- 1. 【🎞️ 35秒】うんち臭い口臭に悩む方へ|その原因と治し方を専門医が解説
- 2. 🧪 口臭が「うんち臭い」主な原因とは?
- 2.1. 💩 腸内ガス由来の悪臭物質「インドール」「スカトール」
- 2.2. 🦠 便秘や胃腸障害との関連性
- 2.3. 👅 舌苔や虫歯・歯周病などの口腔内トラブル
- 2.4. 🧬 肝臓・腎臓・糖尿病など全身疾患との関係
- 3. 🍽️ うんち臭い口臭を引き起こす生活習慣
- 3.1. 🍭 食事と腸内環境の関係
- 3.1.1. 🥩 動物性たんぱく質の過剰摂取に注意
- 3.1.2. 🥦 アブラナ科野菜にも一因が
- 3.1.3. ✅ 腸内環境を整える食事がカギ
- 3.2. 😷 口呼吸・ストレス・睡眠不足
- 3.2.1. 👄 口呼吸による乾燥が口臭の悪化に直結
- 3.2.2. 🧠 ストレスが腸と口に及ぼす悪影響
- 3.2.3. 😴 睡眠不足は口臭と腸内環境の大敵
- 4. 🩺 子どもの「うんち臭い口臭」への対応方法
- 4.1. 👦 成長期に多い口臭の原因
- 4.1.1. 🧠 消化器官の未発達によるガス発生
- 4.1.2. 😷 虫歯や扁桃腺炎による膿栓(臭い玉)
- 4.2. 🏥 親ができる家庭での予防とケア
- 4.2.1. 🪥 歯磨き・舌クリーニングの習慣づけ
- 4.2.2. 🥗 食生活の見直しと水分補給
- 4.3. 🔔 すぐに病院に行くべきサイン
- 4.3.1. ⚠️ 以下の症状が見られたら要注意
- 4.3.2. 🏥 適切な受診先の目安
- 5. 🧼 今日からできる!口臭対策&予防法
- 5.1. 🪥 正しい口腔ケアの習慣
- 5.1.1. 🪥 歯ブラシ・フロス・舌ブラシの活用
- 5.1.2. 🧴 デンタルリンスの選び方
- 5.2. 🥛 腸を整える食事とサプリメント
- 5.2.1. 🍽️ 発酵食品とプレバイオティクスの力
- 5.2.2. 💧 水分摂取と腸内運動の促進
- 5.3. 🩻 医師による検査・治療のすすめ
- 5.3.1. 🏥 消化器科での検査
- 5.3.2. 🦷 歯科での専門的なケア
- 6. 🔁 再発を防ぐための生活習慣チェックリスト
- 6.1. 📅 定期検診とメンテナンス
- 6.1.1. 🦷 3〜6ヶ月ごとの歯科健診は必須!
- 6.1.2. 👅 舌苔のチェックも忘れずに
- 6.2. 🌿 ストレスケアと良質な睡眠
- 6.2.1. 😣 ストレスが唾液を減らす⁉
- 6.2.2. 😴 良質な睡眠が腸と口を救う
- 6.2.3. 🥦 栄養と抗酸化食品で体の内側からケア
- 7. ❓ よくある質問(Q&A)
- 7.1. Q1:うんち臭い口臭は一時的なものですか?
- 7.2. Q2:市販のマウスウォッシュで改善しますか?
- 7.3. Q3:子どもに臭い口臭があったらどう対応すべき?
- 7.4. Q4:何科に行けばよい?(歯科?内科?耳鼻科?)
- 8. 📝 まとめ|「うんち臭い口臭」は内外からのケアで改善できる!
- 8.1. 🧩 原因は複数ある!だからこそ「内外からのアプローチ」が必要
- 8.2. 🛠 改善のカギは「習慣・食事・専門診断」
- 8.3. 👨👩👧 家族の口臭にも気づいてあげて
- 8.4. ✅「うんち臭い口臭」も、原因がわかれば改善できる!
- 9. 🦷江戸川区篠崎でうんち臭い口臭に悩む方へ
- 10. 【動画】なかなか取れない舌苔の完全除去方法
- 11. 筆者・院長

✅ はじめに
「最近、自分の口がうんちみたいなにおいがする…」
そんなショックな気づきに、不安や戸惑いを感じていませんか?
実は、口臭が“便のような臭い”になる背景には、口腔内の問題だけでなく、腸内環境・胃腸の不調・さらには全身疾患まで、さまざまな原因が隠れています。においの正体は、インドールやスカトールといった腸由来の悪臭物質であることも少なくありません。
このページでは、
✅ 口臭がうんち臭くなる「医学的な原因」
✅ 自宅でできる日常ケアや食事習慣
✅ 医師に相談すべきタイミング
などを、わかりやすく・深掘りしてご紹介します。
「ただの口臭」と見過ごす前に。
根本的な改善を目指して、一緒に正しい知識と対策を身につけていきましょう。
【🎞️ 35秒】うんち臭い口臭に悩む方へ|その原因と治し方を専門医が解説
🧪 口臭が「うんち臭い」主な原因とは?
口臭がまるで「うんちのような臭い」に感じられる場合、単なる口の中の汚れだけではなく、全身のさまざまなトラブルが背景にある可能性があります。ここでは、代表的な4つの原因について詳しく解説します。

💩 腸内ガス由来の悪臭物質「インドール」「スカトール」
うんち臭い口臭の大きな原因は、腸内で作られる悪臭成分「インドール」や「スカトール」です。これらは、腸内の悪玉菌がタンパク質を分解することで発生し、強烈な便臭やおなら臭のもとになります。
通常は便と一緒に排出されますが、便秘や腸内環境の悪化によって腸内に滞留すると、血流に取り込まれて肺を通じて口から排出され、口臭として現れるのです。
🦠 便秘や胃腸障害との関連性
便秘が続くと、腸内で食べ物が腐敗しやすくなり、インドールやスカトールをはじめとする悪臭ガスが多く発生します。これらのガスが血中に吸収され、呼気として排出されることで、まさに「うんちのような口臭」になります。

さらに、胃炎・逆流性食道炎・胃がんなどの疾患によっても、食べ物が正常に消化されず、腐敗が進むことで異臭が発生することがあります。胃からの逆流やゲップによって悪臭が口まで届くケースもあります。
👅 舌苔や虫歯・歯周病などの口腔内トラブル
うんち臭い口臭は、腸だけではなく、口の中の汚れが原因になることも少なくありません。
舌の表面にたまる白っぽい汚れ「舌苔(ぜったい)」には、食べかすや細菌、粘膜の剥がれた成分が含まれています。これが発酵・腐敗することで、強烈な臭いを放つようになります。
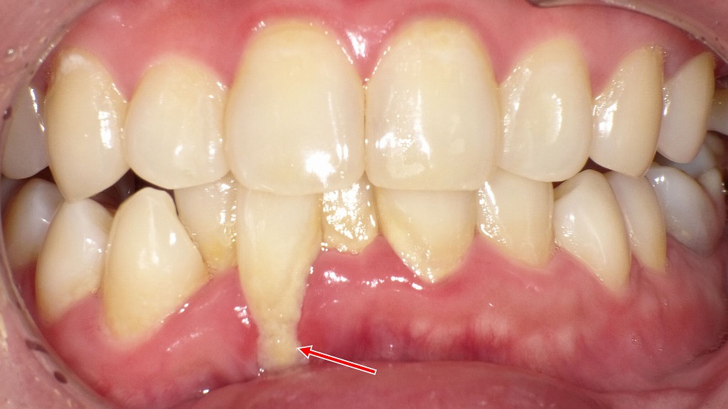
また、虫歯が進行して膿がたまっていたり、歯周病で歯ぐきから出血や膿が出ている場合も、腐敗臭や硫黄臭の原因となります。

歯ぐきが下がって歯根が露出する歯肉裂開の部位に、歯石や歯垢が大量に付着しています。これらは歯周病菌の温床となり、硫黄化合物などの強い悪臭ガスを発生させるため、「うんちのような口臭」の原因になります。見た目では分かりにくくても、歯周病が進行しているサインの一つであり、早めの歯科でのクリーニングと歯周病治療が重要です。
🧬 肝臓・腎臓・糖尿病など全身疾患との関係
体の内臓の病気が原因で、うんちやアンモニアのような口臭が現れることもあります。
- 肝機能の低下により、体内で処理できなかったアンモニアが血中に蓄積し、「腐った卵のような臭い」や「アンモニア臭」が口から漏れ出ます。
- 腎臓の働きが低下していると、尿に含まれる老廃物(尿素など)が血液中にたまり、「尿臭」や「魚の腐ったような臭い」が呼気から出るようになります。
- 糖尿病の患者さんでは、血糖が上手く使われず、脂肪が代謝される際に「ケトン体」という物質が発生し、甘酸っぱいアセトン臭が口臭として感じられます。
このように、「うんち臭い口臭」は単なるエチケットの問題ではなく、消化器系や全身の健康状態を映すサインであることもあります。違和感を感じたら、まずは歯科や内科を受診し、根本的な原因のチェックを受けることが大切です。
🍽️ うんち臭い口臭を引き起こす生活習慣
日々の食生活や生活習慣が、知らず知らずのうちに「うんち臭い口臭」を招いていることがあります。体の内側と外側、両方からのケアが必要です。ここでは見落としがちな原因を2つに分けて解説します。
🍭 食事と腸内環境の関係
🥩 動物性たんぱく質の過剰摂取に注意
肉類や卵などの動物性たんぱく質を摂りすぎると、腸内で悪玉菌が優位になり、タンパク質が腐敗して「インドール」や「スカトール」といった悪臭物質が大量に生成されます。これらが血液に吸収されて呼気として排出されることで、便臭のような強い口臭を発生させるのです。
🥦 アブラナ科野菜にも一因が
ブロッコリー、大根、キャベツなどのアブラナ科の野菜は、健康に良い反面、体内で消化される過程でインドールの前駆物質が発生することがあります。これが腸内で悪玉菌により分解されると、特有の発酵臭が口臭として現れることがあります。特に、口腔内に食べかすが残っている場合は要注意です。

✅ 腸内環境を整える食事がカギ
悪臭物質の発生を抑えるには、食物繊維や発酵食品(ヨーグルト・納豆・キムチなど)を積極的に摂り、善玉菌を育てる食生活が重要です。
😷 口呼吸・ストレス・睡眠不足
👄 口呼吸による乾燥が口臭の悪化に直結
口呼吸の癖があると、口の中が乾燥しやすくなります。唾液には口臭の原因菌を洗い流す作用がありますが、乾燥するとこの働きが低下し、臭いがこもってしまいます。特に睡眠中の口呼吸は、朝の強い口臭の原因にもなります。
🧠 ストレスが腸と口に及ぼす悪影響
ストレスは自律神経を乱し、胃腸の働きを低下させると同時に、唾液分泌も減少させます。これにより、腸内の悪玉菌が増えやすくなり、結果として「うんち臭い」口臭の原因物質が作られやすくなります。
😴 睡眠不足は口臭と腸内環境の大敵
睡眠不足もまた、自律神経を乱す要因となり、免疫力の低下や腸の働きの鈍化を招きます。特に、夜ふかしや寝付きの悪さが続くと、便秘や胃腸の不調と口臭がセットで現れることもあります。
💡ポイント:
「口が臭いのは体の中からのSOS」です。日々の食事、呼吸の仕方、ストレスとの向き合い方など、生活習慣を少しずつ見直すことで、自然と口臭の改善にもつながります。
🩺 子どもの「うんち臭い口臭」への対応方法
子どもの口が「うんちみたいなにおいがする…」と気づいたとき、多くの親御さんは驚きと心配を感じることでしょう。実は子ども特有の体の特徴や生活習慣が、こうした口臭の原因となることもあります。ここでは、考えられる原因と、家庭でできるケア、医療機関に相談すべきタイミングについてご紹介します。
👦 成長期に多い口臭の原因
🧠 消化器官の未発達によるガス発生
子どもは消化器官がまだ発達途中のため、消化不良や腸内でのガス発生が起きやすく、それが体臭や口臭に影響することがあります。便秘やお腹の張りを訴える子どもは、腸内のインドール・スカトールの発生量も多く、便臭のような口臭につながる場合があります。
😷 虫歯や扁桃腺炎による膿栓(臭い玉)
虫歯や進行した歯肉炎はもちろん、扁桃腺に「膿栓(のうせん/臭い玉)」ができることも、強い発酵臭や便臭に似たにおいの原因になります。膿栓は小さくても強烈な臭いを放ち、特に朝起きたときやあくびをしたときに臭いが強くなる傾向があります。
🏥 親ができる家庭での予防とケア
🪥 歯磨き・舌クリーニングの習慣づけ
朝・夜の歯磨きに加えて、やさしく舌をケアする習慣も大切です。子ども専用の舌ブラシを使い、「痛くない・こすりすぎない」ことを意識すると良いでしょう。

🥗 食生活の見直しと水分補給
甘いお菓子やスナック、加工食品を控え、野菜や発酵食品(ヨーグルト・みそ汁など)を意識して取り入れると腸内環境が整い、口臭の改善につながります。また、水分が不足すると唾液の分泌が減り、臭いがこもりやすくなるため、こまめな水分補給も忘れずに。
🔔 すぐに病院に行くべきサイン
以下のような症状がある場合は、単なる生活習慣の問題ではなく、医療機関での診察が必要です。
⚠️ 以下の症状が見られたら要注意
- 発熱や全身のだるさ、食欲不振
- 強い口臭が数日以上続いている
- いびきや口呼吸、喉の痛みがある
- 唇が乾き、会話や食事がしづらそう
🏥 適切な受診先の目安
- 歯や口の中の異常があるとき → 歯科
- お腹の調子が悪い・便秘が続くとき → 小児科・消化器内科
- いびきや膿栓が疑われるとき → 耳鼻咽喉科
子どもの口臭は「体からのサイン」の一つです。生活習慣を見直すと同時に、心配な場合は迷わず医師に相談しましょう。早期の対応が、子どもの健康と安心につながります。
🧼 今日からできる!口臭対策&予防法
「うんち臭い」と感じる口臭も、正しいケアと生活習慣の見直しで改善する可能性が高いです。ここでは、今日から始められる3つの対策をご紹介します。
🪥 正しい口腔ケアの習慣
🪥 歯ブラシ・フロス・舌ブラシの活用
毎日の歯磨きはもちろんですが、歯と歯の間にたまった汚れは歯ブラシだけでは落としきれません。デンタルフロスを併用することで、臭いの元となるプラーク(歯垢)をしっかり除去できます。
また、舌の表面に付着する舌苔(ぜったい)は、便臭や腐敗臭の原因になりやすいため、舌ブラシでのケアも習慣にしましょう。1日1回、やさしくブラッシングするだけで効果的です。
正しい歯磨き方法と頻度
- 歯磨きの基本的な手順を習得(例: 歯ブラシの角度、歯磨き手順)。
- 朝食後や就寝前など、最適な歯磨きのタイミング。
- 電動歯ブラシの効果と使用時の注意点。

「▶ Amazonで見る」
「▶ 楽天で見る」
🧴 デンタルリンスの選び方
口臭予防用の**マウスウォッシュ(デンタルリンス)**は、「抗菌作用のある成分(クロルヘキシジンなど)」が配合されたものを選びましょう。
- アルコール配合タイプ:爽快感は強いが、刺激が苦手な方には不向き
- ノンアルコールタイプ:お子さまや口内が敏感な方におすすめ
どちらも、歯磨き後に使うことで口臭予防効果を高めることができます。
🥛 腸を整える食事とサプリメント
🍽️ 発酵食品とプレバイオティクスの力
腸内環境の乱れは、悪臭成分インドールやスカトールの発生を助長します。腸を整えるために以下を積極的に取り入れましょう:

- 発酵食品:ヨーグルト、納豆、キムチ、味噌など(善玉菌を補う)
- プレバイオティクス:食物繊維、オリゴ糖(善玉菌のエサになる)
これらの摂取は、便秘の予防にもつながり、口臭の根本対策となります。
💧 水分摂取と腸内運動の促進
水分不足は便秘を悪化させ、臭いの原因になります。1日1.5〜2Lの水分を目安に、こまめに水を飲みましょう。白湯やハーブティーなど、胃腸に優しい飲み物もおすすめです。
🩻 医師による検査・治療のすすめ
🏥 消化器科での検査
「便臭のような口臭」が長く続く場合、腸内環境や胃の異常が関係しているかもしれません。内視鏡検査や便検査を通して、胃炎・逆流性食道炎・便秘などの疾患がないかチェックしましょう。
🦷 歯科での専門的なケア
歯周病や虫歯が原因の場合は、市販のケア製品では不十分です。歯石除去や歯周ポケットの洗浄、虫歯治療など、歯科医院でのプロフェッショナルケアが必要になります。口臭外来がある歯科医院もおすすめです。
📝 ポイント:
口臭は「体内と口内のダブルケア」で大きく改善します。まずは正しいセルフケアを習慣化し、必要に応じて専門医のサポートを受けることで、根本原因にアプローチできます。今日からできることを一つずつ始めてみましょう!
🔁 再発を防ぐための生活習慣チェックリスト
「うんち臭い口臭」が改善しても、生活習慣が乱れれば再び発生することもあります。口臭のない快適な毎日を維持するには、継続的なメンテナンスがカギです。ここでは再発を防ぐためにチェックしておきたい習慣をまとめました。
📅 定期検診とメンテナンス
🦷 3〜6ヶ月ごとの歯科健診は必須!
口臭の多くは口腔内のトラブルから始まります。歯科医院での定期検診を怠ると、知らぬ間に虫歯や歯周病が進行し、再び臭いの原因になります。

- 虫歯の早期発見・治療
- 歯周病の進行チェック
- 歯石や舌苔(ぜったい)の専門的クリーニング
とくに歯周ポケットの中は自分ではケアしきれないため、プロのケアで清潔を保つことが再発防止につながります。
👅 舌苔のチェックも忘れずに
舌の汚れは再発の引き金です。日々の舌クリーニングに加えて、色や量が気になったときは歯科でアドバイスをもらいましょう。
🌿 ストレスケアと良質な睡眠
😣 ストレスが唾液を減らす⁉
強いストレスは自律神経を乱し、唾液分泌を抑制します。唾液が減ると、口内の浄化作用が弱まり、雑菌が増えて悪臭が発生しやすくなります。
ストレスを感じたときは、次のような簡単な方法でリラックスする習慣をつけましょう:
- 深呼吸やマインドフルネス
- 軽い運動(ウォーキングやストレッチ)
- 趣味や音楽で心をほぐす時間を持つ
😴 良質な睡眠が腸と口を救う
睡眠不足は体内リズムを乱し、腸内環境にも悪影響を与えます。便秘や免疫低下による口腔トラブルも起きやすくなります。
- 就寝前のスマホ・カフェインは控える
- 寝室の照明・温度を快適に保つ
- 寝具や姿勢にも注意を払う
🥦 栄養と抗酸化食品で体の内側からケア
ビタミン・ミネラルが豊富な野菜、フルーツ、そして抗酸化作用のある緑茶・ベリー類などは、免疫をサポートし、腸と口の環境改善にも効果的です。
✅ 生活習慣チェックリスト(毎日/毎月やるべきこと)
- ☐ 歯磨き・フロス・舌ケアを欠かさずに
- ☐ 水分をしっかり摂る(1.5~2L/日)
- ☐ ストレスを感じたら深呼吸や運動を
- ☐ 発酵食品・食物繊維を意識的に摂取
- ☐ 3〜6ヶ月ごとに歯科で定期健診
- ☐ 睡眠時間は7時間以上を目標に
日々の積み重ねが、口臭のない健康的な体と心をつくります。チェックリストを活用して、無理なくコツコツ継続していきましょう✨
❓ よくある質問(Q&A)
Q1:うんち臭い口臭は一時的なものですか?
一時的な場合と、慢性的な場合があります。
✅ 一時的なケース:
- にんにく・玉ねぎ・発酵食品などを食べた後
- 一時的な口呼吸や水分不足、緊張による唾液減少
✅ 慢性的なケース:
- 便秘や胃腸障害、腸内環境の悪化
- 虫歯・舌苔・歯周病などの口腔内トラブル
- 肝臓・腎臓・糖尿病などの全身疾患
🌟対策をしても長期間続く場合は、医療機関での診断がおすすめです。
Q2:市販のマウスウォッシュで改善しますか?
一時的な口臭には有効ですが、根本的な解決にはなりません。
🧴【効果あり】
- 抗菌成分で一時的に細菌の活動を抑える
- ミント系などで息がスッキリ
🚫【効果が限定的】
- 舌苔や歯周病の根本治療はできない
- 腸内由来の悪臭(インドール・スカトール)には無効
💡マウスウォッシュはあくまで補助的ケア。歯磨き+フロス+舌ケアと併用が基本です。
Q3:子どもに臭い口臭があったらどう対応すべき?
👶 子どもの口臭も、放っておかず丁寧に対応しましょう。
🔍まず確認したいポイント:
- 甘いものやスナック菓子が多くないか
- 水分不足や便秘が続いていないか
- 歯磨き・舌ケアができているか
🦷【家庭でできる対策】
- 歯磨き・舌クリーニングの習慣化
- 発酵食品・食物繊維を含んだ食事
- 十分な水分摂取(こまめに飲む)
⚠️【こんなときは病院へ】
- 虫歯や歯茎の腫れ
- 喉の痛み・いびき・口呼吸がある
- 便秘や腹痛などの体調不良が続く
受診先の目安:歯科・消化器内科・耳鼻咽喉科
Q4:何科に行けばよい?(歯科?内科?耳鼻科?)
口臭の原因によって、適切な診療科が異なります。
| 原因 | 行くべき診療科 |
|---|---|
| 虫歯・歯周病・舌苔 | 🦷 歯科 |
| 便秘・胃腸の不調 | 🏥 消化器内科 |
| 鼻づまり・いびき・膿栓 | 👃 耳鼻咽喉科 |
| アンモニア臭・尿臭 | 🧬 内科(肝臓・腎臓など) |
| 甘酸っぱい臭い(ケトン臭) | 🩺 内科(糖尿病の可能性) |
🚨どの科に行くか迷ったら、まずは「内科」または「かかりつけ医」に相談して、必要な検査や紹介を受けましょう。
まとめ:
うんち臭い口臭には必ず原因があります。放置せずに「家庭でのケア+適切な受診」で早めの対応を心がけましょう。
📝 まとめ|「うんち臭い口臭」は内外からのケアで改善できる!
「うんちみたいな口臭…」と感じたとき、恥ずかしさから放置してしまう人も多いかもしれません。しかしこの臭い、実は口の中だけではなく腸や肝臓、全身の不調が関係していることも少なくありません。
🧩 原因は複数ある!だからこそ「内外からのアプローチ」が必要
- 舌苔や虫歯などの口腔内トラブル
- インドールやスカトールなどの腸内ガス由来の悪臭物質
- 便秘・胃腸炎・逆流性食道炎
- 肝臓・腎臓・糖尿病などの内臓疾患
- そして、ストレスや睡眠不足による体内バランスの乱れ
これらが複雑に絡み合い、独特な「うんち臭さ」を生み出しているのです。
🛠 改善のカギは「習慣・食事・専門診断」
毎日の歯磨きや舌ケア、水分補給に加え、発酵食品や食物繊維の摂取など、腸内環境を整えることも大切です。そして何より、臭いが長引く場合には迷わず歯科や内科での診断・治療を受けましょう。
👨👩👧 家族の口臭にも気づいてあげて
特に子どもや高齢者の口臭は、自分では気づきにくいもの。大切な人の体調の変化に早く気づいてあげることが、病気の早期発見にもつながります。
✅「うんち臭い口臭」も、原因がわかれば改善できる!
正しい知識とケアを身につければ、どんな臭いも恐れることはありません。今日からできることから始めて、**自分も家族も“においに悩まない生活”**を目指しましょう✨
🦷江戸川区篠崎でうんち臭い口臭に悩む方へ

「もしかして、口臭が“うんち臭い”と感じていませんか?
その原因は、実は放っておいて改善しないこともあります。
うんち臭い口臭の原因には、腸の不調や口腔内のトラブル、さらには全身疾患が関わっていることがあります。以下のような流れで口臭の原因を診断・改善いたします。
- 問診と検査で、胃腸や口腔内の状態を総合的にチェックします。
- 口腔ケアの専門的なアドバイスと治療を提供します(歯周病治療、舌苔除去など)。
- 必要に応じて内科や専門医と連携し、全身の健康から口臭を改善します。
『口臭は一時的なものだから…』と放置せず、一度お気軽にご相談ください。
口臭に不安で、清潔で自信のある毎日を楽しみましょう!
「当院では、あなたのお口と体の健康を全力でサポートいたします。」
【動画】なかなか取れない舌苔の完全除去方法
筆者・院長

深沢 一
Hajime FUKASAWA
- 登山
- ヨガ
メッセージ
日々進化する歯科医療に対応するため、毎月必ず各種セミナーへの受講を心がけております。
私達は、日々刻々と進歩する医学を、より良い形で患者様に御提供したいと考え、「各種 歯科学会」に所属すると共に、定期的に「院内勉強会」を行う等、常に現状に甘んずる事のないよう精進致しております。 又、医療で一番大切な事は、”心のある診療”と考え、スタッフと共に「患者様の立場に立った診療」を、心がけております。


