯?と不安な方へ

「江戸川区篠崎駅徒歩1分の当歯科クリニックでは、歯に穴ができた方への早期治療を大切にしています。
「痛くないから大丈夫」と思っても、放置すれば治療が大掛かりになることも。気になる症状があればお気軽にご相談ください😊。定期検診や予防ケアで、健康な歯を一緒に守っていきましょう。
【動画】初期虫歯COを削らずに自分で治す方法
筆者・院長

深沢 一
Hajime FUKASAWA
- 登山
- ヨガ
メッセージ
日々進化する歯科医療に対応するため、毎月必ず各種セミナーへの受講を心がけております。
私達は、日々刻々と進歩する医学を、より良い形で患者様に御提供したいと考え、「各種 歯科学会」に所属すると共に、定期的に「院内勉強会」を行う等、常に現状に甘んずる事のないよう精進致しております。 又、医療で一番大切な事は、”心のある診療”と考え、スタッフと共に「患者様の立場に立った診療」を、心がけております。


